Rift Valley Fever


         Dr.Tariq Mustafa Mohamed Ali,
   Department of Municipalities and Agriculture,
               Agriculture Sector,
          Veterinary Laboratory , Al Ain
Definition

 Rift Valley fever (RVF) is an arthropod-borne viral
  disease affecting wide variety of mammals .
 characterized by abortions among pregnant animals,
  high mortality in neonates, and hepatic necrosis.
 The Human beings are highly susceptible to the
  disease .
 The Disease Classified as an OIE List A disease
  (A080)
Geographic Distribution

 RVF has been recognised as an exclusive
    disease in African countries, with an
 underlying association with high rainfall and
  dense populations of vector mosquitoes.
History of the disease

 First described by Daubny in 1931 in Rift
  valley area In kenya .

 Antibodies recorded in human cases from
  Central africa and the virus isolated from
  animals raised in Uganda ,Mali, Congo and
  Gabon by 1936
History of the disease (Cont.)
 In 1951 reported in South Africa
 In 1954 reported in French Equatorial Africa
 In 1956 reported in Cattle in Kenya
 In 1957 reported in Cattle in Togo
 In 1958 reported in Rhodesia (Nambia)
 In 1973 in sudan in Kosti District
History of the disease (Cont.)
 The only epizootic outbreaks of RVF outside
  sub-Saharan Africa were recorded in animals
  and humans in Egypt in 1977-78,
 Mauritania in 1987 and again in Egypt in
  1993.
History of the disease (Cont.)


 The first confirmed Rift Valley fever outbreak
   outside Africa was reported in September
         2000, in the Arabian Peninsula
History of the disease (Cont.)


 Laboratory infections have been recorded in
            other parts of the world
Current situation of the disease
Current situation of the disease
( Cont.)

            Endemic Countries

 Gambia, Senegal, Mauritania, Namibia, South
   Africa, Mozambique, Zimbabwe, Zambia,
   Kenya, Sudan, Egypt, Madagascar, Saudi
               Arabia, Yemen
Epidemiology ( Cont.)
Countries known to have some cases with
          periodic virus isolation

 Botswana, Angola , Democratic Republic of
 the Congo, Congo, Gabon, Cameroon,
 Nigeria, Central African Republic, Chad,
 Niger, Burkina Faso, Mali, Guinea, Tanzania,
 Malawi, Uganda, Ethiopia, Somalia
Epidimiology in 2005 1st half
Epidimiology in 2005 2nd half
Epidimiology in 2006 1st half
Epidimiology in 2006 2nd half
AETIOLOGY


 RFV virus belongs to family Bunyaviridae ,
              genus Phlebovirus.
Family Bunyaviridae

 The largest family of viruses.
 It includes the most arthropod-born
  viruses
 It include more than 350 membres with
  large diversity
 Genetic reassortment in infected
  mosquitoes migt be the cause of this
  diversity.
Bunyaviruses



                       Group V: (-)sense RNA Viruses


                   Genus                 Type Species            Hosts
Family




               Orthobunyavirus       Bunyamwera virus         Vertebrates

               Hantavirus            Hantaan virus            Vertebrates

                                     Nairobi sheep disease
Bunyaviridae   Nairovirus                                     Vertebrates
                                     virus
                                     Sandfly fever Sicilian
               Phlebovirus                                    Vertebrates
                                     virus , RFV
                                     Tomato spotted wilt
               Tospovirus                                     Plants
                                     virus
Cryptogram of RVF virus



 R/1: Σ 3 6 / L- : Se/ E : I,V/C,I,Ve(C)/Ac,Di
Cryptogram
R/1: Σ 3 6 / L- :Se/ E :I,V/C,I,Ve(C)/Ac,Di


   RNAV , SS,
   3 molecules/ - ve strand
   Spherical,elongated NC / Enveloped
   90 - 100 um , heat labile , ether sensitive .

 All isolates are serologically similar
 Host range /mode of transmission / kind of vector
    if present
Micrograph of RVFV
  The virion is budding into
    membrane vesicles of Golgi
    vesicles in the cytoplasm of
    a liver cell of an infected rat.




