Гранулематозный паттерн
дермы
Валивач М.Н.
2016
• Данная презентация является частью блока
занятий по гистологической диагностике
кожных болезней.
• Познакомиться со всеми материалами вы
можете на странице http://valivach.com/ в
разделе «Материалы» / «Паттерновый
подход к гистологической диагностике
кожных болезней». Либо в google.com
произведите поиск по словам валивач
материалы
• Гранулема – это попытка организма
ограничить или изолировать инфекционный
или воспалительный процесс.
• Самыми частыми причинами образования
гранулем в коже являются: разрыв кисты
(реакция на инородное тело), кольцевидная
гранулема, солнечная гранулема, липоидный
некробиоз, туберкулез и лепра. Иногда –
глубокий микоз.
• Механизм образования гранулемы
заключается в том, что в ответ на
инородное тело макрофаги
выделяют цитокины и привлекают
другие макрофаги в очаг (гранулема
инородного тела).
• При другом механизме макрофаги
презентируют фагоцитированный
антиген Т-хелперам, а те
вырабатывают гамма-интерферон и
другие цитокины, которые
привлекают макрофаги и
удерживают их в очаге (реакция
гиперчувствительности
замедленного типа).
Активированные макрофаги имеют
свойство сливаться в гигантские
многоядерные клетки.
Гигантская клетка
инородного тела (ядра
в центре)
Гигантские клетки
РГЧЗТ (ядра по
периферии). Клетка
Лангханса.
Гранулемы подразделяют на 4 типа:
• туберкулоидные,
• саркоидные,
• палисадниковые
• и инфекционные (гнойные).
• Сердцевину саркоидной
гранулемы составляют
эпителиоидные гистиоциты
и немного гигантских
многоядерных клеток.
Вокруг скудно лимфоциты.
• Саркоидную гранулему
часто называют
«обнаженной», так как они
представляют собой
скопление гистиоцитов без
окружения из лимфоцитов и
нейтрофилов, либо с
минимальным окружением.
• Центральный некроз
возникает редко.
Саркоидная гранулема
• При туберкулоидной гранулеме мы также видим
скопление гистиоцитов, но в центре есть некроз, а
гранулема окружена лимфоцитами и нейтрофилами.
• При палисадниковой гранулеме мы видим клетки, окружающие
разрушенный коллаген (некробиоз), иногда муцин или инородное
тела в центре палисадниковой гранулемы.
• В центре гнойной гранулемы находятся нейтрофилы и эта гранулема
является частью инфекционного абсцесса. Самой частой причиной
гнойной гранулемы являются разрыв фолликула или кисты.
Заболевания дермы с
гранулематозным паттерном
• Кольцевидная гранулема
• Солнечная гранулема
• Липоидный некробиоз
• Некробиотическая ксантогранулема
• Туберкулез кожи
• Проказа (лепра)
• Саркоидоз кожи
• Глубокие микозы
Кольцевидная гранулема
• Кольцевидная гранулема -
хроническое заболевание кожи,
причина которого неизвестна;
• Характеризуется появлением
небольших плотных,
возвышающихся узелков,
которые формируют кольцо с
нормальной или слегка
западающей кожей в центре.
• Узелки бывают или
желтоватыми, или цвета
окружающей кожи; может
появляться одно кольцо или
несколько.
• Узелки обычно не вызывают
боли или зуда; они, как правило,
формируются на стопах, ногах,
кистях рук и пальцах как у детей,
так и у взрослых.
Гистология
• Кольцевидная гранулема имеет две формы
интерстициальную и палисадниковую.
• При интерстициальной форме виден муциновый
инфильтрат между коллагеновыми волокнами.
• При палисадниковом типе кроме этого мы видим
гранулемы с коллагеном в центре и в окружении
гистиоцитов.
• Главное отличие кольцевидной гранулемы от
липоидного некробиоза наличие муцина между
коллагеновыми волокнами при кольцевидной
гранулеме.
• При кольцевидной гранулеме могут быть гигантские
многоядерные клетки как инородного тела, так и ГЧЗТ.
Солнечная гранулема
• Наблюдается на коже,
подвергшейся солнечному
облучению.
• Выглядит как
эритематозная папула с
приподнятым краем,
который распространяется
центробежно.
