STROKE &
CEREBROVASCULAR
ACCIDENT
MOHD HANAFI RAMLEE
Definition
• Transient Ischaemic Attack (TIA) – an acute focal
neurological deficit resulting from cerebrovascular
disease with resolution of signs and symptoms
within 24 hours.
• Reversible Ischaemic Neurological Deficit (RIND) –
attack lasting longer than 24 hours but with
complete clearance of signs and symptoms within 7
days.
• Completed Stroke – neurological deficit lasts longer
than 7 days.
HOW YOU GIVE THE
DIAGNOSIS?
• The diagnosis should provide answers to the following
questions:
• 1. What is the neurological deficit?
• 2. Where is the lesion?
• 3. What is the lesion?
• 4. Why has the lesion occurred?
• 5. What are the potential complications and prognosis?
What Artery Involved?
• Aphasia (dominant hemisphere)
• Hemiparesis / plegia
• Hemisensory loss/disturbance
• Homonymous hemianopia
• Parietal lobe dysfunction, e.g. astereognosis, agraphaesthesia,
impaired two-point discrimination, sensory and visual
inattention, left-right dissociation and acalculia
What Artery Involved?
• Weakness of lower limb more than upper limb
What Artery Involved?
• Homonymous hemianopia
• Cortical blindness
• Ataxia
• Dizziness or vertigo
• Dysarthria
• Diplopia
• Dysphagia
• Horner’s syndrome
• Hemiparesis or hemisensory loss contralateral to the cranial
nerves palsy
• Cerebellar signs
SO… BASIC IS
IMPORTANT!!!!!!!!
Brain Blood Supply Features:
• High oxygen requirement.
• Brain 2% of body weight - 15% of cardiac output
• 20% of total body oxygen.
• Continuous oxygen requirement
• Few minutes of ischemia - irreversible injury.
• Neurons - Predominantly aerobic.
• Sensitive areas:
• Adults -Hippocampus,
3,5th & 6th layer of cortex,
Purkinje cells.
Border zone (watershed areas)
• Brain stem nuclei in infants.
Anatomy – Stroke.
Brodman’s Cortical Map:
Frontal[f*ck–motor]Lobe Functions:
• High level cognitive functions. i.e reasoning, abstraction,
concentration
• Storage of information – memory
• Control of voluntary eye movement
• Motor control of speech in the dominant hemisphere.
• Motor Cortex – Motor control of the contralateral side of
the body
• Urinary continence
• Emotion and personality
Parietal[p-sx–sensory]Lobe Functions:
• Sensory cortex – sensory input is interpreted to define
size, weight, texture and consistency (contralateral)
• Sensation is localised, and modalities of touch, pressure
and position are identified.
• Awareness of the parts of body
• Non-dominant – processes visuospatial information and
• controls spatial orientation
• Dominant is involved in ideomotor praxis (ability to
perform learned motor tasks
Temporal[t-telinga]Lobe Functions:
• Primary auditory receptive areas
• In dominant ability to comprehend speech
(wernicke’s) – reception
• Interpretive area – area at the junction of the
temporal, parietal and occipital lobes.
• Plays an important role in visual, auditory and
olfactory perception
• Important role in learning; memory and
emotional affect.
Occipital[O-optic]Lobe Functions:
• Primary visual cortex
• Visual association areas
• Visual perception
• Some visual reflexes (i.e. visual
fixation)
• Involuntary smooth eye movement
Diencephalon Functions:
• Brain Stem:
• Midbrain, Pons & Medulla
• 10 of the 12 ranial nerves arise from the brainstem
(ipsilateral signs)
• Cortical pathway decussation contralateral signs.
• Some major functions: eye movement, swallowing,
breathing, blood pressure, heat beat, consciousness
• Cerebellum:
• movement – Balance & coordination
Motor & Sensory Cortex:
Diencephalon & Brain stem:
Cranial Nerves:
Stroke Types:
• Clinical
• Transient Ischemic Attack –TIA resolve <24h
• Evolving stroke – increasing >24h. – Thromb.
• Recurrent / multiple stroke – sec. factors.
• Completed stroke – no change… embolic.
• Pathological
• Focal / Global
• Ischemic & hemorrhagic (chronic/acute)
• Venous infarcts. (young, infections)
Common Types and Incidence:
• Infarction: Incidence 80% - mortality 20%
• 50% - Thrombotic – atherosclerosis
• Large-vessel 30% (carotid, middle cerebral)
• Small vessel 20% (lacunar stroke)
• 30% Embolic (heart dis / atherosclerosis)
• Young, rapid, extensive.
• Venous thromboembolism (rare)
• Hemorrhage: Incidence 20% - mortality 80%
• Berry aneurysm, Microaneurysm, Atheroma.
• Intracerebral or subarachnoid.
Stroke location and incidence:
Cause %
Clinical
presentation
30day
mort(%) Pathogenesis
Cerebral
infarction
85 Slowly / sudden
evolving signs and
symptoms
15-45 Cerebral
hypoperfusion
Embolism
Thrombosis
Intracerebral
hemaemorrha
ge
10 Sudden onset of
stroke with raised
intracranial
pressure
80 Rupture of micro-
aneurysm or arteriole
Subarachnoid
haemorrhage
5 Sudden headache
with meningism
45 Rupture of saccular
aneurysm on circle of
Willis
Clinical Categories:
• Global Ischemia.
• Hypoxemic encephalopathy
• Hypotension, hypoxemia, anemia.
• Focal Ischemia.
• Obstruction to blood supply to focal
area.
• Thrombosis, embolism or hemorrhage.
GLOBAL ISCHAEMIA
Global Ischemia:
• Etiology:
• Impaired blood supply - Lung & Heart disorders.
• Impaired O2 carrying – Anemia/Blood dis.
• Impaired O2 utilization – Cyanide poisoning.
• Morphology:
• 3rd, 5th and 6th layers of the cortex, hippocampus and in the
Purkinje cells in the cerebellum
• Laminar necrosis, Hippocampus, Purkinje cells.
• Border zone infarcts – “Watershed”
• Sickle shaped band of necrosis on cortex.
• Clinical Features:
• Mild transient confusion state to
• Severe irreversible brain death. Flat EEG, Vegetative state. Coma.
Morphology in Global Ischemia
1. Watershed zone
(Acute - ACA-MCA)
2. Laminar necrosis -
(chronic- short penetrating
arteries)
3. Sommer sector of
hippocampus.
4. Purkinje cells of
cerebellum.
Watershed/Boundary zone infarcts:
Carotid thrombosis
Lamellar necrosis in global ischemia.
Chronic
Local infarction:
Cell death ~
6min
central infarct
area or umbra,
surrounded by
a penumbra of
ischemic tissue
that may
recover
Infarct Pathogenesis:
• Reduced blood supply – hypoxia/anoxia.
• Altered metabolism  Na/K pump block.
• Glutamate receptor act.  calcium influx.
• ischemic injury – Red neuron, vacuolation.
• cell death, karyorrhexis.
• Inflammation – edema.
• Macrophages - > 5d.
• Liquifaction cavity – >1wk
• Glial proliferation – >1wk. (astrocytes)
Hours
1-day
3-day
1 wk.
>4wk
Infarct Stages:
• Immediate – <24 hours
• No Change gross, micro  Na/K loss, Ca+ influx.
• Acute stage – < 1week
• Oedema, loss of grey/white matter border.
• Inflammation, Red neurons, necrosis, neutrophils
• Intermediate stage – 1- 4 weeks.
• Clear demarcation, soft friable tissue, cysts
• Macrophages, liquifactive necrosis
• Late stage – > 4 weeks.
• Removal of tissue by macrophages
• Fluid filled cysts with dark grey margin (gliosis)
• Gliosis – proliferation of glia at periphery.
FOCAL ISCHAEMIA
Brain Stem Stroke:CommonPattern
• Pure Motor - Weakness of face and limbs on one side of the
body without abnormalities of higher brain function,
sensation, or vision (MCA/ACA)
• Pure Sensory - Decreased sensation of face and limbs on one
side of the body without abnormalities of higher brain
function, motor function, or vision (PCA).
MCA [mostcommon]Features:
• Paralysis of the contralateral
face, arm and leg
• Sensory impairment over the
contralateral face, arm & leg
• Homonymous hemi or
quadrantonopia
• Paralysis of gaze to the
opposite side
• Aphasia (dominant) and
dysarthria [broca/wernicke]
• Penetrating - contralateral
hemiplegia/paresis, slurred
speech.
• Impaired spatial perception
MCA stroke.
MCA stroke.
Wikipedia: GNU Free Documentation license
MCA stroke.
Wikipedia: GNU Free Documentation license
ACA stroke.
• Paralysis of contralateral foot and
leg
• Sensory loss over toes, foot and
leg
• Impairment of gait and stance
• Abulia (slowness and prolonged
delays to perform acts)
• Flat affect, lack of spontaneity,
slowness, distractibility
• Cognitive impairment, such as
perseveration and amnesia
• Urinary incontinence
Wikipedia: GNU Free Documentation license
PCA stroke.
Peripheral (cortical)
• Homonymous hemianopia
• Memory deficits
• Perseveration
• Several visual deficits (cortical blindness,
lack of depth perception, hallucinations)
Central (penetrating)
• Thalamus - contralateral sensory loss,
spontaneous pain, mild hemi
• Cerebral peduncle - CN III palsy with
contralateral hemiplegia
• Brain stem - CN palsies, nystagmus,
pupillary abnormalities
Wikipedia: GNU Free Documentation license
Posterior Cerebral Artery
• Visual disturbances
• contralateral homonymous
hemianopsia
• (central vision is often spared)
• L. Hemi: lesions alexia
• (with or without agraphia)
• Bilateral lesions: cortical
blindness
• patients unaware they cannot see
• (Anton's syndrome)
• Memory impairment if temporal
lobe is affected ~
• Proximal occlusion
• contralateral hemisensory
loss,
• spontaneous pain and
dysesthesia if thalamus
affected
• (thalamic pain syndrome)
• contralateral severe proximal
chorea
• (hemiballism) ~
Haemorrhagic - Arterial embolus
Embolic stroke: sudden, pin point hemorrhages over a triangular area.
