Paediatric Forearm Fractures


                   By Hiren M Divecha
                                  ST3
                            21/4/2011
• 40% of childhood fractures
• Mechanism
   – FOOSH (trampolines, monkey bars etc…)
   – Direct trauma
   – NAI

• History
• Examination – pain, swelling, deformity,
  neurological
Types
• Location – proximal, middle or distal
• Characteristics – displacement, angulation and rotation

• Plastic deformation
• Incomplete
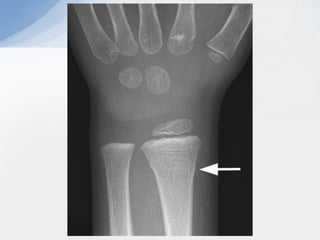
   – Buckle or torus fractures
   – Greenstick fractures
• Complete

• Monteggia
• Both bone
• Galeazzi
Monteggia
Monteggia
• Fracture of the proximal ulna with dislocation of the
  radial head

• Bado classification
   1.   Anterior dislocation/ anterior angulation (60%)
   2.   Posterior dislocation/ posterior angulation (15%)
   3.   Lateral dislocation/ lateral angulation (20%)
   4.   Anterior dislocation/ both bone proximal # (5%)
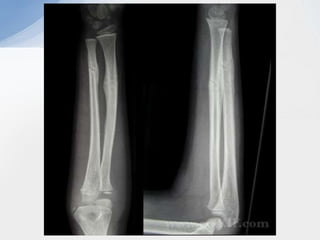
‘Both Bone’ Fractures
Galleazzi
Treatment Goals
• Allow union of the fracture in a position that restores
  functional range of motion
• Malunion affects supination/ pronation
• Supination/ pronation
   – 50° either way for ADLs
• Cosmesis
Conservative
• < 6 yrs
   – distal 1/3=20°, middle third=15°, proximal 1/3=10° angulation is
     acceptable
   – 5 deg of rotation “may” also be acceptable

• 6-10 yrs
   – < 15 deg of angulation should remodel especially if # is close to distal
     epiphysis
   – bayonet apposition may be acceptable

• > 12 yrs of age
   – no angulatory or rotational deformity is considered acceptable
   – treat as adult

• Above elbow cast + broad arm sling
   – Proximal # in supination
   – Middle # in neutral
   – Distal # in pronation
Closed Reduction

 • Attempt for
     – Complete
       displacement
     – Angulation >15-20°
     – Malrotation
 •   Traction
 •   Increase deformity
 •   Reduce fragments
 •   Correct rotation
Remodeling Potential
• Age
• Plane of deformity
   – Remodel better if in the plane of motion of the joint
• Amount of deformity
• More growth at distal physis
   – Distal fractures have more potential

• Rotational deformity remodel poorly
Aftercare
• 5-6/52 in above elbow cast
• Weekly x-rays to check position till 3/52
• Re-apply cast if slackening


• Remanipulation
   – Angular deformity >10°
   – Up to 3 weeks after injury
Indications for ORIF
•   Open #
•   Inability to maintain acceptable reduction
•   Neurologic/vascular compromise
•   Refracture with displacement
Implant Choice
• ‘Nancy’/ ESIN nails
   – Minimal soft tissue dissection

   – Fix most angulated/ displaced # (the other may be left)
   – 20% unstable and require fixation of other #

   – Short term above elbow cast immobilization
   – Median time to healing 6.7 months
   – Easy removal (3-6 months)

• Older children (>10 yrs) may be better treated as
  adults with plates and screws
Complications
• Malunion
   – angulation >10, displacement >50%, malrotation,
     encroachment on interosseous membrane
   – angulation of 20-30 degrees may be observed for 3 months for
     remodelling
   – angulation >30 degrees corrective osteotomy is indicated (best
     within 1st year following injury)
• Non-union
• Refracture
   – 5% in 6 months
   – Greater risk in greenstick #
• Compartment syndrome
• Neurologic injury
• Synostosis
References
• “Forearm and distal radius fractures in children”,
  Noonan K & Price C, JAAOS, 1998;6:146-156
• “Forearm fractures in children. Single bone fixation
  with ESIN nailing”, S Houshian et al, Injury, 2005, 36:
  1421—1426
• “Practical Fracture Management”, R McRae, 5th
  edition
• “Fractures in children”, C A Rockwood

