By
Mahmoud E. Abou El-Magd
Assistant lecturer of pulmonary and critical care medicine
PULMONARY
ECHINOCOCCOSIS
INTRODUCTION
PULMONARY ECHINOCOCCOSIS 2
• Echinococcosis or hydatid disease is caused by larvae
of the tapeworm Echinococcus.
• The vast majority of infestations in humans are caused
by E. granulosus. Causing cystic echinococcosis.
• Humans are exposed less frequently to E. multilocularis,
which causes alveolar echinococcosis, becauseE.
Multilocularis infestation usually occurs in colder areas
and is associated with animals in wild ecosystems,
especially foxes.
PULMONARY ECHINOCOCCOSIS 3
PULMONARY ECHINOCOCCOSIS 4
LIFE CYCLE
PULMONARY ECHINOCOCCOSIS 5
• The hydatid tapeworm (E. granulosus) requires two hosts to
complete its life cycle. Dogs (and other canines) are the
definitive host and a variety of species of warm-blooded
vertebrates (sheep, cattle, goats, horses, pigs, camels and
humans) are the intermediate host.
• The adult worm inhabits the small intestine of the definitive host,
is usually 2–7 mm long,
• The eggs pass out in the faeces of the dog and stick to the
animals fur or to grass. These eggs can survive for at least one
year in the outside world. Flies help to spread the eggs, as does
the wind.
PULMONARY ECHINOCOCCOSIS 6
• Intermediate hosts ingest eggs when grazing on contaminated
ground and the embryos are released after hatching in the small
intestine. Embryos then enter the portal circulation through the
intestinal wall and travel to visceral capillary beds, usually the
liver or the lung, where they develop into cystic metacestodes.
The parasite then grows to form a cyst filled with fluid.
• Direct transmission of echinococcosis from human to human
does not occur.
• The eggs can also be inhaled, causing primary lung disease .
ORGAN INVOLVEMENT
PULMONARY ECHINOCOCCOSIS 7
• Following ingestion of E. granulosus eggs, the cyst can be
found in virtually any organ (primary echinococcosis).
• Secondary echinococcosis results from the spread of the
metacestodes from the primary sites.
• The liver is the most common site of cyst formation, followed by
the lung in 10–30% of cases and other sites (usually the spleen,
kidney, orbit, heart, brain and bone) iny10% of cases .
• Pulmonary hydatid disease affects the right lung in 60% of
cases, 30% exhibit multiple pulmonary cysts, 20% bilateral cysts
and 60% are located in the lower lobes
PULMONARY ECHINOCOCCOSIS 8
PULMONARY ECHINOCOCCOSIS 9
• Hydatid disease is seen in subjects of any age and sex,
although it is more common in those aged 20–40 yrs .
• Most intact lung cysts are discovered incidentally on chest
radiographs.
• Small cysts may remain asymptomatic indefinitely, but cysts
may enlarge to 20 cm in diameter and cause symptoms by
compressing adjacent structures.
PULMONARY ECHINOCOCCOSIS 10
• Mediastinal cysts may erode into adjacent structures causing
bone pain or airflow limitation.
• Symptomatic hydatid disease of the lung, however, more often
follows rupture of the cyst. The cyst may rupture spontaneously
or as a result of trauma or secondary infection.
• Rupture may be associated with the sudden onset of cough and
fever. If the contents of the cyst are expelled into the airway,
expectoration of a clear salty or peppery tasting fluid containing
fragments of hydatid membrane and scolices may occur.
PULMONARY ECHINOCOCCOSIS 11
• Release of antigenic material and secondary immunological
reactions that develop following cyst rupture. Fever and acute
hypersensitivity reactions ranging from urticaria and wheezing to
life-threatening anaphylaxis.
• Other potential clinical effects of hydatid infection include
immune complex-mediated disease, glomerulonephritis leading
to nephrotic syndrome, and secondary amyloidosis .
• Hydatid disease is a rare cause of recurrent acute pulmonary
embolism. This complication may develop after invasion of the
cardiovascular system or direct invasion of the inferior vena
cava .
PULMONARY ECHINOCOCCOSIS 12
• Calcification, which usually requires 5–10 yrs for development,
occurs quite commonly with hepatic cysts but rarely with
pulmonary cysts.
PULMONARY ECHINOCOCCOSIS 13
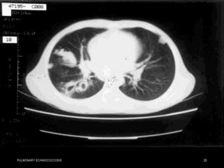
PULMONARY ECHINOCOCCOSIS 14
• Typical chest radiographic
appearances of
uncomplicated pulmonary
hydatid disease are one or
more homogeneous round or
oval masses with smooth
borders surrounded by normal
lung tissue.