• В центре может
развиваться атрофия.
• Элементы обычно
бессимптомны.
Гистология
• При солнечной гранулеме такой же
палисадниковый паттерн гранулемы, как и
при кольцевидной гранулеме, но нет
муцина между коллагеновыми волокнами.
В центре утрата эластической ткани.
Биопсия с края и с центра.
Липоидный некробиоз
• При липоидном некробиозе некробиотические
изменения коллагена распространяются глубже в
сетчатую дерму.
• Часто бывает слоистый инфильтрат лимфоцитов и
гистиоцитов между поврежденными
коллагеновыми волокнами.
• Не видно муцина.
• Могут обнаруживаться плазматические клетки.
• Термин некробиотический относится к
изменениям в соединительной ткани дермы.
• В зоне некробиоза границы клеток утрачиваются.
• Эти зоны бледнее прокрашиваются.
• Часто у больных есть сахарный диабет или вскоре
развивается.
Некробиотическая ксантогранулема
• Это многосистемное
заболевание, гистологически
сходное с липоидным
некробиозом.
• Может поражаться нет только
дерма, но и подкожная
клетчатка.
• У 80% больных обнаруживаются
парапротеинемии в форме
болезни легких цепей (чаще IgG
каппа) и
лимфопролиферативные
заболевания.
• Типичны желтоватые бляшки на
лице, особенно
параорбитальные. Могут быть и
другие локализации.
Нет муцина между
волокнами коллагена
Туберкулезные гранулемы
• В месте первичной инокуляции палочки туберкулеза вначале
развивается гиперплазия эпидермиса и плотный
воспалительный инфильтрат, богатый нейтрофилами.
• Со временем нейтрофилы замещаются хроническими клетками воспаления и
формированием гранулем, окруженных многочисленными лимфоцитами. На
рисунках под разным увеличением показан один и тот же очаг казеозного
некротизирующего гранулематозного воспаления, окруженный лимфоцитами.
Проказа (лепра)
• Хронический гранулематоз (хроническое
инфекционное заболевание),
вызываемый микобактериями
Mycobacterium leprae и Mycobacterium
lepromatosis, протекающий с
преимущественным поражением кожи,
периферической нервной системы, иногда
передней камеры глаза, верхних
дыхательных путей выше гортани, яичек, а
также кистей и стоп.
Лепроматозная проказа
• Обычно сопровождается обширными
и симметричными относительно срединной линии тела
поражениями кожи.
• Очаги поражения могут быть представлены
пятнами, бляшками, папулами, узлами (лепромами). Они
имеют расплывчатые границы, плотный и выпуклый центр.
• Кожа между элементами утолщена. Чаще всего страдают
лицо, ушные раковины, запястья, локти, ягодицы и колени.
• Характерный признак — выпадение наружной трети
бровей.
• Для поздних стадий болезни характерны «львиное лицо»
(искажение черт лица и нарушение мимики из-за
утолщения кожи), разрастание мочек ушей.
Туберкулоидная проказа
• Обычно начинается появлением четко очерченного
гипопигментированного пятна, в пределах которого
отмечается гиперестезия.
• В дальнейшем пятно увеличивается, его края приподнимаются,
становятся валикообразными с кольцевидным или
спиралевидным рисунком.
• Центральная часть пятна подвергается атрофии и западает.
• В пределах этого очага кожа лишена чувствительности,
отсутствуют потовые железы и волосяные фолликулы.
• Вблизи пятна обычно пальпируются утолщенные нервы,
иннервирующие пораженные участки.
• Поражение нервов приводит к атрофии мышц; особенно
страдают мышцы кисти.
• Нередки контрактуры кистей и стоп.
Гистология
• Лепра также дает гранулемы туберкулоидного типа.
• Обычно всегда есть центральный некроз и значительное
лимфоцитарное кольцо.
• Грануломы в том числе могут располагаться вокруг
крупных нервов.
• Если иммунитет хороший, то можно увидеть
туберкулоидную лепру со сформированными
гранулемами, но мало микроорганизмов.
• Если иммунитет слабый, то будет много
микроорганизмов, но гранулемы плохо сформированы
(лепроматоидная лепра). В старых очагах могут быть
пенистые макрофаги.
