CT PHYSICS – II
Dr. Archana Koshy
Wednesday, February 10,
2016
CT PHYSICS - II 1
OVERVIEW
1. IMAGE RECONSTRUCTION
2. HOUNDSFIELD UNITS
3. IMAGE QUALITY
4. MULTIPLE SLICE COMPUTED TOMOGRAPHY
SPECIAL APPLICATIONS OF CT :
4. 3D CT IMAGING
5. CT FLUOSCOPY
6. CARDIAC CT
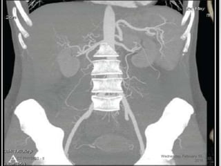
7.CT ANGIO
8. CT BONE DENSITOMETRY
9. ARTEFACTS
Wednesday, February 10,
2016
CT PHYSICS - II 2
IMAGE RECONSTRUCTION
Wednesday, February 10,
2016
CT PHYSICS - II 3
(i) Correction for the heterochromatic nature of the beam
(ii) Weighing factor to compensate the differences between the size and
shape of the scanning beam and picture matrix . Wednesday, February 10,
2016
CT PHYSICS - II 4
ALGORITHMS FOR IMAGE RECONSTRUCTION
• For the purpose of reconstruction, complex
mathematical equations called algorithms are required.
• The following three methods will be discussed :
(i) Back projection
(ii) Iterative methods
(iii) Analytical methods
Wednesday, February 10,
2016
CT PHYSICS - II 5
BACK PROJECTION
• Also known as Summation method ; one of the oldest methods
.
Wednesday, February 10,
2016
CT PHYSICS - II 6
ITERATIVE METHODS
Depending on whether the correction sequence involves the whole matrix , one
ray or a single point .
-Simultaneous reconstruction –
• All projections for the entire matrix are calculated at the beginning of the
iteration.
• All corrections are made simultaneously for each iteration.
-Ray by ray correction-
• One ray sum is calculated and corrected and these are incorporated into the
future ray sums .
-Point by point correction -
• Calculations and corrections are made for all rays passing through one point .
• These corrections are used in ensuing calculations m again with the process
being repeated for every point .
Wednesday, February 10,
2016
CT PHYSICS - II 7
ANALYTICAL METHODS
• Differ from iterative methods in that exact formulas are utilized
for the analytical reconstruction .
• 2 most popular methods :
A) Filtered back projection
B) Two dimensional Fourier analysis – Any function of time or
space can be represented by the sum of various frequencies
and various amplitudes of sine and cosine waves.
Wednesday, February 10,
2016
CT PHYSICS - II 8
FILTERED BACK PROJECTION
Wednesday, February 10,
2016
CT PHYSICS - II 9
CT NUMBERS
• Linear transformation of the original linear attenuation
coefficient measurement of each pixel .
• CT NUMBER = K (µp- µw)
µw
• The original EMI scanner used a magnification
constant of 500 and the values ranged from -500 ( air
) to + 500 ( dense bone ) .
• In contemporary CT untis , these values are arranged
on a scale from -1024 HU to +3071 HU.
Wednesday, February 10,
2016
CT PHYSICS - II 10
Wednesday, February 10,
2016
CT PHYSICS - II 11
IMAGE QUALITY
QUANTUM MOTTLE ( NOISE )
• Variation in the number of X-ray photons absorbed by the
detector .
• The only way to decrease noise is to increase the number of
photons absorbed by the detector ; thereby increasing X-ray
dose to the patient .
• In order to avoid statistical fluctuation , iterative logarithms
were employed , noise would be smoothed out and the image
would appear quite homogenous .
Wednesday, February 10,
2016
CT PHYSICS - II 12
• The image on the left has a higher degree of image noise,
measured as a standard deviation in the range of HU of 48.
• On the right, the image has a more homogeneous
appearance; less noise, which is measured as 9.4 HU.
• Noise also affects spatial resolution.
Wednesday, February 10,
2016
CT PHYSICS - II 13
SPATIAL RESOLUTION
• Ability of the Ct scanner to display separate images
of two images placed close together .
• Determined by
-Scanner design
-Computer reconstruction
-Design
• Expressed in line pairs/ cm .
