Skin and Appendages

   Dr Laxman Khanal
  MS-Human Anatomy
      Batch- 2011
Introduction
     – our largest organ
      – Accounts for 12% of body weight…it weighs twice
        as much as your brain!
      – Varies in thickness at different parts (< 0.5
        mm at eyelids to > 5 mm on middle of upper
        back)
      – Divided into three distinct layers
           • Epidermis
           • Dermis
           • Hypodermis – lies deep to the dermis

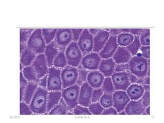
8/5/2012                        1212413114                2
8/5/2012   1212413114   3
Functions
•   Barrier against loss of body fluid.
•   Protection and excretion
•   Sensory function
•   Metabolic function
•   Temperature regulation
•   Adaptation during edema and pregnancy
•   Legal and anthropological importance

8/5/2012              1212413114            4
Structure of skin




8/5/2012         1212413114    5
Epidermis
• Primarily made up of keratinized stratified
  squamous epithelium(keratinocytes)
• gives strength to the skin.
• Varies in thickness from thick skin to thin skin
• It does not have any vascularization, so it
  relies on the connective tissues deep to it.
• Also contain melanocytes, merkel’s cells and
  Langerhans cell


8/5/2012              1212413114                 6
Layers of epidermis
•   Stratum basale (the deepest layer)
•   Stratum spinosum
•   Stratum granulosum
•   Stratum lucidum (only in thick skin)
•   Stratum corneum (most superficial layer of
    epidermis



8/5/2012               1212413114                7
8/5/2012   1212413114   8
STRATUM BASALE
 • Consists of single layer of basophilic
   columner or cuboidal cells.
 • Along with S. spinosum it is component of
   Malpighian layer
 • Cells are bound to each other by
   desmosomes and to basal lamina by
   hemidesmosomes.
 • All cells contain intermediate keratin
   filaments, number of which increases as cells
   progress upward.
8/5/2012             1212413114                9
Stratum Spinosum
 • Also contain the dividing cells as in basale.
 • Cells contain bundles of intermediate
   filament ( tonofilaments) projecting into the
   processses of cells which give attachment to
   the desmosomes, so giving spined
   appearance.
 • Tonofilaments provide resistant to the
   abrasion so this layer is thicker in the areas
   prone to abrasion( thick skin)

8/5/2012              1212413114                10
8/5/2012   1212413114   11
Stratum Granulosum
• Consists of polygonal cells , cytoplasm of which is
  filled with the basophilic granule , keratohyaline
  granules. It is rich in phosphorylated histidine and
  cystine.
• Cells contain, lamellated bodies, made up of lipid.
  It fuses with the cell membrane and it come out of
  cells and function as a intercellular cement or
  sealing agent.
• This sealing effect is first evolutionary adaptation
  to terrestrial life.
8/5/2012               1212413114                  12
Stratum Lucidum
 • more prominent in thick skin . Cellular
    organells and nuclei are not prominent.
 • It is composed of clear non-nucleated cells.
• In the palms and soles, the stratum lucidum is
  present. The tan colored protein blocks the
  underlying melanocytes from view



8/5/2012             1212413114                13
Stratum corneum
 •         The main difference between thick skin and thin
           skin relates to the thickness of the Stratum
           corneum.
 •         These are the dead cells, flaking off. The cells lose
           their nucleus and fuse to form squamous
           sheets, which are eventually shed from the surface
           (desquamation).
 •         It takes about 40 50 days days for a cell to move
           from the stratum basale to the distal edge of the
           stratum corneum and shed.

8/5/2012                        1212413114                     14
Keratin
• Keratin is a waxy protein substance found in the
  epidermis. It also makes up the nails and hairs.
• It can absorb water, so keratin swells when
  soaking wet.
• It makes the skin look wrinkled when you are in
  the tub too long. The water evaporates when you
  dry off, and pulls more water out of your body, so
  soaking in the tub will dry your skin out…unless
  you put lotion on right away to keep the water in
  the epidermal and dermal layers. Lotions will not
  penetrate to the dermis, just water.