The virion is about
100 nm (nanometer)
NA of RVF virus
 Single-stranded RNA
 Negative sense / ambi-sense
 Each virion contains, 3 linear segments :
       L 2.7 X 10 6

       M 1.6 X 10 6

       S 0.6 X 10 6

 Not present in equimolar amounts
 5' ends not capped; 3' ends not
 polyadenylated;
 Genomic RNA not infectious.
Protein structure of RFV

 L ~8.5kb / RNA dep.RNA polymerase
  ( Transcriptase)
 M ~5.7kb / G1, G2, NSM
 S ~0.9kb / N, NSS
Effect of Temperature
 The virus can remain viable for up to 4
  months at 4o C.
 Specimens stored below 0o C will retain
  infectivity for 8 years .
 The virus in serum, inactivated by 56°C for
  120 minutes
 Rift Valley fever virus in aerosols has a half-
  life in excess of 77 minutes at 25o C and 30
  percent relative humidity .
Effect of Chemical factors on RFV
virus


    Rift Valley fever virus is inactivated by lipid
         solvents (ether and chloroform ),
               detergents, and low pH.
.
Effect of Chemical factors on RFV
virus ( Cont.)

 At neutral or alkaline pH in the presence of
  protein such as serum, the virus can remain
  viable for up to 4 months at 4o C.
 Solutions having a pH of 6.2 (acetic acid) or
  lower are also effective.
Effect of Disinfectants


 Inactivated by strong solutions of sodium or
 calcium hypochlorite (residual chlorine should
              exceed 5000 ppm)
Survival


The RVFV survives in dried discharges and multiplies in
               some arthropod vectors.
Host range

 Rift Valley fever virus infects many species of
  animals and humans .

 Sheep and cattle are the primary species
  affected and the primary amplifiers of the
  virus.
Host Range



 Neonatal lambs, kids, calves, and puppies
  are highly susceptible and have a high
  mortality.
Human being
 Humans are highly susceptible to RVF virus
  infection and are readily infected by
  mosquitoes and aerosols.
 Humans develop a sufficient viremia to be a
  source of infection for mosquitoes and thus
  could introduce the disease into uninfected
  areas.
Transmission

 Haematophagous mosquitoes of many genera
  (Aedes, Anopheles, Culex, Eretmapodites, Mansonia,
  etc.) can transmit fever as biological, competent
  vectors.
 Can replicate extensively in insects - transovarian
  passage allows overwintering.
 Mosquitoes (Aedes) migt be the reservoir host
 Direct contamination: occurs in humans when
  handling infected animals and meat
Transmission (Cont.)


Historically, explosive outbreaks of the disease
   have occurred simultaneously over a wide
     area of Africa at 5 to 15 year intervals
Infection of human being

 Direct and indirect contact with infected
  animals through nasal discharge, blood,
  vaginal secretions after abortion in animals,
  mosquitoes, and infected meat.

 Aerosol and consumption of raw milk is also
  possible
Incubation Period
 Experimentally, the incubation period in
  newborn lambs, kids, calves, and puppies, is
  about 12 hours.
 In adult sheep, cattle, goats, and dogs the
  incubation period may be as long as 3 days.
 In humans, the incubation period is 4 to 6
  days.
Gross Lesions

  Severe illness ,     Mortality , Severe
                                                                  Refractive to
Abortion & Mortality   illness Viremia &
                                            Infection & Viremia    infection
                            Abortion

    Sheep                Monkeys                Horses            Guinea pigs
     Cattle               Camels                 Cats               Rabbits
    Goats                  Rats                  Dogs                 Pigs
  Water buffalo        Gray squirrels          Monkeys            Hedgehogs
   Humans                                                          Tortoises
                                                                     Frogs
                                                                   Chickens
                                                                   Canaries
                                                                   Pigeons
                                                                  Parakeets
Morbidity and Mortality in an Outbreak

            Susceptibl                    Morbdity   Mortality   Case
Species                  Cases   Deaths
            e cases                       rate       rate        fatality rate



