STROKE
OR
CEREBROVASCULAR ACCIDENT
(CVA)
DEFINATION

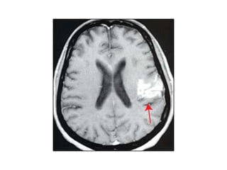
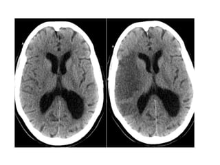
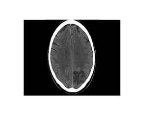
Stroke or brain attack is the sudden loss of neurological
function caused by an interruption of the blood flow to
the brain.
Classification:
 Ischemic stroke : is the most common type results
when a clot blocks or impairs blood
flow, depriving the brain of essential
oxygen and nutrients.
 Hemorrhagic stroke: occurs when blood vessels rupture,
causing leakage of blood in or
around the brain.
EPIDEMIOLOGY
• Third leading cause of death
• Most common cause of disability among
adults in U.S
• The incidence is about 1.25 times greater for
males then females M>F
• Compared to whites, African-Americans have
twice the risk of first ever stroke
ETIOLOGY
•
•
•
•
•
•
•
•

Atherosclerosis
Ischemic strokes
Cerebral thrombosis
Cerebral embolus
Intracerebral hemorrhage
Cerebral hemorrhage
Subarachnoid hemrrohage
Arteriovenous malformation (AVM)
RISK FACTORS
Modifiable:
• History of TIAs
• HTN
• Atrial fibrillation
• High RBC count
• Undesirable levels of blood cholestrol
• Heart disease
• Cigarette smoking
• Alcohol consumption
• Obesity
• DM
Non-modifiable:
•
•
•
•
•

Prior stroke
Age
Race
Gender
Family history of stroke
PATHOPHYSIOLOGY
Interruption of blod flow

Complete cerebral circulatory arrest
Irreversible cellular damage with core area of
Ischemic
Ischemic
focal infarction
cascade

penumbra

Release of excess neurotransmitters
(glutamate and aspartate)
Damage brain cells
TRANSIENT ISCHEMIC ATTACK (TIA)
• Temporary interruption of blood supply to the brain.

• Symptoms last for only a few minutes or for several
hours
• Not last longer then 24 hours
• No evidence of residual brain damage or permanent
neurological dysfunction
• Etiological factors: occlusive episodes, emboli,
reduced cerebral perfusion(arrhythmias, decreased
cardiac output, hypotension, overmedication with
antihypertensive medication or cerebrovascular spasm
WARNING SIGNS OF STROKE:
• Sudden numbness or weakness of the face, arm
or leg esp on one side of the body
• Sudden confusion, trouble speaking or
understanding

• Sudden trouble seeing in one or both eyes
• Sudden trouble walking, dizziness, loss of balance
or coordination
• Sudden, severe headaches with no known cause
ACA syndrome
ACA is the smaller terminal branch of the internal
carotid artery.
• Supplies:
• Medial aspect of cerebral hemisphere(frontal &
parietal lobes)
• Sub cortical structures BG ( anterior internal
capsule, inferior caudate nucleus, anterior 4/5th
of corpuscallosum)
Signs and symptoms :
•
•
•
•

Contra lateral hemi paresis (LE > UE)
Contra lateral hemi sensory loss (LE > UE )
Urinary incontinence
Problems with imitation and bimanual tasks,
apraxia
Structures involved :
• Primary motor area, medial aspect of cortex,
internal capsule
• primary sensory area
• Posteriomedial aspect of superior frontal gyrus
• corpus callosum
MCA syndrome
MCA is the second of the two main branches of the
internal carotid artery.
Supplies:

• Lateral aspect of cerebral hemisphere( frontal,
temporal, and parietal lobes )
• Subcortical structures (IC, corona radiata , globus
pallidus, putamen )
Signs and symptoms:
•
•
•
•
•
•

Contralateral hemiparesis (UL and face > LL)
Contralateral sensory loss (UL and face > LL)
Motor speech impairment
Receptive speech impairement
Global aphasia
Perceptual deficits (unilateral neglect, anosognosia,
apraxia and spatial disorganization)
• Contralateral homonymous hemianopsia
• Sensory ataxia
Structures involved :
Primary motor area, primary sensory area, broca’s area,
Wernicke’s area, optic radiation in internal capsule
PCA syndrome
PCA is the terminal branches of the basilar artery.
Supplies:
• Occipital lobe
• Medial & inferior temporal lobe
• Upper brainstem