8/5/2012               1212413114                  15
• Icthyosis – excessive keratinisation of the skin
  with autosomal recessive inheritance pattern.
• Grotesque appearance due to icthyosis in
  fetus- harlequin fetus.




8/5/2012               1212413114                16
Melanocytes- neural crest cells
                                 •During the first 3 months
                                 of development, the
                                 epidermis is invaded by
                                 cells arising from the
                                 neural crest.
                                 • These cells synthesize
                                 melanin pigment, which
                                 can be transferred to
                                 other cells of the
                                 epidermis by way of
                                 dendritic processes.
8/5/2012            1212413114                        17
Melanin synthesis
                        • Stage 1 – tyrosinase
                          activity in vesicle
                        • Stage 2- melanosome
                          with tyrosinase and
                          filaments of melanin
                        • Stage 3- more filaments
                          of melanin
                        • Stage 4- melanin
                          completely filled the
                          vesicles.

8/5/2012         1212413114                     18
• Addison disease – adrenal cortex hypo
  function resulting increased in ACTH
  production---- increased melanin synthesis.
• Albinism – hereditary condition of inability of
  melanocytes to produce melanin.
• Vitiligo- degeneration of entire pool of
  melanocytes.
• Nevus and Malignant melanoma

8/5/2012              1212413114                    19
Melanin
• Tyrosine by the action of tyrosinase converted
  into the DOPA, which undergo polymerization
  to form the melanin.
• it is located in supranuclear position inside the
  keratonocytes so that it can prevent the
  nuclear damage by the UV radiation coming
  from above.


8/5/2012               1212413114                 20
Langerhans cells
• These are star shaped bone marrow derived
  cells. Migrated to the skin via blood.
• Present in the S. spinosum of the skin
• These cells are antigen presenting cells so
  participate in immune related reaction.
• These are component of SALT.



8/5/2012             1212413114                 21
Merkel’s cell
• Neural crest in origin
• Found in the basal layer of the thick skin . Has
  sensory function.
• Expanded terminal disc of free nerve endings
  are found just beneath the merkel’s cell.
• These cells also acts as the neuroendocrine
  function.


8/5/2012               1212413114                    22
Dermis
• It is connective tissue that support the epidermis
  and attaches the epidermis to the hypodermis.
• Its surface consists of many ridges ( dermal
  papillae) which interdigitate with epidermal
  ridges.
• Dermal papillae are more numerous in the skin
  that is more prone to pressure and friction.
• Has 2 layer - Papillary layer and reticular layer

8/5/2012               1212413114                 23
Dermoepidermal junction
• Dermis is consists of the collagen fibers and
  elastic fibers which are thicker in reticular
  layer and thinner in papillary layer.
• Special collagen fibers extend from the dermal
  papillae and inserted in the basal lamina
  forming the dermoepidermal junction.
• Loss of this junction lead to pemphigoid
• Loss of intercellular junction lead to
  pemphigus.
8/5/2012             1212413114                24
Papillary layer
• Made up of loose connective tissue having
  thin fibers and many cellular structures.
• Has ridges to increase surface area for contact
  with the epidermis.
• Along the ridges sweat gland open at regular
  interval.
• The papillary layer in the dermis is what forms
  our fingerprints.

8/5/2012              1212413114                25
Reticular layer
• Dense irregular Connective Tissue
• Has bundles of Collagen and Elastic fibers and
  less number of cells.
• Arrangement of bundle in the direction of
  mechanical force give rise to the cleavage lines of
  Langer.
• strongest layer of the Dermis. Gives the area
  strength.
• Leather is made of this layer.
• EDS

8/5/2012                1212413114                  26
• The dermis is also the area where all the
  glands of the body are located.
• A transdermal patch (nicotine patch, etc) must
  diffuse all the way from the epidermis into the
  dermis to reach the blood vessels there.
• The blood vessels in the dermis are what give
  a pink color to Caucasian people.


