By Hiren M Divecha (CT2)
                 NMGH
               3/2/2010
• 10 -30% of hip fractures
• Bimodal age distribution
  – 20-40yrs
     • HIGH ENERGY
     • RTA, fall from height, GSW (10%)
  – >60yrs
     •   low energy
     •   Simple fall, osteoporotic, pathological (17-35%)
     •   Cann. screws below lesser troch
     •   Bisphosphonate Rx
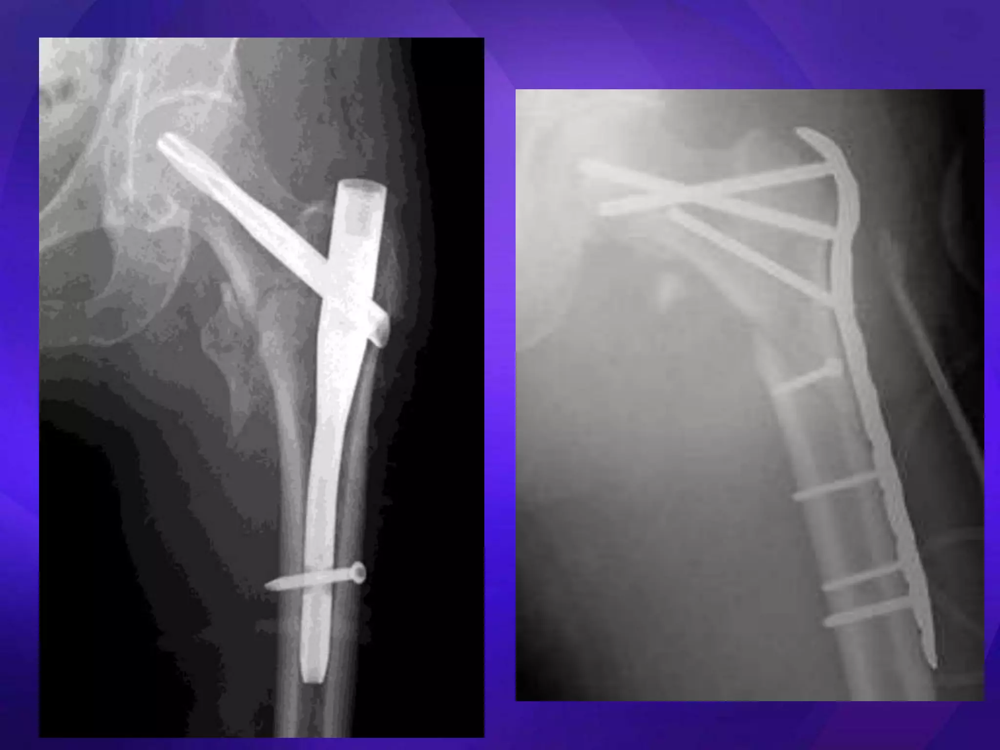
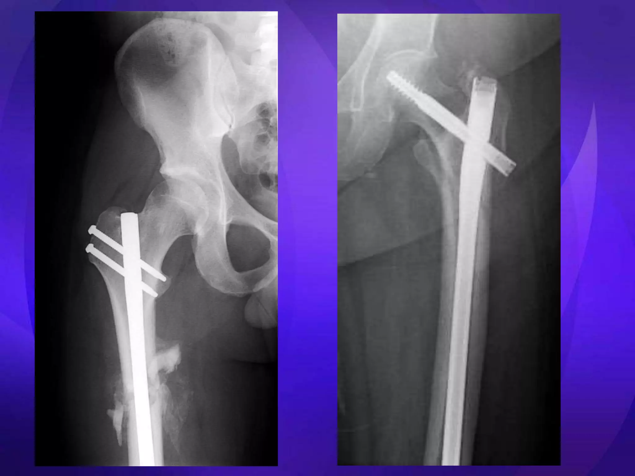
• Screws must not enter lateral femoral cortex
  below level of lesser troch
  – Kloen et al JOT 2003
• Triangular configurations
  – Highest load to failure
  – Apex superior – higher risk of subtroch #
  – Selvan et al Injury 2004, Lichtblau et al Bull NYU
    Hosp Jt Dis 2008
• Inhibited remodelling leads to accumulation of
  microdamage
• Associated with >7yrs use
• Prodromal thigh pain
• Cortical thickening, unicortical beak
• Simple transverse/ oblique pattern
• Bilateral (Capeci JBJS-Am 2009)
• Goh JBJS-Br 2007, Lenart NEJM 2008, Neviaser
  JOT 2008, Kewkwa Injury 2008
• Between lesser trochanter and 5cm distal
• Stresses
  – Posteromedial – compressive
  – Lateral – tensile
  – 6 x BW
• Cortico-cancellous junction
  – Vascularity
  – Healing
• Proximal fragment
  – Flexed – iliopsoas
  – Ext rot – iliopsoas + short ext rots
  – Abducted – gluteus med + min


