• Physiological And Molecular
Aspects Of Salinity Stress
Tolerance In Crop Plants
Zuby Gohar Ansari
TAM/14-26
Course Title : Master Seminar
Course in charge : Dr. V. Raja Rajeswari
Chairperson : Dr. G. Rama Rao
INDEX
1. Introduction (salinity)
2. State wise salt affected areas and distribution
3. Causes of soil salinity
4. Health and quality of salt affected soil
5. Salinity stress effect on crop growth and development
6. Salinity stress tolerance
7. Success stories
8. Losses due to soil salinity
9. How to mitigate salt stress
10. Newly developed varieties for some crops.
SALINITY
• Soil salinity is an issue of global importance causing
many socio-economic problems. It also results in losses
of (806.4 billion rupees) per year to agriculture.
• Salinity: It is caused due to high accumulation of
Calcium, Magnesium as well as sodium and then anions
such as SO4
-2, NO3
-, CO3
-2 and HCO3
-, Cl-, etc.
• Excess salt in the soil, reduces the water potential of
the soil and making the soil solution unavailable to the
plants (physiological drought).
Saline and sodic soils
• Saline soil is soil containing sufficient soluble salt to
adversely affect the growth of most crop plants with a
lower limit of electrical conductivity of the saturated
extract (ECe) being 4 deci Siemens / meter (dS/m),
which is equivalent to a value of 4 mmhos/cm.
• Sodicity is a term given to the amount of sodium held in
a soil. Sodium is a cation (positive ion) that is held
loosely on clay particles in soil. It is one of many types
of cations that are bound to clay particles. Other types
bound to clay particles include calcium, magnesium,
potassium and hydrogen.
State Wise Salt Affected Soils In India
Source: CSSRI 2010
Distribution Of Salt Affected Soils In Relation
To Ranges Of Rainfall
Source: CSSRI 2010
Causes for soil salinity
Salt stress mainly occurs due to two factors
1. Irrigation water
2. Types of soil
• The present trend of degradation continued, the
projections are that India will have 11.7 M ha area
affected by soil salinity and alkalinity. (2025)
• About 25 per cent of the ground water resources are
saline and sodic and as such are not suitable for
irrigation of field crops.
Percentage use of poor quality water in
different states
• Health and quality of salt affected soils:
• High concentration of salts reduces the productivity
of nearly 6.73 Mha in India.
• Continuous use poor quality of water for irrigation
increase the problem of salinity and sodicity in India.
• The projections indicate that the country will have
11.7 m ha area affected by salinity and sodicity by
2025.
• From reclamation and management point of view, the
salt affected soils in India are broadly placed into two
categories; 1) alkali soils and
2) saline soils.
• The alkali soils having high soil pH (upto 10.8), high
exchangeable sodium percent (ESP) up to 90, low
organic carbon, poor infiltration and poor fertility
status.
• On the other hand, the saline soils have higher
electrical conductivity (> 4 dS/m) , low ESP «15%)
and low pH «8.5).
Salinity stress effects on crop
growth and development
Transport and regulation of salt in soil plant
system
Effect of salt stress on crop growth and
development
Two Phase ModelEffect Of High Salt On
Plants
Physiological Effects
On growth
• Decreased rate of leaf growth after an increase in soil
salinity is primarily due to the osmotic effect of the
salt around the roots.
• Increase in soil salinity causes leaf cells to loose
water.
• Reductions in cell elongation and also cell division
lead to slower leaf appearance and smaller final size
Germination
Seed germination in saline condition is affected by three
ways.
• Increased osmotic pressure of the soil solution which
restricts the absorption and entry of water into the seeds.
• Certain salt constituents are toxic to the embryo and
seedlings. Anions like CO3
-2, NO3
-
, Cl
-
, SO4
-2are more
harmful to seed germination.
• Salt stress hampers the metabolism of stored materials.
Vegetative growth
• During vegetative stage, salt induced water stress causes
closure of stomata leads to reduction in CO2
assimilation and transpiration.
• Reduced turgor potential affects the leaf expansion.
• Because of reduction in leaf area, light interception is
reduced, photosynthetic rate is affected which coupled
with spurt in respiration, resulting into reduced biomass
accumulation.
Photosynthesis
• Accumulation of high concentration of Na+ and Cl- in
chloroplast, photosynthesis is inhibited.
