ELEMENTE DE RADIOLOGIE
PENTRU REZIDENTI
Dr.Mihaela Cuzub
Dr.Oana-Raluca Haidamac
Dr.Elena-
Catalina Horciag
OBIECTIVELE PREZENTARII
 TEHNICĂ:
 Diferen ierea unei radiografii toracice de inciden ă postero-anterioară de ceaț ț
antero-posterioară
 Utilitatea executarii radiografiei toracice în decubit lateral
 În elegerea termenilor inspir, expunere, rota ie, folosi i pentru a determinaț ț ț
corectitudinea executarii unei radiografii toracice
ANATOMIE:
 Elementele de baza privind fisurile plămânilor, delimitarea cordului, bronhiile
si vasculariza ia care pot fi vazute pe o radiografie toracicăț
INTERPRETARE
 Dezvoltarea unei tehnici de citire a unei radiografii
 Cum ne poate ajuta semnul siluetei in localizarea patologiei
PATOLOGIE:
 Atelectazia i recunoa terea ei pe o radiografie toracicăș ș
 Edemul pulmonar si diferen ierea cauzelor cardiogenice de celeț
noncardiogenice
 Diferen ierea semnelor între pneumonie i atelectazieț ș
 Recunoa terea revărsatului pleural si a pneumotoraxuluiș
 Recunoa terea semenelor BPOC-uluiș
 Recunoa terea semnelor unui nodul pulmonar benignș
 Când un cancer pulmonar este nerezecabil
POZI IONAREAȚ
o examinarea standard a toracelui
consta în efectuarea a două
inciden e:ț
o posteo-anterioară (PA) i lateralăș
(profil).
o Pacientul este a ezat pe parteaș
stângă în inciden a laterală.ț
o când interpretăm o radiografie
toracică trebuie examinate ambele
incidente, PA si profil, asezate in
aceasta ordine de la stanga la
dreapta
 când avem i radiografii anterioare acestea vor fi puse în ordine de la stângaș
la dreapta: cea veche-inciden ă PA, cea nouă-inciden a PA, cea nouă-ț ț
inciden a laterala, cea veche-inciden ă lateralăț ț
POSTERO-ANTERIOR VS. ANTERO-POSTERIOR
 inciden a PA se ob ine cu pacientul in fa a casetei i tubul cu radia ii la oț ț ț ș ț
distan a de 1,8 m.ț
 această distan ă diminuează efectul razei de divergen ă i mărire aț ț ș
structurilor apropiate de tubul aparatului.
INCIDEN A LATERALĂȚ
 inciden a laterală este ob inută prin a ezarea pacientului cu partea stângă aț ț ș
toracelui în fa a casetei.ț
 astfel este diminuat efectul de marire a siluetei cordului
POZI IA ÎN DECUBIT LATERALȚ
 această pozi e poate fi utila pentru a pune in evidenta volumul revărsatuluiț
pleural i a demonstra dacă acesta este mobil sau nu.ș
 putem de asemenea observa hemitoracele neafectat pentru a confirma un
pneumotorax la un pacient care nu a putut fi examinat in picioare.
 de asemenea, plămânul afectat ar trebui să fie mai dens ca urmare a
atelectaziei datorita presiunii suplimentare a mediastinului, în caz contrar
sugereaza air trapping.
 Primele lucruri care trebuiesc urmărite înainte de a interpreta o radiografie
sunt:
 este întradevar radiografia pacientului examinat? Radiografia trebuie
etichetată cu numele pacientului
 semnul de stanga/dreapta a fost pozi ionat corect? sau pacientul areț
întradevar dextrocardie?
 este documentată inciden a PA vs. AP?ț
TEHNICA ADECVATĂ
 pacientul trebuie examinat în
inspir profund.
 calitatea inspirului este
asigurată de numărul de
coaste anterioare sau
posterioare vizibile:
 dacă sunt vizualizate 6
coaste anterioare sau 10
coaste posterioare, atunci
pacientul a executat un
inspir corect
 dacă sunt vizualizate mai
putin de 6 coaste
anterioare, pacientul a
executat un inspir slab,
iar vizualizarea a mai
mult de 6 coaste
anterioare implică
hiperexpandarea
pulmonară
Un exemplu de inspir slab
efectuat:
numai 4 coaste anterioare
sunt vizibile
cardiomegalie?
masă – la nivelul arcului
aortic?
opacitate neuniformă la
nivelul ambilor lobi inferiori?
Acela i pacient după executareaș
unui inspir corect;
-radiografia toracică pare normală.
EXPUNEREA
 un grad adecvat de expunere a
pacientului la radia ii este necesarț
pentru un film bun.
 pe un film executat corect în
inciden ă PA, corpii vertebraliț
toracali sunt abia vizibili în dreptul
cordului iar detaliile nu pot fi
observate de obicei.
 expunerea este suficientă dacă
structurile bronho-vasculare pot fi
văzute prin transparen a cordului.ț
 în inciden a laterală, putemț
verifica dacă expunerea iș
inspirul sunt corecte urmarind
daca coloana vertebrală apare
mai închisă la culoare pe
măsură ce ne deplasăm caudal.
ROTA IAȚ
 pacientul să fie lipit de caseta
filmului.
 dacă există o rota ie a pacientului,ț
mediastinul poate părea anormal.
 se poate stabili rota ia observândț
cele două capete ale claviculelor iș
urmarind dacă aceastea sunt la
distan ă egală fa ă de procesulț ț
spinos al corpului vertebrei
toracice.
-pe radiografia rotată, pliurile
pielii pot fi gresit
interpretate drept un
pneumotorax sub tensiune
(săge ile albastre).ț
-de remarcat prozi ia oblica aț
capetelor claviculelor (săge ileț
ro ii) i procesul spinosș ș
LOBII SI SCIZURILE
 pe radiografia toracica incidenta PA, scizura orizontala separa
lobul mijlociu de lobul superior drept iar uneori nu este foarte bine
vizibila.
 pe partea stanga nu exista scizura orizontala.
 scizurile oblice in incidenta PA nu sunt foarte vizibile de obicei
deoarece ele sunt privite oblic.
 daca exista lichid la nivelul scizurii, acesta apare ca o opacitate in
partea de jos a marginii laterale.
 Marginea superioara a
scizurilor oblice (B) bilateral
 Scizura orizontala dreapta (A)
si marginile inferioare (B) ale
scizurilor oblice bilaterale
 ambii plamani sunt suprapusi,
luati separat, plamanul stang
are o singura fisura oblica
 plamanul drept are ambele
fisuri, oblica si orizontala
MEDIASTINUL SI PULMONII
 radiologul trebuie să cunoască structurile care alcătuiesc
marginile mediastinului si lobii pulmonului care formeaza
marginea acestuia de-a lungul mediastinului si a peretelui toracic.
o vom urmări marginea plamânului de jur împrejur încercând să
localizăm cărei structuri mediastinale sau lob al plămânului îi
corespunde marginea respectivă
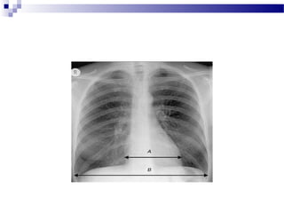
 Indicele cardiotoracic trebuie să fie mai mic de 0,5
 ICT= A/B
 Un ICT mai mare de 0,5 (pe un film executat corect) sugerează
cardiomegalie
EVALUAREA CORDULUI
EVALUAREA REGIUNILOR HILARE
-ambele hiluri pulmonare trebuie să fie
concave
-concavitatea este dată de încruci areaș
dintre vena pulmonară superioară
pulmonară a lobului inferior; punctul de
intersec ie dintre cele două este cunoscutț
sub denumirea de punctul hilar
-ambele hiluri pulmonare trebuie să aibe
densită i similareț
-hilul pulmonar stâng este de obicei mai sus
decât cel drept cu până la 1cm
otraheea este de obicei situată
pu in la dreapta de centruț
oîn condi ii patologice poate fiț
împinsă sau trasă la sânga sau la
dreapta, semn indirect în depistarea
unei anomalii
operetele drept al traheei se vede
clar, sub denumirea de banda
paratraheală dreaptă
EVALUAREA TRAHEEI
 fiecare diafragm trebuie examinat cu aten ieț
 punctul cel mai înalt al diafragmului drept este în general cu 1-1,5cm mai sus
decât cel de pe stânga
 ambele sinusuri costo-frenice trebuie să fie bine conturate
EVALUAREA DIAFRAGMULUI
este important să se examineze fiecare coastă (cele
anterioare i cele posterioare), claviculele, vertebreleș
si articula ia umaruluiț
se va examina atent asimetria esuturilor moi, un cazț
tipic fiind mastectomia
EVALUAREA STRUCTURILOR OSOASE SI A
ESUTURILOR MOIȚ
ARBORELE BRONSIC
o comparand desenul de mai jos cu o radiografie, putem observa ca bronhia principala
este vizibila daca ne uitam atent.
VASELE PULMONARE
oaceste elemente sunt prezente pe fiecare radiografie dar de obicei ele nu pot fi
recunoscute.
ocunoa terea loca iei acestora va fi utilă în elegerii anatomiei pe radiografia toracicăș ț ț
i CT toracic.ș
ocu exceptia lobului superior drept, venele pulmonare sunt în general anterior
arterelor pulmonare.
desenul schematic de mai jos ajută la identificarea mai u oară a acestor elemente.ș
A = bronhia segmentară apicală
B = bronhia segmentară
posterioară
C = bronhia segmentară
anterioară
D = bronhia intermediara
E = trunchiul anterior
F = carina
G = artera pulmonara
principală dreaptă
H = artera pulmonara
principală stângă
I = artera pulmonară
inferioară dreaptă
J = vena pulmonară superioară
dreaptă
K = bronhia lobară mijlocie
dreaptă
L = bronhia lobară inferioară
dreaptă
M = vena pulmonară
inferioară dreaptă
N = atriul stâng
O = vena pulmonară
superioară stângă
P = bronhia segmentară
apicoposterioară
Q = bronhia lobară
superioară stangă
R = bronhia lingulară
S = artera pulmonară
inferioară stângă
T = vena pulmonară
inferioară dreaptă
CUM SĂ CITIM O RADIOGRAFIE
 Lumina interioară adecvată, se vor examina imaginile în ordine
 Datele pacientului: nume, istoric, vârstă, sex, filme anterioare
 Tehnica: inciden ă AP/PA, expunerea, rota ia, pozitia verticală sauț ț
orizontală
 Traheea: centrată sau deviată, calibru, masă
 Plămânii: umbre sau transparen e anormaleț
 Vasele pulmonare: mărirea arterelor sau venelor
CUM SĂ CITIM O
RADIOGRAFIE
 Hiluri: mase sau limfanedopatii
 Cordul: cardiomegalie? (ICT > 0,5), configura iaț
cordului
 Conturul mediastinal: lă ime, masă?ț
 Pleura: revărsat, îngro are, calcificareș
 Oase: leziuni sau fracturi
 esuturi moi: nu rata i o mastectomieȚ ț
DEPISTAREA ANOMALIILOR
oeste mai indicat să facem o căutare intităț pe o radiografie decât să ne uităm
pur i simplu la film.ș
oun lucru anormal nu ne va sări în ochi
ocel mai indicat este sa cautam anomaliile dupa un plan bine stabilit
DEPISTAREA ANOMALIILOR
oprivirea trebuie să cerceteze toate zonele filmului
urmărind plămânii, mediastinul i uitându-ne din nou cuș
aten ie în zonele in care tim că sa pot face u or gre eliț ș ș ș
precum la nivelul coloanei vertebrale pe radiografia de
profil i la nivelul apexului in inciden a PAș ț
DEPISTAREA ANOMALIILOR
Uita i-vă fix la X-ul din centru i încerca i să citi i literele din col urile filmului, ve iț ș ț ț ț ț
constata că nu pot fi citite decât daca ne uitam direct la ele
TEHNICA DE CITIRE A UNUI FILM
SEMNUL SILUETEI
descris de Dr. Ben Felson în 1950, este un mijloc de detectare i localizare aș
anomaliilor.
pentru ca un obiect să apară distinct pe o radiografie toracică, trebuie să aibe o
densitate radiografică diferită de cea a structurii învecinate.
în general sunt doar 4 densită i radiografice diferite detectabile pe o radiografie:ț
aerul, grăsimea, esuturile moi i structurile osoase.ț ș
dacă două densită i asemănătoare sunt una lângă alta, ele nu pot fi vizibile separatț
(ex. ventriculul stâng i cel drept); dăcă cele două densită i sunt separate de aer,ș ț
delimitarea lor va fi vizibilă.
SEMNUL SILUETEI
 are două utilizări:
poate localiza amonaliile pe radiografia toracică PA fară ajutorul unui profil;
Spre exemplu, dacă o masă se situează lângă arcul aortic i obliterează conturulș
acestuia, atunci masa se află posterior fa ă de arcul aortic. Dacă contrul arcului iț ș
al masei sunt văzute separat, atunci masa se află anterior.
pierderea conturului hemidiaframului, a siluetei cordului sau a altei structuri,
sugerează existen a unui esut moale lângă acestea, cum ar fi consolidareaț ț
pulmonară
SEMNUL SILUETEI
Arcul inferior drept al cordului este situat în afara siluetei, acest lucru
este cauzat de o pneumonie a lobului mijlociu drept
BRONHOGRAMA AERICĂ
oo bronhograma aerică apare ca un contur tubular a căii respiratorii vizibilă
datorită umplerii alveolelor din apropiere de către un fluid sau exsudat inflamator.
ocele ase cauze de bronhogramă aerică sunt:ș
 Consolidarea pulmonară
 Edem pulmonar
 Atelectazie pulmonara nonobstructiva
 Boală intersti ială severaț
 Neoplasm
oîn imaginile alaturate se poate observa un edem pulmonar bilateral al lobului
inferior
oalveolele sunt pline cu fluid facând bronhiile vizibile
oimaginea din dreapta sus, este o
imagine de detaliu a hemitoracelui drept,
sage ile ro ii indicând o bronhogramaț ș
aerica proeminentă
oimaginea CT din dreapta jos,
eviden iază i mai clar bronhogramaț ș
aerica 
un alt exemplu de bronhograma aerica în ambele inciden e, PA i profilț ș
OPACITATEA
Masă vs. Infiltrat
în ambele cazuri există o opacitate in lobul superior stang.