Infarct with Punctate hemorrhage
Cerebral Infarction - Late
Cerebral Infarction - Late
Hypertensive CVD
• Intraerebral/Subarachnoid Hemorrhage
• Microaneurysm hemorrhages – Basal ganglia.
Putamen(60%), thalamus, ventricles.
• Berry aneurysm hemorrhages – subarachnoid.
• Chronic Hypertension: (dementia)
• Slit hemorrhages. Microhemorrhages heal as slit with
pigment.
• Lacunar infarcts: Brain stem - pale infarcts. A.sclerosis
• Hypertensive encephalopathy-Malignant.
• Headache, confusion, vomiting – Raised ICP.
Central PontineHemorrhage- Herniation
Subarachnoid Hemorrhage:
Ruptured Berry Aneurism
Fusiform
atherosclerotic
aneurysm
Saccular(berry) Aneurysm:
Intracerebral Hemorrhage:
Lacunar Infarct in pons
Left(Dominant)HemisphereStroke:Clinical
• Aphasia
• Right hemiparesis
• Right-sided sensory loss
• Right visual field defect
• Poor right conjugate gaze
• Dysarthria
• Difficulty reading, writing, or
calculating
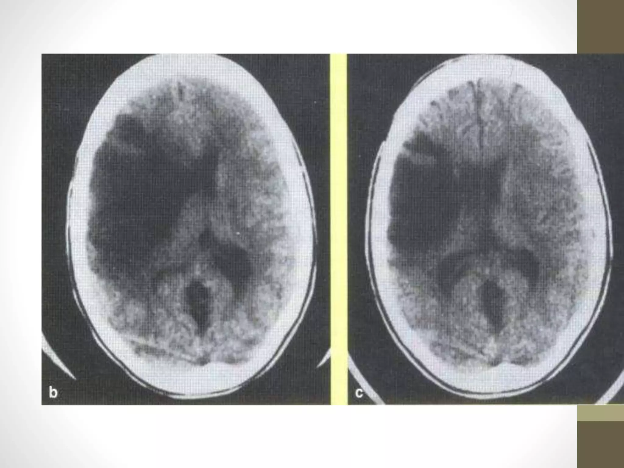
Diagnosis: Recent cerebral infarction in left MCA distribution.
Left cerebral hemisphere shows swelling with compression of the lateral ventricle
mainly in the frontal area, due to recent infarct in the Middle Cerebral Artery (MCA)
distribution. The brain in the MCA area shows discoloration of the cortex and also
blurring between the cortex and white matter.
Right(Non-dominant)-HemisphereStroke:
• Defect of left visual field
• Extinction of left-sided
stimuli
• Left hemiparesis
• Left-sided sensory loss
• Left visual field defect
• Poor left conjugate gaze
• Dysarthria
• Spatial disorientation
CNS AV Malformations:
• Many types:
• AV Malformation *
• Cavernous angioma
• Telangiectasia
• Venous angioma
• Cause of Seizure disorders
& hemorrhage.
• Most common congenital
vascular malformation.
• Typically located in the
outer cerebral cortex
underlying white matter.
Pathological Review:
• Stroke: Ischemic / Thrombotic / Hemorrhagic
• Acute neurological deficit - Clinical
• Cerebro Vascular Accident – Pathology.
• Etiology: Thrombosis, Embolism, Hemorrhage.
• Risk factors: AS, Hypertension, Smoking.
• Global – Systemic Hypoxia – Watershed & lamellar infarct
• Focal – Basal ganglia, Putamen, Int. capsule (MCA)
• Pathogenesis: Infarction  Liquifaction necrosis  Cyst formation
with peripheral gliosis. (loss of neural function)
• Hypertension & CVA:
• Atherosclerosis - Thrombosis
• Haemorrhage (Intra/subarachnoid),
• chronic benign: Lacunar infarcts & slit hemorrhages.
• Hypertensive Encephalopathy,
Stroke – Risk Factors
• Modifiable
• Hypertension
• Tobacco use
• Excess Alcohol
• Hx of TIA’s
• Heart Disease
• Diabetes Mellitus
• Hypercoagulopathy
• Pregnancy, cancer, etc.
• Sickle Cell and
increased RBC
• Hx of carotid Bruit
• Unmodifiable
• Age
• Gender
• Race
• Previous CVA
• Heredity
Stroke – Signs and Symptoms
• Ischemic
• Carotid Circulation
• Unilateral paralysis (opposite side)
• Numbness (opposite side)
• Language disturbance
• Aphasia – difficult comprehension, nonsense, difficult reading/writing
• Dysarthria – slurred speech, abnormal pronunciation.
• Visual disturbance (opposite side)
• Monocular blindness (same side)
Stroke – Signs and Symptoms
• Ischemic
• Vertebrobasilar Circulation
• Vertigo
• Visual disturbance
• Both eyes simultaneously
• Diplopia
• Ocular palsy – inability to move to one side
• Dysconjugate gaze – asynchronous movement
• Paralysis
• Numbness
• Dysarthria
• Ataxia
Stroke – Signs and Symptoms
• Hemorrhagic
• Subarachnoid hemorrhage
• Sudden severe HA
• Transient LOC
• Nausea/Vomiting
• Neck pain
• Intolerance of noise/light
• AMS
• Intracerebral hemorrhage
• Focal sx w/ LOC, N/V
History
• Detailed history from relative or friend or patient if he is able
to speak.
• Rapidity of onset – sudden onset of a focal neurological
deficit.
• Time course of symptoms – maximum deficit over seconds or
minutes before starting to improve.
• Headache, coma at onset and vomiting at onset are more
common in haemorrhage but also occur with infarction.
• Sudden onset of severe generalised headache associated with
neck stiffness – subarachnoid haemorrhage.
• Specific record should be made about the presence of vascular
risk factors.
Examination
General Examination
• BP – should be taken in both arms.
• Stroke may cause an acute rise in BP and therefore
hypertension should not be diagnosed in the first few days
after a stroke unless left ventricular hypertrophy of fundal
changes are present.
• Pulse – for arrhythmias particularly atrial fibrillation.
• Peripheral pulses.
• Auscultation for a carotid bruit.
• Heart – for valvular heart disease especially mitral stenosis.
• Neck stiffness – subarachnoid haemorrhage or meningitis.
• Identify the anatomical localization of the lesion and record
the degree of disability.
OXFORDSHIRE COMMUNITY STROKE
PROJECT CLASSIFICATION
OCSP
Causes of ischaemic stroke
Causes of ischaemic stroke 2
Causes of ischaemic stroke 3
Causes of intracranial
haemorrhage
Subarachnoid haemorrhage
• Initial headache or coma – sudden rise in intracranial pressure.
• Focal symptoms if aneurysm ruptures into underlying brain.
• Cerebral vasospasm causes delayed cerebral infarction 4-14
days after onset in 30% of patients.
• Recurrent haemorrhage and hydrocephalus are other
complications.
Intracerebral Haemorrhage
• Sudden rupture of microaneurysms caused by hypertensive
vascular disease.
• Characteristically occurs in the basal ganglia, pons and
cerebellum.
• Elderly patients – cerebral amyloid angiopathy, a degenerative
disorder affecting the walls of the artey – subcortical
haematomas.
• Cryptic av malformations are suspect especially in younger
patients < 40 yrs and when the haemotoma is Lobar (frontal,
temporal, parieto-occipital).
Investigations
Confirm the diagnosis
CT Scan
 To establish the site, size and pathological diagnosis by
showing infarction or haemorrhage.
 To exclude other conditions that may mimic stroke like
subdural haematoma, intracranial tumour.
(a) There is doubt about the diagnosis.
(b) Symptoms progress or fluctuate.
(c) Conscious level is depressed or patient is in coma.
(d) If thrombolytic therapy or anticoagulant treatment is
considered.
(e) Neck stiffness is present.
(f) Has severe headache.
(g) Deteriorates unexpectedly.
(h) Haemorrhage can be seen within a few minutes as an area of
increased attenuation.
(i) Infarction as a low density lesion which conforms to a
vascular territory usually wedge shaped.
(j) It is not immediately visible on CT but in most patients
becomes apparent in 4-7 days.
Y CT Scan?
MRI Scan
• Posterior circulation strokes are more readily identified than
by CT.
General Investigations
• identify conditions which may predispose towards premature
cerebrovasculardisease.
• Full blood count – polycythemia, thrombocytopoenia.
• Blood glucose – diabetes mellitus.
• Serum lipids – hypercholesterolemia.
• Blood cultures – SBE.
General Investigations II
• HIV screen – AIDS.
• Syphilis serology – VDRL.
• Clotting Screen.
• Thrombophilia Screen – Protein C, Protein S, Antithrombin III.
• Anticardolipin antibodies – SLE.
• Lumbar Puncture – subarachnoid haemorrhage.
DD Stroke
• Differential Diagnosis of Stroke
• Head/Cervical trauma
• Meningitis/encephalitis
• Hypertensive encephalopathy
• Intracranial mass
• Tumor
• Sub/epi dural hematoma
• Todd’s paralysis
• Migraine w/ neuro sx
• Metabolic
• Hyper/hypo glycemia
• Post arrest ischemia
• Drug OD
Differential Diagnosis
• Space occupying lesion
• 5% of people with stroke like symptoms have a subdural
haematoma, tumour or cerebral abscess.
• Distinction is readily made on CT or MRI.