• Distal fragment
  – Adducted/ varus – adductors
  – Shortened – quads/ hamstrings
Proximal Border   Distal Border   Subdivisions
Boyd & Griffin     1949                                     2
Fielding           1966   PBLT              5cm             4
Zickel             1976   PBLT              10cm            6
Seinsheimer        1978   DBLT              5cm             7
Russell & Taylor   1987                                     3
AO Muller          1990   DBLT              3cm             9
Parker & Pryor     1994   DBLT              5cm
1. <2mm displacement
2. 2-parts
  A.   Transverse
  B.   Spiral. Less troch prox
  C.   Spiral. Less troch distal
3. 3-parts
  A.   Less troch butterfly
  B.   Lateral butterfly
4. 4-parts or comminuted
5. Greater troch extension
•   History
•   Pain, NWB, deformity of thigh
•   Open/ closed injury
•   Neurovascular status
•   Full ATLS
    – Haemorrhagic shock
    – Cranial, thoracic, abdominal injuries (Waddell’s
      triad)
• Analgesia, femoral nerve block???
   – Significantly reduced pain scores and use of opiates
   – AK Fletcher et al. Ann Emerg Med. 2003;41:227-233
• Thomas splint

• X-rays
   – AP pelvis
   – full length femur views
   – Contralateral femur (bisphosphonate Rx)

• Pathological
   – Full assessment
   – Bloods – myeloma screen, bone profile, LFTs
   – Bone scan, MRI
• Unfit for surgery, open #s
• Skeletal traction
    – Hamilton-Russell
    – Perkins
• 90-90 position
• Aim for
    –   <5 varus/valgus
    –   >25% cortical apposition
    –   <1cm shortening
    –   No axial rotation
• Weekly x-rays + adjustments
• Traction until signs of union (8-12 weeks)
• Problems
    – Pressure ulcers, VTE, pneumonia
Author        Date   No.   Satisfactory   Non-union
Watson        1964   8     50
Seinsheimer   1978   8     48             0
Velasco &     1978   22    50             0
Comfort
Waddell       1979   18    56             11
DeLee         1981   15    100            0
Bajaj         1988   23    83             0
• Key issues
   – Medial cortical buttress
   – Reduction (esp varus deformity)

• Extramedullary
   – ORIF
   – DHS, Medoff Sliding Plate, DCS, blade plate, locking plates

• Intramedullary
   – Centromedullary
   – Cephalomedullary
   – Short vs long
Bending moment = F x D



