 situat în regiunea mediană a toracelui,situat în regiunea mediană a toracelui,
 lateral cele 2 arii pulmonare pulmonarelateral cele 2 arii pulmonare pulmonare
 caudal diafragmulcaudal diafragmul
 cranial apertura toracicăcranial apertura toracică
 anterior sternulanterior sternul
 posterior coloana vertebralăposterior coloana vertebrală
mediastinul se imparte topografic in 9mediastinul se imparte topografic in 9
compartimente:compartimente:
 2 planuri verticale (prin fata anterioara si2 planuri verticale (prin fata anterioara si
posterioara a axului aerian) impart mediastinulposterioara a axului aerian) impart mediastinul
in 3 compartimente:in 3 compartimente: anterior ,mijlociu sianterior ,mijlociu si
posteriorposterior
2 planuri orizontale(prin crosa aortica si2 planuri orizontale(prin crosa aortica si
carena) impart mediastinul in trei etaje:carena) impart mediastinul in trei etaje:
superior, mijlociu si inferior.superior, mijlociu si inferior.
•superior
•anterior
• mijlociu
•posterior
Radiografia toracicaRadiografia toracica
 Opacitatea centrala a toracelui este compusaOpacitatea centrala a toracelui este compusa
din inima,aorta ,hiluri ,arteredin inima,aorta ,hiluri ,artere
pulmonare,trahee,bifurcatia in cele 2 bronsiipulmonare,trahee,bifurcatia in cele 2 bronsii
principale.principale.
Modificarile patologiceModificarile patologice
• poziţia mediastinului
• largimea mediastinului
• deformarea contururilor mediastinale prin
prezenta unor mase mediastinale
poziţia
mediastinului
Atelectazie si
mediastin
Pleurezie si
mediastin
impins
Opacitate
omogena,contur
net,localizata paratraheal
drept;
Opacitate net conturata de
10 cm in axul lung
,paramediastinal sting,care
impinge traheea
controlateral
Mediastin largit
bilateral,predominant pe
dreapta ,contur net.
Opacitate omogena ,net conturata
mediastinal superior drept
Mediastin largit ,bilateral,de
la apertura toracica la
diafragm,contur
policiclic,,infiltrativ
periferic;opacitati nodulare
cu un contur difuz ,pe
ambele cimpuri pulmonare
Opacitate
omogena,,bine
conturata,de
intensitatea
mediastinului,pe care
il largeste
mult,bilateral,in etajul
superior si mijlociu
Opacitati ovalare
sau policiclice
situate hilar
bilateral,simetric
Mediastinul se modifica in urmatoareleMediastinul se modifica in urmatoarele
situatiisituatii
a.Marirea unor structuri normale:a.Marirea unor structuri normale:
 ganglioniganglioni
 timustimus
 tiroidatiroida
 aortaaorta
 esofagesofag
 grasime mediastinalagrasime mediastinala
Adenopatie hilara simetrica policiclica
radiologic: opacitate alungita cu o varietate mare deradiologic: opacitate alungita cu o varietate mare de
forme care largeste mediastinul uneori ajungand panaforme care largeste mediastinul uneori ajungand pana
la diafragmla diafragm
 la copil creşterea dimensiunilor se face mediolateral;la copil creşterea dimensiunilor se face mediolateral;
 traheea este comprimatătraheea este comprimată
 radiografia trebuie executată în inspir şi în expirradiografia trebuie executată în inspir şi în expir
 in inspir timusul sein inspir timusul se alungestealungeste
 in expir şi în timpul plânsului timusul apare în modin expir şi în timpul plânsului timusul apare în mod
normal lărgitnormal lărgit
 mediastinul superior este lărgit şi prezintă contururimediastinul superior este lărgit şi prezintă contururi
netede sau policiclicenetede sau policiclice
Opacitate localizata in mediastinul superior ,anterior,ce
ingusteaza si deviaza traheea lateral si posterior ,neomogena
datorita prezentei calcificarilor;diagnosticul este confirmat prin