• If there is any doubt repeat the scan after 6 weeks.
Differential Diagnosis II
• Multiple sclerosis
• May present with hemiparesis, sensory impairment or
brainstem symptoms that mimic stroke.
• Symptoms occur gradually over a few days.
• Hypoglycaemia
• May cause hemiparesis.
• Migraine
Complications I
• Cerebral oedema
•Should be suspected in a patient
with a large infarct or haemorrhage
experiences a lucid interval of 24-48
hours and then shows a decline in
consciousness.
Complication II
• Haemorrhagic transformation
• Can occur as a result of thrombolysis.
• Pneumonia
• In patients with swallowing difficulties as a result of aspiration.
• Pressure sores
• Develop rapidly and may be exacerbated because of
incontinence.
• Oedema of Weak Limbs
• Is common and has a partially autonomic basis.
Complication III
• Anxiety and Depression
• Common reactions to stroke but
depression may have an organic basis
related to damage of the frontal and
limbic systems.
• Emotional Lability
• Precipitated by minor emotional stimuli.
Management I
• Has the following aims
• Confirmation of the diagnosis,
anatomical site of the lesion, pathology
and aetiology.
• Acute care.
• Rehabilitation of persistent disability
and handicap.
• Prevention of recurrence.
Management II
Acute Care
Treatment aims
• Prevent progression of present event.
• Prevent immediate complication.
• Prevent the development of subsequent events.
• To rehabilitate the patient.
Management III
General Measures
• Around the edge of the infarct, ischaemic tissue is at risk, but is
potentially recoverable.
• This must be protected by ensuring a good supply of glucose
and oxygen.
• Maintain hydration, oxygenation and blood pressure.
Specific Measures
MedicalTreatment
Anticoagulation
• Patient with high risk of developing deep vein
thrombosis.
• Thromboembolic stroke - started as soon as
possible, except in large infarcts where it may
be wise to delay anticoagulation for 2 weeks.
• Stroke in a patient with myocardial infarct -
due to mural thrombus.
• Stroke in evolution.
Exclude a haemorrhage by doing a CT scan first.
Medical Treatment II
Antiplatelet Agents
• Especially in TIA.
Thrombolysis
• I/V thrombolysis espcially recombinant tissue plasminogen
activator rTPA to be given only within the first 3 hours after
onset to those patients who have not developed CT
abnormalities especially in patients with basilar artery
occlusion.
• Risk – haemorrhage.
Hypertension
• Treated cautiously in acute stroke.
• A reduction in blood pressure may lower cerebral blood flow in
the regions surrounding the infarct below a critical level at
which further ischaemic brain damage will occur.
• Mild to moderate elevations in BP – no treatment unless they
are maintained for several days after admission.
• If stroke associated with hypertensive encephalopathy or if
diastolic BP is persistently above 120 mm Hg.
• The BP should be lowered cautiously using oral agents.
• Sudden precipitious fall in BP should be avoided.
Hypertension II
Medical Treatment
CalciumAntagonist
• Nimodipine prevents ischaemic brain damage and reduces
the number of patients remaining disabled after
subarachnoid haemorrhage.
• Prescribed as soon as diagnosis is made (within 12 hours).
Neurosurgery
• Should be considered in subaracnoid and intracerebral
haemorrhage.
• Evacuation of cerebellar haematoma.
• Evacuation of supratentorial haematomas should only be
considered in younger patients with superficial cortical
haematomas causing mass effect with a deteriorating level of
conciousness.
Nursing Care and
Rehabilitation
• Physiotherapy, proper positioning and early mobilization –
prevent pressure sores.
• Support stockings – prevent deep vein thrombosis and
pulmonary embolism.
• Swallowing difficulties.
• Lead to silent aspiration – aspiration pneuomonia.
•Nasogastric tube feeding.
• Percutanious endoscopic gastrostomy.
Rehabilitation
• Physiotherapy, occupational therapy, speech therapy and
psychology input – multidisciplinary stroke rehabilitation
team.
• Home visit by occupational therapist to plan adaptations to
home before discharge.
Secondary Preventation
• Control hypertension and diabetes mellitus.
• Correct lipid abnormality.
• Stop cigarette smoking.
• Stop thrombogenic drugs e.g. oral contraceptives.
• Give platlet antiaggregation drugs to reduce the rate of
reinfarction.
• Low dose aspirin (75 mg – 150 mg), if
patient allergic or has gastrointestinal
side effects give ticlopidine. Regular
blood tests because of a small risk of
neutropoenia.
• Remove or treat embolic source (long term anticoagulation in
atrial fibrillation).
• Treat inflammatory or vascular inflammatory diseases.
Secondary Preventation II
• Carotid Endarterectomy – preventing stroke in symptomatic
patients with recent TIA and stroke and severe stenosis of the
internal carotid artery (at least 70%).
Secondary Preventation III
Chain of Survival Stroke
• Stroke Chain of Survival
• Detection
• Early sx recognition
• Dispatch
• Prompt EMS response
• Delivery
• Transport, approp, prehospital care, prearrival notification
• Door
• ER Triage
• Data
• ER evaluation incl, CT, etc.
• Decision
• Appropriate therapies
• Drug/Therapy
Detect & Dispatch
• Detection: Early Recognition
• Public education of Stroke sx
• Early access to medical care
• Dispatch: Early EMS and PDI’s
• Caller triage
• EMD recognition of Stroke sx
How to detect?
• Delivery:
• Pre-hospital Transport and
Management
How we scale the pre-
hospital management of the
patient?
CINCINNATI STROKE SCALE
CINCINNATI STROKE SCALE
• Identifies patients with strokes.
• It evaluates three major physical
findings.
•Facial droop
•Motor arm weakness
•Speech abnormalities
CSS - Facial Droop
• Have the patient show their teeth or
smile.
• Normal – both sides of the face move
equally well
• Abnormal – one side of the face does
not move as well as the other side
Arm Drift
• Have the patient close his/her eyes and
hold both arms out.
• Normal – both arms move the same way,
or both arms do not move at all.
• Abnormal – one arm does not move or
one arm drifts down compared to the
other arm.
Other findings such as pronator grip, may
be helpful
Speech
• Have the patient say “You can’t teach
an old dog new tricks.” –
“Perlambagaan Malaysia”
• Normal – patient uses correct words
with no slurring.
• Abnormal – patient slurs words, uses
inappropriate words, or is unable to
speak
“You can’t teach an old
dog new tricks.”
Cincinnati Prehospital
Stroke Scale
• Patients with 1 of these 3 findings -as a
new event - have a 72% probability of an
ischemic stroke.
• If all 3 findings are present the probability
of an acute stroke is more than 85%
• Immediately contact medical control and
the destination ED and provide prearrival
notification.
Stroke – Management
In Review:
Prehospital Critical Actions
• Assess and support cardiorespiratory function
• Assess and support blood glucose
• Assess and support oxygenation and ventilation
• Assess neurologic function
• Determine precise time of symptom onset
• Determine essential medical information
• Provide rapid emergent transport to ED
• Notify ED that a possible stroke patient is en route
Stroke - Management
• Door: ER Triage
• Stroke evaluation targets for stroke patients who are thrombolytic
candidates
Door-to–doctor first sees patient …….………… 10 min
Door-to–CT completed …….………………….. 25 min
Door-to–CT read ...…………..………………… 45 min
Door-to–fibrinolytic therapy starts …………….. 60 min
Neurologic expertise available* …..…………… 15 min
Neurosurgical expertise available* …………… 2 hours
Admitted to monitored bed ..……...…………… 3 hours
*By phone or in person
Stroke - Management
• Data: ER Evaluation and Management
• Assessment Goal: in first 10 minutes
• Assess ABCs, vital signs
• Provide oxygen by nasal cannula
• Obtain IV access; obtain blood samples (CBC, ’lytes, coagulation
studies)
• Obtain 12-lead ECG, check rhythm, place on monitor
• Check blood sugar; treat if indicated
• Alert Stroke Team: neurologist, radiologist, CT technician
• Perform general neurologic screening assessment
Stroke - Management
Assessment Goal: in first 25 minutes
• Review patient history
• Establish symptom onset (<6 hours required for fibrinolytics)
• Perform physical examination
• Perform neurologic exam
• Determine level of consciousness (Glasgow Coma Scale)
• Determine level of stroke severity (NIHSS or Hunt and Hess Scale)
• Order urgent non-contrast CT scan/angiogram if non-hemorrhage
(door-to–CT scan performed: goal <25 min from arrival)
• Read CT scan (door-to–CT read: goal <45 min from arrival)
• Perform lateral cervical spine x-ray (if patient comatose/trauma
history)
Stroke - Management
• ER Diagnostic Studies
• CT scan – done w/in 25 mins, read w/in 45 mins
• r/o hemorrhage
• Often normal early in ischemic stroke
• Lumbar puncture
• EKG
• Changes may be caused by or cause of stroke
• MRA (Magnetic Resonance Angiography)
• Cerebral Angiography
Hypodense area:
• Ischemic area with
edema, swelling
• Indicates >3 hours old
• No fibrinolytics!
(White areas indicate
hyperdensity = blood)
Large left frontal
intracerebral
hemorrhage.
Intraventricular
bleeding
is also present
No fibrinolytics!
Acute
subarachnoid
hemorrhage
Diffuse areas of white
(hyperdense) images
Blood visible in
ventricles
and multiple areas on
surface of brain
Stroke - Management
• Decision: Specific Therapies
• General Care
• ABC’s, O2
• IV w/ BSS
• Treat hypotension
• Avoid over-hydration
• Monitor input/output
• Normalize BGL
• Manage Elevated BP?
Stroke - Management
• Indications for Antihypertensive therapy
In general:
• Consider: absolute level of BP?
