UROLOGIC EMERGENCIES
RENAL INJURIES
SAYED M ELEWEEDY
PROF.OF UROLOGY
UROLOGY DEPARTMENT
AL-AZHAR UNIVERSITY
CAIRO, EGYPT
Incidence
• 3% of all trauma admissions
• 10% of patients with abdominal trauma
• 50% of all GU trauma
• Most renal trauma occurs as a result of blunt
trauma (85-90%)
Etiology
The major mechanisms
– Blunt (80-90%)
– Motor vehicle crash
– Sports
– Fall
– Penetrating (10-20%)
– Gunshot wounds
– Stab wounds
– Iatrogenic
– Endourologic procedures
– Extracorporeal shock-wave lithotripsy
– Percutaneous Renal biopsy procedures
Evaluation
Diagnosis of renal injury begins with a high index of clinical
awareness
The mechanism of injury provides the framework for the clinical
assessment
Attention should be paid to complaints of flank or abdominal
pain
Urinalysis should be performed in patients with suspecting
renal trauma
Based on these initial measures, radiographic or operative
investigation may follow.
Lab Studies
Urinalysis
– Gross hematuria is an important finding
– If gross hematuria is not present, a microscopic
examination is advisable
– 19-40% of renal injuries present without hematuria
– Renal pedicle injuries
– UPJ injuries
– 13% of patients with renal gunshot wounds did not have
hematuria
Hematuria
The degree of hematuria does not correlate well with
the extent of injury
The first voided or catheterized specimen is
advisable
 The presence or absence of hematuria should be
viewed in the clinical overview and not used as the
sole decision point in the assessment of a patient
with a possible renal laceration
Evaluation in Blunt trauma
Specify the force involved in the injury
(deceleration/acceleration)
– Speed of vehicle
– Height of fall
Suspect renal injury regardless presence or absence of
hematuria in
– Severe multiple trauma to the abdomen, flank , lower chest
Abnormal kidney (UPJO) is vulnerable to blunt trauma
Flank eccymosis, fracture lower ribs, transverse process
increase the index of suspicion of blunt renal trauma
Evaluation in Penetrating trauma
Gunshot injury
Differentiate between high and low velocity missiles
Entrance and exit wound site should be noticed
High velocity missiles(>2200ft/sec)Cause
– Entrance and exit wounds
– Extensive soft tissue injury
– Delayed tissue necrosis
Low velocity missiles
– Do not cause severe renal injuries unless passes through the hilum
or collecting system
Evaluation in Penetrating trauma
Stab injury
Note the length of the knife blade
Determine site of stab wound in relation to the anterior
axillary line(AAL)
– Entrance wounds anterior to the AAL and below the
nipple line
Usually associated with intraabdominal injuries
– Posterior to the AAL
Less likely to have associated intraperitoneal injuries
Renal injuries can be managed conservatively
Imaging Studies
Indication for renal imaging
1. Blunt trauma with gross hematuria
2. Blunt trauma with microscopic hematuria and shock
3. Major acceleration or deceleration injury
– Fall from height, high-speed accident
4. Microscopic or gross hematuria after penetrating flank,
back, or abdominal trauma
5. Pediatric trauma with any degree of significant hematuria
6. Associated injuries and physical signs suggesting
underlying renal injuries
 Flank eccymosis/tenderness
 Fracture lumbar spine
 Fractures posterior 11,12 ribs
Indication for renal imaging
 Imaging should be performed in the absence of
microscopic hematuria If you suspect any possible renal
injury on the basis of history or examination
 Patients with microscopic hematuria without shock can be
followed up clinically without imaging studies
– Significant injury is rare (less than 0.0016%)
Indication for renal imaging
• Pediatric patients (<16 years) sustaining blunt renal trauma
must be carefully evaluated for hematuria
– Children are at greater risk of renal trauma than adults after blunt
abdominal injury
– Children have a high catecholamine output after trauma, which
maintains blood pressure until approximately 50% of blood volume
has been lost
– Therefore, shock is not a useful parameter in children to determine
if imaging studies should be performed
– For pediatric patients, liberal use of studies should be considered.
