Powerpoint Templates
Page 1
Liver lesions
Dr. Aftab Qadir
Powerpoint Templates
Page 2
Benign Liver lesions
• Hemangioma
• Focal nodular hyperplasia
• Hepatic adenoma
• Liver cyst
• Liver abscess
Powerpoint Templates
Page 3
Malignant
• Hepatocellular carcinoma
• Heptoblastoma
Rare malignant:
• Fibrosarcoma
• Angiosarcoma
• Leiomyosarcoma
• Lymphoma
Powerpoint Templates
Page 4
Hypervascular lesions
Benign
• Heamangioma
• Adenoma
• FNH
Malignant
• HCC
• Hypervascular metastasis
Powerpoint Templates
Page 5
Hypovascular lesions
• Hypovascular liver tumors are more
common.
• Most hypovascular lesions are
metastases.
Powerpoint Templates
Page 6
Multiphasic CT
For detection of liver lesions
• Non enhance CT
• Arterial phase
• Portal venous phase
• Delayed
Powerpoint Templates
Page 7
Understanding the phases
• Liver has dual blood supply
• Normal parenchyma is supplied for 80%
by the portal vein and only for 20% by the
hepatic artery
• All liver tumors get 100% of their blood
supply from the hepatic artery
Powerpoint Templates
Page 8
Arterial phase
• In the arterial phase hypervascular tumors
will enhance via the hepatic artery, when
normal liver parenchyma does not yet
enhances, because contrast is not yet in
the portal venous system.
• Hypervascular tumors will enhance
optimally at 35 sec after contrast injection
Powerpoint Templates
Page 9
Portal venous phase
• To detect hypovascular tumors
• Scanning is at about 75 seconds
Powerpoint Templates
Page 10
Powerpoint Templates
Page 11
Delayed Phase
• Begins at about 3-4 minutes after contrast
injection and imaging is best done at 10 minutes
• Valuable for washout of contrast(HCC),retention
of contrast(heamangioma),retention of contrast
in fibrous tissue (capsule of HCC, central scar of
FNH)
Powerpoint Templates
Page 12
Powerpoint Templates
Page 13
Pre contrast Arterial Phase Portal venous
phase
Delayed
Hepatocelluar Ca Low attenuation Homogenous
enhancement
Washout of
lesion
Isodense
Adenoma Low attenuation Homogenous
enhancement 85%
Iso or
hypodense
Iso or hypodense
Haemangioma Low attenuation Peripheral puddles Partial Fill in Complete fill in
FNH Iso/Low
attenuation
Homogenous
enhancement
Hypodense Isodense
Metastasis(hypervascular) Low attenuation Homogenous
enhancement
Hypodense
Metastasis Low attenuation Hypodense Hypodense
Cyst Low attenuation No enhancement
Abscess Low attenuation may
have irregular margins
Transient regional
increase enhancement
Ring
enhancement
Multiphasic CT of Liver
Powerpoint Templates
Page 14
T1W T2W Gadolinium
Hepatocellular Ca
,iso or (fat degeneration)
Metastasis
Haemanigioma
++ (like CT)
Adenoma
often
FNH
+ delayed
MRI of Liver
Powerpoint Templates
Page 15
Hepatocellular Carcinoma
• Most common primary malignancy of the
liver
• Third most common cause of cancer-
related death
• The incidence of HCC is rising, largely
attributed to a rise in hepatitis C infection
Powerpoint Templates
Page 16
Risk factors:
• hepatitis B (HBV) infection
• hepatitis C (HCV) infection
• alcoholism
• biliary cirrhosis
• food toxins e.g. aflatoxins
• congenital biliary atresia
• inborn errors of metabolism
haemochromatosis
alpha-1 antitrypsin deficiency
type 1 glycogen storage disease
Wilson disease
Powerpoint Templates
Page 17
Powerpoint Templates
Page 18
Clinical presentation
Presentation is variable may include:
• constitutional symptoms
• jaundice
• portal hypertension from invasion of the portal vein
• hepatomegally / mass
Powerpoint Templates
Page 19
• Majority of patient have cirrhosis
• More than 80% of patients with HCC have
cirrhosis
• May be Focal, multiple or diffusely
