IMMUNOLOGIC  DEFICIENCY  SYNDROMES
PRIMARY  IMMUNODEFICIENCY mainly B-cell defect : X-linked agammaglobulinemia of Bruton,  transient hypogammaglobulinemia of infancy,  selective IgA deficiency,  common variable immunodeficiency (CVID) mainly T-cell defect : DiGeorge syndrom (thymic hypoplasia),  hyper-IgM syndrome B- and T-cell defect : severe combined immunodeficiency (SCID), Wiskott-Aldrich syndrome (immunodeficiency with thrombocytopenia and eczema defect in phagocyte function : chronic granulomatous disease, leukocyte adhesion deficiency, myeloperoxidase deficiency primary complement deficiencies
SECONDARY  IMMUNODEFICIENCY due to impaired synthesis and function:  protein and energy deficiency in malnutrition, cachexia in disseminated cancer, anorexia, alcoholism,  prevalent monoclonal Ig in some lymphoproliferative diseases,  suppression of cell mediated immunity due to acute viral infection (CMV, EBV, measles, etc.), bacterial and protozoal infection (leprosy, leishmaniasis),  iatrogenic (immunosuppressive and cytostatic drugs, radiotherapy, splenectomy),  diabetes mellitus and other metabolic diseases,  sarcoidosis,  chronic stress,  certain age groups (old, newborn, immature infants)  increased catabolism or loss:  nephrotic syndrome and renal failure, inflammatory intestinal diseases
HIV - AIDS
HIV - AIDS The global percentage of adults living with HIV has leveled off since 2000. In 2007: 2.7 million new HIV infections, 2 million deaths. The rate of new HIV infections: fallen in several countries, but globally these favourable trends are at least partially offset by increases in new infections in other countries. In 14 of 17 African countries with adequate survey data, the percentage of young pregnant women (ages 15–24) living with HIV has declined since 2000-2001.
HIV - AIDS Sub-Saharan Africa 67% of all people living with HIV and for 75% of AIDS deaths in 2007.  Problems in other regions - Indonesia, the Russian Federation, various high-income countries. Globally, the percentage of women stable (at 50%), increasing in several countries. In regions outside sub-Saharan Africa, HIV disproportionately affects injecting drug users, men who have sex with men, and sex workers.
HIV - AIDS Globally estimated: 33 million people living with HIV in 2007. The annual number of new HIV infections declined from 3.0 million in 2001 to 2.7 million in 2007. Overall, 2.0 million people died due to AIDS in 2007, compared with an estimated 1.7 million in 2001
HIV - AIDS Young people aged 15–24: 45% of new HIV infections worldwide. 370 000 children younger than 15 years became infected with HIV in 2007.  Globally, the number of children younger than 15 years living with HIV increased from 1.6 million in 2001 to 2.0 million in 2007. Almost 90% live in sub-Saharan Africa
HIV - AIDS More than 90% of children living with HIV acquired the virus during pregnancy, birth or breastfeeding—forms of HIV transmission that can be prevented.
Southern Africa 35% of HIV infections 38% of AIDS deaths in 2007  sub-Saharan Africa :67% of all people living with HIV.
Sub-Saharan Africa In countries with high HIV prevalence, life expectancy at birth has dramatically fallen. Southern Africa: average life expectancy at birth  ↓ to levels in the 1950s; now below 50 years for the whole subregion, below 40 years in Zimbabwe
Asia 5.0 million living with HIV in 2007, 380 000 newly infected that year. 380 000 died from AIDS-related illnesses. National HIV infection levels are highest in South-East Asia
Eastern Europe and Central Asia The number of people living with HIV rose to 1.5 million in 2007; almost 90% of those in Russian Federation (69%) or Ukraine (29%).  110 000 infected with HIV in 2007 58 000 died of AIDS
Latin America New HIV infections in 2007: 140 000  1.7 million living with HIV  63 000 died of AIDS last year.
North America, Western and Central  Europe 2.0 million (USA: 1.2 million) people living with HIV in 2007.  81 000 newly infected with HIV in 2007. 31 000 died of AIDS last year.
