Stoma:
Complications & Management
Dr Harsh Shah
MS, FMAS, DNB, MCh (GI)
Kaizen Hospital, Ahmedabad
Definition & Incidence
 Not uniformly defined
 Incidence
 10-70% various series
 Lower in surgical series
Complications
 Early (< 1 Month)
 Skin irritation
 Stoma Necrosis
 Bowel Obstruction
 Ileostomy diarrhea
 Muco-cutaneous
Separation
 Stoma Retraction
 Late (> 1 month)
 Stoma stenosis
 Prolapse
 Parastomal Hernia
 Fistula
 Stomal Varices
Early Complications
Skin Irritation/Rash
 Most common complication
 More with ileostomies
 High risk
 Poorly sited stoma
 Non-nippled ileostomies
 Poorly fitting appliance
 High output stoma
Skin irritation/rash
 Peristomal rash with satellite lesions – Fungal
infection
 Antifungal powder
 Peristomal rash conforms precisely to outline
of appliance - Allergic reaction
 Reactivation of inflammatory bowel disease
Stoma necrosis
 1 to 5 % of patients undergoing ileostomy
Gooszen AW et al. Dis Colon Rectum. 2000;43:650-655
 Higher incidence with colostomy
 More commonly seen after emergency surgery and in
obese patient
 Most often noticed within 24 hours postoperatively
Leenan LP et al. Dis Colon Rectum. 1989;32;500-504
Stoma necrosis
Causes
 Excess tension over mesentery
Short mesentery
Obesity
 Stripping of mesentery
Avoid dividing sigmoidal arteries
 Progression of mesenteric ischemia
Stoma necrosis - examination
 Use transparent stoma bag
 Test tube test - to diagnose the level of necrosis
Lubricated small test tube inserted into the stoma
↓
Flashlight shone along the sides of the test tube
Stoma necrosis - Management
 Necrosis above the level of fascia
conservative management - often left alone
 Complications of limited necrosis
 Flushed / retracted / stenotic stoma
 Mucocutaneous separation
 Necrosis below the fascia
 immediate laparotomy and stomal reconstruction
Bowel obstruction
 Relatively common : incidence - 23%
 Causes
 Adhesions
 internal hernia
 Recurrent Crohn’s
 Stomal stenosis
 Intraluminal - impacted food bolus, just below
fascial level
Bowel obstruction
 Clinical features-
 Cessation of stoma output
( may ↑ in partial obstruction)
 Crampy pain
 Vomiting
 Dehydration
 Management
 Resuscitation
 Fluid and electrolyte restoration
 Nasogastric suction
 Close observation
Bowel obstruction
Bowel obstruction
 Observed for a period of 24 to 48 hours
 Patient comfortable with the nasogastric tube
decompression
 Abdomen- soft and free of signs
 Early operation
 Pain persists despite nasogastric tube decompression and
lavage
 Increasing pain / distension, leukocytosis ,fever
Bowel obstruction
 small bowel obstruction in patients with stoma requiring
re-operation
 inflammatory bowel disease
 colorectal neoplasms
 2/3 of obstructions related to adhesions
 1/3 related to the stoma
Hughes ESR et al. Dis Colon Rectum 1979; 22:469–471
Mucocutaneous separation
 Causes
 Tension- skin opening too
large for exteriorized bowel
 Malnutrition
 High dose steroids
 Good ET nursing important
 Packing of subcutaneous tissue with paste material / absorptive
powder until a new junction forms secondarily
 Late consequence- stenosis at the skin level
Ileostomy Diarrhea
 Etiology
 Adaptation phase following resection
 Short bowel syndrome
 Malabsorption
 Antibiotics related
 Infectious
 Radiation enteritis
Ileostomy Diarrhea
 Management
 Electrolytes
 Hydration
 Apply drainage bag
 Antidiarrheal agents
Loperamide
Codeine
Isapghul
Stoma Retraction
 Stoma may appear flush or below skin
level
 May result in leakage
 Sore skin/skin excoriation
Causes:
 Obesity/weight gain
 Early removal of stoma rod
 Stoma placement in skin fold
 Short mesentery for constructing the
stoma
Stoma retraction
 Intermittent: Positional
 Upright position
Stoma length and protrusion satisfactory
 Supine position , abdominal muscles relaxed
stoma becomes flush with the skin or may recede
below the skin level
↓
soiling and leakage
↓
difficulty maintaining satisfactory appliance seal
Stoma Retraction - Management
 Skilled ET nursing
 Convex faceplate placed firmly against the skin
sometimes maintain a satisfactory seal
 Weight reduction
 Persistent leakage and soiling
 Revision ileostomy
Stoma retraction
Ileostomy revision. (A) Circumferential incision around stoma. (B and C) Stoma is
mobilized to fascia and peritoneum, and tip is resected. (D) Ileum is fixed to fascia. (E)
New Brooke maturation is done.