Wednesday, February 10,
2016
CT PHYSICS - II 14
CONTRAST RESOLUTION
• Defined as the ability of an imaging system to
display the image of a relatively large object , which
only slightly different in density from the
surroundings .
• Low contrast visibility is determined by noise .
• Contemporary CT scanners can display objects
about 3 mm in diameter with density difference of
0.5 % or less .
Wednesday, February 10,
2016
CT PHYSICS - II 15
MULTIPLE SLICE COMPUTED TOMOGRAPHY
• Conventional CT scanners use a single row of detector
elements and acquire a single slice per rotation .
• MDCT uses multiple rows and can therefore take multiple slices
per rotation .
• Speed of gantry rotation is increased resulting in an overall
increase in scan speed .
• Allows larger volumes to be scanned in the same time .
• Functions both in high speed and high resolution mode
promises to improve performance of spiral CT dramatically .
Wednesday, February 10,
2016
CT PHYSICS - II 16
Wednesday, February 10,
2016
CT PHYSICS - II 17
DETECTOR DESIGN
• More than 30000 detector elements are placed in a 2D array .
• Two approaches to the detector design :
a) Fixed matrix detector
b) Adaptive array detector Wednesday, February 10,
2016
CT PHYSICS - II 18
IMAGE RECONSTRUCTION
• In multi slice CT , the outer most rays of the X-ray beam are
tilted with respect to the imaging plane by the “cone angle “.
• The artefact level depends on the ratio of the cone angle and
slice collimation .
• If higher number of detector rows are activated , visible
artefacts appear .
Wednesday, February 10,
2016
CT PHYSICS - II 19
SPECIAL
APPLICATIONS OF CT
IMAGING
Wednesday, February 10,
2016
CT PHYSICS - II 20
• Transverse images are stacked to form a 3 D data set ,which can
be rendered as an image .
• Mostly used in Multispiral CT
• The algorithms include –
(i) Maximum Intensity projection (MIP)
(ii) Minimum Intensity Projection ( MinIP)
(iii) Surface shaded display volume rendering technique.
MULTIPLANAR RECONSTRUCTION
Wednesday, February 10,
2016
CT PHYSICS - II 21
Wednesday, February 10,
2016
CT PHYSICS - II 22
Wednesday, February 10,
2016
CT PHYSICS - II 23
Wednesday, February 10,
2016
CT PHYSICS - II 24
CT FLUOROSCOPY
• Computed tomographic fluoroscopy is a technical advance
resulting from slip-ring technology, x-ray tubes with
improved heat capacity, high-speed array processors, and
partial reconstruction algorithms .
• The images can be reconstructed at a rate of
approximately 6 frames per second, allowing near real-time
visualization similar to that of ultrasonography.
• Safe and effective guidance tool for percutaneous
interventional procedures .
• An additional concern is the scattered radiation to the
consulting doctors .
Wednesday, February 10,
2016
CT PHYSICS - II 25
Wednesday, February 10,
2016
CT PHYSICS - II 26
CARDIAC COMPUTED TOMOGRAPHY
• Synchronisation of the data acquisition to the cardiac cycle
and fast speed of the data acquisition to freeze the motion of
the heart .
• Achieved by ECG gating
• A particular ECG signal triggers the initiation of the CT scan
• Or Data acquired is reconstructed relative to a selected
cardiac phase .
Wednesday, February 10,
2016
CT PHYSICS - II 27
CT ANGIO
• Utilises the principle of using
narrow collimation to scan the
region and reconstructing both
thin and thick slices .
• Superior quality tomographic
images .
• The high resolution slices allow
luminal views of the vessel . (“fly
through”)
Wednesday, February 10,
2016
CT PHYSICS - II 28
DUAL ENERGY CT
• Relatively new technique which uses two different x-ray tubes
in a single CT unit.
• Additional applications include tissue differentiation and
visualization of tendons and ligaments.
Wednesday, February 10,
2016
CT PHYSICS - II 29
Wednesday, February 10,
2016
CT PHYSICS - II 30
• Dual Source CT uses two rotating tubes to acquire both high
and low voltage images.
