SARCOIDOZA
Dr. Radu CRISAN
Universitatea de Medicină și Farmacie “ Grigore T. Popa” Iași
Spitalul Clinic de Pneumologie Iași
Generalități
Sarcoidoza este o boală granulomatoasă cu localizări multiple, de etiologie
necunoscută, care afectează în principal adultul tânăr și care prezintă în mod frecvent:
• Adenopatie hilară bilaterală
• Infiltrate pulmonară
• Leziuni cutanate și ocular
Cunoscuta in trecut drept Boala Besnier – Boeck-Schauman
New England Journal of Medicine (2007): “Sarcoidoza este o boală sistemică cronică,
granulomatoasă, de etiologie necunoscută, ce afectează virtual orice organ”
• 1869 - Jonathan Hutchinson - primul caz de sarcoidoza cutanată
• 1899 – Boeck a denumit boala “Sarcoidoză”
a descris leziunile nodulare cutanate ca fiind compuse din celule epitelioide 
asemanatoare cu “celulele sarcomatoase”  “sarcoid” (sarx = carne, -eidos =
asemenea)
• Inițial a fost descrisă drept o curiozitate cutanată, ulterior s-a încercat o corelare a
afectărilor diverselor țesuturi
• Ultimele concluzii științifice arată că patologia nu respectă niciun “pattern” de
afectare a vreunui organ / ordine.
• Actualmente imposibil de detectat factorul cauzal
Epidemiologie
• Evoluția frecvent asimptomatică (30% din pacienți sunt simptomatici) face dificilă
determinarea prevalenței și a incidenței
• Există o mare variabilitate geografică a prevalenței:
• Spania 0,4 %000
• Suedia 64 %000
• Marea Britanie 18 %000
• America 3,4 %000
• Este mai frecventă în mediul rural decât în mediul urban
• Vârsta predilectă este între 20 și 40 de ani
• Mai frecventă la sexul feminin
Etiologia Sarcoidozei
• Etiologie necunoscută
• Există câteva teorii etiologice
Teoria Predispoziției genetice
Predispoziția geneticã se bazeazã pe existența cazurilor familiale sau apariția
sarcoidozei la gemeni, precum și pe frecvența afecțiunii la portoricanii din New York
și a irlandezilor și indienilor din Londra. Studiile serologice au demonstrat prezența
anumitor alele ale HLA*
de clasa I și II localizate pe cromozomul 6 care pot
predispune la sarcoidozã
* HLA = Human Leukocite Antigen
Etiologia Sarcoidozei
Teoria ocupațională
•Factorii de mediu și ocupaționali au fost incriminați datoritã similitudinii dintre
sarcoidozã, granulomul cronic la beriliu și alveolita alergicã.
•Teoria polenului drept cauzã a sarcoidozei a fost respinsã.
•Ocupația și mediul de viațã al bolnavilor trebuie cunoscut. Unele profesii ar fi asociate
mai frecvent cu sarcoidoza: lucrãtorii din sistemul sanitar, fochiștii sau echipajele
avioanelor de transport.
Etiologia Sarcoidozei
Teoria infecțioasă
•Factorii infecțioși (în special infecția cu M. tuberculosis) au fost și ei implicați în
etiopatogenia sarcoidozei.
•Asocierea dintre tuberculozã si sarcoidozã rãmâne controversata.
•Studiile pentru detectarea ADN-ului micobacterian au fost neconcludente.
•lipsa culturilor bK pozitive pe medii specifice din țesuturile afectate de sarcoidozã
•tuberculoza nu se exacerbeazã pe durata tratamentului cu imunosupresoare din
sarcoidozã
•vaccinarea BCG nu reduce incidența sarcoidozei
•medicatia tuberculostaticã este ineficientã în sarcoidozã
Patogenia Sarcoidozei
Terenul sarcoidotic – o anomalie imunologica determinate genetic, care reactioneaza
la contactul cu diverse antigene prin dezvoltarea de procese granulomatoase.
Se suspicioneaza existenta unui antigen necunoscut sau o aberatie imunologica ce
activeaza mononuclearele  hiperreactivitate a sistemului imun.
Patogenia Sarcoidozei
Agent
etiologic (??)
Secretie de IL-1
Activarea Ly T
Secretie de IL-2
Proliferarea Clonei Ly Th 1
(CD4, CD8) pulmonar, in
detrimentul Ly T periferice
Ly T pulmonar Macrofage activate
GRANULOM
GM-CSF, granulocyte-macrophage 
colony-stimulating factor
IFN-γ,interferon-γ; 
IGF-1, insulin-like growth factor-1
MCP-1, monocyte chemotactic 
protein-1
MIG, monokine induced by IFN-γ
MIP-1, macrophage inflammatory 
protein-1
PDGF, platelet-derived growth factor
TGF-β, transforming growth factor-β
TNF-α, tumor necrosis factor-α.
FIBROZA
IL-1, IFN-γ  factori de crestere
 pentru fibroblasti
Recrutarea, fixarea si proliferarea
fibroblastilor
Transformarea macrofagelor
in cellule epiteloide
Patogia Sarcoidozei - concluzii
• Recunoasterea antigenului / activare aberanta
• Prezentarea antigenului catre Ly T
• Activarea Macrofagelor si LY cu secretie de mediatori chemotactici locali
• Acumularea de cellule imunocompetente in zonele cu inflamatie active  alveolita
• Diferentierea macrofagelor in cellule epiteloide, aranjarea lor compacta  granulom
• Interventia proceselor reparatorii  fibroza
• Evolutie spre vindecare sau perpetuarea procesului
Morfopatologia
• Leziunea fundamentală în sarcoidoză este granulomul epiteloid necazeificat
• Tipic în structura acestuia se găsesc celule epiteloide (histiocite) printre care se
găsesc celule gigante multinucleate – Langhans.
