INLAYS and ONLAYS
Dr. AGHOLOR CN
OUTLINE
 INTRODUCTION
 INDICATIONS
 CONTRA-INDICATION
 CLASSIFICATIONS
 ADVANTAGES
 DISADVANTAGES
 TOOTH PREPARATION
 FABRICATION
 RECENT CONCEPTS
 CONCLUSION
INTRODUCTION
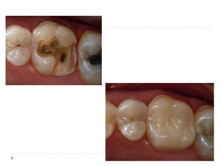
INLAY:
 An inlay is an extra coronal restoration fabricated
in the laboratory , milled or 3D printed and
cemented into a prepared cavity in a tooth.
ONLAY:
 An onlay is an inlay with cuspal coverage
PINLAY:
 This is an inlay or onlay that gains part of its
retention from pins incorporated into the
restoration.
 Therefore an inlay involves the occlusal surface
and one or more proximal surfaces of a posterior
tooth.
 When cusp tips are restored, the term onlay is
used.
 The procedure usually requires two appointments:
the first for preparing the tooth and making an
impression, and the second for delivering the
restoration to the patient.
 The fabrication process is referred to as an indirect
procedure because the casting is made on a replica
of the prepared tooth in a dental laboratory.
 inlays and onlays can be made in alloys containing
60% or more fine gold, porcelain, composite resin
and ceramics.
 Traditionally, gold has been the material of choice
for inlays and onlays.
 In recent years, however, porcelain has become
increasingly popular due to its strength and colour,
which can potentially match the natural colour of
teeth.
 Also ceramic inlays and onlays can be readily milled
or 3D printed using CAD CAM or similar devices
INDICATIONS
 An inlay can be used instead of amalgam for the
patient with low caries rate who require a small class
2 restoration in a tooth with ample supporting
dentine.
 Small carious lesion in otherwise sound tooth.
 A small carious lesion in a tooth indicated for bridge
abutement.
 Low caries rate.
 Patient’s request for gold instead of amalgam or
composite.
Large Restoration
 The cast-metal inlay is an alternative to amalgam
or composite when the higher strength of a casting
alloy is needed or when the superior control of
contours and contacts that the indirect procedure
provides is desired.
 It offers an excellent alternative to a crown for
teeth that have been greatly weakened by caries
or by large, failing restorations but where the facial
and lingual tooth surfaces are relatively unafected
by disease or injury.
 For such weakened teeth, the superior physical
properties of a casting alloy are desirable to
withstand the occlusal loads placed on the
restoration;
 also the onlay can be designed to distribute occlusal
loads over the tooth in a manner that decreases the
chance of tooth fracture in the future.
 Preserving intact facial and lingual surfaces is
conducive to maintaining the health of the pulp and
the contiguous soft tissue (gingiva).
Endodontically Treated Teeth
 A molar or premolar with treatment root canal filling can
be restored with a cast-metal onlay, provided that the
onlay has been thoughtfully designed to distribute
occlusal loads in such a manner as to reduce the
chance of tooth fracture.
Teeth at Risk for Fracture
 Fracture lines in enamel and dentin, especially in teeth
having extensive restorations, should be recognized as
cleavage planes for possible future fracture of the
tooth.
 Restoring these teeth with a restoration that braces the
tooth against fracture injury may be warranted
sometimes. Such restorations are cast onlays and
Removable Prothodontic Abutment
 Teeth that are to serve as abutments for a removable
partial denture can be restored with cast-metal
restorations.
 The advantages of cast restorations are as follows:
 (1) The superior physical properties of cast-metal alloys
allow restorations to better withstand forces imparted by
a partial denture, and
 (2) rest seats, guiding planes, and other aspects of
contour relating to partial dentures are better controlled
when the indirect technique is used.
CONTRA-INDCATIONS
 High caries index.
 Poor plaque control.
 Paediatric patients
 ?Mesio-occluso-distal (MOD) cavities.
 Poor dentinal support requiring a wide preparation.