Paediatric forearm fractures

  • 1.
    Paediatric Forearm Fractures By Hiren M Divecha ST3 21/4/2011
  • 2.
    • 40% ofchildhood fractures • Mechanism – FOOSH (trampolines, monkey bars etc…) – Direct trauma – NAI • History • Examination – pain, swelling, deformity, neurological
  • 3.
    Types • Location –proximal, middle or distal • Characteristics – displacement, angulation and rotation • Plastic deformation • Incomplete – Buckle or torus fractures – Greenstick fractures • Complete • Monteggia • Both bone • Galeazzi
  • 6.
  • 7.
    Monteggia • Fracture ofthe proximal ulna with dislocation of the radial head • Bado classification 1. Anterior dislocation/ anterior angulation (60%) 2. Posterior dislocation/ posterior angulation (15%) 3. Lateral dislocation/ lateral angulation (20%) 4. Anterior dislocation/ both bone proximal # (5%)
  • 8.
  • 9.
  • 10.
    Treatment Goals • Allowunion of the fracture in a position that restores functional range of motion • Malunion affects supination/ pronation • Supination/ pronation – 50° either way for ADLs • Cosmesis
  • 11.
    Conservative • < 6yrs – distal 1/3=20°, middle third=15°, proximal 1/3=10° angulation is acceptable – 5 deg of rotation “may” also be acceptable • 6-10 yrs – < 15 deg of angulation should remodel especially if # is close to distal epiphysis – bayonet apposition may be acceptable • > 12 yrs of age – no angulatory or rotational deformity is considered acceptable – treat as adult • Above elbow cast + broad arm sling – Proximal # in supination – Middle # in neutral – Distal # in pronation
  • 12.
    Closed Reduction •Attempt for – Complete displacement – Angulation >15-20° – Malrotation • Traction • Increase deformity • Reduce fragments • Correct rotation
  • 16.
    Remodeling Potential • Age •Plane of deformity – Remodel better if in the plane of motion of the joint • Amount of deformity • More growth at distal physis – Distal fractures have more potential • Rotational deformity remodel poorly
  • 17.
    Aftercare • 5-6/52 inabove elbow cast • Weekly x-rays to check position till 3/52 • Re-apply cast if slackening • Remanipulation – Angular deformity >10° – Up to 3 weeks after injury
  • 18.
    Indications for ORIF • Open # • Inability to maintain acceptable reduction • Neurologic/vascular compromise • Refracture with displacement
  • 20.
    Implant Choice • ‘Nancy’/ESIN nails – Minimal soft tissue dissection – Fix most angulated/ displaced # (the other may be left) – 20% unstable and require fixation of other # – Short term above elbow cast immobilization – Median time to healing 6.7 months – Easy removal (3-6 months) • Older children (>10 yrs) may be better treated as adults with plates and screws
  • 21.
    Complications • Malunion – angulation >10, displacement >50%, malrotation, encroachment on interosseous membrane – angulation of 20-30 degrees may be observed for 3 months for remodelling – angulation >30 degrees corrective osteotomy is indicated (best within 1st year following injury) • Non-union • Refracture – 5% in 6 months – Greater risk in greenstick # • Compartment syndrome • Neurologic injury • Synostosis
  • 22.
    References • “Forearm anddistal radius fractures in children”, Noonan K & Price C, JAAOS, 1998;6:146-156 • “Forearm fractures in children. Single bone fixation with ESIN nailing”, S Houshian et al, Injury, 2005, 36: 1421—1426 • “Practical Fracture Management”, R McRae, 5th edition • “Fractures in children”, C A Rockwood

Editor's Notes

  • #5 Plastic deformation of radius + greenstick of ulna
  • #6 Torus fracture