RHEUMATIC DISEASES 
RHEUMATIC FEVER 
& 
RHEUMATOID ARTHRITIS
RHEUMATIC FEVER
WHAT IS RHEUMATIC FEVER? 
Rheumatic fever is a systemic 
inflammatory disease that can involve 
connective tissue of the heart, nervous 
system, skin, and joints. 
Rheumatic fever develops after 
streptococcus infections plus allergic 
responce. 

Rheumatic fever can occur at any age but 
primarily affects children from 5 years old to 
15 years old. 
Rheumatic fever develops about 20 days after 
strep throat or scarlet fever. 
The streptococcus infection which leads to 
rheumatic fever may be asymptomatic in a 
third of all cases.
MORPHOLOGICAL SIGNS OF 
RHEUMATISM 
 1. systemic progression of connective tissue deorganization (mucoid 
swelling, fibrous changes, cellular reaction, sclerosis) 
 2. damage of the vessels 
 3. immunopathological processes: specific cellular reaction is 
rheumatic granuloma(Aschoff-Talalaev’s) – in the center there is a 
focus of fibrinoid necrosis with macrophages with hypertrophic 
nuclei, epithelial cells located in the fan-like manner, later a crown 
of lymphocytes appears.
Strep throat
Scarlet fever
CAUSES 
 Rheumatic fever can occur after an infection of 
the throat with a bacterium called Streptococcus 
pyogenes, or group A streptococcus. 
 Group A streptococcus infections of the throat 
cause strep throat or, less commonly, scarlet 
fever. Group A streptococcus infections of the 
skin or other parts of the body rarely trigger 
rheumatic fever.
 The exact link between strep infection and 
rheumatic fever isn't clear, but it appears that 
the bacterium "plays tricks" on the immune 
system. 
 The strep bacterium contains a protein similar to 
one found in certain tissues of the body. 
 Therefore, immune system cells that would 
normally target the bacterium may treat the 
body's own tissues as if they were infectious 
agents — particularly tissues of the heart, joints, 
skin and central nervous system. 
 This immune system reaction results in 
inflammation.
RISK FACTORS 
Factors that may increase the risk of rheumatic 
fever include: 
 Family history. Some people may carry a gene 
or genes that make them more likely to develop 
rheumatic fever. 
 Type of strep bacteria. Certain strains of strep 
bacteria are more likely to contribute to 
rheumatic fever than are other strains. 
 Environmental factors. A greater risk of 
rheumatic fever is associated with overcrowding, 
poor sanitation and other conditions that may 
easily result in the rapid transmission or 
multiple exposures to strep bacteria.
MAIN VARIANTS OF RF 
Cardio-vascular form 
Polyarthritis
CARDIO-VASCULAR FORM 
 Rheumatic perycarditis 
 Rheumatic myocarditis 
 Rheumatic epycarditis
RHEUMATIC PERICARDITIS 
 More often – exudative inflammation in 
perycardium 
 Variants of exudates – serous, hemorragic, 
fibrinous, mix. Never purulent
SEROUS PERICARDITIS 
 Hart is increase in size (a lot) due to serous 
exudate between inner and external leis of 
pericard 
 Serous exudate –contains a lot of water, low level 
of cells and low concentration of plasmatic 
proteins ( 2%-4%) 
 That*s why - Cardiac failure is very extensive 
but prognosis is better.
FIBRINOUS PERICARDITIS 
 Hart is bit increase in size due to dry exudate 
between inner and external leis of pericard 
 Fibrinous exudate –does not contain water (dry 
exudate), contains high level of cells and high 
concentration of plasmatic proteins (fibrin) 
 Cardiac failure is very extensive and prognosis is 
very bed. 
 That*s why - Fibrinous pericarditis - may be 
cause of death
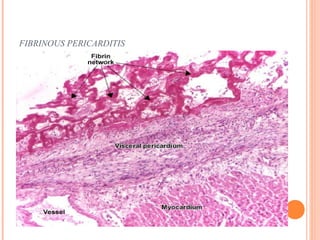
FIBRINOUS PERICARDITIS 
Rough pericardium, 
thick, 
non-transparent
FIBRINOUS PERICARDITIS
FIBRINOUS PERICARDITIS
RHEUMATIC MYOCARDITIS 
 3 variants – 
 1.Local proliferative – with granulomas (they are 
build with macrophages - Anichkov cells) 
 2. Local exudative with serous exudate 
 3. Diffuse exudative with serous exudate
LOCAL INTERSTITIAL EXUDATIVE MYOCARDITIS 
 Mild form 
 Local infiltration on interstitial tissue(lymphocytes, neutrophils etc.) 
 Hyperemia, edema 
 Outcome: reabsorption of exudate or formation of small focal 
cardiosclerosis
NODULAR PRODUCTIVE MYOCARDITIS 
 Moderate form 
 Histologically can see systemic blood congestion in interstitial 
tissue, infiltration(lymphocytes, histiocytes, neutrophils, 
eosinophils), granulomas in stroma around vessels, moderate focal 
degeneration of cardiomyocytes and protein & fat degeneration in 
cardiomyocytes. 
 Outcome: mild(small diffused) cardiosclerosis, restoration of 
cardiomyocytes structure.
IMMUNOPATHOLOGICAL PROCESSES : RHEUMATIC 
GRANULOMA(ASCHOFF-TALALAEV’S)
DIFFUSE INTERSTITIAL EXUDATIVE MYOCARDITIS 
 Severe form 
 Histologically can see formation of nodular granuloma surrounding 
connective tissue of vessels, diffuse congestion & edema in stroma, 
diffuse infiltration of histiocytes, lymphocytes, neutrophils, 
eosinophils, and local degeneration of cardiomyocytes. 
 Outcome: 1. acute cardiac failure 
2. diffuse cardiac sclerosis
MYOCARDITIS
ASCHOFF’S BODY IN RHEUMATIC MYOCARDITIS
RHEUMATIC ENDOCARDITIS 
 Mural variant 
 Chordal variant 
 Valvular variant is the most important 
-mitral valve 
-aortic valve 
-combine pathology 
_______________________________________________ 
In all cases – never tricuspidal 
valve
RHEUMATIC ENDOCARDITIS 
 According to A.I.Abrikosov, valvular endocarditis is 
classified into: 
1. diffuse or valvulitis 
2. acute warty (verrucouse) endocarditis 
3. fibroplastic 
4. relapsing (recurrent) warty (verrucouse) 
endocarditis
Morphological form of 
endocarditis 
Macroscopic Histological 
1. Diffuse -normal configuration of valves. -disorganization of connective tissue in thickness 
of valves (mucoid swelling, fibrinoid necrosis). 
2. Acute warty -normal configuration of valves 
with thrombus 
-some stages of connective tissue disorganization 
(mucoid swelling & fibrinoid changes), celullar 
reaction, thrombosis with rough surface of 
thrombus. 
3. Fibroplastic -valves become irregularly thick 
with rough surface 
-in valves, zone of fibrosis, calcification & 
vascularization, vessels are absent. 
-in sclerosis, can see vascularization & 
connective tissue. 