Imaging Studies
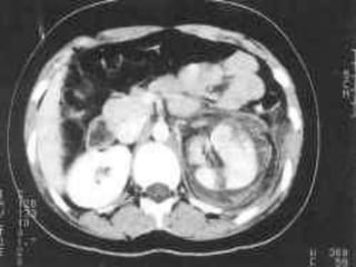
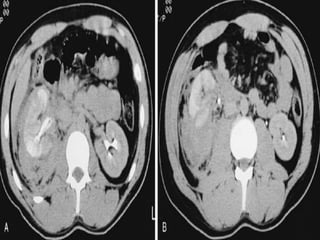
Computed tomography
Imaging study of choice for hemodynamically stable
patient
Sensitive and specific
Computed tomography
Advantages
(1) Functional and anatomic assessment of the kidneys
and urinary tract
(2) Establish the presence or absence of 2 functional
kidneys
(3) Diagnosis of concurrent injuries
(4) Delineates extravasations, segmental infarcts, and
hematoma
Computed tomography
Disadvantages
(1) Requires intravenous contrast
(2) Patient must be stable enough
(3) Full urinary assessment is dependent on the timing
of contrast and scanning in order to view the bladder
and ureters.
Intravenous urography
– Before CT scans, this modality provided the most
detailed information on renal anatomy
– In the trauma setting, "one-shot" technique can be used
Unstable patient requiring immediate laparotomy prior to renal
exploration
2ml/kg of body weight I.V contrast
Single image is obtained after 10 min
Controversy regarding the utility of the one-shot
system
Intravenous urography
"one-shot" technique determine
Function of the contralateral kidney
Presence and extent of extravasations
Nephrograme of the injured kidney
– Usually poorly opacified
– Suspect significant injury in
Nonvisualization of the kidney
Persistent nephrograme
Enhancement of only a segment
– Suspect significant perirenal hematoma
Obscured renal outline
Loss of ipsilateral psoas shadow
Displacement of the ureter or bowel
Intravenous urography
Advantages
(1) Functional and anatomic assessment of kidneys
and ureters
(2) Establishes the presence or absence of 2 functional
kidneys
(3) May be performed in the emergency department or
operating room
Intravenous urography
Disadvantages
(1) It requires multiple images for maximal information,
although a one-shot technique can be used
(2) The radiation dose is relatively high (0.007-0.0548 gy)
(3) Full IVU usually requires a trip to the radiology suite
(4) Findings do not reveal the full extent of injury
Angiography
Advantages
(1) Diagnostic and theraputic for renal injuries
(2) Define injury in patients with moderate IVP
abnormalities or with vascular injuries
Rarely used
Angiography
Disadvantages
(1) Invasive
(2) Requires contrast
(3) Requires mobilization of resources to perform the
study, which may be time-consuming
(4) The patient must travel to the radiology suite.
Ultrasonography
Advantages
(1) Noninvasive
(2) May be performed in real time in concert with
resuscitation
(3) May help define the anatomy of the injury
(4) Demonstrates perirenal fluid collection
(5) It confirms the presence of two kidneys
Ultrasonography
Disadvantages
(1) Optimal study results related to experienced sonographer
(2) The focused abdominal sonography for trauma, does not
define anatomy and, in fact, looks only for free fluid
(3) Bladder injuries may be missed
(4) inability to distinguish free blood from extravasated urine
(5) inability to identify vascular pedicle injuries
(6) inability to identify segmental infarcts
Ultrasonography
Negative ultrasonogram does not exclude renal
injury
Depending on clinical and laboratory findings,
other imaging Procedures such as CT should
be performed
Imaging study
Chest x-ray
– Fracture lower posterior ribs
Abdomen and pelvis plain film
– Fracture transverse processes of lumbar
vertebrae
– Fracture pelvic bones
Staging
Staging of renal injuries refers to the use of
appropriate imaging studies to define the extent of
injury
Combining these staging findings with information
gathered from history and physical examination
provides maximal guidance for management
decisions.
