Definition
A fixed prosthesis, designed to enhance
Esthetics, stabilization and/or function for a
limited period of time, after which it is to be
replaced by a definitive prosthesis. Often such
prostheses are used to assist in determination of
the therapeutic effectiveness of a specific
treatment plan or the form and function of the
planned for definitive prosthesis
Requirements of Provisional
Restoration
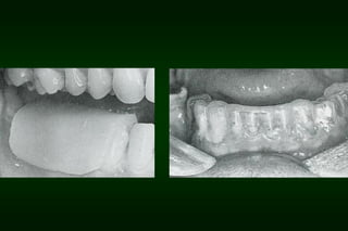
I. Biologic requirement
II. Mechanical requirement
III. Esthetic requirement
Requirements of Provisional
Restoration
I.

Biologic requirement:
•
•
•
•
•

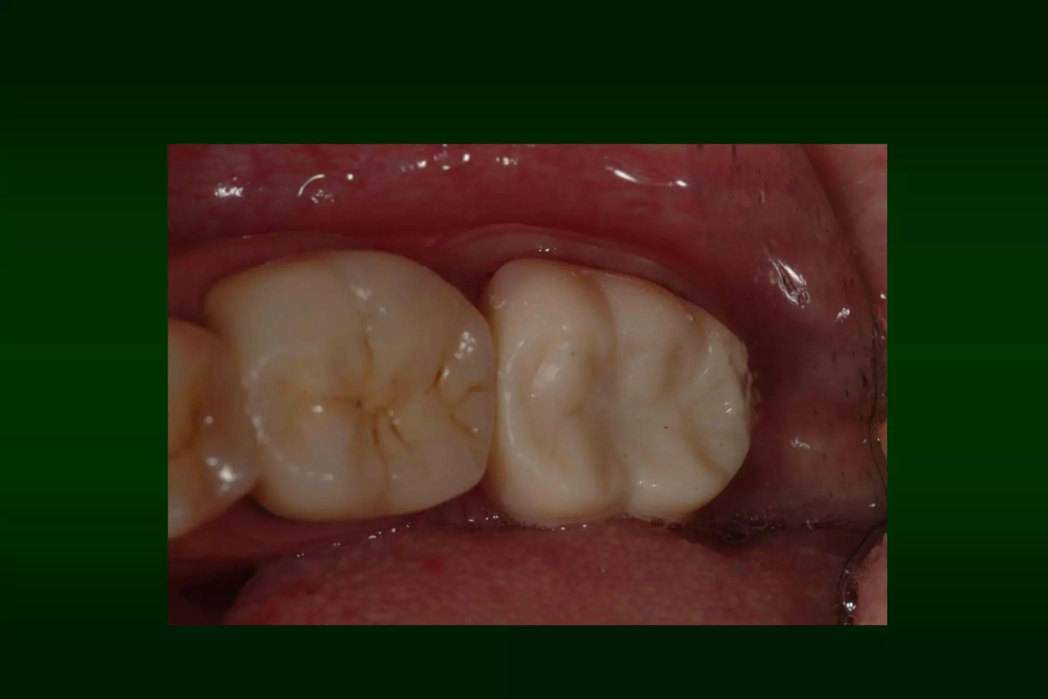
Protect the dental pulp
Maintain and contribute to the periodontal health
Provide comfortable, functional occlusal relationship
Maintain tooth position
Protect remaining tooth structure
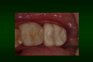
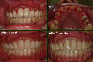
After 1 week

After 2 months
Requirements of Provisional
Restoration
II. Mechanical requirement:
–
–

