DISTAL FEMUR FRACTURE
PRESENTOR -DR.SHARANPRASAD A H
MODERATOR – DR. SRIKANTH K
CHAIRPERSON – DR. ASHOK R NAYAK
Outline :
- Basic anatomy
- Introduction
- Type of fractures
- Clinical features
- Investigations
- Treatment
- Surgical techniques
- Complications
• The distal end is characterised by the presence of the medial and
lateral condyles, which articulate with the tibia and patella, forming
the knee joint.
• Medial and lateral condyles – Rounded areas at the end of the
femur. The posterior and inferior surfaces articulate with the tibia
and menisci of the knee, while the anterior surface articulates with
the patella.
• Medial and lateral epicondyles – Bony elevations on the non-
articular areas of the condyles. They are the area of attachment of
some muscles and the collateral ligaments of the knee joint.
Basic anatomy of femur
• Intercondylar fossa – A depression found on the posterior surface of
the femur, it lies in between the two condyles. It contains two facets
for attachment of internal knee ligaments.
• Facet for attachment of the posterior cruciate ligament – Found on
the medial wall of the intercondylar fossa, it is a large rounded flat
face, where the posterior cruciate ligament of the knee attaches.
• Facet for attachment of anterior cruciate ligament – Found on the
lateral wall of the intercondylar fossa, it is smaller than the facet on
the medial wall, and is where the anterior cruciate ligament of the
knee attaches.
Posterior view anterior view
Osteology :
• Distal femur becomes trapezoidal in cross section towards knee
• Medial condyle extends more distal than lateral
• Posterior halves of both condyles are posterior to posterior
cortex of femoral shaft
• Lateral cortex of femur slopes = 10 degrees, medial cortex
slopes = 25 degrees in axial plane
DYNAMIC FORCES AROUND DISTAL FEMUR
• Strong muscles in the front of your thigh (quadriceps) and back
of your thigh (hamstrings) support your knee joint and allow
you to bend and straighten your knee.
• The musculature of the thigh can be split into three sections; anterior,
medial and posterior.
• There are three major muscles in the anterior thigh – the pectineus,
sartorius and quadriceps femoris. In addition to these, the end of the
iliopsoas muscle passes into the anterior compartment.
• Anterior compartment , innervated by the femoral nerve (L2-L4), and
extend the leg at the knee joint.
• The muscles in the posterior compartment of the thigh are
collectively known as the hamstrings.
• As group, these muscles act to extend at the hip, and flex at the knee.
They are innervated by the sciatic nerve (L4-S3).
• The muscles in the medial compartment of the thigh are collectively
known as the hip adductors. There are five muscles in this group;
gracilis, obturator externus, adductor brevis, adductor longus and
adductor magnus.
• All the medial thigh muscles are innervated by the obturator nerve,
which arises from the lumbar plexus. Arterial supply is via the
obturator artery.
Introduction
Definition :
• Fractures of the thigh bone that occur
just above the knee joint are called
distal femur fractures.
• The distal femur is where the bone
flares out like an upside-down funnel.
Introduction
Epidemiology :
• Traditionally young patients but increasing in geriatric population
• Bimodal distribution: young, healthy males, elderly osteopenic
females
• Periprosthetic fractures becoming more common
MECHANISM
Axial loading with varus / valgus or rotational forces.
• young patients :
high energy with significant displacement such as from a car crash.
• older patients:
low energy, often fall from standing, in osteoporotic bone, usually with less
displacement
In both the elderly and the young, the breaks may extend into the knee joint
and may shatter the bone into many pieces.
• When the distal femur breaks, both the hamstrings and quadriceps
muscles tend to contract and shorten. When this happens the bone
fragments change position and become difficult to line up with a cast.