4. Relapsing warty -valves become irregularly thick, 
dense & whitish 
-some zones involve 
inconsistency of stone (in zone of 
calcification) & thrombosis 
-old changes: sclerosis with vascularization, 
calcification & hyalinosis. Result: granuloma& specific 
diffused cellular reaction, infiltration of leukocytes, 
plasmaic cells, deformation of valves, & thrombus. 
-new changes in new attack: zone of disorganization of 
connective tissue, granuloma & unspecified diffused 
cellular reaction & cellular infiltration.
Thin, elastic cusp 
ACUTE WARTY ENDOCARDITIS IN CASE OF RHEUMATIC FEVER
Valvular disorders
RHEUMATIC DISEASE. THE 
CARDIOVASCULAR FORM. 
ACUTE WARTY 
ENDOCARDITIS MYOCARDITIS 
NEOVASCULARI 
ZATION OF THE 
MITRAL VALVE 
MITRAL 
STENOSIS 
AORTAL 
STENOSIS
 Heart failure 
This is the heart of a 44 year old woman who had rheumatic fever and had 
been treated for congestive heart failure for about one year. There is 
extreme fibrosis of the mitral valve with fusion of commissures and 
rigidity of the leaflets, leading to both stenosis and insufficiency. Note that 
the cordae, which are normally like fine linen threads, look more like 
ropes here. Note the enormous atrial dilation. As you would suspect, this 
woman had hypertension.
RHEUMATISM IN VESSELS 
 Morphological forms of rheumatic vasculitis: 
1. destructive: prevailing in vessel wall 
2. proliferative: proliferation of cells in vessels (macrophages, mast 
cells) 
3. mixed: small focus of degeneration, in background formation of 
microthrombosis, regeneration of cells, small fossa of destruction of 
brain & small hemorrhages. This form prevalently affect children. 
 Rheumatic vasculitis includes fibrinoid changes of the walls. In 
capilarries, there is endothelium proliferation followed by 
desquamation, so called endotheliosis. Vascular permeability 
increases sharply. 
 Outcome: vascular sclerosis(arteriolosclerosis, arteriosclerosis, 
capillarosclerosis).
VASCULITIS
VASCULITIS
RHEUMATOID VASCULITIS 
Rheumatoid vasculitis 
with skin ulceration on 
the dorsum of the foot
RHEUMATOID 
ARTHRITIS
RHEUMATISM IN JOINTS: POLYARTHRITIS 
 Marked changes in the synovial membrane & preservation of 
articular cartilage 
 Histological changes: 
-serous, fibrinous exudative in cavity of joint 
-mucoid & fibrinous swelling of synovial membrane 
-proliferation of synovial sites 
-vasculitis of synovial membrane 
 Clinical appearance: variety & plurality of affection of joints 
 Outcome: resolution of exudate, restoration of structure of tissue 
without deformation
WHAT IS RHEUMATOID 
ARTHRITIS? 
 Rheumatoid arthritis (RA) is an autoimmune 
disease that causes chronic inflammation of the 
joints. 
 Rheumatoid arthritis can also cause 
inflammation of the tissue around the joints, as 
well as in other organs in the body. 
 Autoimmune diseases are illnesses that occur 
when the body's tissues are mistakenly attacked 
by their own immune system. 
 The immune system contains a complex 
organization of cells and antibodies designed 
normally to "seek and destroy" invaders of the 
body, particularly infections.
 Patients with autoimmune diseases have 
antibodies in their blood that target their own 
body tissues, where they can be associated with 
inflammation. 
 Because it can affect multiple other organs of the 
body, rheumatoid arthritis is referred to as a 
systemic illness and is sometimes called 
rheumatoid disease. 
 While rheumatoid arthritis is a chronic illness, 
meaning it can last for years, patients may 
experience long periods without symptoms. 
 However, rheumatoid arthritis is typically a 
progressive illness that has the potential to cause 
joint destruction and functional disability.
RHEUMATOID ARTHRITIS (INFECTIOUS 
POLYARTHRITIS) 
 Is a chronic disease with progresseive deorganization of the 
connective tissue of the articular membranes and cartilages which 
cause its deformation. 
 Pathology: Musculoskeletal system. Rheumatoid arthritis causes a 
broad spectrum of morphologic alterations, the most severe are 
manifested in the joints. Intially the synovium becomes edematous, 
thickened, & hyperplastic transforming its smooth contour to one 
covered by delicate & bulbous fronds. A dense perivascular 
inflammatory infiltrate composed of lymphoid follicles, plasma cells 
& macrophages fills the synovial stroma. The vascularity is 
increased with superficial hemosiderin deposits & scattered giant 
cells. Aggregates of organizing fibrin cover portions of the 
synovium & float in the joint space as rice bodies. Neutrophils 
accumulate in the synovial fluid & cluster along the surface but 
usually do not penetrate deep to the synovnocytes.
RHEUMATOID ARTHRITIS 
Low magnification revealed 
marked synovial hypertrophy. 
High magnification revealed 
subsynovial tissue containing a 
dense lymphoid aggregate.
CLINICAL APPEARANCE OF RHEUMATOID ARTHRITIS 
variety & plurality of affection of 
joints
RHEUMATOID ARTHRITIS 
Mild early swelling of 
the metacarpal joints and 
the wrist
RHEUMATISM IN NERVOUS SYSTEM 
 The damage is connected with rheumatic vasculitis. 
 Nervous cells degeneration, brain destruction & hemorrhages occur 
in the brain. 
 If these changes are clearly marked, they may cause chorea minor(in 
children).
SYSYTEMIC LUPUS ERYTHEMATOSUS (LIBMAN-SACKS 
DISEASE) 
 Is either acute or chronic disease with involvement of connective 
tissue with marked autoimmunization & damage of skin, vessels, 
kidneys. 
 Its incidence is the highest in young women (aged 18-23) & less 
frequent in elderly women & in men. 
 Etiology of Lupus Erythematosus is unknown.
 Pathology: Lupus Erythrematosus is characterized by different 
cellular & tissue changes which can be divided into 5 groups: 
1. Acute necrotic & degenerative changes of the connective tissue 
(all stages of deorganization). Fibrinoid is characterized by 
abundant nuclear protein arted chromatin granules. 
2. Subacute interstitial inflammation of all organs including 
bervous system with involvement of microcirculation(capillaritis, 
arteriolitis, vasculitis) 
3. Changes of sclerotic character caused by the above changes. This 
group is characterized by onion-like sclerosis in the spleen.
4. Changes of the immune system. Focal accumulation of leukocytes 
with marked plasmatization are present in the central and peripheral 
organs. Macrophage activity is increased. 
5. Nuclear pathology in the cells of all organs & tissues, particularly in 
lymphatic nodes. The shape of the nuclei does not change but they 
gradually lose DNA & look pale after staining. After the death of the 
cell, the nucleus disintegrates into granules, i.e. hematoxylin bodies, 
This phenomenon characterizes lupus erythematosus. Neutrophils & 
macrophages phagocytize hematoxylin bodies & form lupus cells. 