Resist functional load
Resist removal forces without fracturing
Requirements of Provisional
Restoration
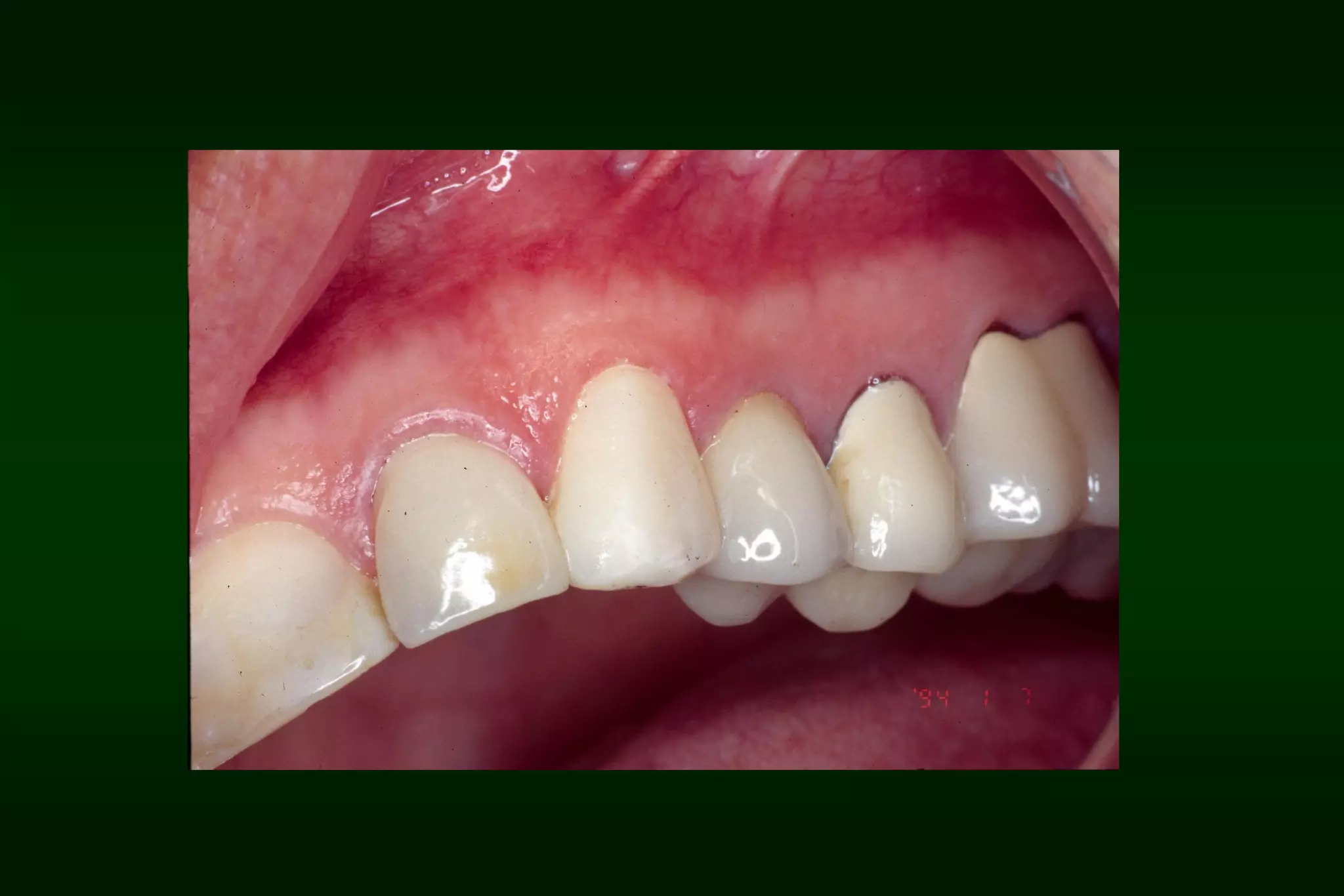
III. Esthetic requirement:
–
–

Resemble natural teeth
Color stability
Types of Provisional
Restoration
I.
II.

Preformed custom crown shells
Customized resin restorations
1.

Direct technique
a.

Direct matrix-assisted
•
•

b.

2.
3.

Elastomeric or alginate impression
Vacuum formed plastic template

Direct custom-carved (block-temporary)

Indirect technique
Indirect-direct (combination) technique
Types of Provisional
Restoration
I.

Preformed custom crown shells
•
•

Cellulose acetate crown forms
Polycarbonate crown forms

• Anatomic metal crowns
• Acrylic resin shells
Types of Provisional
Restoration
I.
II.

Preformed custom crown shells
Customized resin restorations
1.

Direct technique
a.

Direct matrix-assisted
•
•

b.

