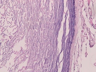
Superficial Layer
• EPIDERMIS
• Stratified Squamous Epithelium
Deeper Layer
• DERMIS
• Connective Tissue
Dermis
Rests on
Subcutaneous tissue/ Subcutis
Third layerThird layer
The line of junction between the 2 layers is
wavy
because of
The presence of numerous finger like
projections of
Dermis upwards into the epidermis
Dermal papillae
The downward projections of the epidermis
Epidermal papillae
The surface of the epidermis is marked by
elevations & depressions
Prominent on the palms & ventral surface of
the fingers & feet
These elevation form EPIDERMAL RIDGES
Essential for finger prints
• Has stratified epithelium
5 layers
Basal layer
Stratum basale
Stratum spinosum
(Malpighian layer)
Stratum
GranulosumStratum basale (Malpighian layer) Granulosum
Stratum Lucidum Stratum Corneum
stratum Basale
• Deepest
• Single layer of columnar cells
• Undergo mitosis & give off cells called• Undergo mitosis & give off cells called
Keratinocytes
also known as
Germinal layer/ Stratum Germinativum
Stratum spinosum
• Several layers of polygonal keratinocytes
• Cells are attached to one another by
numerous Desmosomesnumerous Desmosomes
• Some mitosis may occur in the deeper cells
• Germinative zone
Stratum Granulosum
• Overlies the stratum spinosa
• Few (1-5) layers of flattened cells (deeply
staining)
• The granules consists of a protein called• The granules consists of a protein called
keratohyalin.
Stratum Lucidum
• Lucid=Clear
• Appears homogenous
• Cell boundaries extremely indistinct
• Traces of flattened nuclei
Stratum Corneum
• Superficial layer
• Acellular
• Made up of flattened scale like elements
containing keratin filaments embedded incontaining keratin filaments embedded in
protein
• held together by a glue like material
containing lipids & carbohydrates
• Resistant to permeability
• The thickness of this layer is greatest where
the skin is exposed to maximal friction
• Eg:- Soles and palms
• The superficial layer constantly sheds off &
replaced by proliferation of cells in deeperreplaced by proliferation of cells in deeper
layers
Zone of Keratinization
(Cornified Zone)
• Stratum Corneum
• Stratum Lucidum
• Stratum Granulosum• Stratum Granulosum
• Made up of connective tissue
Papillary
Layer
Connective Tissue
is dense
Reticular
Layer
Thick fibre
bundles & elastic
is dense
Thick skin of
palms and soles
bundles & elastic
fibres
Interval between
the fibre bundles
are occupied by
adipose tissue.
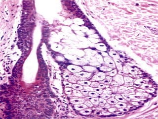
Appendages of the skinAppendages of the skin
• Hairs
• Nails
• Sebaceous Glands
• Sweat Glands
• Present almost the whole body
•• Not presentNot present : Palms, Soles, Ventral surface &
sides of the digits & some parts of the male &
female external genitalia
PartsParts
• The visible part – shaft
• Embedded part – root
• Expanded lower end of the root – bulb
• The bulb is generated invaginated from below• The bulb is generated invaginated from below
by part of the dermis – hair papilla
• Root is surrounded by a tubular sheath – hair
follicle
Structure of hair shaftStructure of hair shaft
Hair – Modified part of stratum corneum
Has outer cortex and inner medulla in large hairs,
no medulla in thin hairsno medulla in thin hairs
Cortex is acellularacellular & is made up of keratin
Medulla consists of cornifiedcornified cells of irregular
shapes
Surface is covered by a thin membrane
Cuticle
formed by
flattened cornified cellsflattened cornified cells
contains
melanin
responsible for colour
Both in medulla & cortex minute air bubbles are
present
Structure of Hair Follicle
• Part of the epidermis that has been
invaginated into the dermis around the hair
root
• Its innermost layer continues with the surface
of the skin & outermost layer continues with
the dermis
ArrectorArrector PiliPili MusclesMuscles
• These are bands of smooth muscles attached
at one end to the dermis, just below the
dermal papilla &
• at the other end to the connective tissue• at the other end to the connective tissue
sheath of the hair follicle
• Contraction of arector pilorum muscle results
in erection of hair shaft
• Found in dermis of the skin
• Ducts open into the hair follicle
• Holocrine gland
• Secretes sebumsebum: antifungal & anti bacterial.