• Since the images are dependent on the attenuation of the x-
ray beam, which depends on the voltage applied across the
tube, each image acquired is energy dependent.
Wednesday, February 10,
2016
CT PHYSICS - II 31
APPLICATIONS OF DUAL CT
• Angiography
• Renal calculi differentiation by determining the specific
properties of the calculus .
• Plaque distribution in the vessels which have calcified can
be viewed to diagnose atherosclerosis.
• Differentiation of thick ligaments and tendons.
• Ventilation and perfusion images
Wednesday, February 10,
2016
CT PHYSICS - II 32
QUANTITATIVE COMPUTED
TOMOGRAPHY
• CT numbers or x-ray attenuation of a
tissue is properly referenced to a
calibration standard and then used to
quantify some property of the tissue.
• Measures trabecular bone and is
highly sensitive to changes in skeletal
density.
• Both single energy and dual energy
QCT can be used.
• QCT scanning done with dual energy
eliminated the effect of marrow fat ;
increased accuracy .
Wednesday, February 10,
2016
CT PHYSICS - II 33
ARTEFACTS
Wednesday, February 10,
2016
CT PHYSICS - II 34
MOTION ARTEFACTS
• The reconstructed image will display
the object as a streak in the drection
of motion .
• Motion of objects that have densities
much different from their
surroundings produces more intense
artefacts .
• The intensity of the streak artefact will
depend on the density of the object in
motion .
• Motion of metallic or gas containing
structures produce striking artefacts .
Wednesday, February 10,
2016
CT PHYSICS - II 35
STREAK ARTEFACTS
• At every position , each detector will absorb some transmitted
radiation .
• If a high density material severely reduces the transmission ,
the detector may not record any image .
• Hence streaks appear in the image
Wednesday, February 10,
2016
CT PHYSICS - II 36
BEAM HARDENING ARTEFACT
• As a heterogenous xray beam passes through the
patient , the low energy protons are rapidly absorbed .
• Therefore the xray beam exiting the patient contains a
lower percentage of energy photons .
• Reconstruction programs anticipate and correct the
variation in linear attenuation co efficients , but are not
precise .
Wednesday, February 10,
2016
CT PHYSICS - II 37
Wednesday, February 10,
2016
CT PHYSICS - II 38
RING ARTEFACT
• Result of miscalibration of a detector
.
• Records incorrect data in every
position .
• The misinformation is reconstructed
as a ring in the image .
• The radius of the ring determined by
the position of the faulty detector .
Wednesday, February 10,
2016
CT PHYSICS - II 39
Wednesday, February 10,
2016
CT PHYSICS - II 40
Wednesday, February 10,
2016
CT PHYSICS - II 41

Ct physics – II

  • 1.
    CT PHYSICS –II Dr. Archana Koshy Wednesday, February 10, 2016 CT PHYSICS - II 1
  • 2.
    OVERVIEW 1. IMAGE RECONSTRUCTION 2.HOUNDSFIELD UNITS 3. IMAGE QUALITY 4. MULTIPLE SLICE COMPUTED TOMOGRAPHY SPECIAL APPLICATIONS OF CT : 4. 3D CT IMAGING 5. CT FLUOSCOPY 6. CARDIAC CT 7.CT ANGIO 8. CT BONE DENSITOMETRY 9. ARTEFACTS Wednesday, February 10, 2016 CT PHYSICS - II 2
  • 3.
    IMAGE RECONSTRUCTION Wednesday, February10, 2016 CT PHYSICS - II 3
  • 4.
    (i) Correction forthe heterochromatic nature of the beam (ii) Weighing factor to compensate the differences between the size and shape of the scanning beam and picture matrix . Wednesday, February 10, 2016 CT PHYSICS - II 4
  • 5.
    ALGORITHMS FOR IMAGERECONSTRUCTION • For the purpose of reconstruction, complex mathematical equations called algorithms are required. • The following three methods will be discussed : (i) Back projection (ii) Iterative methods (iii) Analytical methods Wednesday, February 10, 2016 CT PHYSICS - II 5
  • 6.
    BACK PROJECTION • Alsoknown as Summation method ; one of the oldest methods . Wednesday, February 10, 2016 CT PHYSICS - II 6
  • 7.