2.
3.

Elastomeric or alginate impression
Vacuum formed plastic template

Direct custom-carved (block-temporary)

Indirect technique
Indirect-direct (combination) technique
Types of Provisional
Restoration
II. Customized resin restorations
1.

Direct technique
•
•

Initial polymerization occurs intraorally
Final polymerization occurs extraorally
Types of Provisional
Restoration
II. Customized resin restorations
1.

Direct technique
a.

Direct matrix-assisted
•
•

Elastomeric or alginate impression
Vacuum formed plastic template
Types of Provisional
Restoration
I.
II.

Preformed custom crown shells
Customized resin restorations
1.

Direct technique
a.

Direct matrix-assisted
•
•

b.

2.
3.

Elastomeric or alginate impression
Vacuum formed plastic template

Direct custom-carved (block-temporary)

Indirect technique
Indirect-direct (combination) technique
Types of Provisional
Restoration
II. Customized resin restorations
1.

Direct technique
b. Direct custom-carved (block-temporary)
Types of Provisional
Restoration
II. Customized resin restorations
1.

Direct technique
Disadvantages:
•
•
•
•

Adverse pulpal or soft tissue reaction to monomer and
increased temperature
Allergic reaction
Locking of restoration into undercuts
Consuming chair time
Types of Provisional
Restoration
II. Customized resin restorations
1.

Direct technique
Avoiding potential problems
•
•
•
•

Remove provisional restoration from teeth while in
plastic stage
Allow final polymerization to occur extraorally
Use water coolant
Use reline technique
Types of Provisional
Restoration
I.
II.

Preformed custom crown shells
Customized resin restorations
1.

Direct technique
a.

Direct matrix-assisted
•
•

b.

2.
3.

Elastomeric or alginate impression
Vacuum formed plastic template

Direct custom-carved (block-temporary)

Indirect technique
Indirect-direct (combination) technique
Types of Provisional
Restoration
II. Customized resin restorations
2.

Indirect technique
•
•

Initial and final polymerizations occur extraorally
The first step is preparing a index (e.g. vacuum
shell) on study cast prior to tooth preparation visit
Types of Provisional
Restoration
II. Customized resin restorations
2.

Indirect technique
Advantages:
1. Improved marginal accuracy
2. Prevention of pulpal and soft tissue irritation
3. Reduced chair time
4. More comfortable for patient
Types of Provisional
Restoration
II. Customized resin restorations
2.

Indirect technique

Disadvantages:
1. Laboratory procedure required
2. Dental auxiliary required
Types of Provisional
Restoration
I.
II.

Preformed custom crown shells
Customized resin restorations
1.

Direct technique
a.

Direct matrix-assisted
•
•

b.

2.
3.

Elastomeric or alginate impression
Vacuum formed plastic template

Direct custom-carved (block-temporary)

Indirect technique
Indirect-direct (combination) technique
Types of Provisional
Restoration
II. Customized resin restorations
3. Indirect-direct (combination) technique
1.

2.

Indirect: polymerization of acrylic resin on mock
preparation of teeth
Direct: reline is performed intraorally
Types of Provisional
Restoration
II. Customized resin restorations
3. Indirect-direct (combination) technique
1.
2.
3.
4.
5.
6.
7.