Туберкулоидная лепра. В дерме гранулемы туберкулоидного и
саркоидного типа с гигантскими клетками Лангханса.
Гистология лепроматозной лепры:
Специальные исследования при
лепре
• Микобактерию лепры можно обнаружить с
помощью модифицированного окрашивания
по Цилю-Нильсену (Wade-Fite).
• В гранулемах при лепроматозной лепре
можно обнаружить значительное количество
микроорганизмов, которые легко
идентифицировать.
• При туберкулоидной лепре микроорганизмов
мало и диагностика составляет трудности. В
настоящее время в таких случаях
рекомендуется ПЦР.
Саркоидоз кожи
• Это многосистемное гранулематозное
заболевание. Частота поражения органов:
• Легкие 90%
• Кожа 20-35%
• Глаза 20-30%
• Печень 30-40%
• Сердце 5-25%
• Нервная система 1-5%
• Опорнодвигательная система 2-38%
Кожные симптомы
• Неспецифические: узловатая эритема,
монетовидная экзема, многоформная
эритема, кальциноз кожи, зуд.
• Специфические симптомы: Люпус пернио
(озлобленная волчанка) в форме крупных
фиолетовых плотных узлов и бляшек на носу,
щеках, ушах и пальцах; Бляшки пурпурно-
красные, округлые; Макулопапулезные
элементы; Подкожные узлы; Инфильтрация
старых рубцов.
• Биопсию берут со специфических элементов.
Гистология
• Саркоидные гранулемы называют
обнаженными, так как при них наблюдается
только скопление эпителиоидных гистиоцитов.
• Редко бывает некроз.
• Вокруг гранулемы нет кольца из лимфоцитов,
либо лимфоциты в малом количестве.
• Такие изменения обнаруживают только в
специфических кожных элементах.
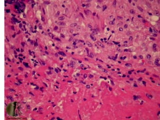
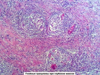
Инфекционные гранулемы.
Глубокие микозы
Гистология
• Характерны гнойные гранулемы.
• Для обнаружения грибов требуются
специальные методы окрашивания.
• Спасибо за внимание!

гранулематозный паттерн дермы

  • 1.
  • 2.
    • Данная презентацияявляется частью блока занятий по гистологической диагностике кожных болезней. • Познакомиться со всеми материалами вы можете на странице http://valivach.com/ в разделе «Материалы» / «Паттерновый подход к гистологической диагностике кожных болезней». Либо в google.com произведите поиск по словам валивач материалы
  • 3.
    • Гранулема –это попытка организма ограничить или изолировать инфекционный или воспалительный процесс. • Самыми частыми причинами образования гранулем в коже являются: разрыв кисты (реакция на инородное тело), кольцевидная гранулема, солнечная гранулема, липоидный некробиоз, туберкулез и лепра. Иногда – глубокий микоз.
  • 4.
    • Механизм образованиягранулемы заключается в том, что в ответ на инородное тело макрофаги выделяют цитокины и привлекают другие макрофаги в очаг (гранулема инородного тела). • При другом механизме макрофаги презентируют фагоцитированный антиген Т-хелперам, а те вырабатывают гамма-интерферон и другие цитокины, которые привлекают макрофаги и удерживают их в очаге (реакция гиперчувствительности замедленного типа). Активированные макрофаги имеют свойство сливаться в гигантские многоядерные клетки. Гигантская клетка инородного тела (ядра в центре) Гигантские клетки РГЧЗТ (ядра по периферии). Клетка Лангханса.
  • 5.
    Гранулемы подразделяют на4 типа: • туберкулоидные, • саркоидные, • палисадниковые • и инфекционные (гнойные).
  • 6.
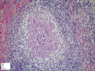
    • Сердцевину саркоидной гранулемысоставляют эпителиоидные гистиоциты и немного гигантских многоядерных клеток. Вокруг скудно лимфоциты. • Саркоидную гранулему часто называют «обнаженной», так как они представляют собой скопление гистиоцитов без окружения из лимфоцитов и нейтрофилов, либо с минимальным окружением. • Центральный некроз возникает редко. Саркоидная гранулема
  • 9.
    • При туберкулоиднойгранулеме мы также видим скопление гистиоцитов, но в центре есть некроз, а гранулема окружена лимфоцитами и нейтрофилами.