    ITERATIVE METHODS Depending onwhether the correction sequence involves the whole matrix , one ray or a single point . -Simultaneous reconstruction – • All projections for the entire matrix are calculated at the beginning of the iteration. • All corrections are made simultaneously for each iteration. -Ray by ray correction- • One ray sum is calculated and corrected and these are incorporated into the future ray sums . -Point by point correction - • Calculations and corrections are made for all rays passing through one point . • These corrections are used in ensuing calculations m again with the process being repeated for every point . Wednesday, February 10, 2016 CT PHYSICS - II 7
  • 8.
    ANALYTICAL METHODS • Differfrom iterative methods in that exact formulas are utilized for the analytical reconstruction . • 2 most popular methods : A) Filtered back projection B) Two dimensional Fourier analysis – Any function of time or space can be represented by the sum of various frequencies and various amplitudes of sine and cosine waves. Wednesday, February 10, 2016 CT PHYSICS - II 8
  • 9.
    FILTERED BACK PROJECTION Wednesday,February 10, 2016 CT PHYSICS - II 9
  • 10.
    CT NUMBERS • Lineartransformation of the original linear attenuation coefficient measurement of each pixel . • CT NUMBER = K (µp- µw) µw • The original EMI scanner used a magnification constant of 500 and the values ranged from -500 ( air ) to + 500 ( dense bone ) . • In contemporary CT untis , these values are arranged on a scale from -1024 HU to +3071 HU. Wednesday, February 10, 2016 CT PHYSICS - II 10
  • 11.
  • 12.
    IMAGE QUALITY QUANTUM MOTTLE( NOISE ) • Variation in the number of X-ray photons absorbed by the detector . • The only way to decrease noise is to increase the number of photons absorbed by the detector ; thereby increasing X-ray dose to the patient . • In order to avoid statistical fluctuation , iterative logarithms were employed , noise would be smoothed out and the image would appear quite homogenous . Wednesday, February 10, 2016 CT PHYSICS - II 12
  • 13.
    • The imageon the left has a higher degree of image noise, measured as a standard deviation in the range of HU of 48. • On the right, the image has a more homogeneous appearance; less noise, which is measured as 9.4 HU. • Noise also affects spatial resolution. Wednesday, February 10, 2016 CT PHYSICS - II 13
  • 14.
    SPATIAL RESOLUTION • Abilityof the Ct scanner to display separate images of two images placed close together . • Determined by -Scanner design -Computer reconstruction -Design • Expressed in line pairs/ cm . Wednesday, February 10, 2016 CT PHYSICS - II 14
  • 15.
    CONTRAST RESOLUTION • Definedas the ability of an imaging system to display the image of a relatively large object , which only slightly different in density from the surroundings . • Low contrast visibility is determined by noise . • Contemporary CT scanners can display objects about 3 mm in diameter with density difference of 0.5 % or less . Wednesday, February 10, 2016 CT PHYSICS - II 15
  • 16.
    MULTIPLE SLICE COMPUTEDTOMOGRAPHY • Conventional CT scanners use a single row of detector elements and acquire a single slice per rotation . • MDCT uses multiple rows and can therefore take multiple slices per rotation . • Speed of gantry rotation is increased resulting in an overall increase in scan speed . • Allows larger volumes to be scanned in the same time . • Functions both in high speed and high resolution mode promises to improve performance of spiral CT dramatically . Wednesday, February 10, 2016 CT PHYSICS - II 16
  • 17.
  • 18.
    DETECTOR DESIGN • Morethan 30000 detector elements are placed in a 2D array . • Two approaches to the detector design : a) Fixed matrix detector b) Adaptive array detector Wednesday, February 10, 2016 CT PHYSICS - II 18
  • 19.
    IMAGE RECONSTRUCTION • Inmulti slice CT , the outer most rays of the X-ray beam are tilted with respect to the imaging plane by the “cone angle “. • The artefact level depends on the ratio of the cone angle and slice collimation . • If higher number of detector rows are activated , visible artefacts appear . Wednesday, February 10, 2016 CT PHYSICS - II 19
  • 20.