Staging
Generally Renal injuries divided into 3 groups
• Renal contusion
• Renal laceration
• Renal vascular injury
Grading system of renal trauma
Grade
I
Grade II
Grade Grade IV
Grade V
Radiological grading
1: Minor injury
contusion, intrarenal or subcapsularhematoma, minor
laceration with limited perirenal hematoma without extension into
collecting system or medulla,subsegmentalcortical infarct
2: Major
laceration extending from cortex to medulla/collecting system
with/without extravasations, segmental infarct
3: Catastrophic
Multiple lacerations, pedicular injury
4: PUJ avulsion
Grading
The majority of renal injuries are grade 1
(85%)
– Heal spontaneously
– Without adverse sequelae
– Require no imaging
– Require no active treatment
Significant injuries only in
– 4%of blunt trauma
– 77%of penetrating trauma
TREATMENT
TREATMENT
The approach to management of renal injuries has
changed over time
Nonoperative or expectant management approach has
increased, even in the most seriously injured kidneys,
replacing the past tendency toward aggressive
renorrhaphy
Nonoperative Management
98% of renal injuries can be managed nonoperatively
A hemodynamically stable patient with blunt renal injury and well
staged by CT (Grade I- IV) can usually be managed without renal
exploration
– Grade IV and V injuries more often require surgical exploration
– Even Grade (IV-V) can be managed without renal operation if they are
carefully staged and selected
Penetrating trauma from gunshot or stab wounds to the kidney can be
managed nonoperatively if carefully staged with CT
– 55% of renal stab wounds and 24% of gunshot wounds were appropriately
managed nonoperatively in carefully selected patients with well-staged
injuries
Nonoperative Treatment
Interventional radiology has extended the ability to use a
nonoperative approach
• Percutaneous drainage
• Angiography with selective embolization
• Endourologic stenting
With these approaches, successful nonoperative
management of renal lacerations may be achieved in a
greater number of patients
Nonoperative Treatment
Hospital admission and strict bed rest until the urine visibly
clears
Close monitoring of vital signs
Hematocrite value every 6 hours until stable
Broad spetrum antibiotics
Blood transfusion to stabilize the hematocrit
Once the gross hematuria clears, ambulation is allowed
If gross hematuria recur, bed rest is reinstated
Ambulation without sequelae allows discharge with close follow-up.
Operative Management
Indications for renal exploration In Blunt trauma
Only 2%of blunt renal injuries demand exploration
Absolute indications
• Expanding perirenal hematoma
• Pulsatile perirenal hematoma
• Persistent renal bleeding affecting hematocrit value
inspite of blood replacement
• Grade IV and V injuries
Operative Management
Indications for renal exploration In Blunt trauma
Relative indications
• Incomplete staging
• Urinary extravasations
• Nonviable tissue (>25%)
• Delayed diagnosis of arterial injury
• Segmental arterial injury
• Laparotomy for associated abdominal injuries (preop staged III-IV)
Operative Management
Indications for renal exploration
Penetrating trauma
Unstable or suspected intraperitoneal injury with
– Abnormal IVU
– Inconclusive IVU
– Normal IVU but expanding, pulsatile or uncontained retroperitoneal
hematoma
Stable without suspected intraperitoneal injury
– Grade V
Operative Treatment
The goals of operative therapy
• Hemorrhage control
• Renal tissue preservation
• Ability to address concurrent injuries
Surgical techniques
– Repair of laceration
– Partial nephrectomy
Avulsed fragments
Polar penetrating mechanism
Collecting system repair
– Adjuncts
Absorbable mesh wrap, topical thrombostatic agents,
and omentum
– Nephrectomy
Shattered kidney
Multiple concurrent injuries
Uncontrolled hemorrhage
COMPLICATIONS
Early
– Shock from massive bleeding
– Prolonged urinary extravasations
– Renal infarction
– Abscess formation
Late
– Delayed bleeding
– A-V fistula
– Abscess
– Hydronephrosis
– Hypertension
– Perinephric fibrosis with UPJ obstruction
Conclusion
Approach to diagnosis and management of renal trauma
had been changed
In patients with blunt trauma and in certain cases of
penetrating trauma, a progressive trend is towards
nonoperative management of renal trauma
In the setting of significant hemodynamic instability,
operative exploration remains the diagnostic and
therapeutic modality of choice
Conclusion
Interventional radiology and endourologic manipulation
have increased the ability to successfully treat patients
without surgery and to treat common complications of
renal trauma
Numerous diagnostic options exist in the setting of a
stable patient
With awareness of these modalities, the clinician can
provide each patient with optimal treatment.
Renal injuries by Sayed Eleweedy

Renal injuries by Sayed Eleweedy

  • 1.
