Tuberculoza (TB) este boala infecto-
contagioasă, cu caracter endemic produsă
de Mycobacterium tuberculosis (bacilul
Koch), caracterizată prin formarea de
granuloame, cu inflamaţie şi distrucţie
tisulară importante, localizare obişnuit
pulmonară şi evoluţie naturală.
Ȋn absenţa unui tratament corect
devine o boala cronică, consumptivă şi
deseori fatală.
În acelaşi timp tuberculoza este o
problemă de sănătate publică întrucât
interesează comunitatea în ansamblu.
TUBERCULOZA
Dacă nu este tratată, boala poate fi fatală în decurs de 5 ani în mai mult de
jumătate din cazuri.
Agentul etiologic face
parte din familia
Mycobacteriacee, tipul
micobacteriilor patogene
(Mycobacterium tuberculosis
de tip uman sau bacilul
Koch, Mycobacterium bovis
şi Mycobacterium
africanum).
TUBERCULOZA
Mortalitatea prin TB ȋn Romȃnia
Bacilii Koch se pun în evidență prin
colorația Ziehl-Neelsen.
Pe frotiurile colorate după această
metodă, bacilul tuberculos apare colorat în
roșu aprins, datorită fucsinei, în timp ce
restul de germeni, celule sau alte elemente,
sunt decolorate de acizi sau alcool, fiind
ulterior recolorate cu albastru de metilen.
Mycobacterium tuberculosis
(colorația Ziehl-Neelsen în spută).
Se mai poate identifica prin
microscopie fluorescentă, sau prin colorare cu
rodamină-auramină.
TUBERCULOZA
Tuberculoza este
clasificată în rândul bolilor
inflamatorii granulomatoase.
Celulele macrofage,
limfocitele T, limfocitele B
și fibroblastul se numără
printre celulele care agregă
pentru a forma granuloame.
Limfocitele înconjoară
celulele macrofage infectate.
Granuloamele previn diseminarea micobacteriei și oferă un mediu local pentru
interacțiunea celulelor cu sistemul imunitar.
TUBERCULOZA
Testele de laborator convenționale utilizate ȋn depistarea infecției sunt examenul
microscopic pentru evidențierea bacililor acid-alcoolo-rezistenți (colorația Ziehl-
Neelsen, colorații fluorescente) și cultura mycobacteriilor (metoda standard de
diagnostic).
Ca urmare a dezvoltǎrii tehnicilor de amplificare a acizilor nucleici (PCR) și
introducerii acestora ȋn practica medicalǎ curentǎ s-a ȋmbunǎtǎțit management-ul
pacientilor suspectați de tuberculozǎ: inițierea precoce a tratamentului, ameliorarea
stǎrii clinice, crearea unor posibilitǎți mai mari de stopare a transmiterii infecției și a
unor intervenții de sǎnǎtate publicǎ mai eficiente.
Testul PCR se bazeazǎ pe amplificarea unei secvențe unice a genei katG prezente
la membri complexului Mycobacterium tuberculosis: Mycobacterium tuberculosis,
Mycobacterium bovis, Mycobacterium africanum, Mycobacterium microti. Este
posibilǎ astfel detectarea rapidǎ a ADN-ului complexului Mycobacterium tuberculosis
ȋn decurs de 24-48 ore de la sosirea probelor ȋn laboratorul la care se face testarea.
TUBERCULOZA
Infecția tuberculoasă începe atunci
când micobacteria ajunge la alveolele
pulmonare, unde invadează și se
multiplică în endozomii celulelor
macrofage alveolare.
Localizarea principală a infecției
plămânilor, numită și „focar Ghon”,
este în partea de sus a lobului inferior
sau în partea de jos a lobului superior.
Săgețile albe indică infecția în
ambii plămâni. Săgețile negre arată
cavitatea care s-a format.
Tuberculoza poate afecta toate
organele, deși, fără motive cunoscute,
afectează rareori inima, mușchii
scheletici, pancreasul sau tiroida.
TUBERCULOZA
Tuberculoza poate fi clasificată în funcţie de variate criterii:
 în raport cu organul afectat: pulmonară, extrapulmonară, mixtă;
 în raport cu momentul infecţiei: tuberculoza primară, tuberculoza secundară;
 în raport cu manifestările clinice, radiologice, cu situaţia bacteriologică, cu
tratamentul administrat.
Tuberculoza se manifestă în două forme:
1) forma activă, există simptome și infecția poate fi răspîndită. Tipul
simptomelor sunt în concordanță cu tipul de tuberculoză, fie pulmonară (cel mai
comun), fie în altă parte a corpului (tuberculoza extrapulmonară). De asemenea, pot
exista alte afecțiuni cu simptome asemănătoare cu cele ale tuberculozei cum ar
fi pneumonia și cancerul pulmonar.
2) forma latentă, nu există simptome și aceasta nu poate fi răspîndită altor
persoane.
Clinic, bolnavii prezintă o stare generală uşor alterată, febră moderată, astenie,
inapetenţă, mai rar tuse (fără expectoraţie). Semnele obiective sunt destul de sumare.
Mai important este însă aspectul radiologic.
Insidios
Manifestări generale
Simptome respiratorii
Acut
Hemoptizie
Pseudogripal
Pseudopneumonic
Asimptomatic
Imagine radiologică patologică
Simptomul cel mai caracteristic este tusea, care este persistentă (peste 3
săptămîni), se accentuează progresiv, fiind însoțită sau nu de expectorație.
TUBERCULOZA
 Tusea, care la ȋnceput este uscatǎ și apare ȋn accese.
 Expectorația este redusǎ, ȋn fazele de remisiune și abundentǎ ȋn perioadele active
(de obicei muco-purulentǎ, verzuie, cu miros fad). Ȋn scuipǎtoare are aspect
floconos sau de monede (sputǎ numularǎ). Uneori este striatǎ cu firișoare de
sȃnge.
 Durerile toracice pot lipsi, dar se ȋntȃlnesc ȋn formele pleuretice și ȋn
complicațiile pleurale.
 Dispneea existǎ destul de des, depinzȃnd de ȋntinderea leziunilor. Ȋn
pneumotoraxul spontan apare brusc.
 Hemoptizia este un simptom frecvent. Poate fi: minimalǎ (spute hemoptoice),
apǎrȃnd ȋn faza de debut a bolii (hemoptizii revelatoare) sau ȋn tuberculozele
fibroase: mijlocie (pȃnǎ la 1 litru), ținȃnd cȃteva zile sau sǎptǎmȃni;
fulgerǎtoare, provocȃnd moartea bolnavului ȋn cȃteva minute, prin asfixie sau
șoc.
TUBERCULOZA
Bolnavii mai pot acuza:
 febrǎ sau stare subfebrilă,
 inapetență;
 scădere ponderală;
 expectorație cu sînge (hemoptizie);
 dureri toracice.
Cele mai frecvente cazuri
(aproximativ 40%) debutează
insidios, lent progresiv, cu tuse
minimală la debut, seacă sau slab
productivă, cu expectoraţie redusă
cantitativ, mucoasă apoi
mucopurulentă.
TUBERCULOZA
Surse de infecție. Sunt reprezentate de:
 bolnavii de tuberculoză pulmonară activă (baciliferi), în special cei cu leziuni
cavitare;
 bolnavii cu tuberculoze extrapulmonare active deschise sau fistulizate
(urogenitale, osteoarticulare, ganglionare, etc.);
 animalele bolnave de tuberculoză (în special bovine) prin produse contaminate
(lapte).
TUBERCULOZA
Factori de risc. Apariția bolii este
favorizată de următorii factori:
 fumatul;
 alcoolismul cronic;
 alimentația precară;
 infecții cu HIV/SIDA sau alte virusuri;
 existența unor boli cronice, cum ar fi:
diabetul zaharat, cancerul, leucemia;
 silicoza;
 condiții igienice deficitare;
 stresul;
 odihna insuficientă;
 tratamentele cu prednison.
TUBERCULOZA
Schema tristadială propusă de
Ranke (1916-1926) :
 stadiu primar, caracterizat prin
constituirea „complexului primar“şi
apariţia alergiei (virajul
tuberculinic),
 îi urmează un stadiu secundar în
care, pe fondul hipersensibilităţii
intense a ţesuturilor la antigenii
bacilari, boala tinde să se
generalizeze prin extensie locală şi
metastaze hematogene la distanţă.
 stadiul terţiar apare la adult şi
reprezintă o „ftizie izolată.
