Интерфейсный паттерн
Валивач М.Н.
2016
• Данная презентация является частью блока
занятий по гистологической диагностике
кожных болезней.
• Познакомиться со всеми материалами вы
можете на странице http://valivach.com/ в
разделе «Материалы» / «Паттерновый
подход к гистологической диагностике
кожных болезней». Либо в google.com
произведите поиск по словам валивач
материалы
Интерфейсный паттерн
• Интерфейс – это граница раздела.
• Интерфейсными называют нарушения в эпидермисе
или в дерме, которые находятся вблизи этой границы.
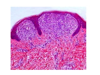
• Лихеноидный интерфейсный паттерн характеризуется
полосой лимфоцитарного инфильтрата в верхних
отделах дермы сразу под базальной мембраной.
• Нужно сказать, что при вакуолярном варианте
интерфейсного паттерна тоже может одновременно
присутствует лихеноидный инфильтрат.
• Либо вначале развивается лихеноидный паттерн, а
затем появляется вакуолизация. То есть, одновременно
присутствуют оба варианта.
Лихеноидный интерфейсный паттерн Вакуолярный интерфейсный паттерн
Лихеноидный интерфейсный паттерн
• Плоский лишай LICHEN PLANUS
• Плоский волосяной лишай LICHEN
PLANOPILARIS
• Блестящий лишай LICHEN NITIDUS
• Лихеноидные лекарственные высыпания
LICHENOID DRUG ERUPTION
Вакуолярный интерфейсный паттерн
• Красная волчанка LUPUS ERYTHEMATOSUS
• Дерматополимиозит DERMATOMYOSITIS
• Группа многоформной эритемы ERYTHEMA
MULTIFORME GROUP
• - фиксированная лекарственная сыпь FIXED
DRUG ERUPTION
• -многоформная эритема ERYTHEMA
MULTIFORME
• -токсический эпидермальный некролиз TOXIC
EPIDERMAL NECROLYSIS
Плоский лишай LICHEN PLANUS
• Чаще всего высыпания
появляются на
сгибательной
поверхности
предплечий, внутренней
поверхности бедер,
передней поверхности
голеней, а также в паху и
подмышках. Могут быть
элементы на слизистой
рта.
• Это маленькие узелки с
блестящей поверхностью,
резко отграниченные от
окружающей кожи.
• Цвет высыпаний густо-
красный, синюшный, а
иногда и буроватый.
• В центре отдельных
узелков имеется
пупкообразное
вдавление.
• Узелки могут сливаться,
образуя бляшки, на
которых можно заметить
своеобразный сетчатый
рисунок
Гистология
• - типичный лихеноидный интерфейсный дерматит,
• - иногда выраженный акантоз,
• - иногда атрофия,
• - часто гиперкератоз,
• - не бывает паракератоза,
• - увеличена толщина зернистого слоя,
• - крупные гранулы в отдельных кератиноцитах,
• - нерегулярный паттерн «зубьев пилы»,
• - различное количество розовых телец апоптоза,
• - иногда между эпидермисом и сосочковой дермой образуется щель,
• - может образоваться булла и кровоизлияние,
• - лихеноидный лимфоцитарный инфильтрат чаще всего бывает
плотным.
Плоский волосяной лишай
• Вариант плоского лишая, где главным местом
поражения является воронка волос скальпа.
• Клинически заболевание характеризуется
фолликулярными папулами на коже, рубцовой
алопецией на волосистой части головы,
внешне нерубцовой алопецией в
подмышечных складках и на лобке. Типичные
папулы красного плоского лишая иногда
обнаруживаются на слизистой оболочке
полости рта, реже на коже туловища.
Гистология
• - вариант плоского лишая, где основным
местом повреждения является волосяная
воронка,
• - те же изменения, что и при плоском лишае,
но основные изменения в воронке,
• - приводит к разрушению фолликула и
алопеции,
• - типичен лимфоцитарный инфильтрат
перифолликулярно и признаки повреждения
волосяного фолликула.
Лихеноидная лекарственная сыпь
LICHENOID DRUG ERUPTION
• Обычно развивается после воздействия солей
золота, тиазидовых диуретиков, ингибиторов
протонной помпы и реактивов для проявления
цветной фотопленки.