Their presence in the blood is a significant sign of lupus 
erythrematosus. Except for blood, they can be found in the bone 
marrow, spleen, lymphatic glands & walls of the vessels. 
 Visceral manifestations of lupus erythematosus: lupus endo-, myo- 
& pericarditis, abacterial warty endocarditis(Libman-Sacks 
endocarditis).
SYSTEMIC LUPUS ERYTHEMATOSUS 
Butterfly skin rash
CLINICAL APPEARANCE OF SYSTEMIC LUPUS 
ERYTHEMATOSUS
 Nosebleeds (epistaxis) 
 Skin nodules (small, painless nodules under the skin) 
 Sydenham chorea (emotional instability, muscle 
weakness and quick, uncoordinated jerky movements 
that mainly affect the face, feet, and hands)
Arthritis of the knee
Arthritis of the ankle
 Migratory Polyarthritis : usually the most 
common symptom is an arthritis (joint 
inflammation) that involves the larger joints of 
the body, especially the knees, ankles, wrists, 
and elbows, and which lasts a few days before 
moving to another joint. Joint swelling; redness 
or warmth
 Skin rash (erythema marginatum) 
Skin eruption on the trunk and upper part of 
the arms or legs 
Eruptions that look ring-shaped or snake-like
 A joint is where two bones meet to allow 
movement of body parts. Arthritis means joint 
inflammation. The joint inflammation of 
rheumatoid arthritis causes swelling, pain, 
stiffness, and redness in the joints. 
 The inflammation of rheumatoid disease can also 
occur in tissues around the joints, such as the 
tendons, ligaments, and muscles. 
 In some people with rheumatoid arthritis, 
chronic inflammation leads to the destruction of 
the cartilage, bone, and ligaments, causing 
deformity of the joints. 
 Damage to the joints can occur early in the 
disease and be progressive. 
 Moreover, studies have shown that the 
progressive damage to the joints does not 
necessarily correlate with the degree of pain, 
stiffness, or swelling present in the joints.
 Rheumatoid arthritis is a common rheumatic 
disease, affecting approximately 1.3 million 
people in the United States, according to current 
census data. The disease is three times more 
common in women as in men. It afflicts people of 
all races equally. The disease can begin at any 
age, but it most often starts after 40 years of age 
and before 60 years of age. In some families, 
multiple members can be affected, suggesting a 
genetic basis for the disorder.
WHAT CAUSES RHEUMATOID 
ARTHRITIS? 
 The cause of rheumatoid arthritis is unknown. Even 
though infectious agents such as viruses, bacteria, 
and fungi have long been suspected, none has been 
proven as the cause. 
 The cause of rheumatoid arthritis is a very active 
area of worldwide research. 
 It is believed that the tendency to develop rheumatoid 
arthritis may be genetically inherited. 
 It is also suspected that certain infections or factors 
in the environment might trigger the activation of the 
immune system in susceptible individuals. 
 This misdirected immune system then attacks the 
body's own tissues.
 This leads to inflammation in the joints and 
sometimes in various organs of the body, such as the 
lungs or eyes. 
 Regardless of the exact trigger, the result is an 
immune system that is geared up to promote 
inflammation in the joints and occasionally other 
tissues of the body. 
 Immune cells, called lymphocytes, are activated and 
chemical messengers (cytokines, such as tumor 
necrosis factor/TNF, interleukin-1/IL-1, and 
interleukin-6/IL-6) are expressed in the inflamed 
areas. 
 Environmental factors also seem to play some role in 
causing rheumatoid arthritis. 
 For example, scientists have reported that smoking 
tobacco increases the risk of developing rheumatoid 
arthritis.
WHAT ARE THE SYMPTOMS AND 
SIGNS OF RHEUMATOID 
ARTHRITIS? 
 Rheumatoid arthritis usually develops gradually, but 
some patients experience sudden onset of symptoms: 
one day they are perfectly healthy and the next they 
are dealing with rheumatoid arthritis. Symptoms 
commonly associated with rheumatoid arthritis 
include: 
 Joint pain, joint swelling, joint stiffness, and warmth 
around the affected joint 
 Morning stiffness that lasts one or more hours 
 Symmetrical pattern of affected joints, meaning the 
same joint on both sides of the body is affected (e.g., 
both knees) 
 Small joints of the hands and feet are 
characteristically involved, although any joint can be 
affected
 Rheumatoid nodules (firm lumps under the skin), 
found on elbows and hands of about one-fifth of 
rheumatoid arthritis patients 
 Fatigue and noticeable loss of energy 
 Low grade fevers and sometimes flu-like 
symptoms 
 Loss of appetite, weight loss, anemia associated 
with chronic diseases, depression 
 Dry eyes and dry mouth associated with a 
secondary condition Sjogren’s syndrome 
 Joint deformity and instability from damage to 
cartilage, tendons, ligaments, and bone 
 Limited range of motion in affected joints
 Flares and remission of disease activity is 
characteristic of rheumatoid arthritis 
 Rheumatoid arthritis may have systemic effects 
(i.e., affect the organs of the body) 
 No two rheumatoid arthritis cases are exactly the 
same. There is so much variety among the 
symptoms that some researchers suspect 
rheumatoid arthritis is not one disease but 
rather several diseases with commonalities.
DIAGNOSING RHEUMATOID 
ARTHRITIS 
 Diagnosing rheumatoid arthritis (RA), in the early stages, can 
be difficult. There is no single test that can clearly identify 
rheumatoid arthritis. Instead, doctors diagnose rheumatoid 
arthritis based on factors that are strongly associated with 
this disease. The American College of Rheumatology uses this 
list of criteria: 
1. Morning stiffness in and around the joints for at least one 
hour. 
2. Swelling or fluid around three or more joints simultaneously. 
3. At least one swollen area in the wrist, hand, or finger joints. 
4. Arthritis involving the same joint on both sides of the body 
(symmetric arthritis). 
5. Rheumatoid nodules, which are firm lumps in the skin of 
people with rheumatoid arthritis. These nodules are usually in 
pressure points of the body, most commonly the elbows. 
6. Abnormal amounts of rheumatoid factor in the blood. 
7. X-ray changes in the hands and wrists typical of rheumatoid 
arthritis, with destruction of bone around the involved joints.
 Rheumatoid arthritis is officially diagnosed if 
four or more of these seven factors are present. 
The first four factors must have been present for 
at least six weeks. 
 Several diseases can masquerade as rheumatoid 
arthritis, which contributes to the difficulty in 
diagnosis. These other diseases include: 
1. Osteoarthritis, or "regular" arthritis 
2. Gout 
3. Fibromyalgia 
4. Other autoimmune diseases such as systemic 
lupus erythematosus (lupus) 
5. Joint inflammation caused by infections
HOW IS RHEUMATOID ARTHRITIS 
TREATED? 
 The main treatment goals with rheumatoid 
arthritis are to control inflammation and slow or 
stop progression of RA. 
 Treatment is usually a multifaceted program of 
medications, occupational or physical therapy, 
and regular exercise. 
 Sometimes surgery is used to correct joint 
damage. 