• Since photosynthetic electron transport appears
relatively insensitive to salts, either carbon
metabolism or photophosphorylation may be
affected.
• Photosynthetic enzyme or the enzymes responsible
for carbon assimilation are very sensitive to the
presence of NaCl.
• Nitrogen Metabolism
• The key enzyme, nitrate reductase is very sensitive to
NaCl .
• One of the amino acids, glycinebetaine shows increased
trend with increase in salinity in perennial halophytes
and Atriplex sps.
• Proline is an αamino acid, accumulates in large
amounts as compared to all other amino acids in salt
stressed plants.
Reproductive growth and yield
• Under salt stress condition, the onset of flowering is
delayed due to the limitations of source size.
• The quantum of reproductive structure such as number of
flowers / panicle is very much reduced.
• This disturbance in the normal metabolism affects the
mobility of metabolites.
• Due to imbalance of nutrients under salt stress, hormone
synthesis is hampered leads to reduction in quantity as
well as quality of crop produce.
Oxidative stress
• Due to increase in salinity stress, photosynthetic rate
decreases which increases the formation of reactive
oxygen species (ROS), and increases the activity of
enzymes that detoxify these species.
• Plants undergo adjustments in leaf morphology,
chloroplast pigment composition, and in the activity of
biochemical processes that prevent oxidative damage to
photosystems.
• This maintains H2O2at levels required for cell signalling.
Genes that regulate salt stress
Effect of salinity stress on morpho-physiological, biochemical
and yield characters of cluster bean [Cyamopsis
tetragonoloba (L.) Taub.]
Deepika et al. 2014 Indian Journal of Plant Physiology (October–December ) 19(4):393–398
Salinity stress tolerance
CROPADAPTATIONS TO SALT STRESS
Based on the responses to high concentration of salts,
plants can be divided into two broad groups.
1)Halophytes
2) Glycophytes
Halophyte ( salt tolerant crops)
They are native to saline soils.
Glycophytes (Literally "sweet plants") Non halophytes
They are sensitive plants and unable to grow under saline
conditions. Most of the cultivated crop species belong to
glycophytes.
Physiological aspects of salinity
tolerance
Mechanisms of salinity tolerance
The mechanisms of salinity tolerance fall into three
categories
1.Tolerance to osmotic stress. The osmotic stress
immediately reduces cell expansion in root tips and
young leaves, and causes stomatal closure.
A reduced response to the osmotic stress would result in
greater leaf growth and stomatal conductance, but the
resulting increased leaf area would benefit only plants
that have sufficient soil water.
Greater leaf area expansion would be productive when a
supply of water is ensured such as in irrigated food
production systems, but could be undesirable in water-
limited systems, and cause the soil water to be used up
before the grain is fully matured.
2. Avoidance
Avoidance is the process of keeping the salt ions away from the
parts of the plant where they are harmful.
Salt exclusion
The ability to exclude salts occurs through filtration at the surface
of the root. Root membranes prevent salt from entering while
allowing the water to pass through. The red mangrove is an
example of a salt-excluding species.
Salt excretion/extrusion
Salt excreters remove salt through glands or bladders or cuticle
located on each leaf.
Salt bladders - e.g.) Atriplex , Mesembryanthemum crystallinum L.
Salt glands - active process, selective for sodium and
chloride(e.g.) Black and white mangroves
Secretion through cuticle – e.g.) Tamarix
Salt glands- dump sites for the excess salt absorbed in water from
the soil; help plants adapt to life in saline environments.
Salt Dilution
By dilution of ions in the tissue of the plant by
maintaining succulence. Plants achieve this by
increasing their storage volume by developing thick,
fleshy, succulent structures Succulence is mainly a
result of vacuoles of mesophyll cells filling with water
and increasing in size. This mechanism is limited by
the dilution capacity of plant tissues.
Compartmentation of ions
Organ level - high salts only in roots compared to
shoots especially leaves .At cellular level- high salts
in vacuoles than cytoplasm thus protecting enzymes
3. Tissue tolerance, i.e., tolerance of tissue to
accumulated Na+, or in some species, to Cl-.
Tolerance requires compartmentalization of Na+ and Cl-
at the cellular and intracellular level to avoid toxic
concentrations within the cytoplasm, especially in
mesophyll cells in the leaf.
Toxicity occurs with time, Na+ increases to high
concentrations in the older leaves.