• If BP: >185/>110 mm Hg = fibrinolytic therapy contraindicated
• Consider: other than BP, is patient candidate for fibrinolytics?
• If patient is candidate for fibrinolytics: treat initial
BP >185/>110 mm Hg
• Consider: response to initial efforts to lower BP in ED?
• If treatment brings BP down to <185/110 mm Hg: give fibrinolytics
• Consider: ischemic vs hemorrhagic stroke?
• Treat BP in the 180-230/110-140 mm Hg range the same
• The obvious: no fibrinolytics for hemorrhagic stroke
Stroke - Management
• Decision: Specific Therapies (cont.)
• Management of Seizures
• Benzodiazepines
• Long-acting anticonvulsants
• Management of Increased ICP
• Maintain PaCO2 30mm Hg
• Mannitol/Diuretics
• Barbiturates
• Neurosurgical decompression
Stroke - Management
• Drugs: Thrombolytic Therapy
• Fibrinolytic Therapy Checklist Ischemic Stroke
Candidates for Neurointerventional Therapy
 Age 18 years or older
 Acute signs and symptoms of CVA <6 hours onset.
 No contraindications.
Stroke - Management
Contraindications for Interventional Therapy
Absolute
 Evidence of intracranial hemorrhage on non-contrast head CT
 Patient with early infarct signs on CT scan.
Relative
 Recent (w/in 2 mo’s) cranial or spinal surgery, trauma, or injury
 Known bleeding disorder and/or risk of bleeding including:
- Current anticoagulant therapy, prothrombin time >15 sec.
- Heparin within 48 hrs of admission, PTT elevated
- Platelet count <100,000/mm
 Active internal bleeding w/in the previous 10 days
 Known or suspected pregnancy
 History of stroke w/in past 6 weeks
Stroke - Management
Contraindications for Interventional Therapy (cont.)
Relative
 Patient comatose
 >85 years old
 Diabetic hemorrhagic retinopathy or other opthalmic
hemorrhagic disorder
 Advanced liver or kidney disease
 Other pathology with a propensity for bleeding
 Infectiouse endocarditis
 Severe EKG disturbance, uncontrolled angina or acute MI
Stroke - Management
• Thrombolytic Agents
• TPA
• NINDS trial
• Streptokinase
• VEGGIE trial
• Anticoagulant Therapy
• Heparin
• ASA/Warfarin/Ticlodipine
Stroke - Management
• Management of Hemorrhagic Stroke
• Subarachnoid
• Neurosurgical intervention
• Nimodipine
• Intracerebral
• Management of ICP
• Neurosurgical decompression
• Cerebellar
• Surgical evacuation
• Often associated with good outcome
• Lobar
• Surgical evacuation
14
1
THE END
If they come to you
with stroke, what
investigation what
you like to do?
QUIZ ON
STROKE
MOHD HANAFI RAMLEE
ANSWER
GILIR2 TAU
QUESTION 1
On the history of a patient with suspected or known stroke, what
should you ask about?
ANSWER 1
 Ask about the presenting symptoms of stroke
initially, for example
1. Unilateral weakness or clumsiness
2. Difficulty understanding or expressing spoken
language
3. Altered sensation unilaterally
4. Partial or complete loss of vision in one eye
ANSWER 1
 Questions to focus on the causes of stroke
1. Atherosclerosis, e.g. enquire about vascular risk factors (smoking,
DM, hyperlipids, PVDs, etc…)
2. History of heart disease, e.g. recent myocardial infarction, history
of AF requiring anticoagulation, palpitations
3. History of hypertension (lacunar infarcts due to arteriosclerosis of
small penetrating arteries of the brain)
4. Migraine
5. Manipulation of neck (precipitating cause for dissection of carotid
artery or vertebral artery)
6. Any recent cessation of anticoagulation
7. Family history of stroke
8. History of connective tissue disease (e.g. SLE, vasculitis, etc…)
ANSWER 1
1. History of connective tissue disease (e.g. SLE, vasculitis, etc…)
 Medication history, esp. those that increase risk of stroke include
oral contraceptives, some antihypertensives
 Ask about alcohol consumption and recent falls (may have caused
an intracranial haemorrhage)
 Enquire about premorbid as well as the current level of
independence and mobility
 If patient is incapacitated, ask about social support available at
home
 Don’t forget to screen for depression
QUESTION 2
On examination, what features should you be looking for?
ANSWER 2
A complete examination of the neurological and cardiovascular systems is essential
 Check the fundi for evidence of emboli, hypertensive changes, diabetic changes
and ischaemic neuropathy
 Test the visual fields for homonymous hemianopia
 Listen for bruit over the carotids and orbits (commonly heard in the side
opposite the carotid occlusion, due to increased contralateral flow)
 Decide whether patient is in AF
 Assess BP and test for postural drop
 Listen for murmurs (e.g. AS, infective endocarditis, rheumatic heart disease or
prosthetic valve)
 Note presence of electronic pace maker and assess whether it’s working
 Perform peripheral vascular examination
 Look for complications, e.g. pressure sores, limb contractures and disuse
atrophy of the paralysed limbs
 See if patient has a percutaneous gastrostomy (PEG) feeding tube inserted and,
if present, inspect for cellulitis or pus around the insertion site
QUESTION 3
What clinical features are suggestive of a carotid arterial stroke?
ANSWER 3
 Transient aphasia
 Ipsilateral amaurosis fugax
 Contralateral hemiplegia/monoplegia
 Contralateral hemi or monoparesis
 Carotid bruits (a/w >50% stenosis)
QUESTION 4
What clinical features are suggestive of vertebrobasilar insufficiency?
ANSWER 4
All the Ds
 Dizziness (vertigo and ataxia)
 Diplopia +/- blindness
 Dysphagia
 Dysarthria
 ‘Demi-anaesthesia’ – ipsilateral face, contralateral limb
 Quadraparesis – indicates basilar artery involvement
QUESTION 5
What clinical features are suggestive of a middle cerebral artery
stroke?
ANSWER 5
 Contralateral hemiplegia, hemiparesis, homonymous hemianopia
 UMN face, arm > leg, eyes deviated to side of lesion
 Aphasia (if dominant lobe)
1. Expressive dysphasia, arm + leg involvement – anterior MCA
2. Receptive dysphasia, visual fields defects – posterior MCA
 If non-dominant – speech + comprehension intact
QUESTION 6
What clinical features are suggestive of a posterior cerebral artery
stroke?
ANSWER 6
 Homonymous hemianopia (complete)
 Cortical blindness
 Hemisensory loss
 Ipsilateral III nerve palsy
QUESTION 7
What clinical features are suggestive of an anterior cerebral artery
stroke?
ANSWER 7
 Contralateral monoplegia (UMN)
 Confusion, behaviour disturbance
 Grasp reflex
 Urinary incontinence
QUESTION 8
What clinical features are suggestive of a lacunar syndrome?
ANSWER 8
 Clumsy hand/dysarthria syndrome – lesion in mid pons
 Leg paresis + ataxia – pons or internal capsule
 Pure sensory stroke – usually thalamic
 Pure motor stroke (arm>leg) - pons or internal capsule
QUESTION 9
What investigations would you perform in a stroke patient? – MAINLY
TO DIAGNOSE ANY STROKE….
ANSWER 9
CT or MRI of the head, looking for ischaemic infarcts, haemorrhage, or
mass lesions
QUESTION 10
What investigations would you perform in a stroke patient? MAINLY
TO FIND THE CAUSE OF STROKE
ANSWER 10
 Doppler scan of the carotid arteries – if duplex scan suggest
significant carotid stenosis, esp. in patients <75, ask for results of
carotid angiography, carotid digital substraction angiography or MR
angiography
 If patient is in AF, ask for results of transoesophageal echo, looking
for thrombus or spontaneous atheromatous plaques in ascending
aorta and arch of aorta that may have contributed to stroke
 ECG for AMI and AF
 FBE, looking at Hb (to exclude polycythemia) and platelet count
(rarely, essential thrombocytopenia can contribute to stroke)
 ESR (to exclude an inflammatory arteritic/vasculitic process
 CXR (for cardiomegaly/neoplasm)
 Urea, creatinine and electrolytes
QUESTION 11
What investigations would you perform in a stroke patient?
MAINLY IN YOUNGER PATIENT?
QUESTION 11
 Drug screen, looking for narcotic agents
 Vasculitic screen (if there are features of vasculitis)
 Blood cultures and cardiac imaging if endocarditis is suspected
 Cardiac event monitor looking for paroxysmal AF and
 Thrombophilic screen
WHAT 3 SPECIFIC STRATEGIES IN THE
MANAGEMENT OF ACUTE STROKE THAT HAVE
BEEN PROVEN TO IMPROVE OUTCOMES?
The 3 main strategies are
 Administration of iv tissue plasminogen activator (tPA) within 3hrs
of stroke onset
 Giving aspirin (100mg) within first 48hrs of ischaemic stroke
 Managing patient in a stroke unit
Note that tPA and aspirin are never given before brain imaging to
exclude intracranial haemorrhage
WHAT ARE THE STRATEGIES FOR
SECONDARY PREVENTION OF
STROKE?
There are now at least 4 early strategies for secondary prevention in
improving long term outcomes after TIAs or stoke
 Antiplatelet therapy, e.g. aspirin, clopidogrel, aspirin with
dipyridamole
 Blood pressure lowering
 Warfarin (indicated for patients with AF)
 Carotid endarterectomy (indicated when stenosis >70%)
 Lipids lowering is the fifth strategy to consider
A PATIENT JUST HAD A STROKE, WHAT
CRITERIA DO YOU LOOK FOR TO SELECT THIS
PATIENT FOR REHAB.