  • 12.
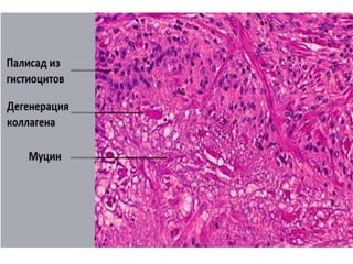
    • При палисадниковойгранулеме мы видим клетки, окружающие разрушенный коллаген (некробиоз), иногда муцин или инородное тела в центре палисадниковой гранулемы.
  • 14.
    • В центрегнойной гранулемы находятся нейтрофилы и эта гранулема является частью инфекционного абсцесса. Самой частой причиной гнойной гранулемы являются разрыв фолликула или кисты.
  • 16.
    Заболевания дермы с гранулематознымпаттерном • Кольцевидная гранулема • Солнечная гранулема • Липоидный некробиоз • Некробиотическая ксантогранулема • Туберкулез кожи • Проказа (лепра) • Саркоидоз кожи • Глубокие микозы
  • 17.
    Кольцевидная гранулема • Кольцевиднаягранулема - хроническое заболевание кожи, причина которого неизвестна; • Характеризуется появлением небольших плотных, возвышающихся узелков, которые формируют кольцо с нормальной или слегка западающей кожей в центре. • Узелки бывают или желтоватыми, или цвета окружающей кожи; может появляться одно кольцо или несколько. • Узелки обычно не вызывают боли или зуда; они, как правило, формируются на стопах, ногах, кистях рук и пальцах как у детей, так и у взрослых.
  • 19.
    Гистология • Кольцевидная гранулемаимеет две формы интерстициальную и палисадниковую. • При интерстициальной форме виден муциновый инфильтрат между коллагеновыми волокнами. • При палисадниковом типе кроме этого мы видим гранулемы с коллагеном в центре и в окружении гистиоцитов. • Главное отличие кольцевидной гранулемы от липоидного некробиоза наличие муцина между коллагеновыми волокнами при кольцевидной гранулеме. • При кольцевидной гранулеме могут быть гигантские многоядерные клетки как инородного тела, так и ГЧЗТ.
  • 21.
    Солнечная гранулема • Наблюдаетсяна коже, подвергшейся солнечному облучению. • Выглядит как эритематозная папула с приподнятым краем, который распространяется центробежно. • В центре может развиваться атрофия. • Элементы обычно бессимптомны.
  • 22.
    Гистология • При солнечнойгранулеме такой же палисадниковый паттерн гранулемы, как и при кольцевидной гранулеме, но нет муцина между коллагеновыми волокнами. В центре утрата эластической ткани. Биопсия с края и с центра.
  • 25.
  • 26.
    • При липоидномнекробиозе некробиотические изменения коллагена распространяются глубже в сетчатую дерму. • Часто бывает слоистый инфильтрат лимфоцитов и гистиоцитов между поврежденными коллагеновыми волокнами. • Не видно муцина. • Могут обнаруживаться плазматические клетки. • Термин некробиотический относится к изменениям в соединительной ткани дермы. • В зоне некробиоза границы клеток утрачиваются. • Эти зоны бледнее прокрашиваются. • Часто у больных есть сахарный диабет или вскоре развивается.
  • 28.
    Некробиотическая ксантогранулема • Этомногосистемное заболевание, гистологически сходное с липоидным некробиозом. • Может поражаться нет только дерма, но и подкожная клетчатка. • У 80% больных обнаруживаются парапротеинемии в форме болезни легких цепей (чаще IgG каппа) и лимфопролиферативные заболевания. • Типичны желтоватые бляшки на лице, особенно параорбитальные. Могут быть и другие локализации.
  • 31.
  • 33.
  • 39.
    • В местепервичной инокуляции палочки туберкулеза вначале развивается гиперплазия эпидермиса и плотный воспалительный инфильтрат, богатый нейтрофилами.
  • 40.
    • Со временемнейтрофилы замещаются хроническими клетками воспаления и формированием гранулем, окруженных многочисленными лимфоцитами. На рисунках под разным увеличением показан один и тот же очаг казеозного некротизирующего гранулематозного воспаления, окруженный лимфоцитами.