în cazul din stanga, opacitatea este bine delimitată, omogenă, cel mai bine
descrisă ca fiind o masă.
cazul din dreapta prezintă o opacitate nesistematizată, fără limite nete,
difuză, descrisă ca infiltrat, sugerând o pneumonie.   
DIMENSIUNEA
– de i este un criteriu evident de evaluare, leziunile mari nu sunt întotdeaunaș
maligne iar cele mici nu sunt întotdeauna benigne
LOCALIZAREA
– se va evalua leziunea în raport cu lobii pulmonari i segmentele pulmonareș
CRITERII DE EVALUAREA A UNEI MASE
CONTURUL
– poate fi bine delimitat (net) sau imprecis delimitat (difuz/infiltrativ)
- evident, cu cât conturul este mai neregular, cu atât suspiciunea că avem
de-a face cu un proces maling este mai mare.
- cu toate aceastea, multe leziuni benigne inflamatorii au coturul destul
de neregulat.
- de asemenea, leziunile metastatice pot aveam un contur foarte bine
delimitat.
- prin urmare, conturul unei leziuni nu este un indicator absolut al
benignita ii sau malignita ii leziunii.ț ț
CRITERII DE EVALUAREA A UNEI MASE
– acest lucru poate fi un indicator foarte important în stabilirea etiologiei leziunii;
astfel, o masă care este aproape de peretele toracic i care implică distruc iaș ț
osoasă a unei coaste, are probabilitate ridicată de malignitate (de i, nici acestș
lucru nu este un indicator absolut al malignita ii, deoarece unele leziuniț
pulmonare infec ioase, cum ar fi actinomicoza, pot distruge coastele adiacente).ț
IMPLICAREA STRUCTURILOR ÎNVECINATE
- cavita ia poate fi observată i în proceseleț ș
maligne i în cele benigne.ș
- calicificarea, de i se credea ca este un indicatorș
de benignitate, în prezent este cunoscut faptul că se
întâlne te i în procesele benigne i în celeș ș ș
maligne, prin urmare este un alt indicator nespecific
al etiologiei leziunii.
-evident, nodulii multipli au un alt diagnostic diferen ial i conota ie decât oț ș ț
leziune solitară, în multe cazuri. Din acest motiv, atunci când este depistat un
nodul pulmonar, trebuie căutat atent i după al i noduli.ș ț
-tomografia computerizată, din cauza sensibilită ii sale pentru detectareaț
nodulilor, este de multe ori foarte utilă în acest sens.
LEZIUNI SOLITARE SAU MULTIPLE
LOCALIZAREA MASEI
Intraparenchimatosa vs. pleurala vs. extrapleurala
A = intraparenchimatos
B = pleural
C = extrapleural 
CT - masa, cel mai probabil pleurala (sageata rosie); revarsat pleural posterior 
CT - distrugere osoasa , masa extrapleurala
NODULUL PULMONAR SOLITAR
nodulul pulmonar solitar poate fi total inofensiv sau poate avea poten ialț
neoplazic
după identificarea lui, primul pas in examinare este de a compara filmul cu
radiografiile anterioare, dacă acestea exista
un nodul care nu i-a modificat deloc aspectul pe o perioada de 2 ani esteș
aproape sigur benign
dacă nodulul este complet calcificat sau calcificat doar central, este
considerat benign
NODULUL PULMONAR SOLITAR
nodulii cu calcificări neregulate sau in afara centrului, sunt
considera i suspec i i vor necesita un PET scan sau biopsieț ț ș
filmul trebuie examinat atent deoarece pot fi prezen i mai multiț
noduli, lucru care orienteaza diagnosticul in altă direc ieț
dacă nodulul este nedeterminat, după ce am luat in considerare
filmele anterioare i calcificarea, următorul pas este efectuarea unuiș
CT iș a unei biopsii.
Rx torace, inciden a PA i profil: Nodul pulmonar solitar la nivelul lobului superior stângț ș
Rx torace, inciden a PA i profil: Neoplasm pulmonar al lobuluiț ș
drept inferior
Nodul solitar în lobul stâng superior
ATELECTAZIA
Atelectazia pulmonară poate fi împăr ită în 6 tipuri in func ie deț ț
mecanismul de producere:
1.De resorb ieț – apare în urma resorb iei aerului cândț
comunicarea dintre alveore i trahee este obstruată (atelectazie deș
obstruc ie)ț
2.Adezivă – apare în urma deficitului de surfactant care duce la
colapsul alveolelor i implicit la aderen a pere ilor alveolari facândș ț ț
reexpansiunea dificilă
3.Compresivă – este cauzată de orice leziune înlocuitoare de
spa iu a toracelui care comprimă plămânul for ând ie irea aeruluiț ț ș
4. Pasivă – distinc ia dintre atelectazia pasivă i cea compresivăț ș
nu este foarte clară; orice masă înlocuitoare de spa iu din torace,ț
poate, fie să comprime plămânul sau să permită retrac iaț
acestuia, pasivă
5. Cicatriceală – are loc pierderea de volum în urma scădereii
complian ei pulmonare ca rezultat al fibrozei pulmonareț
6. Dependentă de gravita ieț – apare la pacien ii spitaliza i,ț ț
intui i la pat, cu respira ie superficială prelungităț ț ț
Semnele radiografice ale atelectaziei sunt:
- aglomerarea vaselor pulmonare
- bronhograme aerice
- deplasarea scizurilor interlobare
- opacită i pulmonare anormaleț
- pierderea conturului diafragmului sau cordului
Semnele radiografice ale atelectaziei sunt:
- ascensionarea diafragmului
- deplasarea structurilor mediastinale
- deplasarea hilurilor
- hiperexpansiune pulmonară compensatorie
- apropierea coastelor
ATELECTAZIA LOBULUI
SUPERIOR DREPT
Rx torace, inciden ă PA i profilț ș
Colapsul par ial al lobului superior drept; scizura orizontală este ascensionatăț
subliniind marginea inferioară a plămânului opacifiat atelectatic; se observă
calcificări suprapuse peste plămânul opacifiat central i periferic.ș
ATELECTAZIA LOBULUI
MIJLOCIU
- atelectazia lobului mijlociu poate fi u or trecută cu vederea pe radiografiaș
toracică frontală.
- pierderea marginei drepte a siluetei cordului este adeasea întâlnită, dar nu
întotdeauna.
- lobul atelectatic este mai u or de recunoscut pe radiografie toracicaș
laterala ca o bandă densă, bine definită, liniară sau triunghiulară, situată
între scizura oblică i cea orizontală, i care se extinde în sus i în jos fa ăș ș ș ț
de hil.
- colapsul lobului poate fi foarte sub ire i poate fi interpretat drept oț ș
fisură îngro ată.ș
ATELECTAZIA LOBULUI
MIJLOCIU
Rx torace, inciden ă PA i profilț ș
(Opacitate neomogenă în lobul mijlociu drept i pierderea arculuiș
inferior drept al siluetei cardiace. Pe profil se observă o opacitate liniară
supraiacentă cordului care reprezintă colapsul lobului mijlociu)
ATELECTAZIA LOBULUI
MIJLOCIU
CT torace deplasarea anterioară a scizurii oblice (săgeată) i aglomerareaș
bronhiilor în segmentul opacifiat a lobului mijlociu
ATELECTAZIA LOBULUI INFERIOR DREPT
- silueta hemidiafragmului drept i o densitate triunghiularăș
postero-medială sunt semnele comune ale atelectaziei lobului
interior drept
- aceasta poate fi diferen iată de atelectazia lobului mijlociu prinț
persisten a arcului inferior drept dat de silueta corduluiț
- de remarcat întinderea vaselor lobului superior drept
hiperexpandat în atelectazia lobului drept inferior
- hilul drept este de asemenea deplasat inferior
ATELECTAZIA LOBULUI INFERIOR
DREPT
ATELECTAZIA LOBULUI SUPERIOR
STANG
- datorită faptului ca plamanul stâng are doi lobi i o singura scizură, atelectaziaș
lobului superior stang prezintă o imagine diferita de cea a lobului superior drept
- astfel predomină o schimbare anterioară a lobului superior, colapsul acestuia cu
pierderea marginii superioare stangi a siluetei cordului
- lobul inferior fiind mai mare va migra catre superior i posterior de lobul superiorș
pentru a ocupa locul liber (de lipsa lobului mijociu)
- pe masură ce lobul inferior se extinde, arterele acestuia se deplaseaza superior
- bronhia principala stângă se rote te i ea căpătând o pozi ie aproape orizontalăș ș ț
ATELECTAZIA LOBULUI SUPERIOR STANG
Rx torace, inciden ă PA i profilț ș
Ascensionarea hemidiafragmului stâng, opacitate neomogenă la nivelul hemitoracelui
stâng cu pierderea conturului stâng al cordului; pe profil se observă deplasarea anterioară
a scizurii oblice (săgeată) i cre terea intensită ii opacită ii retrosternaleș ș ț ț
Colapsul lobului superior stâng, prin obstruc ia de către un carcinomț
bronhogenic .
Transparen a dintre mediastin i colapsul lobului superior stâng esteț ș
cauzată de către hiperexpansiunea segmentului superior a lobului inferior
stâng.
ATELECTAZIA LOBULUI INFERIOR
STÂNG
- Atelectazia lobului inferior drept sau stâng prezintă un
aspect similar.
- Silueta hemidiafragmului corespunzător, aglomerarea de
vase i bronhogramele aerice sunt cateodată văzute, i siluetaș ș
aortei descendente este văzută pe partea stângă
- De re inut că aceste elemente sunt nespecifice, adeseori fiindț
întâlnite i în cazurile de consolidareș
- Colapsul substan ial al lobului inferior va apare de obicei caț
o opacitate triunghiulară situată postero-medial opus
mediastinului.
Rx torace, inciden ă PA - Atelectaziaț
lobului inferior stâng, de observat
ascensionarea hemidiafragmului stâng
EDEMUL PULMONAR
Sunt două tipuri principale de edem pulmonar:
- edemul pulmonar cardiogen cauzat de cre terea presiuniiș
hidrostatice a capilarelor pulmonare
- edemul pulmonar noncardiogen, fiind cauzat fie de alterarea
permeabilită ii membranei capilarelor sau de scădereaț
presiunii oncotice plasmatice
Pe radiografia toracică, edemul pulmonar poate arăta:
- cefalizarea vaselor pulmonare
- patern-ul ”aripi de liliac”
- liniile Kerley B sau liniile septale
- îngro are peribron icăș ș
- umbre neuniforme cu bronhograme aerice
- cardiomegalie
EDEMUL PULMONAR
– cefalizare venelor pulmonare,
nediferen ierea marginilorț
vasculare, cardiomegalie.
Edem pulmonar fulminant
datorită insuficientei
cardiace congestive, se
observă pattern-ul ”aripi de
liliac”
Ambele radiografii sunt de la acela i pacient, cea din stângaș
arată un edem pulmonar difuz cu pierderea ambelor
hemidiafragme i a siluetei cardiace; cea din dreapta este facutăș
două zile mai târziu după o rezolu ie par ială a edemului.ț ț
Rx toracică, inciden ă PA – edem pulmonar cardiogenicț
Mărirea siluetei cardiace, afectare intersti ială pulmonarăț
bilateral, cre terea în volum a venei azygos (sageată) i oș ș
man etă peribron ică (săgeată punctată)ș ș
INSUFICIEN A CARDIACĂ CONGESTIVĂȚ
- Este una dintre cele mai comune anomalii evaluate pe
radiografia toracica
- Apare atunci când cordul nu reu e te să men ină un debitș ș ț
adecvat
- Poate progresa către hipertensiune venoasă pulmonară iș
edem pulmonar cu scurgere de fluid în intersi iu, alveole sauț
spa iul pleuralț
- Primul semn care apare pe radiografia toracică este
cardiomegalia, definită ca cre terea indexului cardio-toracicș
(>0,5).
- În vascularizatia pulmonara a unui torace normal, venele
pulmonare inferioare sunt mai mari decat cele superioare datorită
gravită ii; la un pacient cu insuficien a cardiacă congestivă,ț ț
presiunea capilară pulmonară cre te până la valori de 12-ș
18mmHG, iar venele din partea superioară se dilată fiind egale
sau mai mari in dimensiune, termen denumit cefalizare.
INSUFICIEN A CARDIACĂ CONGESTIVĂȚ
INSUFICIEN A CARDIACĂ CONGESTIVĂȚ
- Prin cre terea presiunii pulmonare (18-24mmHg) apareș
edemul intersti ial i liniile Kerleyț ș
- Cre terea peste acest nivel a presiunii capilare pulmonareș
corespunde edemului alveolar, adesea sub aspectul clasic de
”aripi de liliac”
- Revărsatul pleural este deasemenea des întâlnit
- Radiografia toracica este importanta in evaluarea pacientilor
cu insuficien ă cardiacă congestiva pentru a urmări evolu iaț ț
edemului pulmonar i a evalua răspunsul la tratament.ș
- cardiomegalie, edem alveolar, margini vasculare
slab definite
Insuficien ă cardiacăț
congestivă severă
Insuficien ă cardiacă congestivăț
Radiografii ale aceluiasi pacient, in stânga edem pulmonar
sever ca urmare a insuficien ei cardiace congestive, înț
dreapta aspectul radiologic după o îmbunătă ireț
semnificativă.
LINIILE KERLEY B
- sunt linii orizontale mai mici de 2cm lungime, de obicei la periferia zonelor
inferioare
- cauzele de apari ie a liniilor Kerley B sunt:ț
 edemul pulmonar
 limfangită carcinomatoasă i limfom malignș
 pneumonia virală i micoplasmicaș
 fibroză intersti ială pulmonarăț
 pneumoconioză
 sarcoidoză
- ele pot fi semne trecătoare pe radiografia toracică a unui pacient cu sau fără
insuficien ă cardiacăț
LINIILE KERLEY
B
Insuficien a cardiacă congestivă cu edem intersti ial; liniiț ț
Kerley B la periferia hemitoracelui drept.