8/5/2012              1212413114                27
Hypodermis
• Consists of loose connective tissue which
  helps in sliding the skin over the deep
  structure.
• Consists of layer of fat according to the
  nutritional status of the person.
• Also called as superficial fascia or panniculus
  adiposus


8/5/2012               1212413114                   28
Vessels in skin
• Arteries form the 2 plexuses. One at the
  junction of papillary and reticular layer( sub-
  papillary plexus) and another at junction of
  dermis and hypodermis (cutaneous plexus).
• Veins form the three plexuses – 2 in same
  position as for arterial and another in the
  middle of the dermis.


8/5/2012              1212413114                29
8/5/2012   1212413114   30
Sensory receptors in skin
•   Free nerve ending
•   Merkel's cells                  noncapsulated
•   Hair follicle receptors
•   Pacinian corpuscles
•   Ruffini ending                  capsulated
•   Meissener’s corpuscles



8/5/2012               1212413114                   31
8/5/2012   1212413114   32
Skin color
1) MELANIN: (dark brown pigment).

2) CAROTENE: (a yellowish/orange pigment found only
   in plants). Accumulates more in the skins of Asians
   and Native Americans.

3) SKIN THICKNESS: blood vessels seen, looks pinker

4) HEMOGLOBIN: The DERMIS contains the blood
   vessels that give Caucasians the pink color to the
   skin. Even veins are red because blood is red. But
   when you look at veins through the adipose layer
   (the hypodermis), they look blue.
8/5/2012                 1212413114                      33
Condition of skin
• If you rub the skin, it stimulates cell division = callous
• If you rub the skin too hard, the stratum basale tears
     away from the basement membrane, and causes a
     gap, which fills with fluid: BLISTER.
• The epidermis then dies because it’s too far away
     from nutrients. That’s why the top of a blister dries
     up
• If the blisters are small (less than 5 mm in
     diameter), they are known as vesicles; if they are
     larger (greater than 5 mm in diameter), they are
     termed bullae
8/5/2012                      1212413114                   34
• Psoriasis – decrease in cell turnover time and
  increased proliferation of basal layer cells.
  Results in greater epidermal thickness and
  rapid renewal of epidermis.
• Darkening of the skin to solar radiation-
  darkens the preexisting melanin and also
  increase the synthesis of melanin.


8/5/2012              1212413114                   35
Skin cancer
  Major types
• Squamous cell carcinoma
• Basal cell carcinoma
• Malignant melanoma




8/5/2012            1212413114   36
Appendages of the skin
•   Hairs
•   Sebaceous gland
•   Sweat gland
•   Nails




8/5/2012              1212413114    37
Hair
• It is keratinized elongated structure derived
  from the invagination of epidermis(hair
  follicle) .
• By 3rd month first hairs appear over eyebrow
  and upper lip.
• It acts for thermoregulation, sensory function.
• Distribution of hair after puberty possesses
  distinctive sex differences.
• Made up of shaft and root
8/5/2012              1212413114                38
Hair
• The hair follicle is a tubular structure
  consisting of five concentric layers of epithelial
  cells.
• At the base, there is a bulbous expansion, the
  hair bulb, enclosing the hair papilla .
• During hair formation inner 3 layer undergo
  keratinisation and outer 2 layer form epithelial
  sheath.

8/5/2012               1212413114                  39
8/5/2012   1212413114   40
Stages of Hair growth
• Anangen phase- fast growing phase
• Catangen phase- involution phase
• Telogen phase- rest phase
Types of hairs
• Laungo hairs- foetal hair
• Vellus hairs- infant hair and fine hairs of body
• Terminal hairs- coarse hair

8/5/2012               1212413114                    41
Arrector pili muscle
                          • extends      from       the
                            dermal coat of isthmus
                            of the hair follicle to the
                            papillary layer of the
                            dermis.
                          • Gives          gooseflesh
                            appearance.
                          • Cholinergic sympathetic
                            supply