TUBERCULOZA
TUBERCULOZA
Focarul pulmonar constituit după pătrunderea bacilului KOCH pe cale aeriană
într-un organism indemn de infecţie tuberculoasă reprezintă şancrul de inoculare
sau afectul primar tuberculos.
Şancrul de inoculare, limfangita şi adenopatia satelită sunt cele 3 elemente care
definesc triada anatomo-patologică cunoscută drept Complexul primar Ranke.
Complex primar Ranke
TUBERCULOZA
COMPLEX PRIMAR TUBERCULOS
AFECT
LIMFANGITA
ADENITA
RANCKE
Leziunile inițiale
radiologice sunt
reprezentate de complexul
Ghon-Ranke.
Complexul primar TBC
TUBERCULOZA
1. Granulaţiile miliare.
2. Nodulii simpli.
3. Nodulii acinoşi (leziunile acino-nodulare.)
Granulaţii miliare TBC
Noduli TBC
TUBERCULOZA
4. Tuberculomul - leziune nodulară cu aspect pseudotumoral, bine circunscrisă,
cu dimensiunea de 5 - 10 cm.
a. tuberculomul omogen; b. tuberculomul polimorf
(multinodular);
c. tuberculomul stratificat.
Tuberculom omogen
TUBERCULOZA
a.Infiltratul tuberculos pulmonar -
Histopatologic - focare confluente de
bronhopneumonie cazeoasă.
b.Serozitele tuberculoase - pleurezia,
pericardita, peritonita, poliserozitele.
Aspect de inflamaţie exudativă de tip
sero-fibrinos cu evoluţie spre resorbţie
sau transformare cazeoasă sau cazeoasă-
purulentă.Tendinţa la organizare fibroasă
cu constituirea de pahipleurite şi
periviscerite.
Infiltratul tuberculos pulmonar
TUBERCULOZA
1.Ulceraţia tuberculoasă -
formă neregulată cu margini
anfractuase; fundul prezintă
depozite cazeoase.
2. Caverna tuberculoasă -
pulmonară sau extrapulmonară,
se constituie în perioada primară
- caverna precoce, sau mai
frecvent în perioada secundară.
Ruperea lor determină
hemoptizii.
Cavernă tuberculoasă
TUBERCULOZA
Şancrul de inoculare
sau afectul primar unic sau
multiplu, datorită
dimensiunilor foarte mici
este greu de evidenţiat.
Adenopatia satelită de
dimensiuni variabile, de
obicei unilaterală se
caracterizează prin
afectarea frecventă a
ganglionilor hilari şi
paratraheali.
Ranke complex - HRCT
Post-primary pulmonary
tuberculosis
Infecţia se propagă pe cale limfatică spre ganglionii sateliţi regionali,
determinând apariţia adenopatiei localizate hilar sau paratraheal.
Post-primary tuberculosis: tuberculous
bronchopneumonia.
Complexul primar poate evolua cu complicaţii precum:
 compresia gangliono-
bronşică;
 atelectazii;
 fistulă ganglio-
bronşică;
 cavernă
ganglionară.
 procese inflamatorii
extensive benigne care
se numesc
epituberculoze;
TUBERCULOZA
1. Benigne, frecvente mai ales la sugar şi copilul mic:
 extensiv-inflamatorii (epituberculoze);
 hematogene discrete (focare post-primare).
 cu potenţial de agravare (complicaţiile bronşice de vecinătate ale adenopatiei
tuberculoase), sunt:
– Compresia bronşică extrinsecă;
– Tuberculizarea peretelui bronşic cu perforaţia lui şi fistula gangliobronşică ;
– Caverna ganglionară.
2. COMPLEXUL PRIMAR PROGRESIV. Denumit şi complex primar
complicat, malign, se instalează ca şi cel simplu, dar evoluţia sa nu este spre
vindecare ci generează complicaţii care pot fi foarte grave sau pot lăsa sechele
morfologice sau amputaţii funcţionale importante.
Complicatiile complexului primar progresiv pot fi : localizate şi diseminate.
Complicatiile localizate: pot interesa bronhia, pleura sau parenchimul pulmonar.
a) Complicaţii bronsice: fistula adenobronşică;
b) complicaţii pleurale;
c) complicaţii pulmonare: condensările pulmonare pot fi mecanice reflexe
sau inflamatorii. Condensările mecanice reflexe sunt reprezentate de atelectazii.
Condensarile inflamatorii pot fi cazeificante şi necazeificante.
Caverna primară se poate localiza la nivelul afectului primar sau a adenopatiei.
Tuberculoza primară clinic manifestă benign are uneori şi manifestări extratoracice:
 Cherato conjunctivita flictenulară- caracterizată prin existenţa de flictene pe
conjunctive.
 Cicatrici keloide.
 Adenopatii cervicale.
 Eritemul nodos.
Complexul primar se
însoţeşte întodeauna de o
diseminare hematogenă a
infecţiei.
Dacă diseminarea este masivă
se realizează generalizarea
procesului tuberculos, cu
constituirea TBC miliare.
Post-primary tuberculosis:
miliary tuberculosis
TUBERCULOZA
Evoluţia este favorabilă sub tratament antituberculos. Rareori produce
obstrucţie laringiană cu necesitatea unei traheostomii temporare.
TUBERCULOZA LARINGIANĂ. Este o formă rară, ce apare de obicei
asociată cu tuberculoza pulmonară extinsă, prin expunere cronică a laringelui la o
cantitate mare de bacili. Se manifestã prin disfonie şi este intens contagioasă.
Eritem indurat
TBC ganglionar
TUBERCULOZA
TUBERCULOZA
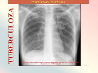
Tuberculoza secundară este o boală a vârstei adulte.
Are o evoluţie cronică, cu alternanţă de pusee evolutive și intervale de
remisiune, progresiune apico-caudală a leziunilor și letalitate ridicată în absenţa
terapiei.
Ftizia se produce prin urmǎtoarele mecanisme, care ȋn ordinea importanței și
frecvenței sunt:
2. Mecanismul ganglio-
bronhogen, ȋn care consecutiv
perforației se produce aspirarea
conținutului cazeos ȋn segmentul
pulmonar respectiv.
1. Ftiziogeneza apicalǎ.
Sediul comun al reactivării este reprezentat de „leziunile minime “(fibrotice) din
teritoriul apico-subapical, constituite în etapa infecţiei primare prin mecanism
hematogen sau bronhogen.
3. Ȋn situații foarte rare, ftizia poate avea originea dintr-o tuberculozǎ
bronșicǎ primitivǎ, din nodulii miliari ai unei granulii vindecate.
Tipuri de infiltrate tuberculoase secundare.
Infiltrat tuberculos subclavicular dreapta
Cavernǎ TBC cu
pereți subțiri,
intens opaci,
subclavicular
dreapta (cavernǎ
fibroasǎ)
Reprezintǎ o etapǎ mai avansatǎ, cȃnd TBC infiltrativǎ a ajuns ȋn faza de
cazeificare și lichefiere devenind forma obișnuitǎ (comunǎ) a tuberculozei
adultului.
Tuberculoza fibro-cazeoasǎ cavitarǎ
Diferite aspecte ale cavernelor TBC
 Caverne recente (gradul I) caracterizate prin zone transparente neregulate, ȋn
cuprinsul unor opacitǎți rǎu delimitate.
 Caverne elastice (gradul II) cu aspect de inel opac cu grosime egalǎ (1-2 mm)
cu contur regulat, ce delimiteazǎ o arie transparentǎ ȋn interior.
 Caverne fibroase (gradul III) al cǎror inel opac apare mai gros (3-4 mm), mai
dens, cu o arie transparentǎ mai voluminoasǎ ȋn interior, uneori cu nivel
orizontal.