    SPECIAL APPLICATIONS OF CT IMAGING Wednesday,February 10, 2016 CT PHYSICS - II 20
  • 21.
    • Transverse imagesare stacked to form a 3 D data set ,which can be rendered as an image . • Mostly used in Multispiral CT • The algorithms include – (i) Maximum Intensity projection (MIP) (ii) Minimum Intensity Projection ( MinIP) (iii) Surface shaded display volume rendering technique. MULTIPLANAR RECONSTRUCTION Wednesday, February 10, 2016 CT PHYSICS - II 21
  • 22.
  • 23.
  • 24.
  • 25.
    CT FLUOROSCOPY • Computedtomographic fluoroscopy is a technical advance resulting from slip-ring technology, x-ray tubes with improved heat capacity, high-speed array processors, and partial reconstruction algorithms . • The images can be reconstructed at a rate of approximately 6 frames per second, allowing near real-time visualization similar to that of ultrasonography. • Safe and effective guidance tool for percutaneous interventional procedures . • An additional concern is the scattered radiation to the consulting doctors . Wednesday, February 10, 2016 CT PHYSICS - II 25
  • 26.
  • 27.
    CARDIAC COMPUTED TOMOGRAPHY •Synchronisation of the data acquisition to the cardiac cycle and fast speed of the data acquisition to freeze the motion of the heart . • Achieved by ECG gating • A particular ECG signal triggers the initiation of the CT scan • Or Data acquired is reconstructed relative to a selected cardiac phase . Wednesday, February 10, 2016 CT PHYSICS - II 27
  • 28.
    CT ANGIO • Utilisesthe principle of using narrow collimation to scan the region and reconstructing both thin and thick slices . • Superior quality tomographic images . • The high resolution slices allow luminal views of the vessel . (“fly through”) Wednesday, February 10, 2016 CT PHYSICS - II 28
  • 29.
    DUAL ENERGY CT •Relatively new technique which uses two different x-ray tubes in a single CT unit. • Additional applications include tissue differentiation and visualization of tendons and ligaments. Wednesday, February 10, 2016 CT PHYSICS - II 29
  • 30.
  • 31.
    • Dual SourceCT uses two rotating tubes to acquire both high and low voltage images. • Since the images are dependent on the attenuation of the x- ray beam, which depends on the voltage applied across the tube, each image acquired is energy dependent. Wednesday, February 10, 2016 CT PHYSICS - II 31
  • 32.
    APPLICATIONS OF DUALCT • Angiography • Renal calculi differentiation by determining the specific properties of the calculus . • Plaque distribution in the vessels which have calcified can be viewed to diagnose atherosclerosis. • Differentiation of thick ligaments and tendons. • Ventilation and perfusion images Wednesday, February 10, 2016 CT PHYSICS - II 32
  • 33.
    QUANTITATIVE COMPUTED TOMOGRAPHY • CTnumbers or x-ray attenuation of a tissue is properly referenced to a calibration standard and then used to quantify some property of the tissue. • Measures trabecular bone and is highly sensitive to changes in skeletal density. • Both single energy and dual energy QCT can be used. • QCT scanning done with dual energy eliminated the effect of marrow fat ; increased accuracy . Wednesday, February 10, 2016 CT PHYSICS - II 33
  • 34.
  • 35.
    MOTION ARTEFACTS • Thereconstructed image will display the object as a streak in the drection of motion . • Motion of objects that have densities much different from their surroundings produces more intense artefacts . • The intensity of the streak artefact will depend on the density of the object in motion . • Motion of metallic or gas containing structures produce striking artefacts . Wednesday, February 10, 2016 CT PHYSICS - II 35
  • 36.
    STREAK ARTEFACTS • Atevery position , each detector will absorb some transmitted radiation . • If a high density material severely reduces the transmission , the detector may not record any image . • Hence streaks appear in the image Wednesday, February 10, 2016 CT PHYSICS - II 36
  • 37.
    BEAM HARDENING ARTEFACT •As a heterogenous xray beam passes through the patient , the low energy protons are rapidly absorbed . • Therefore the xray beam exiting the patient contains a lower percentage of energy photons . • Reconstruction programs anticipate and correct the variation in linear attenuation co efficients , but are not precise . Wednesday, February 10, 2016 CT PHYSICS - II 37
  • 38.