PULMONARY ECHINOCOCCOSIS 15
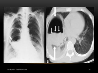
PULMONARY ECHINOCOCCOSIS 16
• If the ruptured cyst
communicates with the
tracheobronchial tree,
evacuation of the
contents of the cyst
results in an air/fluid
level.
• (partial rupture)
PULMONARY ECHINOCOCCOSIS 17
• Cyst growth produces
erosions in the
bronchioles as a
result, air ,producing
the crescent or
meniscus sign .
• (partial rupture)
SIGNET RING SIGN (IMPENDING RUPTURE)
18PULMONARY ECHINOCOCCOSIS
PULMONARY ECHINOCOCCOSIS 19
• Air penetrating the
interior of the cyst may
outline the inner surface
producing parallel
arches of air that are
referred to as Cumbo
sign with an "onionpeel“
appearance .
PULMONARY ECHINOCOCCOSIS 20
PULMONARY ECHINOCOCCOSIS 21
Double arch sign.
(complete rupture)
PULMONARY ECHINOCOCCOSIS 22
• ruptured hydatid cyst
(white arrows) and the
collapsed parasitic ...
• Sun rising sign or sun
set sign .
• (complete rupture)
PULMONARY ECHINOCOCCOSIS 23
After partial expectoration
of the cyst fluid and
scolices, the cyst
empties and the
collapsed membranes
can be seen inside the
cyst (serpent sign).
PULMONARY ECHINOCOCCOSIS 24
PULMONARY ECHINOCOCCOSIS 25
• When it has completely
collapsed, the crumpled
endocyst floats freely in
the cyst fluid (water-lily
sign or Camelotte sign).
• (complete rupture with
expulsion of contents)
WATER LILY APPEARANCE (RUPTURED CYST)
CAMALOTE SIGN
26PULMONARY ECHINOCOCCOSIS
PULMONARY ECHINOCOCCOSIS 27
• Water lilly sign
CALCIFICATION OF PULMONARY CYSTS IS RARE. ON
CHEST RADIOGRAPHY, CALCIFICATION OF HEPATIC
CYSTS MAY BE EVIDENT.
PULMONARY ECHINOCOCCOSIS 28
PULMONARY ECHINOCOCCOSIS 29
• ultrasonography is unhelpful in most cases unless the cysts are
close to the pleural surface.
• On magnetic resonance imaging (MRI), cysts show low signal
intensity on T1-weighted images and high signal intensity on T2-
weighted images.
• Immunoscintigraphy utilises radiolabelled antibodies raised to
parasite antigens. Although not yet widely available clinically,
this may be a specific imaging modality in the future.
LABORATORY
PULMONARY ECHINOCOCCOSIS 30
• Routine laboratory tests do not show specific results. Less than
15% of cases exhibit eosinophilia .
• Protoscolices can sometimes be demonstrated in sputum, BAL
or pleural fluid.
IMMUNOLOGICAL TESTS
PULMONARY ECHINOCOCCOSIS 31
• 1) Casoni intradermal test .
• 2) Weinberg CFT : best method and it is accurate .
• 3) Latex slide agglutination test : simple, reliable and
specific .
• 4) Indirect hemagglutination test : non-specific .
• 5) Immunoelectrophoresis : detects the specific bands of
Echinococcus granulosus.
PULMONARY ECHINOCOCCOSIS 32
• Serological testing produces both many false-positive and many
false-negative results.
• False-positive reactions are more likely in the presence of other
helminthic infections (particularly neurocysticercosis), cancer
and immune disorders.
PULMONARY ECHINOCOCCOSIS 33
• children and pregnant subjects more frequently exhibit negative
serology.
• False negative results occur with varying frequency depending
upon the site of the lesion and cyst integrity and viability.
• A negative serological test generally does not rule out
echinococcosis .
PERCUTANEOUS ASPIRATION
PULMONARY ECHINOCOCCOSIS 34
• can confirm the diagnosis by demonstrating the presence of
protoscolices, or hydatid membranes.
• Active cysts exhibit clear watery fluid containing scolices .
PULMONARY ECHINOCOCCOSIS 35
SURGICAL TREATMENT
PULMONARY ECHINOCOCCOSIS 36
• It is considered the treatment of choice since the parasite can be completely
removed and the patient cured. The surgical options for lung cysts include
lobectomy, wedge resection, pericystectomy, intact endocystectomy and
capitonnage .
• During surgery it is important to rigorously minimise spillage of cyst contents
in order to prevent intraoperative dissemination and eventual recurrence.