TUBERCULOZA
Cavernǎ TBC subclavicularǎ stȃngȃ
Tuberculozǎ secundarǎ fibroasǎ
Tuberculozele fibroase. Se descriu mai multe forme ale fibrozei pleuro-
pulmonare postuberculoase.
o scleroza nodularǎ
apicalǎ apǎrutǎ prin
transformarea
fibroconjunctivǎ a
leziunilor ftizice
nodulare, infiltrative
sau chiar cavitare;
o fibrozele dense "mutilante" - fibrotorax.
o sclerozele difuze,
sistematizate;
Tuberculozǎ fibroasǎ apicalǎ dreaptǎ
Leziuni fibrocavitare
diseminate bilateral
TUBERCULOZA
Fibrotorax posttuberculos cu pneumotorax ȋnchistat bazal dreapta
TUBERCULOZA
Tuberculoză pulmonară bilaterală infiltrativ-extensivă; BK pozitivă-recidivă
În 15–20% din cazurile active, infecția
se extinde în afara aparatului respirator,
provocând alte tipuri de tuberculoză. Cele
mai frecvente locuri de dezvoltare a
infecției extrapulmonare sunt: pleura
(pleurezie tuberculoasă), sistemul nervos
central (meningită tuberculoasă) și sistemul
limfatic (scrofuloză ganglionară).
Tuberculoza extrapulmonară poate
afecta, printre alte locuri de infectare
posibile, și sistemul uro-genital (tuberculoză
urogenitală), oasele și articulațiile (morbul
lui Pott în cazul localizării la coloana
vertebrală).
Renal Tuberculosis
Tuberculoza genito-urinarǎ se
manifestǎ ca o infecție repetatǎ a tractului
urinar, care nu rǎspunde la antibioticele
obișnuite.
Pleurezia TBC apare la aproximativ
30% dintre pacienții cu tuberculozǎ.
Tuberculoza peritonealǎ este o
manifestare neobișnuitǎ a infecției
extrapulmonare cu Mycobacterium
tuberculosis.
Pericardita TBC reprezintǎ cea mai
frecventǎ cauzǎ de pericarditǎ ȋn țǎri ȋn
care tuberculoza este o problemǎ majorǎ
de sǎnǎtate și ȋn care de asemenea
prevalența infecției HIV este mare.
TUBERCULOZA
Tuberculoza osteoarticularǎ este responsabilǎ de aproximativ 10% din
cazurile de tuberculozǎ extrapulmonarǎ.
Cele mai frecvente localizǎri ale infecției sunt: vertebrele (50%), articulația
șoldului (15%) și cea a genunchiului (15%). Distrucțiile și
deformǎrile osoase
constituie un semn
tardiv de
tuberculozǎ.
TUBERCULOZA
Meningita tuberculoasǎ
este dificil de diagnosticat;
simptomatologia
neurologicǎ se instaleazǎ
insidios, pe fondul
impregnației bacilare.
Debutul este prelungit, cu
febrǎ sau subfebrilitǎți,
vǎrsǎturi, fotofobie, cefalee
și amețeli.
Ȋn perioada de stare la sindromul de iritație meningeanǎ, care poate fi
incomplet sau slab exprimat, se adaugǎ semne de afectare a nervilor oculomotori
(ptoza palpebralǎ, strabism etc.).
Diagnosticul tuberculozei active se face prin radiologie, (cunoscută drept
radiografie toracică) prin examinare microscopică și cultură microbiologică a
fluidelor corporale. Diagnosticarea tuberculozei latente se face prin testul cutanat la
tuberculină (TCT) și analize de sânge.
Testul de amplificare a acizilor nucleici și
testul adenozin-dezaminazei pot diagnostica
rapid tuberculoza.
Cu toate acestea, testele acestea nu sunt
recomandate ca teste de rutină, deoarece rareori
modifică modul de tratare a pacientului.
Testele de sânge pentru detectarea
anticorpilor nu sunt specifice sau sensibile, prin
urmare nu sunt recomandate.
Testul cutanat la tuberculină (testul
Mantoux) este adesea utilizat pentru a
identifica persoanele cu risc ridicat de
tuberculoză. Cel mai important, testul poate
fi fals negativ în cazul persoanelor cu
tuberculoză activă.
În cazul persoanelor cu reacție pozitivă la testul Mantoux se recomandă testul de
eliberare de interferon gamma (IGRA) pe un eșantion de sânge.
Rezultatele testului IGRA nu sunt influențate de imunizare sau de majoritatea
micobacteriilor din mediu, astfel încât sunt mai rar fals pozitive. Totuși, rezultatele
sunt influențate de M. szulgai, M. marinum și M. kansasii. Sensibilitatea testului
IGRA poate crescută dacă este utilizat în combinație cu testul cutanat.
Dacă însă este utilizat individual, sensibilitatea testului IGRA poate fi mai
redusă decât cea a testului cutanat.
Testarea tuberculinicǎ cuplatǎ cu identificarea unei cicatrici postvaccinale cu
BCG, poate oferi argumente de diagnostic, ierarhizate astfel:
 Viraj tuberculinic la un copil nevaccinat cu BCG.
 Test pozitiv (indurație > 10 mm, cu atȃt mai semnificativ cu cȃt are diametru
și/sau intensitate tip Palmer mai mare) la copil nevaccinat cu BCG.
 Salt tuberculinic la copil vaccinat cu BCG.
 Test pozitiv (10-14 mm, tip Palmer I-II sau > 15 mm indiferent de tipul Palmer)
la copil preșcolar vaccinat cu BCG și 10-19 mm Palmer I-II sau > 20 mm,
indiferent de Palmer la elevi și adolescenți.
Un test tuberculinic negativ nu infirmǎǎ tuberculoza primarǎ, mai ales la vȃrsta
micǎ, la copii cu deficit ponderal important, ȋn cazul unui contact foarte recent, sau
ȋn cazul unor forme clinico-radiologice severe sau diseminate.
Testul tuberculinic este cea mai larg utilizatǎ modalitate de a stabili existența și
amploarea reacției de hipersensibilitate la antigene tuberculinice. Este una din
metodele de depistare activǎ a tuberculozei
Ȋn țara noastrǎ, se utilizeazǎ tehnica
injectǎrii intradermice pe fața anterioarǎ a
antebrațului stȃng a 0,1 ml, corespunzȃnd la
2 UI din tuberculina purificatǎ PPD IC65
preparatǎ de Institutul Cantacuzino
(concentrațiile de 10 UI pe 0,1 ml sunt
folosite pentru depistarea sensibilitǎții
infratuberculinice).
Ȋn cazul injectǎrii hipodermice, sau cȃnd se pierde soluție ȋntre seringǎ și acul
incorect montat, este recomandat sǎ se reia manevra cu mai multǎ atenție, repetȃnd
injectarea la o distanțǎ de 3-5 cm sau la antebrațul opus.
TUBERCULOZA
Citirea rezultatului se face dupǎ 72 de ore. Se identificǎ existența unei even-
tuale arii intens eritemato-violacee, circumscriind urma ȋnțepǎturii dermice. Ȋn cazul
existenței unei astfel de reacții, se apreciazǎ tactil, prin repetate mișcǎri ȋntr-un sens și
altul a pulpei inelarului deasupra zonei de reacție, limitele unei zone de infiltrație
dermicǎ ce corespunde histopatologic unei dense infiltrații dermice perivasculare cu
limfocite și macrofage, substrat al rǎspunsului de tip hipersensibilitate cutanatǎ la
antebrațul injectat. Dacǎ zona de infiltrație nu se poate delimita convenabil tactil, se
verificǎ vizual. O zonǎ intens eritematoasǎ, bine delimitatǎ și care persistǎ mai mult de
72 de ore, trebuie apreciatǎ ca reacție specificǎ și luatǎ ȋn considerare, chiar dacǎ nu se
reușește identificarea vreunui grad de indurație.
Se noteazǎ, de asemenea, o apreciere calitativǎ a intensitǎții dermice prin
atribuirea unui „tip Palmer“ cu urmǎtoarea semnificație:
tip I = indurație fermǎ sau prezența de flictene; tip III = infiltrație depresibilǎ;
tip II = indurație elasticǎ; tip IV = fǎrǎ infiltrație aparentǎ.