• - Обильная сыпь на туловище и конечностях.
• - Фотораспределение (больше выражена на местах,
подвергающихся действию солнечного света).
• - Сыпь может быть похожа на экзему и псориаз.
• - Довольно часто поражаются ногти и слизистые
оболочки. Картина как при плоском лишае.
• - После исчезновения оставляет пигментацию.
Гистология
• - похожа на плоский лишай,
• - может быть паракератоз,
• - в лимфоцитарном инфильтрате дермы может быть
примесь плазматических клеток и эозинофилов
Блестящий лишай LICHEN NITIDUS
• Заболевание встречается чаще у детей.
• Первичным элементом являются изолированные
плоские папулы диаметром 1-2 мм с блестящей
нешелушащейся поверхностью.
• Наиболее часто сыпь располагается в области
коленных и локтевых суставов, на коже полового
члена.
• Редко сыпь имеет генерализованный характер и
может локализоваться на слизистых оболочках.
• Возможно поражение ладоней, подошв и ногтей.
• Субъективные ощущения обычно отсутствуют.
• Течение дерматоза может быть длительным.
• Первичным
элементом являются
изолированные
плоские папулы
диаметром 1-2 мм с
блестящей
нешелушащейся
поверхностью, с
четкими границами,
имеющие округлые
очертания, телесной
либо бледно-розовой
окраски или цвета
нормальной кожи.
Гистология
• - минимальный лихеноидный лимфоцитарный
инфильтрат,
• - «когтеобразная» конфигурация эпидермиса с
изогнутыми удлиненными гребнями
эпидермиса вокруг лимфоцитарного
инфильтрата сосочковой дермы,
• - может быть паракератоз,
• - воспалительный инфильтрат может
распространяться на эпидермис.
Вакуолярный интерфейсный паттерн
• Красная волчанка LUPUS ERYTHEMATOSUS
• Дерматополимиозит DERMATOMYOSITIS
• Группа многоформной эритемы ERYTHEMA
MULTIFORME GROUP
• - фиксированная лекарственная сыпь FIXED
DRUG ERUPTION
• -многоформная эритема ERYTHEMA
MULTIFORME
• -токсический эпидермальный некролиз TOXIC
EPIDERMAL NECROLYSIS
Вакуолярный паттерн
• Вакуолизации эпидермальных клеток базального слоя часто предшествует полоса
воспалительного инфильтрата под эпидермисом (лихеноидный паттерн). Вакуолярный и
лихеноидный паттерн часто сочетаются.
Заболевания группы
многоформной эритемы
• Фиксированная лекарственная эритема
• Многоформная эритема
• Токсический эпидермальный некролиз)
Фиксированная лекарственная эритема
• При повторных контактах с причинно-значимым
лекарственным средством или с веществом со
сходной антигенной структурой высыпания
повторяются каждый раз на одном и том же месте.
• В типичных случаях высыпания представлены
эритематозно-отечными элементами округлой или
овальной формы, размером от 2 см до 25-30 см с
четкими границами.
• В дальнейшем элементы уплотняются и
приобретают пурпурно-красную окраску.
• Иногда высыпания бывают в виде экзематозных,
уртикарных, везикулобуллезных, геморрагических
или узелковых элементов.
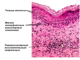
Гистология
• - отдельные и сгруппированные коллоидные тельца
апоптоза с эозинофильной цитоплазмой и
маленьким, темным ядром, либо без ядра.
• - спонгиоз и экзоцитоз лимфоцитов.
• - очаговые и слабовыраженные вакуолярные
интерфесные изменения.
• - периваскулярные лимфоцитарные инфильтраты в
сетчатой дерме. Могут присутствовать нейтрофилы
и эозинофилы.
• - может формироваться расщепление на уровне
дермоэпидермального соединения.
Многоформная эритема
• Рецидивирующая сыпь в форме бляшек,
похожих на крапивницу, но фиксированных.
Характерной особенностью являются
мишеневидные элементы. Могут возникать
эритематозные пятна и папулы.
• Локализация различная, в том числе на
ладонях и подошвах, а также на слизистых
оболочках.
• Причина идиопатическая, но может также
возникать при инфекции ВПН, микоплазме и
как реакция на лекарства.