• This may be accomplished by the delivery of intact cyst or by cystic fluid
aspiration with or without the use of a scolicidal solution and preoperative
therapy with albendazole .
PULMONARY ECHINOCOCCOSIS 37
• Puncture, aspiration or injection of a helminthicide and
reaspiration has been advocated for hepatic cysts. However, for
pulmonary cysts, this technique shows more complications and
is rarely indicated
• Scolicidal agents such as hypertonic saline, povidone-iodine,
formalin, ethanol or hydrogen peroxide may be used.
• If a protoscolicidal agent is used, it must remain in contact with
the cyst for 15 min. Most surgeons use 1% formaldehyde or
hypertonic saline solution for deactivation of cysts and
protection of the operative field.
PULMONARY ECHINOCOCCOSIS 38
• Bilateral hydatid disease of the lungs may be managed by one-
or two-stage surgery via either bilateral thoracotomy, sternotomy
or video-assisted thoracic surgery.
• Some prefer two-stage thoracotomy, operating on the side with
the larger , ruptured and infected cyst first. However, median
sternotomy is a better alternative for the treatment of bilateral
hydatid disease of the lung. This method is more economical,
causes less pain and is better tolerated than two thoracotomic
procedures .
MEDICAL TREATMENT
PULMONARY ECHINOCOCCOSIS 39
• Medical therapy with benzimidazoles is valuable in :
- disseminated disease.
- secondary lung or pleural hydatidosis.
- poor surgical risk patients.
- when there is intraoperative spillage fluid .
- adjunctive chemotherapy before and after surgery appears to reduce the
risk of recurrence by inactivating protoscolices and reduces the tension of
the cysts for easier cyst removal hydatid fluid .
• Therapy generally should begin 4 days prior to surgery and be continued for
1–3 months .
PULMONARY ECHINOCOCCOSIS 40
• Both drugs are also contraindicated in pregnancy (especially during the first
trimester) because of possible teratogenicity.
• A newer benzimidazole compound, oxfendazole, has been studied in a
mouse model and preliminary results suggest it may be a more effective
compound .
PREVENTION
PULMONARY ECHINOCOCCOSIS 41
• avoiding close contact with dogs.
• Vegetables, salads and fruit should be thoroughly washed before
consumption.
• Dog owners should practice good hygiene when handling their animals.
• It is important to wash the hands after handling dogs.
• Avoid contact with dog faeces.
• Prevent dogs from roaming or having access to raw sheep meat or viscera.
• All sheep carcasses should be disposed of correctly and immediately.
PULMONARY ECHINOCOCCOSIS 42
43PULMONARY ECHINOCOCCOSIS

Pulmonary echinococcosis

  • 1.
    By Mahmoud E. AbouEl-Magd Assistant lecturer of pulmonary and critical care medicine PULMONARY ECHINOCOCCOSIS
  • 2.
    INTRODUCTION PULMONARY ECHINOCOCCOSIS 2 •Echinococcosis or hydatid disease is caused by larvae of the tapeworm Echinococcus. • The vast majority of infestations in humans are caused by E. granulosus. Causing cystic echinococcosis. • Humans are exposed less frequently to E. multilocularis, which causes alveolar echinococcosis, becauseE. Multilocularis infestation usually occurs in colder areas and is associated with animals in wild ecosystems, especially foxes.
  • 3.
  • 4.
  • 5.
    LIFE CYCLE PULMONARY ECHINOCOCCOSIS5 • The hydatid tapeworm (E. granulosus) requires two hosts to complete its life cycle. Dogs (and other canines) are the definitive host and a variety of species of warm-blooded vertebrates (sheep, cattle, goats, horses, pigs, camels and humans) are the intermediate host. • The adult worm inhabits the small intestine of the definitive host, is usually 2–7 mm long, • The eggs pass out in the faeces of the dog and stick to the animals fur or to grass. These eggs can survive for at least one year in the outside world. Flies help to spread the eggs, as does the wind.
  • 6.
    PULMONARY ECHINOCOCCOSIS 6 •Intermediate hosts ingest eggs when grazing on contaminated ground and the embryos are released after hatching in the small intestine. Embryos then enter the portal circulation through the intestinal wall and travel to visceral capillary beds, usually the liver or the lung, where they develop into cystic metacestodes. The parasite then grows to form a cyst filled with fluid. • Direct transmission of echinococcosis from human to human does not occur. • The eggs can also be inhaled, causing primary lung disease .
  • 7.