ADVANTAGES
 Better aesthetics
 Superior material properties.
 Longevity.
 No discoloration from corrosion.
 There is dimensional stability and marginal
integrity
 No staining of the remaining tooth substance
 They have the ability to protect the remaining
tooth substance
DISADVANTAGES
 More costly than amalgam.
 Two visit procedure i.e. more time consuming
 May display metal.
 More technique sensitive.
 Excessive occlusal forces can lead to fracture
 Because of their small size, inlays are more difficult to
handle and more readily aspirated by the patient than
are crowns during trial insertion.
 Therefore, trial insertion and cemenetation should be
carried out with a rubber dam in place.
CLASSIFICATION
BASED ON POSITION
 Eg Class I inlay, Class II inlay etc
BASED ON MATERIAL
 Gold inlay
 Ceramic inlay
 Composite inlay
TOOTH PREPARATION
 The basic principle governing preparation of inlay
cavities is the elimination of the carious lesion
 Also ensuring that the restoration should have a
common path of insertion and withdrawal and
opposising near parallel walls that form sharp internal
angles with a flat floor.
 Similar to the conventional amalgam cavities with
some modifications
 These modifications are listed below:
OUTLINE FORM: dictated by extent of carious lesion.
Susceptible pits and fissures should be included in the
preparation.
RETENTION FORM:
 Retention of inlays and onlays is micro-mechanical
with the use of dental cements
 There is no need for incorporation of undercuts into the
cavity as retention from cement is usually sufficient
 The walls should be near parallel with slight occlusal
divergence (about 5-7degres).
 This will ensure the wax pattern is not distorted during
withdrawal and also allow insertion of the cast
restoration.
RESISTANCE FORM
 The materials are strong in thin sections unlike
amalgam. This ensures that smaller cavities can be
restored without extensive damage to sound tooth
substance.
 However, the floor should be flat with smooth walls
and sharp internal angles.
REMOVAL OF RESIDUAL CARIES
 This must be done in order to avoid residual caries.
Softened dentine should be removed from the cavity
floor with excavator before lining the cavity floor.
CORRECTION OF ENAMEL MARGINS
 All undermined enamel should be removed
 The carvo-surface angles should be be bevelled
unless it is greater than 135 degrees.
 This is to ensure the margins of the restoration
are adequately burnished for proper finish.
TOOTH PREPARATION
Armamentarium
 Carbide burs are usually used for inlays or onlay preparation , but
diamond burs can be substituted if preferred :
 Tapered carbide burs
 Round carbide burs
 Cylindrical carbide burs
 Finishing stones
 Mirrors,
 Explore and periodontal probe.
 Chisels
 Hatchets
 Gingival margin trimmers
 Excavators.
 High – and low-speed handpieces
 Articulating film
CLASS 2 INLAY PREPARATION
Occlusal analysis
 Carefully assess the occlusal contact relationship
and mark it with articulating film.
 The margins of the restoration should not be too
close (less 1.0 mm) to a centric contact ;
otherwise there will be damaging stress at the
gold-enamel junction.
 Apply rubber dam.
OUTLINE FORM
 Penetrate the central groove just to the depth of the
dentine (typically about 1.8 mm)with small , round
or tapered carbide bur held in the path of withdrawal
of inlay.
 Extend the occlusal outline through the central
groove with tapered carbide bur.
A, Proposed outline form
for distoocclusal
preparation.
B, Dimensions and
coniguration of No. 271,
No. 169L, and No. 8862
instruments.
C, Conventional 4-degree
divergence from line of
draw x/y.
The sharp line angles between the occlusal outline
and proximal box are rounded.
Caries Excavation
 Identify and remove any caries not eliminated by
the proximal box preparation , usually an excavator
or round bur in the low-speed hand piece is used.
 Place a cement base to restore the resistance form
(distorted by the excavation) and prevent distortion
of wax pattern during manipulation.
 It is easily placed with a gingival margin trimmer
held in contact with the axial wall to prevent
creating an undercut.