• Celulele Langhans sunt markerul unei leziuni mai vechi
• În citoplasma celulelor epiteloide pot fi găsite:
• Corpi Schaumann formați din lamele bazofile concentrice
• Corpi bifringenți fornați din Ca și Fe
• Corpi asteroizi formați dintr-o masă centrală cu prelungiri radiale)
Granuloamele NU prezintă deobicei necroză. În rare cazuri poate fi o necroză minimă
fibrinoidă NU cazeoasă.
Morfopatologia
• Celula epiteloidă are proprietăți minime fagocitare, în schimb este intens
producătoare de :
• Fosfataze alcaline
• Catepsină
• Colagenază
• Elastază
• Angiotensin Convertază
• Lysosym
Morfopatologia Sarcoidozei Pulmonare
• Sarcoidoza pulmonară prezintă 3 tipuri de leziuni: alveolita, granulomul și fibroza
1.Alveolita
• Infiltrarea peretelui alveolar cu celule inflamatorii (PMN, B, Eos, Ly B, Ly T, Macrofage)
• Macrofagele și Ly T sunt cele mai frecvente
• Puse în evidență prin LBA diagnosticul pozitiv
1.Granulomul
• Se poate resorbi complet sau poate evolua către fibroză obliterantă
• Pot fi deasemenea întâlnite de-a lungul țesutului conjunctiv infiltrând peretele bronșiolelor sau
dezvoltând angeite granulomatoase
2.Fibroza
Leziuni tipice de țesut fibrotic pulmonar
Ganglion limfatic
Granulom necazeificat
cu cellule gigante
multinuclate
Piesa de necropsie
Adenopatii hilare
bilaterale importante
A, Granulom epiteloid cu
cellule gigante si infiltrate
mononuclear.
B, Specimen de biopsie
pulmonara extemporanee cu
granuloame, cellule gigante si
infiltrate limfocitar in
parenchim si septuri
interlobulare si subpleurale.
C, Biopsie de ganglion limfatic
transformare tipica sarcoid-
like. In centrul granuloamelor
se observa necroza fibroasa
non cazeificata
D, Biopsie de miocard aratand
infiltrate cu cellule
granulomatoase si limfocitare
Clinica Sarcoidozei
• 50 % din pacienți sunt asimptomatici la depistare
• Cei simptomatici au simptome discrete, nespecifice
• 40% din pacienția simptomele sunt:
• Astenie, fatigabilitate
• Febră nespecifică
• Scădere ponderală
• Rar, în debut apare dispneea, insuficiența respiratorie și insuficiența renală.
• Determinările sunt adesea extratoracice însă aproape ÎNTOTDEAUNA toracice
Clinica Sarcoidozei
Determinări extratoracice
•Localizări oculare
• 20-30% din cazuri, pot duce la cecitate
• Cea mai frecventă manifestare este uveita: lăcrimare, roșeață și fotofobie
• Poate evolua către glaucom, cataractă
•Manifestări neurologice
• Rare (5%)
• Caracter de urgență, tablou de meningoencefalită, neuropatie periferică
•Manifestări miocardice
• Cardiomiopatie specifică – cu aritmii, tulburăei de conducere asociate cu hipercalcemie
• Cauză frecventă de deces a sarcoidozei
• Poate rezulta și din procesul de fibroză pulmonară ce se complică cu HTAP și CPC
Clinica Sarcoidozei
• Manifestări hepato-splenice
• Frecvente (50 - 60%)
• Fără manifestări clinice semnificative, depistate anatomopatologice
• Manifestări endocrinologice
• Relativ rare
• Apariția diabetului insipid arată o invadare a hipofizei anterioare
• Hipercalcemia este considerată o invazie a paratiroidelor
• Unii autori arată o inexplicabilă sensibilitate la vitamina D din care rezultă hipercalcemie
• Manifestări limfatice
• 15% din cazuri evoluează cu adenopatii nedureroase, mobile, cu ganglioni dse până la 3-4
cm
• Mai frecvent în grupul scalenic drept, epitrohlear, pre/post auricular și axilar.
Manifestări cutanate ale sarcoidozei
• 25% dintre cazurile de sarcoidozã prezintã și manifestãri cutanate.
• Acestea pot apãrea în orice stadiu al bolii dar cel mai frecvent la debutul bolii.
Leziunile cutanate din sarcoidozã specifice și nespecifice.
• Eritemul nodos este o manifestare nespecificã a sarcoidozei apãrând mai ales la
femeile tinere
Manifestări cutanate ale sarcoidozei
• Sarcoidele maculo-papuloase sunt cele mai frecvente manifestãri cutanate din
sarcoidozã.
• Se prezintã ca mici papule hemisferice, cu dimensiuni <1 cm, de consistențã
semimoale sau fermã, nedureroase, având la debut o culoare galben-roz care
ulterior vireazã în roșu-brun, uneori purpurice.