• Most of thalamus
Signs and symptoms:
 Peripheral territory:
• Contralateral homonymous hemianopsia
• Visual object agnosia
• Prosopagnosia
• Dyslexia
• Memory defect
 Central territory:
• Post stroke (thalamic ) pain
• Sensory impairments
• Involuntary movements, intention tremor, hemiballismus
• Contralateral hemiplegia
• weber’s syndrome ( 3RD N. PALSY + CONTRALATERAL
HEMIPLEGIA)
Vertebrobasilar artery syndrome
1. Medial medullary syndrome( Dejerine
syndrome)
Signs and symptoms
• Ipsilateral: paralysis with atrophy of half tongue with
deviation to the paralyzed side when tongue is
protruded
• Contralateral:
 Paralysis of UE and LE
 Impaired tactile & proprioceptive sense(medial
lemniscus)
Structures involved
CN XII, corticospinal tract or medial lemniscus
2. Lateral medullary Syndrome (Wallenberg’s
syndrome):
Signs and symptoms
•





Ipsilateral:
Decreased pain & temp sensation over face(V n.)
Ataxia of limbs and gait
Vertigo, nausea, vomitting, nystagmus
Horner’s syndrome: miosis, ptosis, decreased
sweating(sympathetic tract)
 Dysphagia, hoarsness of voice, paralysis of vocal cord(IX, X n.)
 Sensory impairment of ipsilateral UE, trunk, or LE
• Contralateral :
Impaired pain and thermal sense over 50% of body

Structures involved
CN V, Cerebellum, vestibular nuclei, descending sympathetic tract,
CN IX
3. Complete basilar artery syndrome ( locked-in
syndrome )
Signs and symptoms
• Tetraplegia
• Bilateral cranial nerve palsy
• Coma
• Cognition is spared
Structures involved
• Corticospinal tracts bilaterally
• Long tracts to cranial nerve nuclei bilaterally
• Reticular activating system
4.Medial inferior pontine syndrome:
Signs and symptoms
• Ipsilateral:
 Nystagmus
 Ataxia of limb & gait
 Diplopia on lateral gaze(6th n.)
 Paralysis of conjugate gaze to side of lesion
• Contralateral:
 Paresis of face, UE and LE
 Impaired tactile & proprioceptive sense over 50 % of the body
Structures involved
 Vestibular connections, middle cerebellar peduncle, CN VI,
corticobulbar and corticospinal tract
5.Lateral inferior pontine syndrome:
Signs and symptoms
• Ipsilateral:
 Nystagmus,vertigo,nausea,vomitting (vest. N.)
 Facial paralysis(7th n.)
 Ataxia(cerebellar peduncle)
 Impaired sensation over face(5th n.)
• Contralateral:
 Impaired pain & thermal sense over half the
body(spinothalamic tract)
6. Medial midpontine syndrome
Signs and symptoms
• Ipsilateral:
 Ataxia of limb & gait (middle cerebellar peduncle)
• Contralateral:
 Paralysis of face,arm,leg(CST, corticobulbar tract)
 Deviation of eyes
7. Lateral midpontine syndrome
Signs and symptoms
• Ipsilateral:
 Ataxia of limbs( middle cerebellar peduncle)
 Paralysis of muscles of mastication( CN V)
 Impaired sensation over face(CN V )
8. Lateral superior pontine syndrome
Signs and symptoms
• Ipsilateral:
 Ataxia of limb & gait(middle cerebellar peduncle)
 Dizziness, nausea, vomiting, nystagmus( vest nuc)
 Horner’s syndrome( desc symp tract)
• Contralateral:
 Impaired pain, thermal sense (spinothalamic tract)
 Impaired touch, vibration & position sense(medial
lemniscus)
9.Medial superior pontine syndrome
Signs and symptoms
 Cerebellar ataxia( Sup and midd cerebellar peduncle )
 Paralysis of face, UE and LE( CST & CBT)
PRIMARY IMPAIRMENTS
1.
•
•
•
•
•