Гистология похожа на фиксированную
лекарственную эритему, но более яркая:
• - больше телец апоптоза.
• - более выражены вакуолярные
интерфейсные изменения.
• - могут быть буллы с геморрагическим
содержимым.
• - часто периваскулярные геморрагии.
• Для постановки диагноза обязательны:
вакуолярные интерфейсные изменения и
тельца апоптоза.
Токсический эпидермальный некролиз
(синдром Стивенса-Джонсона, Лайела).
• Клинические проявления:
• - тяжелое, угрожающее жизни течение,
• - крупные, дряблые, сливающиеся пузыри,
которые могут распространиться на всю
поверхность кожи,
• - чаще всего является реакцией на
лекарства. Во многих случаях причина
неясная.
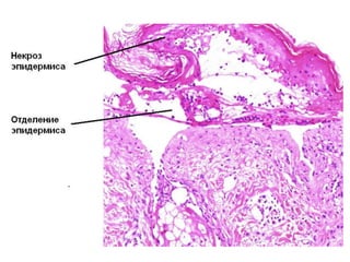
Гистология
• - некроз эпидермиса на всю глубину,
• - эпидермис отделяется от дермы и формируются
буллы,
• - по краям буллы некротические кератиноциты,
• - присутствие клеток воспаления вариабельное.
•
• Дифференциальный диагноз:
• Стафилококковый синдром ошпаренной кожи
(расщепление эпидермиса на уровне зернистого
слоя).
Красная волчанка и системная
красная волчанка
Острая кожная красная волчанка
• Специфическая сыпь в форме «бабочки»
(покраснение и отек, носогубная область не
затронута)
• Эритематозная папулезная сыпь на руках,
иногда в форме больших бляшек. Может быть
и других локализаций.
• Фоточувствительность (сыпь на местах
открытых солнцу).
• Хейлит и афты во рту
• Буллы и эрозии
Подострая кожная красная волчанка
• Вызывается или усиливается солнечным
светом
• Псориазоподобные элементы на спине,
груди и плечах
• Кольцевидные или полициклические
бляшки с центральным очищением
• Выздоровление без рубцов
Хроническая кожная красная волчанка
• Дискоидная
• Гипертрофическая
Дискоид
Дискоид
Гипертрофическая красная волчанка
Гипертрофическая красная волчанка
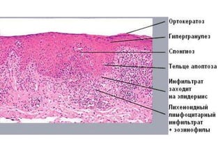
Гистология
• - эпидермис может быть как с атрофией, так и с акантозом
(утолщением), причем даже в одном препарате.
• - часто гиперкератоз, обычно ортокератоз.
• - интерфейсные вакуолярные изменения от выраженных до очаговых
и одиночных (наиболее характерный, но не обязательный признак).
• - иногда тельца апоптоза.
• - в старых элементах базальная мембрана утолщена и иррегулярна.
• - интерфейсный лимфоцитарный инфильтрат: лихеноидный и/или
вблизи придатков кожи.
• - периваскулярный лимфоцитарный инфильтрат на различной
глубине дермы.
• - увеличение количества муцина в сетчатой дерме во многих случаях.
• НЕ ВСЕ ОДНОВРЕМЕННО!
Волчаночная полоса
• Тест на волчаночную полосу выявляет гранулярное
отложение IgG и компонентов системы комплемента в
зоне базальной мембраны.
• Желательно подвергнуть исследованию как минимум 2
биоптата (из свежего элемента и со здоровой кожи).
• Полный вариант теста включает также исследование
кожи, подвергшейся УФ облучению в эритемной дозе.
• При активной СКВ, как правило, тест позитивен во всех
трех образцах.
• При красной волчанке позитивность в биоптате свежего
элемента и облученной коже, но не в здоровой.
• В непрямой иммунофлюоресценции окрашивания в
зоне базальной мембраны нет.
Дерматополимиозит
• Красноватые или пурпурные бляшки, чаще в
зонах солнечного облучения
• Пурпурные веки – гелиотропная сыпь.