    UROLOGIC EMERGENCIES RENAL INJURIES SAYEDM ELEWEEDY PROF.OF UROLOGY UROLOGY DEPARTMENT AL-AZHAR UNIVERSITY CAIRO, EGYPT
  • 2.
    Incidence • 3% ofall trauma admissions • 10% of patients with abdominal trauma • 50% of all GU trauma • Most renal trauma occurs as a result of blunt trauma (85-90%)
  • 3.
    Etiology The major mechanisms –Blunt (80-90%) – Motor vehicle crash – Sports – Fall – Penetrating (10-20%) – Gunshot wounds – Stab wounds – Iatrogenic – Endourologic procedures – Extracorporeal shock-wave lithotripsy – Percutaneous Renal biopsy procedures
  • 4.
    Evaluation Diagnosis of renalinjury begins with a high index of clinical awareness The mechanism of injury provides the framework for the clinical assessment Attention should be paid to complaints of flank or abdominal pain Urinalysis should be performed in patients with suspecting renal trauma Based on these initial measures, radiographic or operative investigation may follow.
  • 5.
    Lab Studies Urinalysis – Grosshematuria is an important finding – If gross hematuria is not present, a microscopic examination is advisable – 19-40% of renal injuries present without hematuria – Renal pedicle injuries – UPJ injuries – 13% of patients with renal gunshot wounds did not have hematuria
  • 6.
    Hematuria The degree ofhematuria does not correlate well with the extent of injury The first voided or catheterized specimen is advisable  The presence or absence of hematuria should be viewed in the clinical overview and not used as the sole decision point in the assessment of a patient with a possible renal laceration
  • 7.
    Evaluation in Blunttrauma Specify the force involved in the injury (deceleration/acceleration) – Speed of vehicle – Height of fall Suspect renal injury regardless presence or absence of hematuria in – Severe multiple trauma to the abdomen, flank , lower chest Abnormal kidney (UPJO) is vulnerable to blunt trauma Flank eccymosis, fracture lower ribs, transverse process increase the index of suspicion of blunt renal trauma
  • 8.
    Evaluation in Penetratingtrauma Gunshot injury Differentiate between high and low velocity missiles Entrance and exit wound site should be noticed High velocity missiles(>2200ft/sec)Cause – Entrance and exit wounds – Extensive soft tissue injury – Delayed tissue necrosis Low velocity missiles – Do not cause severe renal injuries unless passes through the hilum or collecting system
  • 9.
    Evaluation in Penetratingtrauma Stab injury Note the length of the knife blade Determine site of stab wound in relation to the anterior axillary line(AAL) – Entrance wounds anterior to the AAL and below the nipple line Usually associated with intraabdominal injuries – Posterior to the AAL Less likely to have associated intraperitoneal injuries Renal injuries can be managed conservatively
  • 10.
    Imaging Studies Indication forrenal imaging 1. Blunt trauma with gross hematuria 2. Blunt trauma with microscopic hematuria and shock 3. Major acceleration or deceleration injury – Fall from height, high-speed accident 4. Microscopic or gross hematuria after penetrating flank, back, or abdominal trauma 5. Pediatric trauma with any degree of significant hematuria 6. Associated injuries and physical signs suggesting underlying renal injuries  Flank eccymosis/tenderness  Fracture lumbar spine  Fractures posterior 11,12 ribs
  • 11.
    Indication for renalimaging  Imaging should be performed in the absence of microscopic hematuria If you suspect any possible renal injury on the basis of history or examination  Patients with microscopic hematuria without shock can be followed up clinically without imaging studies – Significant injury is rare (less than 0.0016%)
  • 12.
    Indication for renalimaging • Pediatric patients (<16 years) sustaining blunt renal trauma must be carefully evaluated for hematuria – Children are at greater risk of renal trauma than adults after blunt abdominal injury – Children have a high catecholamine output after trauma, which maintains blood pressure until approximately 50% of blood volume has been lost – Therefore, shock is not a useful parameter in children to determine if imaging studies should be performed – For pediatric patients, liberal use of studies should be considered.
  • 13.