Manifestări cutanate ale sarcoidozei
• Alte leziuni cutanate
• Sarcoidele nodulare – cu noduli mici sau cu noduli mari
• Angio-lupoidul Brocq-Pautrier (femei > 40 ani)
• Sarcoidele în plãci
• Lupusul Pernio - cea mai caracteristicã manifestare cutanatã din sarcoidozã (afroamericani)
Manifestări cutanate ale sarcoidozei
Lupus Pernio
Angio-lupoidul Brocq-Pautrier
Sindroamele Sarcoidozei
1. SINDROMUL HEERFORD
• Hipertrofie parotidiană
• Uveită
• Febră
• Paralizia nervului facial
2. SINDROM MIKULICZ
• Keratoconjunctivită uscată
• Hipo / anaciditate gastrică
• Poliartrită cronică
• eczemă
3. SINDROMUL LÖFGREN
• Eritem nodos
• Febră
• Artralgii
• Adenopatie hilară bilaterală
Determinările Intratoracice
• 80-90% din cazuri au determinări intratoracice : ganglioni hiliomediastinali și
parenchimul pulmonar
• 10% au determinări cardiace și esofagiene
• 70% din cazuri sunt asimptomatice respiratorii, depistarea este radiologică
• Debutul acut > prognostic favorabil
• Debutul insidios > tuse rebelă neproductivă, dureri toracice și febră
• Clinic:
• Stetacustic normal sau fine raluri crepitante difuze sau localizate
• Raluri aspre la cazurile de fibroză interstițială
Imagistica Sarcoidozei
• Tipic pentru sarcoidoză, imaginea radiologică arată adenopatii hilare bilaterale
• Adenopatia este policiclică, simetrică, cu prinderea frecventă a ganglionului
paratraheal
• Alte manifestări:
• Aspect nodular miliar
• desen reticular
• noduli nesistematizați.
Stadializarea Radiologică
• STADIUL 0 – Imagine toracică normală
• STADIUL I – adenopatie hilară bilaterală cu / fără adenopatie mediastinală/paratraheală
• STADIUL II – adenopatie hilară bilaterală cu infiltrate pulmonare
• STADIUL III – infiltrate pulmonare fără adenopatie
• Cele mai frecvente sarcoidoze aparțin stadiilor I și II
Sarcoidoza stadiul I
Sarcoidoza
stadiul II
Stadii ale sarcoidozei
A, Stage 0 adenopatii hilare
bilaterale.
B, Stage I pattern, infiltrate
reticulonodulare, adenopatii
hilare.
C, Stage II pattern, infiltrate
bilaterale, fara adenopatie.
D, Stage III pattern, atractia
craniala a hilurilor prin leziuni
cu aspect fibrotic, modificari
chistice, infiltrate bilaterale
Sarcoidoza
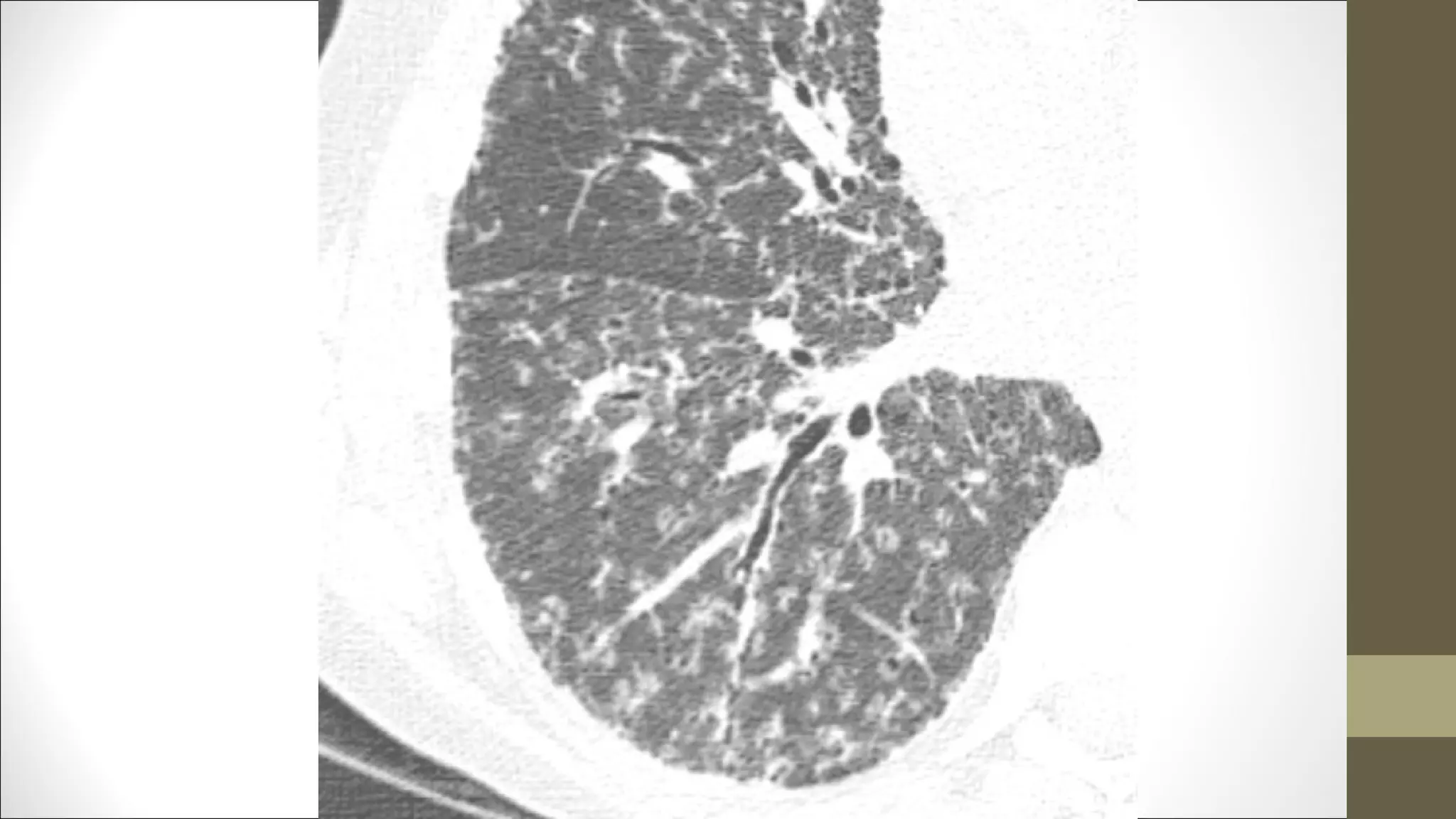
CT
Sarcoidoza
CT
Diagnostic diferential
1.…..