• gastrocnemius: extends distal fragment (apex posterior)
• adductor Magnus: leads to distal femoral Varus
ASSOCIATED INJURIES
HIGH ENERGY
CONCOMMITENT INJURY
SEQUELE OF PROBLEMS
DELAYED FIXATION
MORBIDITY AND COMPRIMISE THE GOAL OF TREATMENT
Types of fractures
Descriptive :
• Supracondylar
• Intercondylar
OTA :
A: Extra articular
B: Partial articular :
Portion of articular surface remains in continuity with shaft
C: Complete articular
Articular fragment separated from shaft
Clinical features
SYMPTOMS
• H/O TRAUMA
• PAIN
• Swelling and bruising
SIGNS
• Tenderness to touch
• Deformity
Investigations
X-ray :
- obtain standard AP
and Lateral view
CT :
• obtain with frontal and
sagittal reconstructions
Hoffa fracture
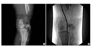
Angiography :
• Indicated when diminished distal pulses after gross alignment
restored
• Consider if associated with knee dislocation
Treatment
Non - Operative :
• Skeletal traction
• Casting and bracing for 6 weeks
INDICATION
- Non displaced fractures
- Non ambulatory patient
- Patient with significant comorbidities presenting unacceptably high
degree of surgical/anesthetic risk
Operative :
GOALS OF OPERATIVE TREATMENT
Anatomic reduction of the articular surface,
Restoration of limb alignment and length,
Stable internal fixation,
Rapid mobilisation and early functional rehabilitation of the knee.
1) EXTERNAL FIXATION
• Temporizing measure until soft tissues permit internal fixation, or
until patient is stable
• In this type of operation, metal pins or screws are placed into the
middle of the femur and tibia (shinbone). The pins and screws are
attached to a bar outside the skin. This device is a stabilizing frame
that holds the bones in the proper position until you are ready for
surgery.
• Precaution avoid pin placement in area of planned plate placement if
possible
2) ORIF :
Indications :
1- displaced fracture
2- intra-articular fracture
3- nonunion
Goals :
1- need anatomic reduction of joint
2- stable fixation of articular component to shaft to permit early
motion
3- preserve vascularity
Postoperative :
• Early ROM of knee important
• Non-weight bearing or toe touch weight-bearing for 6-8 weeks, up to
10-12 weeks if comminuted
• Quadriceps and hamstring strength exercises
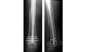
3) Retrograde IM nail :
Indications
• Good for supracondylar FRACTURE without significant comminution
• Preferred implant in osteoporotic bone
• Traditionally, 4 cm of intact distal femur needed but newer implants
with very distal interlocking options may decrease this number, can
perform independent screw stabilization of intercondylar component
of fracture around nail
Surgical Techniques
ORIF Approaches :
1) Anterolateral
• Fractures without articular involvement or with simple articular extension
• Incision from tibial tubercle to anterior 1/3 of distal femoral condyle
• Extend up midlateral femoral shaft as needed
• Minimally invasive plate osteosynthesis: small lateral incision, slide plate proximally, use
stab incisions for proximal screw placement
2) Lateral para patellar
• Fractures with complex articular extension
• Extend incision into quad tendon to evert patella
• Can be used for hoffa fracture
3) Medial para patellar
• Typical TKA (total knee arthroplasty ) approach
• Used for complex medial femoral condyle fractures
4) Medial/lateral posterior
• Used for very posterior hoffa fragment fixation
• Patient placed in prone position
• Midline incision over popliteal fossa
• Develop plane between medial and lateral gastrocnemius muscle .
• Capsulotomy to visualize fracture
Blade plate fixation :
• Indications
Not commonly used, technically difficult
Contraindicated in type C3 fractures
• Technique
Placed 1.5 cm from articular surface
Dynamic condylar screw placement :
• Indications
Identical to 95 degree angled blade plate
• Technique
Precise sagittal plane alignment is not necessary
Placed 2.0 cm from articular surface
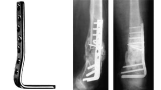
Locked Plate Fixation
• Indications:
Fixed-angle locked screws provide improved fixation in short distal
femoral block
• technique:
Lag screws with locked screws (hybrid construct)
Useful for intercondylar fractures (usually in conjunction with locked plate)
Useful for coronal plane fractures .