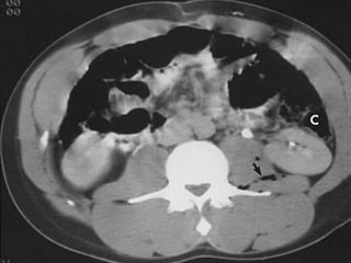
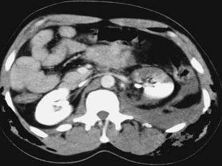
    Imaging Studies Computed tomography Imagingstudy of choice for hemodynamically stable patient Sensitive and specific
  • 14.
    Computed tomography Advantages (1) Functionaland anatomic assessment of the kidneys and urinary tract (2) Establish the presence or absence of 2 functional kidneys (3) Diagnosis of concurrent injuries (4) Delineates extravasations, segmental infarcts, and hematoma
  • 15.
    Computed tomography Disadvantages (1) Requiresintravenous contrast (2) Patient must be stable enough (3) Full urinary assessment is dependent on the timing of contrast and scanning in order to view the bladder and ureters.
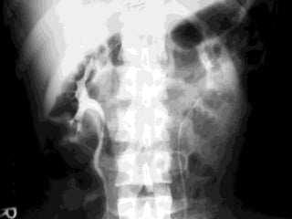
  • 16.
    Intravenous urography – BeforeCT scans, this modality provided the most detailed information on renal anatomy – In the trauma setting, "one-shot" technique can be used Unstable patient requiring immediate laparotomy prior to renal exploration 2ml/kg of body weight I.V contrast Single image is obtained after 10 min Controversy regarding the utility of the one-shot system
  • 17.
    Intravenous urography "one-shot" techniquedetermine Function of the contralateral kidney Presence and extent of extravasations Nephrograme of the injured kidney – Usually poorly opacified – Suspect significant injury in Nonvisualization of the kidney Persistent nephrograme Enhancement of only a segment – Suspect significant perirenal hematoma Obscured renal outline Loss of ipsilateral psoas shadow Displacement of the ureter or bowel
  • 18.
    Intravenous urography Advantages (1) Functionaland anatomic assessment of kidneys and ureters (2) Establishes the presence or absence of 2 functional kidneys (3) May be performed in the emergency department or operating room
  • 19.
    Intravenous urography Disadvantages (1) Itrequires multiple images for maximal information, although a one-shot technique can be used (2) The radiation dose is relatively high (0.007-0.0548 gy) (3) Full IVU usually requires a trip to the radiology suite (4) Findings do not reveal the full extent of injury
  • 21.
    Angiography Advantages (1) Diagnostic andtheraputic for renal injuries (2) Define injury in patients with moderate IVP abnormalities or with vascular injuries Rarely used
  • 22.
    Angiography Disadvantages (1) Invasive (2) Requirescontrast (3) Requires mobilization of resources to perform the study, which may be time-consuming (4) The patient must travel to the radiology suite.
  • 23.
    Ultrasonography Advantages (1) Noninvasive (2) Maybe performed in real time in concert with resuscitation (3) May help define the anatomy of the injury (4) Demonstrates perirenal fluid collection (5) It confirms the presence of two kidneys
  • 24.
    Ultrasonography Disadvantages (1) Optimal studyresults related to experienced sonographer (2) The focused abdominal sonography for trauma, does not define anatomy and, in fact, looks only for free fluid (3) Bladder injuries may be missed (4) inability to distinguish free blood from extravasated urine (5) inability to identify vascular pedicle injuries (6) inability to identify segmental infarcts
  • 25.
    Ultrasonography Negative ultrasonogram doesnot exclude renal injury Depending on clinical and laboratory findings, other imaging Procedures such as CT should be performed
  • 28.
    Imaging study Chest x-ray –Fracture lower posterior ribs Abdomen and pelvis plain film – Fracture transverse processes of lumbar vertebrae – Fracture pelvic bones
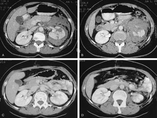
  • 29.
    Staging Staging of renalinjuries refers to the use of appropriate imaging studies to define the extent of injury Combining these staging findings with information gathered from history and physical examination provides maximal guidance for management decisions.
  • 30.
    Staging Generally Renal injuriesdivided into 3 groups • Renal contusion • Renal laceration • Renal vascular injury
  • 31.
    Grading system ofrenal trauma
  • 32.
  • 33.
  • 34.