Late Complications
Stomal stenosis
 Narrowing at skin or fascial level
 ‘Ribbon stools’ – end colostomy
 Causes
 Ischemia
 Small opening in the skin or fascia
 Radiotherapy
 Crohn’s disease
 Reaction to suture material
Stomal stenosis
 Initial management
 Gentle dilatation
 Low-fiber diet
 Stool softners for colostomy
 Recurrent obstructive episodes or pain
 Revision
Stomal stenosis
 Skin-level stenosis
 detaching the skin from the mucosa
 excising a small amount of skin to increase the trephine
size
 Malt et al- technique for relieving stricture at fascial level
Malt RA et al. Surg Gynecol Obstet 1984; 159:175–76
Stomal stenosis
Incisions are made outside ostomy
appliance
Fascia is split with scissors to
relieve stenosis
Prolapse
 Incidence : 11% at 13 years
 Stoma increased in size & length
 Higher incidence with loop
stomas esp. transverse loop
colostomies
 Bleeds & easily traumatized
Prolapse
 Risk factors
 Obesity
 Poor muscle tone
 Larger trephine
 Raised intra-abdominal pressure
 Presentation
 Enlarged stoma
 Dislodgement of appliance
 Bowel obstruction
 Pain due to engorgement & constriction of prolapsed segment
Prolapse
 < 10% complicated by incarceration, strangulation
 Reduction of acute prolapse
 Supine position
 Apply sugar to reduce edema
 Reduce with gentle rocking motion
 Repair
 Resection
muco-cutaneous disconnection, eversion of
prolapsed segment, resection of exteriorized bowel,
recreation of stoma
Parastomal Hernia
 Incisional hernia related to abdominal wall stoma
‘There is already a hole there!’
 Incidence
 2-28 % - end ileostomy
 4-48% - end colostomy
Parastomal Hernia
“It doesn’t matter if God Himself made your ostomy.
If you have it long enough you have a 100% risk of a
parastomal hernia.”
J Byron Gathright
Parastomal hernia- types
True parastomal hernia
Subcutaneuous prolapse (pseudohernia) with intact
fascial ring
Intrastomal hernia
Pseudohernia due to weakness of abdominal wall
without fascial defect
PSH risk factors
 Patient
 Waist circumference over
100cm
 Smoking
 Age
 Malnutrition
 Technical aspects
 Rectus/oblique?
 Preop Siting
 Aperture size > 2-3 fingers
(cm?)
 Emergent?