Tuse
> 3 săptămâni
Astm bronşic
Patologie ORL
Boala de reflux gastroesofagian
Bronşiectazii
Bronşită cronică / BPOC
Neoplasm bronhopulmonar
PID, pneumoconioza
Stenoză mitrală / IVS
Rx. normală
Bronhoree purulentă
Exacerbări infecţioase
Dispnee progresivă
Sindrom obstructiv
Istoric de fumat
Rx +/- bronhoscopie
sugestive
Rx, spirograma, expuneri
Semne clinice, ECG, EcoCG
Abcesul pulmonar
Cancerul pulmonar
Chistul hidatic
Debut insidios
Tuse şi expectoraţie cronică
Spută fetidă
Rx: imagine hidroaerică
Istoric de fumat
Rx: cavitate cu perete gros
Frecvent adenopatii
Istoric de vomică cu lichid clar
Rx: cavitate cu perete subţire
Membrana proligeră
Prevenire. Ancheta epidemiologicǎ ascendentǎ urmǎrește identificarea
contactului cu o sursa patentǎ (bolnav cu M+) sau posibilǎ (bolnav cu o formǎ clinicǎ
de obicei contagioasǎ, chiar dacǎ nu s-a reușit confirmarea bK ȋn cazul ȋn speta). Se ia
ȋn considerare frecvența, durata și intimitatea contactului.
Eforturile de prevenire și control al tuberculozei se bazează pe vaccinarea nou-
născuților și pe detectarea și tratamentul adecvat al cazurilor active. Organizația
Mondială a Sănătății (OMS) a atins un anumit grad de reușită datorită unui regim de
tratament îmbunătățit, observându-se o ușoară scădere a numărului de cazuri.
Pentru a preveni infecția cu TBC trebuie:
 sǎ nu se petreacǎ mult timp ȋntr-un loc aglomerat cu cineva care are tuberculozǎ
activǎ, dacǎ nu urmeazǎ un tratament de cel puțin douǎ sǎptǎmȃni;
 sǎ se poarte mǎști de protecție, ȋn special cei care lucreazǎ ȋn centre de ȋngrijire a
pacienților cu tuberculozǎ.
Sănătate publică. În anul 1993, Organizația Mondială a Sănătății a declarat
tuberculoza o „problemă urgentă de sănătate globală”. În 2006, parteneriatul pentru
oprirea tuberculozei a întocmit Planul global de stopare a tuberculozei. În
programele de sănătate publică se utilizează sistemul de clasificare a tuberculozei
dezvoltat de Societatea Americană de Boli Toracice.
Vaccinul BCG este astfel administrat mai ales persoanelor cu risc crescut. Unul
dintre motivele pentru care nu se recomandă administrarea vaccinului este că acesta
determină rezultate fals pozitive la testul cutanat la tuberculină, anulând eficacitatea
acestuia în identificarea bolii. În prezent, alte vaccinuri sunt în curs de dezvoltare.
Vaccinare. Începând din anul 2011, singurul vaccin disponibil este bacilul
Calmette–Guérin (BCG). BCG este eficient împotriva răspândirii bolii în copilărie,
însă conferă un grad de protecție variabil împotriva tuberculozei pulmonare.
TUBERCULOZA
Antibioticele sunt singurele medicamente care tratează tuberculoza. Acestea se
administrează în doze mari, în funcţie de antibiogramă şi se pot recomanda şi asocieri
de antibiotice. Tratamentul este de lungă durată, peste un an şi se fac analize repetate
pentru a confirma vindecarea. Tuberculostaticele cele mai folosite sunt: izoniazida,
pirazinamida, rifampicina, streptomicina şi etambultolul.
a) majore:
 Izoniazida.
 Rifampicina.
b) de asociere:
 Pirazinamida.
 Etambutolul.
 Streptomicina.
c) de rezervǎ:
 Etionamida, Protionamida.
 Acid aminosalicilic.
 Cicloserina.
 Capreomicina, Kanamicina, Amikacina,
Ansamicina.
 Ofloxacina, Ciprofloxacina, Levofloxacina.
Tuberculoza extrapulmonară se tratează la fel ca cea pulmonară, numai că
forma de administrare a medicamentelor poate fi diferită în funcţie de localizare.
Uneori este necesară şi intervenţia chirurgicală pentru excizia zonelor foarte
afectate.
Pe lângă tratamentul medicamentos, este importantă o dietă echilibrată,
bogată în vitamine şi proteine. De asemenea trebuie respectate cu strictete şi normele
de igienă: acoperirea gurii în timpul tusei şi strănutului, spălarea periodică a
mâinilor. Iniţial, în stadiul de contagiozitate, pacientul este internat în sanatoriu
pentru a preveni infectarea celor din jur.
Ulterior, se repetă analizele şi dacă persoana nu mai reprezintă un pericol, poate
continua tratamentul la domiciliu, dar cu păstrarea cât mai mult timp a repausului la
pat. De asemenea, contactele sociale ale persoanei infectate se examinează și
tratează, dacă este necesar.
Relaţiile posibile de cauzalitate TB - consum alcool include modele specifice de
amestec social între persoanele cu tulburări de tipul consumului de alcool, ce duce la
un risc mai crescut de infecţie, sau slăbirea sistemul imunitar care să conducă la un
risc mai mare de infecţie la TB. Acesta din urmă poate avea loc direct, prin efectele
toxice ale alcoolului asupra sistemului imunitar, sau indirect, prin deficit de micro-şi
macronutrienţi, sau alte condiţii medicale legate de alcool, cum ar fi afecţiunile
maligne şi depresia (Lönnroth, 2008).
Conform analizei publicate de PLoS Medicine, pacienţii cu diabet zaharat au risc
crescut de a dezvolta TB activă (Jeon, 2008). Deoarece diabetul zaharat şi TB
pulmonar coexistă frecvent, diabetul zaharat ar trebui să fie suspectat la orice pacient
cu tuberculoză activă, şi de asemenea tuberculoza pulmonară ar trebui să fie inclusă
ca diagnostic diferenţial la orice pacient cu diabet zaharat şi cu o radiografie toracică
cu modificări (Socaci, 2009).
Potrivit raportului Organizaţiei Mondiale pentru Sănătate din 2005 cu privire
la controlul tuberculozei la nivel mondial (World Health Organization, 2005),
ratele tratamentului de succes identificate în 22 de ţări cu risc crescut de infecţie
TB au variat de la 60% în Uganda la 93% în China, cu o medie de 83%. Mai mult
decât atât, studiul realizat de Shargie et al., în sudul Etiopia a arătat că rata de
succes a tratamentului din toate cazurile de tuberculoză a fost de 49% (Shargie,
2005 ).
Tulburări mentale pot fi, de asemenea, asociate cu un risc mai mare de TB
prin impactul asupra sistemului imunitar (Prince, 2007). Asocierea TB la bolile
psihice a fost raportată mai ales în spitalele de profil. În patogeneza asociaţiei
participă imunitatea scăzută, condiţiile socio-economice etc.
După infecţia primară, TB se poate reactiva oricând şi oriunde în corp. Studii
recente au sugerat că localizarea TB extrapulmonară poate varia în funcţie de
locaţia geografică şi populaţie (Yang, 2004).
[1] - http://tuberculoza.info/ro/Articles/Details/1
[2] - http://www.ghidcabinet.ro/2010/11/incidenta-tbc-in-romania-dubla-fata-de-alte-
state/
[3] - http://ro.wikipedia.org/wiki/Tuberculoz%C4%83
[4] http://msimion.wordpress.com/2012/03/28/tuberculoza-infectie-cauzata-de-
bacilul-koch/
[5] - http://www.rasfoiesc.com/sanatate/medicina/TUBERCULOZA-
PULMONARA-PRIMARA66.php
[6] -
http://usmf.md/Infomedica/documente/Alre%20resurse/Ghiduri%20medicale/tuberc
uloza.pdf
[7] - http://www.rasfoiesc.com/sanatate/medicina/TUBERCULOZA-
PULMONARA-PRIMARA66.php
[8] -
http://usmf.md/Infomedica/documente/Alre%20resurse/Ghiduri%20medicale/tuberc
uloza.pdf
BIBLIOGRAFIE
[9] - http://ro.wikipedia.org/wiki/Mycobacterium_tuberculosis
[10] - http://ro.wikipedia.org/wiki/Tuberculoz%C4%83
[11] - http://ro.wikipedia.org/wiki/Mycobacterium_tuberculosis
[12] - http://www.divahair.ro/sanatate/boli_infectioase/plamanii_si_tuberculoza_-
_simptome,_diagnostic,_tratament
[13] - http://ro.wikipedia.org/wiki/Mycobacterium_tuberculosis
[14] – EMCB, Modul PNEUMOLOGIE [1 mai 2013 – 30 aprilie 2014] Creditat prin
decizia CMR nr. 6653/21.12.2012, Dr. Olimpia NICOLAESCU
[15] - REVISTA MEDICALÅ ROMÂNÅ – VOLUMUL LVIII, NR. 2, An 2011
[16] - Tuberculoza pulmonară problemă prioritară de sănătate în mediul carceral,
CONDUCĂTOR ŞTIINŢIFIC PROF. UNIV. DR. VALENTIN CÎRLIG,
DOCTORAND: TANŢA CERNAT, CRAIOVA 2011
BIBLIOGRAFIE

Tuberculoza

  • 2.
