Несостоятельность
перфорантных вен нижних
конечностей
Валивач Михаил Николаевич
Заведующий отделением цитоморфологии
Павлодарского областного диагностического
центра
Казахстан 2015
• Кроме патологии вен автор сообщения
занимается проблемой васкулитов и
псевдоваскулитов.
• Информация: Для тех, кто предполагает
заниматься диагностикой васкулитов автор
презентации создал краткий справочник на 2
страницы «Шпаргалка по систематизации и
диагностике васкулитов и псевдоваскулитов».
Найти его можно через google.com. Для поиска
наберите валивач шпаргалка по диагностике
васкулитов.
Виртуальная школа для больных васкулитами. В
google.com наберите valivach.com виртуальная
школа для больных
Несостоятельность глубоких вен
Несостоятельность
поверхностных вен
Несостоятельность
перфорантных вен
Нет отека, нет варикоза, но есть
трофические нарушения
Сахарный диабет
Заболевания, требующие
дифференциальной
диагностики
Атероэмболия
Заболевания, требующие
дифференциальной
диагностики
Собственное
наблюдение
Несостоятельность
перфорантных вен
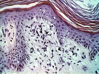
Аутосенситизационный дерматит при венозной
недостаточности голеней
При несостоятельности вен нижних конечностей местно
могут развиваться нарушения, похожие на экзему –
стазис дематит («венозная экзема». У некоторых больных
на любых других участках кожи развивается
аутоиммунный дерматит, который называют
аутосенситизационным.
Аутосенситизационный дерматит при венозной
недостаточности голеней
Аутосенситизационный дерматит при венозной
недостаточности голеней
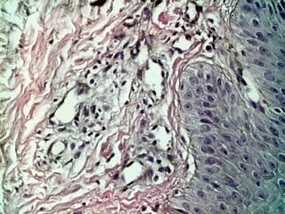
Венозный стазис-дерматит у этого же больного
Это и есть причина всех
остальных высыпаний. При
адекватном лечении стазис-
дерматита проходят все
высыпания.
Аутосенситизационный дерматит при венозной
недостаточности голеней
Собственное наблюдение
Перфорантные вены
• Коммуникантными принято называть
сосуды, соединяющие поверхностные и
глубокие вены, выделяя среди них прямые
- впадающие в основные стволы глубоких
вен, и непрямые - в их мышечные притоки.
• Так как коммуникантные вены проходят
через фасцию (перфорируют её), их также
называют перфорантными.
• Количество выявляемых на
одной нижней конечности
перфорантных вен
колеблется от 20 до 112
• Наибольшее количество
перфорантных вен на
голени.
Причины недостаточности
перфорантных вен
• Вторичная недостаточность при патологии
глубоких или поверхностных вен
• Врожденная слабость венозных клапанов
• Слабость венозных клапанов + внешние
факторы (например, длительное
пребывание на ногах или длительное
обездвиживание).
Симптомы венозной
недостаточности
• Отек (венолимфатический синдром)
• Варикоз
• Венозные телеангиэктазии
• Гиперпигментация
• Стазис-дерматит
• Панникулит (воспаление подкожной жировой клетчатки),
который может перейти в флегмону
• Липодерматосклероз
• Белая атрофия кожи
• Трофические язвы
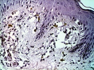
Венозные
телеангиэктазии
Стазис-дерматит,
липодерматосклероз и
пигментация
Венолимфатическая
недостаточность
• Характерные для хронической венозной
недостаточности отеки вызваны вторичной
недостаточностью лимфатической системы, так
как лимфатические сосуды быстро становятся
неспособными компенсировать повышенную
фильтрацию плазмы крови, вызванную
венозным застоем.
• То есть, лимфостаз, выявляемый на УЗИ, может
являться характерным симптомом венозной
недостаточности.
Венозные отеки =
венолимфатические отеки
Элефантизм. Следует
отличать от
венолимфатических
отеков
Даже минимальная венозная недостаточность,
например, венозная телеангиэктазия, может
сопровождаться такими симптомами как:
• Жжение
• Стазис-дерматит
• Чувство тяжести
• Утомляемость ног.
Классификация заболеваний вен CEAP
(клиника, этиология, анатомия,
патофизиология)
• Стадия
• Клиническая классификация
• Этиология
• Анатомия
• Патофизиология
Классификация заболеваний вен
CEAP. Стадия
• Стадия I: венозные телеангиэктазии, отек
• Стадия II: трофические нарушения
(дерматит, белая атрофия,
лимодерматосклероз)
• Стадия III: язвы стоп или голеней, рубцы
после язвы
Клиническая классификация
• Класс 0. Отсутствие симптомов болезни вен при осмотре и
пальпации.
• Класс 1. Телеангиэктазии или ретикулярные вены.
• Класс 2. Варикозно расширенные вены.
• Класс 3. Отек.
• Класс 4. Кожные изменения, обусловленные
заболеванием вен (пигментация, венозная экзема,
липодерматосклероз).
• Класс 5. Кожные изменения, указанные выше, и зажившая
язва.
• Класс 6. Кожные изменения, указанные выше, и активная
язва.
Этиологическая классификация
• Врожденное заболевание (ЕС).
• Первичное (ЕР) с неизвестной причиной.
• Вторичное (ES) с известной причиной:
посттромботическое, посттравматическое,
другие.
Анатомическая классификация
• Поверхностные вены (AS)
• 1. Телеангиэктазии / ретикулярные вены.
• Большая (длинная) подкожная вена (GSV).
• 2. Выше колена.
• 3. Ниже колена.
• 4. Малая (короткая) подкожная вена (LSV).
• 5. Немагистральная.
• Глубокие вены (AD)
• 6. Нижняя полая.
• Подвздошные вены.
• 7. Общая.
• 8. Внутренняя.
• 9. Наружная.
• 10. Тазовые — гонадные, широкой связки матки и пр.
• Бедренная.
• 11. Общая.
• 12. Глубокая.
• 13. Поверхностная.
• 14. Подколенная.
• 15. Вены голени — передняя и задняя большеберцовые, малоберцовая (все парные).
• 16. Мышечные — икроножные, стопы и др.
• Перфорантные вены (АР)
• 17. Бедра.
• 18. Голени.
Патофизиологическая
классификация
• Рефлюкс (PR).
• Обструкция (РО).
• Рефлюкс + обструкция (PR, О).
Лабораторное обследование
• Исследуется d-димер.
• Его повышение в сочетании с клиникой
венозной недостаточности является
высоко доказательным в отношении
тромбоза глубоких вен.
• Примечание: Повышение d-димера
сохраняется около 8 дней с момента
образования тромба.
Визуализация
• УЗИ (Доплер) применяется для выявления
как недостаточности, так и тромбоза вен.
• Чувствительность метода от 40% до >90% в
зависимости от локализации венознных
нарушений.
• Если УЗИ не может выявить характер
нарушений, то прибегают к
рентгеноконтрастной или контрастной МРТ
венографии.
Лечение венозной
недостаточности
• При тромбозе – антикоагулянтная терапия с
контролем МНО.
• Компрессионная терапия.
• Хирургическое лечение.
• Различные виды склеротерапии
(медикаментозная, лазерная,
радиочастотная и др.)
• Решающее значение имеет обучение
пациента.
Компрессионная терапия
венозной недостаточности
Компрессионная терапия
венозной недостаточности

Несостоятельность перфорантных вен