  • 39.
    RING ARTEFACT • Resultof miscalibration of a detector . • Records incorrect data in every position . • The misinformation is reconstructed as a ring in the image . • The radius of the ring determined by the position of the faulty detector . Wednesday, February 10, 2016 CT PHYSICS - II 39
  • 40.
  • 41.

Editor's Notes

  • #4 In CT , a cross sectional layer of the body is divided into many tiny blocks , ow these individual blocks are called voxels . Their composition and thickness , along with the quality of the beam,determine the degree of attenuation. The linear attenuation co efficient is used to quantitate attenuation . Their composition and thickness along with the quality of the beam , determines the degree of attenuation. .
  • #5 Two correction programs were incorporated into the CT prgram .. (I0 as heterochromatic beam passes through an absorber, filtration increases its mean energy . The LAC changes with energy . The monochromatic linear attenaution co efficient is constant , but the heterochromatic strays down the graph as filtration incresases its mean . The correction should be to bring the calculated mu back to a straight line . In the first image , the parallel rays of a linear type scanning motion exactly co incide with the size,square and shape of the pivture elements . In the second image , the scanning rays cross the picture elemnts obliquely . A wf is used to compensate for the difference in size between the actual element and that seen by the beam .
  • #6 The number of measurements taken in scanning a single section of the patient depends on the number of detectors and the number of measurements that are taken In the full rotation . The number of measurements taken in scanning a single section of the patient depends on the number of detectors and the number of measurements that are taken In the full rotation . An algorithm is a mathematical method for solving a problem . Basically a mathematical algorithm that takes the projection data and reconstructs a cross sectional CT image . The OBJECTIVE OF ALL THESE images is to produce an accurate cross sectional display of the linear attenuation co efficients of each element in the image matrix .
  • #7 This block is scanned from both the top and left sides by a moving Xray beam to produce the image shown in B . When the rays from the 2 projections are superimposed, they produce a crude reproduction of the original object All points in the back projection receive density contribution from neighbouring strcutres .
  • #8 An iterative method starts with an assumption , that all points in the matrix have the same value and compares this assumtion to measured values,makes corrections to bring the two into agreement , then repeats the proces over and over until the assumed values are within accepatable limits . RAY BY RAY – with the process being repeated for every ray in each iteration .
  • #10 Similar to back projection, but the raw data are mathamtically filtered by a convolution kernel before being back projected , The filtration compensates the sudden density changes that cause image blurring . Inside margins are enhanced while the central regiom is repressed. As a result it reverses the image blurring and restores the true image of the object .
  • #11 K -=MAGNIFICATION CONSTANT \ MU p = PIXEL LINEAR ATTENUATION CONSTANT MU W = WATER LINEAR ATTENUATION COEFFICIENT Ct Numbers based on a magnifiCATION CONSTSNT OF 1000 IS CALLED HU UNITS .
  • #13 Image quality ( clarity) is the visibility of diagnostically important structures in the CT image . All elements in the picture matrix should habe exactly the same CT numbers . Deviation from uniformity represent statistical fluctuations called “quantum mottle” Noise is still determined by the number of photons absorbed (detected) . The only way to decrease noise is to increase the number of photons absorbed by the detector .
  • #14 definition of the perforated plate at the 6 o'clock position of the phantom on the left with greater image noise are nearly imperceptible.
  • #16 FOR THE OBJECT TO BE VISIBLE IT MUST PRODUCE ENOUGH CHANGE IN THE NUMBER OF TRANSMITTED PHOTONS TO OVERCOME STATISTIC FLUCTUATIONS IN TRANSMITTED PHOTONS CAUSED BY NOISE .
  • #17 The widespread introduction of multidetector computed tomography (MDCT) has revolutionized the field of computed tomography (CT). This revolution can be attributed to three primary properties of MDCT: its ability to produce a vast quantity of volumetric data in a reduced amount of time, the high resolution, and the ability to create isotropic voxel data and, consequently, reliable multiplanar and three-dimensional (3D) reconstructions.