Sheep       9000         1500    105      16.7%      1.2%        7%


Goats       10000        1500    95       15%        0.95%       6.3%


Cattle      4000         500     30       13%        0.75%       6%


Camelidae   4000         500     5        13%        0.13%       1%


Animals belong to different herds.70 people have died
Clinical Signs in cattle

 Adults: fever (40-41°C), excessive salivation,
  anorexia, weakness, fetid diarrhoea, fall in
  milk yield.
 Calves: fever (40-41°C), depression. Mortality
  rate: 10-70%
 Abortion may reach 85% in the herd.
 Mortality rate is usually less than 10%
Fetuses can be aborted at any stage of
gestation.
Clinical Signs in adult sheep & goats

 Fever (40-41°C), mucopurulent nasal
  discharge, vomiting .
 Abortion may reach 100% in pregnant ewes
 Mortality rate may reach 20-30%
Clinical signs
Clinical Signs in lambs and Kids
 fever (40-42°C), anorexia, weakness, death
  within 36 hours after inoculation.

 Mortality rate: for animals under 1 week of
  age - up to 90%; for animals over 1 week of
  age - up to 20%
Clinical Signs in other animals




Inapparent infections are quite frequent in other
               species than sheep
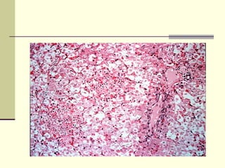
PM lesions.


 Focal or generalised hepatic necrosis (white
   necrotic foci of about 1 mm in diameter)
PM Lesions ( cont.)


Congestion, enlargement, and discoloration of
    liver with subcapsular haemorrhages
PM Lesions ( cont.)

 Brown-yellowish colour of liver in aborted
  fetuses
PM Lesions ( cont.)


   Widespread cutaneous haemorrhages,
   petechial to ecchymotic haemorrhages on
   parietal and visceral serosal membranes
PM Lesions ( cont.)
 Enlargement, oedema, haemorrhages and
 necrosis of lymph nodes
PM Lesions ( cont.)
 Congestion and cortical haemorrhages of
  kidneys and gallbladder
 Severe hemorrhagic
  and edematous biliary
  cystitis.
PM Lesions ( cont.)
 Haemorrhagic enteritis
PM Lesions ( cont.)

Icterus (low percentage)
The yellow appearance and petechial hemorrhages
are characteristic of hepatic necrosis
Focal necrosis and multifocal
degeneration
Specimens for Laboratory

 Heparinised or clotted blood
 Plasma or serum
 Tissue samples of liver, spleen, kidney, lymph
  node, heart blood and brain from aborted
  fetus.
 Specimens should be submitted preserved in
  10% buffered formalin and in glycerol/saline
  and transported at 4°C
Differential Diagnosis

1.    Bluetongue
2.    Wesselsbron disease
3.    Enterotoxemia of sheep
4.    Ephemeral fever
5.    Brucellosis
6.    Vibriosis
7.    Trichomonosis
8.    Nairobi sheep disease
9.    Heartwater
10.   Ovine enzootic abortion
11.   Towic plants
12.   Bacterial septicaemias
13.   Rinderpest and Peste des petits ruminants
Laboratory diagnosis
 Virus isolation:
    Inoculation of mice or hamsters - preferred
     method
    Inoculation of 1-2-day-old lambs
    Inoculation of embryonated chicken eggs
    Tissue culture inoculation (Vero, CER, BHK-
     21, mosquito line cells or primary calf, lamb
     and goat kidney and testis cells)
Laboratory diagnosis (cont.)
Viral antigen detection by :
1. Immunofluorescence in cryostat sections or
    in impression smears of liver, spleen and
    brain.
2. Complement fixation and immunodiffusion
    on tissue suspensions
Laboratory diagnosis (cont.)

Antigen detection in blood by :
1. Immunodiffusion
2. ELISA
Laboratory diagnosis by Serological tests

 Enyzme-linked immunosorbent assay - IgG and IgM
    and for Ag.detection
   Virus neutralisation
   Fluorescent antibody test
   Haemagglutination inhibition
   Plaque reduction neutralisation
   Complement fixation
   Immunodiffusion
Control and Eradication

 Vaccination is the only practical method of
  preventing low-level losses.
 Animal movement of from endemic areas to
  RVF-free areas should be discouraged.
 Mosquito control during an epizootic is logical
  but not practical for large areas;
 Slaughter of sick animals is not
  recommended
Vaccination