    Tuberculoza (TB) esteboala infecto- contagioasă, cu caracter endemic produsă de Mycobacterium tuberculosis (bacilul Koch), caracterizată prin formarea de granuloame, cu inflamaţie şi distrucţie tisulară importante, localizare obişnuit pulmonară şi evoluţie naturală. Ȋn absenţa unui tratament corect devine o boala cronică, consumptivă şi deseori fatală. În acelaşi timp tuberculoza este o problemă de sănătate publică întrucât interesează comunitatea în ansamblu. TUBERCULOZA
  • 3.
    Dacă nu estetratată, boala poate fi fatală în decurs de 5 ani în mai mult de jumătate din cazuri. Agentul etiologic face parte din familia Mycobacteriacee, tipul micobacteriilor patogene (Mycobacterium tuberculosis de tip uman sau bacilul Koch, Mycobacterium bovis şi Mycobacterium africanum). TUBERCULOZA
  • 4.
  • 5.
    Bacilii Koch sepun în evidență prin colorația Ziehl-Neelsen. Pe frotiurile colorate după această metodă, bacilul tuberculos apare colorat în roșu aprins, datorită fucsinei, în timp ce restul de germeni, celule sau alte elemente, sunt decolorate de acizi sau alcool, fiind ulterior recolorate cu albastru de metilen. Mycobacterium tuberculosis (colorația Ziehl-Neelsen în spută). Se mai poate identifica prin microscopie fluorescentă, sau prin colorare cu rodamină-auramină. TUBERCULOZA
  • 6.
    Tuberculoza este clasificată înrândul bolilor inflamatorii granulomatoase. Celulele macrofage, limfocitele T, limfocitele B și fibroblastul se numără printre celulele care agregă pentru a forma granuloame. Limfocitele înconjoară celulele macrofage infectate. Granuloamele previn diseminarea micobacteriei și oferă un mediu local pentru interacțiunea celulelor cu sistemul imunitar. TUBERCULOZA
  • 7.
    Testele de laboratorconvenționale utilizate ȋn depistarea infecției sunt examenul microscopic pentru evidențierea bacililor acid-alcoolo-rezistenți (colorația Ziehl- Neelsen, colorații fluorescente) și cultura mycobacteriilor (metoda standard de diagnostic). Ca urmare a dezvoltǎrii tehnicilor de amplificare a acizilor nucleici (PCR) și introducerii acestora ȋn practica medicalǎ curentǎ s-a ȋmbunǎtǎțit management-ul pacientilor suspectați de tuberculozǎ: inițierea precoce a tratamentului, ameliorarea stǎrii clinice, crearea unor posibilitǎți mai mari de stopare a transmiterii infecției și a unor intervenții de sǎnǎtate publicǎ mai eficiente. Testul PCR se bazeazǎ pe amplificarea unei secvențe unice a genei katG prezente la membri complexului Mycobacterium tuberculosis: Mycobacterium tuberculosis, Mycobacterium bovis, Mycobacterium africanum, Mycobacterium microti. Este posibilǎ astfel detectarea rapidǎ a ADN-ului complexului Mycobacterium tuberculosis ȋn decurs de 24-48 ore de la sosirea probelor ȋn laboratorul la care se face testarea. TUBERCULOZA
  • 8.
    Infecția tuberculoasă începeatunci când micobacteria ajunge la alveolele pulmonare, unde invadează și se multiplică în endozomii celulelor macrofage alveolare. Localizarea principală a infecției plămânilor, numită și „focar Ghon”, este în partea de sus a lobului inferior sau în partea de jos a lobului superior. Săgețile albe indică infecția în ambii plămâni. Săgețile negre arată cavitatea care s-a format. Tuberculoza poate afecta toate organele, deși, fără motive cunoscute, afectează rareori inima, mușchii scheletici, pancreasul sau tiroida. TUBERCULOZA
  • 9.
    Tuberculoza poate ficlasificată în funcţie de variate criterii:  în raport cu organul afectat: pulmonară, extrapulmonară, mixtă;  în raport cu momentul infecţiei: tuberculoza primară, tuberculoza secundară;  în raport cu manifestările clinice, radiologice, cu situaţia bacteriologică, cu tratamentul administrat. Tuberculoza se manifestă în două forme: 1) forma activă, există simptome și infecția poate fi răspîndită. Tipul simptomelor sunt în concordanță cu tipul de tuberculoză, fie pulmonară (cel mai comun), fie în altă parte a corpului (tuberculoza extrapulmonară). De asemenea, pot exista alte afecțiuni cu simptome asemănătoare cu cele ale tuberculozei cum ar fi pneumonia și cancerul pulmonar. 2) forma latentă, nu există simptome și aceasta nu poate fi răspîndită altor persoane.
  • 10.
    Clinic, bolnavii prezintăo stare generală uşor alterată, febră moderată, astenie, inapetenţă, mai rar tuse (fără expectoraţie). Semnele obiective sunt destul de sumare. Mai important este însă aspectul radiologic. Insidios Manifestări generale Simptome respiratorii Acut Hemoptizie Pseudogripal Pseudopneumonic Asimptomatic Imagine radiologică patologică Simptomul cel mai caracteristic este tusea, care este persistentă (peste 3 săptămîni), se accentuează progresiv, fiind însoțită sau nu de expectorație. TUBERCULOZA
  • 11.
     Tusea, carela ȋnceput este uscatǎ și apare ȋn accese.  Expectorația este redusǎ, ȋn fazele de remisiune și abundentǎ ȋn perioadele active (de obicei muco-purulentǎ, verzuie, cu miros fad). Ȋn scuipǎtoare are aspect floconos sau de monede (sputǎ numularǎ). Uneori este striatǎ cu firișoare de sȃnge.  Durerile toracice pot lipsi, dar se ȋntȃlnesc ȋn formele pleuretice și ȋn complicațiile pleurale.  Dispneea existǎ destul de des, depinzȃnd de ȋntinderea leziunilor. Ȋn pneumotoraxul spontan apare brusc.  Hemoptizia este un simptom frecvent. Poate fi: minimalǎ (spute hemoptoice), apǎrȃnd ȋn faza de debut a bolii (hemoptizii revelatoare) sau ȋn tuberculozele fibroase: mijlocie (pȃnǎ la 1 litru), ținȃnd cȃteva zile sau sǎptǎmȃni; fulgerǎtoare, provocȃnd moartea bolnavului ȋn cȃteva minute, prin asfixie sau șoc. TUBERCULOZA
  • 12.
    Bolnavii mai potacuza:  febrǎ sau stare subfebrilă,  inapetență;  scădere ponderală;  expectorație cu sînge (hemoptizie);  dureri toracice. Cele mai frecvente cazuri (aproximativ 40%) debutează insidios, lent progresiv, cu tuse minimală la debut, seacă sau slab productivă, cu expectoraţie redusă cantitativ, mucoasă apoi mucopurulentă. TUBERCULOZA
  • 13.
    Surse de infecție.Sunt reprezentate de:  bolnavii de tuberculoză pulmonară activă (baciliferi), în special cei cu leziuni cavitare;  bolnavii cu tuberculoze extrapulmonare active deschise sau fistulizate (urogenitale, osteoarticulare, ganglionare, etc.);  animalele bolnave de tuberculoză (în special bovine) prin produse contaminate (lapte). TUBERCULOZA
  • 14.
    Factori de risc.Apariția bolii este favorizată de următorii factori:  fumatul;  alcoolismul cronic;  alimentația precară;  infecții cu HIV/SIDA sau alte virusuri;  existența unor boli cronice, cum ar fi: diabetul zaharat, cancerul, leucemia;  silicoza;  condiții igienice deficitare;  stresul;  odihna insuficientă;  tratamentele cu prednison. TUBERCULOZA
  • 15.