SENSATION
Rarely absent
Impaired
Most common distribution pattern: face-UL-LL
Proprioceptive losses common
Loss of superficial touch and pain and temp
sensation common
• Abnormal sensations such as numbness,
dysesthesias, or hyperesthesia
• Profound hemisensory loss
2. PAIN
• Ischemic stroke or hemorrhagic stroke result
severe headache and face pain.
• Post stroke thalamic pain characterised by :
• Constant, severe burning pain with intermittent
sharp pains.
• Paroxysmal spasms of pain may be triggered by
simply stroking , pin prick, heat or cold
3.
•
•
•

VISUAL CHANGES
Homonymous hemianopsia
Visual neglect
Forced gaze deviation
4. MOTOR FUNCTION
Stages of motor recovery
5. ALTERATIONS IN TONE
FLACCIDITY

SPASTICITY

• Spasticity stronger in:
Upper limb
• Scapular retractors
• Shoulder adductors,depressors,internal rotators
• Elbow flexors, forearm pronators
• Wrist & finger flexors
Lower limb
• Pelvic retractors
• Hip adductors, Internal rotators
• Knee extensors
• Ankle plantar flexors
• Toe flexors
6. ABNORMAL SYNERGY PATTERNS
7. ABNORMAL REFLEXES
• Hyporeflexia with flaccidity & hyperreflexia with
spasticity
• Primitive reflexes
• Associated reactions
8. ALTERED COORDINATION
9. ALTERED MOTOR PROGRAMMING
10. POSTURAL CONTROL AND BALANCE
• Ipsilateral pushing ( pusher syndrome )
Is an unusal motor behaviour characterised by
active pushing with the stronger extremities
toward the hemiparetic side, leading to a lateral
postural imbalance
11. Cognitive & perceptual disorders:
• Body scheme & body image disorders
• Spatial relation disorders
figure-ground dis
• Agnosias
form dis
• Apraxias
• anosognosia
• Hemineglect
• Memory, attention disorders
• Confabulations
• Dementia
• Delirium
12.Speech, language and swallowing
• Aphasia
• Fluent and non fluent aphasia
• Global aphasia
• Dysarthria
• Dysphagia
13. Emotional status
• Pseudobulbar affect
• Apathy
• Euphoria
• Depression
14. Bladder and bowel dysfunction
• Urinary incontinence
COMPLICATIONS AND INDIRECT
IMPAIRMENTS
 Musculoskeletal
• Contractures
• Disuse atrophy
• Muscle weakness
• Osteoporosis
 Neurological
• Seizures
• Hydrocephalus
 Cardiovascular / Pulmonary
• Thrombophlebitis / Deep vein thrombosis
• Cardiac function : impaired CO and serious rhythm
disorders
• Pulmonary function : decreased lung volume,
decreased pulmonary perfusion and vital capacity
THANK YOU