2.…..
3.…..
4.…...
Diagnosticul de certitudine
in acest stadiu se pune prin
………………………………
a)Biopsie pulmonara
b)Computer Tomografie
c)Scintigrafie pulmonara
d)Lavaj Bronhoalveolar
e)Examenul sputei
Testele Funcționale Respiratorii
• Creșterea rigidității pulmonare cu afectarea volumelor pulmonare statice - ceea ce
conduce diagnosticul către o determinare interstițială
• Sindrom obstructiv periferic datorat granuloamelor endobronșice
• Alterarea factorului de transfer prin membrana alveolo-capilară ( DLco )
Examenul Fibrobronhoscopic
• Explorare invazivă însă de elecție în diagnosticul sarcoidozei
• La nivelul mucoasei bronșice: granulații sidefii, ectazii capilare, bronșită brună
• Biopsia endobronșică (din pintenele de bifurcație sau zonele zu modificări) confirmă
suspiciunea clinică
• 50% din cazuri – biopsia de mucoasă confirmă diagnosticul chiar dacă nu se evidențiază
modificări vizibile
• Lavajul bronhoalveolar reprezintă cheia diagnosticului de sarcoidoză pulmonară
Lavajul Bronhoalveolar
• Ly T crescute – până la 36 % (normal maxim 10%)
• Raportul CD4/CD8 ajunge la 10/1 (normal pana in 2/1) – în contrast cu creșterea CD8 în
sângelel periferic
• ACE – valori crescute în lichidul de lavaj
• Valori crescute ale CD4 – indicator predictor pozitiv al succesului corticoterapiei.
Alte explorări
• Examenul hematologic: frecvent normal
• Proteine sangvine: albumine scăzute, gammaglobuline crescute
• Scintigrafia pulmonară: stabileste evolutia și extinderea leziunilor (Ga, Tc99m
)
• Angiotensin Convertaza Serica frecvent crescuta
• Hipercalcemie cu calciurie
• IDR la tuberculina: 65% din bolnavii de sarcoidoza nu au IDR la tuberculină
(hipersensibilitatea de tip întârziat)
• Testul Kweim – injectarea ID 0,1 -0,2 ml de suspensie de țesut sarcoid uman și examinarea
histologică după 4-6 săptămâni. Se constată prezența granulomului.
Diagnostic Diferențial
• Tuberculoza
• IDR +
• Tuse cu expectorație, transpirații nocturne
• Limfocitoză
• Bk + în spută sau LBA
• ACS – normală
• Histopatologic: granulom cazeificat, leziuni tipice: foliculi cazeificati
Diagnostic Diferențial
• Limfomul Malign
• Alterarea stării generale, inapetență
• IDR –
• Anemie, formulă leucocitară modificată nespecific
• Ex spută – negativ, LBA – normal
• Leucemie
• Astenie marcantă, inapentență, sângerări
• IDR –
• Hematologic: formulă leucocitară modificată specific: creșterea leucocitelor, morfologie
modificată, etc
• ACS – normală sau scăzută
Tratament
• Medicatie imunosupresoare
• Corticoterapie
• Prednison 30 – 40 mg/zi timp de 1-2 luni, ulterior 10-15 mg/zi timp de 6-8 luni
• In stadiul experimental: Corticoterapia inhalatorie (rezultate minime)
• O parte din sarcoidoze se vindecă spontan și nu recidivează
• 30% din sarcoidoze recidivează la 3-4 ani
• Alte medicații: pentoxifilină 1g/zi îndelungat pare că are rezultate bune
• Antimalarice (clorochina, hidroxiclorochina) sau citostatice (methrotexat) par a avea
rezultate similare corticoterapiei sistemice – rezervă la aceasta.