infiltrative
Powerpoint Templates
Page 20
Investigation
• alpha-fetoprotein (AFP) levels are
elevated in 50-75 % of cases
• Radiological investigation including
ultrasound, CT and MRI
• Biopsy
Powerpoint Templates
Page 21
Ultrasound
• Variable appearance
• Small <3cm usually hypoechoic
• Larger tumors often are heterogeneous
• May invade the portal vein
• Most tumors will show central vascularity
on Doppler study
Larger tumors often are heterogeneous
Powerpoint Templates
Page 22
Powerpoint Templates
Page 23
Powerpoint Templates
Page 24
Powerpoint Templates
Page 25
CT
• Focal HCC
large usually hypodense mass
may have necrosis / fat / calcification
• Multifocal HCC
multiple masses of variable attenuation may also
have central hypodense necrotic portions
• Diffuse HCC
may be difficult to distinguish from associated
cirrhosis
Powerpoint Templates
Page 26
Enhancement pattern
• Transient early arterial enhancement and
then washes out
Powerpoint Templates
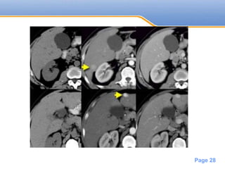
Page 27
Powerpoint Templates
Page 28
Powerpoint Templates
Page 29
Powerpoint Templates
Page 30
MRI
T1(variable)
T1 C+ (Gd)
Enhancement similar to CT
Rim enhancement may persist
T2 –Hyperintense
Post SPIO (Iron oxide) - increases sensitivity
in diagnosing small HCC’s
Enhancement similar to CT
Powerpoint Templates
Page 31
Powerpoint Templates
Page 32
Powerpoint Templates
Page 33
Fibrolamellar hepatocellular carcinoma
• Variant of HCC
• Younger age group(20-40years)
• Not associated with cirrhosis
• No association with HCC risk factors
• Usually present with constitutional
symptoms
• Fibrolamellar carcinomas typically are
single large tumours
Not associated with cirrhosis
Fibrolamellar carcinomas typically are
single large tumours
Powerpoint Templates
Page 34
Ultrasound
• Usually large heterogeneous
predominantly hyperechoic lesion,
calcification may be seen(40%)
Powerpoint Templates
Page 35
CT
• Large solitary well circumscribed
• Heterogeneous arterial enhancement
• 30-40% have central scar
• Calcification can be seen on non
enhanced CT
Powerpoint Templates
Page 36
Powerpoint Templates
Page 37
Powerpoint Templates
Page 38
Powerpoint Templates
Page 39
Hepatic metastasis
• More common than primary
• May be solitary but usually multiple
• Majority are hypovascular
• Extremely variable appearance on
ultrasound
Powerpoint Templates
Page 40
Hypervascular metastases
• Carcinoids
• Leiomyosarcomas
• Neuroendocrine tumors
• Renal carcinomas
• Thyroid carcinomas
• Choriocarcinomas
• Occasionally pancreas, ovary, or breast
Powerpoint Templates
Page 41
Ultrasound
Hypoechoic metastasis
• Lymphoma
• Sarcoma
• Most adenocarcinoma(breast, lung, pancreas)
Powerpoint Templates
Page 42
Powerpoint Templates
Page 43
Hyperechoic
• Colorectal carcinoma and other GIT
• Carcinoid, Renal cell carcinoma, islet cell
tumor
Powerpoint Templates
Page 44
Powerpoint Templates
Page 45
Cystic metastasis
• Ovarian carcinoma
• Cystadenocarcinoma of pancreas
• squamous cell carcinoma
Calcified metastasis
• Mucinous adenocarcinoma of colon
Powerpoint Templates
Page 46
Powerpoint Templates
Page 47
Powerpoint Templates
Page 48
CT
• On unenhanced CT -> Hypodense
• On Enhanced CT -> non enhancing
hypodense
• The margin of the lesions can vary from
well defined to ill defined
• Hyperattenuating lesions are uncommon
Powerpoint Templates
Page 49
Powerpoint Templates
Page 50
MRI
• Most metastase are hypointense on T1
• Hyperintense on T2
Powerpoint Templates
Page 51
Powerpoint Templates
Page 52
Interactive cases
Powerpoint Templates
Page 53
Liver calcification causes??