8/5/2012           1212413114                        42
Nail
• Nails are plates of keratinized epithelial cells
  on the dorsal surface of each distal phalanx.
• The nearly transparent nail plate and the thin
  epithelium of the nail bed provide a useful
  window on the amount of oxygen in the blood
  by showing the color of blood in the dermal
  vessels.
• Growth rate 1-3mm/month

8/5/2012              1212413114                 43
• Nails develop from thickened areas of
  epidermis at the tips of each digit called nail
  fields.
• Later these nail fields migrate onto the dorsal
  surface surrounded laterally and proximally by
  folds of epidermis called nail folds.



8/5/2012              1212413114                44
8/5/2012   1212413114   45
8/5/2012   1212413114   46
Beau’s line
                     • Transverse depressions
                        due to disruption of
                       proximal matrix mitotic
                       activity.
                     • Common in coronary
                       artery
                       occlusion, hypocalcemia
                       , malnutrition and
                       trauma.

8/5/2012      1212413114                     47
Onychomadesis/ nail shedding
                          • Proximal detachment
                             of the nail plate from
                            the proximal nail fold.




8/5/2012           1212413114                    48
Nail pitting
                      • Punctate depressions
                      of the nail plate surface.
                      • Common in psoriasis




8/5/2012       1212413114                          49
Onychorrhexis
                      • Longitudinal ridging
                        and fissuring of the
                        Plate.
                      • Common in lichen
                        planus .
                      • Normal      in     aging
                        process.




8/5/2012       1212413114                     50
Leukonychia
                     • Because of
                       parakeratotic cells with
                       in ventral portion of nail
                       plate, nail appears
                       whitish.
                     • May be hereditary or
                       associated with
                       congenital disorders.



8/5/2012      1212413114                        51
Koilonychia / spoon shaped nail
                          • Concave nail due to
                            upward eversion of
                            lateral nail edge.
                          • Common in iron
                            deficiency anemia, PVS




8/5/2012           1212413114                        52
Splinter hemorrhage
                         • One of the diagnostic
                           sign of infective
                           endocarditis.
                         • Also common in
                           vasculitis.




8/5/2012          1212413114                       53
Nail clubbing
                      • Schamroth's window
                        test is the test to define
                        clubbing.
                      • Lovibond’s angle > 165
                        degree
                      • Common in heart
                        disease, lung disease
                        and GI disease.



8/5/2012       1212413114                        54
Sebaceous gland
• Holocrine type of branched acinar gland.
• Acinus consists of rounded cells filled with lipid.
• Cell lost by holocrine secretion are replaced by
  the proliferation of basal cell of acinus.
• Open either with in hair follicle(common) or on
  the skin surface( rare).
• These are not under nervous control.
• Pilo-sebaceous apparatus.

8/5/2012                 1212413114                     55
• Gland lies within fibrous
                    sheath of hair follicle.
                  • Glandular epithelium
                    represents the external
                    root sheath.
                  • Discharge their
                    secretion to hair shaft
                    and then to skin
                    surface.

8/5/2012   1212413114                       56
Eccrine sweat gland
• Found everywhere in the skin
• Secrets watery secretion –sweat which helps
  in thermoregulation.
• It has 2 component- secretory glandular tissue
  and duct system . Both are coiled structures.
• Secretory part has 3 types of cells- clear
  cells, dark cells and myoepithelial cells.


8/5/2012             1212413114                57
Sweat gland        sebaceous gland




8/5/2012         1212413114             58
Apocrine gland
• Apocrine glands are mainly confined to the
  areolae of the breasts, axillae and genital
  regions.
• produce a viscid, milky secretion which
  becomes malodorous after the action of skin
  commensal bacteria.
• Open into the hair follicle.
• Matured only after the puberty

8/5/2012             1212413114                 59
Apocrine gland ….
• These are much larger in shape than eccrine
  glands.
• Innervated by adrenergic nerve ending not by
  cholinergic as in eccrine glands.
• Glands of moll of eyelid and ceruminous gland
  of ear are modified sweat gland.