• Пурпурные папулы на местах выступающих
костей – папулы Готтрона
• Зазубренные края и телеангиэктазии ногтевых
лож
• Сыпь на щеках, носу, плечах, груди и локтях
• Реже пойкилодермия
• Гелиотропная сыпь
• Папулы Готтрона
• Пойкилодермия
Гистология
• Гистологические изменения кожи такие же
как при волчанке
• Иммунофлюоресценция также может
обнаружить «волчаночную полосу»
Гистологические признаки миозита
• Спасибо за внимание!

интерфейсный паттерн

  • 1.
  • 2.
    • Данная презентацияявляется частью блока занятий по гистологической диагностике кожных болезней. • Познакомиться со всеми материалами вы можете на странице http://valivach.com/ в разделе «Материалы» / «Паттерновый подход к гистологической диагностике кожных болезней». Либо в google.com произведите поиск по словам валивач материалы
  • 3.
    Интерфейсный паттерн • Интерфейс– это граница раздела. • Интерфейсными называют нарушения в эпидермисе или в дерме, которые находятся вблизи этой границы.
  • 4.
    • Лихеноидный интерфейсныйпаттерн характеризуется полосой лимфоцитарного инфильтрата в верхних отделах дермы сразу под базальной мембраной. • Нужно сказать, что при вакуолярном варианте интерфейсного паттерна тоже может одновременно присутствует лихеноидный инфильтрат. • Либо вначале развивается лихеноидный паттерн, а затем появляется вакуолизация. То есть, одновременно присутствуют оба варианта. Лихеноидный интерфейсный паттерн Вакуолярный интерфейсный паттерн
  • 5.
    Лихеноидный интерфейсный паттерн •Плоский лишай LICHEN PLANUS • Плоский волосяной лишай LICHEN PLANOPILARIS • Блестящий лишай LICHEN NITIDUS • Лихеноидные лекарственные высыпания LICHENOID DRUG ERUPTION
  • 6.
    Вакуолярный интерфейсный паттерн •Красная волчанка LUPUS ERYTHEMATOSUS • Дерматополимиозит DERMATOMYOSITIS • Группа многоформной эритемы ERYTHEMA MULTIFORME GROUP • - фиксированная лекарственная сыпь FIXED DRUG ERUPTION • -многоформная эритема ERYTHEMA MULTIFORME • -токсический эпидермальный некролиз TOXIC EPIDERMAL NECROLYSIS
  • 7.
    Плоский лишай LICHENPLANUS • Чаще всего высыпания появляются на сгибательной поверхности предплечий, внутренней поверхности бедер, передней поверхности голеней, а также в паху и подмышках. Могут быть элементы на слизистой рта.
  • 8.
    • Это маленькиеузелки с блестящей поверхностью, резко отграниченные от окружающей кожи. • Цвет высыпаний густо- красный, синюшный, а иногда и буроватый. • В центре отдельных узелков имеется пупкообразное вдавление. • Узелки могут сливаться, образуя бляшки, на которых можно заметить своеобразный сетчатый рисунок
  • 11.
    Гистология • - типичныйлихеноидный интерфейсный дерматит, • - иногда выраженный акантоз, • - иногда атрофия, • - часто гиперкератоз, • - не бывает паракератоза, • - увеличена толщина зернистого слоя, • - крупные гранулы в отдельных кератиноцитах, • - нерегулярный паттерн «зубьев пилы», • - различное количество розовых телец апоптоза, • - иногда между эпидермисом и сосочковой дермой образуется щель, • - может образоваться булла и кровоизлияние, • - лихеноидный лимфоцитарный инфильтрат чаще всего бывает плотным.
  • 16.
    Плоский волосяной лишай •Вариант плоского лишая, где главным местом поражения является воронка волос скальпа. • Клинически заболевание характеризуется фолликулярными папулами на коже, рубцовой алопецией на волосистой части головы, внешне нерубцовой алопецией в подмышечных складках и на лобке. Типичные папулы красного плоского лишая иногда обнаруживаются на слизистой оболочке полости рта, реже на коже туловища.
  • 20.
    Гистология • - вариантплоского лишая, где основным местом повреждения является волосяная воронка, • - те же изменения, что и при плоском лишае, но основные изменения в воронке, • - приводит к разрушению фолликула и алопеции, • - типичен лимфоцитарный инфильтрат перифолликулярно и признаки повреждения волосяного фолликула.