 Disease processes
 Obesity
 Diabetes
 IBD
 COPD
 Intraabdominal
hypertension
 Postop Sepsis
 Perioperative steroid use
 Malignancy
 Ascites
SYMPTOMS
 Asymptomatic +++
 Parastomal discomfort with intermittent obstructive
episodes
 Stoma appliance issues with leak and skin irritation
 Obstruction/strangulation
Parastomal hernia
 Physical examination with a finger in stoma- often all that
is necessary to diagnose and characterize
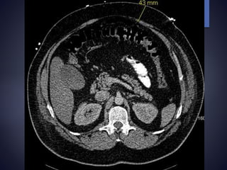
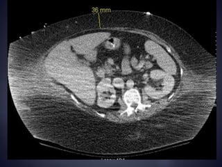
 Abdominal CT scan helpful in c/o difficulty
 ~ 30% require repair – pain, obstruction, difficulty in
maintaining appliance
Steele SR et al. Am J surg.2003;185:436-440
SURGICAL MANAGEMENT
 Local aponeurotic repair
 Open repair with mesh
 Laparoscopic repair
 Relocation of the stoma
SURGICAL MANAGEMENT
 LOCAL REPAIR
 Aponeurotic repair-primary closure of the defect-
recurrence 50-76% (up to 100%)
Different possible locations
for mesh placement in
parastomal hernia repair
Surgical management
Open mesh repair
 SUBLAY proposed as the most advantageous technique
for mesh repair of PSH
 Low weight polypropelene meshes are used
 Have better resistance to infection than PTFE
 Placed away from bowel
 Recurrence rates from pooled studies 7-40%
Surgical management
Laparoscopic surgery
IPOM - Intraperitoneal Onlay Mesh
 ePTFE - most commonly used mesh
 2 layers
 Inner non reactive layer for bowel contact
 Prone to infection
Surgical management
Laparoscopic approach
Technical tips
 Fashion the mesh before insertion in the abdomen with a
circular defect and a slit
 A good way to reduce recurrence may be to place 2 pieces
of mesh one on top of the other
IPOM Technique
Sugarbaker technique
Sugarbaker technique
5 cm
Surgical management
Laparoscopic approach
 Recurrence rates vary between : 4-44%
 Higher risk of bowel injury - 22%
 Higher risk of mesh infection (4%)
Laparoscopic IPOM vs
Sugarbaker
Muysoms, et. al.
IPOM – recurrence 72.7%
Sugarbaker – recurrence 14.2%
Mancini, et al
Retrospective review of 25 pts with Sugarbaker
technique
1 recurrence at 30 months. (4%)
Surgical management
Bioprosthetics
 Studies are scant, low powered and have a short F/U
 Most advantages are extrapolated from the use of bioprosthetics in
incisional hernias
 Most studies seem to show a low incidence of complications and an
equivalent incidence of recurrence as synthetics
 Recurrence rates vary between 9-27% depending on the studies
and the type of mesh used (human dermis vs porcine small bowel
submucosa)
SURGICAL MANAGEMENT
RELOCATION
 Risk of recurrence at least as high as the primary site
 Recurrence rates as high as 24-86%
 Higher if relocated on the same side
 The primary site should be treated as an incisional hernia
and repaired with mesh placement-recurrence rate 26-
48%
Prevention of PSH
Stomal Reinforcement
Sublay
Intra peritoneal
Prevention
Fistula
 Serious problem
 Superficial fistula
 Stitch abscess, trauma, crohn’s disease (indicate
recurrent disease)
 Heal spontaneously
 Major fistulas
 Below the skin level
 Reconstruction or resiting
Todd IP et al. Clin Gastroenterol. 1982; 11:268–273
 Fistula tract debrided with a pipe cleaner soaked in
6% aqueous phenol
Greatorex RA. Br J Surg 1988; 75:543
Peristomal Varices
 Causes
 Primary Sclerosing
cholangitis
 Alcoholic cirrhosis
 Incidence
 Upto 27% in those with
hepatic dysfunction
Strong SA. Semin Colorectal Surg.1994;
5:50–58.
Peristomal Varices
 Control of bleeding
 Direct pressure
 Suture ligation
 Mucocutaneous disconnection
 Cauterization of stoma
 Transposition of the stoma
 Portosystemic shunts/TIPS
 Liver transplantation
 Mortality high; depends on severity of the underlying liver
disease
Roberts PL et al. Dis Colon Rectum 1990; 33:547–549
Stomal & Peristomal
Granuloma
Causes:
 Reaction to retained suture
 Cohn’s disease
 Sign of poor healing
 Management
 Silver nitrate application
Difficult stoma !!