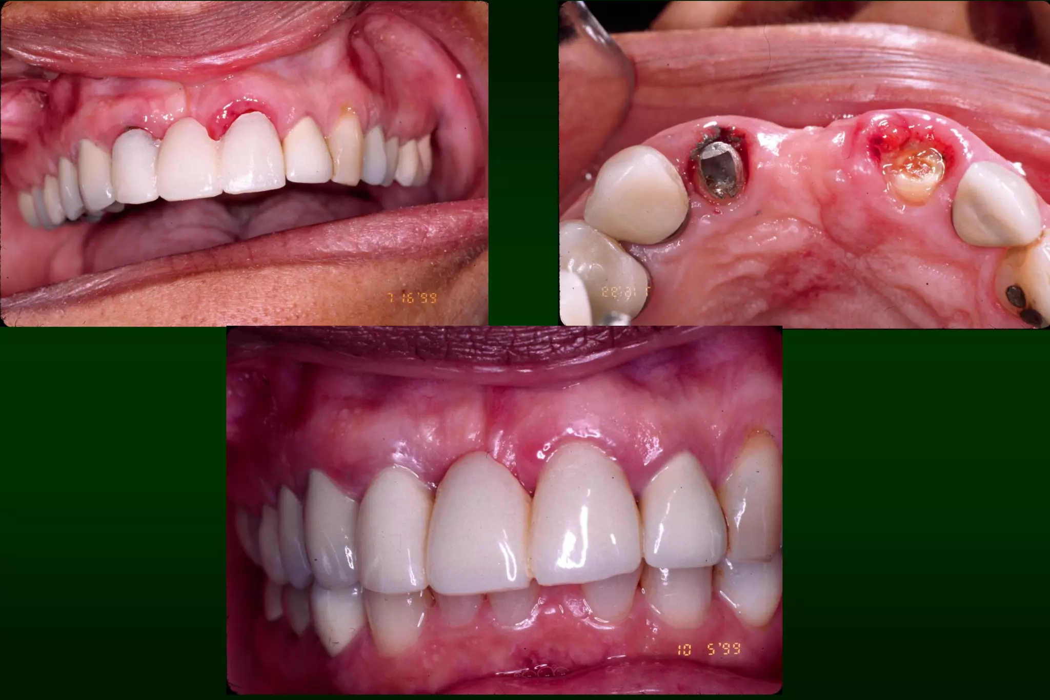
Advantages:
Allows trial of esthetics, function and speech
Provides template for the definitive restoration
Ensures color stability
Allows incorporation of reinforcement
Saves chair time
Permits removal and immediate replacement of nonsalvageable teeth
Permits long-term treatment
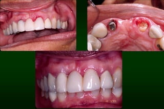
Endodontically treated
tooth
Materials for Provisional
Restoration
•
•
•
•

Poly Methyl MethAcrylate (PMMA)
Poly Ethyl MethAcrylate (PEMA)
Bis-GMA
Light Polymerized UDMA
Materials for Provisional
Restoration
• Ideal requirement of provisional restorative material:
–
–
–
–
–
–
–
–

Biocompatible
Dimensionally stable
Ease of contouring
Adequate strength and abrasion resistance
Good appearance
Good patient acceptance
Ease of adding and repair
Compatible with provisional luting agents
Provisional Restoration
• Cementation
– Properties of provisional cement
Provisional Restoration
REFERNCE
Contemporary of Fixed Prosthodontics, 3rd
edition (Chapter 15)