  • #19 DETECTOR SYSTEM FOR A Multi slice ct is a selectable slicr thickness multi row detector array . Electronic switches are placed between the detector array and the DAS – enables the user to use thin or thick slices by activating a chosen number of detector elemnts Fixed matrix detector : the detector elemtns have a fixed width Adaptive array detector : detector efficiency is optimised at all slice collimation settings by using varying row widths . Thw width of the detector rows increase toward the outer edges allowing for slice collimations Thus based on the objective ofo the examination , optimal slice thickness can be selected . All multislice systems available todsy acquire four slices from one of these two detectors . COLLIMATORS : WIDER AREA IS SCANNED OVERALL XRAY BEAM THICKNESS IS FOUR TIMES THAT IN SINGLE SLICE CT COLLIMATOR DESIGN IS MODIFIED TO COMPENSATE FOR THE INCREASE IN SCATTER RADIATION
  • #20 IN Ct image reconstruction , it Is usually assumed that all the rays lie within a common imaing plane , entirely true for single slice CT . Hence the rays wobble like a top, but in a controlled manner . This effect causes cone beam artifacts in the image .
  • #22 Simplest form of 3D imaging and widely used in CT angiogram . Differeniated vascular from surrounding tissue but lacks vessel depth . MIP MIP is a data visualization method that enables detection of highly intense structures. The algorithm uses all the data in a volume of interest to generate a single bidimensional image structures, such as vessels, nodules, calcifications, surgical clips, foreign bodies, etc., and detect small lung nodules, [5],[6] which can easily be distinguished from other dense structures in the lungs, with the air present in the alveoli acting as a natural contrast agent. MinIP data visualization method that enables detection of low-density structures in a given volume. uses all the data in a volume of interest to generate a single bidimensional image. [3] almost identical to the MIP algorithm but for each XY coordinate only the lowest Hounsfield value along the Z axis is represented. only the most hypodense structures of the volume are represented Mapping of the thorax before administration of contrast, an image of the bronchial tree can be generated since the bronchi, being air-filled, are the least dense structures of the thorax SVD makes the surface boundaries very distinct and provides an image that appears exact 3D.
  • #23  MIP MIP is a data visualization method that enables detection of highly intense structures. The algorithm uses all the data in a volume of interest to generate a single bidimensional image this reconstruction algorithm is used with data representing the thorax during the arterial contrast phase, a single image with all the arterial vessels present in the volume studied is generated. Better understand the extension and morphology of some structures, such as vessels, nodules, calcifications, surgical clips, foreign bodies, etc., and detect small lung nodules, [5],[6] which can easily be distinguished from other dense structures in the lungs, with the air present in the alveoli acting as a natural contrast agent. MinIP data visualization method that enables detection of low-density structures in a given volume. uses all the data in a volume of interest to generate a single bidimensional image. [3] almost identical to the MIP algorithm but for each XY coordinate only the lowest Hounsfield value along the Z axis is represented. only the most hypodense structures of the volume are represented Mapping of the thorax before administration of contrast, an image of the bronchial tree can be generated since the bronchi, being air-filled, are the least dense structures of the thorax SVD makes the surface boundaries very distinct and provides an image that appears exact 3D.
  • #25  MinIP data visualization method that enables detection of low-density structures in a given volume. uses all the data in a volume of interest to generate a single bidimensional image. [3] almost identical to the MIP algorithm but for each XY coordinate only the lowest Hounsfield value along the Z axis is represented. only the most hypodense structures of the volume are represented Mapping of the thorax before administration of contrast, an image of the bronchial tree can be generated since the bronchi, being air-filled, are the least dense structures of the thorax SVD makes the surface boundaries very distinct and provides an image that appears exact 3D.