Middle East and North Africa limited HIV information approximately 380 000 living with HIV in 2007,  40 000 newly infected
HIV  ISSUES Blood safety HIV treatment: antiretroviral therapy Prevention of mother-to-child transmission Co-management of tuberculosis and HIV treatment HIV testing in the general and most-at-risk population
HIV  ISSUES Most-at-risk populations: Prevention programmes HIV education
 
 
 
HIV infection of cells T-lymphocytes macrophages/monocytes  (viral reservoir, replication and transport)  mucosal and follicular dendritic cells cells in CNS  (microglia)
Immune dysfunctions in AIDS Lymphopenia  (selective loss of CD4+ T-cells) Decreased T-cell function   in vivo  (loss of memory T-cells, susceptibility to opportunistic infections and neoplasms, decreased delayed-type hypersensitivity) Altered T-cell function in vitro Polyclonal B-cell activation  (hypergammaglobulinemia, CIC, inability of new antibody response)  Altered monocyte or macrophage functions  (decreased chemotaxis, phagocytosis, antigen presentation; increased spontaneous secretion of TNF, IL-1 etc.
Phases of HIV infection Acute retroviral syndrome  (3-6 wks after infection, in 40-90%, self-limited in 2-4 wks)  Chronic phase  (clinical latency, persistent generalized lymphadenopathy – PGL)  Progression to AIDS  (AIDS-related complex – ARC, AIDS indicator conditions: constitutional, neurologic, opportunistic infection, neoplasm
Persistent  generalized  lymphadenopathy
HIV neurologic disease Acute  aseptic meningitis subacute and chronic:  HIV  meningoencephalitis – AIDS-dementia complex, vacuolar myelopathy, myopathy and peripheral neuropathy
HIV encephalopathy – brain atrophy
HIV encephalopathy
HIV  encephalitis
p24  immunohistochemistry
Opportunistic infections and neoplasms Protozoal and helmintic  (cryptosporidiosis, toxoplasmosis, giardiosis, etc.)  Fungal  (Pneumocystis, candidiasis, cryptococcosis, coccidiomycosis, histoplasmosis)  Bacterial  (mycobacteriosis – atypical, TB, salmonellosis, nocardiosis)  Viral  (CMV, Herpes simpex, Varicella-zoster, progressive multifocal leukoencephalopathy – JC polyoma virus)  Neoplasms  ( Kaposi sarcoma – HHV 8, B-cell non-Hodgkin lymphomas, primary brain lymphomas – EBV, aggressive cervical and anal carcinomas – HPV)
CNS infections
Toxoplasma encephalitis
Toxoplasma encephalitis
Toxoplasma encephalitis
Cryptococcal meningitis
Cryptococcal meningitis
Cryptococcal meningitis
Cryptococcal meningitis
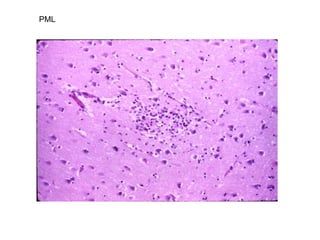
PML
PML
PML
LUNG  INFECTIONS
Pneumocystis  pneumonia
Pneumocystis  pneumonia
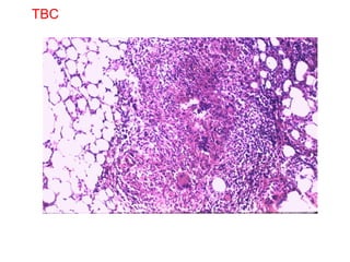
TBC
Fungal  colony
Fungal  pneumonia
Histoplasmosis
Interstitial  pneumonia
GIT  INFECTIONS
Erosive gastritis
Haemorrhagic  colitis
CMV  colitis
CMV  colitis
Coccidiomycosis
Coccidiomycosis
Protozoan colitis  (amoebiasis)
Protozoan colitis  (amoebiasis)
Mycobacterium avium complex (MAC) enteritis
MAC enteritis
MAC enteritis
Bacterial  thrombus
SKIN  INFECTIONS
Oral hairy leukoplakia
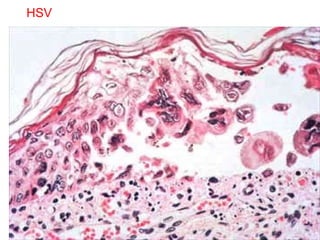
HSV
HIV-associated neoplasia HHV-8: Kaposi‘s sarcoma EBV: non-Hodgkin‘s malignant lymphoma, primary brain ML HPV: agressive anal, cervical squamous cell carcinoma
Kaposi‘s sarcoma
Kaposi‘s sarcoma
Kaposi‘s sarcoma
Kaposi‘s sarcoma
Kaposi‘s sarcoma
Kaposi‘s sarcoma + CMV colitis
Primary brain malignant lymphoma
Primary brain malignant lymphoma
HPV – koilocytosis - LSIL
HPV - immunohistochemistry
Invasive squamous cell carcinoma
 
Cervical squamous cell carcinoma

Immunologic deficiency syndromes

  • 1.