Provisional restoration

  • 1.
    Definition A fixed prosthesis,designed to enhance Esthetics, stabilization and/or function for a limited period of time, after which it is to be replaced by a definitive prosthesis. Often such prostheses are used to assist in determination of the therapeutic effectiveness of a specific treatment plan or the form and function of the planned for definitive prosthesis
  • 2.
    Requirements of Provisional Restoration I.Biologic requirement II. Mechanical requirement III. Esthetic requirement
  • 3.
    Requirements of Provisional Restoration I. Biologicrequirement: • • • • • Protect the dental pulp Maintain and contribute to the periodontal health Provide comfortable, functional occlusal relationship Maintain tooth position Protect remaining tooth structure
  • 4.
  • 7.
    Requirements of Provisional Restoration II.Mechanical requirement: – – Resist functional load Resist removal forces without fracturing
  • 8.
    Requirements of Provisional Restoration III.Esthetic requirement: – – Resemble natural teeth Color stability
  • 10.
    Types of Provisional Restoration I. II. Preformedcustom crown shells Customized resin restorations 1. Direct technique a. Direct matrix-assisted • • b. 2. 3. Elastomeric or alginate impression Vacuum formed plastic template Direct custom-carved (block-temporary) Indirect technique Indirect-direct (combination) technique
  • 11.
    Types of Provisional Restoration I. Preformedcustom crown shells • • Cellulose acetate crown forms Polycarbonate crown forms • Anatomic metal crowns • Acrylic resin shells
  • 15.
    Types of Provisional Restoration I. II. Preformedcustom crown shells Customized resin restorations 1. Direct technique a. Direct matrix-assisted • • b. 2. 3. Elastomeric or alginate impression Vacuum formed plastic template Direct custom-carved (block-temporary) Indirect technique Indirect-direct (combination) technique
  • 16.
    Types of Provisional Restoration II.Customized resin restorations 1. Direct technique • • Initial polymerization occurs intraorally Final polymerization occurs extraorally
  • 17.
    Types of Provisional Restoration II.Customized resin restorations 1. Direct technique a. Direct matrix-assisted • • Elastomeric or alginate impression Vacuum formed plastic template
  • 19.
    Types of Provisional Restoration I. II. Preformedcustom crown shells Customized resin restorations 1. Direct technique a. Direct matrix-assisted • • b. 2. 3. Elastomeric or alginate impression Vacuum formed plastic template Direct custom-carved (block-temporary) Indirect technique Indirect-direct (combination) technique
  • 20.
    Types of Provisional Restoration II.Customized resin restorations 1. Direct technique b. Direct custom-carved (block-temporary)
  • 26.
    Types of Provisional Restoration II.Customized resin restorations 1. Direct technique Disadvantages: • • • • Adverse pulpal or soft tissue reaction to monomer and increased temperature Allergic reaction Locking of restoration into undercuts Consuming chair time
  • 27.
    Types of Provisional Restoration II.Customized resin restorations 1. Direct technique Avoiding potential problems • • • • Remove provisional restoration from teeth while in plastic stage Allow final polymerization to occur extraorally Use water coolant Use reline technique
  • 28.
    Types of Provisional Restoration I. II. Preformedcustom crown shells Customized resin restorations 1. Direct technique a. Direct matrix-assisted • • b. 2. 3. Elastomeric or alginate impression Vacuum formed plastic template Direct custom-carved (block-temporary) Indirect technique Indirect-direct (combination) technique
  • 29.
    Types of Provisional Restoration II.Customized resin restorations 2. Indirect technique • • Initial and final polymerizations occur extraorally The first step is preparing a index (e.g. vacuum shell) on study cast prior to tooth preparation visit
  • 33.
    Types of Provisional Restoration II.Customized resin restorations 2. Indirect technique Advantages: 1. Improved marginal accuracy 2. Prevention of pulpal and soft tissue irritation 3. Reduced chair time 4. More comfortable for patient
  • 34.
    Types of Provisional Restoration II.Customized resin restorations 2. Indirect technique Disadvantages: 1. Laboratory procedure required 2. Dental auxiliary required
  • 35.
    Types of Provisional Restoration I. II. Preformedcustom crown shells Customized resin restorations 1. Direct technique a. Direct matrix-assisted • • b. 2. 3. Elastomeric or alginate impression Vacuum formed plastic template Direct custom-carved (block-temporary) Indirect technique Indirect-direct (combination) technique
  • 36.
    Types of Provisional Restoration II.Customized resin restorations 3. Indirect-direct (combination) technique 1. 2. Indirect: polymerization of acrylic resin on mock preparation of teeth Direct: reline is performed intraorally
  • 41.
    Types of Provisional Restoration II.Customized resin restorations 3. Indirect-direct (combination) technique 1. 2. 3. 4. 5. 6. 7. Advantages: Allows trial of esthetics, function and speech Provides template for the definitive restoration Ensures color stability Allows incorporation of reinforcement Saves chair time Permits removal and immediate replacement of nonsalvageable teeth Permits long-term treatment
  • 42.
  • 44.
    Materials for Provisional Restoration • • • • PolyMethyl MethAcrylate (PMMA) Poly Ethyl MethAcrylate (PEMA) Bis-GMA Light Polymerized UDMA
  • 45.
    Materials for Provisional Restoration •Ideal requirement of provisional restorative material: – – – – – – – – Biocompatible Dimensionally stable Ease of contouring Adequate strength and abrasion resistance Good appearance Good patient acceptance Ease of adding and repair Compatible with provisional luting agents
  • 46.
    Provisional Restoration • Cementation –Properties of provisional cement
  • 47.
    Provisional Restoration REFERNCE Contemporary ofFixed Prosthodontics, 3rd edition (Chapter 15)