  • 46.
    Проказа (лепра) • Хроническийгранулематоз (хроническое инфекционное заболевание), вызываемый микобактериями Mycobacterium leprae и Mycobacterium lepromatosis, протекающий с преимущественным поражением кожи, периферической нервной системы, иногда передней камеры глаза, верхних дыхательных путей выше гортани, яичек, а также кистей и стоп.
  • 47.
    Лепроматозная проказа • Обычносопровождается обширными и симметричными относительно срединной линии тела поражениями кожи. • Очаги поражения могут быть представлены пятнами, бляшками, папулами, узлами (лепромами). Они имеют расплывчатые границы, плотный и выпуклый центр. • Кожа между элементами утолщена. Чаще всего страдают лицо, ушные раковины, запястья, локти, ягодицы и колени. • Характерный признак — выпадение наружной трети бровей. • Для поздних стадий болезни характерны «львиное лицо» (искажение черт лица и нарушение мимики из-за утолщения кожи), разрастание мочек ушей.
  • 51.
    Туберкулоидная проказа • Обычноначинается появлением четко очерченного гипопигментированного пятна, в пределах которого отмечается гиперестезия. • В дальнейшем пятно увеличивается, его края приподнимаются, становятся валикообразными с кольцевидным или спиралевидным рисунком. • Центральная часть пятна подвергается атрофии и западает. • В пределах этого очага кожа лишена чувствительности, отсутствуют потовые железы и волосяные фолликулы. • Вблизи пятна обычно пальпируются утолщенные нервы, иннервирующие пораженные участки. • Поражение нервов приводит к атрофии мышц; особенно страдают мышцы кисти. • Нередки контрактуры кистей и стоп.
  • 56.
    Гистология • Лепра такжедает гранулемы туберкулоидного типа. • Обычно всегда есть центральный некроз и значительное лимфоцитарное кольцо. • Грануломы в том числе могут располагаться вокруг крупных нервов. • Если иммунитет хороший, то можно увидеть туберкулоидную лепру со сформированными гранулемами, но мало микроорганизмов. • Если иммунитет слабый, то будет много микроорганизмов, но гранулемы плохо сформированы (лепроматоидная лепра). В старых очагах могут быть пенистые макрофаги.
  • 57.
    Туберкулоидная лепра. Вдерме гранулемы туберкулоидного и саркоидного типа с гигантскими клетками Лангханса.
  • 58.
  • 60.
    Специальные исследования при лепре •Микобактерию лепры можно обнаружить с помощью модифицированного окрашивания по Цилю-Нильсену (Wade-Fite). • В гранулемах при лепроматозной лепре можно обнаружить значительное количество микроорганизмов, которые легко идентифицировать. • При туберкулоидной лепре микроорганизмов мало и диагностика составляет трудности. В настоящее время в таких случаях рекомендуется ПЦР.
  • 62.
    Саркоидоз кожи • Этомногосистемное гранулематозное заболевание. Частота поражения органов: • Легкие 90% • Кожа 20-35% • Глаза 20-30% • Печень 30-40% • Сердце 5-25% • Нервная система 1-5% • Опорнодвигательная система 2-38%
  • 63.
    Кожные симптомы • Неспецифические:узловатая эритема, монетовидная экзема, многоформная эритема, кальциноз кожи, зуд. • Специфические симптомы: Люпус пернио (озлобленная волчанка) в форме крупных фиолетовых плотных узлов и бляшек на носу, щеках, ушах и пальцах; Бляшки пурпурно- красные, округлые; Макулопапулезные элементы; Подкожные узлы; Инфильтрация старых рубцов. • Биопсию берут со специфических элементов.
  • 68.
    Гистология • Саркоидные гранулемыназывают обнаженными, так как при них наблюдается только скопление эпителиоидных гистиоцитов. • Редко бывает некроз. • Вокруг гранулемы нет кольца из лимфоцитов, либо лимфоциты в малом количестве. • Такие изменения обнаруживают только в специфических кожных элементах.
  • 71.
  • 74.
    Гистология • Характерны гнойныегранулемы. • Для обнаружения грибов требуются специальные методы окрашивания.
  • 77.
    • Спасибо завнимание!