    Schema tristadială propusăde Ranke (1916-1926) :  stadiu primar, caracterizat prin constituirea „complexului primar“şi apariţia alergiei (virajul tuberculinic),  îi urmează un stadiu secundar în care, pe fondul hipersensibilităţii intense a ţesuturilor la antigenii bacilari, boala tinde să se generalizeze prin extensie locală şi metastaze hematogene la distanţă.  stadiul terţiar apare la adult şi reprezintă o „ftizie izolată. TUBERCULOZA
  • 16.
  • 17.
    Focarul pulmonar constituitdupă pătrunderea bacilului KOCH pe cale aeriană într-un organism indemn de infecţie tuberculoasă reprezintă şancrul de inoculare sau afectul primar tuberculos. Şancrul de inoculare, limfangita şi adenopatia satelită sunt cele 3 elemente care definesc triada anatomo-patologică cunoscută drept Complexul primar Ranke. Complex primar Ranke TUBERCULOZA
  • 18.
  • 19.
    Leziunile inițiale radiologice sunt reprezentatede complexul Ghon-Ranke. Complexul primar TBC TUBERCULOZA
  • 20.
    1. Granulaţiile miliare. 2.Nodulii simpli. 3. Nodulii acinoşi (leziunile acino-nodulare.) Granulaţii miliare TBC Noduli TBC TUBERCULOZA
  • 21.
    4. Tuberculomul -leziune nodulară cu aspect pseudotumoral, bine circunscrisă, cu dimensiunea de 5 - 10 cm. a. tuberculomul omogen; b. tuberculomul polimorf (multinodular); c. tuberculomul stratificat. Tuberculom omogen TUBERCULOZA
  • 22.
    a.Infiltratul tuberculos pulmonar- Histopatologic - focare confluente de bronhopneumonie cazeoasă. b.Serozitele tuberculoase - pleurezia, pericardita, peritonita, poliserozitele. Aspect de inflamaţie exudativă de tip sero-fibrinos cu evoluţie spre resorbţie sau transformare cazeoasă sau cazeoasă- purulentă.Tendinţa la organizare fibroasă cu constituirea de pahipleurite şi periviscerite. Infiltratul tuberculos pulmonar TUBERCULOZA
  • 23.
    1.Ulceraţia tuberculoasă - formăneregulată cu margini anfractuase; fundul prezintă depozite cazeoase. 2. Caverna tuberculoasă - pulmonară sau extrapulmonară, se constituie în perioada primară - caverna precoce, sau mai frecvent în perioada secundară. Ruperea lor determină hemoptizii. Cavernă tuberculoasă TUBERCULOZA
  • 24.
    Şancrul de inoculare sauafectul primar unic sau multiplu, datorită dimensiunilor foarte mici este greu de evidenţiat. Adenopatia satelită de dimensiuni variabile, de obicei unilaterală se caracterizează prin afectarea frecventă a ganglionilor hilari şi paratraheali.
  • 25.
    Ranke complex -HRCT Post-primary pulmonary tuberculosis
  • 26.
    Infecţia se propagăpe cale limfatică spre ganglionii sateliţi regionali, determinând apariţia adenopatiei localizate hilar sau paratraheal.
  • 28.
  • 29.
    Complexul primar poateevolua cu complicaţii precum:  compresia gangliono- bronşică;  atelectazii;  fistulă ganglio- bronşică;  cavernă ganglionară.  procese inflamatorii extensive benigne care se numesc epituberculoze;
  • 30.
  • 31.
    1. Benigne, frecventemai ales la sugar şi copilul mic:  extensiv-inflamatorii (epituberculoze);  hematogene discrete (focare post-primare).  cu potenţial de agravare (complicaţiile bronşice de vecinătate ale adenopatiei tuberculoase), sunt: – Compresia bronşică extrinsecă; – Tuberculizarea peretelui bronşic cu perforaţia lui şi fistula gangliobronşică ; – Caverna ganglionară. 2. COMPLEXUL PRIMAR PROGRESIV. Denumit şi complex primar complicat, malign, se instalează ca şi cel simplu, dar evoluţia sa nu este spre vindecare ci generează complicaţii care pot fi foarte grave sau pot lăsa sechele morfologice sau amputaţii funcţionale importante.
  • 32.
    Complicatiile complexului primarprogresiv pot fi : localizate şi diseminate. Complicatiile localizate: pot interesa bronhia, pleura sau parenchimul pulmonar. a) Complicaţii bronsice: fistula adenobronşică; b) complicaţii pleurale; c) complicaţii pulmonare: condensările pulmonare pot fi mecanice reflexe sau inflamatorii. Condensările mecanice reflexe sunt reprezentate de atelectazii. Condensarile inflamatorii pot fi cazeificante şi necazeificante. Caverna primară se poate localiza la nivelul afectului primar sau a adenopatiei. Tuberculoza primară clinic manifestă benign are uneori şi manifestări extratoracice:  Cherato conjunctivita flictenulară- caracterizată prin existenţa de flictene pe conjunctive.  Cicatrici keloide.  Adenopatii cervicale.  Eritemul nodos.
  • 35.
    Complexul primar se însoţeşteîntodeauna de o diseminare hematogenă a infecţiei. Dacă diseminarea este masivă se realizează generalizarea procesului tuberculos, cu constituirea TBC miliare.
  • 36.
  • 37.
    Evoluţia este favorabilăsub tratament antituberculos. Rareori produce obstrucţie laringiană cu necesitatea unei traheostomii temporare. TUBERCULOZA LARINGIANĂ. Este o formă rară, ce apare de obicei asociată cu tuberculoza pulmonară extinsă, prin expunere cronică a laringelui la o cantitate mare de bacili. Se manifestã prin disfonie şi este intens contagioasă.
  • 38.
  • 39.
  • 40.
    Tuberculoza secundară esteo boală a vârstei adulte. Are o evoluţie cronică, cu alternanţă de pusee evolutive și intervale de remisiune, progresiune apico-caudală a leziunilor și letalitate ridicată în absenţa terapiei.
  • 43.
    Ftizia se produceprin urmǎtoarele mecanisme, care ȋn ordinea importanței și frecvenței sunt: 2. Mecanismul ganglio- bronhogen, ȋn care consecutiv perforației se produce aspirarea conținutului cazeos ȋn segmentul pulmonar respectiv. 1. Ftiziogeneza apicalǎ. Sediul comun al reactivării este reprezentat de „leziunile minime “(fibrotice) din teritoriul apico-subapical, constituite în etapa infecţiei primare prin mecanism hematogen sau bronhogen. 3. Ȋn situații foarte rare, ftizia poate avea originea dintr-o tuberculozǎ bronșicǎ primitivǎ, din nodulii miliari ai unei granulii vindecate. Tipuri de infiltrate tuberculoase secundare.
  • 44.
  • 45.
    Cavernǎ TBC cu perețisubțiri, intens opaci, subclavicular dreapta (cavernǎ fibroasǎ) Reprezintǎ o etapǎ mai avansatǎ, cȃnd TBC infiltrativǎ a ajuns ȋn faza de cazeificare și lichefiere devenind forma obișnuitǎ (comunǎ) a tuberculozei adultului. Tuberculoza fibro-cazeoasǎ cavitarǎ
  • 46.
    Diferite aspecte alecavernelor TBC  Caverne recente (gradul I) caracterizate prin zone transparente neregulate, ȋn cuprinsul unor opacitǎți rǎu delimitate.  Caverne elastice (gradul II) cu aspect de inel opac cu grosime egalǎ (1-2 mm) cu contur regulat, ce delimiteazǎ o arie transparentǎ ȋn interior.  Caverne fibroase (gradul III) al cǎror inel opac apare mai gros (3-4 mm), mai dens, cu o arie transparentǎ mai voluminoasǎ ȋn interior, uneori cu nivel orizontal. TUBERCULOZA
  • 47.
  • 48.
    Tuberculozǎ secundarǎ fibroasǎ Tuberculozelefibroase. Se descriu mai multe forme ale fibrozei pleuro- pulmonare postuberculoase. o scleroza nodularǎ apicalǎ apǎrutǎ prin transformarea fibroconjunctivǎ a leziunilor ftizice nodulare, infiltrative sau chiar cavitare; o fibrozele dense "mutilante" - fibrotorax. o sclerozele difuze, sistematizate;
  • 49.
  • 50.
  • 51.