How are we going to get this
through that ?
Skin
Fascia
9 cm
9cm + 2cm = 11cm of Sigmoid Colon
9cm + 6cm = 15cm of Terminal ileum
BMI
48.7
Tips for success
 Avoid a Stoma if at all
possible
 Excise all inflamed Sigmoid
colon
 Segment used for stoma
must be free of
inflammation
Difficult End Colostomy
 Take down Left lateral
peritoneal reflection
Mobilize Splenic Flexure
Divide IMA/IMV if necessary
Must have
good pulse in
marginal
artery!
Stay proximal
to Left colic!
Windows
 Create windows through the
peritoneum of the left
mesocolon
 Useful for providing extra
length
 Be careful not to devascularize
colostomy!
“Bigger Hole!”
 Expand fascial aperture or skin edges
 Remove subcutaneous tissues
“Smaller Colon!”
 Remove excess fatty tissues – epiploic appendages
 Trim mesentery – leave 1 cm of mesentery on distal
bowel to preserve marginal artery
 Decompress distended bowel
PseudoLoop
 Herbert, et al -
maturation of
antimesenteric border
of colon
 No Brooking, often
ends up skin level, or
retracted
 Emergencies only, only
when no other stoma
will reach
Go North
 In obese patients Supraumbilical placement of
stomas is desirable
 Thinner abdominal wall
above umbilicus
 Patients can see it !
Remember
Preoperative planning, operative technique,
postoperative education are of vital importance
“An Ounce of prevention is worth a pound of cure”
‘Make every stoma as though it were going to be
permanent’
Summary
 High incidence of complications
 Early recognition & management is desirable
 Patient education & involvement of ET is essential
Summary
PSH
 Very common condition
 Only a small proportion will require surgical therapy
 The high recurrence rates underline the fact that there is
no perfect operation for this condition
 Promising results with laparoscopy and bioprosthetics
 Prophylactic mesh placement seems to be the way to go
Life beyond stoma
Thank You

Stoma complications &amp; its management

  • 1.
    Stoma: Complications & Management DrHarsh Shah MS, FMAS, DNB, MCh (GI) Kaizen Hospital, Ahmedabad
  • 2.
    Definition & Incidence Not uniformly defined  Incidence  10-70% various series  Lower in surgical series
  • 3.
    Complications  Early (<1 Month)  Skin irritation  Stoma Necrosis  Bowel Obstruction  Ileostomy diarrhea  Muco-cutaneous Separation  Stoma Retraction  Late (> 1 month)  Stoma stenosis  Prolapse  Parastomal Hernia  Fistula  Stomal Varices
  • 4.
  • 5.
    Skin Irritation/Rash  Mostcommon complication  More with ileostomies  High risk  Poorly sited stoma  Non-nippled ileostomies  Poorly fitting appliance  High output stoma
  • 6.
    Skin irritation/rash  Peristomalrash with satellite lesions – Fungal infection  Antifungal powder  Peristomal rash conforms precisely to outline of appliance - Allergic reaction  Reactivation of inflammatory bowel disease
  • 7.
    Stoma necrosis  1to 5 % of patients undergoing ileostomy Gooszen AW et al. Dis Colon Rectum. 2000;43:650-655  Higher incidence with colostomy  More commonly seen after emergency surgery and in obese patient  Most often noticed within 24 hours postoperatively Leenan LP et al. Dis Colon Rectum. 1989;32;500-504
  • 8.
    Stoma necrosis Causes  Excesstension over mesentery Short mesentery Obesity  Stripping of mesentery Avoid dividing sigmoidal arteries  Progression of mesenteric ischemia
  • 9.
    Stoma necrosis -examination  Use transparent stoma bag  Test tube test - to diagnose the level of necrosis Lubricated small test tube inserted into the stoma ↓ Flashlight shone along the sides of the test tube
  • 10.