Place a 45 -degree gingival margin bevel with a thin ,
tapered carbide or fine-grit diamond tissue in the axial
wall and/or pulpal floor.
N/B – an inlay is not a suitable restoration for
extensive caries , and carrying it beyond the line
angles will lead to a significant loss of retention –
Axio-gingival groove and bevel placement :
 prepare a small, well-defined groove at the junction of
axial and gingival wall at the base of the proximal box to
enhance retention
 Prepare proximal bevels on the buccal and lingual walls
with the tapered bur oriented in the path of withdrawal.
 There should be a smooth transition between the
proximal and gingival bevels.
 Place an occlusal bevel to improve marginal fit and allow
finishing of the restoration.
As a final step ,smoothen the preparation where
necessary , paying particular attention to the margins.
Onlay Preparation
 The cast-metal onlay restoration spans the gap
between the inlay, which is primarily an
intracoronal restoration, and the full crown, which
is a totally extracoronal restoration.
 The full onlay by definition caps all of the cusps of
a posterior tooth and can be designed to help
strengthen a tooth that has been weakened by
caries or previous restorative experiences.
 It can be designed to distribute occlusal loads over the
tooth in a manner that greatly decreases the chance of
future fracture.
 It is more conservative of the tooth structure than the
full crown preparation, and its supragingival margins,
when possible, are less irritating to the gingiva.
Initial Preparation
 Occlusal Reduction
 The cusps should be reduced because this improves the
access and the visibility for subsequent steps in tooth
preparation.
 Also when the cusps are reduced, it is easier to assess
the height of the remaining clinical crown of the tooth,
which determines the degree of occlusal divergence
necessary for adequate retention form.
 Using the No. 271 carbide bur held parallel to the long
axis of the tooth crown, a 2-mm deep pulpal loor is
prepared along the central groove
 Occlusal Step
 After cusp reduction, a 0.5-mm deep occlusal step
should be present in the central groove region
between the reduced cuspal inclines and the pulpal
floor
 Proximal Box
 Continuing with the No. 271 carbide bur held parallel
to the long axis of the tooth crown, the proximal boxes
are prepared
FABRICATION OF CAST GOLD RESTORATION
 STEPS
• Impression making
• Record of interocclusal relationship
• Working cast
• Working die
• Wax pattern fabrication
• Spruing
• Washing of Wax Pattern
• Investing
• Casting procedure
• Cleaning of casting
• Trying in the casting
• Cementation of casting
IMPRESSION TAKING FOR CAST METAL
RESTORATION
 Elastomeric material is used.
 The occlusal contact in maximum intercuspal position and
in all lateral and protrusive movement should be
evaluated before and after tooth preparation
RECORD OF INTEROCCLUSAL RELATIONSHIP
 Simple hinge type articulator is suitable for single tooth
inlay
 Semi-adjustable articulators are used for restoring
multiple teeth
 Before preparation of the tooth, the occlusal contacts
in maximum intercuspation and in all lateral and
protrusive movements should have been carefully
evaluated.
 can be obtained by (1) using commercially
 available bite registration pastes or
 (2) making full-arch impressions and mounting the
casts made from these impressions on a simple hinge
articulator.
TEMPORARY RESTORATION
 Interim restoration is given to the prepared tooth
 It should have the following features:
 Should protect and stabilise the prepared tooth and to
provide comfort to patient
 Non irritating
 Aesthetically satisfactory
 Easy to clean and maintain
 Protect and maintain the health of the periodontium
 Materials used is acrylic resin
 Direct or indirect technique can be used to provide
temporary restoration
WORKING CAST
 It is an accurate replica of the prepared and adjacent
unprepared teeth over which cast metal restoration can be
fabricated
 Material used is dental stone
WORKING DIE
 Die is the positive replica of a prepared tooth
 It should replicate the tooth preparation in the most minute
detail.
