CASE PRESENTATION
 49 yo, Malay woman
 No known medical illness
 Presented with :
 epigastric and RHC discomfort for 3 mo
 loss of weight
 fever for 1 day
 No loa/ no jaundice/ no obstructive symptoms
 Non smoker/ not alcoholic
 No family history of malignancy
PHYSICAL EXAMINATION
 Not jaundice, pink
 On abdominal examination
  hepatomegaly, non tender, irregular margin and firm in
consistency, no splenomegaly
 Respiratory and cardiovascular system was unremarkable
 Lymph nodes not palpable
 No stigmata of liver disease
 Vital signs  stable
 Afebrile
LAB INVESTIGATION
 FBC
 RP/ LFT
 Coagulation profile
 Viral screeening
 Alpha fetoprotein
FBC RP LFT COAG PROFILE
HB :11.96 UREA : 3.4 TB : 14 PT : 10.5
WC : 7.1 CREAT : 65 ALP : 113 INR : 1.03
PLT : 305 NA : 136 ALT : 47 APTT : 33.5
K : 4.2
DIFFERENTIAL DIAGNOSIS
 HCC
 Hepatic abcess
IMAGING
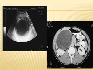
 Usg HBS
 Huge heterogenous cystic mass in the right liver
lobe measuring > 20.5cm X 12cm.Presence of
gallstone in GB.IHD and CBD not dilated
Imp : suggestive of hydatid cyst with diffrential of
amoebic liver abcess
*** further history : h/o of multiple visits to egypt
within past few years. Last visit was in feb 2013 whr
she took local salad dish with grilled fish and snails
delicacies
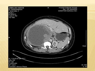
CT LIVER
INVESTIGATIONS (ODERED BY ID TEAM)
 Echinococcosis serology
 Amoebiasis serology
 Meliodosis serology
 Stool ova and cyst
 Blood c & s
MANAGEMENT
 Was referred to ID team
 Started on iv metronidazole 750mg TDS for
10 days
 Albendazole 400mg bd
 Referred to Hosp Selayang  planned for op
on 28/6
INTRODUCTION
Hydatid disease  tapeworm of genus echinococcus
4 types  E. granulosus ( commonest)
 E. multilocularis (most virulent)
 E.vogeli/ oligathrus ( rare)
Definitive host  dog/ wolf
Intermediate host  human/ sheep
EPIDEMIOLOGY
 found worldwide
 E. granulosus  in broad regions of Eurasia,
several South American countries, and Africa
 E. multilocularis  endemic in the central
part of Europe, parts of the Near East,
Russia, the Central Asian Republics, China,
northern Japan, and Alaska.
 E. vogeli humid tropical forests in central
and northern South America.
THE DISEASE CAN EFFECT ALMOST ANY ORGAN
BUT COMMONLY
 Liver
 Lung
 Brain
STRUCTURE OF HYDATID CYST
 Usually unilocular fluid filled cyst (fluid inside
 allergic/ toxic)
 3 layers
 Pericyst
 Ectocyst
 Endocyst
DIAGNOSES
 History and physical examination
 Laboratory
 Imaging
CLINICAL MANIFESTATION
 Involved organs
 Size of cysts and their sites within the
affected organ
 Interaction between the expanding cysts and
adjacent organ structures, particularly bile
ducts and the vascular system of the liver
LABORATORY
 Full blood count  eosinophilia
 Indirect hemagglutination test and enzyme-linked
immunosorbent assay are the most widely used
methods for detection of anti-Echinococcus
antibodies
IMAGING
 Plain AXR
 USG
 CT
 MRI, ERCP, MRCP (complicated cases)
CLASSIFICATION OF HYDATID CYSTS BASED ON
THE ULTRASOUND APPEARANCE.
 CL Active; Single cysts. Cysts are developing and are fertile. Cyst
wall not visible.
 CE1 Active; simple cyst often full of hydatid sand (snow flake sign).