Mitigation Salinity Stress Effects on Barley (Hordeum vulgare
L.) Growth, Yield and Some Physiological Aspects by Hemin
Monem A.A .et al. 2013 Journal of Applied Sciences Research, 9(3): 2411-2421,
Effect of salt stress on osmolyte accumulation in two
groundnut cultivars (Arachis hypogaea L.) with
contrasting salt tolerance
Ranganayakulu G. S. et al. 2013 African Journal of Plant Science Vol. 7(12), pp. 586-592,
December 2013
Enhanced salt tolerance in maize plants induced by H2O2 leaf
spraying is associated with improved gas exchange rather than
with non-enzymatic antioxidant system
Franklin et al. 2013 Theoretical and Experimental Plant Physiology, 25(4): 251-260
Physiological Response to Salt (NaCl) Stress in Selected
Cultivated Tetraploid Cottons
SarahM. et al.2010 International Journal of Agronomy Volume 2010 : 1-12
Molecular aspects of salinity
tolerance
Source: journal.frontierin.org
Over expression of GmDREB1 improves salt tolerance
in transgenic wheat and leaf protein response to
high salinity
Qiyan et al. 2014 The Crop Journal 2 page 1 2 0 – 1 3 1
RSIR: Relative salt injury rate and SI: Salt injury index
Identification of Salt-responsive Biosynthesis Genes in Rice
via Microarray Analysis
Chang et al. 2013 Journal of rice research Vol 1 Isssue 1 page 1-6
Success stories
Studies on salinity stress tolerance in sugarcane varieties
Priyanka Saxena et al. 2010 Sugar Tech (2010) 12(1) : 59-63
KORGUT: a rice landrace from Goa, registered as Unique
Germplasm, for tolerance to salinity stress at seedling stage
Phenotyping for salt stress tolerance at seedling stage under hydroponics culture with
EC = 12 dSm-1, showed its tolerance (SES score 3) to salinity stress at seedling stage.
The tolerance of Korgut was associated with low ratio of Na+-K+ (0.18) in shoot as
compared to susceptible check variety IR-29 (0.68).
Integrated Impact of Sub-surface Drainage and Salt
Tolerant Crop Varieties: A Success Story
ECONOMIC, ENVIRONMENTALAND
SOCIAL LOSSES DUE TO SOIL SALINITY
Economic losses
• Productive land to become barren.
• Enhances “erosion” and loss of farm income
• Environmental losses
• Social losses
Mitigation of Salt Stress
• Foliar spray of 0.5 ppm brassinolide for increasing
photosynthetic activity
• Foliar spray of 2% DAP + 1% KCl (MOP) during
critical stages
• Spray of 40 ppm of NAA for arresting pre-mature fall of
flowers / buds / fruits
• Extra dose of nitrogen (25%) in excess of the
recommended
• Split application of N and K fertilizers
• Seed treatment + soil application + foliar spray of Pink
Pigmented Facultative Methnaotrops (PPFM) @ 106 as a
source of cytokinins
• Salt tolerant high yielding varieties developed:
• Rice – CSR-49, CSR 36, CSR 30 (basmati type),
CSR 27, CSR 23, CSR 13 and CSR 10
• Rice variety for coastal regions:- Butnath (CSRC(S)
5-2-2-5) and Sumati- CSRC-CSRC(S) 2-1-7
• Wheat :- KRL 213, KRL 210, KRL 19 and KRL 1-4
• Indian Mustard:- CS 56, CS 54
and CS52
• Chick pea (gram)- Karnal Chana 1
• Genotypes Registered as salt tolerant germplasms
• Dhaincha (sesbania)- CSD 137 and CSD-123
Varieties identified for salinity tolerance
Marker-assisted selection is a promising
breeding tool
• MAS is an approach that requires the linkage of a
quantitative trait with a genetic marker that is poly-
morphic between parental lines .
• Hence, the essential basis for successful breeding with
MAS is an in-depth knowledge of genetic traits and
variability within the desired plant species .
• One example is Saltol, a favorable QTL identified in rice
that is responsible for the bulk of genetic variation in ion
uptake under saline conditions .
Stress Tolerant Rice for Poor Farmers of Asia and South Asia
(Evaluation of Saltol introgressed rice lines
under coastal soil salinity condition)
(PI. Narendra Pratap Singh) ICAR-CCARI Annual Report 2014-2015
• SUMMARY POINTS
• 1. Plant responses to salinity occur in two phases: a rapid,
osmotic phase that inhibits growth of young leaves, and a
slower, ionic phase that accelerates senescence of mature
leaves.