    Fibrotorax posttuberculos cupneumotorax ȋnchistat bazal dreapta TUBERCULOZA
  • 54.
    Tuberculoză pulmonară bilateralăinfiltrativ-extensivă; BK pozitivă-recidivă
  • 55.
    În 15–20% dincazurile active, infecția se extinde în afara aparatului respirator, provocând alte tipuri de tuberculoză. Cele mai frecvente locuri de dezvoltare a infecției extrapulmonare sunt: pleura (pleurezie tuberculoasă), sistemul nervos central (meningită tuberculoasă) și sistemul limfatic (scrofuloză ganglionară). Tuberculoza extrapulmonară poate afecta, printre alte locuri de infectare posibile, și sistemul uro-genital (tuberculoză urogenitală), oasele și articulațiile (morbul lui Pott în cazul localizării la coloana vertebrală).
  • 56.
    Renal Tuberculosis Tuberculoza genito-urinarǎse manifestǎ ca o infecție repetatǎ a tractului urinar, care nu rǎspunde la antibioticele obișnuite. Pleurezia TBC apare la aproximativ 30% dintre pacienții cu tuberculozǎ. Tuberculoza peritonealǎ este o manifestare neobișnuitǎ a infecției extrapulmonare cu Mycobacterium tuberculosis. Pericardita TBC reprezintǎ cea mai frecventǎ cauzǎ de pericarditǎ ȋn țǎri ȋn care tuberculoza este o problemǎ majorǎ de sǎnǎtate și ȋn care de asemenea prevalența infecției HIV este mare. TUBERCULOZA
  • 57.
    Tuberculoza osteoarticularǎ esteresponsabilǎ de aproximativ 10% din cazurile de tuberculozǎ extrapulmonarǎ.
  • 58.
    Cele mai frecventelocalizǎri ale infecției sunt: vertebrele (50%), articulația șoldului (15%) și cea a genunchiului (15%). Distrucțiile și deformǎrile osoase constituie un semn tardiv de tuberculozǎ. TUBERCULOZA
  • 59.
    Meningita tuberculoasǎ este dificilde diagnosticat; simptomatologia neurologicǎ se instaleazǎ insidios, pe fondul impregnației bacilare. Debutul este prelungit, cu febrǎ sau subfebrilitǎți, vǎrsǎturi, fotofobie, cefalee și amețeli. Ȋn perioada de stare la sindromul de iritație meningeanǎ, care poate fi incomplet sau slab exprimat, se adaugǎ semne de afectare a nervilor oculomotori (ptoza palpebralǎ, strabism etc.).
  • 60.
    Diagnosticul tuberculozei activese face prin radiologie, (cunoscută drept radiografie toracică) prin examinare microscopică și cultură microbiologică a fluidelor corporale. Diagnosticarea tuberculozei latente se face prin testul cutanat la tuberculină (TCT) și analize de sânge. Testul de amplificare a acizilor nucleici și testul adenozin-dezaminazei pot diagnostica rapid tuberculoza. Cu toate acestea, testele acestea nu sunt recomandate ca teste de rutină, deoarece rareori modifică modul de tratare a pacientului. Testele de sânge pentru detectarea anticorpilor nu sunt specifice sau sensibile, prin urmare nu sunt recomandate.
  • 61.
    Testul cutanat latuberculină (testul Mantoux) este adesea utilizat pentru a identifica persoanele cu risc ridicat de tuberculoză. Cel mai important, testul poate fi fals negativ în cazul persoanelor cu tuberculoză activă. În cazul persoanelor cu reacție pozitivă la testul Mantoux se recomandă testul de eliberare de interferon gamma (IGRA) pe un eșantion de sânge. Rezultatele testului IGRA nu sunt influențate de imunizare sau de majoritatea micobacteriilor din mediu, astfel încât sunt mai rar fals pozitive. Totuși, rezultatele sunt influențate de M. szulgai, M. marinum și M. kansasii. Sensibilitatea testului IGRA poate crescută dacă este utilizat în combinație cu testul cutanat. Dacă însă este utilizat individual, sensibilitatea testului IGRA poate fi mai redusă decât cea a testului cutanat.
  • 62.
    Testarea tuberculinicǎ cuplatǎcu identificarea unei cicatrici postvaccinale cu BCG, poate oferi argumente de diagnostic, ierarhizate astfel:  Viraj tuberculinic la un copil nevaccinat cu BCG.  Test pozitiv (indurație > 10 mm, cu atȃt mai semnificativ cu cȃt are diametru și/sau intensitate tip Palmer mai mare) la copil nevaccinat cu BCG.  Salt tuberculinic la copil vaccinat cu BCG.  Test pozitiv (10-14 mm, tip Palmer I-II sau > 15 mm indiferent de tipul Palmer) la copil preșcolar vaccinat cu BCG și 10-19 mm Palmer I-II sau > 20 mm, indiferent de Palmer la elevi și adolescenți. Un test tuberculinic negativ nu infirmǎǎ tuberculoza primarǎ, mai ales la vȃrsta micǎ, la copii cu deficit ponderal important, ȋn cazul unui contact foarte recent, sau ȋn cazul unor forme clinico-radiologice severe sau diseminate.
  • 63.
    Testul tuberculinic estecea mai larg utilizatǎ modalitate de a stabili existența și amploarea reacției de hipersensibilitate la antigene tuberculinice. Este una din metodele de depistare activǎ a tuberculozei Ȋn țara noastrǎ, se utilizeazǎ tehnica injectǎrii intradermice pe fața anterioarǎ a antebrațului stȃng a 0,1 ml, corespunzȃnd la 2 UI din tuberculina purificatǎ PPD IC65 preparatǎ de Institutul Cantacuzino (concentrațiile de 10 UI pe 0,1 ml sunt folosite pentru depistarea sensibilitǎții infratuberculinice). Ȋn cazul injectǎrii hipodermice, sau cȃnd se pierde soluție ȋntre seringǎ și acul incorect montat, este recomandat sǎ se reia manevra cu mai multǎ atenție, repetȃnd injectarea la o distanțǎ de 3-5 cm sau la antebrațul opus. TUBERCULOZA
  • 64.
    Citirea rezultatului seface dupǎ 72 de ore. Se identificǎ existența unei even- tuale arii intens eritemato-violacee, circumscriind urma ȋnțepǎturii dermice. Ȋn cazul existenței unei astfel de reacții, se apreciazǎ tactil, prin repetate mișcǎri ȋntr-un sens și altul a pulpei inelarului deasupra zonei de reacție, limitele unei zone de infiltrație dermicǎ ce corespunde histopatologic unei dense infiltrații dermice perivasculare cu limfocite și macrofage, substrat al rǎspunsului de tip hipersensibilitate cutanatǎ la antebrațul injectat. Dacǎ zona de infiltrație nu se poate delimita convenabil tactil, se verificǎ vizual. O zonǎ intens eritematoasǎ, bine delimitatǎ și care persistǎ mai mult de 72 de ore, trebuie apreciatǎ ca reacție specificǎ și luatǎ ȋn considerare, chiar dacǎ nu se reușește identificarea vreunui grad de indurație. Se noteazǎ, de asemenea, o apreciere calitativǎ a intensitǎții dermice prin atribuirea unui „tip Palmer“ cu urmǎtoarea semnificație: tip I = indurație fermǎ sau prezența de flictene; tip III = infiltrație depresibilǎ; tip II = indurație elasticǎ; tip IV = fǎrǎ infiltrație aparentǎ.
  • 65.
    Tuse > 3 săptămâni Astmbronşic Patologie ORL Boala de reflux gastroesofagian Bronşiectazii Bronşită cronică / BPOC Neoplasm bronhopulmonar PID, pneumoconioza Stenoză mitrală / IVS Rx. normală Bronhoree purulentă Exacerbări infecţioase Dispnee progresivă Sindrom obstructiv Istoric de fumat Rx +/- bronhoscopie sugestive Rx, spirograma, expuneri Semne clinice, ECG, EcoCG
  • 66.
    Abcesul pulmonar Cancerul pulmonar Chistulhidatic Debut insidios Tuse şi expectoraţie cronică Spută fetidă Rx: imagine hidroaerică Istoric de fumat Rx: cavitate cu perete gros Frecvent adenopatii Istoric de vomică cu lichid clar Rx: cavitate cu perete subţire Membrana proligeră
  • 67.