    ORGAN INVOLVEMENT PULMONARY ECHINOCOCCOSIS7 • Following ingestion of E. granulosus eggs, the cyst can be found in virtually any organ (primary echinococcosis). • Secondary echinococcosis results from the spread of the metacestodes from the primary sites. • The liver is the most common site of cyst formation, followed by the lung in 10–30% of cases and other sites (usually the spleen, kidney, orbit, heart, brain and bone) iny10% of cases . • Pulmonary hydatid disease affects the right lung in 60% of cases, 30% exhibit multiple pulmonary cysts, 20% bilateral cysts and 60% are located in the lower lobes
  • 8.
  • 9.
    PULMONARY ECHINOCOCCOSIS 9 •Hydatid disease is seen in subjects of any age and sex, although it is more common in those aged 20–40 yrs . • Most intact lung cysts are discovered incidentally on chest radiographs. • Small cysts may remain asymptomatic indefinitely, but cysts may enlarge to 20 cm in diameter and cause symptoms by compressing adjacent structures.
  • 10.
    PULMONARY ECHINOCOCCOSIS 10 •Mediastinal cysts may erode into adjacent structures causing bone pain or airflow limitation. • Symptomatic hydatid disease of the lung, however, more often follows rupture of the cyst. The cyst may rupture spontaneously or as a result of trauma or secondary infection. • Rupture may be associated with the sudden onset of cough and fever. If the contents of the cyst are expelled into the airway, expectoration of a clear salty or peppery tasting fluid containing fragments of hydatid membrane and scolices may occur.
  • 11.
    PULMONARY ECHINOCOCCOSIS 11 •Release of antigenic material and secondary immunological reactions that develop following cyst rupture. Fever and acute hypersensitivity reactions ranging from urticaria and wheezing to life-threatening anaphylaxis. • Other potential clinical effects of hydatid infection include immune complex-mediated disease, glomerulonephritis leading to nephrotic syndrome, and secondary amyloidosis . • Hydatid disease is a rare cause of recurrent acute pulmonary embolism. This complication may develop after invasion of the cardiovascular system or direct invasion of the inferior vena cava .
  • 12.
    PULMONARY ECHINOCOCCOSIS 12 •Calcification, which usually requires 5–10 yrs for development, occurs quite commonly with hepatic cysts but rarely with pulmonary cysts.
  • 13.
  • 14.
    PULMONARY ECHINOCOCCOSIS 14 •Typical chest radiographic appearances of uncomplicated pulmonary hydatid disease are one or more homogeneous round or oval masses with smooth borders surrounded by normal lung tissue.
  • 15.
  • 16.
    PULMONARY ECHINOCOCCOSIS 16 •If the ruptured cyst communicates with the tracheobronchial tree, evacuation of the contents of the cyst results in an air/fluid level. • (partial rupture)
  • 17.
    PULMONARY ECHINOCOCCOSIS 17 •Cyst growth produces erosions in the bronchioles as a result, air ,producing the crescent or meniscus sign . • (partial rupture)
  • 18.
    SIGNET RING SIGN(IMPENDING RUPTURE) 18PULMONARY ECHINOCOCCOSIS
  • 19.
    PULMONARY ECHINOCOCCOSIS 19 •Air penetrating the interior of the cyst may outline the inner surface producing parallel arches of air that are referred to as Cumbo sign with an "onionpeel“ appearance .
  • 20.
  • 21.
    PULMONARY ECHINOCOCCOSIS 21 Doublearch sign. (complete rupture)
  • 22.
    PULMONARY ECHINOCOCCOSIS 22 •ruptured hydatid cyst (white arrows) and the collapsed parasitic ... • Sun rising sign or sun set sign . • (complete rupture)
  • 23.
    PULMONARY ECHINOCOCCOSIS 23 Afterpartial expectoration of the cyst fluid and scolices, the cyst empties and the collapsed membranes can be seen inside the cyst (serpent sign).
  • 24.
  • 25.
    PULMONARY ECHINOCOCCOSIS 25 •When it has completely collapsed, the crumpled endocyst floats freely in the cyst fluid (water-lily sign or Camelotte sign). • (complete rupture with expulsion of contents)
  • 26.
    WATER LILY APPEARANCE(RUPTURED CYST) CAMALOTE SIGN 26PULMONARY ECHINOCOCCOSIS
  • 27.
  • 28.
    CALCIFICATION OF PULMONARYCYSTS IS RARE. ON CHEST RADIOGRAPHY, CALCIFICATION OF HEPATIC CYSTS MAY BE EVIDENT. PULMONARY ECHINOCOCCOSIS 28
  • 29.
    PULMONARY ECHINOCOCCOSIS 29 •ultrasonography is unhelpful in most cases unless the cysts are close to the pleural surface. • On magnetic resonance imaging (MRI), cysts show low signal intensity on T1-weighted images and high signal intensity on T2- weighted images. • Immunoscintigraphy utilises radiolabelled antibodies raised to parasite antigens. Although not yet widely available clinically, this may be a specific imaging modality in the future.