• 2. Plant adaptations to salinity are of three distinct types:
osmotic stress tolerance; Na+ exclusion; and tissue
tolerance, i.e., tolerance of tissue to accumulated Na+,
and possibly Cl -.
• 3. The salt overly sensitive (SOS) signal transduction
pathway is clearly important in salinity tolerance,
although the mechanism of action at the whole plant level
remains to be established
• 4. Osmotic tolerance and tissue tolerance both
increase the ability to maintain growth for a given
accumulation of Na+ in the leaf tissue. Increased
osmotic tolerance is evident mainly by the increased
ability to continue production of new leaves, whereas
tissue tolerance is evident primarily by the increased
survival of older leaves.
• 5. Na+ sequestration and compatible solute synthesis
are important processes for tissue tolerance.
Mechanisms of osmotic tolerance remain unknown.
• 6. To benefit more from the new genomics
approaches, molecular studies with plants grown in
physiologically realistic conditions are needed.
• FUTURE ISSUES
• 1. Significant breakthroughs have been made on the
mechanisms and control of Na+ . Nevertheless, large
gaps remain in our knowledge of Na+ transport,
notably the control of phloem transport, the identity
of the genes encoding nonselective cation channels
responsible for the initial entry of Na+ into plants, and
the role of other solutes in salinity tolerance,
including K+ and Cl-.
• 2. Molecular processes that control Na+
compartmentalization in vacuoles have received
much attention, but other essential processes in tissue
tolerance of Na+ and Cl- and osmotic adjustment
remain relatively unknown.
• 3. Signaling pathways at the intracellular level have been
well described, but long distance signaling requires more
attention.
• 4. Forward genetic approaches will provide significant
breakthroughs in the coming years, and the use of
genomics to address fundamental questions regarding,
for example, the basis for the high tissue tolerance of
barley, will provide us with new dimensions of
understanding of salinity tolerance.
Salinity stress tolerance in plants master seminar

Salinity stress tolerance in plants master seminar

  • 2.
    • Physiological AndMolecular Aspects Of Salinity Stress Tolerance In Crop Plants Zuby Gohar Ansari TAM/14-26 Course Title : Master Seminar Course in charge : Dr. V. Raja Rajeswari Chairperson : Dr. G. Rama Rao
  • 3.
    INDEX 1. Introduction (salinity) 2.State wise salt affected areas and distribution 3. Causes of soil salinity 4. Health and quality of salt affected soil 5. Salinity stress effect on crop growth and development 6. Salinity stress tolerance 7. Success stories 8. Losses due to soil salinity 9. How to mitigate salt stress 10. Newly developed varieties for some crops.
  • 4.
    SALINITY • Soil salinityis an issue of global importance causing many socio-economic problems. It also results in losses of (806.4 billion rupees) per year to agriculture. • Salinity: It is caused due to high accumulation of Calcium, Magnesium as well as sodium and then anions such as SO4 -2, NO3 -, CO3 -2 and HCO3 -, Cl-, etc. • Excess salt in the soil, reduces the water potential of the soil and making the soil solution unavailable to the plants (physiological drought).
  • 5.
    Saline and sodicsoils • Saline soil is soil containing sufficient soluble salt to adversely affect the growth of most crop plants with a lower limit of electrical conductivity of the saturated extract (ECe) being 4 deci Siemens / meter (dS/m), which is equivalent to a value of 4 mmhos/cm. • Sodicity is a term given to the amount of sodium held in a soil. Sodium is a cation (positive ion) that is held loosely on clay particles in soil. It is one of many types of cations that are bound to clay particles. Other types bound to clay particles include calcium, magnesium, potassium and hydrogen.
  • 6.
    State Wise SaltAffected Soils In India Source: CSSRI 2010
  • 8.
    Distribution Of SaltAffected Soils In Relation To Ranges Of Rainfall Source: CSSRI 2010
  • 12.
    Causes for soilsalinity Salt stress mainly occurs due to two factors 1. Irrigation water 2. Types of soil • The present trend of degradation continued, the projections are that India will have 11.7 M ha area affected by soil salinity and alkalinity. (2025) • About 25 per cent of the ground water resources are saline and sodic and as such are not suitable for irrigation of field crops.