Powerpoint Templates
Page 54
Powerpoint Templates
Page 55
Powerpoint Templates
Page 56
Powerpoint Templates
Page 57
Powerpoint Templates
Page 58
Powerpoint Templates
Page 59
Powerpoint Templates
Page 60
Powerpoint Templates
Page 61
Thank you

Liver lesions

Editor's Notes

  • #5 Hypervascular metastasis:neuroendocrine,renal cell ca,melanoma
  • #6 WHY? Metastases are 20% more common and most are hypovascular
  • #7 Only a minority of tumors contain calcifications, cystic components, fat or hemorrhage and will be detected on a NECT.
  • #8 Tumors enhance in arterial phase. Liver will enhance in the portal venous phase
  • #9 Will be visible as hyperdense lesions in a relatively hypodense liver
  • #10 also called the hepatic phase because there already must be enhancement of the hepatic veins
  • #11 HCC Cirrhotic liver with a single nodule in the right lobe showing marked arterial phase enhancement and early wash off in the portovenous phase are diagnostic features of a HCC.
  • #15 Metastasis
  • #16 after lung and stomach cancer
  • #17 HCC are typically diagnosed in adults in late middle age or elderly
  • #19 HCC may present with jaundice, bloating from ascites, easy bruising from blood clotting abnormalities or as loss of appetite, unintentional weight loss, abdominal pain, especially in the right upper quadrant, nausea, emesis, or fatigue weight loss, fevers, fatigue, and malaise
  • #20 a combination of alfa fetoprotein, imaging, and background cirrhosis is used to make the diagnosis of HCC Imaging should be used instead of biopsy to diagnose HCC
  • #22 Heterogeneous due to necrosis and hemorrhage The larger the lesion the more heterogeneous the enhancement
  • #23 Well defined low echogenicity mass in segment 4 of the liver, with peri and intralesional vascularity
  • #25 A 60 year old male patient with known chronic hepatitis C and liver cirrhosis. On surveillance US, a hypoechoic lesion was noted in segment 3 of the liver and demonstrated vascularity on Doppler study.
  • #26 focal, multiple or diffusely infiltrating A capsule is usually best seen in the delayed phase as a relative hyperdense structure.
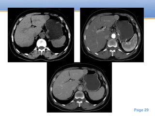
  • #27 the larger the lesion the more heterogeneous the enhancement becoming indistinct or hypodense compared to the rest of the liver at the portal phase Area of necrosis -> low density non enhancing Tumor thrombosis of portal vein will also shows enhancement
  • #28 Small HCC seen only in arterial phase in a patient with cirrhosis
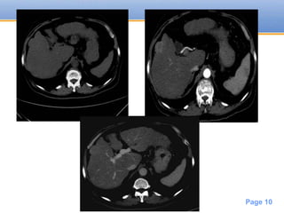
  • #29 NECT, arterial and portal venous phase in a patient with Hepatitis C with two lesions in the liver (arrows)
  • #30 CT scan of the abdomen with quadrephasic liver protocol was performed which confirmed the presence of a hyper-vascular lesion in segment 3, demonstrating washout on portovenous phase.