  • 30.
    LABORATORY PULMONARY ECHINOCOCCOSIS 30 •Routine laboratory tests do not show specific results. Less than 15% of cases exhibit eosinophilia . • Protoscolices can sometimes be demonstrated in sputum, BAL or pleural fluid.
  • 31.
    IMMUNOLOGICAL TESTS PULMONARY ECHINOCOCCOSIS31 • 1) Casoni intradermal test . • 2) Weinberg CFT : best method and it is accurate . • 3) Latex slide agglutination test : simple, reliable and specific . • 4) Indirect hemagglutination test : non-specific . • 5) Immunoelectrophoresis : detects the specific bands of Echinococcus granulosus.
  • 32.
    PULMONARY ECHINOCOCCOSIS 32 •Serological testing produces both many false-positive and many false-negative results. • False-positive reactions are more likely in the presence of other helminthic infections (particularly neurocysticercosis), cancer and immune disorders.
  • 33.
    PULMONARY ECHINOCOCCOSIS 33 •children and pregnant subjects more frequently exhibit negative serology. • False negative results occur with varying frequency depending upon the site of the lesion and cyst integrity and viability. • A negative serological test generally does not rule out echinococcosis .
  • 34.
    PERCUTANEOUS ASPIRATION PULMONARY ECHINOCOCCOSIS34 • can confirm the diagnosis by demonstrating the presence of protoscolices, or hydatid membranes. • Active cysts exhibit clear watery fluid containing scolices .
  • 35.
  • 36.
    SURGICAL TREATMENT PULMONARY ECHINOCOCCOSIS36 • It is considered the treatment of choice since the parasite can be completely removed and the patient cured. The surgical options for lung cysts include lobectomy, wedge resection, pericystectomy, intact endocystectomy and capitonnage . • During surgery it is important to rigorously minimise spillage of cyst contents in order to prevent intraoperative dissemination and eventual recurrence. • This may be accomplished by the delivery of intact cyst or by cystic fluid aspiration with or without the use of a scolicidal solution and preoperative therapy with albendazole .
  • 37.
    PULMONARY ECHINOCOCCOSIS 37 •Puncture, aspiration or injection of a helminthicide and reaspiration has been advocated for hepatic cysts. However, for pulmonary cysts, this technique shows more complications and is rarely indicated • Scolicidal agents such as hypertonic saline, povidone-iodine, formalin, ethanol or hydrogen peroxide may be used. • If a protoscolicidal agent is used, it must remain in contact with the cyst for 15 min. Most surgeons use 1% formaldehyde or hypertonic saline solution for deactivation of cysts and protection of the operative field.
  • 38.
    PULMONARY ECHINOCOCCOSIS 38 •Bilateral hydatid disease of the lungs may be managed by one- or two-stage surgery via either bilateral thoracotomy, sternotomy or video-assisted thoracic surgery. • Some prefer two-stage thoracotomy, operating on the side with the larger , ruptured and infected cyst first. However, median sternotomy is a better alternative for the treatment of bilateral hydatid disease of the lung. This method is more economical, causes less pain and is better tolerated than two thoracotomic procedures .
  • 39.
    MEDICAL TREATMENT PULMONARY ECHINOCOCCOSIS39 • Medical therapy with benzimidazoles is valuable in : - disseminated disease. - secondary lung or pleural hydatidosis. - poor surgical risk patients. - when there is intraoperative spillage fluid . - adjunctive chemotherapy before and after surgery appears to reduce the risk of recurrence by inactivating protoscolices and reduces the tension of the cysts for easier cyst removal hydatid fluid . • Therapy generally should begin 4 days prior to surgery and be continued for 1–3 months .
  • 40.
    PULMONARY ECHINOCOCCOSIS 40 •Both drugs are also contraindicated in pregnancy (especially during the first trimester) because of possible teratogenicity. • A newer benzimidazole compound, oxfendazole, has been studied in a mouse model and preliminary results suggest it may be a more effective compound .
  • 41.
    PREVENTION PULMONARY ECHINOCOCCOSIS 41 •avoiding close contact with dogs. • Vegetables, salads and fruit should be thoroughly washed before consumption. • Dog owners should practice good hygiene when handling their animals. • It is important to wash the hands after handling dogs. • Avoid contact with dog faeces. • Prevent dogs from roaming or having access to raw sheep meat or viscera. • All sheep carcasses should be disposed of correctly and immediately.
  • 42.
  • 43.