  • 13.
    Percentage use ofpoor quality water in different states
  • 14.
    • Health andquality of salt affected soils: • High concentration of salts reduces the productivity of nearly 6.73 Mha in India. • Continuous use poor quality of water for irrigation increase the problem of salinity and sodicity in India. • The projections indicate that the country will have 11.7 m ha area affected by salinity and sodicity by 2025.
  • 15.
    • From reclamationand management point of view, the salt affected soils in India are broadly placed into two categories; 1) alkali soils and 2) saline soils. • The alkali soils having high soil pH (upto 10.8), high exchangeable sodium percent (ESP) up to 90, low organic carbon, poor infiltration and poor fertility status. • On the other hand, the saline soils have higher electrical conductivity (> 4 dS/m) , low ESP «15%) and low pH «8.5).
  • 16.
    Salinity stress effectson crop growth and development
  • 17.
    Transport and regulationof salt in soil plant system
  • 18.
    Effect of saltstress on crop growth and development
  • 20.
    Two Phase ModelEffectOf High Salt On Plants
  • 21.
    Physiological Effects On growth •Decreased rate of leaf growth after an increase in soil salinity is primarily due to the osmotic effect of the salt around the roots. • Increase in soil salinity causes leaf cells to loose water. • Reductions in cell elongation and also cell division lead to slower leaf appearance and smaller final size
  • 22.
    Germination Seed germination insaline condition is affected by three ways. • Increased osmotic pressure of the soil solution which restricts the absorption and entry of water into the seeds. • Certain salt constituents are toxic to the embryo and seedlings. Anions like CO3 -2, NO3 - , Cl - , SO4 -2are more harmful to seed germination. • Salt stress hampers the metabolism of stored materials.
  • 23.
    Vegetative growth • Duringvegetative stage, salt induced water stress causes closure of stomata leads to reduction in CO2 assimilation and transpiration. • Reduced turgor potential affects the leaf expansion. • Because of reduction in leaf area, light interception is reduced, photosynthetic rate is affected which coupled with spurt in respiration, resulting into reduced biomass accumulation.
  • 24.
    Photosynthesis • Accumulation ofhigh concentration of Na+ and Cl- in chloroplast, photosynthesis is inhibited. • Since photosynthetic electron transport appears relatively insensitive to salts, either carbon metabolism or photophosphorylation may be affected. • Photosynthetic enzyme or the enzymes responsible for carbon assimilation are very sensitive to the presence of NaCl.
  • 25.
    • Nitrogen Metabolism •The key enzyme, nitrate reductase is very sensitive to NaCl . • One of the amino acids, glycinebetaine shows increased trend with increase in salinity in perennial halophytes and Atriplex sps. • Proline is an αamino acid, accumulates in large amounts as compared to all other amino acids in salt stressed plants.
  • 26.
    Reproductive growth andyield • Under salt stress condition, the onset of flowering is delayed due to the limitations of source size. • The quantum of reproductive structure such as number of flowers / panicle is very much reduced. • This disturbance in the normal metabolism affects the mobility of metabolites. • Due to imbalance of nutrients under salt stress, hormone synthesis is hampered leads to reduction in quantity as well as quality of crop produce.
  • 27.
    Oxidative stress • Dueto increase in salinity stress, photosynthetic rate decreases which increases the formation of reactive oxygen species (ROS), and increases the activity of enzymes that detoxify these species. • Plants undergo adjustments in leaf morphology, chloroplast pigment composition, and in the activity of biochemical processes that prevent oxidative damage to photosystems. • This maintains H2O2at levels required for cell signalling.
  • 28.
  • 29.
    Effect of salinitystress on morpho-physiological, biochemical and yield characters of cluster bean [Cyamopsis tetragonoloba (L.) Taub.] Deepika et al. 2014 Indian Journal of Plant Physiology (October–December ) 19(4):393–398
  • 32.
  • 34.
    CROPADAPTATIONS TO SALTSTRESS Based on the responses to high concentration of salts, plants can be divided into two broad groups. 1)Halophytes 2) Glycophytes Halophyte ( salt tolerant crops) They are native to saline soils. Glycophytes (Literally "sweet plants") Non halophytes They are sensitive plants and unable to grow under saline conditions. Most of the cultivated crop species belong to glycophytes.
  • 35.
    Physiological aspects ofsalinity tolerance
  • 36.