d1                            d2




     d1 > d2
•   Technically demanding
•   Soft tissue dissection
•   Plate/ screw breakage
•   30% failure
    – Elderly
    – Unstable #s
    – Early weight bearing
• Nonunions
• Easier to insert than
  blade plate
• Plate/ screw breakage
• 20-30% failure
  – Elderly
  – Unstable #s
  – Early weight bearing
• Nonunions
• Designed for
  intertrochanteric #s
• Easier to insert
• Entry point may be #
• 25% failure
   – Loss of fixation
• ? Should be avoided
• Resist axial loading better    • Less stiff in torsion
• Closed Rx                      • Short nails = femoral shaft
   – Preserve fracture biology     fracture
• Decreased moment arm           • Femoral head screw cut
  on implant                       out
• ? Autogenous grafting
  during reaming
• Segmental/ pathological #
• >97% union
• Tencer J Orth Res 1984
   –   Cadaveric study
   –   Torsional stiffness better in plate devices
   –   Axial loading better in locked IM nails
   –   IM nail=3000N; plates=1000-1500N
• Haynes Med Eng Phys 1997
   – Cadaveric study
   – SGN=5761N; DHS=4660N(hard) 3225N(soft)
• Aune Acta Orth Scan 1994 & Madsen J Ortho Res 1998
   – Femoral shaft fractures with SGN
• Parker & Handoll Cochrane Rev 2004, 2008, 2009
   – Better intraoperative results and less fixation failures in
     cephalomedullary devices
   – Femoral shaft fractures with short nails
• Infection
• VTE
• Implant failure
   – Varus malreduction
   – Screw placement in femoral head
• Malunion
   – Shortening
   – Rotational deformity
   – Varus
• Nonunion ( 0-8%)
   – Significant pain >6 months with the inability to FWB
   – Stable fixation - autogenous bone grafting
   – Exchange nailing with over-reaming
• Fletcher AK et al. Three-in-One Femoral Nerve
  Block as Analgesia for Fractured Neck of
  Femur in the Emergency Department: A
  Randomized, Controlled Trial. Ann Emerg
  Med. 2003;41:227-233
• Craig N et al. Subtrochanteric fractures. Bull
  Hosp Joint Dis 2001;60:35-46
• Lundy DW. Subtrochanteric femoral fractures.
  AAOS 2007;15:663-671
1. Kloen P et al. Subtrochanteric fracture after
   cannulated screw fixation of femoral neck
   fractures: a report of four cases. J Orthop
   Trauma. 2003;17(3):225-9
2. Lichtblau S et al. A biomechanical
   comparison of two patterns of screw
   insertion. Bull NYU Hosp Jt Dis.
   2008;66(4):269-71
1. Goh et al. Subtrochanteric insufficiency fractures in
   patients on alendronate therapy. JBJS 89-B(3); 349-
   353
2. Lenart et al. Atypical Fractures of the Femoral
   Diaphysis in Postmenopausal Women Taking
   Alendronate. NEJM 2008 358;12:1304-6
3. Neviaser et al. Low-Energy Femoral Shaft Fractures
   Associated With Alendronate Use. J Orth Trauma
   2008; 22(5): 346-350
4. Kweka et al. An emerging pattern of subtrochanteric
   stress fractures: A long-term complication of
   alendronate therapy. Injury 2008 39; 224—231