 Vaccination of all susceptible animals to
  prevent infection of amplifying hosts and thus
  infection of vectors is the only way to prevent
  infection of animals and man
 Inactivated vaccine containing saponin or
  peanut oil
Public Health

Rift valley fever

  • 1.
    Rift Valley Fever Dr.Tariq Mustafa Mohamed Ali, Department of Municipalities and Agriculture, Agriculture Sector, Veterinary Laboratory , Al Ain
  • 2.
    Definition  Rift Valleyfever (RVF) is an arthropod-borne viral disease affecting wide variety of mammals .  characterized by abortions among pregnant animals, high mortality in neonates, and hepatic necrosis.  The Human beings are highly susceptible to the disease .  The Disease Classified as an OIE List A disease (A080)
  • 3.
    Geographic Distribution RVFhas been recognised as an exclusive disease in African countries, with an underlying association with high rainfall and dense populations of vector mosquitoes.
  • 4.
    History of thedisease  First described by Daubny in 1931 in Rift valley area In kenya .  Antibodies recorded in human cases from Central africa and the virus isolated from animals raised in Uganda ,Mali, Congo and Gabon by 1936
  • 5.
    History of thedisease (Cont.)  In 1951 reported in South Africa  In 1954 reported in French Equatorial Africa  In 1956 reported in Cattle in Kenya  In 1957 reported in Cattle in Togo  In 1958 reported in Rhodesia (Nambia)  In 1973 in sudan in Kosti District
  • 6.
    History of thedisease (Cont.)  The only epizootic outbreaks of RVF outside sub-Saharan Africa were recorded in animals and humans in Egypt in 1977-78,  Mauritania in 1987 and again in Egypt in 1993.
  • 7.
    History of thedisease (Cont.) The first confirmed Rift Valley fever outbreak outside Africa was reported in September 2000, in the Arabian Peninsula
  • 8.
    History of thedisease (Cont.) Laboratory infections have been recorded in other parts of the world
  • 13.
  • 15.
    Current situation ofthe disease ( Cont.) Endemic Countries Gambia, Senegal, Mauritania, Namibia, South Africa, Mozambique, Zimbabwe, Zambia, Kenya, Sudan, Egypt, Madagascar, Saudi Arabia, Yemen
  • 17.
    Epidemiology ( Cont.) Countriesknown to have some cases with periodic virus isolation Botswana, Angola , Democratic Republic of the Congo, Congo, Gabon, Cameroon, Nigeria, Central African Republic, Chad, Niger, Burkina Faso, Mali, Guinea, Tanzania, Malawi, Uganda, Ethiopia, Somalia
  • 19.
  • 20.
  • 21.
  • 22.
  • 23.
    AETIOLOGY RFV virusbelongs to family Bunyaviridae , genus Phlebovirus.
  • 24.
    Family Bunyaviridae  Thelargest family of viruses.  It includes the most arthropod-born viruses  It include more than 350 membres with large diversity  Genetic reassortment in infected mosquitoes migt be the cause of this diversity.
  • 25.
    Bunyaviruses Group V: (-)sense RNA Viruses Genus Type Species Hosts Family Orthobunyavirus Bunyamwera virus Vertebrates Hantavirus Hantaan virus Vertebrates Nairobi sheep disease Bunyaviridae Nairovirus Vertebrates virus Sandfly fever Sicilian Phlebovirus Vertebrates virus , RFV Tomato spotted wilt Tospovirus Plants virus
  • 26.
    Cryptogram of RVFvirus R/1: Σ 3 6 / L- : Se/ E : I,V/C,I,Ve(C)/Ac,Di
  • 27.
    Cryptogram R/1: Σ 36 / L- :Se/ E :I,V/C,I,Ve(C)/Ac,Di  RNAV , SS,  3 molecules/ - ve strand  Spherical,elongated NC / Enveloped  90 - 100 um , heat labile , ether sensitive .  All isolates are serologically similar  Host range /mode of transmission / kind of vector if present
  • 28.
    Micrograph of RVFV  The virion is budding into membrane vesicles of Golgi vesicles in the cytoplasm of a liver cell of an infected rat. The virion is about 100 nm (nanometer)
  • 29.