Stroke

  • 1.
  • 2.
    DEFINATION Stroke or brainattack is the sudden loss of neurological function caused by an interruption of the blood flow to the brain. Classification:  Ischemic stroke : is the most common type results when a clot blocks or impairs blood flow, depriving the brain of essential oxygen and nutrients.  Hemorrhagic stroke: occurs when blood vessels rupture, causing leakage of blood in or around the brain.
  • 7.
    EPIDEMIOLOGY • Third leadingcause of death • Most common cause of disability among adults in U.S • The incidence is about 1.25 times greater for males then females M>F • Compared to whites, African-Americans have twice the risk of first ever stroke
  • 8.
    ETIOLOGY • • • • • • • • Atherosclerosis Ischemic strokes Cerebral thrombosis Cerebralembolus Intracerebral hemorrhage Cerebral hemorrhage Subarachnoid hemrrohage Arteriovenous malformation (AVM)
  • 9.
    RISK FACTORS Modifiable: • Historyof TIAs • HTN • Atrial fibrillation • High RBC count • Undesirable levels of blood cholestrol • Heart disease • Cigarette smoking • Alcohol consumption • Obesity • DM
  • 10.
  • 11.
    PATHOPHYSIOLOGY Interruption of blodflow Complete cerebral circulatory arrest Irreversible cellular damage with core area of Ischemic Ischemic focal infarction cascade penumbra Release of excess neurotransmitters (glutamate and aspartate) Damage brain cells
  • 12.
    TRANSIENT ISCHEMIC ATTACK(TIA) • Temporary interruption of blood supply to the brain. • Symptoms last for only a few minutes or for several hours • Not last longer then 24 hours • No evidence of residual brain damage or permanent neurological dysfunction • Etiological factors: occlusive episodes, emboli, reduced cerebral perfusion(arrhythmias, decreased cardiac output, hypotension, overmedication with antihypertensive medication or cerebrovascular spasm
  • 13.
    WARNING SIGNS OFSTROKE: • Sudden numbness or weakness of the face, arm or leg esp on one side of the body • Sudden confusion, trouble speaking or understanding • Sudden trouble seeing in one or both eyes • Sudden trouble walking, dizziness, loss of balance or coordination • Sudden, severe headaches with no known cause
  • 14.
    ACA syndrome ACA isthe smaller terminal branch of the internal carotid artery. • Supplies: • Medial aspect of cerebral hemisphere(frontal & parietal lobes) • Sub cortical structures BG ( anterior internal capsule, inferior caudate nucleus, anterior 4/5th of corpuscallosum)
  • 18.
    Signs and symptoms: • • • • Contra lateral hemi paresis (LE > UE) Contra lateral hemi sensory loss (LE > UE ) Urinary incontinence Problems with imitation and bimanual tasks, apraxia Structures involved : • Primary motor area, medial aspect of cortex, internal capsule • primary sensory area • Posteriomedial aspect of superior frontal gyrus • corpus callosum
  • 19.
    MCA syndrome MCA isthe second of the two main branches of the internal carotid artery. Supplies: • Lateral aspect of cerebral hemisphere( frontal, temporal, and parietal lobes ) • Subcortical structures (IC, corona radiata , globus pallidus, putamen )
  • 22.
    Signs and symptoms: • • • • • • Contralateralhemiparesis (UL and face > LL) Contralateral sensory loss (UL and face > LL) Motor speech impairment Receptive speech impairement Global aphasia Perceptual deficits (unilateral neglect, anosognosia, apraxia and spatial disorganization) • Contralateral homonymous hemianopsia • Sensory ataxia Structures involved : Primary motor area, primary sensory area, broca’s area, Wernicke’s area, optic radiation in internal capsule
  • 23.
    PCA syndrome PCA isthe terminal branches of the basilar artery. Supplies: • Occipital lobe • Medial & inferior temporal lobe • Upper brainstem • Most of thalamus
  • 25.
    Signs and symptoms: Peripheral territory: • Contralateral homonymous hemianopsia • Visual object agnosia • Prosopagnosia • Dyslexia • Memory defect  Central territory: • Post stroke (thalamic ) pain • Sensory impairments • Involuntary movements, intention tremor, hemiballismus • Contralateral hemiplegia • weber’s syndrome ( 3RD N. PALSY + CONTRALATERAL HEMIPLEGIA)
  • 26.
    Vertebrobasilar artery syndrome 1.Medial medullary syndrome( Dejerine syndrome) Signs and symptoms • Ipsilateral: paralysis with atrophy of half tongue with deviation to the paralyzed side when tongue is protruded • Contralateral:  Paralysis of UE and LE  Impaired tactile & proprioceptive sense(medial lemniscus) Structures involved CN XII, corticospinal tract or medial lemniscus
  • 28.