Bibliografie
• Baughman RP: Lower, steroid-sparing alternative treatments for sarcoidosis. Clin Chest Med. 18:853-864 1997 9413663
• Hunninghake GW, Costabel U, Ando M, et al.: ATS/ERS/WASOG statement on sarcoidosis. American Thoracic Society/European
Respiratory Society/World Association of Sarcoidosis and Other Granulomatous Disorders. Sarcoidosis Vasc Diffuse Lung Dis. 16:149-
173 1999 10560120
• Iannuzzi MC, Fontana JR: Sarcoidosis: clinical presentation, immunopathogenesis, and therapeutics. JAMA. 305:391-
399 2011 21266686
• Iannuzzi MC, Rybicki BA, Teirstein AS: Sarcoidosis. N Engl J Med. 357:2153-2165 200718032765
• Judson MA: An approach to the treatment of pulmonary sarcoidosis with corticosteroids: the six phases of
treatment. Chest. 115:1158-1165 1999 10208222
• Judson MA, Baughman RP, Thompson BW, et al.: Two year prognosis of sarcoidosis: the ACCESS experience. Sarcoidosis Vasc
Diffuse Lung Dis. 20:204-211 2003 14620163
• Judson MA, Iannuzzi MC Sarcoidosis: evolving concepts and controversies, Vol 28 ofSeminars in Respiratory Critical Care
Medicine. 2007 Thieme Medical Publishers New York 36-52
• Judson MA, Thompson BW, Rabin DL, et al.: The diagnostic pathway to sarcoidosis.Chest. 123:406-412 2003 12576358
• Koyama T, Ueda H, Togashi K, et al.: Radiologic manifestations of sarcoidosis in various organs. Radiographics. 24:87-
104 2004 14730039
• Morgenthau AS, Iannuzzi MC: Recent advances in sarcoidosis. Chest. 139:174-182 201121208877
• Padilla ML, Schilero GJ, Teirstein AS: Sarcoidosis and transplantation. Sarcoidosis Vasc Diffuse Lung Dis. 14:16-22 1997 9186985
• Rybicki BA, Iannuzzi MC, Frederick MM, et al.: Familial aggregation of sarcoidosis. A case-control etiologic study of sarcoidosis
(ACCESS). Am J Respir Crit Care Med.164:2085-2091 2001 11739139
• Yeager H, Rossman RD, Baughman RP, et al.: Pulmonary and psychosocial findings at enrollment in the ACCESS study. Sarcoidosis
Vasc Diffuse Lung Dis. 22:147-153 200516053031

Sarcoidoza

  • 1.
    SARCOIDOZA Dr. Radu CRISAN Universitateade Medicină și Farmacie “ Grigore T. Popa” Iași Spitalul Clinic de Pneumologie Iași
  • 2.
    Generalități Sarcoidoza este oboală granulomatoasă cu localizări multiple, de etiologie necunoscută, care afectează în principal adultul tânăr și care prezintă în mod frecvent: • Adenopatie hilară bilaterală • Infiltrate pulmonară • Leziuni cutanate și ocular Cunoscuta in trecut drept Boala Besnier – Boeck-Schauman New England Journal of Medicine (2007): “Sarcoidoza este o boală sistemică cronică, granulomatoasă, de etiologie necunoscută, ce afectează virtual orice organ”
  • 3.
    • 1869 -Jonathan Hutchinson - primul caz de sarcoidoza cutanată • 1899 – Boeck a denumit boala “Sarcoidoză” a descris leziunile nodulare cutanate ca fiind compuse din celule epitelioide  asemanatoare cu “celulele sarcomatoase”  “sarcoid” (sarx = carne, -eidos = asemenea) • Inițial a fost descrisă drept o curiozitate cutanată, ulterior s-a încercat o corelare a afectărilor diverselor țesuturi • Ultimele concluzii științifice arată că patologia nu respectă niciun “pattern” de afectare a vreunui organ / ordine. • Actualmente imposibil de detectat factorul cauzal
  • 4.
    Epidemiologie • Evoluția frecventasimptomatică (30% din pacienți sunt simptomatici) face dificilă determinarea prevalenței și a incidenței • Există o mare variabilitate geografică a prevalenței: • Spania 0,4 %000 • Suedia 64 %000 • Marea Britanie 18 %000 • America 3,4 %000 • Este mai frecventă în mediul rural decât în mediul urban • Vârsta predilectă este între 20 și 40 de ani • Mai frecventă la sexul feminin
  • 5.
    Etiologia Sarcoidozei • Etiologienecunoscută • Există câteva teorii etiologice Teoria Predispoziției genetice Predispoziția geneticã se bazeazã pe existența cazurilor familiale sau apariția sarcoidozei la gemeni, precum și pe frecvența afecțiunii la portoricanii din New York și a irlandezilor și indienilor din Londra. Studiile serologice au demonstrat prezența anumitor alele ale HLA* de clasa I și II localizate pe cromozomul 6 care pot predispune la sarcoidozã * HLA = Human Leukocite Antigen
  • 6.
    Etiologia Sarcoidozei Teoria ocupațională •Factoriide mediu și ocupaționali au fost incriminați datoritã similitudinii dintre sarcoidozã, granulomul cronic la beriliu și alveolita alergicã. •Teoria polenului drept cauzã a sarcoidozei a fost respinsã. •Ocupația și mediul de viațã al bolnavilor trebuie cunoscut. Unele profesii ar fi asociate mai frecvent cu sarcoidoza: lucrãtorii din sistemul sanitar, fochiștii sau echipajele avioanelor de transport.
  • 7.