 Early, aggressive treatment is key to good 
results. And with today’s treatments, joint 
damage can be slowed or stopped in many cases.
 NSAIDs 
 Nonsteroidal anti-inflammatory drug (NSAID) 
reduce pain and inflammation but do not slow 
progression of RA. 
 Therefore, people with moderate to severe RA 
often require additional medications to prevent 
further joint damage. 
 Most people with RA require a prescription 
NSAID as they offer longer lasting results and 
require fewer doses throughout the day. 
 All prescription NSAIDs carry a warning 
regarding the increased risk of heart attack and 
stroke. NSAIDs can also raise blood pressure. 
 In addition, NSAIDs can cause stomach 
irritation, ulcers, and bleeding.
 DMARDs 
 Disease-modifying antirheumatic drugs 
(DMARDs) help slow or stop progression of RA. 
The most common DMARD used to treat 
rheumatoid arthritis is methotrexate. 
 In rheumatoid arthritis, an overactive immune 
system targets joints and other areas of the body. 
 DMARDs work to suppress the immune system. 
However, they aren’t selective in their targets. 
 Thus, they decrease the immune system overall 
and increase the likelihood of catching infections.
 Biologics 
 The newest and most effective treatments for 
rheumatoid arthritis are biologics. 
 Biologics are genetically engineered proteins. 
 They are designed to inhibit specific components of 
the immune system that play a pivotal role in 
inflammation, a key component in rheumatoid 
arthritis. 
 Biologics are usually used when other medications 
have failed to stop the inflammation of rheumatoid 
arthritis. 
 Biologics may slow or even stop RA progression. 
 TNF blockers help to reduce pain and joint damage by 
blocking an inflammatory protein called tumor 
necrosis factor (TNF). 
 There is some evidence that TNF blockers may stop 
the progression of rheumatoid arthritis. 
 Recent studies have shown benefits when they are 
combined with methotrexate.
RHEUMATOID ARTHRITIS - 
KNEE JOINT 
 With rheumatoid arthritis, inflammation of the synovial lining 
causes swelling, pain, redness, warmth, and stiffness of the 
affected joint. The synovium begins to thicken and inflamed cells 
release enzymes that digest bone and cartilage. Joint damage and 
joint deformity may result causing limited range of motion and 
decreased function of the joint.
A photomicrograph (magnification 200) shows the redundant folds of the 
synovial lining and intense infiltration with inflammatory cells in RA. 
The intimal lining layer (solid arrow) is hyperplastic, with multiple 
layers of cells compared with a normal lining that is one or two cell 
layers deep. The sublining region (dashed arrow) is marked by 
accumulation of mononuclear cells such as CD4+ T cells, macrophages 
and B cells.
RHEUMATOID ARTHRITIS - 
HIP JOINT 
 Any joint can be affected by rheumatoid arthritis. Aggressive 
disease can reduce the range-of-motion of many joints. When the 
weightbearing joints are affected, such as the hips, knees, and 
ankles, mobility may be greatly impacted. 
 Joint erosion, which is visible on x-ray, can be severe and 
limiting. As the joint becomes eroded and cartilage is damaged, 
bone-on-bone can be the painful end result. Severe damage to 
cartilage, tendons, ligaments and bone can cause joints to become 
unstable and even deformed as rheumatoid arthritis progresses.
RHEUMATOID ARTHRITIS 
- HANDS 
 Rheumatoid arthritis most commonly begins in the smaller joints 
of the fingers, hands, and wrists. 
 Rheumatoid arthritis can result in hand deformity, joint problems 
and damage of the fingers, thumb, hand, and wrist including: 
 rheumatoid nodules joint swelling joint stiffness ulnar drift/ulnar 
deviation contractures wrist subluxation
 Juvenile rheumatoid arthritis 
 Juvenile rheumatoid arthritis is arthritis that causes joint 
inflammation and stiffness for more than 6 weeks in a child of 16 
years of age or less.
RHEUMATOID ARTHRITIS - 
SYSTEMIC DISEASE 
 Rheumatoid arthritis not only affects the joints. Rheumatoid 
arthritis is a systemic disease which may also affect other organs 
of the body including the skin, lungs, heart, and kidneys. 
 Rheumatoid arthritis is more prevalent in women than men. 
Interestingly, rheumatoid lung disease occurs more frequently in 
men who are positive for rheumatoid factor, have subcutaneous 
nodules, and a long disease course. 
 Rheumatoid arthritis patients also have a higher risk of coronary 
heart disease than people in the general population.
KNEE REPLACEMENT 
 Joint damage and deformity can be repaired by knee replacement 
surgery, which can also reduce pain and restore function. The 
knee cap is removed and the damaged portion (head) of the femur 
and tibia are shaved off or resurfaced. The two-part prosthesis 
(usually metal) is implanted.
HIP REPLACEMENT 
 Hip replacement surgerycan reduce pain, restore function, and 
correct joint damage and deformity. The hip is a ball (femoral head) 
and socket (acetabulum) joint. A total hip prosthesis consists of an 
acetabular component and femoral shaft which are surgically 
implanted to replace the damaged parts of the hip. 
 Joint replacements exist for other joints too, such as the shoulder, 
wrist, and ankle. Knee and hip replacements are most commonly 
performed. According to the National Institutes of Arthritis and 
Musculoskeletal and Skin Diseases, about 435,000 Americans have a 
hip or knee replaced each year.
RHEUMATOID NODULES 
MANY PEOPLE WITH RHEUMATOID ARTHRITIS FORM 
SUBCUTANEOUS NODULES. THESE ARE LUMPS THAT APPEAR ON 
OR NEAR THE AFFECTED JOINT AND ARE VISIBLE JUST BENEATH 
THE SKIN.
RHEUMATOID NEUTROPHILIC 
DERMATITIS 
 Sweet disease and pyoderma gangrenosum are other neutrophilic 
disorders sometimes seen in association with rheumatoid 
arthritis.
RHEUMATOID VASCULITIS 
 Cutaneous vasculitis may be a complication of rheumatoid arthritis 
and is characterised by dark purplish areas on the skin (purpura) 
caused by bleeding into the skin from blood vessels damaged by 
rheumatoid arthritis. Skin changes caused by rheumatoid vasculitis 
include: 
 Skin ulcers (usually leg ulcers) may be extensive and painful 
 Petechiae (purplish spots) or purpura 
 Nail fold or edge breakdown 
 Gangrene 
 In addition to skin changes, rheumatoid vasculitis can cause many 
internal symptoms, including sensory or motor neuropathy (loss of 
sensation), hepatomegaly (enlarged liver), splenomegaly (enlarged 
spleen), bowel ulcers, and haematuria (blood in urine).