Contains lipids & cholesterol
– Oily in nature
– Prevents dryness
– Resistant to moisture
• The secretary acinus has,
– flattened epithelial cells
– Centrally placed rounded cells / sebocytes
Sweat GlandsSweat Glands
• Found in deeper parts of the dermis
The part of the duct present in the dermis is
straight
Stratified cuboidal epithelium
the part passing through the dermis is coiledthe part passing through the dermis is coiled
epidermal cells
2 Types
Eccrine Glands
Apocrine Glands
ECCRINE GLANDSECCRINE GLANDS
• Widely distributed
• Numerous on forehead, scalp, palms & soles
• Absent on
– Tympanic Membrane– Tympanic Membrane
– Margins of lips
– Labia minora
– Glans penis
• Each gland is long, unbranched tubular
structure
• Presents a highly coiled secretory portion
called as body within the dermis & a narrower
ductal portion, which opens on skin surfaceductal portion, which opens on skin surface
• Secretions of sweat glands are clear,
colourless and hypotonic
APOCRINE GLANDSAPOCRINE GLANDS
• Found in
– Axilla
– Areola
– Perianal region– Perianal region
– Prepuce scrotum
– Mons pubis
– External acoustic meatus
• These glands secrete a protein rich, milky fluid
which is initially odourless but acquires a
distinct odour due to bacterial decomposition
NailsNails
• Nails are plates of keratinised epithelial cells
on dorsal surface of distal phalynx
• Consists of 3 parts
– Proximal part or root
– Exposed part or body– Exposed part or body
– Free distal border
• Consists of dead anucleate keratin
• Body rests on nail bed which is composed of
stratum basale & stratum spinosum
Thank you

Skin & its appendages

  • 2.
    Superficial Layer • EPIDERMIS •Stratified Squamous Epithelium Deeper Layer • DERMIS • Connective Tissue
  • 3.
    Dermis Rests on Subcutaneous tissue/Subcutis Third layerThird layer
  • 5.
    The line ofjunction between the 2 layers is wavy because of The presence of numerous finger like projections of Dermis upwards into the epidermis Dermal papillae
  • 6.
    The downward projectionsof the epidermis Epidermal papillae
  • 7.
    The surface ofthe epidermis is marked by elevations & depressions Prominent on the palms & ventral surface of the fingers & feet These elevation form EPIDERMAL RIDGES Essential for finger prints
  • 10.
  • 11.
    5 layers Basal layer Stratumbasale Stratum spinosum (Malpighian layer) Stratum GranulosumStratum basale (Malpighian layer) Granulosum Stratum Lucidum Stratum Corneum
  • 13.
    stratum Basale • Deepest •Single layer of columnar cells • Undergo mitosis & give off cells called• Undergo mitosis & give off cells called Keratinocytes also known as Germinal layer/ Stratum Germinativum
  • 14.
    Stratum spinosum • Severallayers of polygonal keratinocytes • Cells are attached to one another by numerous Desmosomesnumerous Desmosomes • Some mitosis may occur in the deeper cells • Germinative zone
  • 16.
    Stratum Granulosum • Overliesthe stratum spinosa • Few (1-5) layers of flattened cells (deeply staining) • The granules consists of a protein called• The granules consists of a protein called keratohyalin.
  • 17.
    Stratum Lucidum • Lucid=Clear •Appears homogenous • Cell boundaries extremely indistinct • Traces of flattened nuclei
  • 18.
    Stratum Corneum • Superficiallayer • Acellular • Made up of flattened scale like elements containing keratin filaments embedded incontaining keratin filaments embedded in protein • held together by a glue like material containing lipids & carbohydrates • Resistant to permeability
  • 19.