    Radiological grading 1: Minorinjury contusion, intrarenal or subcapsularhematoma, minor laceration with limited perirenal hematoma without extension into collecting system or medulla,subsegmentalcortical infarct 2: Major laceration extending from cortex to medulla/collecting system with/without extravasations, segmental infarct 3: Catastrophic Multiple lacerations, pedicular injury 4: PUJ avulsion
  • 35.
    Grading The majority ofrenal injuries are grade 1 (85%) – Heal spontaneously – Without adverse sequelae – Require no imaging – Require no active treatment Significant injuries only in – 4%of blunt trauma – 77%of penetrating trauma
  • 36.
  • 37.
    TREATMENT The approach tomanagement of renal injuries has changed over time Nonoperative or expectant management approach has increased, even in the most seriously injured kidneys, replacing the past tendency toward aggressive renorrhaphy
  • 38.
    Nonoperative Management 98% ofrenal injuries can be managed nonoperatively A hemodynamically stable patient with blunt renal injury and well staged by CT (Grade I- IV) can usually be managed without renal exploration – Grade IV and V injuries more often require surgical exploration – Even Grade (IV-V) can be managed without renal operation if they are carefully staged and selected Penetrating trauma from gunshot or stab wounds to the kidney can be managed nonoperatively if carefully staged with CT – 55% of renal stab wounds and 24% of gunshot wounds were appropriately managed nonoperatively in carefully selected patients with well-staged injuries
  • 39.
    Nonoperative Treatment Interventional radiologyhas extended the ability to use a nonoperative approach • Percutaneous drainage • Angiography with selective embolization • Endourologic stenting With these approaches, successful nonoperative management of renal lacerations may be achieved in a greater number of patients
  • 40.
    Nonoperative Treatment Hospital admissionand strict bed rest until the urine visibly clears Close monitoring of vital signs Hematocrite value every 6 hours until stable Broad spetrum antibiotics Blood transfusion to stabilize the hematocrit Once the gross hematuria clears, ambulation is allowed If gross hematuria recur, bed rest is reinstated Ambulation without sequelae allows discharge with close follow-up.
  • 41.
    Operative Management Indications forrenal exploration In Blunt trauma Only 2%of blunt renal injuries demand exploration Absolute indications • Expanding perirenal hematoma • Pulsatile perirenal hematoma • Persistent renal bleeding affecting hematocrit value inspite of blood replacement • Grade IV and V injuries
  • 42.
    Operative Management Indications forrenal exploration In Blunt trauma Relative indications • Incomplete staging • Urinary extravasations • Nonviable tissue (>25%) • Delayed diagnosis of arterial injury • Segmental arterial injury • Laparotomy for associated abdominal injuries (preop staged III-IV)
  • 43.
    Operative Management Indications forrenal exploration Penetrating trauma Unstable or suspected intraperitoneal injury with – Abnormal IVU – Inconclusive IVU – Normal IVU but expanding, pulsatile or uncontained retroperitoneal hematoma Stable without suspected intraperitoneal injury – Grade V
  • 44.
    Operative Treatment The goalsof operative therapy • Hemorrhage control • Renal tissue preservation • Ability to address concurrent injuries
  • 45.
    Surgical techniques – Repairof laceration – Partial nephrectomy Avulsed fragments Polar penetrating mechanism Collecting system repair – Adjuncts Absorbable mesh wrap, topical thrombostatic agents, and omentum – Nephrectomy Shattered kidney Multiple concurrent injuries Uncontrolled hemorrhage
  • 46.
    COMPLICATIONS Early – Shock frommassive bleeding – Prolonged urinary extravasations – Renal infarction – Abscess formation Late – Delayed bleeding – A-V fistula – Abscess – Hydronephrosis – Hypertension – Perinephric fibrosis with UPJ obstruction
  • 52.
    Conclusion Approach to diagnosisand management of renal trauma had been changed In patients with blunt trauma and in certain cases of penetrating trauma, a progressive trend is towards nonoperative management of renal trauma In the setting of significant hemodynamic instability, operative exploration remains the diagnostic and therapeutic modality of choice
  • 53.
    Conclusion Interventional radiology andendourologic manipulation have increased the ability to successfully treat patients without surgery and to treat common complications of renal trauma Numerous diagnostic options exist in the setting of a stable patient With awareness of these modalities, the clinician can provide each patient with optimal treatment.