scintigrafie
GusaGusa
Crestere generalizata a volumului glandei tiroide cu zone
hipodense de necoza si efect de masa asupra traheei si
vaselor mediastinale
Opacitate localizata
paramediastinal drept,in
banda,intinsa pe toata
inaltimea mediastinului
,neomogena datorita
continutului alimentar ,cu
resturi de substanta de
contrast -megaesofag
Diagnostic diferential
:diverticulul faringo-
esofagian Zenker
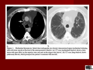
 Acumularea de grasime apare in cazul unor
boli cum ar fi sindromul Cushing
 Admininstrare iatrogena de steroizi
 constitutionala
 Datorita densitatii negative este usor de
identificat CT
Lipom mediastinal ;masa mediastinala cu un contur
lobulat,neted si densitate negativa care inconjura fara
sa comprime artera brahiocefalica
Gusa/acalazia cardieiGusa/acalazia cardiei
Gusa cu
calcificari
Acalazia cardiei
b.Formatiuni tumorale mediastinaleb.Formatiuni tumorale mediastinale
Tumora mediastinalaTumora mediastinala
c.Gaz sau fluid in mediastinc.Gaz sau fluid in mediastin
Pleurezie mediastinalaPleurezie mediastinala
PneumomediastinumPneumomediastinum
Paramediastinal
sting opacitate
liniara subtire care
inconjura butonul
aortic de care este
separat printr-o
hipertransparenta de
1-3mm
PneumomediastinumPneumomediastinum
MediastinitaMediastinita
Abces mediastinalAbces mediastinal
Abces mediastinal
dupa o perforatie
laringiana ;latero-
traheal colectie
fluida cu bule de gaz
Rolul CTRolul CT
 Afectiuni vasculare-RMN este superioaraAfectiuni vasculare-RMN este superioara
 Evaluarea adenopatiilorEvaluarea adenopatiilor
benigne,maligne,limfoamebenigne,maligne,limfoame
 Tumori mediastinaleTumori mediastinale
 Boli rareBoli rare
Afectiuni vasculareAfectiuni vasculare
Masa mediastinala?Masa mediastinala?
Aorta ectaziata alungitaAorta ectaziata alungita
Masa mediastinala?Masa mediastinala?
Ectazie si alungire de trunchiEctazie si alungire de trunchi
brahiocefalicbrahiocefalic
 Radiologic:proeminenta pe marginea dreapta aRadiologic:proeminenta pe marginea dreapta a
mediastinuluimediastinului
 pacienti in virstapacienti in virsta
 ateromatosiateromatosi
 hipertensivihipertensivi
Mediastin largit tumoral?Mediastin largit tumoral?
Anevrism aorticAnevrism aortic
Anevrism de ram sting al artereiAnevrism de ram sting al arterei
pulmonarepulmonare
Diametrul arterei
pulmonare>3 cm
Scizura azygos cu lob
paramediastinal Wrisberg
Anomalii congenitaleAnomalii congenitale
Arc aortic pe dreaptaArc aortic pe dreapta
Dublu arc aorticDublu arc aortic
 anevrism de aorta
 arc aortic dublu
 arc aortic pe dreapta
 Dilatare: VCS
 vena brahiocefalica
 vena subclaviculara
 artera brahiocefalica
 vena azygos
concluzii
Evaluarea adenopatiilorEvaluarea adenopatiilor
Adenopatii tumoraleAdenopatii tumorale
Limfom NHLimfom NH
limfom Non –Hodgkin.Radiografia arata marcata largire a
mediastinului ,in special paratraheal drept ;contur policiclic
Largirea mediastinului in 2/3 superioare,contur
policiclic,net;tonalitatea opacitatii este omogena;opacitatea
se dezvolta mai ales in partea anterioara a mediastinului
Traheea si esofagul sunt amprentate si comprimate de
formatiunea mediastinala
Boala HodgkinBoala Hodgkin
Limfom mediastinalLimfom mediastinal
Limfom mediastinalLimfom mediastinal
Adenopatii netumoraleAdenopatii netumorale
SarcoidozaSarcoidoza
SilicozaSilicoza
TuberculozaTuberculoza
Mediastin anteriorMediastin anterior
Tumorile mediastinului anteriorTumorile mediastinului anterior
 tumori tiroidiene si paratiroidiene intratoracicetumori tiroidiene si paratiroidiene intratoracice