    Mechanisms of salinitytolerance The mechanisms of salinity tolerance fall into three categories 1.Tolerance to osmotic stress. The osmotic stress immediately reduces cell expansion in root tips and young leaves, and causes stomatal closure. A reduced response to the osmotic stress would result in greater leaf growth and stomatal conductance, but the resulting increased leaf area would benefit only plants that have sufficient soil water. Greater leaf area expansion would be productive when a supply of water is ensured such as in irrigated food production systems, but could be undesirable in water- limited systems, and cause the soil water to be used up before the grain is fully matured.
  • 38.
    2. Avoidance Avoidance isthe process of keeping the salt ions away from the parts of the plant where they are harmful. Salt exclusion The ability to exclude salts occurs through filtration at the surface of the root. Root membranes prevent salt from entering while allowing the water to pass through. The red mangrove is an example of a salt-excluding species. Salt excretion/extrusion Salt excreters remove salt through glands or bladders or cuticle located on each leaf. Salt bladders - e.g.) Atriplex , Mesembryanthemum crystallinum L. Salt glands - active process, selective for sodium and chloride(e.g.) Black and white mangroves Secretion through cuticle – e.g.) Tamarix Salt glands- dump sites for the excess salt absorbed in water from the soil; help plants adapt to life in saline environments.
  • 39.
    Salt Dilution By dilutionof ions in the tissue of the plant by maintaining succulence. Plants achieve this by increasing their storage volume by developing thick, fleshy, succulent structures Succulence is mainly a result of vacuoles of mesophyll cells filling with water and increasing in size. This mechanism is limited by the dilution capacity of plant tissues. Compartmentation of ions Organ level - high salts only in roots compared to shoots especially leaves .At cellular level- high salts in vacuoles than cytoplasm thus protecting enzymes
  • 40.
    3. Tissue tolerance,i.e., tolerance of tissue to accumulated Na+, or in some species, to Cl-. Tolerance requires compartmentalization of Na+ and Cl- at the cellular and intracellular level to avoid toxic concentrations within the cytoplasm, especially in mesophyll cells in the leaf. Toxicity occurs with time, Na+ increases to high concentrations in the older leaves.
  • 44.
    Mitigation Salinity StressEffects on Barley (Hordeum vulgare L.) Growth, Yield and Some Physiological Aspects by Hemin Monem A.A .et al. 2013 Journal of Applied Sciences Research, 9(3): 2411-2421,
  • 45.
    Effect of saltstress on osmolyte accumulation in two groundnut cultivars (Arachis hypogaea L.) with contrasting salt tolerance Ranganayakulu G. S. et al. 2013 African Journal of Plant Science Vol. 7(12), pp. 586-592, December 2013
  • 48.
    Enhanced salt tolerancein maize plants induced by H2O2 leaf spraying is associated with improved gas exchange rather than with non-enzymatic antioxidant system Franklin et al. 2013 Theoretical and Experimental Plant Physiology, 25(4): 251-260
  • 51.
    Physiological Response toSalt (NaCl) Stress in Selected Cultivated Tetraploid Cottons SarahM. et al.2010 International Journal of Agronomy Volume 2010 : 1-12
  • 55.
    Molecular aspects ofsalinity tolerance
  • 58.
  • 59.
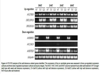
    Over expression ofGmDREB1 improves salt tolerance in transgenic wheat and leaf protein response to high salinity Qiyan et al. 2014 The Crop Journal 2 page 1 2 0 – 1 3 1 RSIR: Relative salt injury rate and SI: Salt injury index
  • 61.
    Identification of Salt-responsiveBiosynthesis Genes in Rice via Microarray Analysis Chang et al. 2013 Journal of rice research Vol 1 Isssue 1 page 1-6
  • 64.
  • 65.
    Studies on salinitystress tolerance in sugarcane varieties Priyanka Saxena et al. 2010 Sugar Tech (2010) 12(1) : 59-63
  • 66.
    KORGUT: a ricelandrace from Goa, registered as Unique Germplasm, for tolerance to salinity stress at seedling stage Phenotyping for salt stress tolerance at seedling stage under hydroponics culture with EC = 12 dSm-1, showed its tolerance (SES score 3) to salinity stress at seedling stage. The tolerance of Korgut was associated with low ratio of Na+-K+ (0.18) in shoot as compared to susceptible check variety IR-29 (0.68).