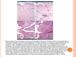
 Representative haematoxylin and eosin micrographs of synovium biopsies taken at osteoarthritis or 
rheumatoid arthritis total knee arthroplasty. (a-c) Osteoarthritis: (a) category 1 (least inflamed), (b) 
category 2, and (c) category 3 (most inflamed). I, synovium intima; L, lymphoid body; SV, small 
vessel; V, villus. (d) Rheumatoid arthritis, category 3. Each biopsy was assigned to one of four 
categories: 0 = normal: synovial intima less than four cells thick, sparse cellular distribution, with 
few or no inflammatory cells (not shown as normal synovial fluid samples were not accompanied by 
synovium biopsies); 1 = mild inflammation: synovial intima three to five cells thick, slight increase in 
cellularity with few inflammatory cells; 2 = moderate inflammation: synovial intima four to six cells 
thick, dense cellularity with inflammatory cells, may exhibit as small lymphoid aggregates; 3 = 
severe inflammation: synovial intima five to seven or more cells thick, dense cellularity with 
inflammatory cells, containing many or large perivascular lymphoid aggregates. Bar = 100 μm.
Histology of rheumatoid synovitis. A. The characteristic 
features of rheumatoid inflammation with hyperplasia of 
the lining layer (arrow) and mononuclear infiltrates in the 
sublining layer (double arrow). B. A higher magnification 
of the largely CD4+ T cell infiltrate around postcapillary 
venules (arrow).

Rheumatic fever

  • 1.
    RHEUMATIC DISEASES RHEUMATICFEVER & RHEUMATOID ARTHRITIS
  • 2.
  • 3.
    WHAT IS RHEUMATICFEVER? Rheumatic fever is a systemic inflammatory disease that can involve connective tissue of the heart, nervous system, skin, and joints. Rheumatic fever develops after streptococcus infections plus allergic responce. 
  • 4.
    Rheumatic fever canoccur at any age but primarily affects children from 5 years old to 15 years old. Rheumatic fever develops about 20 days after strep throat or scarlet fever. The streptococcus infection which leads to rheumatic fever may be asymptomatic in a third of all cases.
  • 5.
    MORPHOLOGICAL SIGNS OF RHEUMATISM  1. systemic progression of connective tissue deorganization (mucoid swelling, fibrous changes, cellular reaction, sclerosis)  2. damage of the vessels  3. immunopathological processes: specific cellular reaction is rheumatic granuloma(Aschoff-Talalaev’s) – in the center there is a focus of fibrinoid necrosis with macrophages with hypertrophic nuclei, epithelial cells located in the fan-like manner, later a crown of lymphocytes appears.
  • 6.
  • 7.
  • 8.
    CAUSES  Rheumaticfever can occur after an infection of the throat with a bacterium called Streptococcus pyogenes, or group A streptococcus.  Group A streptococcus infections of the throat cause strep throat or, less commonly, scarlet fever. Group A streptococcus infections of the skin or other parts of the body rarely trigger rheumatic fever.
  • 9.
     The exactlink between strep infection and rheumatic fever isn't clear, but it appears that the bacterium "plays tricks" on the immune system.  The strep bacterium contains a protein similar to one found in certain tissues of the body.  Therefore, immune system cells that would normally target the bacterium may treat the body's own tissues as if they were infectious agents — particularly tissues of the heart, joints, skin and central nervous system.  This immune system reaction results in inflammation.
  • 10.
    RISK FACTORS Factorsthat may increase the risk of rheumatic fever include:  Family history. Some people may carry a gene or genes that make them more likely to develop rheumatic fever.  Type of strep bacteria. Certain strains of strep bacteria are more likely to contribute to rheumatic fever than are other strains.  Environmental factors. A greater risk of rheumatic fever is associated with overcrowding, poor sanitation and other conditions that may easily result in the rapid transmission or multiple exposures to strep bacteria.
  • 12.
    MAIN VARIANTS OFRF Cardio-vascular form Polyarthritis
  • 13.
    CARDIO-VASCULAR FORM Rheumatic perycarditis  Rheumatic myocarditis  Rheumatic epycarditis
  • 14.
    RHEUMATIC PERICARDITIS More often – exudative inflammation in perycardium  Variants of exudates – serous, hemorragic, fibrinous, mix. Never purulent
  • 15.
    SEROUS PERICARDITIS Hart is increase in size (a lot) due to serous exudate between inner and external leis of pericard  Serous exudate –contains a lot of water, low level of cells and low concentration of plasmatic proteins ( 2%-4%)  That*s why - Cardiac failure is very extensive but prognosis is better.
  • 16.
    FIBRINOUS PERICARDITIS Hart is bit increase in size due to dry exudate between inner and external leis of pericard  Fibrinous exudate –does not contain water (dry exudate), contains high level of cells and high concentration of plasmatic proteins (fibrin)  Cardiac failure is very extensive and prognosis is very bed.  That*s why - Fibrinous pericarditis - may be cause of death
  • 17.
    FIBRINOUS PERICARDITIS Roughpericardium, thick, non-transparent
  • 18.
  • 19.
  • 20.
    RHEUMATIC MYOCARDITIS 3 variants –  1.Local proliferative – with granulomas (they are build with macrophages - Anichkov cells)  2. Local exudative with serous exudate  3. Diffuse exudative with serous exudate
  • 21.
    LOCAL INTERSTITIAL EXUDATIVEMYOCARDITIS  Mild form  Local infiltration on interstitial tissue(lymphocytes, neutrophils etc.)  Hyperemia, edema  Outcome: reabsorption of exudate or formation of small focal cardiosclerosis
  • 22.
    NODULAR PRODUCTIVE MYOCARDITIS  Moderate form  Histologically can see systemic blood congestion in interstitial tissue, infiltration(lymphocytes, histiocytes, neutrophils, eosinophils), granulomas in stroma around vessels, moderate focal degeneration of cardiomyocytes and protein & fat degeneration in cardiomyocytes.  Outcome: mild(small diffused) cardiosclerosis, restoration of cardiomyocytes structure.
  • 23.
    IMMUNOPATHOLOGICAL PROCESSES :RHEUMATIC GRANULOMA(ASCHOFF-TALALAEV’S)
  • 24.
    DIFFUSE INTERSTITIAL EXUDATIVEMYOCARDITIS  Severe form  Histologically can see formation of nodular granuloma surrounding connective tissue of vessels, diffuse congestion & edema in stroma, diffuse infiltration of histiocytes, lymphocytes, neutrophils, eosinophils, and local degeneration of cardiomyocytes.  Outcome: 1. acute cardiac failure 2. diffuse cardiac sclerosis
  • 25.
  • 26.
    ASCHOFF’S BODY INRHEUMATIC MYOCARDITIS
  • 27.
    RHEUMATIC ENDOCARDITIS Mural variant  Chordal variant  Valvular variant is the most important -mitral valve -aortic valve -combine pathology _______________________________________________ In all cases – never tricuspidal valve
  • 28.
    RHEUMATIC ENDOCARDITIS According to A.I.Abrikosov, valvular endocarditis is classified into: 1. diffuse or valvulitis 2. acute warty (verrucouse) endocarditis 3. fibroplastic 4. relapsing (recurrent) warty (verrucouse) endocarditis
  • 29.