CT torace, sub ierea septului interlobular (săgeată)ț
reprezentând liniile Kerley
- Este cauzată de bacterii, virusuri, micoplasme i fungiș
- Nu este asociată cu pierdere de volum
- Alte cauze de umplere a alveolelor care nu se disting pe
radiografia toracica sunt: lichide (inflama ie), celuleț
(cancer), proteine (proteinoză aleveolară) i sângeș
(hemoragie pulmonară)
P N E U M O N I A
- Pe radiografie se gasesc: opacita i alveolare, consolidare lobarăț
sau opacita i intersti iale; există de obicei o suprapunereț ț
considerabilă
- Dat fiind faptul ca leziunile din pneumonie sunt fără pierdere
de volum, se deosebesc de o masă prin faptul că acestea sunt mult
mai bine definite, pneumonia putând avea asociat un revărsat
parapneumonic.
P N E U M O N I A
CARACTERISTICI RADIOLOGICE ALE
DIFERITELOR
TIPURI DE PNEUMONIE
1. PNEUMONIA LOBARĂ – pneumonia pneumococică clasică,
intregul lob este consolidat, bronhogramele aerice sunt în mod
obi nuit.ș
2. PNEUMONIA LOBULARĂ – adesea stafilococică, multifocală,
neuniformă, uneori fără bronhograme aerice
3. PNEUMONIA INTERSTI IALĂ – virală sau micoplasmatică;Ț
aceasta din urmă începe perihilar i devine confluentă i/sauș ș
neuniformă pe măsură ce boala progresează, fără bronhograme
aerice.
4. PNEUMONIA DE ASPIRA IE – urmează fluxul gravita ionalȚ ț
al con inutului aspirat; alterarea stării de con tien ă, postț ș ț
anestezie, comune la alcoolicii debilita i, demen i.ț ț
5. INFEC II PULMONARE DIFUZE – comunitareȚ
(Mycoplasma, se remite spontan); nosocomiale (Pseudomonas,
rată ridicată a morta ită ii, opacită i neregulate, cavita i); gazdeț ț ț ț
imunocompromise (bacterii, fungi, Pneumocystis carinii).
(de observat marginile imprecis delimitate, bronhogramele
aerice i lipsa arcului inferior drept a siluetei cardicace )ș
Rx torace, inciden ă PA i profil - Pneumonieț ș
lobul drept mijlociu
Radiografie inciden ă PA i profil; Pneumonie, lobulț ș
superior drept
Infiltrate bilaterale iș
bronhograme aerice cu
distribu ie perihilară,ț
cordul este de dimensiuni
normale, liniile Kerley B
nu sunt prezente. Toate
aceste elemente sunt tipice
pneumoniei cu
Pneumocystis carinii care
este cea mai întâlnită
infec ie oportunistăț
amenin ătoare de via ă înț ț
HIV.
Opacită i reticulare intersti iale difuze bilateral cu pierdere minimă de volumț ț
la un pacient tânăr HIV pozitiv
ABCESUL PULMONAR
- Este o leziune supurativă cavitară a parenchimului
pulmonar secundar unei infec ii bacteriene (stafilococ,ț
streptococ, pneumococ)
- Poate fi primitiv (parenechim pulmonar normal) sau
secundar (suprainfec ia unor leziuni preexistente – chistț
aerian, cancer excavat, sechestra ie pulmonară)ț
Aspecte radiologice:
Stadiul de constituire – opacitate cu aspect de
pneumonie lobară
Stadiul de supura ieț – opacitate pneumonică de
intensitate crescută în zona necrozată sau opacitate
rotundă cu contur imprecis delimitat, omogenă, de
intensitate medie
Stadiul de abces post vomică – imagine hidroaerică cu
nivel orizontal, rotundă sau ovalară cu axul mare vertical
abces pulmonar la nivelul lobului superior stâng
Radiografie toracică inciden ă PAț
i profilș
CT torace
(abces pulmonar cavitar la nivelul lobului superior stâng)
TUBERCULOZA
- Tuberculoza primară reprezintă primoinfec ia cuț
Mycobacterium tuberculosis.
- Tuberculoza secundară este o reactivare a primoinfec iei sau oț
continuare a acesteia.
Radiologic tuberculoza este reprezentată de:
1. consolidare
2. adenopatie
3. revărsat pleural
Caracteristicile radiologice ale tuberculozei post-primare
sunt:
- cavita ieț
- fibroză
- calcificare nodală
- pete de material cazeos
Acestea se gasesc cel mai frecvent în segmentele posterioare
ale lobilor superiori i în segmentele superioare ale lobilorș
inferiori
Tuberculoza endobron ică implică peretele unei bronhiiș
majore, printre complica ii numărându-se stenoza cicatricealăț
i obstruc ia.ș ț
Rx toracică inciden ă PA a unui vechiț
pacient cu TB.
(se observă fibroza, cavita ie i calcificare, înț ș
special la nivelul lobului superior stâng )
Adenopatie paratraheală dreaptă iș
hilară stângă
Stria ii linerare parenchimatoase extinse la ambele apexuri,ț
asociate cu retrac ia ambelor hiluri, elemente caracteristiceț
fibrozei bilaterale a lobilor superiori
Tuberculoză miliară – multipli noduli mici disemina i pe toatăț
suprafa a ambilor plămâniț
Rx. toracică PA, opacită iț
alveolare bilaterale neuniforme
cu zone de cavita ie în lobiiț
superiori
Acelasi pacient, 9 luni mai târziu,
opacită i lineare i sub iereaț ș ț
peretelui cavernei datorită procesului
de vindecare
(infiltrate i caverne bilaterale ale lobilorș
superiori)
Rx. toracică, inciden ă PAț
Rx. torace, inciden ă PAț
(leziune cavitară la nivelul lobului superior drept inconjurată de o arie de
consolidare parenchimatoasă heterogenă, la un pacient cunoscut cu TB)
Tuberculoză miliară
(- multiple opacită i nodulare punctiforme la nivelul ambelorț
arii pulmonare - arie focală de consolidare la nivelul lobului mijlociu drept)
CT torace –Tuberculoză miliară
(- multiple opacită i nodulare punctiforme la nivelulț
ambelor arii pulmonare - arii de consolidare pulmonară)
HEMORAGIA PULMONARĂ
are aspect asemănător pneumoniei, edemului pulmonar, afec iuni laț
care sunt prezente opacită i, adesea înso ite de bronhograme aerice.ț ț
este cauzată de:
- traumatisme;
- afec iuni hemoragipare;ț
- altitudine mare;
- stenoza mitrală.
sângele pătrunde în bronhii i în cele din urmă ajunge în alveole;ș
se remarcă prin faptul că poate disparea mult mai repede decât alte
desită i alveolare cum ar fi pneumonia.ț
- hemoragie la nivelul lobului drept superior
- de remarcat revarsatul pericardic consistent în
hemitoracele stâng.
Radiografie toracică PA i profilș
EMBOLISMUL PULMONAR
- sursa primară sunt trombii din venele profunde ale membrelor
inferioare;
- aproximativ 10% din embolismele pulmonare devin infarcte
pulmonare, însă mul i pacien i mor din cauza embolismului pulmonar,ț ț
fară ca acesta să fie diagnosticat;
- scopul principal al unei radiografii toracice în cazurile suspecte de
embolism pulmonar este de a elimina alte diagnostice ca i cauză aș
dispneei sau hipoxiei;
- majoritatea radiografiilor pulmonare efectuate pacientilor cu EP sunt
normale.
Semne a prezen ei embolismului pulmonar sunt:ț
- semnul Westermark (oligemie in zona afectata);
- dimensiune crescuta a unui hil (cauzată de coliziunea
trombilor);
- atelectazie cu ascensionarea hemidiafragmului sau
densită i lineare ori în forma de disc;ț
- revărsat pleural;
- consolidare;
- semnul Hampton (opacitate rotunda).
- în cazul infarctelor pulmonare, principala trasatura
radiologică este consolidarea multifocala la baza pleurei din
zona inferioara a plămânilor.
- alte cateva metode importante sunt utilizate în investigarea
unui posibil embolism pulmonar. Aceste sunt: ultrasonografia
venoasă, scintigrafie ventila ie/perfuzie, arteriogramaț
pulmonara i angiograma CT (CTA).ș
- daca radiografia unui pacient cu hipoxie este normala
trebuie luat in considerare EP
Semnul Hampton (opacitate bine delimintată la nivelul
lobului inferior stâng) la pacientii cu embolie
Semnul Westermark ( o mare parte a hemitoracelui
drept este hipodensă datorită oligemiei secundar
vasocontric iei distal de un tromb)ț
CT torace
(tromb pulmonar de
dimensiuni mari)
CT torace
defect mare de umplere (sageată) reprezentând trombi la nivelul
arterelor pulmonare principale
REVĂRSATUL PLEURAL
Cauzele obi nuite de revărsat pleural sunt:ș
- insuficien ă cardiacă congestică;ț
- infec ii (parapneumonice);ț
- traumatisme;
- tumori;
- boli autoimune;
- insuficien ă renală.ț
- Pe o radiografie cu pacientul în pozi ie verticală, un revărsat vaț
cauza rotunjirea laterala a sinusului costofrenic, iar dacă este în
cantitate mare se extinde si posterior;
- Uneori, are loc o depresiune a hemidiafragmului implicat;
- Pentru a detecta un revărsat este necesar aproximativ 200ml de fluid
pe radiografia de inciden a PA i aproximativ 75ml fluid pe cea deț ș
profil;
- Revărsatele mari, în special cele unilaterale, sunt mult mai probabil
cauzate de un proces malign decât cele mici.
- Pe radiografia executata in pozitie dorsală, un revărsat pleural va apărea
ca o opacitate gradată, mai densa catre bază. Vasele pot fi văzute de obicei
prin opacitatea revărsatului pleural. De asemenea, revărsatul pleural
poate acoperi esutul pulmonar, îngro a scizurile, iar daca este inț ș
cantitate mare poate acoperi cu lichid apexul.
- O radiografie realizata in decubit lateral poate fi utilă pentru a confirma
un revarsat pleural la pacientii intui i la pat, lichidul acumulându-se deț ț
partea afectată (cu excep ia pleureziei inchistate).ț
( revărsat pleural bilateral, se observă pensarea
unghiurilor costofrenice)
Radiografie toracică PA i profilș
(revărsat pleural la nivelul hemitoracelui drept)
Radiografie toracică PA
Imagini CT( în cea din stânga se observa un revărsat pleural in
cantitate mare infectat – empiem; în compara ie cu un abcesț
intrapulmonar în cea din dreapta)
Radiografie toracică PA
- revărsat pleural inchistat la nivelul hemitoracelui drept;
- se observă marginea medială ascu ită, bine definită i o margineț ș
laterală indistinctibilă)
( se observă două opacită i bine definite la nivelul lobuluiț
mijlociu si inferior drept, ce reprezintă o pleurezie inchistata
la nivelul scizurilor orizontală i oblică a plamanului drept)ș
Radiografie inciden ă PA i profilț ș
(lichidul pleural, de obicei, se prezintă ca o creştere a
densităţii în hemitoracele afectat)
Radiografie inciden ă PA în decubit dorsalț
Reprezintă pătrunderea aerului la nivelul cavită ii pleuraleț
Pneumotoraxul spontan apare în afara oricărui traumatism, unele din
cauze fiind:
- Astmul
- BPOC
- Infectiile pulmonare
- Neoplasmul
- Sdr. Marfan
- consumul de cocaină
Cele mai frecvente cauze de pneumotorax sunt cele iatrogene cauzate în
timpul opera iilor chirurgicale sau a cateterizării venoase (jugulare sauț
subclavii).
PNEUMOTORAXUL
Traumatismele, precum accidentele rutiere, sunt de asemnea o
cauză importantă;
În pneumotoraxul sub tensiune, aerul care pătrunde in
cavitatea pleurală este blocat în timpul expirului printr-un mecanism
de tip supapă (pneumotorax cu supapă); acest lucru duce la
acumularea aerului i implicit la cre terea presiunii intratoracice,ș ș
până la colapsul plămânului i deplasarea mediastinului de parteaș
opusă; dacă continuă, poate fi compromisă întoarcerea venoasă a
cordului i chiar moartea.ș
 Pe radiografia toracica, în pneumotorax, apare o
hipertransparen ă fără desen pulmonar, cu colabareaț
plămânului care este net conturat de o linie fină ce reprezintă
pleura viscerală;
 Cel mai probabil aceste semne se văd la nivelul apexurilor;
 Pneumotoraxul este cel mai bine pus in eviden ă pe radiografiaț
efectuată în expir;
 Este mai greu de depistat pe radiografiile executate in decubit
dorsal, deoarece aerul se ridică la nivelul par ii medii aț
plămânului, acest lucru putând fi văzut ca o hipertransparen ăț
de-a lungul mediastinului;
 Hidropneumotoraxul reprezintă prezen a aerului si aț
fluidului la nivelul cavită ii pleurale; este caracterizatț
de o imagine hidro-aerică pe o radiografie in decubit
dorsal sau verticala, la un pacient cu pneumotorax
 Cateva din cauzele hidropneumotoraxului sunt:
- traumatisme;
- toracenteza;
- interven ii chirurgicale;ț
- ruptură de esofag;
- emfizem
Pneumotorax sub
tensiune drept, se observă
o transparen ă de-aț
lungul par ii drepte aț
mediastinului iș
deplasarea acestuia spre
stânga.
În imagine se observă un pneumotorax pe o radiografie
executată în decubit dorsal, de remarcat pozi iaț
medială a aerului.