8/5/2012             1212413114               60
References
• Basic histology ( 11th edition) by Luiz Carlos
  Junqueira and Jose Carneiro.
• WHEATER’S functional histology(5th edition)
• General anatomy – by AK Dutta
• Langman Medical Embryology (9th edition)
• Various websites.



8/5/2012               1212413114                  61
8/5/2012   1212413114   62

Skin and its appendages

  • 1.
    Skin and Appendages Dr Laxman Khanal MS-Human Anatomy Batch- 2011
  • 2.
    Introduction – our largest organ – Accounts for 12% of body weight…it weighs twice as much as your brain! – Varies in thickness at different parts (< 0.5 mm at eyelids to > 5 mm on middle of upper back) – Divided into three distinct layers • Epidermis • Dermis • Hypodermis – lies deep to the dermis 8/5/2012 1212413114 2
  • 3.
    8/5/2012 1212413114 3
  • 4.
    Functions • Barrier against loss of body fluid. • Protection and excretion • Sensory function • Metabolic function • Temperature regulation • Adaptation during edema and pregnancy • Legal and anthropological importance 8/5/2012 1212413114 4
  • 5.
  • 6.
    Epidermis • Primarily madeup of keratinized stratified squamous epithelium(keratinocytes) • gives strength to the skin. • Varies in thickness from thick skin to thin skin • It does not have any vascularization, so it relies on the connective tissues deep to it. • Also contain melanocytes, merkel’s cells and Langerhans cell 8/5/2012 1212413114 6
  • 7.
    Layers of epidermis • Stratum basale (the deepest layer) • Stratum spinosum • Stratum granulosum • Stratum lucidum (only in thick skin) • Stratum corneum (most superficial layer of epidermis 8/5/2012 1212413114 7
  • 8.
    8/5/2012 1212413114 8
  • 9.
    STRATUM BASALE •Consists of single layer of basophilic columner or cuboidal cells. • Along with S. spinosum it is component of Malpighian layer • Cells are bound to each other by desmosomes and to basal lamina by hemidesmosomes. • All cells contain intermediate keratin filaments, number of which increases as cells progress upward. 8/5/2012 1212413114 9
  • 10.
    Stratum Spinosum •Also contain the dividing cells as in basale. • Cells contain bundles of intermediate filament ( tonofilaments) projecting into the processses of cells which give attachment to the desmosomes, so giving spined appearance. • Tonofilaments provide resistant to the abrasion so this layer is thicker in the areas prone to abrasion( thick skin) 8/5/2012 1212413114 10
  • 11.
    8/5/2012 1212413114 11
  • 12.
    Stratum Granulosum • Consistsof polygonal cells , cytoplasm of which is filled with the basophilic granule , keratohyaline granules. It is rich in phosphorylated histidine and cystine. • Cells contain, lamellated bodies, made up of lipid. It fuses with the cell membrane and it come out of cells and function as a intercellular cement or sealing agent. • This sealing effect is first evolutionary adaptation to terrestrial life. 8/5/2012 1212413114 12
  • 13.
    Stratum Lucidum •more prominent in thick skin . Cellular organells and nuclei are not prominent. • It is composed of clear non-nucleated cells. • In the palms and soles, the stratum lucidum is present. The tan colored protein blocks the underlying melanocytes from view 8/5/2012 1212413114 13
  • 14.
    Stratum corneum • The main difference between thick skin and thin skin relates to the thickness of the Stratum corneum. • These are the dead cells, flaking off. The cells lose their nucleus and fuse to form squamous sheets, which are eventually shed from the surface (desquamation). • It takes about 40 50 days days for a cell to move from the stratum basale to the distal edge of the stratum corneum and shed. 8/5/2012 1212413114 14
  • 15.