    Etiologia Sarcoidozei Teoria infecțioasă •Factoriiinfecțioși (în special infecția cu M. tuberculosis) au fost și ei implicați în etiopatogenia sarcoidozei. •Asocierea dintre tuberculozã si sarcoidozã rãmâne controversata. •Studiile pentru detectarea ADN-ului micobacterian au fost neconcludente. •lipsa culturilor bK pozitive pe medii specifice din țesuturile afectate de sarcoidozã •tuberculoza nu se exacerbeazã pe durata tratamentului cu imunosupresoare din sarcoidozã •vaccinarea BCG nu reduce incidența sarcoidozei •medicatia tuberculostaticã este ineficientã în sarcoidozã
  • 8.
    Patogenia Sarcoidozei Terenul sarcoidotic– o anomalie imunologica determinate genetic, care reactioneaza la contactul cu diverse antigene prin dezvoltarea de procese granulomatoase. Se suspicioneaza existenta unui antigen necunoscut sau o aberatie imunologica ce activeaza mononuclearele  hiperreactivitate a sistemului imun.
  • 9.
    Patogenia Sarcoidozei Agent etiologic (??) Secretiede IL-1 Activarea Ly T Secretie de IL-2 Proliferarea Clonei Ly Th 1 (CD4, CD8) pulmonar, in detrimentul Ly T periferice Ly T pulmonar Macrofage activate GRANULOM GM-CSF, granulocyte-macrophage  colony-stimulating factor IFN-γ,interferon-γ;  IGF-1, insulin-like growth factor-1 MCP-1, monocyte chemotactic  protein-1 MIG, monokine induced by IFN-γ MIP-1, macrophage inflammatory  protein-1 PDGF, platelet-derived growth factor TGF-β, transforming growth factor-β TNF-α, tumor necrosis factor-α. FIBROZA IL-1, IFN-γ  factori de crestere  pentru fibroblasti Recrutarea, fixarea si proliferarea fibroblastilor Transformarea macrofagelor in cellule epiteloide
  • 10.
    Patogia Sarcoidozei -concluzii • Recunoasterea antigenului / activare aberanta • Prezentarea antigenului catre Ly T • Activarea Macrofagelor si LY cu secretie de mediatori chemotactici locali • Acumularea de cellule imunocompetente in zonele cu inflamatie active  alveolita • Diferentierea macrofagelor in cellule epiteloide, aranjarea lor compacta  granulom • Interventia proceselor reparatorii  fibroza • Evolutie spre vindecare sau perpetuarea procesului
  • 11.
    Morfopatologia • Leziunea fundamentalăîn sarcoidoză este granulomul epiteloid necazeificat • Tipic în structura acestuia se găsesc celule epiteloide (histiocite) printre care se găsesc celule gigante multinucleate – Langhans. • Celulele Langhans sunt markerul unei leziuni mai vechi • În citoplasma celulelor epiteloide pot fi găsite: • Corpi Schaumann formați din lamele bazofile concentrice • Corpi bifringenți fornați din Ca și Fe • Corpi asteroizi formați dintr-o masă centrală cu prelungiri radiale) Granuloamele NU prezintă deobicei necroză. În rare cazuri poate fi o necroză minimă fibrinoidă NU cazeoasă.
  • 12.
    Morfopatologia • Celula epiteloidăare proprietăți minime fagocitare, în schimb este intens producătoare de : • Fosfataze alcaline • Catepsină • Colagenază • Elastază • Angiotensin Convertază • Lysosym
  • 13.
    Morfopatologia Sarcoidozei Pulmonare •Sarcoidoza pulmonară prezintă 3 tipuri de leziuni: alveolita, granulomul și fibroza 1.Alveolita • Infiltrarea peretelui alveolar cu celule inflamatorii (PMN, B, Eos, Ly B, Ly T, Macrofage) • Macrofagele și Ly T sunt cele mai frecvente • Puse în evidență prin LBA diagnosticul pozitiv 1.Granulomul • Se poate resorbi complet sau poate evolua către fibroză obliterantă • Pot fi deasemenea întâlnite de-a lungul țesutului conjunctiv infiltrând peretele bronșiolelor sau dezvoltând angeite granulomatoase 2.Fibroza Leziuni tipice de țesut fibrotic pulmonar
  • 15.
    Ganglion limfatic Granulom necazeificat cucellule gigante multinuclate
  • 16.
    Piesa de necropsie Adenopatiihilare bilaterale importante
  • 17.
    A, Granulom epiteloidcu cellule gigante si infiltrate mononuclear. B, Specimen de biopsie pulmonara extemporanee cu granuloame, cellule gigante si infiltrate limfocitar in parenchim si septuri interlobulare si subpleurale. C, Biopsie de ganglion limfatic transformare tipica sarcoid- like. In centrul granuloamelor se observa necroza fibroasa non cazeificata D, Biopsie de miocard aratand infiltrate cu cellule granulomatoase si limfocitare
  • 18.
    Clinica Sarcoidozei • 50% din pacienți sunt asimptomatici la depistare • Cei simptomatici au simptome discrete, nespecifice • 40% din pacienția simptomele sunt: • Astenie, fatigabilitate • Febră nespecifică • Scădere ponderală • Rar, în debut apare dispneea, insuficiența respiratorie și insuficiența renală. • Determinările sunt adesea extratoracice însă aproape ÎNTOTDEAUNA toracice
  • 19.