(pneumotorax sub tensiune cu deplasarea
mediastinului spre dreapta)
Rx torace, inciden ă PAț
În cele trei radiografii se poate
observa un hidropneumotorax in 3
incidente diferite (decubit lateral drept,
PA i profil).ș
Se observă o imagine hidro-aerică
la nivelul hemitoracelui drept
(pneumotorax spontan secundar la un pacient cu
fibroză chistică, se observă un hidropneumotorax
drept cu bron iectazii chistice bilaterale)ș
Radiografie toracică, înciden ă PAț
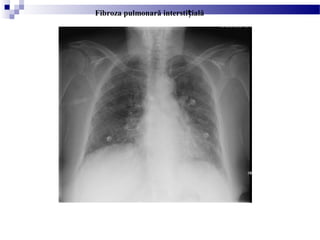
FIBROZA PULMONARĂ
INTERSTI IALĂȚ
Fibroza pulmonară intersi ială difuză are multiple cauze, cele maiț
frecvente fiind:
- idiopatice (>50%)
- boli vasculare de colagen
- agen i citotoxici i nitrofurantoinț ș
- pneumoconioze
- radia iiț
- sarcoidoza
- Din punct de vedere clinic pacien ii se prezintă cuț
dispnee progresivă de efort i tuse neproductivă;ș
- Radiologic, fibroza pulmonara intersti ială este asociatăț
cu opacită i în ”sticlă mată” în stadiile incipiente, urmândț
ca apoi să apară pierderea volumului cu opacită i liniareț
bilaterale i plămânul în ”fagure de miere”ș
- Dacă nu este efectuat un transplant de plămân,
prognosticul este nefavorabil, datorită insuficien eiț
pulmonare care apare în 3-6 ani de la diagnostic.
Fibroza pulmonară intersti ialăț
(plămâni mic ora i de volum cu opacită iș ț ț
reticulare bilaterale)
Rx torace, PA - Fibroza pulmonară idiopatică.
CT torace
- fibroza pulmonară în ”fagure de miere„ (săge i)ț
- bron iectazii (săgeată punctată)ș
- pierdere de volum a
hemitoracelui drept datorită
lobectomiei lobului mijlociu iș
inferior drept;
- infiltratele din zona superioară
sunt datorită fibrozei
postiradiere iar marginea
ascu ită delimitează limiteleț
plămânului protejat în timpul
radioterapiei.
Fibroza pulmonară postiradiere a lobului drept superior
EMFIZEMUL PULMONAR
- Emfizemul presupune o pierdere a reculului elastic al
plămânului cu distruc ia patului capilar i a septurilorț ș
alveolare;
Cel mai des este cauzat de către fumat i mai rar de cătreș
deficitul de α1 antitripsină;
- Dintre caracteristicile func ionale amintim scăredeaț
VEMS-ului i a capacită ii de difuziune;ș ț
- Hiperinfla ia i bula de emfizem sunt cei mai buni predictoriț ș
radiologici ai emfizemului;
-Semnele radiologice sunt slab corelate cu testele func ionaleț
pulmonare;
- De obicei, pe radiografia toracică, se observă hiperinfla ieț
difuză cu aplatizarea diafragmelor, spa iul retrosternal mărit,ț
bula de emfizem (hipertransparen ă cu pere i foarte sub iriț ț ț
-0,5mm- rotundă sau ovalară i contur net, regulat), dilatareaș
arterei pulmonare i hipertrofia ventriculului drept (datorităș
hipoxiei cronice) cunoscute sub denumirea de cord pulmonar;
Radiografie toracică inciden ă PA i profil – Emfizem pulmonar,ț ș
(aplatizarea diafragmelor si o hiperinfla ie semnificativă demonstrată prinț
vizualizarea celui de-al 11-lea rând de coaste posterioare)
Rx. toracică inciden ă PAț
– bulă de emfizem
(arie mare, hipodensă, ce
ocupă o mare parte a
plămânului drept iș
compresează parenchimul
pulmonar adiacent)
TRAUMATISME –
FRACTURILE COSTALE
• Fracturile costale se prezintă sub forma unei discontinuită i aț
conturului coastei, linia de fractură putând fi vizibilă;
• O fractură costală poate să nu fie vizibilă pe o radiografie toracică;
ele pot apărea pe radiografiile toracice efectuate pentru evaluarea
unui pneumotorax;
• În mod obi nuit pentru evaluarea coastelor, se examinează maiș
întâi arcurile posterioare, apoi cele anterioare, terminând prin
examinarea por iunilor laterale a fiecărei coaste; dacă se observă oț
anomalie se va examina coasta în ansamblul ei;
• Fracturile la nivelul primelor 3 coaste sunt asociate cu
un risc crescut de injurie a aortei datorită for eiț
excesive necesară producerii acestora;
• Fracturile ultimelor 3 coaste pot fi asociate cu leziuni
ale ficatului i splinei;ș
• Fracturile multiple bilaterale în diverse stadii de
vindecare sunt asociate la copii cu abuzul acestora.
Radiografie toracică, inciden ăț PA (multiple fracturi
costale stângi)
MASE MEDIASTINALE ANTERIOARE
Masele mediastinale anterioare sunt date de:
 limfadenopatii;
 tumori ale timusului;
 teratoame;
 masă tiroidiană;
 anevrism de aortă;
 chist pericardic;
 grăsime epicardică.
De obicei, pentru diagnosticul de certitudine este necesar un CT
sau o aspira ie pe ac fin;ț
Limfom cu celule T
Radiografie toracică, inciden ă PA i profilț ș (de observat faptul că hilul se
poate vedea prin transparen a masei, fapt ce arată ca masa nu este hilarăț )
Pe profil nu se vede nimic patologic posterior de aceasta.
Sec iuniț CT torace
(masă situată în mediastinul anterior (la nivelul
săge ilor) la nivelul aortei pulmonare – timomț )
Radiografie toracică,
inciden ă PA, Timomț
malign
- masă mediastinală
stângă superioară de
mari dimensiuni cu
multiple mase pleurale
drepte, încadrând
hemitoracele drept;
- masele pleurale
multiple sunt
caracteristice
timoamelor maligne.
Masă mediastinală anterioară - limfom
- în radiografia toracica PA se observă o masă adiacentă marginii stângi a
codului; de asemnea exsistă i o hiperinfla ie a ambelor câmpuriș ț
pulmonare, sugerând o obstruc ie a căilor aeriene.ț
- marginea dreptă a cordului este obscură, indicând o masă mediastinală
anterioară
- CT-ul toracic confirmă faptul că exsistă o masă în mediastinul anterior
care compresează traheea inferioară, bronhia principală i arteraș
MASE MEDIASTINALE
MIJLOCII
Cauza principala a maselor mediastinale mijlocii este
limfadenopatia datorată metastazelor sau tumorii primare;
Alte cauze includ:
- hernia hiatală;
- anevrismul aortic;
- masă tiroidiană;
- chistul de duplica ie;ț
- chistul bronhogenic.
(masă deasupra arcului aortic, situată posterior de aortă, dar
suprapusă peste marginea superioară a aortei)
Radiografie toracica PA i profilș
Radiografie toracica PA i profil,ș
aortografie – anevrism aortic
Radiografie toracica PA
(opacitate cu nivel hidro-aeric la nivelul mediastinului inferior; este
caracteristica herniei hiatale datorită pozi iei sale pe linia mediană cuț
stomacul care herniază prin hiatusul esofagian; de asemenea, camera cu
aer a stomacului nu se observă la locul usual)
MASE MEDIASTINALE
POSTERIOARE
Diagnosticul diferen ial include:ț
 neoplasmul;
 limfadenopatia;
 anevrismul aortic;
 mase adiacente pleurei sau plămânului;
 chistul neuro-enteric sau menigocelul lateral;
 hematopoieza extramedulară.
MASE MEDIASTINALE
POSTERIOARE
Radiografie toracică PA
- masă la nivelul marginii
pleurale supero-mediale a
plămânului drept;
- mediastinul anterior se
termină la nivelul
claviculelor;
- orice anomalie la nivelul
apexului toracelui este
situată cel mai probabil
posterior.
- Proiec ia masei este mai sus deț
claviculă, prin urmare, nu este o
structură anterioară;
- RMN-ul arată că masa este
extrapleurală i asociată cu nerviiș
spinali;
- Este un schwanom, o tumoră
benignă a tecii nervului.
REVĂRSATUL PERICARDIC
- Revărsatul pericardic produce o lărgire a siluetei cardiace care este
adesea de formă globulară (diametrul transvers dispropor ional crescut).ț
- Radiografiile seriate pot fi utile diagnosticului în special când sunt
observate schimbări rapide ale mărimii siluetei cardiace;
- Sunt necesari aproximativ 400-500ml de lichid pericardic pentru a fi
detectată o schimbare a mărimii siluetei cordului pe o radiografie toracică
PA;
- Diagnosticul de certitudine poate fi pus de ecocardiografie sau CT
Radiografie toracică PA la
un pacient cu revărsat
pericardic.
 
Radiografie toracică, profil i detaliuș
(revărsat pericardic, se observă grăsimea mediastinală anterioară (săge ileț
albastre) i grăsime epicardică (săge ile ro ii) separate de o bandă de esutș ț ș ț
moale)
PNEUMOMEDIASTINUL
În pneumomedistin găsim: hipertransparen ă lineară verticală,ț
de-a lungul mediastinului care se extinde i la nivelul gâtului iș ș
ascensionarea pleurei parietale de-a lungul limitelor
mediastinului
Cauzele comune de pneumomediastin includ:
 astmul;
 interven iile chirurgicale (complica iiț ț
postoperatorii);
 lezarea traumatica a arborelui traheobron ic;ș
 schimbări bru te a presiunii intratoracice (vomă,ș
tuse, parturi ie);ț
 ruptura de esofag;
 barotrauma.
Pneumomediastinul trebuie diferen iat de pneumopericard iț ș
(se observa prezen a aerului la nivelul mediastinului i esutuluiț ș ț
subcutanat din zona gâtului; aerul mediastinal poate proveni de
la pierderea integrita ii plămânului, căilor aeriene principale sauț
a esofagului)
Radiografie toracică PA
CT toracic - prezen a aerului în mediastin (săge ile ro ii)ț ț ș
i emfizem subcutanat (săge ile galbene).ș ț
HERNIA
DIAFRAGMATICĂ
Pe radiografia toracică se pot observa trei tipuri de hernie
diafragmatică:
1.hernia hiatală – în care stomacul alunecă prin hiatusul
esofagian în torace;
2.hernia Bochdalek care apare datorită unei slăbiri a
diafragmului i de obicei este pe partea stângă i posteriorș ș ;
3.hernia Morgagni care apare median;
(hernie hiatală, se obervă o imagine hidroaerică posterior de
cord)
Radiografie toracică PA
ADENOPATIA HILARĂ
Marirea ganglionilor limfatici din hilul pulmonar poate fi o
descoperire importantă care stă la baza unei patologii.
Diagnosticul diferen ial etiologic poate fi împăr it în 3ț ț
categorii diferite:
ADENOPATIA HILARĂ
În imaginile de mai jos, în cea din stânga se poate observa conturul
bine delimitat, regulat, caracteristic măririi arterelor pulmonare;
în dreapta se observa multiple opacită i neregulate, caracteristiceț
adenopatii hilare.
CANCERUL PULMONAR
- Tipul de celulă a tumorii maligne primare pulmonare poate fi
adesea deosebit prin modelul de cre tere, aspect i loca ie.ș ș ț
- Referitor la decesele provocate de cancer, cel pulmonar cauzează
cele mai multe decese în lume decât orice alt tip de cancer.
- Cea mai folosita stadializare în cancerului pulmonar, altul decat
cel cu celule mici, este stadializarea TNM
- Cea mai bună ansă de vindecare o are rezec ia tumorii; totu i,ș ț ș
s-a constatat că nu to i pacien ii cu cancer pulmonar au beneficiiț ț
de pe urma chirurgiei datorită comorbidita ilor asociate precumț
emfizemul sau bolile cardiovasculare.
CANCERUL PULMONAR
Cancerele pulmonare sunt nerezecabile odată ce au progresat
către unul din urmatoarele stadii TNM:
T4 – invazia mediastinului, cordului, vaselor mari, traheei,
esofagului, corpilor vertebrali sau carinei; asocierea cu
pleurezia sau pericardita malignă; prezen a nodulilor tumoraliț
sateli i în acela i lob cu tumora primară.ț ș
N3 – metastaeze ganglionare mediastinale sau hilare
controlaterale, sau afectarea homolaterală sau controlaterală a
ganglionilor limfatici scaleni sau supraclaviculari.
M1 – metastaze la distan ă prezenteț
CT toracic – aspectul spiculat a unui cancer pulmonar
 
Cele ase tipuri principale de carcinoame pulmonare cu aspectș
tipic sunt:
o adenocarcinomul – (35-50%) periferic, cu inciden a mare deț
metastazare timpurie
o cu celule scuamoase – (30%) central, cu implicare hilară, cavitația
este obi nuită,ș cre tere lentăș
o cu celule mici - (15-20%) central, cavitația este rară, adesea trăsătura
dominantă este prezen a maselor mediastinale i hilare, cre tere rapidăț ș ș
i metastazare precoce.ș
ocu celule mari – (10-15%) periferic, dimensiuni
mari, cavitația este prezentă
obronhoveolar – (3%) periferic, aspect rotunjit,
infiltrat asemănător celui din pneumonie (bronhograme
aerice), ocazional multifocal
ocarcinoid – (mai pu in deț 1%) tipic se prezintă sub
forma unei leziuni endobron ice bine definită;ș
metastazele ganglionare ale ficatului si creierului se pot
intensifica dens.
Radiografie toracică PA
- carcinom cu celule
scuamoase la nivelul
lobului inferior drept
- se observă cavita ia,ț
caracteristică acestui tip
de cancer.
(opacitate densă la nivelul lobului superior
stâng asociată cu distruc ia coastelorț
anterioare stângi doi i treiș )
Radiografie toracică PA – carcinom
Radiografie toracică PA i CT toracicș
ope radiografie se observă multipli noduli pulmonari, bilaterali, de mărimi
diferite, care se vad mai bine pe CT
oacest aspect este tipic metastazelor pulmonare
opredominan a bazală a nodulilor este datorită vasculariza iei mai bogate aț ț
bazelor plămânilor
ometastazele pulmonare pot fi secundare cancerului de sân, colon, rect iș
rinichi
BIBLIOGRAFIE
oRakesh R. Misra, Andrew Planner, Mangerira C. Uthappa -
A–Z of Chest Radiology , Ed. Cambridge University Press,
2007;
oPhilip Eng, Foong-Koon Cheah - Interpreting chest X-rays,
Ed. Cambridge University Press, 2005;
oHarjit Singh, Janet A Neutze - Radiology Fundamentals, Ed.
Springer, 2012;
ohttp://www.med-ed.virginia.edu/courses/rad/cxr/index.html

Elemente de radiologie pentru rezidenti

  • 1.