    Morphological form of endocarditis Macroscopic Histological 1. Diffuse -normal configuration of valves. -disorganization of connective tissue in thickness of valves (mucoid swelling, fibrinoid necrosis). 2. Acute warty -normal configuration of valves with thrombus -some stages of connective tissue disorganization (mucoid swelling & fibrinoid changes), celullar reaction, thrombosis with rough surface of thrombus. 3. Fibroplastic -valves become irregularly thick with rough surface -in valves, zone of fibrosis, calcification & vascularization, vessels are absent. -in sclerosis, can see vascularization & connective tissue. 4. Relapsing warty -valves become irregularly thick, dense & whitish -some zones involve inconsistency of stone (in zone of calcification) & thrombosis -old changes: sclerosis with vascularization, calcification & hyalinosis. Result: granuloma& specific diffused cellular reaction, infiltration of leukocytes, plasmaic cells, deformation of valves, & thrombus. -new changes in new attack: zone of disorganization of connective tissue, granuloma & unspecified diffused cellular reaction & cellular infiltration.
  • 30.
    Thin, elastic cusp ACUTE WARTY ENDOCARDITIS IN CASE OF RHEUMATIC FEVER
  • 31.
  • 32.
    RHEUMATIC DISEASE. THE CARDIOVASCULAR FORM. ACUTE WARTY ENDOCARDITIS MYOCARDITIS NEOVASCULARI ZATION OF THE MITRAL VALVE MITRAL STENOSIS AORTAL STENOSIS
  • 33.
     Heart failure This is the heart of a 44 year old woman who had rheumatic fever and had been treated for congestive heart failure for about one year. There is extreme fibrosis of the mitral valve with fusion of commissures and rigidity of the leaflets, leading to both stenosis and insufficiency. Note that the cordae, which are normally like fine linen threads, look more like ropes here. Note the enormous atrial dilation. As you would suspect, this woman had hypertension.
  • 34.
    RHEUMATISM IN VESSELS  Morphological forms of rheumatic vasculitis: 1. destructive: prevailing in vessel wall 2. proliferative: proliferation of cells in vessels (macrophages, mast cells) 3. mixed: small focus of degeneration, in background formation of microthrombosis, regeneration of cells, small fossa of destruction of brain & small hemorrhages. This form prevalently affect children.  Rheumatic vasculitis includes fibrinoid changes of the walls. In capilarries, there is endothelium proliferation followed by desquamation, so called endotheliosis. Vascular permeability increases sharply.  Outcome: vascular sclerosis(arteriolosclerosis, arteriosclerosis, capillarosclerosis).
  • 35.
  • 36.
  • 37.
    RHEUMATOID VASCULITIS Rheumatoidvasculitis with skin ulceration on the dorsum of the foot
  • 38.
  • 39.
    RHEUMATISM IN JOINTS:POLYARTHRITIS  Marked changes in the synovial membrane & preservation of articular cartilage  Histological changes: -serous, fibrinous exudative in cavity of joint -mucoid & fibrinous swelling of synovial membrane -proliferation of synovial sites -vasculitis of synovial membrane  Clinical appearance: variety & plurality of affection of joints  Outcome: resolution of exudate, restoration of structure of tissue without deformation
  • 40.
    WHAT IS RHEUMATOID ARTHRITIS?  Rheumatoid arthritis (RA) is an autoimmune disease that causes chronic inflammation of the joints.  Rheumatoid arthritis can also cause inflammation of the tissue around the joints, as well as in other organs in the body.  Autoimmune diseases are illnesses that occur when the body's tissues are mistakenly attacked by their own immune system.  The immune system contains a complex organization of cells and antibodies designed normally to "seek and destroy" invaders of the body, particularly infections.
  • 41.
     Patients withautoimmune diseases have antibodies in their blood that target their own body tissues, where they can be associated with inflammation.  Because it can affect multiple other organs of the body, rheumatoid arthritis is referred to as a systemic illness and is sometimes called rheumatoid disease.  While rheumatoid arthritis is a chronic illness, meaning it can last for years, patients may experience long periods without symptoms.  However, rheumatoid arthritis is typically a progressive illness that has the potential to cause joint destruction and functional disability.
  • 42.
    RHEUMATOID ARTHRITIS (INFECTIOUS POLYARTHRITIS)  Is a chronic disease with progresseive deorganization of the connective tissue of the articular membranes and cartilages which cause its deformation.  Pathology: Musculoskeletal system. Rheumatoid arthritis causes a broad spectrum of morphologic alterations, the most severe are manifested in the joints. Intially the synovium becomes edematous, thickened, & hyperplastic transforming its smooth contour to one covered by delicate & bulbous fronds. A dense perivascular inflammatory infiltrate composed of lymphoid follicles, plasma cells & macrophages fills the synovial stroma. The vascularity is increased with superficial hemosiderin deposits & scattered giant cells. Aggregates of organizing fibrin cover portions of the synovium & float in the joint space as rice bodies. Neutrophils accumulate in the synovial fluid & cluster along the surface but usually do not penetrate deep to the synovnocytes.
  • 43.
    RHEUMATOID ARTHRITIS Lowmagnification revealed marked synovial hypertrophy. High magnification revealed subsynovial tissue containing a dense lymphoid aggregate.
  • 44.
    CLINICAL APPEARANCE OFRHEUMATOID ARTHRITIS variety & plurality of affection of joints
  • 45.
    RHEUMATOID ARTHRITIS Mildearly swelling of the metacarpal joints and the wrist
  • 46.
    RHEUMATISM IN NERVOUSSYSTEM  The damage is connected with rheumatic vasculitis.  Nervous cells degeneration, brain destruction & hemorrhages occur in the brain.  If these changes are clearly marked, they may cause chorea minor(in children).
  • 47.
    SYSYTEMIC LUPUS ERYTHEMATOSUS(LIBMAN-SACKS DISEASE)  Is either acute or chronic disease with involvement of connective tissue with marked autoimmunization & damage of skin, vessels, kidneys.  Its incidence is the highest in young women (aged 18-23) & less frequent in elderly women & in men.  Etiology of Lupus Erythematosus is unknown.
  • 48.
     Pathology: LupusErythrematosus is characterized by different cellular & tissue changes which can be divided into 5 groups: 1. Acute necrotic & degenerative changes of the connective tissue (all stages of deorganization). Fibrinoid is characterized by abundant nuclear protein arted chromatin granules. 2. Subacute interstitial inflammation of all organs including bervous system with involvement of microcirculation(capillaritis, arteriolitis, vasculitis) 3. Changes of sclerotic character caused by the above changes. This group is characterized by onion-like sclerosis in the spleen.
  • 49.
    4. Changes ofthe immune system. Focal accumulation of leukocytes with marked plasmatization are present in the central and peripheral organs. Macrophage activity is increased. 5. Nuclear pathology in the cells of all organs & tissues, particularly in lymphatic nodes. The shape of the nuclei does not change but they gradually lose DNA & look pale after staining. After the death of the cell, the nucleus disintegrates into granules, i.e. hematoxylin bodies, This phenomenon characterizes lupus erythematosus. Neutrophils & macrophages phagocytize hematoxylin bodies & form lupus cells. Their presence in the blood is a significant sign of lupus erythrematosus. Except for blood, they can be found in the bone marrow, spleen, lymphatic glands & walls of the vessels.  Visceral manifestations of lupus erythematosus: lupus endo-, myo- & pericarditis, abacterial warty endocarditis(Libman-Sacks endocarditis).