  • 22.
    Лихеноидная лекарственная сыпь LICHENOIDDRUG ERUPTION • Обычно развивается после воздействия солей золота, тиазидовых диуретиков, ингибиторов протонной помпы и реактивов для проявления цветной фотопленки. • - Обильная сыпь на туловище и конечностях. • - Фотораспределение (больше выражена на местах, подвергающихся действию солнечного света). • - Сыпь может быть похожа на экзему и псориаз. • - Довольно часто поражаются ногти и слизистые оболочки. Картина как при плоском лишае. • - После исчезновения оставляет пигментацию.
  • 26.
    Гистология • - похожана плоский лишай, • - может быть паракератоз, • - в лимфоцитарном инфильтрате дермы может быть примесь плазматических клеток и эозинофилов
  • 28.
    Блестящий лишай LICHENNITIDUS • Заболевание встречается чаще у детей. • Первичным элементом являются изолированные плоские папулы диаметром 1-2 мм с блестящей нешелушащейся поверхностью. • Наиболее часто сыпь располагается в области коленных и локтевых суставов, на коже полового члена. • Редко сыпь имеет генерализованный характер и может локализоваться на слизистых оболочках. • Возможно поражение ладоней, подошв и ногтей. • Субъективные ощущения обычно отсутствуют. • Течение дерматоза может быть длительным.
  • 29.
    • Первичным элементом являются изолированные плоскиепапулы диаметром 1-2 мм с блестящей нешелушащейся поверхностью, с четкими границами, имеющие округлые очертания, телесной либо бледно-розовой окраски или цвета нормальной кожи.
  • 31.
    Гистология • - минимальныйлихеноидный лимфоцитарный инфильтрат, • - «когтеобразная» конфигурация эпидермиса с изогнутыми удлиненными гребнями эпидермиса вокруг лимфоцитарного инфильтрата сосочковой дермы, • - может быть паракератоз, • - воспалительный инфильтрат может распространяться на эпидермис.
  • 35.
    Вакуолярный интерфейсный паттерн •Красная волчанка LUPUS ERYTHEMATOSUS • Дерматополимиозит DERMATOMYOSITIS • Группа многоформной эритемы ERYTHEMA MULTIFORME GROUP • - фиксированная лекарственная сыпь FIXED DRUG ERUPTION • -многоформная эритема ERYTHEMA MULTIFORME • -токсический эпидермальный некролиз TOXIC EPIDERMAL NECROLYSIS
  • 36.
    Вакуолярный паттерн • Вакуолизацииэпидермальных клеток базального слоя часто предшествует полоса воспалительного инфильтрата под эпидермисом (лихеноидный паттерн). Вакуолярный и лихеноидный паттерн часто сочетаются.
  • 37.
    Заболевания группы многоформной эритемы •Фиксированная лекарственная эритема • Многоформная эритема • Токсический эпидермальный некролиз)
  • 38.
    Фиксированная лекарственная эритема •При повторных контактах с причинно-значимым лекарственным средством или с веществом со сходной антигенной структурой высыпания повторяются каждый раз на одном и том же месте. • В типичных случаях высыпания представлены эритематозно-отечными элементами округлой или овальной формы, размером от 2 см до 25-30 см с четкими границами. • В дальнейшем элементы уплотняются и приобретают пурпурно-красную окраску. • Иногда высыпания бывают в виде экзематозных, уртикарных, везикулобуллезных, геморрагических или узелковых элементов.
  • 44.
    Гистология • - отдельныеи сгруппированные коллоидные тельца апоптоза с эозинофильной цитоплазмой и маленьким, темным ядром, либо без ядра. • - спонгиоз и экзоцитоз лимфоцитов. • - очаговые и слабовыраженные вакуолярные интерфесные изменения. • - периваскулярные лимфоцитарные инфильтраты в сетчатой дерме. Могут присутствовать нейтрофилы и эозинофилы. • - может формироваться расщепление на уровне дермоэпидермального соединения.
  • 49.