    • The thicknessof this layer is greatest where the skin is exposed to maximal friction • Eg:- Soles and palms • The superficial layer constantly sheds off & replaced by proliferation of cells in deeperreplaced by proliferation of cells in deeper layers
  • 20.
    Zone of Keratinization (CornifiedZone) • Stratum Corneum • Stratum Lucidum • Stratum Granulosum• Stratum Granulosum
  • 22.
    • Made upof connective tissue
  • 23.
    Papillary Layer Connective Tissue is dense Reticular Layer Thickfibre bundles & elastic is dense Thick skin of palms and soles bundles & elastic fibres Interval between the fibre bundles are occupied by adipose tissue.
  • 24.
    Appendages of theskinAppendages of the skin
  • 25.
    • Hairs • Nails •Sebaceous Glands • Sweat Glands
  • 27.
    • Present almostthe whole body •• Not presentNot present : Palms, Soles, Ventral surface & sides of the digits & some parts of the male & female external genitalia
  • 28.
    PartsParts • The visiblepart – shaft • Embedded part – root • Expanded lower end of the root – bulb • The bulb is generated invaginated from below• The bulb is generated invaginated from below by part of the dermis – hair papilla • Root is surrounded by a tubular sheath – hair follicle
  • 30.
    Structure of hairshaftStructure of hair shaft Hair – Modified part of stratum corneum Has outer cortex and inner medulla in large hairs, no medulla in thin hairsno medulla in thin hairs Cortex is acellularacellular & is made up of keratin Medulla consists of cornifiedcornified cells of irregular shapes
  • 31.
    Surface is coveredby a thin membrane Cuticle formed by flattened cornified cellsflattened cornified cells contains melanin responsible for colour
  • 32.
    Both in medulla& cortex minute air bubbles are present
  • 33.
    Structure of HairFollicle • Part of the epidermis that has been invaginated into the dermis around the hair root • Its innermost layer continues with the surface of the skin & outermost layer continues with the dermis
  • 34.
    ArrectorArrector PiliPili MusclesMuscles •These are bands of smooth muscles attached at one end to the dermis, just below the dermal papilla & • at the other end to the connective tissue• at the other end to the connective tissue sheath of the hair follicle
  • 35.
    • Contraction ofarector pilorum muscle results in erection of hair shaft
  • 37.
    • Found indermis of the skin • Ducts open into the hair follicle • Holocrine gland • Secretes sebumsebum: antifungal & anti bacterial. Contains lipids & cholesterol – Oily in nature – Prevents dryness – Resistant to moisture
  • 38.
    • The secretaryacinus has, – flattened epithelial cells – Centrally placed rounded cells / sebocytes
  • 41.
    Sweat GlandsSweat Glands •Found in deeper parts of the dermis
  • 42.
    The part ofthe duct present in the dermis is straight Stratified cuboidal epithelium the part passing through the dermis is coiledthe part passing through the dermis is coiled epidermal cells
  • 44.
  • 46.
    ECCRINE GLANDSECCRINE GLANDS •Widely distributed • Numerous on forehead, scalp, palms & soles • Absent on – Tympanic Membrane– Tympanic Membrane – Margins of lips – Labia minora – Glans penis
  • 47.
    • Each glandis long, unbranched tubular structure • Presents a highly coiled secretory portion called as body within the dermis & a narrower ductal portion, which opens on skin surfaceductal portion, which opens on skin surface • Secretions of sweat glands are clear, colourless and hypotonic
  • 48.
    APOCRINE GLANDSAPOCRINE GLANDS •Found in – Axilla – Areola – Perianal region– Perianal region – Prepuce scrotum – Mons pubis – External acoustic meatus
  • 49.
    • These glandssecrete a protein rich, milky fluid which is initially odourless but acquires a distinct odour due to bacterial decomposition
  • 51.
  • 52.
    • Nails areplates of keratinised epithelial cells on dorsal surface of distal phalynx • Consists of 3 parts – Proximal part or root – Exposed part or body– Exposed part or body – Free distal border
  • 53.
    • Consists ofdead anucleate keratin • Body rests on nail bed which is composed of stratum basale & stratum spinosum
  • 55.