Subtrochanteric fractures

  • 1.
    By Hiren MDivecha (CT2) NMGH 3/2/2010
  • 2.
    • 10 -30%of hip fractures • Bimodal age distribution – 20-40yrs • HIGH ENERGY • RTA, fall from height, GSW (10%) – >60yrs • low energy • Simple fall, osteoporotic, pathological (17-35%) • Cann. screws below lesser troch • Bisphosphonate Rx
  • 3.
    • Screws mustnot enter lateral femoral cortex below level of lesser troch – Kloen et al JOT 2003 • Triangular configurations – Highest load to failure – Apex superior – higher risk of subtroch # – Selvan et al Injury 2004, Lichtblau et al Bull NYU Hosp Jt Dis 2008
  • 5.
    • Inhibited remodellingleads to accumulation of microdamage • Associated with >7yrs use • Prodromal thigh pain • Cortical thickening, unicortical beak • Simple transverse/ oblique pattern • Bilateral (Capeci JBJS-Am 2009) • Goh JBJS-Br 2007, Lenart NEJM 2008, Neviaser JOT 2008, Kewkwa Injury 2008
  • 6.
    • Between lessertrochanter and 5cm distal • Stresses – Posteromedial – compressive – Lateral – tensile – 6 x BW • Cortico-cancellous junction – Vascularity – Healing
  • 8.
    • Proximal fragment – Flexed – iliopsoas – Ext rot – iliopsoas + short ext rots – Abducted – gluteus med + min • Distal fragment – Adducted/ varus – adductors – Shortened – quads/ hamstrings
  • 10.
    Proximal Border Distal Border Subdivisions Boyd & Griffin 1949 2 Fielding 1966 PBLT 5cm 4 Zickel 1976 PBLT 10cm 6 Seinsheimer 1978 DBLT 5cm 7 Russell & Taylor 1987 3 AO Muller 1990 DBLT 3cm 9 Parker & Pryor 1994 DBLT 5cm
  • 11.
    1. <2mm displacement 2.2-parts A. Transverse B. Spiral. Less troch prox C. Spiral. Less troch distal 3. 3-parts A. Less troch butterfly B. Lateral butterfly 4. 4-parts or comminuted 5. Greater troch extension
  • 12.
    History • Pain, NWB, deformity of thigh • Open/ closed injury • Neurovascular status • Full ATLS – Haemorrhagic shock – Cranial, thoracic, abdominal injuries (Waddell’s triad)
  • 13.
    • Analgesia, femoralnerve block??? – Significantly reduced pain scores and use of opiates – AK Fletcher et al. Ann Emerg Med. 2003;41:227-233 • Thomas splint • X-rays – AP pelvis – full length femur views – Contralateral femur (bisphosphonate Rx) • Pathological – Full assessment – Bloods – myeloma screen, bone profile, LFTs – Bone scan, MRI
  • 14.
    • Unfit forsurgery, open #s • Skeletal traction – Hamilton-Russell – Perkins • 90-90 position • Aim for – <5 varus/valgus – >25% cortical apposition – <1cm shortening – No axial rotation • Weekly x-rays + adjustments • Traction until signs of union (8-12 weeks) • Problems – Pressure ulcers, VTE, pneumonia
  • 15.
    Author Date No. Satisfactory Non-union Watson 1964 8 50 Seinsheimer 1978 8 48 0 Velasco & 1978 22 50 0 Comfort Waddell 1979 18 56 11 DeLee 1981 15 100 0 Bajaj 1988 23 83 0
  • 17.
    • Key issues – Medial cortical buttress – Reduction (esp varus deformity) • Extramedullary – ORIF – DHS, Medoff Sliding Plate, DCS, blade plate, locking plates • Intramedullary – Centromedullary – Cephalomedullary – Short vs long
  • 18.
    Bending moment =F x D d1 d2 d1 > d2
  • 19.
    Technically demanding • Soft tissue dissection • Plate/ screw breakage • 30% failure – Elderly – Unstable #s – Early weight bearing • Nonunions
  • 21.
    • Easier toinsert than blade plate • Plate/ screw breakage • 20-30% failure – Elderly – Unstable #s – Early weight bearing • Nonunions
  • 23.
    • Designed for intertrochanteric #s • Easier to insert • Entry point may be # • 25% failure – Loss of fixation • ? Should be avoided
  • 25.
    • Resist axialloading better • Less stiff in torsion • Closed Rx • Short nails = femoral shaft – Preserve fracture biology fracture • Decreased moment arm • Femoral head screw cut on implant out • ? Autogenous grafting during reaming • Segmental/ pathological # • >97% union
  • 28.
    • Tencer JOrth Res 1984 – Cadaveric study – Torsional stiffness better in plate devices – Axial loading better in locked IM nails – IM nail=3000N; plates=1000-1500N • Haynes Med Eng Phys 1997 – Cadaveric study – SGN=5761N; DHS=4660N(hard) 3225N(soft) • Aune Acta Orth Scan 1994 & Madsen J Ortho Res 1998 – Femoral shaft fractures with SGN • Parker & Handoll Cochrane Rev 2004, 2008, 2009 – Better intraoperative results and less fixation failures in cephalomedullary devices – Femoral shaft fractures with short nails
  • 29.
    • Infection • VTE •Implant failure – Varus malreduction – Screw placement in femoral head • Malunion – Shortening – Rotational deformity – Varus • Nonunion ( 0-8%) – Significant pain >6 months with the inability to FWB – Stable fixation - autogenous bone grafting – Exchange nailing with over-reaming
  • 30.
    • Fletcher AKet al. Three-in-One Femoral Nerve Block as Analgesia for Fractured Neck of Femur in the Emergency Department: A Randomized, Controlled Trial. Ann Emerg Med. 2003;41:227-233 • Craig N et al. Subtrochanteric fractures. Bull Hosp Joint Dis 2001;60:35-46 • Lundy DW. Subtrochanteric femoral fractures. AAOS 2007;15:663-671
  • 31.
    1. Kloen Pet al. Subtrochanteric fracture after cannulated screw fixation of femoral neck fractures: a report of four cases. J Orthop Trauma. 2003;17(3):225-9 2. Lichtblau S et al. A biomechanical comparison of two patterns of screw insertion. Bull NYU Hosp Jt Dis. 2008;66(4):269-71
  • 32.
    1. Goh etal. Subtrochanteric insufficiency fractures in patients on alendronate therapy. JBJS 89-B(3); 349- 353 2. Lenart et al. Atypical Fractures of the Femoral Diaphysis in Postmenopausal Women Taking Alendronate. NEJM 2008 358;12:1304-6 3. Neviaser et al. Low-Energy Femoral Shaft Fractures Associated With Alendronate Use. J Orth Trauma 2008; 22(5): 346-350 4. Kweka et al. An emerging pattern of subtrochanteric stress fractures: A long-term complication of alendronate therapy. Injury 2008 39; 224—231