1. Patients must be medically stable (i.e. no aspiration pneumonia,
AMI, DVT, etc…)
2. They have a functional disability
3. They have the intellectual capability to learn
4. There are defined goals to be achieved
5. There are non or minimal co-morbidities, e.g. recurrent stroke,
AMI, COAD, etc…
6. They are not clinically depressed (this can affect motivation to
rehabilitate)
7. They didn’t suffer from a dense stroke or ones that causes hemi-
neglect (e.g. a right hemisphere stroke)
WHAT ARE SOME OF THE COMMON
PREDICTORS OF POOR FUNCTIONAL
OUTCOME AFTER A STROKE?
 A dense stroke, a recurrent stroke, or a stroke resulting in hemi-
neglect
 Impairment of bladder and bowel function
 Depression or cognitive deficits
 Delayed acute medical care or delayed rehabilitation
 Co-morbidities and poor social support

Stroke [uncensored] - by MHR Corporation

  • 1.
  • 2.
    Definition • Transient IschaemicAttack (TIA) – an acute focal neurological deficit resulting from cerebrovascular disease with resolution of signs and symptoms within 24 hours. • Reversible Ischaemic Neurological Deficit (RIND) – attack lasting longer than 24 hours but with complete clearance of signs and symptoms within 7 days. • Completed Stroke – neurological deficit lasts longer than 7 days.
  • 3.
    HOW YOU GIVETHE DIAGNOSIS? • The diagnosis should provide answers to the following questions: • 1. What is the neurological deficit? • 2. Where is the lesion? • 3. What is the lesion? • 4. Why has the lesion occurred? • 5. What are the potential complications and prognosis?
  • 4.
    What Artery Involved? •Aphasia (dominant hemisphere) • Hemiparesis / plegia • Hemisensory loss/disturbance • Homonymous hemianopia • Parietal lobe dysfunction, e.g. astereognosis, agraphaesthesia, impaired two-point discrimination, sensory and visual inattention, left-right dissociation and acalculia
  • 5.
    What Artery Involved? •Weakness of lower limb more than upper limb
  • 6.
    What Artery Involved? •Homonymous hemianopia • Cortical blindness • Ataxia • Dizziness or vertigo • Dysarthria • Diplopia • Dysphagia • Horner’s syndrome • Hemiparesis or hemisensory loss contralateral to the cranial nerves palsy • Cerebellar signs
  • 7.
  • 8.
    Brain Blood SupplyFeatures: • High oxygen requirement. • Brain 2% of body weight - 15% of cardiac output • 20% of total body oxygen. • Continuous oxygen requirement • Few minutes of ischemia - irreversible injury. • Neurons - Predominantly aerobic. • Sensitive areas: • Adults -Hippocampus, 3,5th & 6th layer of cortex, Purkinje cells. Border zone (watershed areas) • Brain stem nuclei in infants.
  • 9.
  • 10.
  • 11.
    Frontal[f*ck–motor]Lobe Functions: • Highlevel cognitive functions. i.e reasoning, abstraction, concentration • Storage of information – memory • Control of voluntary eye movement • Motor control of speech in the dominant hemisphere. • Motor Cortex – Motor control of the contralateral side of the body • Urinary continence • Emotion and personality
  • 12.
    Parietal[p-sx–sensory]Lobe Functions: • Sensorycortex – sensory input is interpreted to define size, weight, texture and consistency (contralateral) • Sensation is localised, and modalities of touch, pressure and position are identified. • Awareness of the parts of body • Non-dominant – processes visuospatial information and • controls spatial orientation • Dominant is involved in ideomotor praxis (ability to perform learned motor tasks
  • 13.
    Temporal[t-telinga]Lobe Functions: • Primaryauditory receptive areas • In dominant ability to comprehend speech (wernicke’s) – reception • Interpretive area – area at the junction of the temporal, parietal and occipital lobes. • Plays an important role in visual, auditory and olfactory perception • Important role in learning; memory and emotional affect.
  • 14.
    Occipital[O-optic]Lobe Functions: • Primaryvisual cortex • Visual association areas • Visual perception • Some visual reflexes (i.e. visual fixation) • Involuntary smooth eye movement
  • 15.
    Diencephalon Functions: • BrainStem: • Midbrain, Pons & Medulla • 10 of the 12 ranial nerves arise from the brainstem (ipsilateral signs) • Cortical pathway decussation contralateral signs. • Some major functions: eye movement, swallowing, breathing, blood pressure, heat beat, consciousness • Cerebellum: • movement – Balance & coordination
  • 16.
  • 17.
  • 18.
  • 19.
    Stroke Types: • Clinical •Transient Ischemic Attack –TIA resolve <24h • Evolving stroke – increasing >24h. – Thromb. • Recurrent / multiple stroke – sec. factors. • Completed stroke – no change… embolic. • Pathological • Focal / Global • Ischemic & hemorrhagic (chronic/acute) • Venous infarcts. (young, infections)
  • 20.
    Common Types andIncidence: • Infarction: Incidence 80% - mortality 20% • 50% - Thrombotic – atherosclerosis • Large-vessel 30% (carotid, middle cerebral) • Small vessel 20% (lacunar stroke) • 30% Embolic (heart dis / atherosclerosis) • Young, rapid, extensive. • Venous thromboembolism (rare) • Hemorrhage: Incidence 20% - mortality 80% • Berry aneurysm, Microaneurysm, Atheroma. • Intracerebral or subarachnoid.
  • 21.
    Stroke location andincidence: Cause % Clinical presentation 30day mort(%) Pathogenesis Cerebral infarction 85 Slowly / sudden evolving signs and symptoms 15-45 Cerebral hypoperfusion Embolism Thrombosis Intracerebral hemaemorrha ge 10 Sudden onset of stroke with raised intracranial pressure 80 Rupture of micro- aneurysm or arteriole Subarachnoid haemorrhage 5 Sudden headache with meningism 45 Rupture of saccular aneurysm on circle of Willis
  • 22.
    Clinical Categories: • GlobalIschemia. • Hypoxemic encephalopathy • Hypotension, hypoxemia, anemia. • Focal Ischemia. • Obstruction to blood supply to focal area. • Thrombosis, embolism or hemorrhage.
  • 23.
  • 24.
    Global Ischemia: • Etiology: •Impaired blood supply - Lung & Heart disorders. • Impaired O2 carrying – Anemia/Blood dis. • Impaired O2 utilization – Cyanide poisoning. • Morphology: • 3rd, 5th and 6th layers of the cortex, hippocampus and in the Purkinje cells in the cerebellum • Laminar necrosis, Hippocampus, Purkinje cells. • Border zone infarcts – “Watershed” • Sickle shaped band of necrosis on cortex. • Clinical Features: • Mild transient confusion state to • Severe irreversible brain death. Flat EEG, Vegetative state. Coma.
  • 25.
    Morphology in GlobalIschemia 1. Watershed zone (Acute - ACA-MCA) 2. Laminar necrosis - (chronic- short penetrating arteries) 3. Sommer sector of hippocampus. 4. Purkinje cells of cerebellum.
  • 26.
  • 27.
    Lamellar necrosis inglobal ischemia. Chronic
  • 28.
    Local infarction: Cell death~ 6min central infarct area or umbra, surrounded by a penumbra of ischemic tissue that may recover
  • 29.
    Infarct Pathogenesis: • Reducedblood supply – hypoxia/anoxia. • Altered metabolism  Na/K pump block. • Glutamate receptor act.  calcium influx. • ischemic injury – Red neuron, vacuolation. • cell death, karyorrhexis. • Inflammation – edema. • Macrophages - > 5d. • Liquifaction cavity – >1wk • Glial proliferation – >1wk. (astrocytes) Hours 1-day 3-day 1 wk. >4wk
  • 30.
    Infarct Stages: • Immediate– <24 hours • No Change gross, micro  Na/K loss, Ca+ influx. • Acute stage – < 1week • Oedema, loss of grey/white matter border. • Inflammation, Red neurons, necrosis, neutrophils • Intermediate stage – 1- 4 weeks. • Clear demarcation, soft friable tissue, cysts • Macrophages, liquifactive necrosis • Late stage – > 4 weeks. • Removal of tissue by macrophages • Fluid filled cysts with dark grey margin (gliosis) • Gliosis – proliferation of glia at periphery.
  • 31.
  • 32.
    Brain Stem Stroke:CommonPattern •Pure Motor - Weakness of face and limbs on one side of the body without abnormalities of higher brain function, sensation, or vision (MCA/ACA) • Pure Sensory - Decreased sensation of face and limbs on one side of the body without abnormalities of higher brain function, motor function, or vision (PCA).
  • 34.
    MCA [mostcommon]Features: • Paralysisof the contralateral face, arm and leg • Sensory impairment over the contralateral face, arm & leg • Homonymous hemi or quadrantonopia • Paralysis of gaze to the opposite side • Aphasia (dominant) and dysarthria [broca/wernicke] • Penetrating - contralateral hemiplegia/paresis, slurred speech. • Impaired spatial perception
  • 35.
  • 37.
    MCA stroke. Wikipedia: GNUFree Documentation license
  • 38.
    MCA stroke. Wikipedia: GNUFree Documentation license
  • 39.
    ACA stroke. • Paralysisof contralateral foot and leg • Sensory loss over toes, foot and leg • Impairment of gait and stance • Abulia (slowness and prolonged delays to perform acts) • Flat affect, lack of spontaneity, slowness, distractibility • Cognitive impairment, such as perseveration and amnesia • Urinary incontinence Wikipedia: GNU Free Documentation license
  • 41.
    PCA stroke. Peripheral (cortical) •Homonymous hemianopia • Memory deficits • Perseveration • Several visual deficits (cortical blindness, lack of depth perception, hallucinations) Central (penetrating) • Thalamus - contralateral sensory loss, spontaneous pain, mild hemi • Cerebral peduncle - CN III palsy with contralateral hemiplegia • Brain stem - CN palsies, nystagmus, pupillary abnormalities Wikipedia: GNU Free Documentation license
  • 42.