    Stoma necrosis -Management  Necrosis above the level of fascia conservative management - often left alone  Complications of limited necrosis  Flushed / retracted / stenotic stoma  Mucocutaneous separation  Necrosis below the fascia  immediate laparotomy and stomal reconstruction
  • 11.
    Bowel obstruction  Relativelycommon : incidence - 23%  Causes  Adhesions  internal hernia  Recurrent Crohn’s  Stomal stenosis  Intraluminal - impacted food bolus, just below fascial level
  • 12.
    Bowel obstruction  Clinicalfeatures-  Cessation of stoma output ( may ↑ in partial obstruction)  Crampy pain  Vomiting  Dehydration  Management  Resuscitation  Fluid and electrolyte restoration  Nasogastric suction  Close observation
  • 13.
  • 14.
    Bowel obstruction  Observedfor a period of 24 to 48 hours  Patient comfortable with the nasogastric tube decompression  Abdomen- soft and free of signs  Early operation  Pain persists despite nasogastric tube decompression and lavage  Increasing pain / distension, leukocytosis ,fever
  • 15.
    Bowel obstruction  smallbowel obstruction in patients with stoma requiring re-operation  inflammatory bowel disease  colorectal neoplasms  2/3 of obstructions related to adhesions  1/3 related to the stoma Hughes ESR et al. Dis Colon Rectum 1979; 22:469–471
  • 16.
    Mucocutaneous separation  Causes Tension- skin opening too large for exteriorized bowel  Malnutrition  High dose steroids  Good ET nursing important  Packing of subcutaneous tissue with paste material / absorptive powder until a new junction forms secondarily  Late consequence- stenosis at the skin level
  • 17.
    Ileostomy Diarrhea  Etiology Adaptation phase following resection  Short bowel syndrome  Malabsorption  Antibiotics related  Infectious  Radiation enteritis
  • 18.
    Ileostomy Diarrhea  Management Electrolytes  Hydration  Apply drainage bag  Antidiarrheal agents Loperamide Codeine Isapghul
  • 19.
    Stoma Retraction  Stomamay appear flush or below skin level  May result in leakage  Sore skin/skin excoriation Causes:  Obesity/weight gain  Early removal of stoma rod  Stoma placement in skin fold  Short mesentery for constructing the stoma
  • 20.
    Stoma retraction  Intermittent:Positional  Upright position Stoma length and protrusion satisfactory  Supine position , abdominal muscles relaxed stoma becomes flush with the skin or may recede below the skin level ↓ soiling and leakage ↓ difficulty maintaining satisfactory appliance seal
  • 21.
    Stoma Retraction -Management  Skilled ET nursing  Convex faceplate placed firmly against the skin sometimes maintain a satisfactory seal  Weight reduction  Persistent leakage and soiling  Revision ileostomy
  • 22.
    Stoma retraction Ileostomy revision.(A) Circumferential incision around stoma. (B and C) Stoma is mobilized to fascia and peritoneum, and tip is resected. (D) Ileum is fixed to fascia. (E) New Brooke maturation is done.
  • 23.
  • 24.
    Stomal stenosis  Narrowingat skin or fascial level  ‘Ribbon stools’ – end colostomy  Causes  Ischemia  Small opening in the skin or fascia  Radiotherapy  Crohn’s disease  Reaction to suture material
  • 25.
    Stomal stenosis  Initialmanagement  Gentle dilatation  Low-fiber diet  Stool softners for colostomy  Recurrent obstructive episodes or pain  Revision
  • 26.
    Stomal stenosis  Skin-levelstenosis  detaching the skin from the mucosa  excising a small amount of skin to increase the trephine size  Malt et al- technique for relieving stricture at fascial level Malt RA et al. Surg Gynecol Obstet 1984; 159:175–76
  • 27.
    Stomal stenosis Incisions aremade outside ostomy appliance Fascia is split with scissors to relieve stenosis
  • 28.