• Have adequate strength
• It should be easy and quick to fabricate
• Commonly used materials include:
 Dental stone
 Electroformed dies
 Epoxy resins
WAX PATTERN FABRICATION
There are 2 methods for wax pattern fabricaton
 Direct wax pattern method: Wax pattern is
prepared in the oral cavity
 Indirect wax pattern method: Wax pattern is
prepared outside the oral cavity
Direct wax pattern using matrix band
 Isolate the tooth
 Apply matrix band and retainer
 Type 1 Inlay wax is used
 Soften the inlay wax with heat
 Compress softened wax into prepared tooth
 Cooling of wax causes shrinkage, this is
compensated by holding the wax in the preparation
under finger pressure until it reaches mouth
temperature.
 Remove the matrix band and retainer carefully
without disturbing the wax pattern
 Ask the patient to bite in centric occlusion
 Examine the occlusal surface for high point and
remove them
 Smoothen the proximal surface of the wax with fine
soft silk
 Evaluate and correct all margins of the pattern
 Once wax pattern is satisfactory, attach the sprue
former and reservoir to the thickest point of the wax
pattern
 Remove the wax pattern and examine it for marginal
integrity
SPRUING
 A sprue former can be made of wax, plastic and
metal
Functions are:
 Sprue former provides a channel so that molten
metal flows into mould space after the wax
pattern has been eliminated
 Provides reservoir of molten metal to
compensate for metal shrinkage during
solidification
 Forms a channel for elimination of wax
WASHING OF WAX PATTERN
 Wax pattern should be washed with soap and
soft hair brush carefully
 This helps to reduce surface tension and air
bubbles on the surface of wax pattern
INVESTING
Once the wax pattern is cleaned, it is surrounded
by investment that hardens and forms the mould
in which casting is made
CASTING PROCEDURE
It includes:
 Burnout for wax elimination
 Expansion of the investment to compensate for casting
shrinkage
 Placement of the gold alloy into the mould
 Casting process proper
CLEANING OF CASTING
 Quenching of the casting involves rapid cooling at room
temperature water bath or ice water bath
 Pickling: Is a process in which discolored casting is
heated with an acid in test tube or beaker
TRYING IN THE CASTING
 Isolate the tooth with rubber dam
 Remove the temporary restoration and cement
completely
 Place the casting on the tooth using light pressure
 Check the occlusion by asking the patient to bite on
articulation paper
 Proper occlusion tends to stabilise the cast while
improper casting tends to deflect it
 Evaluate the embrassure and judge the points were
proximal recontouring is required
CEMENTATION OF CASTING
 Clean the casting thoroughly
 Apply a thin layer of vanish
 Apply warm air to the gingival sulcus of the prepared
tooth to dry it
 Apply a thin layer of cement on the surfaces of the casting
which will be in contact with the tooth surface and on the
tooth preparation surface
 Sit the casting with the help of hand pressure using a
suitable instrument
 Ask the patient to bite on a soft cotton pellet which is
placed on the occlusal surface of the casting
 Clean the area with dry cotton roll
 Check the occlusion for harmony of occlusion
 Check the gingival sulcus to remove remnant of cement
RECENT ADVANCES
 This include the CAD/CAM system making the
process of restoration more predictable with good
clinical outcomes with regards to:
 Improved aesthetics
 Reduction in time for delivering the restoration
 Improved mechanical properties
 Digital technology, computerized dentistry, and digital
dentistry are general terms used to describe the clinical
application of computer-assisted design, computer-
assisted machining (CAD/CAM).
 The restorative dentistry application of CAD/CAM
technology is the fabrication and delivery of permanent
 restorations for teeth and implants.
 For the past 30 years the incorporation of dental
CAD/CAM into direct patient care has provided a way for
dentists to deliver esthetic ceramic restorations in a
single dental appointment.
 There are three sequences involved in the
CAD/CAM process.
 An intraoral scanner or camera is used to accurately
record the hard and soft tissue geometry of the
patient’s intraoral condition to a computer program in
the First sequence.