    Posterior Cerebral Artery •Visual disturbances • contralateral homonymous hemianopsia • (central vision is often spared) • L. Hemi: lesions alexia • (with or without agraphia) • Bilateral lesions: cortical blindness • patients unaware they cannot see • (Anton's syndrome) • Memory impairment if temporal lobe is affected ~ • Proximal occlusion • contralateral hemisensory loss, • spontaneous pain and dysesthesia if thalamus affected • (thalamic pain syndrome) • contralateral severe proximal chorea • (hemiballism) ~
  • 45.
    Haemorrhagic - Arterialembolus Embolic stroke: sudden, pin point hemorrhages over a triangular area.
  • 46.
  • 47.
  • 48.
  • 49.
    Hypertensive CVD • Intraerebral/SubarachnoidHemorrhage • Microaneurysm hemorrhages – Basal ganglia. Putamen(60%), thalamus, ventricles. • Berry aneurysm hemorrhages – subarachnoid. • Chronic Hypertension: (dementia) • Slit hemorrhages. Microhemorrhages heal as slit with pigment. • Lacunar infarcts: Brain stem - pale infarcts. A.sclerosis • Hypertensive encephalopathy-Malignant. • Headache, confusion, vomiting – Raised ICP.
  • 51.
  • 52.
  • 53.
  • 54.
  • 55.
  • 58.
  • 59.
  • 60.
    Left(Dominant)HemisphereStroke:Clinical • Aphasia • Righthemiparesis • Right-sided sensory loss • Right visual field defect • Poor right conjugate gaze • Dysarthria • Difficulty reading, writing, or calculating Diagnosis: Recent cerebral infarction in left MCA distribution. Left cerebral hemisphere shows swelling with compression of the lateral ventricle mainly in the frontal area, due to recent infarct in the Middle Cerebral Artery (MCA) distribution. The brain in the MCA area shows discoloration of the cortex and also blurring between the cortex and white matter.
  • 61.
    Right(Non-dominant)-HemisphereStroke: • Defect ofleft visual field • Extinction of left-sided stimuli • Left hemiparesis • Left-sided sensory loss • Left visual field defect • Poor left conjugate gaze • Dysarthria • Spatial disorientation
  • 62.
    CNS AV Malformations: •Many types: • AV Malformation * • Cavernous angioma • Telangiectasia • Venous angioma • Cause of Seizure disorders & hemorrhage. • Most common congenital vascular malformation. • Typically located in the outer cerebral cortex underlying white matter.
  • 64.
    Pathological Review: • Stroke:Ischemic / Thrombotic / Hemorrhagic • Acute neurological deficit - Clinical • Cerebro Vascular Accident – Pathology. • Etiology: Thrombosis, Embolism, Hemorrhage. • Risk factors: AS, Hypertension, Smoking. • Global – Systemic Hypoxia – Watershed & lamellar infarct • Focal – Basal ganglia, Putamen, Int. capsule (MCA) • Pathogenesis: Infarction  Liquifaction necrosis  Cyst formation with peripheral gliosis. (loss of neural function) • Hypertension & CVA: • Atherosclerosis - Thrombosis • Haemorrhage (Intra/subarachnoid), • chronic benign: Lacunar infarcts & slit hemorrhages. • Hypertensive Encephalopathy,
  • 65.
    Stroke – RiskFactors • Modifiable • Hypertension • Tobacco use • Excess Alcohol • Hx of TIA’s • Heart Disease • Diabetes Mellitus • Hypercoagulopathy • Pregnancy, cancer, etc. • Sickle Cell and increased RBC • Hx of carotid Bruit • Unmodifiable • Age • Gender • Race • Previous CVA • Heredity
  • 67.
    Stroke – Signsand Symptoms • Ischemic • Carotid Circulation • Unilateral paralysis (opposite side) • Numbness (opposite side) • Language disturbance • Aphasia – difficult comprehension, nonsense, difficult reading/writing • Dysarthria – slurred speech, abnormal pronunciation. • Visual disturbance (opposite side) • Monocular blindness (same side)
  • 68.
    Stroke – Signsand Symptoms • Ischemic • Vertebrobasilar Circulation • Vertigo • Visual disturbance • Both eyes simultaneously • Diplopia • Ocular palsy – inability to move to one side • Dysconjugate gaze – asynchronous movement • Paralysis • Numbness • Dysarthria • Ataxia
  • 69.
    Stroke – Signsand Symptoms • Hemorrhagic • Subarachnoid hemorrhage • Sudden severe HA • Transient LOC • Nausea/Vomiting • Neck pain • Intolerance of noise/light • AMS • Intracerebral hemorrhage • Focal sx w/ LOC, N/V
  • 70.
    History • Detailed historyfrom relative or friend or patient if he is able to speak. • Rapidity of onset – sudden onset of a focal neurological deficit. • Time course of symptoms – maximum deficit over seconds or minutes before starting to improve. • Headache, coma at onset and vomiting at onset are more common in haemorrhage but also occur with infarction. • Sudden onset of severe generalised headache associated with neck stiffness – subarachnoid haemorrhage. • Specific record should be made about the presence of vascular risk factors.
  • 71.
    Examination General Examination • BP– should be taken in both arms. • Stroke may cause an acute rise in BP and therefore hypertension should not be diagnosed in the first few days after a stroke unless left ventricular hypertrophy of fundal changes are present. • Pulse – for arrhythmias particularly atrial fibrillation. • Peripheral pulses. • Auscultation for a carotid bruit. • Heart – for valvular heart disease especially mitral stenosis. • Neck stiffness – subarachnoid haemorrhage or meningitis. • Identify the anatomical localization of the lesion and record the degree of disability.
  • 72.
  • 76.
  • 77.
  • 78.
  • 79.
  • 80.
    Subarachnoid haemorrhage • Initialheadache or coma – sudden rise in intracranial pressure. • Focal symptoms if aneurysm ruptures into underlying brain. • Cerebral vasospasm causes delayed cerebral infarction 4-14 days after onset in 30% of patients. • Recurrent haemorrhage and hydrocephalus are other complications.
  • 81.
    Intracerebral Haemorrhage • Suddenrupture of microaneurysms caused by hypertensive vascular disease. • Characteristically occurs in the basal ganglia, pons and cerebellum. • Elderly patients – cerebral amyloid angiopathy, a degenerative disorder affecting the walls of the artey – subcortical haematomas. • Cryptic av malformations are suspect especially in younger patients < 40 yrs and when the haemotoma is Lobar (frontal, temporal, parieto-occipital).
  • 82.
    Investigations Confirm the diagnosis CTScan  To establish the site, size and pathological diagnosis by showing infarction or haemorrhage.  To exclude other conditions that may mimic stroke like subdural haematoma, intracranial tumour.
  • 83.
    (a) There isdoubt about the diagnosis. (b) Symptoms progress or fluctuate. (c) Conscious level is depressed or patient is in coma. (d) If thrombolytic therapy or anticoagulant treatment is considered. (e) Neck stiffness is present. (f) Has severe headache. (g) Deteriorates unexpectedly. (h) Haemorrhage can be seen within a few minutes as an area of increased attenuation. (i) Infarction as a low density lesion which conforms to a vascular territory usually wedge shaped. (j) It is not immediately visible on CT but in most patients becomes apparent in 4-7 days. Y CT Scan?
  • 87.
    MRI Scan • Posteriorcirculation strokes are more readily identified than by CT.
  • 88.
    General Investigations • identifyconditions which may predispose towards premature cerebrovasculardisease. • Full blood count – polycythemia, thrombocytopoenia. • Blood glucose – diabetes mellitus. • Serum lipids – hypercholesterolemia. • Blood cultures – SBE.
  • 89.
    General Investigations II •HIV screen – AIDS. • Syphilis serology – VDRL. • Clotting Screen. • Thrombophilia Screen – Protein C, Protein S, Antithrombin III. • Anticardolipin antibodies – SLE. • Lumbar Puncture – subarachnoid haemorrhage.
  • 90.
    DD Stroke • DifferentialDiagnosis of Stroke • Head/Cervical trauma • Meningitis/encephalitis • Hypertensive encephalopathy • Intracranial mass • Tumor • Sub/epi dural hematoma • Todd’s paralysis • Migraine w/ neuro sx • Metabolic • Hyper/hypo glycemia • Post arrest ischemia • Drug OD
  • 91.
    Differential Diagnosis • Spaceoccupying lesion • 5% of people with stroke like symptoms have a subdural haematoma, tumour or cerebral abscess. • Distinction is readily made on CT or MRI. • If there is any doubt repeat the scan after 6 weeks.
  • 92.
    Differential Diagnosis II •Multiple sclerosis • May present with hemiparesis, sensory impairment or brainstem symptoms that mimic stroke. • Symptoms occur gradually over a few days. • Hypoglycaemia • May cause hemiparesis. • Migraine
  • 93.
    Complications I • Cerebraloedema •Should be suspected in a patient with a large infarct or haemorrhage experiences a lucid interval of 24-48 hours and then shows a decline in consciousness.
  • 94.
    Complication II • Haemorrhagictransformation • Can occur as a result of thrombolysis. • Pneumonia • In patients with swallowing difficulties as a result of aspiration. • Pressure sores • Develop rapidly and may be exacerbated because of incontinence. • Oedema of Weak Limbs • Is common and has a partially autonomic basis.
  • 95.
    Complication III • Anxietyand Depression • Common reactions to stroke but depression may have an organic basis related to damage of the frontal and limbic systems. • Emotional Lability • Precipitated by minor emotional stimuli.
  • 96.