Visible cyst wall.
 CE2 Active; multiple, or multi loculated cysts. May appear
honeycomb like with daughter cysts.
 CE3 Transition; degenerating cysts but still contain viable
protoscoleces. Often see floating membranes in fluid filled cysts
 CE4 Inactive; degeneration is advanced. Cysts may be calcified.
Not likely to be fertile. Heterogeneous appearance with few or no
daughter cysts.
 CE5 Inactive. Often calcified. Usually infertile.
MANAGEMENT
 Medical / Pharmacological
 Surgical
MEDICAL/PHARMACOLOGICAL
 Not curative
 Indication  inoperable / surgery in
contraindicated
 Used as adjunct to surgery  to kill spilled
scolices/ to avoid peritoneal contamination
 Drugs  albendazole,mebendazole,
praziquantel
THE PRINCIPLES OF SURGERY
 total removal of all infective components of
the cysts
 the avoidance of spillage of cyst contents at
time of surgery
 management of communication between cyst
and adjacent structures
 management of the residual cavity
 minimize risks of operation.
SURGERY  CURATIVE TREATMENT !!!
Uncomplicated hydatid cysts :
Radical/ conservative surgery
 Radical procedures  complete removal of the cyst with or without hepatic
resection.
 greater intraoperative risks
 Cystectomy, pericystectomy, lobectomy and hepatectomy
Conservative procedures  sterilization and evacuation of cyst content,
including the hydatid membrane (hydatidectomy), and partial removal of
the cyst .
 residual cavity remains, bearing the risk of secondary bacterial infection
and abscess formation & Higher recurrence rate
 Laparoscopic surgery
 offers a lower morbidity outcome and a shorter hospital
 laparoscopic procedure gives a better visual control of the cyst cavity
under magnification which allows a better detection of biliary fistula. This
approach is possible only in selected cases.
The criteria to exclude laparoscopic treatment of hydatid cyst of liver are:
 Rupture of the cyst in biliary tract
 Central localization of the cyst
 Cysts dimension >15 cm
 Number of cysts > 3
 Thickened or calcified walls
 opening of bile ducts that leak bile
disadvantage  is the lack of precautionary measures to prevent spillage
and allergic reactions are more common in laparoscopic interventions due
to peritoneal spillage.
PAIR ULTRASOUND GUIDED
PERCUTANOUS, ASPIRATION, INJECTION &
REASPIRATION
 percutaneous drainage of echinococcal cysts located
in the abdomen
 drainage is performed with a fine needle or a catheter
 killing of the protoscolices remaining in the cyst
cavity by a protoscolicide agent.
 If a catheter is temporarily left in the cyst  PAIRD
 If numerous and large daughter cysts are present, an
alternative percutaneous technique “Percutaneous
Puncture with Drainage and Curettage” (PPDC)” 
surgical settings, using specified materials.
COMPLICATIONS
 Intrabiliary rupture leading to:
 Biliary colic
 Obstructive jaundice
 Intraperitoneal rupture leading to:
 Acute abdomen (peritonitis)
 Anaphylactic shock
 Intrapleural rupture leading to:
Dyspnea
Blood and bile stained sputum
DISCUSSION
 PAIR vs open surgery??
 Semago conducted a meta-analysis comparing
769 patients with echinococcosis hepatic cysts
managed with PAIR method and compared it
with era matched 952 patients managed
surgically.
 PAIR was either combined with albendazole or
with out albendazole.
 Cases of hepatic ecchinococcus diagnosed and
included in analysis on basis of
clinical,radiological, cytologic and serologic
 Exclusion criteria: pregnant/infected cyst
 Surgical interventation consist of both radical
& conservative
 PAIR meets almost all the goals open
surgery of in activation of the cestode
parasite,evacuation of the cyst, removal of
germinal layer, and obliteration of the
remaining cavity
 Anaphylaxis, cyst infection, intra abdominal
abscess, sepsis, and biliary fistula occurred in
7.9 % and 25.1 % of PAIR treated and surgical
control subjects respectively
 Fever and allergic reactions were ecountered
more frequently in PAIR group(5.5 % and 2.5%)
respectively
 Minor reactions occurred more commonly
among surgical groups then PAIR, 13.1% and
33 %
 No peritoneal dissemination in PAIR group.