    NA of RVFvirus  Single-stranded RNA  Negative sense / ambi-sense  Each virion contains, 3 linear segments :  L 2.7 X 10 6  M 1.6 X 10 6  S 0.6 X 10 6  Not present in equimolar amounts  5' ends not capped; 3' ends not polyadenylated;  Genomic RNA not infectious.
  • 31.
    Protein structure ofRFV  L ~8.5kb / RNA dep.RNA polymerase ( Transcriptase)  M ~5.7kb / G1, G2, NSM  S ~0.9kb / N, NSS
  • 32.
    Effect of Temperature The virus can remain viable for up to 4 months at 4o C.  Specimens stored below 0o C will retain infectivity for 8 years .  The virus in serum, inactivated by 56°C for 120 minutes  Rift Valley fever virus in aerosols has a half- life in excess of 77 minutes at 25o C and 30 percent relative humidity .
  • 33.
    Effect of Chemicalfactors on RFV virus Rift Valley fever virus is inactivated by lipid solvents (ether and chloroform ), detergents, and low pH. .
  • 34.
    Effect of Chemicalfactors on RFV virus ( Cont.)  At neutral or alkaline pH in the presence of protein such as serum, the virus can remain viable for up to 4 months at 4o C.  Solutions having a pH of 6.2 (acetic acid) or lower are also effective.
  • 35.
    Effect of Disinfectants Inactivated by strong solutions of sodium or calcium hypochlorite (residual chlorine should exceed 5000 ppm)
  • 36.
    Survival The RVFV survivesin dried discharges and multiplies in some arthropod vectors.
  • 37.
    Host range  RiftValley fever virus infects many species of animals and humans .  Sheep and cattle are the primary species affected and the primary amplifiers of the virus.
  • 38.
    Host Range  Neonatallambs, kids, calves, and puppies are highly susceptible and have a high mortality.
  • 39.
    Human being  Humansare highly susceptible to RVF virus infection and are readily infected by mosquitoes and aerosols.  Humans develop a sufficient viremia to be a source of infection for mosquitoes and thus could introduce the disease into uninfected areas.
  • 40.
    Transmission  Haematophagous mosquitoesof many genera (Aedes, Anopheles, Culex, Eretmapodites, Mansonia, etc.) can transmit fever as biological, competent vectors.  Can replicate extensively in insects - transovarian passage allows overwintering.  Mosquitoes (Aedes) migt be the reservoir host  Direct contamination: occurs in humans when handling infected animals and meat
  • 41.
    Transmission (Cont.) Historically, explosiveoutbreaks of the disease have occurred simultaneously over a wide area of Africa at 5 to 15 year intervals
  • 42.
    Infection of humanbeing  Direct and indirect contact with infected animals through nasal discharge, blood, vaginal secretions after abortion in animals, mosquitoes, and infected meat.  Aerosol and consumption of raw milk is also possible
  • 44.
    Incubation Period  Experimentally,the incubation period in newborn lambs, kids, calves, and puppies, is about 12 hours.  In adult sheep, cattle, goats, and dogs the incubation period may be as long as 3 days.  In humans, the incubation period is 4 to 6 days.
  • 45.
    Gross Lesions Severe illness , Mortality , Severe Refractive to Abortion & Mortality illness Viremia & Infection & Viremia infection Abortion Sheep Monkeys Horses Guinea pigs Cattle Camels Cats Rabbits Goats Rats Dogs Pigs Water buffalo Gray squirrels Monkeys Hedgehogs Humans Tortoises Frogs Chickens Canaries Pigeons Parakeets
  • 46.
    Morbidity and Mortalityin an Outbreak Susceptibl Morbdity Mortality Case Species Cases Deaths e cases rate rate fatality rate Sheep 9000 1500 105 16.7% 1.2% 7% Goats 10000 1500 95 15% 0.95% 6.3% Cattle 4000 500 30 13% 0.75% 6% Camelidae 4000 500 5 13% 0.13% 1% Animals belong to different herds.70 people have died
  • 47.
    Clinical Signs incattle  Adults: fever (40-41°C), excessive salivation, anorexia, weakness, fetid diarrhoea, fall in milk yield.  Calves: fever (40-41°C), depression. Mortality rate: 10-70%  Abortion may reach 85% in the herd.  Mortality rate is usually less than 10%