    Prolapse  Incidence :11% at 13 years  Stoma increased in size & length  Higher incidence with loop stomas esp. transverse loop colostomies  Bleeds & easily traumatized
  • 29.
    Prolapse  Risk factors Obesity  Poor muscle tone  Larger trephine  Raised intra-abdominal pressure  Presentation  Enlarged stoma  Dislodgement of appliance  Bowel obstruction  Pain due to engorgement & constriction of prolapsed segment
  • 30.
    Prolapse  < 10%complicated by incarceration, strangulation  Reduction of acute prolapse  Supine position  Apply sugar to reduce edema  Reduce with gentle rocking motion  Repair  Resection muco-cutaneous disconnection, eversion of prolapsed segment, resection of exteriorized bowel, recreation of stoma
  • 31.
    Parastomal Hernia  Incisionalhernia related to abdominal wall stoma ‘There is already a hole there!’  Incidence  2-28 % - end ileostomy  4-48% - end colostomy
  • 32.
    Parastomal Hernia “It doesn’tmatter if God Himself made your ostomy. If you have it long enough you have a 100% risk of a parastomal hernia.” J Byron Gathright
  • 34.
    Parastomal hernia- types Trueparastomal hernia Subcutaneuous prolapse (pseudohernia) with intact fascial ring Intrastomal hernia Pseudohernia due to weakness of abdominal wall without fascial defect
  • 35.
    PSH risk factors Patient  Waist circumference over 100cm  Smoking  Age  Malnutrition  Technical aspects  Rectus/oblique?  Preop Siting  Aperture size > 2-3 fingers (cm?)  Emergent?  Disease processes  Obesity  Diabetes  IBD  COPD  Intraabdominal hypertension  Postop Sepsis  Perioperative steroid use  Malignancy  Ascites
  • 36.
    SYMPTOMS  Asymptomatic +++ Parastomal discomfort with intermittent obstructive episodes  Stoma appliance issues with leak and skin irritation  Obstruction/strangulation
  • 37.
    Parastomal hernia  Physicalexamination with a finger in stoma- often all that is necessary to diagnose and characterize  Abdominal CT scan helpful in c/o difficulty  ~ 30% require repair – pain, obstruction, difficulty in maintaining appliance Steele SR et al. Am J surg.2003;185:436-440
  • 38.
    SURGICAL MANAGEMENT  Localaponeurotic repair  Open repair with mesh  Laparoscopic repair  Relocation of the stoma
  • 39.
    SURGICAL MANAGEMENT  LOCALREPAIR  Aponeurotic repair-primary closure of the defect- recurrence 50-76% (up to 100%)
  • 40.
    Different possible locations formesh placement in parastomal hernia repair
  • 41.
    Surgical management Open meshrepair  SUBLAY proposed as the most advantageous technique for mesh repair of PSH  Low weight polypropelene meshes are used  Have better resistance to infection than PTFE  Placed away from bowel  Recurrence rates from pooled studies 7-40%
  • 42.
    Surgical management Laparoscopic surgery IPOM- Intraperitoneal Onlay Mesh  ePTFE - most commonly used mesh  2 layers  Inner non reactive layer for bowel contact  Prone to infection
  • 43.
    Surgical management Laparoscopic approach Technicaltips  Fashion the mesh before insertion in the abdomen with a circular defect and a slit  A good way to reduce recurrence may be to place 2 pieces of mesh one on top of the other
  • 44.
  • 45.
  • 46.
  • 47.
  • 48.
    Surgical management Laparoscopic approach Recurrence rates vary between : 4-44%  Higher risk of bowel injury - 22%  Higher risk of mesh infection (4%)
  • 49.
    Laparoscopic IPOM vs Sugarbaker Muysoms,et. al. IPOM – recurrence 72.7% Sugarbaker – recurrence 14.2% Mancini, et al Retrospective review of 25 pts with Sugarbaker technique 1 recurrence at 30 months. (4%)
  • 50.