 Clinical and parasitologic cure occurred in
95.8 % in PAIR and 89.8 % in surgery
 Incomplete response occurred in 2.0 % and
3.2 % respectively
 Disease recurrence occurred in 1.6 and 6.3 %
respectively
 One procedure related death in PAIR due to
anaphylaxis compared to 0.7% ( 7 deaths) among
surgical controls.Causes of mortality includes
pulmonary complications,liver failure myocardial
infarction, generalised peritonitis and anaphylaxis
PAIR  greater clinical efficacy
 low rates of major and minor
complications, mortality, recurrence rate
and short hospitalization days.
LIMITATIONS OF THIS STUDY
 Shorter followup period for patients
underwent PAIR (20.5 mo) than surgical
control subjects (32 mo)
 It is not clear what type of patients have gone
to surgery
SOURCES
1. PAIR: Puncture, Aspiration, Injection, Re-Aspiration.An option for the
treatment of Cystic echinococcosis.http://www.who.int/emc
2. http//www.dpd.cdc.gov/dpdx
3. Raymond A. Smego et al. Percutaneous Aspiration-injection-
Reaaspiration plus albendazole or mebendazole for hepatic cystic
echinococcososis: A meta-analysis.The infectious diseases society of
America 2003.
1. http://emedicine.medscape.com
2. http://wwwnc.cdc.gov/travel/yellowbook/2012/chapter-3-infectious-
diseases-related-to-travel/echinococcosis
3. Falih mohsin ali et al.Laparoscopic vs open management in hydatid
cysts liver.World journal of laparasopic surgery jan-april 2011.7-11

Hydatid cyst theva

  • 2.
    CASE PRESENTATION  49yo, Malay woman  No known medical illness  Presented with :  epigastric and RHC discomfort for 3 mo  loss of weight  fever for 1 day  No loa/ no jaundice/ no obstructive symptoms  Non smoker/ not alcoholic  No family history of malignancy
  • 3.
    PHYSICAL EXAMINATION  Notjaundice, pink  On abdominal examination   hepatomegaly, non tender, irregular margin and firm in consistency, no splenomegaly  Respiratory and cardiovascular system was unremarkable  Lymph nodes not palpable  No stigmata of liver disease  Vital signs  stable  Afebrile
  • 4.
    LAB INVESTIGATION  FBC RP/ LFT  Coagulation profile  Viral screeening  Alpha fetoprotein
  • 5.
    FBC RP LFTCOAG PROFILE HB :11.96 UREA : 3.4 TB : 14 PT : 10.5 WC : 7.1 CREAT : 65 ALP : 113 INR : 1.03 PLT : 305 NA : 136 ALT : 47 APTT : 33.5 K : 4.2
  • 6.
  • 7.
    IMAGING  Usg HBS Huge heterogenous cystic mass in the right liver lobe measuring > 20.5cm X 12cm.Presence of gallstone in GB.IHD and CBD not dilated Imp : suggestive of hydatid cyst with diffrential of amoebic liver abcess *** further history : h/o of multiple visits to egypt within past few years. Last visit was in feb 2013 whr she took local salad dish with grilled fish and snails delicacies
  • 8.
  • 13.
    INVESTIGATIONS (ODERED BYID TEAM)  Echinococcosis serology  Amoebiasis serology  Meliodosis serology  Stool ova and cyst  Blood c & s
  • 14.
    MANAGEMENT  Was referredto ID team  Started on iv metronidazole 750mg TDS for 10 days  Albendazole 400mg bd  Referred to Hosp Selayang  planned for op on 28/6
  • 15.