    2. Lateral medullarySyndrome (Wallenberg’s syndrome): Signs and symptoms •     Ipsilateral: Decreased pain & temp sensation over face(V n.) Ataxia of limbs and gait Vertigo, nausea, vomitting, nystagmus Horner’s syndrome: miosis, ptosis, decreased sweating(sympathetic tract)  Dysphagia, hoarsness of voice, paralysis of vocal cord(IX, X n.)  Sensory impairment of ipsilateral UE, trunk, or LE • Contralateral : Impaired pain and thermal sense over 50% of body Structures involved CN V, Cerebellum, vestibular nuclei, descending sympathetic tract, CN IX
  • 29.
    3. Complete basilarartery syndrome ( locked-in syndrome ) Signs and symptoms • Tetraplegia • Bilateral cranial nerve palsy • Coma • Cognition is spared Structures involved • Corticospinal tracts bilaterally • Long tracts to cranial nerve nuclei bilaterally • Reticular activating system
  • 30.
    4.Medial inferior pontinesyndrome: Signs and symptoms • Ipsilateral:  Nystagmus  Ataxia of limb & gait  Diplopia on lateral gaze(6th n.)  Paralysis of conjugate gaze to side of lesion • Contralateral:  Paresis of face, UE and LE  Impaired tactile & proprioceptive sense over 50 % of the body Structures involved  Vestibular connections, middle cerebellar peduncle, CN VI, corticobulbar and corticospinal tract
  • 32.
    5.Lateral inferior pontinesyndrome: Signs and symptoms • Ipsilateral:  Nystagmus,vertigo,nausea,vomitting (vest. N.)  Facial paralysis(7th n.)  Ataxia(cerebellar peduncle)  Impaired sensation over face(5th n.) • Contralateral:  Impaired pain & thermal sense over half the body(spinothalamic tract)
  • 33.
    6. Medial midpontinesyndrome Signs and symptoms • Ipsilateral:  Ataxia of limb & gait (middle cerebellar peduncle) • Contralateral:  Paralysis of face,arm,leg(CST, corticobulbar tract)  Deviation of eyes 7. Lateral midpontine syndrome Signs and symptoms • Ipsilateral:  Ataxia of limbs( middle cerebellar peduncle)  Paralysis of muscles of mastication( CN V)  Impaired sensation over face(CN V )
  • 35.
    8. Lateral superiorpontine syndrome Signs and symptoms • Ipsilateral:  Ataxia of limb & gait(middle cerebellar peduncle)  Dizziness, nausea, vomiting, nystagmus( vest nuc)  Horner’s syndrome( desc symp tract) • Contralateral:  Impaired pain, thermal sense (spinothalamic tract)  Impaired touch, vibration & position sense(medial lemniscus) 9.Medial superior pontine syndrome Signs and symptoms  Cerebellar ataxia( Sup and midd cerebellar peduncle )  Paralysis of face, UE and LE( CST & CBT)
  • 37.
    PRIMARY IMPAIRMENTS 1. • • • • • SENSATION Rarely absent Impaired Mostcommon distribution pattern: face-UL-LL Proprioceptive losses common Loss of superficial touch and pain and temp sensation common • Abnormal sensations such as numbness, dysesthesias, or hyperesthesia • Profound hemisensory loss
  • 38.
    2. PAIN • Ischemicstroke or hemorrhagic stroke result severe headache and face pain. • Post stroke thalamic pain characterised by : • Constant, severe burning pain with intermittent sharp pains. • Paroxysmal spasms of pain may be triggered by simply stroking , pin prick, heat or cold 3. • • • VISUAL CHANGES Homonymous hemianopsia Visual neglect Forced gaze deviation
  • 39.
    4. MOTOR FUNCTION Stagesof motor recovery
  • 40.
    5. ALTERATIONS INTONE FLACCIDITY SPASTICITY • Spasticity stronger in: Upper limb • Scapular retractors • Shoulder adductors,depressors,internal rotators • Elbow flexors, forearm pronators • Wrist & finger flexors Lower limb • Pelvic retractors • Hip adductors, Internal rotators • Knee extensors • Ankle plantar flexors • Toe flexors
  • 41.
  • 42.
    7. ABNORMAL REFLEXES •Hyporeflexia with flaccidity & hyperreflexia with spasticity • Primitive reflexes • Associated reactions 8. ALTERED COORDINATION 9. ALTERED MOTOR PROGRAMMING 10. POSTURAL CONTROL AND BALANCE • Ipsilateral pushing ( pusher syndrome ) Is an unusal motor behaviour characterised by active pushing with the stronger extremities toward the hemiparetic side, leading to a lateral postural imbalance
  • 43.
    11. Cognitive &perceptual disorders: • Body scheme & body image disorders • Spatial relation disorders figure-ground dis • Agnosias form dis • Apraxias • anosognosia • Hemineglect • Memory, attention disorders • Confabulations • Dementia • Delirium
  • 44.
    12.Speech, language andswallowing • Aphasia • Fluent and non fluent aphasia • Global aphasia • Dysarthria • Dysphagia 13. Emotional status • Pseudobulbar affect • Apathy • Euphoria • Depression 14. Bladder and bowel dysfunction • Urinary incontinence
  • 46.
    COMPLICATIONS AND INDIRECT IMPAIRMENTS Musculoskeletal • Contractures • Disuse atrophy • Muscle weakness • Osteoporosis  Neurological • Seizures • Hydrocephalus  Cardiovascular / Pulmonary • Thrombophlebitis / Deep vein thrombosis • Cardiac function : impaired CO and serious rhythm disorders • Pulmonary function : decreased lung volume, decreased pulmonary perfusion and vital capacity
  • 47.