    Surgical management Bioprosthetics  Studiesare scant, low powered and have a short F/U  Most advantages are extrapolated from the use of bioprosthetics in incisional hernias  Most studies seem to show a low incidence of complications and an equivalent incidence of recurrence as synthetics  Recurrence rates vary between 9-27% depending on the studies and the type of mesh used (human dermis vs porcine small bowel submucosa)
  • 51.
    SURGICAL MANAGEMENT RELOCATION  Riskof recurrence at least as high as the primary site  Recurrence rates as high as 24-86%  Higher if relocated on the same side  The primary site should be treated as an incisional hernia and repaired with mesh placement-recurrence rate 26- 48%
  • 52.
  • 53.
  • 54.
  • 55.
  • 56.
  • 57.
    Fistula  Serious problem Superficial fistula  Stitch abscess, trauma, crohn’s disease (indicate recurrent disease)  Heal spontaneously  Major fistulas  Below the skin level  Reconstruction or resiting Todd IP et al. Clin Gastroenterol. 1982; 11:268–273  Fistula tract debrided with a pipe cleaner soaked in 6% aqueous phenol Greatorex RA. Br J Surg 1988; 75:543
  • 58.
    Peristomal Varices  Causes Primary Sclerosing cholangitis  Alcoholic cirrhosis  Incidence  Upto 27% in those with hepatic dysfunction Strong SA. Semin Colorectal Surg.1994; 5:50–58.
  • 59.
    Peristomal Varices  Controlof bleeding  Direct pressure  Suture ligation  Mucocutaneous disconnection  Cauterization of stoma  Transposition of the stoma  Portosystemic shunts/TIPS  Liver transplantation  Mortality high; depends on severity of the underlying liver disease Roberts PL et al. Dis Colon Rectum 1990; 33:547–549
  • 60.
    Stomal & Peristomal Granuloma Causes: Reaction to retained suture  Cohn’s disease  Sign of poor healing  Management  Silver nitrate application
  • 61.
  • 62.
    How are wegoing to get this through that ?
  • 63.
    Skin Fascia 9 cm 9cm +2cm = 11cm of Sigmoid Colon 9cm + 6cm = 15cm of Terminal ileum BMI 48.7
  • 64.
    Tips for success Avoid a Stoma if at all possible  Excise all inflamed Sigmoid colon  Segment used for stoma must be free of inflammation
  • 65.
    Difficult End Colostomy Take down Left lateral peritoneal reflection
  • 66.
  • 67.
    Divide IMA/IMV ifnecessary Must have good pulse in marginal artery! Stay proximal to Left colic!
  • 68.
    Windows  Create windowsthrough the peritoneum of the left mesocolon  Useful for providing extra length  Be careful not to devascularize colostomy!
  • 69.
    “Bigger Hole!”  Expandfascial aperture or skin edges  Remove subcutaneous tissues “Smaller Colon!”  Remove excess fatty tissues – epiploic appendages  Trim mesentery – leave 1 cm of mesentery on distal bowel to preserve marginal artery  Decompress distended bowel
  • 70.
    PseudoLoop  Herbert, etal - maturation of antimesenteric border of colon  No Brooking, often ends up skin level, or retracted  Emergencies only, only when no other stoma will reach
  • 71.
    Go North  Inobese patients Supraumbilical placement of stomas is desirable  Thinner abdominal wall above umbilicus  Patients can see it !
  • 76.
    Remember Preoperative planning, operativetechnique, postoperative education are of vital importance “An Ounce of prevention is worth a pound of cure” ‘Make every stoma as though it were going to be permanent’
  • 77.
    Summary  High incidenceof complications  Early recognition & management is desirable  Patient education & involvement of ET is essential
  • 78.
    Summary PSH  Very commoncondition  Only a small proportion will require surgical therapy  The high recurrence rates underline the fact that there is no perfect operation for this condition  Promising results with laparoscopy and bioprosthetics  Prophylactic mesh placement seems to be the way to go
  • 79.