  • 48.
    Fetuses can beaborted at any stage of gestation.
  • 49.
    Clinical Signs inadult sheep & goats  Fever (40-41°C), mucopurulent nasal discharge, vomiting .  Abortion may reach 100% in pregnant ewes  Mortality rate may reach 20-30%
  • 50.
  • 52.
    Clinical Signs inlambs and Kids  fever (40-42°C), anorexia, weakness, death within 36 hours after inoculation.  Mortality rate: for animals under 1 week of age - up to 90%; for animals over 1 week of age - up to 20%
  • 53.
    Clinical Signs inother animals Inapparent infections are quite frequent in other species than sheep
  • 54.
    PM lesions. Focalor generalised hepatic necrosis (white necrotic foci of about 1 mm in diameter)
  • 58.
    PM Lesions (cont.) Congestion, enlargement, and discoloration of liver with subcapsular haemorrhages
  • 61.
    PM Lesions (cont.)  Brown-yellowish colour of liver in aborted fetuses
  • 63.
    PM Lesions (cont.) Widespread cutaneous haemorrhages, petechial to ecchymotic haemorrhages on parietal and visceral serosal membranes
  • 68.
    PM Lesions (cont.)  Enlargement, oedema, haemorrhages and necrosis of lymph nodes
  • 71.
    PM Lesions (cont.)  Congestion and cortical haemorrhages of kidneys and gallbladder
  • 72.
     Severe hemorrhagic and edematous biliary cystitis.
  • 74.
    PM Lesions (cont.)  Haemorrhagic enteritis
  • 76.
    PM Lesions (cont.) Icterus (low percentage)
  • 77.
    The yellow appearanceand petechial hemorrhages are characteristic of hepatic necrosis
  • 79.
    Focal necrosis andmultifocal degeneration
  • 80.
    Specimens for Laboratory Heparinised or clotted blood  Plasma or serum  Tissue samples of liver, spleen, kidney, lymph node, heart blood and brain from aborted fetus.  Specimens should be submitted preserved in 10% buffered formalin and in glycerol/saline and transported at 4°C
  • 81.
    Differential Diagnosis 1. Bluetongue 2. Wesselsbron disease 3. Enterotoxemia of sheep 4. Ephemeral fever 5. Brucellosis 6. Vibriosis 7. Trichomonosis 8. Nairobi sheep disease 9. Heartwater 10. Ovine enzootic abortion 11. Towic plants 12. Bacterial septicaemias 13. Rinderpest and Peste des petits ruminants
  • 82.
    Laboratory diagnosis  Virusisolation:  Inoculation of mice or hamsters - preferred method  Inoculation of 1-2-day-old lambs  Inoculation of embryonated chicken eggs  Tissue culture inoculation (Vero, CER, BHK- 21, mosquito line cells or primary calf, lamb and goat kidney and testis cells)
  • 83.
    Laboratory diagnosis (cont.) Viralantigen detection by : 1. Immunofluorescence in cryostat sections or in impression smears of liver, spleen and brain. 2. Complement fixation and immunodiffusion on tissue suspensions
  • 84.
    Laboratory diagnosis (cont.) Antigendetection in blood by : 1. Immunodiffusion 2. ELISA
  • 85.
    Laboratory diagnosis bySerological tests  Enyzme-linked immunosorbent assay - IgG and IgM and for Ag.detection  Virus neutralisation  Fluorescent antibody test  Haemagglutination inhibition  Plaque reduction neutralisation  Complement fixation  Immunodiffusion
  • 86.
    Control and Eradication Vaccination is the only practical method of preventing low-level losses.  Animal movement of from endemic areas to RVF-free areas should be discouraged.  Mosquito control during an epizootic is logical but not practical for large areas;  Slaughter of sick animals is not recommended
  • 87.
    Vaccination  Vaccination ofall susceptible animals to prevent infection of amplifying hosts and thus infection of vectors is the only way to prevent infection of animals and man  Inactivated vaccine containing saponin or peanut oil
  • 88.