    Clinica Sarcoidozei Determinări extratoracice •Localizărioculare • 20-30% din cazuri, pot duce la cecitate • Cea mai frecventă manifestare este uveita: lăcrimare, roșeață și fotofobie • Poate evolua către glaucom, cataractă •Manifestări neurologice • Rare (5%) • Caracter de urgență, tablou de meningoencefalită, neuropatie periferică •Manifestări miocardice • Cardiomiopatie specifică – cu aritmii, tulburăei de conducere asociate cu hipercalcemie • Cauză frecventă de deces a sarcoidozei • Poate rezulta și din procesul de fibroză pulmonară ce se complică cu HTAP și CPC
  • 20.
    Clinica Sarcoidozei • Manifestărihepato-splenice • Frecvente (50 - 60%) • Fără manifestări clinice semnificative, depistate anatomopatologice • Manifestări endocrinologice • Relativ rare • Apariția diabetului insipid arată o invadare a hipofizei anterioare • Hipercalcemia este considerată o invazie a paratiroidelor • Unii autori arată o inexplicabilă sensibilitate la vitamina D din care rezultă hipercalcemie • Manifestări limfatice • 15% din cazuri evoluează cu adenopatii nedureroase, mobile, cu ganglioni dse până la 3-4 cm • Mai frecvent în grupul scalenic drept, epitrohlear, pre/post auricular și axilar.
  • 21.
    Manifestări cutanate alesarcoidozei • 25% dintre cazurile de sarcoidozã prezintã și manifestãri cutanate. • Acestea pot apãrea în orice stadiu al bolii dar cel mai frecvent la debutul bolii. Leziunile cutanate din sarcoidozã specifice și nespecifice. • Eritemul nodos este o manifestare nespecificã a sarcoidozei apãrând mai ales la femeile tinere
  • 22.
    Manifestări cutanate alesarcoidozei • Sarcoidele maculo-papuloase sunt cele mai frecvente manifestãri cutanate din sarcoidozã. • Se prezintã ca mici papule hemisferice, cu dimensiuni <1 cm, de consistențã semimoale sau fermã, nedureroase, având la debut o culoare galben-roz care ulterior vireazã în roșu-brun, uneori purpurice.
  • 23.
    Manifestări cutanate alesarcoidozei • Alte leziuni cutanate • Sarcoidele nodulare – cu noduli mici sau cu noduli mari • Angio-lupoidul Brocq-Pautrier (femei > 40 ani) • Sarcoidele în plãci • Lupusul Pernio - cea mai caracteristicã manifestare cutanatã din sarcoidozã (afroamericani)
  • 24.
    Manifestări cutanate alesarcoidozei Lupus Pernio Angio-lupoidul Brocq-Pautrier
  • 27.
    Sindroamele Sarcoidozei 1. SINDROMULHEERFORD • Hipertrofie parotidiană • Uveită • Febră • Paralizia nervului facial 2. SINDROM MIKULICZ • Keratoconjunctivită uscată • Hipo / anaciditate gastrică • Poliartrită cronică • eczemă 3. SINDROMUL LÖFGREN • Eritem nodos • Febră • Artralgii • Adenopatie hilară bilaterală
  • 28.
    Determinările Intratoracice • 80-90%din cazuri au determinări intratoracice : ganglioni hiliomediastinali și parenchimul pulmonar • 10% au determinări cardiace și esofagiene • 70% din cazuri sunt asimptomatice respiratorii, depistarea este radiologică • Debutul acut > prognostic favorabil • Debutul insidios > tuse rebelă neproductivă, dureri toracice și febră • Clinic: • Stetacustic normal sau fine raluri crepitante difuze sau localizate • Raluri aspre la cazurile de fibroză interstițială
  • 29.
    Imagistica Sarcoidozei • Tipicpentru sarcoidoză, imaginea radiologică arată adenopatii hilare bilaterale • Adenopatia este policiclică, simetrică, cu prinderea frecventă a ganglionului paratraheal • Alte manifestări: • Aspect nodular miliar • desen reticular • noduli nesistematizați.
  • 30.
    Stadializarea Radiologică • STADIUL0 – Imagine toracică normală • STADIUL I – adenopatie hilară bilaterală cu / fără adenopatie mediastinală/paratraheală • STADIUL II – adenopatie hilară bilaterală cu infiltrate pulmonare • STADIUL III – infiltrate pulmonare fără adenopatie • Cele mai frecvente sarcoidoze aparțin stadiilor I și II
  • 31.
  • 32.
  • 33.
    Stadii ale sarcoidozei A,Stage 0 adenopatii hilare bilaterale. B, Stage I pattern, infiltrate reticulonodulare, adenopatii hilare. C, Stage II pattern, infiltrate bilaterale, fara adenopatie. D, Stage III pattern, atractia craniala a hilurilor prin leziuni cu aspect fibrotic, modificari chistice, infiltrate bilaterale
  • 34.
  • 35.
  • 37.
    Diagnostic diferential 1.….. 2.….. 3.….. 4.…... Diagnosticul decertitudine in acest stadiu se pune prin ……………………………… a)Biopsie pulmonara b)Computer Tomografie c)Scintigrafie pulmonara d)Lavaj Bronhoalveolar e)Examenul sputei
  • 38.
    Testele Funcționale Respiratorii •Creșterea rigidității pulmonare cu afectarea volumelor pulmonare statice - ceea ce conduce diagnosticul către o determinare interstițială • Sindrom obstructiv periferic datorat granuloamelor endobronșice • Alterarea factorului de transfer prin membrana alveolo-capilară ( DLco )
  • 39.