  • 50.
    SYSTEMIC LUPUS ERYTHEMATOSUS Butterfly skin rash
  • 51.
    CLINICAL APPEARANCE OFSYSTEMIC LUPUS ERYTHEMATOSUS
  • 52.
     Nosebleeds (epistaxis)  Skin nodules (small, painless nodules under the skin)  Sydenham chorea (emotional instability, muscle weakness and quick, uncoordinated jerky movements that mainly affect the face, feet, and hands)
  • 53.
  • 54.
  • 55.
     Migratory Polyarthritis: usually the most common symptom is an arthritis (joint inflammation) that involves the larger joints of the body, especially the knees, ankles, wrists, and elbows, and which lasts a few days before moving to another joint. Joint swelling; redness or warmth
  • 56.
     Skin rash(erythema marginatum) Skin eruption on the trunk and upper part of the arms or legs Eruptions that look ring-shaped or snake-like
  • 59.
     A jointis where two bones meet to allow movement of body parts. Arthritis means joint inflammation. The joint inflammation of rheumatoid arthritis causes swelling, pain, stiffness, and redness in the joints.  The inflammation of rheumatoid disease can also occur in tissues around the joints, such as the tendons, ligaments, and muscles.  In some people with rheumatoid arthritis, chronic inflammation leads to the destruction of the cartilage, bone, and ligaments, causing deformity of the joints.  Damage to the joints can occur early in the disease and be progressive.  Moreover, studies have shown that the progressive damage to the joints does not necessarily correlate with the degree of pain, stiffness, or swelling present in the joints.
  • 60.
     Rheumatoid arthritisis a common rheumatic disease, affecting approximately 1.3 million people in the United States, according to current census data. The disease is three times more common in women as in men. It afflicts people of all races equally. The disease can begin at any age, but it most often starts after 40 years of age and before 60 years of age. In some families, multiple members can be affected, suggesting a genetic basis for the disorder.
  • 61.
    WHAT CAUSES RHEUMATOID ARTHRITIS?  The cause of rheumatoid arthritis is unknown. Even though infectious agents such as viruses, bacteria, and fungi have long been suspected, none has been proven as the cause.  The cause of rheumatoid arthritis is a very active area of worldwide research.  It is believed that the tendency to develop rheumatoid arthritis may be genetically inherited.  It is also suspected that certain infections or factors in the environment might trigger the activation of the immune system in susceptible individuals.  This misdirected immune system then attacks the body's own tissues.
  • 62.
     This leadsto inflammation in the joints and sometimes in various organs of the body, such as the lungs or eyes.  Regardless of the exact trigger, the result is an immune system that is geared up to promote inflammation in the joints and occasionally other tissues of the body.  Immune cells, called lymphocytes, are activated and chemical messengers (cytokines, such as tumor necrosis factor/TNF, interleukin-1/IL-1, and interleukin-6/IL-6) are expressed in the inflamed areas.  Environmental factors also seem to play some role in causing rheumatoid arthritis.  For example, scientists have reported that smoking tobacco increases the risk of developing rheumatoid arthritis.
  • 63.
    WHAT ARE THESYMPTOMS AND SIGNS OF RHEUMATOID ARTHRITIS?  Rheumatoid arthritis usually develops gradually, but some patients experience sudden onset of symptoms: one day they are perfectly healthy and the next they are dealing with rheumatoid arthritis. Symptoms commonly associated with rheumatoid arthritis include:  Joint pain, joint swelling, joint stiffness, and warmth around the affected joint  Morning stiffness that lasts one or more hours  Symmetrical pattern of affected joints, meaning the same joint on both sides of the body is affected (e.g., both knees)  Small joints of the hands and feet are characteristically involved, although any joint can be affected
  • 64.
     Rheumatoid nodules(firm lumps under the skin), found on elbows and hands of about one-fifth of rheumatoid arthritis patients  Fatigue and noticeable loss of energy  Low grade fevers and sometimes flu-like symptoms  Loss of appetite, weight loss, anemia associated with chronic diseases, depression  Dry eyes and dry mouth associated with a secondary condition Sjogren’s syndrome  Joint deformity and instability from damage to cartilage, tendons, ligaments, and bone  Limited range of motion in affected joints
  • 65.
     Flares andremission of disease activity is characteristic of rheumatoid arthritis  Rheumatoid arthritis may have systemic effects (i.e., affect the organs of the body)  No two rheumatoid arthritis cases are exactly the same. There is so much variety among the symptoms that some researchers suspect rheumatoid arthritis is not one disease but rather several diseases with commonalities.
  • 66.
    DIAGNOSING RHEUMATOID ARTHRITIS  Diagnosing rheumatoid arthritis (RA), in the early stages, can be difficult. There is no single test that can clearly identify rheumatoid arthritis. Instead, doctors diagnose rheumatoid arthritis based on factors that are strongly associated with this disease. The American College of Rheumatology uses this list of criteria: 1. Morning stiffness in and around the joints for at least one hour. 2. Swelling or fluid around three or more joints simultaneously. 3. At least one swollen area in the wrist, hand, or finger joints. 4. Arthritis involving the same joint on both sides of the body (symmetric arthritis). 5. Rheumatoid nodules, which are firm lumps in the skin of people with rheumatoid arthritis. These nodules are usually in pressure points of the body, most commonly the elbows. 6. Abnormal amounts of rheumatoid factor in the blood. 7. X-ray changes in the hands and wrists typical of rheumatoid arthritis, with destruction of bone around the involved joints.
  • 67.
     Rheumatoid arthritisis officially diagnosed if four or more of these seven factors are present. The first four factors must have been present for at least six weeks.  Several diseases can masquerade as rheumatoid arthritis, which contributes to the difficulty in diagnosis. These other diseases include: 1. Osteoarthritis, or "regular" arthritis 2. Gout 3. Fibromyalgia 4. Other autoimmune diseases such as systemic lupus erythematosus (lupus) 5. Joint inflammation caused by infections
  • 68.
    HOW IS RHEUMATOIDARTHRITIS TREATED?  The main treatment goals with rheumatoid arthritis are to control inflammation and slow or stop progression of RA.  Treatment is usually a multifaceted program of medications, occupational or physical therapy, and regular exercise.  Sometimes surgery is used to correct joint damage.  Early, aggressive treatment is key to good results. And with today’s treatments, joint damage can be slowed or stopped in many cases.
  • 69.
     NSAIDs Nonsteroidal anti-inflammatory drug (NSAID) reduce pain and inflammation but do not slow progression of RA.  Therefore, people with moderate to severe RA often require additional medications to prevent further joint damage.  Most people with RA require a prescription NSAID as they offer longer lasting results and require fewer doses throughout the day.  All prescription NSAIDs carry a warning regarding the increased risk of heart attack and stroke. NSAIDs can also raise blood pressure.  In addition, NSAIDs can cause stomach irritation, ulcers, and bleeding.