    ELEMENTE DE RADIOLOGIE PENTRUREZIDENTI Dr.Mihaela Cuzub Dr.Oana-Raluca Haidamac Dr.Elena- Catalina Horciag
  • 2.
    OBIECTIVELE PREZENTARII  TEHNICĂ: Diferen ierea unei radiografii toracice de inciden ă postero-anterioară de ceaț ț antero-posterioară  Utilitatea executarii radiografiei toracice în decubit lateral  În elegerea termenilor inspir, expunere, rota ie, folosi i pentru a determinaț ț ț corectitudinea executarii unei radiografii toracice
  • 3.
    ANATOMIE:  Elementele debaza privind fisurile plămânilor, delimitarea cordului, bronhiile si vasculariza ia care pot fi vazute pe o radiografie toracicăț
  • 4.
    INTERPRETARE  Dezvoltarea uneitehnici de citire a unei radiografii  Cum ne poate ajuta semnul siluetei in localizarea patologiei
  • 5.
    PATOLOGIE:  Atelectazia irecunoa terea ei pe o radiografie toracicăș ș  Edemul pulmonar si diferen ierea cauzelor cardiogenice de celeț noncardiogenice  Diferen ierea semnelor între pneumonie i atelectazieț ș  Recunoa terea revărsatului pleural si a pneumotoraxuluiș  Recunoa terea semenelor BPOC-uluiș  Recunoa terea semnelor unui nodul pulmonar benignș  Când un cancer pulmonar este nerezecabil
  • 6.
    POZI IONAREAȚ o examinareastandard a toracelui consta în efectuarea a două inciden e:ț o posteo-anterioară (PA) i lateralăș (profil).
  • 7.
    o Pacientul estea ezat pe parteaș stângă în inciden a laterală.ț
  • 8.
    o când interpretămo radiografie toracică trebuie examinate ambele incidente, PA si profil, asezate in aceasta ordine de la stanga la dreapta
  • 9.
     când avemi radiografii anterioare acestea vor fi puse în ordine de la stângaș la dreapta: cea veche-inciden ă PA, cea nouă-inciden a PA, cea nouă-ț ț inciden a laterala, cea veche-inciden ă lateralăț ț
  • 10.
    POSTERO-ANTERIOR VS. ANTERO-POSTERIOR inciden a PA se ob ine cu pacientul in fa a casetei i tubul cu radia ii la oț ț ț ș ț distan a de 1,8 m.ț  această distan ă diminuează efectul razei de divergen ă i mărire aț ț ș structurilor apropiate de tubul aparatului.
  • 11.
    INCIDEN A LATERALĂȚ inciden a laterală este ob inută prin a ezarea pacientului cu partea stângă aț ț ș toracelui în fa a casetei.ț  astfel este diminuat efectul de marire a siluetei cordului
  • 12.
    POZI IA ÎNDECUBIT LATERALȚ  această pozi e poate fi utila pentru a pune in evidenta volumul revărsatuluiț pleural i a demonstra dacă acesta este mobil sau nu.ș  putem de asemenea observa hemitoracele neafectat pentru a confirma un pneumotorax la un pacient care nu a putut fi examinat in picioare.  de asemenea, plămânul afectat ar trebui să fie mai dens ca urmare a atelectaziei datorita presiunii suplimentare a mediastinului, în caz contrar sugereaza air trapping.
  • 14.
     Primele lucruricare trebuiesc urmărite înainte de a interpreta o radiografie sunt:  este întradevar radiografia pacientului examinat? Radiografia trebuie etichetată cu numele pacientului  semnul de stanga/dreapta a fost pozi ionat corect? sau pacientul areț întradevar dextrocardie?  este documentată inciden a PA vs. AP?ț TEHNICA ADECVATĂ
  • 15.
     pacientul trebuieexaminat în inspir profund.  calitatea inspirului este asigurată de numărul de coaste anterioare sau posterioare vizibile:  dacă sunt vizualizate 6 coaste anterioare sau 10 coaste posterioare, atunci pacientul a executat un inspir corect  dacă sunt vizualizate mai putin de 6 coaste anterioare, pacientul a executat un inspir slab, iar vizualizarea a mai mult de 6 coaste anterioare implică hiperexpandarea pulmonară
  • 16.
    Un exemplu deinspir slab efectuat: numai 4 coaste anterioare sunt vizibile cardiomegalie? masă – la nivelul arcului aortic? opacitate neuniformă la nivelul ambilor lobi inferiori?
  • 17.
    Acela i pacientdupă executareaș unui inspir corect; -radiografia toracică pare normală.
  • 18.
    EXPUNEREA  un gradadecvat de expunere a pacientului la radia ii este necesarț pentru un film bun.  pe un film executat corect în inciden ă PA, corpii vertebraliț toracali sunt abia vizibili în dreptul cordului iar detaliile nu pot fi observate de obicei.  expunerea este suficientă dacă structurile bronho-vasculare pot fi văzute prin transparen a cordului.ț
  • 19.
     în incidena laterală, putemț verifica dacă expunerea iș inspirul sunt corecte urmarind daca coloana vertebrală apare mai închisă la culoare pe măsură ce ne deplasăm caudal.
  • 20.
    ROTA IAȚ  pacientulsă fie lipit de caseta filmului.  dacă există o rota ie a pacientului,ț mediastinul poate părea anormal.  se poate stabili rota ia observândț cele două capete ale claviculelor iș urmarind dacă aceastea sunt la distan ă egală fa ă de procesulț ț spinos al corpului vertebrei toracice.
  • 21.
    -pe radiografia rotată,pliurile pielii pot fi gresit interpretate drept un pneumotorax sub tensiune (săge ile albastre).ț -de remarcat prozi ia oblica aț capetelor claviculelor (săge ileț ro ii) i procesul spinosș ș
  • 22.
    LOBII SI SCIZURILE pe radiografia toracica incidenta PA, scizura orizontala separa lobul mijlociu de lobul superior drept iar uneori nu este foarte bine vizibila.  pe partea stanga nu exista scizura orizontala.  scizurile oblice in incidenta PA nu sunt foarte vizibile de obicei deoarece ele sunt privite oblic.  daca exista lichid la nivelul scizurii, acesta apare ca o opacitate in partea de jos a marginii laterale.
  • 23.
     Marginea superioaraa scizurilor oblice (B) bilateral  Scizura orizontala dreapta (A) si marginile inferioare (B) ale scizurilor oblice bilaterale
  • 24.
     ambii plamanisunt suprapusi, luati separat, plamanul stang are o singura fisura oblica  plamanul drept are ambele fisuri, oblica si orizontala
  • 25.
    MEDIASTINUL SI PULMONII radiologul trebuie să cunoască structurile care alcătuiesc marginile mediastinului si lobii pulmonului care formeaza marginea acestuia de-a lungul mediastinului si a peretelui toracic.
  • 26.
    o vom urmărimarginea plamânului de jur împrejur încercând să localizăm cărei structuri mediastinale sau lob al plămânului îi corespunde marginea respectivă
  • 27.
     Indicele cardiotoracictrebuie să fie mai mic de 0,5  ICT= A/B  Un ICT mai mare de 0,5 (pe un film executat corect) sugerează cardiomegalie EVALUAREA CORDULUI
  • 29.
    EVALUAREA REGIUNILOR HILARE -ambelehiluri pulmonare trebuie să fie concave -concavitatea este dată de încruci areaș dintre vena pulmonară superioară pulmonară a lobului inferior; punctul de intersec ie dintre cele două este cunoscutț sub denumirea de punctul hilar -ambele hiluri pulmonare trebuie să aibe densită i similareț -hilul pulmonar stâng este de obicei mai sus decât cel drept cu până la 1cm
  • 30.
    otraheea este deobicei situată pu in la dreapta de centruț oîn condi ii patologice poate fiț împinsă sau trasă la sânga sau la dreapta, semn indirect în depistarea unei anomalii operetele drept al traheei se vede clar, sub denumirea de banda paratraheală dreaptă EVALUAREA TRAHEEI
  • 31.
     fiecare diafragmtrebuie examinat cu aten ieț  punctul cel mai înalt al diafragmului drept este în general cu 1-1,5cm mai sus decât cel de pe stânga  ambele sinusuri costo-frenice trebuie să fie bine conturate EVALUAREA DIAFRAGMULUI
  • 32.
    este important săse examineze fiecare coastă (cele anterioare i cele posterioare), claviculele, vertebreleș si articula ia umaruluiț se va examina atent asimetria esuturilor moi, un cazț tipic fiind mastectomia EVALUAREA STRUCTURILOR OSOASE SI A ESUTURILOR MOIȚ
  • 33.
    ARBORELE BRONSIC o comparanddesenul de mai jos cu o radiografie, putem observa ca bronhia principala este vizibila daca ne uitam atent.
  • 34.
    VASELE PULMONARE oaceste elementesunt prezente pe fiecare radiografie dar de obicei ele nu pot fi recunoscute. ocunoa terea loca iei acestora va fi utilă în elegerii anatomiei pe radiografia toracicăș ț ț i CT toracic.ș ocu exceptia lobului superior drept, venele pulmonare sunt în general anterior arterelor pulmonare.
  • 35.
    desenul schematic demai jos ajută la identificarea mai u oară a acestor elemente.ș A = bronhia segmentară apicală B = bronhia segmentară posterioară C = bronhia segmentară anterioară D = bronhia intermediara E = trunchiul anterior F = carina G = artera pulmonara principală dreaptă H = artera pulmonara principală stângă I = artera pulmonară inferioară dreaptă J = vena pulmonară superioară dreaptă
  • 36.
    K = bronhialobară mijlocie dreaptă L = bronhia lobară inferioară dreaptă M = vena pulmonară inferioară dreaptă N = atriul stâng O = vena pulmonară superioară stângă P = bronhia segmentară apicoposterioară Q = bronhia lobară superioară stangă R = bronhia lingulară S = artera pulmonară inferioară stângă T = vena pulmonară inferioară dreaptă
  • 37.
    CUM SĂ CITIMO RADIOGRAFIE  Lumina interioară adecvată, se vor examina imaginile în ordine  Datele pacientului: nume, istoric, vârstă, sex, filme anterioare  Tehnica: inciden ă AP/PA, expunerea, rota ia, pozitia verticală sauț ț orizontală  Traheea: centrată sau deviată, calibru, masă  Plămânii: umbre sau transparen e anormaleț  Vasele pulmonare: mărirea arterelor sau venelor
  • 38.
    CUM SĂ CITIMO RADIOGRAFIE  Hiluri: mase sau limfanedopatii  Cordul: cardiomegalie? (ICT > 0,5), configura iaț cordului  Conturul mediastinal: lă ime, masă?ț  Pleura: revărsat, îngro are, calcificareș  Oase: leziuni sau fracturi  esuturi moi: nu rata i o mastectomieȚ ț
  • 39.
    DEPISTAREA ANOMALIILOR oeste maiindicat să facem o căutare intităț pe o radiografie decât să ne uităm pur i simplu la film.ș oun lucru anormal nu ne va sări în ochi ocel mai indicat este sa cautam anomaliile dupa un plan bine stabilit
  • 40.
    DEPISTAREA ANOMALIILOR oprivirea trebuiesă cerceteze toate zonele filmului urmărind plămânii, mediastinul i uitându-ne din nou cuș aten ie în zonele in care tim că sa pot face u or gre eliț ș ș ș precum la nivelul coloanei vertebrale pe radiografia de profil i la nivelul apexului in inciden a PAș ț
  • 41.
    DEPISTAREA ANOMALIILOR Uita i-văfix la X-ul din centru i încerca i să citi i literele din col urile filmului, ve iț ș ț ț ț ț constata că nu pot fi citite decât daca ne uitam direct la ele
  • 42.
    TEHNICA DE CITIREA UNUI FILM
  • 44.
    SEMNUL SILUETEI descris deDr. Ben Felson în 1950, este un mijloc de detectare i localizare aș anomaliilor. pentru ca un obiect să apară distinct pe o radiografie toracică, trebuie să aibe o densitate radiografică diferită de cea a structurii învecinate. în general sunt doar 4 densită i radiografice diferite detectabile pe o radiografie:ț aerul, grăsimea, esuturile moi i structurile osoase.ț ș dacă două densită i asemănătoare sunt una lângă alta, ele nu pot fi vizibile separatț (ex. ventriculul stâng i cel drept); dăcă cele două densită i sunt separate de aer,ș ț delimitarea lor va fi vizibilă.
  • 45.
    SEMNUL SILUETEI  aredouă utilizări: poate localiza amonaliile pe radiografia toracică PA fară ajutorul unui profil; Spre exemplu, dacă o masă se situează lângă arcul aortic i obliterează conturulș acestuia, atunci masa se află posterior fa ă de arcul aortic. Dacă contrul arcului iț ș al masei sunt văzute separat, atunci masa se află anterior. pierderea conturului hemidiaframului, a siluetei cordului sau a altei structuri, sugerează existen a unui esut moale lângă acestea, cum ar fi consolidareaț ț pulmonară
  • 46.
    SEMNUL SILUETEI Arcul inferiordrept al cordului este situat în afara siluetei, acest lucru este cauzat de o pneumonie a lobului mijlociu drept
  • 47.
    BRONHOGRAMA AERICĂ oo bronhogramaaerică apare ca un contur tubular a căii respiratorii vizibilă datorită umplerii alveolelor din apropiere de către un fluid sau exsudat inflamator. ocele ase cauze de bronhogramă aerică sunt:ș  Consolidarea pulmonară  Edem pulmonar  Atelectazie pulmonara nonobstructiva  Boală intersti ială severaț  Neoplasm
  • 48.
    oîn imaginile alaturatese poate observa un edem pulmonar bilateral al lobului inferior oalveolele sunt pline cu fluid facând bronhiile vizibile
  • 49.
    oimaginea din dreaptasus, este o imagine de detaliu a hemitoracelui drept, sage ile ro ii indicând o bronhogramaț ș aerica proeminentă oimaginea CT din dreapta jos, eviden iază i mai clar bronhogramaț ș aerica 
  • 50.
    un alt exemplude bronhograma aerica în ambele inciden e, PA i profilț ș
  • 51.