    Keratin • Keratin isa waxy protein substance found in the epidermis. It also makes up the nails and hairs. • It can absorb water, so keratin swells when soaking wet. • It makes the skin look wrinkled when you are in the tub too long. The water evaporates when you dry off, and pulls more water out of your body, so soaking in the tub will dry your skin out…unless you put lotion on right away to keep the water in the epidermal and dermal layers. Lotions will not penetrate to the dermis, just water. 8/5/2012 1212413114 15
  • 16.
    • Icthyosis –excessive keratinisation of the skin with autosomal recessive inheritance pattern. • Grotesque appearance due to icthyosis in fetus- harlequin fetus. 8/5/2012 1212413114 16
  • 17.
    Melanocytes- neural crestcells •During the first 3 months of development, the epidermis is invaded by cells arising from the neural crest. • These cells synthesize melanin pigment, which can be transferred to other cells of the epidermis by way of dendritic processes. 8/5/2012 1212413114 17
  • 18.
    Melanin synthesis • Stage 1 – tyrosinase activity in vesicle • Stage 2- melanosome with tyrosinase and filaments of melanin • Stage 3- more filaments of melanin • Stage 4- melanin completely filled the vesicles. 8/5/2012 1212413114 18
  • 19.
    • Addison disease– adrenal cortex hypo function resulting increased in ACTH production---- increased melanin synthesis. • Albinism – hereditary condition of inability of melanocytes to produce melanin. • Vitiligo- degeneration of entire pool of melanocytes. • Nevus and Malignant melanoma 8/5/2012 1212413114 19
  • 20.
    Melanin • Tyrosine bythe action of tyrosinase converted into the DOPA, which undergo polymerization to form the melanin. • it is located in supranuclear position inside the keratonocytes so that it can prevent the nuclear damage by the UV radiation coming from above. 8/5/2012 1212413114 20
  • 21.
    Langerhans cells • Theseare star shaped bone marrow derived cells. Migrated to the skin via blood. • Present in the S. spinosum of the skin • These cells are antigen presenting cells so participate in immune related reaction. • These are component of SALT. 8/5/2012 1212413114 21
  • 22.
    Merkel’s cell • Neuralcrest in origin • Found in the basal layer of the thick skin . Has sensory function. • Expanded terminal disc of free nerve endings are found just beneath the merkel’s cell. • These cells also acts as the neuroendocrine function. 8/5/2012 1212413114 22
  • 23.
    Dermis • It isconnective tissue that support the epidermis and attaches the epidermis to the hypodermis. • Its surface consists of many ridges ( dermal papillae) which interdigitate with epidermal ridges. • Dermal papillae are more numerous in the skin that is more prone to pressure and friction. • Has 2 layer - Papillary layer and reticular layer 8/5/2012 1212413114 23
  • 24.
    Dermoepidermal junction • Dermisis consists of the collagen fibers and elastic fibers which are thicker in reticular layer and thinner in papillary layer. • Special collagen fibers extend from the dermal papillae and inserted in the basal lamina forming the dermoepidermal junction. • Loss of this junction lead to pemphigoid • Loss of intercellular junction lead to pemphigus. 8/5/2012 1212413114 24
  • 25.
    Papillary layer • Madeup of loose connective tissue having thin fibers and many cellular structures. • Has ridges to increase surface area for contact with the epidermis. • Along the ridges sweat gland open at regular interval. • The papillary layer in the dermis is what forms our fingerprints. 8/5/2012 1212413114 25
  • 26.
    Reticular layer • Denseirregular Connective Tissue • Has bundles of Collagen and Elastic fibers and less number of cells. • Arrangement of bundle in the direction of mechanical force give rise to the cleavage lines of Langer. • strongest layer of the Dermis. Gives the area strength. • Leather is made of this layer. • EDS 8/5/2012 1212413114 26
  • 27.