 tumori timicetumori timice
 tumori cu celule germinale-disembrioametumori cu celule germinale-disembrioame
 chistul pleuropericardicchistul pleuropericardic
Tumora mediastinalaTumora mediastinala
Tumora mediastinalaTumora mediastinala
Tumora tiroidianaTumora tiroidiana
 Opacitate localizata inOpacitate localizata in
mediastinul anterior etajmediastinul anterior etaj
superior,binesuperior,bine
delimitata,omogena,conturdelimitata,omogena,contur
net;ecografia transtoracica prinnet;ecografia transtoracica prin
fereastra supraclaviculara afereastra supraclaviculara a
evidentiat o formatiune chisticaevidentiat o formatiune chistica
mediastinalamediastinala
Tumora timicaTumora timica
Timom si miastenie
•sectiune in fereastra
mediastinala
•examen fara substanta de
contrast
•masa mediastinala localizata
anterior ,cu plan de clivaj
fata de aorta toracica
Carcinom timicCarcinom timic
Mediastin superior largit, cu un
contur policiclic;
masa mediastinala anterioara
,hipodensa neomogena
Carcinom timic
Masa mediastinala
anterioara
Masa contine calcificari
micronodulare
Plan de clivaj intre masa si
aorta ascendenta care arata
ca grasimea nu este
oblitearata
Masa mediastinala anterioara ,hipodensa neomogena ,cu
microcalcificari,cu aspect polilobat. Vena brahiocefalica obliterata prin
invazia tumorala
Lacuna endoluminala in vena cava care este si foarte ingustata si
colabata(lacuna reprezinta un tromb tumoral)
Carcinom timic
masa mediastinala anterioara neomogena
ganglioni hilari si subcarinali
Chist pleuro-pericardicChist pleuro-pericardic
Formatiune cu sediul in mediastinul anterior etaj inferior ,unghiul
cardio-frenic omogena,contur net
Chist pleuro-pericardicChist pleuro-pericardic
Chist pleuro-pericardicChist pleuro-pericardic
•Chist pleuro-pericardicChist pleuro-pericardic
CT –chistul pleuro pericardic se
localizeaza cel mai frecvent in
unghiul cardiofrenic drept
este o structura chistica cu o
densitate de –5-25 UH
peretele este fin
dupa admininstrarea substantei
de contrast nu-si modifica
densitatea
Chist pericardicChist pericardic
•masa in unghiul
cardiofrenic anterior
•densitate lichidiana
Lipom
Lipomatoza
LiposarcomLiposarcom
Masa retrosternala
prevasculara cu densitati
de tesut gras cu septuri si
un nodul solid central
Hernie Morgani
Teratom benignTeratom benign
Teratom benign
Amestec de denstati grasime, apa ,
solid
Seminom primarSeminom primar
disembriom heteroplastic
opacitate omogena ,cu aspect policiclic,cu dezvoltare
bilaterala,contur net,localizata in mediastinul anterior cel mai
frecvent
Tumora cu celule germinaleTumora cu celule germinale
Mediastin mijlociuMediastin mijlociu
 tumorile din acest compartiment sunt in majoritatea cazurilortumorile din acest compartiment sunt in majoritatea cazurilor
aleale tesutului limfatic ganglionartesutului limfatic ganglionar
 tumorile primitive ale traheeitumorile primitive ale traheei
 chist bronhogenicchist bronhogenic
 chist pleuro-pericardic-se poate localiza la fel de frecvent inchist pleuro-pericardic-se poate localiza la fel de frecvent in
mediastinul anterior si in spatele hilului stingmediastinul anterior si in spatele hilului sting
Chistul bronhogenicChistul bronhogenic
 Localizare- frecvent in unghiul traheobronsic,uneori cuLocalizare- frecvent in unghiul traheobronsic,uneori cu
extensie catre mediastinul posteriorextensie catre mediastinul posterior
 radiologic –opacitate omogena ,bineradiologic –opacitate omogena ,bine
delimitata,localizata in mediastinul mijlociu;cinddelimitata,localizata in mediastinul mijlociu;cind