    Management I • Hasthe following aims • Confirmation of the diagnosis, anatomical site of the lesion, pathology and aetiology. • Acute care. • Rehabilitation of persistent disability and handicap. • Prevention of recurrence.
  • 97.
    Management II Acute Care Treatmentaims • Prevent progression of present event. • Prevent immediate complication. • Prevent the development of subsequent events. • To rehabilitate the patient.
  • 98.
    Management III General Measures •Around the edge of the infarct, ischaemic tissue is at risk, but is potentially recoverable. • This must be protected by ensuring a good supply of glucose and oxygen. • Maintain hydration, oxygenation and blood pressure.
  • 99.
    Specific Measures MedicalTreatment Anticoagulation • Patientwith high risk of developing deep vein thrombosis. • Thromboembolic stroke - started as soon as possible, except in large infarcts where it may be wise to delay anticoagulation for 2 weeks. • Stroke in a patient with myocardial infarct - due to mural thrombus. • Stroke in evolution. Exclude a haemorrhage by doing a CT scan first.
  • 100.
    Medical Treatment II AntiplateletAgents • Especially in TIA. Thrombolysis • I/V thrombolysis espcially recombinant tissue plasminogen activator rTPA to be given only within the first 3 hours after onset to those patients who have not developed CT abnormalities especially in patients with basilar artery occlusion. • Risk – haemorrhage.
  • 101.
    Hypertension • Treated cautiouslyin acute stroke. • A reduction in blood pressure may lower cerebral blood flow in the regions surrounding the infarct below a critical level at which further ischaemic brain damage will occur. • Mild to moderate elevations in BP – no treatment unless they are maintained for several days after admission.
  • 102.
    • If strokeassociated with hypertensive encephalopathy or if diastolic BP is persistently above 120 mm Hg. • The BP should be lowered cautiously using oral agents. • Sudden precipitious fall in BP should be avoided. Hypertension II
  • 103.
    Medical Treatment CalciumAntagonist • Nimodipineprevents ischaemic brain damage and reduces the number of patients remaining disabled after subarachnoid haemorrhage. • Prescribed as soon as diagnosis is made (within 12 hours).
  • 104.
    Neurosurgery • Should beconsidered in subaracnoid and intracerebral haemorrhage. • Evacuation of cerebellar haematoma. • Evacuation of supratentorial haematomas should only be considered in younger patients with superficial cortical haematomas causing mass effect with a deteriorating level of conciousness.
  • 105.
    Nursing Care and Rehabilitation •Physiotherapy, proper positioning and early mobilization – prevent pressure sores. • Support stockings – prevent deep vein thrombosis and pulmonary embolism. • Swallowing difficulties. • Lead to silent aspiration – aspiration pneuomonia. •Nasogastric tube feeding. • Percutanious endoscopic gastrostomy.
  • 106.
    Rehabilitation • Physiotherapy, occupationaltherapy, speech therapy and psychology input – multidisciplinary stroke rehabilitation team. • Home visit by occupational therapist to plan adaptations to home before discharge.
  • 107.
    Secondary Preventation • Controlhypertension and diabetes mellitus. • Correct lipid abnormality. • Stop cigarette smoking. • Stop thrombogenic drugs e.g. oral contraceptives.
  • 108.
    • Give platletantiaggregation drugs to reduce the rate of reinfarction. • Low dose aspirin (75 mg – 150 mg), if patient allergic or has gastrointestinal side effects give ticlopidine. Regular blood tests because of a small risk of neutropoenia. • Remove or treat embolic source (long term anticoagulation in atrial fibrillation). • Treat inflammatory or vascular inflammatory diseases. Secondary Preventation II
  • 109.
    • Carotid Endarterectomy– preventing stroke in symptomatic patients with recent TIA and stroke and severe stenosis of the internal carotid artery (at least 70%). Secondary Preventation III
  • 110.
    Chain of SurvivalStroke • Stroke Chain of Survival • Detection • Early sx recognition • Dispatch • Prompt EMS response • Delivery • Transport, approp, prehospital care, prearrival notification • Door • ER Triage • Data • ER evaluation incl, CT, etc. • Decision • Appropriate therapies • Drug/Therapy
  • 111.
    Detect & Dispatch •Detection: Early Recognition • Public education of Stroke sx • Early access to medical care • Dispatch: Early EMS and PDI’s • Caller triage • EMD recognition of Stroke sx
  • 112.
    How to detect? •Delivery: • Pre-hospital Transport and Management How we scale the pre- hospital management of the patient?
  • 113.
  • 114.
    CINCINNATI STROKE SCALE •Identifies patients with strokes. • It evaluates three major physical findings. •Facial droop •Motor arm weakness •Speech abnormalities
  • 115.
    CSS - FacialDroop • Have the patient show their teeth or smile. • Normal – both sides of the face move equally well • Abnormal – one side of the face does not move as well as the other side
  • 118.
    Arm Drift • Havethe patient close his/her eyes and hold both arms out. • Normal – both arms move the same way, or both arms do not move at all. • Abnormal – one arm does not move or one arm drifts down compared to the other arm. Other findings such as pronator grip, may be helpful
  • 121.
    Speech • Have thepatient say “You can’t teach an old dog new tricks.” – “Perlambagaan Malaysia” • Normal – patient uses correct words with no slurring. • Abnormal – patient slurs words, uses inappropriate words, or is unable to speak
  • 122.
    “You can’t teachan old dog new tricks.”
  • 124.
    Cincinnati Prehospital Stroke Scale •Patients with 1 of these 3 findings -as a new event - have a 72% probability of an ischemic stroke. • If all 3 findings are present the probability of an acute stroke is more than 85% • Immediately contact medical control and the destination ED and provide prearrival notification.
  • 125.
    Stroke – Management InReview: Prehospital Critical Actions • Assess and support cardiorespiratory function • Assess and support blood glucose • Assess and support oxygenation and ventilation • Assess neurologic function • Determine precise time of symptom onset • Determine essential medical information • Provide rapid emergent transport to ED • Notify ED that a possible stroke patient is en route
  • 126.
    Stroke - Management •Door: ER Triage • Stroke evaluation targets for stroke patients who are thrombolytic candidates Door-to–doctor first sees patient …….………… 10 min Door-to–CT completed …….………………….. 25 min Door-to–CT read ...…………..………………… 45 min Door-to–fibrinolytic therapy starts …………….. 60 min Neurologic expertise available* …..…………… 15 min Neurosurgical expertise available* …………… 2 hours Admitted to monitored bed ..……...…………… 3 hours *By phone or in person
  • 127.
    Stroke - Management •Data: ER Evaluation and Management • Assessment Goal: in first 10 minutes • Assess ABCs, vital signs • Provide oxygen by nasal cannula • Obtain IV access; obtain blood samples (CBC, ’lytes, coagulation studies) • Obtain 12-lead ECG, check rhythm, place on monitor • Check blood sugar; treat if indicated • Alert Stroke Team: neurologist, radiologist, CT technician • Perform general neurologic screening assessment
  • 128.
    Stroke - Management AssessmentGoal: in first 25 minutes • Review patient history • Establish symptom onset (<6 hours required for fibrinolytics) • Perform physical examination • Perform neurologic exam • Determine level of consciousness (Glasgow Coma Scale) • Determine level of stroke severity (NIHSS or Hunt and Hess Scale) • Order urgent non-contrast CT scan/angiogram if non-hemorrhage (door-to–CT scan performed: goal <25 min from arrival) • Read CT scan (door-to–CT read: goal <45 min from arrival) • Perform lateral cervical spine x-ray (if patient comatose/trauma history)
  • 129.
    Stroke - Management •ER Diagnostic Studies • CT scan – done w/in 25 mins, read w/in 45 mins • r/o hemorrhage • Often normal early in ischemic stroke • Lumbar puncture • EKG • Changes may be caused by or cause of stroke • MRA (Magnetic Resonance Angiography) • Cerebral Angiography
  • 130.
    Hypodense area: • Ischemicarea with edema, swelling • Indicates >3 hours old • No fibrinolytics!
  • 131.
    (White areas indicate hyperdensity= blood) Large left frontal intracerebral hemorrhage. Intraventricular bleeding is also present No fibrinolytics!
  • 132.
    Acute subarachnoid hemorrhage Diffuse areas ofwhite (hyperdense) images Blood visible in ventricles and multiple areas on surface of brain
  • 133.
    Stroke - Management •Decision: Specific Therapies • General Care • ABC’s, O2 • IV w/ BSS • Treat hypotension • Avoid over-hydration • Monitor input/output • Normalize BGL • Manage Elevated BP?
  • 134.
    Stroke - Management •Indications for Antihypertensive therapy In general: • Consider: absolute level of BP? • If BP: >185/>110 mm Hg = fibrinolytic therapy contraindicated • Consider: other than BP, is patient candidate for fibrinolytics? • If patient is candidate for fibrinolytics: treat initial BP >185/>110 mm Hg • Consider: response to initial efforts to lower BP in ED? • If treatment brings BP down to <185/110 mm Hg: give fibrinolytics • Consider: ischemic vs hemorrhagic stroke? • Treat BP in the 180-230/110-140 mm Hg range the same • The obvious: no fibrinolytics for hemorrhagic stroke
  • 135.
    Stroke - Management •Decision: Specific Therapies (cont.) • Management of Seizures • Benzodiazepines • Long-acting anticonvulsants • Management of Increased ICP • Maintain PaCO2 30mm Hg • Mannitol/Diuretics • Barbiturates • Neurosurgical decompression
  • 136.
    Stroke - Management •Drugs: Thrombolytic Therapy • Fibrinolytic Therapy Checklist Ischemic Stroke Candidates for Neurointerventional Therapy  Age 18 years or older  Acute signs and symptoms of CVA <6 hours onset.  No contraindications.
  • 137.