    OPACITATEA Masă vs. Infiltrat înambele cazuri există o opacitate in lobul superior stang. în cazul din stanga, opacitatea este bine delimitată, omogenă, cel mai bine descrisă ca fiind o masă. cazul din dreapta prezintă o opacitate nesistematizată, fără limite nete, difuză, descrisă ca infiltrat, sugerând o pneumonie.   
  • 52.
    DIMENSIUNEA – de ieste un criteriu evident de evaluare, leziunile mari nu sunt întotdeaunaș maligne iar cele mici nu sunt întotdeauna benigne LOCALIZAREA – se va evalua leziunea în raport cu lobii pulmonari i segmentele pulmonareș CRITERII DE EVALUAREA A UNEI MASE
  • 53.
    CONTURUL – poate fibine delimitat (net) sau imprecis delimitat (difuz/infiltrativ) - evident, cu cât conturul este mai neregular, cu atât suspiciunea că avem de-a face cu un proces maling este mai mare. - cu toate aceastea, multe leziuni benigne inflamatorii au coturul destul de neregulat. - de asemenea, leziunile metastatice pot aveam un contur foarte bine delimitat. - prin urmare, conturul unei leziuni nu este un indicator absolut al benignita ii sau malignita ii leziunii.ț ț CRITERII DE EVALUAREA A UNEI MASE
  • 54.
    – acest lucrupoate fi un indicator foarte important în stabilirea etiologiei leziunii; astfel, o masă care este aproape de peretele toracic i care implică distruc iaș ț osoasă a unei coaste, are probabilitate ridicată de malignitate (de i, nici acestș lucru nu este un indicator absolut al malignita ii, deoarece unele leziuniț pulmonare infec ioase, cum ar fi actinomicoza, pot distruge coastele adiacente).ț IMPLICAREA STRUCTURILOR ÎNVECINATE
  • 55.
    - cavita iapoate fi observată i în proceseleț ș maligne i în cele benigne.ș - calicificarea, de i se credea ca este un indicatorș de benignitate, în prezent este cunoscut faptul că se întâlne te i în procesele benigne i în celeș ș ș maligne, prin urmare este un alt indicator nespecific al etiologiei leziunii.
  • 56.
    -evident, nodulii multipliau un alt diagnostic diferen ial i conota ie decât oț ș ț leziune solitară, în multe cazuri. Din acest motiv, atunci când este depistat un nodul pulmonar, trebuie căutat atent i după al i noduli.ș ț -tomografia computerizată, din cauza sensibilită ii sale pentru detectareaț nodulilor, este de multe ori foarte utilă în acest sens. LEZIUNI SOLITARE SAU MULTIPLE
  • 57.
    LOCALIZAREA MASEI Intraparenchimatosa vs.pleurala vs. extrapleurala A = intraparenchimatos B = pleural C = extrapleural 
  • 58.
    CT - masa,cel mai probabil pleurala (sageata rosie); revarsat pleural posterior 
  • 59.
    CT - distrugereosoasa , masa extrapleurala
  • 60.
    NODULUL PULMONAR SOLITAR nodululpulmonar solitar poate fi total inofensiv sau poate avea poten ialț neoplazic după identificarea lui, primul pas in examinare este de a compara filmul cu radiografiile anterioare, dacă acestea exista un nodul care nu i-a modificat deloc aspectul pe o perioada de 2 ani esteș aproape sigur benign dacă nodulul este complet calcificat sau calcificat doar central, este considerat benign
  • 61.
    NODULUL PULMONAR SOLITAR noduliicu calcificări neregulate sau in afara centrului, sunt considera i suspec i i vor necesita un PET scan sau biopsieț ț ș filmul trebuie examinat atent deoarece pot fi prezen i mai multiț noduli, lucru care orienteaza diagnosticul in altă direc ieț dacă nodulul este nedeterminat, după ce am luat in considerare filmele anterioare i calcificarea, următorul pas este efectuarea unuiș CT iș a unei biopsii.
  • 62.
    Rx torace, incidena PA i profil: Nodul pulmonar solitar la nivelul lobului superior stângț ș
  • 63.
    Rx torace, incidena PA i profil: Neoplasm pulmonar al lobuluiț ș drept inferior
  • 64.
    Nodul solitar înlobul stâng superior
  • 65.
    ATELECTAZIA Atelectazia pulmonară poatefi împăr ită în 6 tipuri in func ie deț ț mecanismul de producere: 1.De resorb ieț – apare în urma resorb iei aerului cândț comunicarea dintre alveore i trahee este obstruată (atelectazie deș obstruc ie)ț 2.Adezivă – apare în urma deficitului de surfactant care duce la colapsul alveolelor i implicit la aderen a pere ilor alveolari facândș ț ț reexpansiunea dificilă 3.Compresivă – este cauzată de orice leziune înlocuitoare de spa iu a toracelui care comprimă plămânul for ând ie irea aeruluiț ț ș
  • 66.
    4. Pasivă –distinc ia dintre atelectazia pasivă i cea compresivăț ș nu este foarte clară; orice masă înlocuitoare de spa iu din torace,ț poate, fie să comprime plămânul sau să permită retrac iaț acestuia, pasivă 5. Cicatriceală – are loc pierderea de volum în urma scădereii complian ei pulmonare ca rezultat al fibrozei pulmonareț 6. Dependentă de gravita ieț – apare la pacien ii spitaliza i,ț ț intui i la pat, cu respira ie superficială prelungităț ț ț
  • 67.
    Semnele radiografice aleatelectaziei sunt: - aglomerarea vaselor pulmonare - bronhograme aerice - deplasarea scizurilor interlobare - opacită i pulmonare anormaleț - pierderea conturului diafragmului sau cordului
  • 68.
    Semnele radiografice aleatelectaziei sunt: - ascensionarea diafragmului - deplasarea structurilor mediastinale - deplasarea hilurilor - hiperexpansiune pulmonară compensatorie - apropierea coastelor
  • 69.
    ATELECTAZIA LOBULUI SUPERIOR DREPT Rxtorace, inciden ă PA i profilț ș Colapsul par ial al lobului superior drept; scizura orizontală este ascensionatăț subliniind marginea inferioară a plămânului opacifiat atelectatic; se observă calcificări suprapuse peste plămânul opacifiat central i periferic.ș
  • 70.
    ATELECTAZIA LOBULUI MIJLOCIU - atelectazialobului mijlociu poate fi u or trecută cu vederea pe radiografiaș toracică frontală. - pierderea marginei drepte a siluetei cordului este adeasea întâlnită, dar nu întotdeauna. - lobul atelectatic este mai u or de recunoscut pe radiografie toracicaș laterala ca o bandă densă, bine definită, liniară sau triunghiulară, situată între scizura oblică i cea orizontală, i care se extinde în sus i în jos fa ăș ș ș ț de hil. - colapsul lobului poate fi foarte sub ire i poate fi interpretat drept oț ș fisură îngro ată.ș
  • 71.
    ATELECTAZIA LOBULUI MIJLOCIU Rx torace,inciden ă PA i profilț ș (Opacitate neomogenă în lobul mijlociu drept i pierderea arculuiș inferior drept al siluetei cardiace. Pe profil se observă o opacitate liniară supraiacentă cordului care reprezintă colapsul lobului mijlociu)
  • 72.
    ATELECTAZIA LOBULUI MIJLOCIU CT toracedeplasarea anterioară a scizurii oblice (săgeată) i aglomerareaș bronhiilor în segmentul opacifiat a lobului mijlociu
  • 73.
    ATELECTAZIA LOBULUI INFERIORDREPT - silueta hemidiafragmului drept i o densitate triunghiularăș postero-medială sunt semnele comune ale atelectaziei lobului interior drept - aceasta poate fi diferen iată de atelectazia lobului mijlociu prinț persisten a arcului inferior drept dat de silueta corduluiț - de remarcat întinderea vaselor lobului superior drept hiperexpandat în atelectazia lobului drept inferior - hilul drept este de asemenea deplasat inferior
  • 74.
  • 75.
    ATELECTAZIA LOBULUI SUPERIOR STANG -datorită faptului ca plamanul stâng are doi lobi i o singura scizură, atelectaziaș lobului superior stang prezintă o imagine diferita de cea a lobului superior drept - astfel predomină o schimbare anterioară a lobului superior, colapsul acestuia cu pierderea marginii superioare stangi a siluetei cordului - lobul inferior fiind mai mare va migra catre superior i posterior de lobul superiorș pentru a ocupa locul liber (de lipsa lobului mijociu) - pe masură ce lobul inferior se extinde, arterele acestuia se deplaseaza superior - bronhia principala stângă se rote te i ea căpătând o pozi ie aproape orizontalăș ș ț
  • 76.
    ATELECTAZIA LOBULUI SUPERIORSTANG Rx torace, inciden ă PA i profilț ș Ascensionarea hemidiafragmului stâng, opacitate neomogenă la nivelul hemitoracelui stâng cu pierderea conturului stâng al cordului; pe profil se observă deplasarea anterioară a scizurii oblice (săgeată) i cre terea intensită ii opacită ii retrosternaleș ș ț ț
  • 77.
    Colapsul lobului superiorstâng, prin obstruc ia de către un carcinomț bronhogenic . Transparen a dintre mediastin i colapsul lobului superior stâng esteț ș cauzată de către hiperexpansiunea segmentului superior a lobului inferior stâng.
  • 78.
    ATELECTAZIA LOBULUI INFERIOR STÂNG -Atelectazia lobului inferior drept sau stâng prezintă un aspect similar. - Silueta hemidiafragmului corespunzător, aglomerarea de vase i bronhogramele aerice sunt cateodată văzute, i siluetaș ș aortei descendente este văzută pe partea stângă - De re inut că aceste elemente sunt nespecifice, adeseori fiindț întâlnite i în cazurile de consolidareș - Colapsul substan ial al lobului inferior va apare de obicei caț o opacitate triunghiulară situată postero-medial opus mediastinului.
  • 79.
    Rx torace, incidenă PA - Atelectaziaț lobului inferior stâng, de observat ascensionarea hemidiafragmului stâng
  • 80.
    EDEMUL PULMONAR Sunt douătipuri principale de edem pulmonar: - edemul pulmonar cardiogen cauzat de cre terea presiuniiș hidrostatice a capilarelor pulmonare - edemul pulmonar noncardiogen, fiind cauzat fie de alterarea permeabilită ii membranei capilarelor sau de scădereaț presiunii oncotice plasmatice
  • 81.
    Pe radiografia toracică,edemul pulmonar poate arăta: - cefalizarea vaselor pulmonare - patern-ul ”aripi de liliac” - liniile Kerley B sau liniile septale - îngro are peribron icăș ș - umbre neuniforme cu bronhograme aerice - cardiomegalie EDEMUL PULMONAR
  • 82.
    – cefalizare venelorpulmonare, nediferen ierea marginilorț vasculare, cardiomegalie.
  • 83.
    Edem pulmonar fulminant datorităinsuficientei cardiace congestive, se observă pattern-ul ”aripi de liliac”
  • 84.
    Ambele radiografii suntde la acela i pacient, cea din stângaș arată un edem pulmonar difuz cu pierderea ambelor hemidiafragme i a siluetei cardiace; cea din dreapta este facutăș două zile mai târziu după o rezolu ie par ială a edemului.ț ț
  • 85.
    Rx toracică, incidenă PA – edem pulmonar cardiogenicț Mărirea siluetei cardiace, afectare intersti ială pulmonarăț bilateral, cre terea în volum a venei azygos (sageată) i oș ș man etă peribron ică (săgeată punctată)ș ș
  • 86.
    INSUFICIEN A CARDIACĂCONGESTIVĂȚ - Este una dintre cele mai comune anomalii evaluate pe radiografia toracica - Apare atunci când cordul nu reu e te să men ină un debitș ș ț adecvat - Poate progresa către hipertensiune venoasă pulmonară iș edem pulmonar cu scurgere de fluid în intersi iu, alveole sauț spa iul pleuralț
  • 87.
    - Primul semncare apare pe radiografia toracică este cardiomegalia, definită ca cre terea indexului cardio-toracicș (>0,5). - În vascularizatia pulmonara a unui torace normal, venele pulmonare inferioare sunt mai mari decat cele superioare datorită gravită ii; la un pacient cu insuficien a cardiacă congestivă,ț ț presiunea capilară pulmonară cre te până la valori de 12-ș 18mmHG, iar venele din partea superioară se dilată fiind egale sau mai mari in dimensiune, termen denumit cefalizare. INSUFICIEN A CARDIACĂ CONGESTIVĂȚ
  • 88.
    INSUFICIEN A CARDIACĂCONGESTIVĂȚ - Prin cre terea presiunii pulmonare (18-24mmHg) apareș edemul intersti ial i liniile Kerleyț ș - Cre terea peste acest nivel a presiunii capilare pulmonareș corespunde edemului alveolar, adesea sub aspectul clasic de ”aripi de liliac” - Revărsatul pleural este deasemenea des întâlnit - Radiografia toracica este importanta in evaluarea pacientilor cu insuficien ă cardiacă congestiva pentru a urmări evolu iaț ț edemului pulmonar i a evalua răspunsul la tratament.ș
  • 89.
    - cardiomegalie, edemalveolar, margini vasculare slab definite Insuficien ă cardiacăț congestivă severă
  • 90.
  • 91.
    Radiografii ale aceluiasipacient, in stânga edem pulmonar sever ca urmare a insuficien ei cardiace congestive, înț dreapta aspectul radiologic după o îmbunătă ireț semnificativă.
  • 92.
    LINIILE KERLEY B -sunt linii orizontale mai mici de 2cm lungime, de obicei la periferia zonelor inferioare - cauzele de apari ie a liniilor Kerley B sunt:ț  edemul pulmonar  limfangită carcinomatoasă i limfom malignș  pneumonia virală i micoplasmicaș  fibroză intersti ială pulmonarăț  pneumoconioză  sarcoidoză - ele pot fi semne trecătoare pe radiografia toracică a unui pacient cu sau fără insuficien ă cardiacăț
  • 93.
    LINIILE KERLEY B Insuficien acardiacă congestivă cu edem intersti ial; liniiț ț Kerley B la periferia hemitoracelui drept.
  • 94.
    CT torace, subierea septului interlobular (săgeată)ț reprezentând liniile Kerley
  • 95.