    • The dermisis also the area where all the glands of the body are located. • A transdermal patch (nicotine patch, etc) must diffuse all the way from the epidermis into the dermis to reach the blood vessels there. • The blood vessels in the dermis are what give a pink color to Caucasian people. 8/5/2012 1212413114 27
  • 28.
    Hypodermis • Consists ofloose connective tissue which helps in sliding the skin over the deep structure. • Consists of layer of fat according to the nutritional status of the person. • Also called as superficial fascia or panniculus adiposus 8/5/2012 1212413114 28
  • 29.
    Vessels in skin •Arteries form the 2 plexuses. One at the junction of papillary and reticular layer( sub- papillary plexus) and another at junction of dermis and hypodermis (cutaneous plexus). • Veins form the three plexuses – 2 in same position as for arterial and another in the middle of the dermis. 8/5/2012 1212413114 29
  • 30.
    8/5/2012 1212413114 30
  • 31.
    Sensory receptors inskin • Free nerve ending • Merkel's cells noncapsulated • Hair follicle receptors • Pacinian corpuscles • Ruffini ending capsulated • Meissener’s corpuscles 8/5/2012 1212413114 31
  • 32.
    8/5/2012 1212413114 32
  • 33.
    Skin color 1) MELANIN:(dark brown pigment). 2) CAROTENE: (a yellowish/orange pigment found only in plants). Accumulates more in the skins of Asians and Native Americans. 3) SKIN THICKNESS: blood vessels seen, looks pinker 4) HEMOGLOBIN: The DERMIS contains the blood vessels that give Caucasians the pink color to the skin. Even veins are red because blood is red. But when you look at veins through the adipose layer (the hypodermis), they look blue. 8/5/2012 1212413114 33
  • 34.
    Condition of skin •If you rub the skin, it stimulates cell division = callous • If you rub the skin too hard, the stratum basale tears away from the basement membrane, and causes a gap, which fills with fluid: BLISTER. • The epidermis then dies because it’s too far away from nutrients. That’s why the top of a blister dries up • If the blisters are small (less than 5 mm in diameter), they are known as vesicles; if they are larger (greater than 5 mm in diameter), they are termed bullae 8/5/2012 1212413114 34
  • 35.
    • Psoriasis –decrease in cell turnover time and increased proliferation of basal layer cells. Results in greater epidermal thickness and rapid renewal of epidermis. • Darkening of the skin to solar radiation- darkens the preexisting melanin and also increase the synthesis of melanin. 8/5/2012 1212413114 35
  • 36.
    Skin cancer Major types • Squamous cell carcinoma • Basal cell carcinoma • Malignant melanoma 8/5/2012 1212413114 36
  • 37.
    Appendages of theskin • Hairs • Sebaceous gland • Sweat gland • Nails 8/5/2012 1212413114 37
  • 38.
    Hair • It iskeratinized elongated structure derived from the invagination of epidermis(hair follicle) . • By 3rd month first hairs appear over eyebrow and upper lip. • It acts for thermoregulation, sensory function. • Distribution of hair after puberty possesses distinctive sex differences. • Made up of shaft and root 8/5/2012 1212413114 38
  • 39.
    Hair • The hairfollicle is a tubular structure consisting of five concentric layers of epithelial cells. • At the base, there is a bulbous expansion, the hair bulb, enclosing the hair papilla . • During hair formation inner 3 layer undergo keratinisation and outer 2 layer form epithelial sheath. 8/5/2012 1212413114 39
  • 40.
    8/5/2012 1212413114 40
  • 41.
    Stages of Hairgrowth • Anangen phase- fast growing phase • Catangen phase- involution phase • Telogen phase- rest phase Types of hairs • Laungo hairs- foetal hair • Vellus hairs- infant hair and fine hairs of body • Terminal hairs- coarse hair 8/5/2012 1212413114 41
  • 42.
    Arrector pili muscle • extends from the dermal coat of isthmus of the hair follicle to the papillary layer of the dermis. • Gives gooseflesh appearance. • Cholinergic sympathetic supply 8/5/2012 1212413114 42