    Stroke - Management Contraindicationsfor Interventional Therapy Absolute  Evidence of intracranial hemorrhage on non-contrast head CT  Patient with early infarct signs on CT scan. Relative  Recent (w/in 2 mo’s) cranial or spinal surgery, trauma, or injury  Known bleeding disorder and/or risk of bleeding including: - Current anticoagulant therapy, prothrombin time >15 sec. - Heparin within 48 hrs of admission, PTT elevated - Platelet count <100,000/mm  Active internal bleeding w/in the previous 10 days  Known or suspected pregnancy  History of stroke w/in past 6 weeks
  • 138.
    Stroke - Management Contraindicationsfor Interventional Therapy (cont.) Relative  Patient comatose  >85 years old  Diabetic hemorrhagic retinopathy or other opthalmic hemorrhagic disorder  Advanced liver or kidney disease  Other pathology with a propensity for bleeding  Infectiouse endocarditis  Severe EKG disturbance, uncontrolled angina or acute MI
  • 139.
    Stroke - Management •Thrombolytic Agents • TPA • NINDS trial • Streptokinase • VEGGIE trial • Anticoagulant Therapy • Heparin • ASA/Warfarin/Ticlodipine
  • 140.
    Stroke - Management •Management of Hemorrhagic Stroke • Subarachnoid • Neurosurgical intervention • Nimodipine • Intracerebral • Management of ICP • Neurosurgical decompression • Cerebellar • Surgical evacuation • Often associated with good outcome • Lobar • Surgical evacuation
  • 141.
  • 142.
  • 143.
    If they cometo you with stroke, what investigation what you like to do?
  • 145.
  • 146.
  • 147.
    QUESTION 1 On thehistory of a patient with suspected or known stroke, what should you ask about?
  • 148.
    ANSWER 1  Askabout the presenting symptoms of stroke initially, for example 1. Unilateral weakness or clumsiness 2. Difficulty understanding or expressing spoken language 3. Altered sensation unilaterally 4. Partial or complete loss of vision in one eye
  • 149.
    ANSWER 1  Questionsto focus on the causes of stroke 1. Atherosclerosis, e.g. enquire about vascular risk factors (smoking, DM, hyperlipids, PVDs, etc…) 2. History of heart disease, e.g. recent myocardial infarction, history of AF requiring anticoagulation, palpitations 3. History of hypertension (lacunar infarcts due to arteriosclerosis of small penetrating arteries of the brain) 4. Migraine 5. Manipulation of neck (precipitating cause for dissection of carotid artery or vertebral artery) 6. Any recent cessation of anticoagulation 7. Family history of stroke 8. History of connective tissue disease (e.g. SLE, vasculitis, etc…)
  • 150.
    ANSWER 1 1. Historyof connective tissue disease (e.g. SLE, vasculitis, etc…)  Medication history, esp. those that increase risk of stroke include oral contraceptives, some antihypertensives  Ask about alcohol consumption and recent falls (may have caused an intracranial haemorrhage)  Enquire about premorbid as well as the current level of independence and mobility  If patient is incapacitated, ask about social support available at home  Don’t forget to screen for depression
  • 151.
    QUESTION 2 On examination,what features should you be looking for?
  • 152.
    ANSWER 2 A completeexamination of the neurological and cardiovascular systems is essential  Check the fundi for evidence of emboli, hypertensive changes, diabetic changes and ischaemic neuropathy  Test the visual fields for homonymous hemianopia  Listen for bruit over the carotids and orbits (commonly heard in the side opposite the carotid occlusion, due to increased contralateral flow)  Decide whether patient is in AF  Assess BP and test for postural drop  Listen for murmurs (e.g. AS, infective endocarditis, rheumatic heart disease or prosthetic valve)  Note presence of electronic pace maker and assess whether it’s working  Perform peripheral vascular examination  Look for complications, e.g. pressure sores, limb contractures and disuse atrophy of the paralysed limbs  See if patient has a percutaneous gastrostomy (PEG) feeding tube inserted and, if present, inspect for cellulitis or pus around the insertion site
  • 153.
    QUESTION 3 What clinicalfeatures are suggestive of a carotid arterial stroke?
  • 154.
    ANSWER 3  Transientaphasia  Ipsilateral amaurosis fugax  Contralateral hemiplegia/monoplegia  Contralateral hemi or monoparesis  Carotid bruits (a/w >50% stenosis)
  • 155.
    QUESTION 4 What clinicalfeatures are suggestive of vertebrobasilar insufficiency?
  • 156.
    ANSWER 4 All theDs  Dizziness (vertigo and ataxia)  Diplopia +/- blindness  Dysphagia  Dysarthria  ‘Demi-anaesthesia’ – ipsilateral face, contralateral limb  Quadraparesis – indicates basilar artery involvement
  • 157.
    QUESTION 5 What clinicalfeatures are suggestive of a middle cerebral artery stroke?
  • 158.
    ANSWER 5  Contralateralhemiplegia, hemiparesis, homonymous hemianopia  UMN face, arm > leg, eyes deviated to side of lesion  Aphasia (if dominant lobe) 1. Expressive dysphasia, arm + leg involvement – anterior MCA 2. Receptive dysphasia, visual fields defects – posterior MCA  If non-dominant – speech + comprehension intact
  • 159.
    QUESTION 6 What clinicalfeatures are suggestive of a posterior cerebral artery stroke?
  • 160.
    ANSWER 6  Homonymoushemianopia (complete)  Cortical blindness  Hemisensory loss  Ipsilateral III nerve palsy
  • 161.
    QUESTION 7 What clinicalfeatures are suggestive of an anterior cerebral artery stroke?
  • 162.
    ANSWER 7  Contralateralmonoplegia (UMN)  Confusion, behaviour disturbance  Grasp reflex  Urinary incontinence
  • 163.
    QUESTION 8 What clinicalfeatures are suggestive of a lacunar syndrome?
  • 164.
    ANSWER 8  Clumsyhand/dysarthria syndrome – lesion in mid pons  Leg paresis + ataxia – pons or internal capsule  Pure sensory stroke – usually thalamic  Pure motor stroke (arm>leg) - pons or internal capsule
  • 165.
    QUESTION 9 What investigationswould you perform in a stroke patient? – MAINLY TO DIAGNOSE ANY STROKE….
  • 166.
    ANSWER 9 CT orMRI of the head, looking for ischaemic infarcts, haemorrhage, or mass lesions
  • 167.
    QUESTION 10 What investigationswould you perform in a stroke patient? MAINLY TO FIND THE CAUSE OF STROKE
  • 168.
    ANSWER 10  Dopplerscan of the carotid arteries – if duplex scan suggest significant carotid stenosis, esp. in patients <75, ask for results of carotid angiography, carotid digital substraction angiography or MR angiography  If patient is in AF, ask for results of transoesophageal echo, looking for thrombus or spontaneous atheromatous plaques in ascending aorta and arch of aorta that may have contributed to stroke  ECG for AMI and AF  FBE, looking at Hb (to exclude polycythemia) and platelet count (rarely, essential thrombocytopenia can contribute to stroke)  ESR (to exclude an inflammatory arteritic/vasculitic process  CXR (for cardiomegaly/neoplasm)  Urea, creatinine and electrolytes
  • 169.
    QUESTION 11 What investigationswould you perform in a stroke patient? MAINLY IN YOUNGER PATIENT?
  • 170.
    QUESTION 11  Drugscreen, looking for narcotic agents  Vasculitic screen (if there are features of vasculitis)  Blood cultures and cardiac imaging if endocarditis is suspected  Cardiac event monitor looking for paroxysmal AF and  Thrombophilic screen
  • 171.
    WHAT 3 SPECIFICSTRATEGIES IN THE MANAGEMENT OF ACUTE STROKE THAT HAVE BEEN PROVEN TO IMPROVE OUTCOMES? The 3 main strategies are  Administration of iv tissue plasminogen activator (tPA) within 3hrs of stroke onset  Giving aspirin (100mg) within first 48hrs of ischaemic stroke  Managing patient in a stroke unit Note that tPA and aspirin are never given before brain imaging to exclude intracranial haemorrhage
  • 172.
    WHAT ARE THESTRATEGIES FOR SECONDARY PREVENTION OF STROKE? There are now at least 4 early strategies for secondary prevention in improving long term outcomes after TIAs or stoke  Antiplatelet therapy, e.g. aspirin, clopidogrel, aspirin with dipyridamole  Blood pressure lowering  Warfarin (indicated for patients with AF)  Carotid endarterectomy (indicated when stenosis >70%)  Lipids lowering is the fifth strategy to consider
  • 173.
    A PATIENT JUSTHAD A STROKE, WHAT CRITERIA DO YOU LOOK FOR TO SELECT THIS PATIENT FOR REHAB. 1. Patients must be medically stable (i.e. no aspiration pneumonia, AMI, DVT, etc…) 2. They have a functional disability 3. They have the intellectual capability to learn 4. There are defined goals to be achieved 5. There are non or minimal co-morbidities, e.g. recurrent stroke, AMI, COAD, etc… 6. They are not clinically depressed (this can affect motivation to rehabilitate) 7. They didn’t suffer from a dense stroke or ones that causes hemi- neglect (e.g. a right hemisphere stroke)
  • 174.
    WHAT ARE SOMEOF THE COMMON PREDICTORS OF POOR FUNCTIONAL OUTCOME AFTER A STROKE?  A dense stroke, a recurrent stroke, or a stroke resulting in hemi- neglect  Impairment of bladder and bowel function  Depression or cognitive deficits  Delayed acute medical care or delayed rehabilitation  Co-morbidities and poor social support

Editor's Notes

  • #35 Impaired spatial perception more likely after R. Hemi. damagespatial neglect dressing apraxiaconstructional apraxiatopographagnosia ~