  • #31 This is on account of the supply to HCCs being from the hepatic artery rather than portal vein iso or hyperintense(T1) Early arterial enhancement and rapid washout becoming hypointense to the liver Superparamagnetic iron oxide based MRI
  • #32 A 3-cm lesion is seen near the porta hepatis within the right lobe of the liver. It is mildly hyperintense on T2-weighted imaging with fat suppression and is hypointense on precontrast T1-weighted imaging. The lesion demonstrates heterogeneous arterial-phase enhancement and subsequent washout on the portal venous phase. Delayed 20-minute hepatobiliary-phase imaging shows marked hypointensity of this lesion relative to the adjacent liver. HCC can have multiple and varied appearances. Typically, a focal HCC shows arterial-phase enhancement with subsequent washout on portal-venous-phase imaging, which is highly specific for HCC in the correct clinical setting. Dynamic enhanced imaging of HCC is extremely important for both detection and characterization of these lesions. Other useful imaging features to help characterize HCC include rim enhancement on portal-venous-phase imaging (and 5- to 10-minute delayed imaging using a conventional extracellular gadolinium-based contrast agent); hypointensity on precontrast T1 imaging; and isointensity or mild hyperintensity on T2 imaging. Moderate and poorly differentiated HCCs do not contain normal functioning hepatocytes and typically appear hypointense on delayed hepatobiliary-phase imaging, as in this case. There are reports of hepatobiliary gadolinium-based contrast uptake in well-differentiated hepatocellular carcinoma; however, this effect is uncommon and not entirely understood. As in this example, the best contrast between lesion and the adjacent liver is achieved on the delayed hepatobiliary phase. However, delayed hepatobiliary-phase imaging is inadequate for characterization of HCC, which requires the constellation of imaging findings from all sequences for diagnosis. Thus, the utility of delayed hepatobiliary phase is to provide additional characterization as well as detection of these lesions, particularly smaller lesions. In general, the diagnosis of HCC should be made in the appropriate clinical setting, such as a high-risk patient with viral hepatitis or other risk factors for HCC. single-shot fast spin-echo MRI
  • #33 A 1.8-cm lesion is seen within segment 2/3 adjacent to the porta hepatis (yellow arrow). It is slightly hypointense on precontrast T1 imaging and slightly hyperintense on T2 imaging. The lesion demonstrates minimal but definite restricted diffusion. Dynamic-phase imaging shows brisk and uniform arterial enhancement with subsequent washout and rim enhancement on portal-venous-phase imaging. Ninety-minute delayed hepatobiliary-phase imaging shows hypointensity relative to the adjacent liver.
  • #35 FLC characteristically manifests as a 10-20 cm large hepatic mass in adolescents or young adults. The typical risk factors for HCC such as cirrhosis, elevated alphafetoprotein, viral hepatitis, alcohol abuse are absent.
  • #36 In contrast to FNH the central scar in FLC will usually be hypointense on T2WI and will less often show delayed enhancement. While FNH is always very homogeneous, FLC is usually heterogeneous following contrast administration.
  • #38 Transverse US image through the dome of the liver helps confirm that the hepatic lesion is a soft tissue mass. (b) Spectral Doppler US image reveals low resistance arterial flow in the lesion, which indicates a hypervascular tumor with arteriovenous shunting.
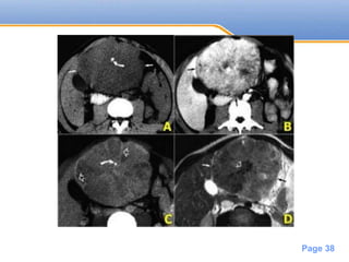
  • #39 Fibrolamellar HCC On the left CT- and MR-images of a left-lobe fibrolamellar HCC in a 19-year-old man. A. Non-enhanced transverse CT scan shows calcification (curved arrow) within the hypoattenuating tumor (straight arrows). B. Hepatic arterial contrast-enhanced transverse CT scan shows heterogeneous hypervascularity within the tumor (arrows). C. Ten-minute delayed transverse CT scan demonstrates subtle areas of hyperattenuation that represent fibrous tissue within the central scar, radiating septa, and capsule (open arrows). Curved arrow = calcification. D. Transverse T2-weighted MR image (5,000/105) also demonstrates the central scar and septa (open arrow). The tumor itself (straight arrows) is nearly isointense to liver
  • #41 In children, most common primary sites for metastatic lesions to the liver are: Neuroblastoma Wilms tumor Leukemia
  • #42 Lung ca target appearance
  • #43 Hypoechoic liver metastases of a colon carcinoma Hypoechoic liver metastases of a melanoma
  • #45 Liver metastasis of a colon carcinoma with a hyperechoic lesion in the left liver lobe with a halo.