    - Este cauzatăde bacterii, virusuri, micoplasme i fungiș - Nu este asociată cu pierdere de volum - Alte cauze de umplere a alveolelor care nu se disting pe radiografia toracica sunt: lichide (inflama ie), celuleț (cancer), proteine (proteinoză aleveolară) i sângeș (hemoragie pulmonară) P N E U M O N I A
  • 96.
    - Pe radiografiese gasesc: opacita i alveolare, consolidare lobarăț sau opacita i intersti iale; există de obicei o suprapunereț ț considerabilă - Dat fiind faptul ca leziunile din pneumonie sunt fără pierdere de volum, se deosebesc de o masă prin faptul că acestea sunt mult mai bine definite, pneumonia putând avea asociat un revărsat parapneumonic. P N E U M O N I A
  • 97.
    CARACTERISTICI RADIOLOGICE ALE DIFERITELOR TIPURIDE PNEUMONIE 1. PNEUMONIA LOBARĂ – pneumonia pneumococică clasică, intregul lob este consolidat, bronhogramele aerice sunt în mod obi nuit.ș 2. PNEUMONIA LOBULARĂ – adesea stafilococică, multifocală, neuniformă, uneori fără bronhograme aerice
  • 98.
    3. PNEUMONIA INTERSTIIALĂ – virală sau micoplasmatică;Ț aceasta din urmă începe perihilar i devine confluentă i/sauș ș neuniformă pe măsură ce boala progresează, fără bronhograme aerice. 4. PNEUMONIA DE ASPIRA IE – urmează fluxul gravita ionalȚ ț al con inutului aspirat; alterarea stării de con tien ă, postț ș ț anestezie, comune la alcoolicii debilita i, demen i.ț ț 5. INFEC II PULMONARE DIFUZE – comunitareȚ (Mycoplasma, se remite spontan); nosocomiale (Pseudomonas, rată ridicată a morta ită ii, opacită i neregulate, cavita i); gazdeț ț ț ț imunocompromise (bacterii, fungi, Pneumocystis carinii).
  • 99.
    (de observat marginileimprecis delimitate, bronhogramele aerice i lipsa arcului inferior drept a siluetei cardicace )ș Rx torace, inciden ă PA i profil - Pneumonieț ș lobul drept mijlociu
  • 100.
    Radiografie inciden ăPA i profil; Pneumonie, lobulț ș superior drept
  • 101.
    Infiltrate bilaterale iș bronhogrameaerice cu distribu ie perihilară,ț cordul este de dimensiuni normale, liniile Kerley B nu sunt prezente. Toate aceste elemente sunt tipice pneumoniei cu Pneumocystis carinii care este cea mai întâlnită infec ie oportunistăț amenin ătoare de via ă înț ț HIV.
  • 102.
    Opacită i reticulareintersti iale difuze bilateral cu pierdere minimă de volumț ț la un pacient tânăr HIV pozitiv
  • 103.
    ABCESUL PULMONAR - Esteo leziune supurativă cavitară a parenchimului pulmonar secundar unei infec ii bacteriene (stafilococ,ț streptococ, pneumococ) - Poate fi primitiv (parenechim pulmonar normal) sau secundar (suprainfec ia unor leziuni preexistente – chistț aerian, cancer excavat, sechestra ie pulmonară)ț
  • 104.
    Aspecte radiologice: Stadiul deconstituire – opacitate cu aspect de pneumonie lobară Stadiul de supura ieț – opacitate pneumonică de intensitate crescută în zona necrozată sau opacitate rotundă cu contur imprecis delimitat, omogenă, de intensitate medie Stadiul de abces post vomică – imagine hidroaerică cu nivel orizontal, rotundă sau ovalară cu axul mare vertical
  • 105.
    abces pulmonar lanivelul lobului superior stâng Radiografie toracică inciden ă PAț i profilș
  • 106.
    CT torace (abces pulmonarcavitar la nivelul lobului superior stâng)
  • 107.
    TUBERCULOZA - Tuberculoza primarăreprezintă primoinfec ia cuț Mycobacterium tuberculosis. - Tuberculoza secundară este o reactivare a primoinfec iei sau oț continuare a acesteia. Radiologic tuberculoza este reprezentată de: 1. consolidare 2. adenopatie 3. revărsat pleural
  • 108.
    Caracteristicile radiologice aletuberculozei post-primare sunt: - cavita ieț - fibroză - calcificare nodală - pete de material cazeos Acestea se gasesc cel mai frecvent în segmentele posterioare ale lobilor superiori i în segmentele superioare ale lobilorș inferiori Tuberculoza endobron ică implică peretele unei bronhiiș majore, printre complica ii numărându-se stenoza cicatricealăț i obstruc ia.ș ț
  • 109.
    Rx toracică incidenă PA a unui vechiț pacient cu TB. (se observă fibroza, cavita ie i calcificare, înț ș special la nivelul lobului superior stâng )
  • 110.
  • 111.
    Stria ii linerareparenchimatoase extinse la ambele apexuri,ț asociate cu retrac ia ambelor hiluri, elemente caracteristiceț fibrozei bilaterale a lobilor superiori
  • 112.
    Tuberculoză miliară –multipli noduli mici disemina i pe toatăț suprafa a ambilor plămâniț
  • 113.
    Rx. toracică PA,opacită iț alveolare bilaterale neuniforme cu zone de cavita ie în lobiiț superiori Acelasi pacient, 9 luni mai târziu, opacită i lineare i sub iereaț ș ț peretelui cavernei datorită procesului de vindecare
  • 114.
    (infiltrate i cavernebilaterale ale lobilorș superiori) Rx. toracică, inciden ă PAț
  • 115.
    Rx. torace, incidenă PAț (leziune cavitară la nivelul lobului superior drept inconjurată de o arie de consolidare parenchimatoasă heterogenă, la un pacient cunoscut cu TB)
  • 116.
    Tuberculoză miliară (- multipleopacită i nodulare punctiforme la nivelul ambelorț arii pulmonare - arie focală de consolidare la nivelul lobului mijlociu drept)
  • 117.
    CT torace –Tuberculozămiliară (- multiple opacită i nodulare punctiforme la nivelulț ambelor arii pulmonare - arii de consolidare pulmonară)
  • 118.
    HEMORAGIA PULMONARĂ are aspectasemănător pneumoniei, edemului pulmonar, afec iuni laț care sunt prezente opacită i, adesea înso ite de bronhograme aerice.ț ț este cauzată de: - traumatisme; - afec iuni hemoragipare;ț - altitudine mare; - stenoza mitrală. sângele pătrunde în bronhii i în cele din urmă ajunge în alveole;ș se remarcă prin faptul că poate disparea mult mai repede decât alte desită i alveolare cum ar fi pneumonia.ț
  • 119.
    - hemoragie lanivelul lobului drept superior - de remarcat revarsatul pericardic consistent în hemitoracele stâng. Radiografie toracică PA i profilș
  • 120.
    EMBOLISMUL PULMONAR - sursaprimară sunt trombii din venele profunde ale membrelor inferioare; - aproximativ 10% din embolismele pulmonare devin infarcte pulmonare, însă mul i pacien i mor din cauza embolismului pulmonar,ț ț fară ca acesta să fie diagnosticat; - scopul principal al unei radiografii toracice în cazurile suspecte de embolism pulmonar este de a elimina alte diagnostice ca i cauză aș dispneei sau hipoxiei; - majoritatea radiografiilor pulmonare efectuate pacientilor cu EP sunt normale.
  • 121.
    Semne a prezenei embolismului pulmonar sunt:ț - semnul Westermark (oligemie in zona afectata); - dimensiune crescuta a unui hil (cauzată de coliziunea trombilor); - atelectazie cu ascensionarea hemidiafragmului sau densită i lineare ori în forma de disc;ț - revărsat pleural; - consolidare; - semnul Hampton (opacitate rotunda).
  • 122.
    - în cazulinfarctelor pulmonare, principala trasatura radiologică este consolidarea multifocala la baza pleurei din zona inferioara a plămânilor. - alte cateva metode importante sunt utilizate în investigarea unui posibil embolism pulmonar. Aceste sunt: ultrasonografia venoasă, scintigrafie ventila ie/perfuzie, arteriogramaț pulmonara i angiograma CT (CTA).ș - daca radiografia unui pacient cu hipoxie este normala trebuie luat in considerare EP
  • 123.
    Semnul Hampton (opacitatebine delimintată la nivelul lobului inferior stâng) la pacientii cu embolie
  • 124.
    Semnul Westermark (o mare parte a hemitoracelui drept este hipodensă datorită oligemiei secundar vasocontric iei distal de un tromb)ț
  • 125.
    CT torace (tromb pulmonarde dimensiuni mari)
  • 126.
    CT torace defect marede umplere (sageată) reprezentând trombi la nivelul arterelor pulmonare principale
  • 127.
    REVĂRSATUL PLEURAL Cauzele obinuite de revărsat pleural sunt:ș - insuficien ă cardiacă congestică;ț - infec ii (parapneumonice);ț - traumatisme; - tumori; - boli autoimune; - insuficien ă renală.ț
  • 128.
    - Pe oradiografie cu pacientul în pozi ie verticală, un revărsat vaț cauza rotunjirea laterala a sinusului costofrenic, iar dacă este în cantitate mare se extinde si posterior; - Uneori, are loc o depresiune a hemidiafragmului implicat; - Pentru a detecta un revărsat este necesar aproximativ 200ml de fluid pe radiografia de inciden a PA i aproximativ 75ml fluid pe cea deț ș profil; - Revărsatele mari, în special cele unilaterale, sunt mult mai probabil cauzate de un proces malign decât cele mici.
  • 129.
    - Pe radiografiaexecutata in pozitie dorsală, un revărsat pleural va apărea ca o opacitate gradată, mai densa catre bază. Vasele pot fi văzute de obicei prin opacitatea revărsatului pleural. De asemenea, revărsatul pleural poate acoperi esutul pulmonar, îngro a scizurile, iar daca este inț ș cantitate mare poate acoperi cu lichid apexul. - O radiografie realizata in decubit lateral poate fi utilă pentru a confirma un revarsat pleural la pacientii intui i la pat, lichidul acumulându-se deț ț partea afectată (cu excep ia pleureziei inchistate).ț
  • 130.
    ( revărsat pleuralbilateral, se observă pensarea unghiurilor costofrenice) Radiografie toracică PA i profilș
  • 131.
    (revărsat pleural lanivelul hemitoracelui drept) Radiografie toracică PA
  • 132.
    Imagini CT( încea din stânga se observa un revărsat pleural in cantitate mare infectat – empiem; în compara ie cu un abcesț intrapulmonar în cea din dreapta)
  • 133.
    Radiografie toracică PA -revărsat pleural inchistat la nivelul hemitoracelui drept; - se observă marginea medială ascu ită, bine definită i o margineț ș laterală indistinctibilă)
  • 134.
    ( se observădouă opacită i bine definite la nivelul lobuluiț mijlociu si inferior drept, ce reprezintă o pleurezie inchistata la nivelul scizurilor orizontală i oblică a plamanului drept)ș Radiografie inciden ă PA i profilț ș
  • 135.
    (lichidul pleural, deobicei, se prezintă ca o creştere a densităţii în hemitoracele afectat) Radiografie inciden ă PA în decubit dorsalț
  • 136.
    Reprezintă pătrunderea aeruluila nivelul cavită ii pleuraleț Pneumotoraxul spontan apare în afara oricărui traumatism, unele din cauze fiind: - Astmul - BPOC - Infectiile pulmonare - Neoplasmul - Sdr. Marfan - consumul de cocaină Cele mai frecvente cauze de pneumotorax sunt cele iatrogene cauzate în timpul opera iilor chirurgicale sau a cateterizării venoase (jugulare sauț subclavii). PNEUMOTORAXUL
  • 137.
    Traumatismele, precum accidentelerutiere, sunt de asemnea o cauză importantă; În pneumotoraxul sub tensiune, aerul care pătrunde in cavitatea pleurală este blocat în timpul expirului printr-un mecanism de tip supapă (pneumotorax cu supapă); acest lucru duce la acumularea aerului i implicit la cre terea presiunii intratoracice,ș ș până la colapsul plămânului i deplasarea mediastinului de parteaș opusă; dacă continuă, poate fi compromisă întoarcerea venoasă a cordului i chiar moartea.ș
  • 138.
     Pe radiografiatoracica, în pneumotorax, apare o hipertransparen ă fără desen pulmonar, cu colabareaț plămânului care este net conturat de o linie fină ce reprezintă pleura viscerală;  Cel mai probabil aceste semne se văd la nivelul apexurilor;  Pneumotoraxul este cel mai bine pus in eviden ă pe radiografiaț efectuată în expir;  Este mai greu de depistat pe radiografiile executate in decubit dorsal, deoarece aerul se ridică la nivelul par ii medii aț plămânului, acest lucru putând fi văzut ca o hipertransparen ăț de-a lungul mediastinului;
  • 139.
     Hidropneumotoraxul reprezintăprezen a aerului si aț fluidului la nivelul cavită ii pleurale; este caracterizatț de o imagine hidro-aerică pe o radiografie in decubit dorsal sau verticala, la un pacient cu pneumotorax  Cateva din cauzele hidropneumotoraxului sunt: - traumatisme; - toracenteza; - interven ii chirurgicale;ț - ruptură de esofag; - emfizem
  • 140.
    Pneumotorax sub tensiune drept,se observă o transparen ă de-aț lungul par ii drepte aț mediastinului iș deplasarea acestuia spre stânga.
  • 141.
    În imagine seobservă un pneumotorax pe o radiografie executată în decubit dorsal, de remarcat pozi iaț medială a aerului.
  • 142.
    (pneumotorax sub tensiunecu deplasarea mediastinului spre dreapta) Rx torace, inciden ă PAț
  • 143.
    În cele treiradiografii se poate observa un hidropneumotorax in 3 incidente diferite (decubit lateral drept, PA i profil).ș Se observă o imagine hidro-aerică la nivelul hemitoracelui drept
  • 144.
    (pneumotorax spontan secundarla un pacient cu fibroză chistică, se observă un hidropneumotorax drept cu bron iectazii chistice bilaterale)ș Radiografie toracică, înciden ă PAț
  • 145.