    INTRODUCTION Hydatid disease tapeworm of genus echinococcus 4 types  E. granulosus ( commonest)  E. multilocularis (most virulent)  E.vogeli/ oligathrus ( rare) Definitive host  dog/ wolf Intermediate host  human/ sheep
  • 18.
    EPIDEMIOLOGY  found worldwide E. granulosus  in broad regions of Eurasia, several South American countries, and Africa  E. multilocularis  endemic in the central part of Europe, parts of the Near East, Russia, the Central Asian Republics, China, northern Japan, and Alaska.  E. vogeli humid tropical forests in central and northern South America.
  • 19.
    THE DISEASE CANEFFECT ALMOST ANY ORGAN BUT COMMONLY  Liver  Lung  Brain
  • 20.
    STRUCTURE OF HYDATIDCYST  Usually unilocular fluid filled cyst (fluid inside  allergic/ toxic)  3 layers  Pericyst  Ectocyst  Endocyst
  • 21.
    DIAGNOSES  History andphysical examination  Laboratory  Imaging
  • 22.
    CLINICAL MANIFESTATION  Involvedorgans  Size of cysts and their sites within the affected organ  Interaction between the expanding cysts and adjacent organ structures, particularly bile ducts and the vascular system of the liver
  • 23.
    LABORATORY  Full bloodcount  eosinophilia  Indirect hemagglutination test and enzyme-linked immunosorbent assay are the most widely used methods for detection of anti-Echinococcus antibodies
  • 24.
    IMAGING  Plain AXR USG  CT  MRI, ERCP, MRCP (complicated cases)
  • 26.
    CLASSIFICATION OF HYDATIDCYSTS BASED ON THE ULTRASOUND APPEARANCE.  CL Active; Single cysts. Cysts are developing and are fertile. Cyst wall not visible.  CE1 Active; simple cyst often full of hydatid sand (snow flake sign). Visible cyst wall.  CE2 Active; multiple, or multi loculated cysts. May appear honeycomb like with daughter cysts.  CE3 Transition; degenerating cysts but still contain viable protoscoleces. Often see floating membranes in fluid filled cysts  CE4 Inactive; degeneration is advanced. Cysts may be calcified. Not likely to be fertile. Heterogeneous appearance with few or no daughter cysts.  CE5 Inactive. Often calcified. Usually infertile.
  • 28.
    MANAGEMENT  Medical /Pharmacological  Surgical
  • 29.
    MEDICAL/PHARMACOLOGICAL  Not curative Indication  inoperable / surgery in contraindicated  Used as adjunct to surgery  to kill spilled scolices/ to avoid peritoneal contamination  Drugs  albendazole,mebendazole, praziquantel
  • 30.
    THE PRINCIPLES OFSURGERY  total removal of all infective components of the cysts  the avoidance of spillage of cyst contents at time of surgery  management of communication between cyst and adjacent structures  management of the residual cavity  minimize risks of operation.
  • 31.
    SURGERY  CURATIVETREATMENT !!! Uncomplicated hydatid cysts : Radical/ conservative surgery  Radical procedures  complete removal of the cyst with or without hepatic resection.  greater intraoperative risks  Cystectomy, pericystectomy, lobectomy and hepatectomy Conservative procedures  sterilization and evacuation of cyst content, including the hydatid membrane (hydatidectomy), and partial removal of the cyst .  residual cavity remains, bearing the risk of secondary bacterial infection and abscess formation & Higher recurrence rate
  • 32.
     Laparoscopic surgery offers a lower morbidity outcome and a shorter hospital  laparoscopic procedure gives a better visual control of the cyst cavity under magnification which allows a better detection of biliary fistula. This approach is possible only in selected cases. The criteria to exclude laparoscopic treatment of hydatid cyst of liver are:  Rupture of the cyst in biliary tract  Central localization of the cyst  Cysts dimension >15 cm  Number of cysts > 3  Thickened or calcified walls  opening of bile ducts that leak bile disadvantage  is the lack of precautionary measures to prevent spillage and allergic reactions are more common in laparoscopic interventions due to peritoneal spillage.