    Prevenire. Ancheta epidemiologicǎascendentǎ urmǎrește identificarea contactului cu o sursa patentǎ (bolnav cu M+) sau posibilǎ (bolnav cu o formǎ clinicǎ de obicei contagioasǎ, chiar dacǎ nu s-a reușit confirmarea bK ȋn cazul ȋn speta). Se ia ȋn considerare frecvența, durata și intimitatea contactului. Eforturile de prevenire și control al tuberculozei se bazează pe vaccinarea nou- născuților și pe detectarea și tratamentul adecvat al cazurilor active. Organizația Mondială a Sănătății (OMS) a atins un anumit grad de reușită datorită unui regim de tratament îmbunătățit, observându-se o ușoară scădere a numărului de cazuri. Pentru a preveni infecția cu TBC trebuie:  sǎ nu se petreacǎ mult timp ȋntr-un loc aglomerat cu cineva care are tuberculozǎ activǎ, dacǎ nu urmeazǎ un tratament de cel puțin douǎ sǎptǎmȃni;  sǎ se poarte mǎști de protecție, ȋn special cei care lucreazǎ ȋn centre de ȋngrijire a pacienților cu tuberculozǎ.
  • 68.
    Sănătate publică. Înanul 1993, Organizația Mondială a Sănătății a declarat tuberculoza o „problemă urgentă de sănătate globală”. În 2006, parteneriatul pentru oprirea tuberculozei a întocmit Planul global de stopare a tuberculozei. În programele de sănătate publică se utilizează sistemul de clasificare a tuberculozei dezvoltat de Societatea Americană de Boli Toracice. Vaccinul BCG este astfel administrat mai ales persoanelor cu risc crescut. Unul dintre motivele pentru care nu se recomandă administrarea vaccinului este că acesta determină rezultate fals pozitive la testul cutanat la tuberculină, anulând eficacitatea acestuia în identificarea bolii. În prezent, alte vaccinuri sunt în curs de dezvoltare. Vaccinare. Începând din anul 2011, singurul vaccin disponibil este bacilul Calmette–Guérin (BCG). BCG este eficient împotriva răspândirii bolii în copilărie, însă conferă un grad de protecție variabil împotriva tuberculozei pulmonare. TUBERCULOZA
  • 69.
    Antibioticele sunt singurelemedicamente care tratează tuberculoza. Acestea se administrează în doze mari, în funcţie de antibiogramă şi se pot recomanda şi asocieri de antibiotice. Tratamentul este de lungă durată, peste un an şi se fac analize repetate pentru a confirma vindecarea. Tuberculostaticele cele mai folosite sunt: izoniazida, pirazinamida, rifampicina, streptomicina şi etambultolul. a) majore:  Izoniazida.  Rifampicina. b) de asociere:  Pirazinamida.  Etambutolul.  Streptomicina. c) de rezervǎ:  Etionamida, Protionamida.  Acid aminosalicilic.  Cicloserina.  Capreomicina, Kanamicina, Amikacina, Ansamicina.  Ofloxacina, Ciprofloxacina, Levofloxacina.
  • 70.
    Tuberculoza extrapulmonară setratează la fel ca cea pulmonară, numai că forma de administrare a medicamentelor poate fi diferită în funcţie de localizare. Uneori este necesară şi intervenţia chirurgicală pentru excizia zonelor foarte afectate. Pe lângă tratamentul medicamentos, este importantă o dietă echilibrată, bogată în vitamine şi proteine. De asemenea trebuie respectate cu strictete şi normele de igienă: acoperirea gurii în timpul tusei şi strănutului, spălarea periodică a mâinilor. Iniţial, în stadiul de contagiozitate, pacientul este internat în sanatoriu pentru a preveni infectarea celor din jur. Ulterior, se repetă analizele şi dacă persoana nu mai reprezintă un pericol, poate continua tratamentul la domiciliu, dar cu păstrarea cât mai mult timp a repausului la pat. De asemenea, contactele sociale ale persoanei infectate se examinează și tratează, dacă este necesar.
  • 71.
    Relaţiile posibile decauzalitate TB - consum alcool include modele specifice de amestec social între persoanele cu tulburări de tipul consumului de alcool, ce duce la un risc mai crescut de infecţie, sau slăbirea sistemul imunitar care să conducă la un risc mai mare de infecţie la TB. Acesta din urmă poate avea loc direct, prin efectele toxice ale alcoolului asupra sistemului imunitar, sau indirect, prin deficit de micro-şi macronutrienţi, sau alte condiţii medicale legate de alcool, cum ar fi afecţiunile maligne şi depresia (Lönnroth, 2008). Conform analizei publicate de PLoS Medicine, pacienţii cu diabet zaharat au risc crescut de a dezvolta TB activă (Jeon, 2008). Deoarece diabetul zaharat şi TB pulmonar coexistă frecvent, diabetul zaharat ar trebui să fie suspectat la orice pacient cu tuberculoză activă, şi de asemenea tuberculoza pulmonară ar trebui să fie inclusă ca diagnostic diferenţial la orice pacient cu diabet zaharat şi cu o radiografie toracică cu modificări (Socaci, 2009).
  • 72.
    Potrivit raportului OrganizaţieiMondiale pentru Sănătate din 2005 cu privire la controlul tuberculozei la nivel mondial (World Health Organization, 2005), ratele tratamentului de succes identificate în 22 de ţări cu risc crescut de infecţie TB au variat de la 60% în Uganda la 93% în China, cu o medie de 83%. Mai mult decât atât, studiul realizat de Shargie et al., în sudul Etiopia a arătat că rata de succes a tratamentului din toate cazurile de tuberculoză a fost de 49% (Shargie, 2005 ). Tulburări mentale pot fi, de asemenea, asociate cu un risc mai mare de TB prin impactul asupra sistemului imunitar (Prince, 2007). Asocierea TB la bolile psihice a fost raportată mai ales în spitalele de profil. În patogeneza asociaţiei participă imunitatea scăzută, condiţiile socio-economice etc. După infecţia primară, TB se poate reactiva oricând şi oriunde în corp. Studii recente au sugerat că localizarea TB extrapulmonară poate varia în funcţie de locaţia geografică şi populaţie (Yang, 2004).
  • 73.
    [1] - http://tuberculoza.info/ro/Articles/Details/1 [2]- http://www.ghidcabinet.ro/2010/11/incidenta-tbc-in-romania-dubla-fata-de-alte- state/ [3] - http://ro.wikipedia.org/wiki/Tuberculoz%C4%83 [4] http://msimion.wordpress.com/2012/03/28/tuberculoza-infectie-cauzata-de- bacilul-koch/ [5] - http://www.rasfoiesc.com/sanatate/medicina/TUBERCULOZA- PULMONARA-PRIMARA66.php [6] - http://usmf.md/Infomedica/documente/Alre%20resurse/Ghiduri%20medicale/tuberc uloza.pdf [7] - http://www.rasfoiesc.com/sanatate/medicina/TUBERCULOZA- PULMONARA-PRIMARA66.php [8] - http://usmf.md/Infomedica/documente/Alre%20resurse/Ghiduri%20medicale/tuberc uloza.pdf BIBLIOGRAFIE
  • 74.
    [9] - http://ro.wikipedia.org/wiki/Mycobacterium_tuberculosis [10]- http://ro.wikipedia.org/wiki/Tuberculoz%C4%83 [11] - http://ro.wikipedia.org/wiki/Mycobacterium_tuberculosis [12] - http://www.divahair.ro/sanatate/boli_infectioase/plamanii_si_tuberculoza_- _simptome,_diagnostic,_tratament [13] - http://ro.wikipedia.org/wiki/Mycobacterium_tuberculosis [14] – EMCB, Modul PNEUMOLOGIE [1 mai 2013 – 30 aprilie 2014] Creditat prin decizia CMR nr. 6653/21.12.2012, Dr. Olimpia NICOLAESCU [15] - REVISTA MEDICALÅ ROMÂNÅ – VOLUMUL LVIII, NR. 2, An 2011 [16] - Tuberculoza pulmonară problemă prioritară de sănătate în mediul carceral, CONDUCĂTOR ŞTIINŢIFIC PROF. UNIV. DR. VALENTIN CÎRLIG, DOCTORAND: TANŢA CERNAT, CRAIOVA 2011 BIBLIOGRAFIE