Helps obtain anatomic reduction of joint
Required in displaced articular fractures
- Prosthesis :
• Percutaneous lateral application can minimize soft tissue stripping
and obviate need for medial plate
• Potential to create too stiff a construct leading to nonunion or plate
failure
Retrograde interlocked IM nail:
Approach
Medial para patellar
1) no articular extension present :
• 2.5 cm incision parallel to medial aspect of patellar tendon
• Stay inferior to patella
• No attempt to visualize articular surface
2) articular extension present :
• Continue approach 2-8 cm cephalad
• Incise extensor mechanism 10 mm medial to patella
• Eversion of patella not typically necessary
• Need to stabilize articular segments prior to nail placement
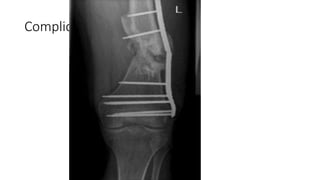
Complications
1) Malunions :
• Most commonly
associated with plating,
usually valgus
• Functional results
satisfactory if
malalignment is within 5
degrees in any plane
2) symptomatic hardware
• Lateral plate :
Pain with knee flexion/extension due to IT band contact with
plate
• Medial screw irritation :
Excessively long screws can irritate medial soft tissues
Determine appropriate intercondylar screw length by obtaining
an AP radiograph of the knee with the leg internally rotated 30
degrees
• In many cases, the devices
used to fix a fracture break
or loosen when the fracture
fails to heal.
3) nonunions :
• Up to 19%, most commonly in metaphyseal area, with articular
portion healed (comminution, bone loss and open fractures more
likely in metaphysis)
• Decreasing with less invasive techniques
• Treatment with revision ORIF and autograft indicated
• Consider changing fixation technique to improve biomechanics
Complications ( cont .. )
4) infection :
• Treat with debridement, culture-specific antibiotics, hardware
removal if fracture stability permits
5) implant failure :
• Up to 9%
• Titanium plates may be superior to stainless steel
THANK YOU

distalfemur-170720141254.pdf

  • 1.
    DISTAL FEMUR FRACTURE PRESENTOR-DR.SHARANPRASAD A H MODERATOR – DR. SRIKANTH K CHAIRPERSON – DR. ASHOK R NAYAK
  • 2.
    Outline : - Basicanatomy - Introduction - Type of fractures - Clinical features - Investigations - Treatment - Surgical techniques - Complications
  • 3.
    • The distalend is characterised by the presence of the medial and lateral condyles, which articulate with the tibia and patella, forming the knee joint. • Medial and lateral condyles – Rounded areas at the end of the femur. The posterior and inferior surfaces articulate with the tibia and menisci of the knee, while the anterior surface articulates with the patella. • Medial and lateral epicondyles – Bony elevations on the non- articular areas of the condyles. They are the area of attachment of some muscles and the collateral ligaments of the knee joint. Basic anatomy of femur
  • 4.
    • Intercondylar fossa– A depression found on the posterior surface of the femur, it lies in between the two condyles. It contains two facets for attachment of internal knee ligaments. • Facet for attachment of the posterior cruciate ligament – Found on the medial wall of the intercondylar fossa, it is a large rounded flat face, where the posterior cruciate ligament of the knee attaches. • Facet for attachment of anterior cruciate ligament – Found on the lateral wall of the intercondylar fossa, it is smaller than the facet on the medial wall, and is where the anterior cruciate ligament of the knee attaches.
  • 5.
  • 6.
    Osteology : • Distalfemur becomes trapezoidal in cross section towards knee • Medial condyle extends more distal than lateral • Posterior halves of both condyles are posterior to posterior cortex of femoral shaft • Lateral cortex of femur slopes = 10 degrees, medial cortex slopes = 25 degrees in axial plane
  • 8.
    DYNAMIC FORCES AROUNDDISTAL FEMUR • Strong muscles in the front of your thigh (quadriceps) and back of your thigh (hamstrings) support your knee joint and allow you to bend and straighten your knee.