  • 2.
    PRIMARY IMMUNODEFICIENCYmainly B-cell defect : X-linked agammaglobulinemia of Bruton, transient hypogammaglobulinemia of infancy, selective IgA deficiency, common variable immunodeficiency (CVID) mainly T-cell defect : DiGeorge syndrom (thymic hypoplasia), hyper-IgM syndrome B- and T-cell defect : severe combined immunodeficiency (SCID), Wiskott-Aldrich syndrome (immunodeficiency with thrombocytopenia and eczema defect in phagocyte function : chronic granulomatous disease, leukocyte adhesion deficiency, myeloperoxidase deficiency primary complement deficiencies
  • 3.
    SECONDARY IMMUNODEFICIENCYdue to impaired synthesis and function: protein and energy deficiency in malnutrition, cachexia in disseminated cancer, anorexia, alcoholism, prevalent monoclonal Ig in some lymphoproliferative diseases, suppression of cell mediated immunity due to acute viral infection (CMV, EBV, measles, etc.), bacterial and protozoal infection (leprosy, leishmaniasis), iatrogenic (immunosuppressive and cytostatic drugs, radiotherapy, splenectomy), diabetes mellitus and other metabolic diseases, sarcoidosis, chronic stress, certain age groups (old, newborn, immature infants) increased catabolism or loss: nephrotic syndrome and renal failure, inflammatory intestinal diseases
  • 4.
  • 5.
    HIV - AIDSThe global percentage of adults living with HIV has leveled off since 2000. In 2007: 2.7 million new HIV infections, 2 million deaths. The rate of new HIV infections: fallen in several countries, but globally these favourable trends are at least partially offset by increases in new infections in other countries. In 14 of 17 African countries with adequate survey data, the percentage of young pregnant women (ages 15–24) living with HIV has declined since 2000-2001.
  • 6.
    HIV - AIDSSub-Saharan Africa 67% of all people living with HIV and for 75% of AIDS deaths in 2007. Problems in other regions - Indonesia, the Russian Federation, various high-income countries. Globally, the percentage of women stable (at 50%), increasing in several countries. In regions outside sub-Saharan Africa, HIV disproportionately affects injecting drug users, men who have sex with men, and sex workers.
  • 7.
    HIV - AIDSGlobally estimated: 33 million people living with HIV in 2007. The annual number of new HIV infections declined from 3.0 million in 2001 to 2.7 million in 2007. Overall, 2.0 million people died due to AIDS in 2007, compared with an estimated 1.7 million in 2001
  • 8.
    HIV - AIDSYoung people aged 15–24: 45% of new HIV infections worldwide. 370 000 children younger than 15 years became infected with HIV in 2007. Globally, the number of children younger than 15 years living with HIV increased from 1.6 million in 2001 to 2.0 million in 2007. Almost 90% live in sub-Saharan Africa
  • 9.
    HIV - AIDSMore than 90% of children living with HIV acquired the virus during pregnancy, birth or breastfeeding—forms of HIV transmission that can be prevented.
  • 10.
    Southern Africa 35%of HIV infections 38% of AIDS deaths in 2007 sub-Saharan Africa :67% of all people living with HIV.
  • 11.
    Sub-Saharan Africa Incountries with high HIV prevalence, life expectancy at birth has dramatically fallen. Southern Africa: average life expectancy at birth ↓ to levels in the 1950s; now below 50 years for the whole subregion, below 40 years in Zimbabwe
  • 12.
    Asia 5.0 millionliving with HIV in 2007, 380 000 newly infected that year. 380 000 died from AIDS-related illnesses. National HIV infection levels are highest in South-East Asia
  • 13.