creste si are dimensiuni mari are tendinta sa secreste si are dimensiuni mari are tendinta sa se
dezvolte spre compartimentul anterior ,rar spre celdezvolte spre compartimentul anterior ,rar spre cel
posteriorposterior
Chist bronhogenicChist bronhogenic
ChistChist bronhogenicbronhogenic
Opacitate net conturata ,interfata cu
mediastinul in unghiuri obtuze,fara
limita de demarcatie fata de
structurile mediastinale
Chistul bronhogenicChistul bronhogenic
imagine rotunda sau
ovalara,bine delimitata cu
densitate de tesut moale;
daca exista comunicare cu
arborele traheo-bronsic poate
avea continut aeric sau nivel
hidro-aeric
rar la examenul CT poate
prezenta calcificari in perete
atelectazia sau infectia pot
complica diagnosticul
Mediastin posteriorMediastin posterior
 in jur de 30% din tumorile mediastinuluiin jur de 30% din tumorile mediastinului
posterior sunt maligneposterior sunt maligne
 mase solide:mase solide:
simpatoblastoame,neurofibroame,neurinoamesimpatoblastoame,neurofibroame,neurinoame
 mase chistice:mase chistice:
meningocel, chist neuroentericmeningocel, chist neuroenteric
 tumorile neurogene se localizeaza totdeauna intumorile neurogene se localizeaza totdeauna in
mediastinul posteriormediastinul posterior
 CT: masa solida in santul costo-vertebralCT: masa solida in santul costo-vertebral
 largirea gaurilor de conjugarelargirea gaurilor de conjugare
 extensie in canalul medular-tumora inextensie in canalul medular-tumora in
clepsidraclepsidra
NeurinomNeurinom
Neurinom:gaura de conjugare dilatata si formatiune
tumorala cu dezvoltare si in canalul medular
Otto H.Wegener-TDM corps entier
NeurinomNeurinom
Masa hipodensa in
santul costo-vertebral cu
extensie intramedulara
SeminomSeminom
 Tumora localizataTumora localizata
prevertebral inprevertebral in
mediastinul posteriormediastinul posterior
care impinge sicare impinge si
comprima esofagulcomprima esofagul
 masa tumorala in santulmasa tumorala in santul
costo-vertebralcosto-vertebral
Tumora neurogenaTumora neurogena
Tumora neurogenaTumora neurogena
Tumora neurogenaTumora neurogena
Afectiuni foarte rareAfectiuni foarte rare
Hematopeza extramedularaHematopeza extramedulara
Scimitar Syndrom(iatagan)
•plamin drept hipoplazic(lob
sau lobi)
•inima deplasata la dreapta
•supleat vascular partial de
aorta si partial de artera
pulmonara dreapta care este
hipoplazica
 vena pulmonara inferioaravena pulmonara inferioara
dreneaza in vena cavadreneaza in vena cava
inferioara ,vena porta sauinferioara ,vena porta sau
vena hepatica sau venavena hepatica sau vena
renalarenala
 vena pulmonaravena pulmonara
superioara dreneaza insuperioara dreneaza in
azygos care este dilatataazygos care este dilatata
 pot exista anomalii alepot exista anomalii ale
diafragmului sau custiidiafragmului sau custii
toracicetoracice
Scimitar Syndrom(iatagan)Scimitar Syndrom(iatagan)
ConcluziiConcluzii
•Mediastinul are o patologie complexa
•CT este superioara in privinta depistarii anomaliilpr
mediastinale;
•CT poate determina dimensiunea tumorilor
mediatinale,localizarea,originea,invazivitatea,relatiile
cu alte structuri;
•Are capacitatea de a caractetiza densitometric
leziunile patologice
•Dirijare CT a procedurilor interventionale
Bibliografie selectivaBibliografie selectiva
Alexander A.Bankin,Department of Radiology,University of
Vienne,Austrie-ERS Berlin 2001,CT of the Mediastin
Kyung-Jae Jung,Kung Soo Lee,Joungho Han,Jhingook Kim,Tae
Sung Kim:Malignant Tymic Epithelial Tumors :CT-Pathological
Correlation,AJR:176,February 2001

Mediastinul