  • #46 cystic squamous cell carcinoma ovarian cancer pancreatic adenocarcinoma colorectal carcinoma (CRC)
  • #47 Calcified liver metastases of a sigmoid carcinoma with hyperechoic lesions causing acoustic shadowing Liver metastases with central necrosis
  • #48 Large solitary metastasis of an ovarian cancer
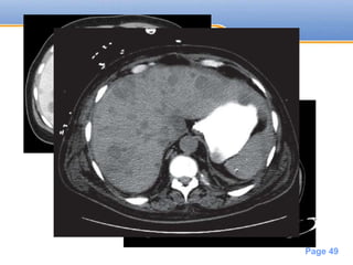
  • #49 liver metastases may display slight peripheral enhancement with a hypoattenuating center Hyperattenuating lesions are uncommon On the portal venous phase of scanning, some highly vascular primary tumors such as renal cell carcinomas, pancreatic islet cell tumors, pheochromocytomas, melanomas, and breast carcinomas, may appear as isoattenuating to normal liver
  • #50 Liver metastases, contrast-enhanced CT. Multiple hypoattenuating lesions of varying sizes are seen in both the left and right lobes of the liver, some with indistinct margins. The patient had colorectal carcinoma. CT scan showing extensive liver metastases
  • #51 Rapid washout is a feature of malignant lesion Most lesion shows less enhancement than surrounding liver
  • #52 Two lesions are seen within the lateral segment of the left lobe of the liver (yellow arrows). They appear mildly hyperintense on T2 images and mildly hypointense on precontrast T1 images. On arterial-phase and portal-venous-phase images, the lesions demonstrate rim enhancement; they appear hypointense on 5-minute and 20-minute delayed hepatobiliary-phase imaging. Thin-slab MinIP of the 20-minute delayed images showed no other lesions. This is a straightforward example of the detection and characterization of metastatic disease in the liver. Metastases such as those from colorectal cancer are typically hyperintense on T2 imaging and show rim enhancement on contrast-enhanced T1 imaging. As metastatic lesions contain no functioning hepatocytes, they appear hypointense on delayed hepatobiliary-phase imaging. It is important to review the precontrast T1 images, which often depict these lesions well. Diffusion-weighted imaging showed restricted diffusion within these lesions (not shown).
  • #54 calcifications are hyperdense on CT and hypointense on T1 and T2 MR images Calcified metastasis in a patient with colon cancer.
  • #55 Biopsy proven bilobed HCC in segment 8 of liver peripherally located with invasion of hepatic vein pulse Doppler demonstrate arterial flow
  • #59 Innumerable lesions are seen throughout the liver, appearing mildly hyperintense on T2 imaging and hypointense on precontrast T1 imaging with progressive rim enhancement on arterial-phase and portal-venous-phase imaging. In addition, there is a distinct 2-cm mass within the posterior aspect of the right lobe of the liver (yellow arrow). It is moderately hyperintense on T2 imaging and hypointense on precontrast T1 imaging. The lesion shows subtle peripheral discontinuous nodular enhancement that progressively fills in on subsequent imaging with homogeneous signal that matches the blood pool at 6 minutes. Ninety-minute delayed hepatobiliary-phase imaging demonstrates isointensity of this single lesion with the blood pool. All other lesions appear hypointense relative to the liver, with a hypointense rim and isointense ring within the lesion in a characteristic target pattern. The colorectal metastases in this example are highly typical: mildly hyperintense on T2 with slow rim enhancement on dynamic-phase imaging. The target appearance seen on the delayed hepatobiliary phase is also typical of metastases. The presence of a both cavernous hemangioma and colorectal metastases in the same patient presents an opportunity for direct comparison of the appearance of these lesions on both T2 and contrast-enhanced T1 imaging. As seen in previous examples, the signal within hemangioma follows the blood pool on steady-state imaging (beyond a few minutes).
  • #60 Echogenic nodular lesion in segment 7 of liver in a known case of RCC, represents metastatic nodule.
  • #61 Metastatic sacral cordoma Two large lesions are seen within segments 7 and 8 of the liver. The larger lesion (segment 8) has a lobulated border. Both lesions appear moderately hyperintense on T2 imaging and hypointense on precontrast T1 imaging. Minimal rim enhancement is seen on the arterial-phase and portal-venous-phase images. Profound hypointensity relative to the adjacent liver parenchyma is seen on the 20-minute delayed hepatobiliary-phase images. The lesions exhibit restricted diffusion on diffusion-weighted imaging. Other lesions were identified on other slices (not shown). This case shows typical MRI findings of metastatic disease within the liver. Delayed hepatobiliary-phase imaging is not necessary to either detect or characterize lesions of this size, although the best contrast between lesion and liver is seen on the delayed images. We have found that high-resolution delayed hepatobiliary-phase images provide accurate means of measuring the dimensions of metastatic lesions and therefore may be useful for follow-up studies where accurate size measurements are necessary. High contrast offered by delayed-phase imaging may be a useful means of volumetric measurements of these lesions as well, although further research is needed to demonstrate this.