    Многоформная эритема • Рецидивирующаясыпь в форме бляшек, похожих на крапивницу, но фиксированных. Характерной особенностью являются мишеневидные элементы. Могут возникать эритематозные пятна и папулы. • Локализация различная, в том числе на ладонях и подошвах, а также на слизистых оболочках. • Причина идиопатическая, но может также возникать при инфекции ВПН, микоплазме и как реакция на лекарства.
  • 55.
    Гистология похожа нафиксированную лекарственную эритему, но более яркая: • - больше телец апоптоза. • - более выражены вакуолярные интерфейсные изменения. • - могут быть буллы с геморрагическим содержимым. • - часто периваскулярные геморрагии. • Для постановки диагноза обязательны: вакуолярные интерфейсные изменения и тельца апоптоза.
  • 58.
    Токсический эпидермальный некролиз (синдромСтивенса-Джонсона, Лайела). • Клинические проявления: • - тяжелое, угрожающее жизни течение, • - крупные, дряблые, сливающиеся пузыри, которые могут распространиться на всю поверхность кожи, • - чаще всего является реакцией на лекарства. Во многих случаях причина неясная.
  • 63.
    Гистология • - некрозэпидермиса на всю глубину, • - эпидермис отделяется от дермы и формируются буллы, • - по краям буллы некротические кератиноциты, • - присутствие клеток воспаления вариабельное. • • Дифференциальный диагноз: • Стафилококковый синдром ошпаренной кожи (расщепление эпидермиса на уровне зернистого слоя).
  • 66.
    Красная волчанка исистемная красная волчанка
  • 67.
    Острая кожная краснаяволчанка • Специфическая сыпь в форме «бабочки» (покраснение и отек, носогубная область не затронута) • Эритематозная папулезная сыпь на руках, иногда в форме больших бляшек. Может быть и других локализаций. • Фоточувствительность (сыпь на местах открытых солнцу). • Хейлит и афты во рту • Буллы и эрозии
  • 70.
    Подострая кожная краснаяволчанка • Вызывается или усиливается солнечным светом • Псориазоподобные элементы на спине, груди и плечах • Кольцевидные или полициклические бляшки с центральным очищением • Выздоровление без рубцов
  • 72.
    Хроническая кожная краснаяволчанка • Дискоидная • Гипертрофическая
  • 73.
  • 74.
  • 75.
  • 76.
  • 77.
    Гистология • - эпидермисможет быть как с атрофией, так и с акантозом (утолщением), причем даже в одном препарате. • - часто гиперкератоз, обычно ортокератоз. • - интерфейсные вакуолярные изменения от выраженных до очаговых и одиночных (наиболее характерный, но не обязательный признак). • - иногда тельца апоптоза. • - в старых элементах базальная мембрана утолщена и иррегулярна. • - интерфейсный лимфоцитарный инфильтрат: лихеноидный и/или вблизи придатков кожи. • - периваскулярный лимфоцитарный инфильтрат на различной глубине дермы. • - увеличение количества муцина в сетчатой дерме во многих случаях. • НЕ ВСЕ ОДНОВРЕМЕННО!
  • 85.
    Волчаночная полоса • Тестна волчаночную полосу выявляет гранулярное отложение IgG и компонентов системы комплемента в зоне базальной мембраны. • Желательно подвергнуть исследованию как минимум 2 биоптата (из свежего элемента и со здоровой кожи). • Полный вариант теста включает также исследование кожи, подвергшейся УФ облучению в эритемной дозе. • При активной СКВ, как правило, тест позитивен во всех трех образцах. • При красной волчанке позитивность в биоптате свежего элемента и облученной коже, но не в здоровой. • В непрямой иммунофлюоресценции окрашивания в зоне базальной мембраны нет.
  • 86.
    Дерматополимиозит • Красноватые илипурпурные бляшки, чаще в зонах солнечного облучения • Пурпурные веки – гелиотропная сыпь. • Пурпурные папулы на местах выступающих костей – папулы Готтрона • Зазубренные края и телеангиэктазии ногтевых лож • Сыпь на щеках, носу, плечах, груди и локтях • Реже пойкилодермия
  • 87.
  • 88.
  • 89.
  • 92.
    Гистология • Гистологические изменениякожи такие же как при волчанке • Иммунофлюоресценция также может обнаружить «волчаночную полосу»
  • 93.
  • 94.
    • Спасибо завнимание!