  • 10.
    • The musculatureof the thigh can be split into three sections; anterior, medial and posterior. • There are three major muscles in the anterior thigh – the pectineus, sartorius and quadriceps femoris. In addition to these, the end of the iliopsoas muscle passes into the anterior compartment. • Anterior compartment , innervated by the femoral nerve (L2-L4), and extend the leg at the knee joint.
  • 12.
    • The musclesin the posterior compartment of the thigh are collectively known as the hamstrings. • As group, these muscles act to extend at the hip, and flex at the knee. They are innervated by the sciatic nerve (L4-S3).
  • 14.
    • The musclesin the medial compartment of the thigh are collectively known as the hip adductors. There are five muscles in this group; gracilis, obturator externus, adductor brevis, adductor longus and adductor magnus. • All the medial thigh muscles are innervated by the obturator nerve, which arises from the lumbar plexus. Arterial supply is via the obturator artery.
  • 16.
    Introduction Definition : • Fracturesof the thigh bone that occur just above the knee joint are called distal femur fractures. • The distal femur is where the bone flares out like an upside-down funnel.
  • 17.
    Introduction Epidemiology : • Traditionallyyoung patients but increasing in geriatric population • Bimodal distribution: young, healthy males, elderly osteopenic females • Periprosthetic fractures becoming more common
  • 18.
    MECHANISM Axial loading withvarus / valgus or rotational forces. • young patients : high energy with significant displacement such as from a car crash. • older patients: low energy, often fall from standing, in osteoporotic bone, usually with less displacement In both the elderly and the young, the breaks may extend into the knee joint and may shatter the bone into many pieces.
  • 19.
    • When thedistal femur breaks, both the hamstrings and quadriceps muscles tend to contract and shorten. When this happens the bone fragments change position and become difficult to line up with a cast. • gastrocnemius: extends distal fragment (apex posterior) • adductor Magnus: leads to distal femoral Varus
  • 21.
    ASSOCIATED INJURIES HIGH ENERGY CONCOMMITENTINJURY SEQUELE OF PROBLEMS DELAYED FIXATION MORBIDITY AND COMPRIMISE THE GOAL OF TREATMENT
  • 22.
    Types of fractures Descriptive: • Supracondylar • Intercondylar OTA : A: Extra articular B: Partial articular : Portion of articular surface remains in continuity with shaft C: Complete articular Articular fragment separated from shaft
  • 25.
    Clinical features SYMPTOMS • H/OTRAUMA • PAIN • Swelling and bruising SIGNS • Tenderness to touch • Deformity
  • 26.
    Investigations X-ray : - obtainstandard AP and Lateral view
  • 27.
    CT : • obtainwith frontal and sagittal reconstructions
  • 28.
  • 29.
    Angiography : • Indicatedwhen diminished distal pulses after gross alignment restored • Consider if associated with knee dislocation
  • 31.
    Treatment Non - Operative: • Skeletal traction • Casting and bracing for 6 weeks
  • 32.
    INDICATION - Non displacedfractures - Non ambulatory patient - Patient with significant comorbidities presenting unacceptably high degree of surgical/anesthetic risk
  • 33.
    Operative : GOALS OFOPERATIVE TREATMENT Anatomic reduction of the articular surface, Restoration of limb alignment and length, Stable internal fixation, Rapid mobilisation and early functional rehabilitation of the knee.
  • 34.
    1) EXTERNAL FIXATION •Temporizing measure until soft tissues permit internal fixation, or until patient is stable • In this type of operation, metal pins or screws are placed into the middle of the femur and tibia (shinbone). The pins and screws are attached to a bar outside the skin. This device is a stabilizing frame that holds the bones in the proper position until you are ready for surgery. • Precaution avoid pin placement in area of planned plate placement if possible
  • 36.