  • 70.
     DMARDs Disease-modifying antirheumatic drugs (DMARDs) help slow or stop progression of RA. The most common DMARD used to treat rheumatoid arthritis is methotrexate.  In rheumatoid arthritis, an overactive immune system targets joints and other areas of the body.  DMARDs work to suppress the immune system. However, they aren’t selective in their targets.  Thus, they decrease the immune system overall and increase the likelihood of catching infections.
  • 71.
     Biologics The newest and most effective treatments for rheumatoid arthritis are biologics.  Biologics are genetically engineered proteins.  They are designed to inhibit specific components of the immune system that play a pivotal role in inflammation, a key component in rheumatoid arthritis.  Biologics are usually used when other medications have failed to stop the inflammation of rheumatoid arthritis.  Biologics may slow or even stop RA progression.  TNF blockers help to reduce pain and joint damage by blocking an inflammatory protein called tumor necrosis factor (TNF).  There is some evidence that TNF blockers may stop the progression of rheumatoid arthritis.  Recent studies have shown benefits when they are combined with methotrexate.
  • 72.
    RHEUMATOID ARTHRITIS - KNEE JOINT  With rheumatoid arthritis, inflammation of the synovial lining causes swelling, pain, redness, warmth, and stiffness of the affected joint. The synovium begins to thicken and inflamed cells release enzymes that digest bone and cartilage. Joint damage and joint deformity may result causing limited range of motion and decreased function of the joint.
  • 73.
    A photomicrograph (magnification200) shows the redundant folds of the synovial lining and intense infiltration with inflammatory cells in RA. The intimal lining layer (solid arrow) is hyperplastic, with multiple layers of cells compared with a normal lining that is one or two cell layers deep. The sublining region (dashed arrow) is marked by accumulation of mononuclear cells such as CD4+ T cells, macrophages and B cells.
  • 74.
    RHEUMATOID ARTHRITIS - HIP JOINT  Any joint can be affected by rheumatoid arthritis. Aggressive disease can reduce the range-of-motion of many joints. When the weightbearing joints are affected, such as the hips, knees, and ankles, mobility may be greatly impacted.  Joint erosion, which is visible on x-ray, can be severe and limiting. As the joint becomes eroded and cartilage is damaged, bone-on-bone can be the painful end result. Severe damage to cartilage, tendons, ligaments and bone can cause joints to become unstable and even deformed as rheumatoid arthritis progresses.
  • 75.
    RHEUMATOID ARTHRITIS -HANDS  Rheumatoid arthritis most commonly begins in the smaller joints of the fingers, hands, and wrists.  Rheumatoid arthritis can result in hand deformity, joint problems and damage of the fingers, thumb, hand, and wrist including:  rheumatoid nodules joint swelling joint stiffness ulnar drift/ulnar deviation contractures wrist subluxation
  • 77.
     Juvenile rheumatoidarthritis  Juvenile rheumatoid arthritis is arthritis that causes joint inflammation and stiffness for more than 6 weeks in a child of 16 years of age or less.
  • 78.
    RHEUMATOID ARTHRITIS - SYSTEMIC DISEASE  Rheumatoid arthritis not only affects the joints. Rheumatoid arthritis is a systemic disease which may also affect other organs of the body including the skin, lungs, heart, and kidneys.  Rheumatoid arthritis is more prevalent in women than men. Interestingly, rheumatoid lung disease occurs more frequently in men who are positive for rheumatoid factor, have subcutaneous nodules, and a long disease course.  Rheumatoid arthritis patients also have a higher risk of coronary heart disease than people in the general population.
  • 79.
    KNEE REPLACEMENT Joint damage and deformity can be repaired by knee replacement surgery, which can also reduce pain and restore function. The knee cap is removed and the damaged portion (head) of the femur and tibia are shaved off or resurfaced. The two-part prosthesis (usually metal) is implanted.
  • 80.
    HIP REPLACEMENT Hip replacement surgerycan reduce pain, restore function, and correct joint damage and deformity. The hip is a ball (femoral head) and socket (acetabulum) joint. A total hip prosthesis consists of an acetabular component and femoral shaft which are surgically implanted to replace the damaged parts of the hip.  Joint replacements exist for other joints too, such as the shoulder, wrist, and ankle. Knee and hip replacements are most commonly performed. According to the National Institutes of Arthritis and Musculoskeletal and Skin Diseases, about 435,000 Americans have a hip or knee replaced each year.
  • 81.
    RHEUMATOID NODULES MANYPEOPLE WITH RHEUMATOID ARTHRITIS FORM SUBCUTANEOUS NODULES. THESE ARE LUMPS THAT APPEAR ON OR NEAR THE AFFECTED JOINT AND ARE VISIBLE JUST BENEATH THE SKIN.
  • 82.
    RHEUMATOID NEUTROPHILIC DERMATITIS  Sweet disease and pyoderma gangrenosum are other neutrophilic disorders sometimes seen in association with rheumatoid arthritis.
  • 83.
    RHEUMATOID VASCULITIS Cutaneous vasculitis may be a complication of rheumatoid arthritis and is characterised by dark purplish areas on the skin (purpura) caused by bleeding into the skin from blood vessels damaged by rheumatoid arthritis. Skin changes caused by rheumatoid vasculitis include:  Skin ulcers (usually leg ulcers) may be extensive and painful  Petechiae (purplish spots) or purpura  Nail fold or edge breakdown  Gangrene  In addition to skin changes, rheumatoid vasculitis can cause many internal symptoms, including sensory or motor neuropathy (loss of sensation), hepatomegaly (enlarged liver), splenomegaly (enlarged spleen), bowel ulcers, and haematuria (blood in urine).
  • 84.
     Representative haematoxylinand eosin micrographs of synovium biopsies taken at osteoarthritis or rheumatoid arthritis total knee arthroplasty. (a-c) Osteoarthritis: (a) category 1 (least inflamed), (b) category 2, and (c) category 3 (most inflamed). I, synovium intima; L, lymphoid body; SV, small vessel; V, villus. (d) Rheumatoid arthritis, category 3. Each biopsy was assigned to one of four categories: 0 = normal: synovial intima less than four cells thick, sparse cellular distribution, with few or no inflammatory cells (not shown as normal synovial fluid samples were not accompanied by synovium biopsies); 1 = mild inflammation: synovial intima three to five cells thick, slight increase in cellularity with few inflammatory cells; 2 = moderate inflammation: synovial intima four to six cells thick, dense cellularity with inflammatory cells, may exhibit as small lymphoid aggregates; 3 = severe inflammation: synovial intima five to seven or more cells thick, dense cellularity with inflammatory cells, containing many or large perivascular lymphoid aggregates. Bar = 100 μm.
  • 85.
    Histology of rheumatoidsynovitis. A. The characteristic features of rheumatoid inflammation with hyperplasia of the lining layer (arrow) and mononuclear infiltrates in the sublining layer (double arrow). B. A higher magnification of the largely CD4+ T cell infiltrate around postcapillary venules (arrow).