  • 43.
    Nail • Nails areplates of keratinized epithelial cells on the dorsal surface of each distal phalanx. • The nearly transparent nail plate and the thin epithelium of the nail bed provide a useful window on the amount of oxygen in the blood by showing the color of blood in the dermal vessels. • Growth rate 1-3mm/month 8/5/2012 1212413114 43
  • 44.
    • Nails developfrom thickened areas of epidermis at the tips of each digit called nail fields. • Later these nail fields migrate onto the dorsal surface surrounded laterally and proximally by folds of epidermis called nail folds. 8/5/2012 1212413114 44
  • 45.
    8/5/2012 1212413114 45
  • 46.
    8/5/2012 1212413114 46
  • 47.
    Beau’s line • Transverse depressions due to disruption of proximal matrix mitotic activity. • Common in coronary artery occlusion, hypocalcemia , malnutrition and trauma. 8/5/2012 1212413114 47
  • 48.
    Onychomadesis/ nail shedding • Proximal detachment of the nail plate from the proximal nail fold. 8/5/2012 1212413114 48
  • 49.
    Nail pitting • Punctate depressions of the nail plate surface. • Common in psoriasis 8/5/2012 1212413114 49
  • 50.
    Onychorrhexis • Longitudinal ridging and fissuring of the Plate. • Common in lichen planus . • Normal in aging process. 8/5/2012 1212413114 50
  • 51.
    Leukonychia • Because of parakeratotic cells with in ventral portion of nail plate, nail appears whitish. • May be hereditary or associated with congenital disorders. 8/5/2012 1212413114 51
  • 52.
    Koilonychia / spoonshaped nail • Concave nail due to upward eversion of lateral nail edge. • Common in iron deficiency anemia, PVS 8/5/2012 1212413114 52
  • 53.
    Splinter hemorrhage • One of the diagnostic sign of infective endocarditis. • Also common in vasculitis. 8/5/2012 1212413114 53
  • 54.
    Nail clubbing • Schamroth's window test is the test to define clubbing. • Lovibond’s angle > 165 degree • Common in heart disease, lung disease and GI disease. 8/5/2012 1212413114 54
  • 55.
    Sebaceous gland • Holocrinetype of branched acinar gland. • Acinus consists of rounded cells filled with lipid. • Cell lost by holocrine secretion are replaced by the proliferation of basal cell of acinus. • Open either with in hair follicle(common) or on the skin surface( rare). • These are not under nervous control. • Pilo-sebaceous apparatus. 8/5/2012 1212413114 55
  • 56.
    • Gland lieswithin fibrous sheath of hair follicle. • Glandular epithelium represents the external root sheath. • Discharge their secretion to hair shaft and then to skin surface. 8/5/2012 1212413114 56
  • 57.
    Eccrine sweat gland •Found everywhere in the skin • Secrets watery secretion –sweat which helps in thermoregulation. • It has 2 component- secretory glandular tissue and duct system . Both are coiled structures. • Secretory part has 3 types of cells- clear cells, dark cells and myoepithelial cells. 8/5/2012 1212413114 57
  • 58.
    Sweat gland sebaceous gland 8/5/2012 1212413114 58
  • 59.
    Apocrine gland • Apocrineglands are mainly confined to the areolae of the breasts, axillae and genital regions. • produce a viscid, milky secretion which becomes malodorous after the action of skin commensal bacteria. • Open into the hair follicle. • Matured only after the puberty 8/5/2012 1212413114 59
  • 60.
    Apocrine gland …. •These are much larger in shape than eccrine glands. • Innervated by adrenergic nerve ending not by cholinergic as in eccrine glands. • Glands of moll of eyelid and ceruminous gland of ear are modified sweat gland. 8/5/2012 1212413114 60
  • 61.
    References • Basic histology( 11th edition) by Luiz Carlos Junqueira and Jose Carneiro. • WHEATER’S functional histology(5th edition) • General anatomy – by AK Dutta • Langman Medical Embryology (9th edition) • Various websites. 8/5/2012 1212413114 61
  • 62.
    8/5/2012 1212413114 62