    Eastern Europe andCentral Asia The number of people living with HIV rose to 1.5 million in 2007; almost 90% of those in Russian Federation (69%) or Ukraine (29%). 110 000 infected with HIV in 2007 58 000 died of AIDS
  • 14.
    Latin America NewHIV infections in 2007: 140 000 1.7 million living with HIV 63 000 died of AIDS last year.
  • 15.
    North America, Westernand Central Europe 2.0 million (USA: 1.2 million) people living with HIV in 2007. 81 000 newly infected with HIV in 2007. 31 000 died of AIDS last year.
  • 16.
    Middle East andNorth Africa limited HIV information approximately 380 000 living with HIV in 2007, 40 000 newly infected
  • 17.
    HIV ISSUESBlood safety HIV treatment: antiretroviral therapy Prevention of mother-to-child transmission Co-management of tuberculosis and HIV treatment HIV testing in the general and most-at-risk population
  • 18.
    HIV ISSUESMost-at-risk populations: Prevention programmes HIV education
  • 19.
  • 20.
  • 21.
  • 22.
    HIV infection ofcells T-lymphocytes macrophages/monocytes (viral reservoir, replication and transport) mucosal and follicular dendritic cells cells in CNS (microglia)
  • 23.
    Immune dysfunctions inAIDS Lymphopenia (selective loss of CD4+ T-cells) Decreased T-cell function in vivo (loss of memory T-cells, susceptibility to opportunistic infections and neoplasms, decreased delayed-type hypersensitivity) Altered T-cell function in vitro Polyclonal B-cell activation (hypergammaglobulinemia, CIC, inability of new antibody response) Altered monocyte or macrophage functions (decreased chemotaxis, phagocytosis, antigen presentation; increased spontaneous secretion of TNF, IL-1 etc.
  • 24.
    Phases of HIVinfection Acute retroviral syndrome (3-6 wks after infection, in 40-90%, self-limited in 2-4 wks) Chronic phase (clinical latency, persistent generalized lymphadenopathy – PGL) Progression to AIDS (AIDS-related complex – ARC, AIDS indicator conditions: constitutional, neurologic, opportunistic infection, neoplasm
  • 25.
    Persistent generalized lymphadenopathy
  • 26.
    HIV neurologic diseaseAcute aseptic meningitis subacute and chronic: HIV meningoencephalitis – AIDS-dementia complex, vacuolar myelopathy, myopathy and peripheral neuropathy
  • 27.
  • 28.
  • 29.
  • 30.
  • 31.
    Opportunistic infections andneoplasms Protozoal and helmintic (cryptosporidiosis, toxoplasmosis, giardiosis, etc.) Fungal (Pneumocystis, candidiasis, cryptococcosis, coccidiomycosis, histoplasmosis) Bacterial (mycobacteriosis – atypical, TB, salmonellosis, nocardiosis) Viral (CMV, Herpes simpex, Varicella-zoster, progressive multifocal leukoencephalopathy – JC polyoma virus) Neoplasms ( Kaposi sarcoma – HHV 8, B-cell non-Hodgkin lymphomas, primary brain lymphomas – EBV, aggressive cervical and anal carcinomas – HPV)
  • 32.
  • 33.
  • 34.
  • 35.
  • 36.
  • 37.
  • 38.
  • 39.
  • 40.
  • 41.
  • 42.
  • 43.
  • 44.
  • 45.
  • 46.
  • 47.
  • 48.
  • 49.
  • 50.
  • 51.
  • 52.
  • 53.
  • 54.
  • 55.
  • 56.
  • 57.
  • 58.
    Protozoan colitis (amoebiasis)
  • 59.
    Protozoan colitis (amoebiasis)
  • 60.
  • 61.
  • 62.
  • 63.
  • 64.
  • 65.
  • 66.
  • 67.
    HIV-associated neoplasia HHV-8:Kaposi‘s sarcoma EBV: non-Hodgkin‘s malignant lymphoma, primary brain ML HPV: agressive anal, cervical squamous cell carcinoma
  • 68.
  • 69.
  • 70.
  • 71.
  • 72.
  • 73.
  • 74.
  • 75.
  • 76.
  • 77.
  • 78.
  • 79.
  • 80.