    2) ORIF : Indications: 1- displaced fracture 2- intra-articular fracture 3- nonunion Goals : 1- need anatomic reduction of joint 2- stable fixation of articular component to shaft to permit early motion 3- preserve vascularity
  • 37.
    Postoperative : • EarlyROM of knee important • Non-weight bearing or toe touch weight-bearing for 6-8 weeks, up to 10-12 weeks if comminuted • Quadriceps and hamstring strength exercises
  • 39.
    3) Retrograde IMnail : Indications • Good for supracondylar FRACTURE without significant comminution • Preferred implant in osteoporotic bone • Traditionally, 4 cm of intact distal femur needed but newer implants with very distal interlocking options may decrease this number, can perform independent screw stabilization of intercondylar component of fracture around nail
  • 40.
    Surgical Techniques ORIF Approaches: 1) Anterolateral • Fractures without articular involvement or with simple articular extension • Incision from tibial tubercle to anterior 1/3 of distal femoral condyle • Extend up midlateral femoral shaft as needed • Minimally invasive plate osteosynthesis: small lateral incision, slide plate proximally, use stab incisions for proximal screw placement 2) Lateral para patellar • Fractures with complex articular extension • Extend incision into quad tendon to evert patella • Can be used for hoffa fracture
  • 41.
    3) Medial parapatellar • Typical TKA (total knee arthroplasty ) approach • Used for complex medial femoral condyle fractures 4) Medial/lateral posterior • Used for very posterior hoffa fragment fixation • Patient placed in prone position • Midline incision over popliteal fossa • Develop plane between medial and lateral gastrocnemius muscle . • Capsulotomy to visualize fracture
  • 42.
    Blade plate fixation: • Indications Not commonly used, technically difficult Contraindicated in type C3 fractures • Technique Placed 1.5 cm from articular surface
  • 44.
    Dynamic condylar screwplacement : • Indications Identical to 95 degree angled blade plate • Technique Precise sagittal plane alignment is not necessary Placed 2.0 cm from articular surface
  • 46.
    Locked Plate Fixation •Indications: Fixed-angle locked screws provide improved fixation in short distal femoral block • technique: Lag screws with locked screws (hybrid construct) Useful for intercondylar fractures (usually in conjunction with locked plate) Useful for coronal plane fractures . Helps obtain anatomic reduction of joint Required in displaced articular fractures
  • 47.
    - Prosthesis : •Percutaneous lateral application can minimize soft tissue stripping and obviate need for medial plate • Potential to create too stiff a construct leading to nonunion or plate failure
  • 48.
    Retrograde interlocked IMnail: Approach Medial para patellar 1) no articular extension present : • 2.5 cm incision parallel to medial aspect of patellar tendon • Stay inferior to patella • No attempt to visualize articular surface 2) articular extension present : • Continue approach 2-8 cm cephalad • Incise extensor mechanism 10 mm medial to patella • Eversion of patella not typically necessary • Need to stabilize articular segments prior to nail placement
  • 50.
    Complications 1) Malunions : •Most commonly associated with plating, usually valgus • Functional results satisfactory if malalignment is within 5 degrees in any plane
  • 51.
    2) symptomatic hardware •Lateral plate : Pain with knee flexion/extension due to IT band contact with plate • Medial screw irritation : Excessively long screws can irritate medial soft tissues Determine appropriate intercondylar screw length by obtaining an AP radiograph of the knee with the leg internally rotated 30 degrees
  • 52.
    • In manycases, the devices used to fix a fracture break or loosen when the fracture fails to heal.
  • 53.
    3) nonunions : •Up to 19%, most commonly in metaphyseal area, with articular portion healed (comminution, bone loss and open fractures more likely in metaphysis) • Decreasing with less invasive techniques • Treatment with revision ORIF and autograft indicated • Consider changing fixation technique to improve biomechanics
  • 54.
  • 55.
    4) infection : •Treat with debridement, culture-specific antibiotics, hardware removal if fracture stability permits 5) implant failure : • Up to 9% • Titanium plates may be superior to stainless steel
  • 56.