  • 67.
    Integrated Impact ofSub-surface Drainage and Salt Tolerant Crop Varieties: A Success Story
  • 68.
    ECONOMIC, ENVIRONMENTALAND SOCIAL LOSSESDUE TO SOIL SALINITY Economic losses • Productive land to become barren. • Enhances “erosion” and loss of farm income • Environmental losses • Social losses
  • 69.
    Mitigation of SaltStress • Foliar spray of 0.5 ppm brassinolide for increasing photosynthetic activity • Foliar spray of 2% DAP + 1% KCl (MOP) during critical stages • Spray of 40 ppm of NAA for arresting pre-mature fall of flowers / buds / fruits • Extra dose of nitrogen (25%) in excess of the recommended • Split application of N and K fertilizers • Seed treatment + soil application + foliar spray of Pink Pigmented Facultative Methnaotrops (PPFM) @ 106 as a source of cytokinins
  • 70.
    • Salt toleranthigh yielding varieties developed: • Rice – CSR-49, CSR 36, CSR 30 (basmati type), CSR 27, CSR 23, CSR 13 and CSR 10 • Rice variety for coastal regions:- Butnath (CSRC(S) 5-2-2-5) and Sumati- CSRC-CSRC(S) 2-1-7 • Wheat :- KRL 213, KRL 210, KRL 19 and KRL 1-4 • Indian Mustard:- CS 56, CS 54 and CS52 • Chick pea (gram)- Karnal Chana 1 • Genotypes Registered as salt tolerant germplasms • Dhaincha (sesbania)- CSD 137 and CSD-123 Varieties identified for salinity tolerance
  • 71.
    Marker-assisted selection isa promising breeding tool • MAS is an approach that requires the linkage of a quantitative trait with a genetic marker that is poly- morphic between parental lines . • Hence, the essential basis for successful breeding with MAS is an in-depth knowledge of genetic traits and variability within the desired plant species . • One example is Saltol, a favorable QTL identified in rice that is responsible for the bulk of genetic variation in ion uptake under saline conditions .
  • 72.
    Stress Tolerant Ricefor Poor Farmers of Asia and South Asia (Evaluation of Saltol introgressed rice lines under coastal soil salinity condition) (PI. Narendra Pratap Singh) ICAR-CCARI Annual Report 2014-2015
  • 73.
    • SUMMARY POINTS •1. Plant responses to salinity occur in two phases: a rapid, osmotic phase that inhibits growth of young leaves, and a slower, ionic phase that accelerates senescence of mature leaves. • 2. Plant adaptations to salinity are of three distinct types: osmotic stress tolerance; Na+ exclusion; and tissue tolerance, i.e., tolerance of tissue to accumulated Na+, and possibly Cl -. • 3. The salt overly sensitive (SOS) signal transduction pathway is clearly important in salinity tolerance, although the mechanism of action at the whole plant level remains to be established
  • 74.
    • 4. Osmotictolerance and tissue tolerance both increase the ability to maintain growth for a given accumulation of Na+ in the leaf tissue. Increased osmotic tolerance is evident mainly by the increased ability to continue production of new leaves, whereas tissue tolerance is evident primarily by the increased survival of older leaves. • 5. Na+ sequestration and compatible solute synthesis are important processes for tissue tolerance. Mechanisms of osmotic tolerance remain unknown. • 6. To benefit more from the new genomics approaches, molecular studies with plants grown in physiologically realistic conditions are needed.
  • 75.
    • FUTURE ISSUES •1. Significant breakthroughs have been made on the mechanisms and control of Na+ . Nevertheless, large gaps remain in our knowledge of Na+ transport, notably the control of phloem transport, the identity of the genes encoding nonselective cation channels responsible for the initial entry of Na+ into plants, and the role of other solutes in salinity tolerance, including K+ and Cl-. • 2. Molecular processes that control Na+ compartmentalization in vacuoles have received much attention, but other essential processes in tissue tolerance of Na+ and Cl- and osmotic adjustment remain relatively unknown.
  • 76.
    • 3. Signalingpathways at the intracellular level have been well described, but long distance signaling requires more attention. • 4. Forward genetic approaches will provide significant breakthroughs in the coming years, and the use of genomics to address fundamental questions regarding, for example, the basis for the high tissue tolerance of barley, will provide us with new dimensions of understanding of salinity tolerance.