    Examenul Fibrobronhoscopic • Explorareinvazivă însă de elecție în diagnosticul sarcoidozei • La nivelul mucoasei bronșice: granulații sidefii, ectazii capilare, bronșită brună • Biopsia endobronșică (din pintenele de bifurcație sau zonele zu modificări) confirmă suspiciunea clinică • 50% din cazuri – biopsia de mucoasă confirmă diagnosticul chiar dacă nu se evidențiază modificări vizibile • Lavajul bronhoalveolar reprezintă cheia diagnosticului de sarcoidoză pulmonară
  • 40.
    Lavajul Bronhoalveolar • LyT crescute – până la 36 % (normal maxim 10%) • Raportul CD4/CD8 ajunge la 10/1 (normal pana in 2/1) – în contrast cu creșterea CD8 în sângelel periferic • ACE – valori crescute în lichidul de lavaj • Valori crescute ale CD4 – indicator predictor pozitiv al succesului corticoterapiei.
  • 41.
    Alte explorări • Examenulhematologic: frecvent normal • Proteine sangvine: albumine scăzute, gammaglobuline crescute • Scintigrafia pulmonară: stabileste evolutia și extinderea leziunilor (Ga, Tc99m ) • Angiotensin Convertaza Serica frecvent crescuta • Hipercalcemie cu calciurie • IDR la tuberculina: 65% din bolnavii de sarcoidoza nu au IDR la tuberculină (hipersensibilitatea de tip întârziat) • Testul Kweim – injectarea ID 0,1 -0,2 ml de suspensie de țesut sarcoid uman și examinarea histologică după 4-6 săptămâni. Se constată prezența granulomului.
  • 42.
    Diagnostic Diferențial • Tuberculoza •IDR + • Tuse cu expectorație, transpirații nocturne • Limfocitoză • Bk + în spută sau LBA • ACS – normală • Histopatologic: granulom cazeificat, leziuni tipice: foliculi cazeificati
  • 43.
    Diagnostic Diferențial • LimfomulMalign • Alterarea stării generale, inapetență • IDR – • Anemie, formulă leucocitară modificată nespecific • Ex spută – negativ, LBA – normal • Leucemie • Astenie marcantă, inapentență, sângerări • IDR – • Hematologic: formulă leucocitară modificată specific: creșterea leucocitelor, morfologie modificată, etc • ACS – normală sau scăzută
  • 44.
    Tratament • Medicatie imunosupresoare •Corticoterapie • Prednison 30 – 40 mg/zi timp de 1-2 luni, ulterior 10-15 mg/zi timp de 6-8 luni • In stadiul experimental: Corticoterapia inhalatorie (rezultate minime) • O parte din sarcoidoze se vindecă spontan și nu recidivează • 30% din sarcoidoze recidivează la 3-4 ani • Alte medicații: pentoxifilină 1g/zi îndelungat pare că are rezultate bune • Antimalarice (clorochina, hidroxiclorochina) sau citostatice (methrotexat) par a avea rezultate similare corticoterapiei sistemice – rezervă la aceasta.
  • 45.
    Bibliografie • Baughman RP:Lower, steroid-sparing alternative treatments for sarcoidosis. Clin Chest Med. 18:853-864 1997 9413663 • Hunninghake GW, Costabel U, Ando M, et al.: ATS/ERS/WASOG statement on sarcoidosis. American Thoracic Society/European Respiratory Society/World Association of Sarcoidosis and Other Granulomatous Disorders. Sarcoidosis Vasc Diffuse Lung Dis. 16:149- 173 1999 10560120 • Iannuzzi MC, Fontana JR: Sarcoidosis: clinical presentation, immunopathogenesis, and therapeutics. JAMA. 305:391- 399 2011 21266686 • Iannuzzi MC, Rybicki BA, Teirstein AS: Sarcoidosis. N Engl J Med. 357:2153-2165 200718032765 • Judson MA: An approach to the treatment of pulmonary sarcoidosis with corticosteroids: the six phases of treatment. Chest. 115:1158-1165 1999 10208222 • Judson MA, Baughman RP, Thompson BW, et al.: Two year prognosis of sarcoidosis: the ACCESS experience. Sarcoidosis Vasc Diffuse Lung Dis. 20:204-211 2003 14620163 • Judson MA, Iannuzzi MC Sarcoidosis: evolving concepts and controversies, Vol 28 ofSeminars in Respiratory Critical Care Medicine. 2007 Thieme Medical Publishers New York 36-52 • Judson MA, Thompson BW, Rabin DL, et al.: The diagnostic pathway to sarcoidosis.Chest. 123:406-412 2003 12576358 • Koyama T, Ueda H, Togashi K, et al.: Radiologic manifestations of sarcoidosis in various organs. Radiographics. 24:87- 104 2004 14730039 • Morgenthau AS, Iannuzzi MC: Recent advances in sarcoidosis. Chest. 139:174-182 201121208877 • Padilla ML, Schilero GJ, Teirstein AS: Sarcoidosis and transplantation. Sarcoidosis Vasc Diffuse Lung Dis. 14:16-22 1997 9186985 • Rybicki BA, Iannuzzi MC, Frederick MM, et al.: Familial aggregation of sarcoidosis. A case-control etiologic study of sarcoidosis (ACCESS). Am J Respir Crit Care Med.164:2085-2091 2001 11739139 • Yeager H, Rossman RD, Baughman RP, et al.: Pulmonary and psychosocial findings at enrollment in the ACCESS study. Sarcoidosis Vasc Diffuse Lung Dis. 22:147-153 200516053031