    FIBROZA PULMONARĂ INTERSTI IALĂȚ Fibrozapulmonară intersi ială difuză are multiple cauze, cele maiț frecvente fiind: - idiopatice (>50%) - boli vasculare de colagen - agen i citotoxici i nitrofurantoinț ș - pneumoconioze - radia iiț - sarcoidoza
  • 146.
    - Din punctde vedere clinic pacien ii se prezintă cuț dispnee progresivă de efort i tuse neproductivă;ș - Radiologic, fibroza pulmonara intersti ială este asociatăț cu opacită i în ”sticlă mată” în stadiile incipiente, urmândț ca apoi să apară pierderea volumului cu opacită i liniareț bilaterale i plămânul în ”fagure de miere”ș - Dacă nu este efectuat un transplant de plămân, prognosticul este nefavorabil, datorită insuficien eiț pulmonare care apare în 3-6 ani de la diagnostic.
  • 147.
  • 148.
    (plămâni mic orai de volum cu opacită iș ț ț reticulare bilaterale) Rx torace, PA - Fibroza pulmonară idiopatică.
  • 149.
    CT torace - fibrozapulmonară în ”fagure de miere„ (săge i)ț - bron iectazii (săgeată punctată)ș
  • 150.
    - pierdere devolum a hemitoracelui drept datorită lobectomiei lobului mijlociu iș inferior drept; - infiltratele din zona superioară sunt datorită fibrozei postiradiere iar marginea ascu ită delimitează limiteleț plămânului protejat în timpul radioterapiei. Fibroza pulmonară postiradiere a lobului drept superior
  • 151.
    EMFIZEMUL PULMONAR - Emfizemulpresupune o pierdere a reculului elastic al plămânului cu distruc ia patului capilar i a septurilorț ș alveolare; Cel mai des este cauzat de către fumat i mai rar de cătreș deficitul de α1 antitripsină; - Dintre caracteristicile func ionale amintim scăredeaț VEMS-ului i a capacită ii de difuziune;ș ț
  • 152.
    - Hiperinfla iai bula de emfizem sunt cei mai buni predictoriț ș radiologici ai emfizemului; -Semnele radiologice sunt slab corelate cu testele func ionaleț pulmonare; - De obicei, pe radiografia toracică, se observă hiperinfla ieț difuză cu aplatizarea diafragmelor, spa iul retrosternal mărit,ț bula de emfizem (hipertransparen ă cu pere i foarte sub iriț ț ț -0,5mm- rotundă sau ovalară i contur net, regulat), dilatareaș arterei pulmonare i hipertrofia ventriculului drept (datorităș hipoxiei cronice) cunoscute sub denumirea de cord pulmonar;
  • 153.
    Radiografie toracică incidenă PA i profil – Emfizem pulmonar,ț ș (aplatizarea diafragmelor si o hiperinfla ie semnificativă demonstrată prinț vizualizarea celui de-al 11-lea rând de coaste posterioare)
  • 154.
    Rx. toracică incidenă PAț – bulă de emfizem (arie mare, hipodensă, ce ocupă o mare parte a plămânului drept iș compresează parenchimul pulmonar adiacent)
  • 155.
    TRAUMATISME – FRACTURILE COSTALE •Fracturile costale se prezintă sub forma unei discontinuită i aț conturului coastei, linia de fractură putând fi vizibilă; • O fractură costală poate să nu fie vizibilă pe o radiografie toracică; ele pot apărea pe radiografiile toracice efectuate pentru evaluarea unui pneumotorax; • În mod obi nuit pentru evaluarea coastelor, se examinează maiș întâi arcurile posterioare, apoi cele anterioare, terminând prin examinarea por iunilor laterale a fiecărei coaste; dacă se observă oț anomalie se va examina coasta în ansamblul ei;
  • 156.
    • Fracturile lanivelul primelor 3 coaste sunt asociate cu un risc crescut de injurie a aortei datorită for eiț excesive necesară producerii acestora; • Fracturile ultimelor 3 coaste pot fi asociate cu leziuni ale ficatului i splinei;ș • Fracturile multiple bilaterale în diverse stadii de vindecare sunt asociate la copii cu abuzul acestora.
  • 157.
    Radiografie toracică, incidenăț PA (multiple fracturi costale stângi)
  • 158.
    MASE MEDIASTINALE ANTERIOARE Maselemediastinale anterioare sunt date de:  limfadenopatii;  tumori ale timusului;  teratoame;  masă tiroidiană;  anevrism de aortă;  chist pericardic;  grăsime epicardică. De obicei, pentru diagnosticul de certitudine este necesar un CT sau o aspira ie pe ac fin;ț
  • 159.
  • 160.
    Radiografie toracică, incidenă PA i profilț ș (de observat faptul că hilul se poate vedea prin transparen a masei, fapt ce arată ca masa nu este hilarăț ) Pe profil nu se vede nimic patologic posterior de aceasta.
  • 161.
    Sec iuniț CTtorace (masă situată în mediastinul anterior (la nivelul săge ilor) la nivelul aortei pulmonare – timomț )
  • 162.
    Radiografie toracică, inciden ăPA, Timomț malign - masă mediastinală stângă superioară de mari dimensiuni cu multiple mase pleurale drepte, încadrând hemitoracele drept; - masele pleurale multiple sunt caracteristice timoamelor maligne.
  • 163.
    Masă mediastinală anterioară- limfom - în radiografia toracica PA se observă o masă adiacentă marginii stângi a codului; de asemnea exsistă i o hiperinfla ie a ambelor câmpuriș ț pulmonare, sugerând o obstruc ie a căilor aeriene.ț - marginea dreptă a cordului este obscură, indicând o masă mediastinală anterioară - CT-ul toracic confirmă faptul că exsistă o masă în mediastinul anterior care compresează traheea inferioară, bronhia principală i arteraș
  • 164.
    MASE MEDIASTINALE MIJLOCII Cauza principalaa maselor mediastinale mijlocii este limfadenopatia datorată metastazelor sau tumorii primare; Alte cauze includ: - hernia hiatală; - anevrismul aortic; - masă tiroidiană; - chistul de duplica ie;ț - chistul bronhogenic.
  • 165.
    (masă deasupra arculuiaortic, situată posterior de aortă, dar suprapusă peste marginea superioară a aortei) Radiografie toracica PA i profilș
  • 166.
    Radiografie toracica PAi profil,ș aortografie – anevrism aortic
  • 167.
    Radiografie toracica PA (opacitatecu nivel hidro-aeric la nivelul mediastinului inferior; este caracteristica herniei hiatale datorită pozi iei sale pe linia mediană cuț stomacul care herniază prin hiatusul esofagian; de asemenea, camera cu aer a stomacului nu se observă la locul usual)
  • 168.
    MASE MEDIASTINALE POSTERIOARE Diagnosticul diferenial include:ț  neoplasmul;  limfadenopatia;  anevrismul aortic;  mase adiacente pleurei sau plămânului;  chistul neuro-enteric sau menigocelul lateral;  hematopoieza extramedulară.
  • 169.
    MASE MEDIASTINALE POSTERIOARE Radiografie toracicăPA - masă la nivelul marginii pleurale supero-mediale a plămânului drept; - mediastinul anterior se termină la nivelul claviculelor; - orice anomalie la nivelul apexului toracelui este situată cel mai probabil posterior.
  • 170.
    - Proiec iamasei este mai sus deț claviculă, prin urmare, nu este o structură anterioară; - RMN-ul arată că masa este extrapleurală i asociată cu nerviiș spinali; - Este un schwanom, o tumoră benignă a tecii nervului.
  • 171.
    REVĂRSATUL PERICARDIC - Revărsatulpericardic produce o lărgire a siluetei cardiace care este adesea de formă globulară (diametrul transvers dispropor ional crescut).ț - Radiografiile seriate pot fi utile diagnosticului în special când sunt observate schimbări rapide ale mărimii siluetei cardiace; - Sunt necesari aproximativ 400-500ml de lichid pericardic pentru a fi detectată o schimbare a mărimii siluetei cordului pe o radiografie toracică PA; - Diagnosticul de certitudine poate fi pus de ecocardiografie sau CT
  • 172.
    Radiografie toracică PAla un pacient cu revărsat pericardic.  
  • 173.
    Radiografie toracică, profili detaliuș (revărsat pericardic, se observă grăsimea mediastinală anterioară (săge ileț albastre) i grăsime epicardică (săge ile ro ii) separate de o bandă de esutș ț ș ț moale)
  • 174.
    PNEUMOMEDIASTINUL În pneumomedistin găsim:hipertransparen ă lineară verticală,ț de-a lungul mediastinului care se extinde i la nivelul gâtului iș ș ascensionarea pleurei parietale de-a lungul limitelor mediastinului Cauzele comune de pneumomediastin includ:  astmul;  interven iile chirurgicale (complica iiț ț postoperatorii);  lezarea traumatica a arborelui traheobron ic;ș  schimbări bru te a presiunii intratoracice (vomă,ș tuse, parturi ie);ț  ruptura de esofag;  barotrauma. Pneumomediastinul trebuie diferen iat de pneumopericard iț ș
  • 175.
    (se observa prezena aerului la nivelul mediastinului i esutuluiț ș ț subcutanat din zona gâtului; aerul mediastinal poate proveni de la pierderea integrita ii plămânului, căilor aeriene principale sauț a esofagului) Radiografie toracică PA
  • 176.
    CT toracic -prezen a aerului în mediastin (săge ile ro ii)ț ț ș i emfizem subcutanat (săge ile galbene).ș ț
  • 177.
    HERNIA DIAFRAGMATICĂ Pe radiografia toracicăse pot observa trei tipuri de hernie diafragmatică: 1.hernia hiatală – în care stomacul alunecă prin hiatusul esofagian în torace; 2.hernia Bochdalek care apare datorită unei slăbiri a diafragmului i de obicei este pe partea stângă i posteriorș ș ; 3.hernia Morgagni care apare median;
  • 178.
    (hernie hiatală, seobervă o imagine hidroaerică posterior de cord) Radiografie toracică PA
  • 179.
    ADENOPATIA HILARĂ Marirea ganglionilorlimfatici din hilul pulmonar poate fi o descoperire importantă care stă la baza unei patologii. Diagnosticul diferen ial etiologic poate fi împăr it în 3ț ț categorii diferite:
  • 180.
    ADENOPATIA HILARĂ În imaginilede mai jos, în cea din stânga se poate observa conturul bine delimitat, regulat, caracteristic măririi arterelor pulmonare; în dreapta se observa multiple opacită i neregulate, caracteristiceț adenopatii hilare.
  • 181.
    CANCERUL PULMONAR - Tipulde celulă a tumorii maligne primare pulmonare poate fi adesea deosebit prin modelul de cre tere, aspect i loca ie.ș ș ț - Referitor la decesele provocate de cancer, cel pulmonar cauzează cele mai multe decese în lume decât orice alt tip de cancer. - Cea mai folosita stadializare în cancerului pulmonar, altul decat cel cu celule mici, este stadializarea TNM - Cea mai bună ansă de vindecare o are rezec ia tumorii; totu i,ș ț ș s-a constatat că nu to i pacien ii cu cancer pulmonar au beneficiiț ț de pe urma chirurgiei datorită comorbidita ilor asociate precumț emfizemul sau bolile cardiovasculare.
  • 182.
    CANCERUL PULMONAR Cancerele pulmonaresunt nerezecabile odată ce au progresat către unul din urmatoarele stadii TNM: T4 – invazia mediastinului, cordului, vaselor mari, traheei, esofagului, corpilor vertebrali sau carinei; asocierea cu pleurezia sau pericardita malignă; prezen a nodulilor tumoraliț sateli i în acela i lob cu tumora primară.ț ș N3 – metastaeze ganglionare mediastinale sau hilare controlaterale, sau afectarea homolaterală sau controlaterală a ganglionilor limfatici scaleni sau supraclaviculari. M1 – metastaze la distan ă prezenteț
  • 183.
    CT toracic –aspectul spiculat a unui cancer pulmonar  
  • 184.
    Cele ase tipuriprincipale de carcinoame pulmonare cu aspectș tipic sunt: o adenocarcinomul – (35-50%) periferic, cu inciden a mare deț metastazare timpurie o cu celule scuamoase – (30%) central, cu implicare hilară, cavitația este obi nuită,ș cre tere lentăș o cu celule mici - (15-20%) central, cavitația este rară, adesea trăsătura dominantă este prezen a maselor mediastinale i hilare, cre tere rapidăț ș ș i metastazare precoce.ș
  • 185.
    ocu celule mari– (10-15%) periferic, dimensiuni mari, cavitația este prezentă obronhoveolar – (3%) periferic, aspect rotunjit, infiltrat asemănător celui din pneumonie (bronhograme aerice), ocazional multifocal ocarcinoid – (mai pu in deț 1%) tipic se prezintă sub forma unei leziuni endobron ice bine definită;ș metastazele ganglionare ale ficatului si creierului se pot intensifica dens.
  • 186.
    Radiografie toracică PA -carcinom cu celule scuamoase la nivelul lobului inferior drept - se observă cavita ia,ț caracteristică acestui tip de cancer.
  • 187.
    (opacitate densă lanivelul lobului superior stâng asociată cu distruc ia coastelorț anterioare stângi doi i treiș ) Radiografie toracică PA – carcinom
  • 188.
    Radiografie toracică PAi CT toracicș ope radiografie se observă multipli noduli pulmonari, bilaterali, de mărimi diferite, care se vad mai bine pe CT oacest aspect este tipic metastazelor pulmonare opredominan a bazală a nodulilor este datorită vasculariza iei mai bogate aț ț bazelor plămânilor ometastazele pulmonare pot fi secundare cancerului de sân, colon, rect iș rinichi
  • 189.
    BIBLIOGRAFIE oRakesh R. Misra,Andrew Planner, Mangerira C. Uthappa - A–Z of Chest Radiology , Ed. Cambridge University Press, 2007; oPhilip Eng, Foong-Koon Cheah - Interpreting chest X-rays, Ed. Cambridge University Press, 2005; oHarjit Singh, Janet A Neutze - Radiology Fundamentals, Ed. Springer, 2012; ohttp://www.med-ed.virginia.edu/courses/rad/cxr/index.html