  • 33.
    PAIR ULTRASOUND GUIDED PERCUTANOUS,ASPIRATION, INJECTION & REASPIRATION  percutaneous drainage of echinococcal cysts located in the abdomen  drainage is performed with a fine needle or a catheter  killing of the protoscolices remaining in the cyst cavity by a protoscolicide agent.  If a catheter is temporarily left in the cyst  PAIRD  If numerous and large daughter cysts are present, an alternative percutaneous technique “Percutaneous Puncture with Drainage and Curettage” (PPDC)”  surgical settings, using specified materials.
  • 37.
    COMPLICATIONS  Intrabiliary ruptureleading to:  Biliary colic  Obstructive jaundice  Intraperitoneal rupture leading to:  Acute abdomen (peritonitis)  Anaphylactic shock  Intrapleural rupture leading to: Dyspnea Blood and bile stained sputum
  • 38.
    DISCUSSION  PAIR vsopen surgery??
  • 39.
     Semago conducteda meta-analysis comparing 769 patients with echinococcosis hepatic cysts managed with PAIR method and compared it with era matched 952 patients managed surgically.  PAIR was either combined with albendazole or with out albendazole.  Cases of hepatic ecchinococcus diagnosed and included in analysis on basis of clinical,radiological, cytologic and serologic  Exclusion criteria: pregnant/infected cyst
  • 40.
     Surgical interventationconsist of both radical & conservative
  • 41.
     PAIR meetsalmost all the goals open surgery of in activation of the cestode parasite,evacuation of the cyst, removal of germinal layer, and obliteration of the remaining cavity
  • 42.
     Anaphylaxis, cystinfection, intra abdominal abscess, sepsis, and biliary fistula occurred in 7.9 % and 25.1 % of PAIR treated and surgical control subjects respectively  Fever and allergic reactions were ecountered more frequently in PAIR group(5.5 % and 2.5%) respectively  Minor reactions occurred more commonly among surgical groups then PAIR, 13.1% and 33 %
  • 43.
     No peritonealdissemination in PAIR group.  Clinical and parasitologic cure occurred in 95.8 % in PAIR and 89.8 % in surgery  Incomplete response occurred in 2.0 % and 3.2 % respectively  Disease recurrence occurred in 1.6 and 6.3 % respectively  One procedure related death in PAIR due to anaphylaxis compared to 0.7% ( 7 deaths) among surgical controls.Causes of mortality includes pulmonary complications,liver failure myocardial infarction, generalised peritonitis and anaphylaxis
  • 44.
    PAIR  greaterclinical efficacy  low rates of major and minor complications, mortality, recurrence rate and short hospitalization days.
  • 45.
    LIMITATIONS OF THISSTUDY  Shorter followup period for patients underwent PAIR (20.5 mo) than surgical control subjects (32 mo)  It is not clear what type of patients have gone to surgery
  • 46.
    SOURCES 1. PAIR: Puncture,Aspiration, Injection, Re-Aspiration.An option for the treatment of Cystic echinococcosis.http://www.who.int/emc 2. http//www.dpd.cdc.gov/dpdx 3. Raymond A. Smego et al. Percutaneous Aspiration-injection- Reaaspiration plus albendazole or mebendazole for hepatic cystic echinococcososis: A meta-analysis.The infectious diseases society of America 2003. 1. http://emedicine.medscape.com 2. http://wwwnc.cdc.gov/travel/yellowbook/2012/chapter-3-infectious- diseases-related-to-travel/echinococcosis 3. Falih mohsin ali et al.Laparoscopic vs open management in hydatid cysts liver.World journal of laparasopic surgery jan-april 2011.7-11