  • #26 A promise of this technology is to facilitate interventional procedure guidance by means of combining the localizing strengths of CT with the real-time advantages of US. Has excellent temporal resolution, motion at the image level can be folowed in real time. The xray tube is operated with a current of 20-50 mA, whereas regular CT uses 150-400 mA . One of the concerns with the use of CT fluoroscopy is the high radiation exposure (4,5,8). In contrast with conventional fluoroscopy in which the patient dose is on the order of centigrays per minute of exposure, with CT fluoroscopy, patient doses may be on the order of centigrays per second
  • #28 ECG gating – prospectove / retrospective
  • #29 MDCT offers two advantages of high speed and high resolution . Both are extremely useful om CT angio
  • #30  With the additional tube The idea of Dual Energy CT was initially investigated in the 1970’s; however without the technology to employ dual energies in a single scan, the object would be scanned twice, which produced different iodine distributions in the sequential images1. While enhancing the contrast effects of CT, comes the advantage of exposing the patient with two different energy spectrums Like conventional radiography, computed tomography utilizes x-rays generated from a rotating anode to expose a digital detector after passing through an attenuating object. The signal detected reflects the intensity of the x-ray after attenuation through the patient. Attenuation is dependent not only on the energy spectrum of the x-ray beam, but the material and length of the attenuating object
  • #31 Dual source MDCT. Two radiation sources and two detector panels are oriented at 90 degrees from each other. A cone-shaped beam of radiation passes from each source, through the patient to each detector. The table on which the patient lies moves through the gantry during the scan. As the tube rotates around the patient, projection images are acquired by the detectors for an angle of rotation which is dependent on the sampling frequency
  • #32 Schematic diagram of a Dual Source CT unit showing the two images acquired by using two tubes with different energy spectrums. The images show the attenuation differences reflected in the Hounsfield Unit (HU) which result from the different energy spectrums
  • #33 is one field of CT which has improved througthe use of a Dual Source CT unit. The iodine In the blood vessels remain the only dense material and can imaged with quality near that of an MRA. Ventilation and perfusion images can be acquired using Dual Energy CT along with information about the structure of the lung to diagnose a number of pulmonary diseases. Contrast agents such as iodine or xenon gas can be injected in the patient to acquire either a ventilation or perfusion image of the lung.
  • #34 CT numbers (i.e., Hounsfield units, HU) are strongly related to biological tissues density (Ciarelli et al., 1991; McB- room et al., 1985). The directly measured Hounsfield number for bone density may be used to examine bone quality earliest ways of measuring bone density its use has largely been superseded by the use of dual energy x-ray absorptiometry (DXA) we can use both single energy quantitative computed tomography (SEQCT) and dual energy (DEQCT). One DISADVANTAGE of single-energy QCT (SEQCT) is that bone mineral measurements are affected BY VARYING QUANTITIES OF INTRAOSSEOUS FAT. It has been calculated. For example, that a 10% increase in intraosseous fat results in underestimation of actual bone mineral content by 7 mg/ml. ( Reinbold et al., 1986) QC T scanning DONE WITH DUAL ENERGY has the advantage of ELIMINATING THE EFFECT OF MARROW FAT, RESULTING IN INCREASED ACCURACY
  • #36 Patient motion has a devastating effect on image quality . When the patient moves during Scan acquisition, the recon prog has no ability to make appropriatre corrections because motion is random and uncorrectable.
  • #37 One of the basic assumptions in ct is that each detector , at every position m will observe some transmitted radiation . THID VIOLATES THE BASIC ASSUMPTION . Streak artefacts from the biolateral hip replavememnt
  • #38 In dual energy CT The maximum and minimum voltage that can be applied across the tube is 140 kVp and 80 kVp. Thus the largest energy difference between the two tubes would be 60 kVp. However, since the x-ray beam consists of a continuum of energies which include the characteristic x-rays of the anode material, the average energies of the two spectrums are 76 keV and 56 keV, thus a smaller average energy difference3. Additionally, a tin filter may be placed in the path of the beam to remove the low energy x-rays from the spectrum, increasing the overall average energy to 92 keV4. This process of removing lower energy x-rays by including a tin filter in the path of the beam is known as beam hardening
  • #39 Generally , beam hardening artefacts are not a problem , in the head a so called CUP ARTEFACT may be produced . Reconstructing an image from a 360 degree rotation . All points in the periphery of the brain wil see both a hardened and a non hardened beam but the CENTRAL area of the brain will always see a beam that has been partially hardened So the central area after reconstruction will be less dark than the periphery .
  • #40 Virtually disappeared in contemporary CT units .