 This is commonly referred to as a digital impression
 Proprietary software design program is used to
create a virtual restoration (the volume proposal) in
the second sequence.
 The software programs have the capability of
controlling and editing the various parameters of the
restoration such as emergence profile, proximal
contact, and occlusal relationships.
 Once the proposal of the restoration has been
completed, a computer-controlled device is used to
produce the restoration in the third sequence.
 The most common device uses a subtractive
process to machine (i.e., grind or mill, depending on
whether carbide burs or diamonds are used) the final
restoration from a preformed block of a variety of
restorative materials (typically ceramic material)
 CAD/CAM inlay and onlay preparations are primarily
adhesive-style preparations that rely on the adhesion
of the resin cement to dentin and enamel for
retention of the restoration .
 These preparations are divergent and relatively non
mechanically retentive in design as this provides a
more conservative preparation than the requirement
for mechanical resistance through grooves, slots, or
boxes.
 The internal aspect of the preparation should avoid
sharp
 divots or concavities, and all internal angles should
be rounded
 Occlusal reduction should be uniform and of
sufficient
 thickness to provide optimum strength of the
selected ceramic material similar to crown
preparations.
 Preparation should allow for a minimum of 1.5 mm of
ceramic thickness in the central fossa and over
nonfunctional cusps, and 2 mm over functional
cusps.
 All cavosurface margins should be strategically
placed away from the contact position of the
opposing cusp(s) and be well smooth for easy
identification in the design software.
 Beveled margins must be avoided, as thin areas
of ceramic are prone to fracture
SUMMARY….
 Inlays and onlays ofer excellent restorations that
may be underused in dentistry.
 The technique typically requires multiple patient
visits and excellent laboratory support, but the
resulting restorations
 have the potential to last for decades.
 High noble alloys are desirable for patients
concerned with allergy or sensitivity to other
restorative materials.
 Cast-metal onlays, in particular, can be designed to
strengthen the restored tooth while conserving more
tooth structure than does a full crown.
 Disadvantages such as high cost and technique
sensitivity limit their use, but when indicated, they
provide a restorative option that is less damaging to
pulpal and periodontal tissues compared with a full
crown.

inlays and onlays.ppt

  • 1.
  • 2.
    OUTLINE  INTRODUCTION  INDICATIONS CONTRA-INDICATION  CLASSIFICATIONS  ADVANTAGES  DISADVANTAGES  TOOTH PREPARATION  FABRICATION  RECENT CONCEPTS  CONCLUSION
  • 3.
    INTRODUCTION INLAY:  An inlayis an extra coronal restoration fabricated in the laboratory , milled or 3D printed and cemented into a prepared cavity in a tooth. ONLAY:  An onlay is an inlay with cuspal coverage PINLAY:  This is an inlay or onlay that gains part of its retention from pins incorporated into the restoration.
  • 4.
     Therefore aninlay involves the occlusal surface and one or more proximal surfaces of a posterior tooth.  When cusp tips are restored, the term onlay is used.  The procedure usually requires two appointments: the first for preparing the tooth and making an impression, and the second for delivering the restoration to the patient.  The fabrication process is referred to as an indirect procedure because the casting is made on a replica of the prepared tooth in a dental laboratory.
  • 5.
     inlays andonlays can be made in alloys containing 60% or more fine gold, porcelain, composite resin and ceramics.  Traditionally, gold has been the material of choice for inlays and onlays.  In recent years, however, porcelain has become increasingly popular due to its strength and colour, which can potentially match the natural colour of teeth.  Also ceramic inlays and onlays can be readily milled or 3D printed using CAD CAM or similar devices
  • 6.
    INDICATIONS  An inlaycan be used instead of amalgam for the patient with low caries rate who require a small class 2 restoration in a tooth with ample supporting dentine.  Small carious lesion in otherwise sound tooth.  A small carious lesion in a tooth indicated for bridge abutement.  Low caries rate.  Patient’s request for gold instead of amalgam or composite.
  • 7.
    Large Restoration  Thecast-metal inlay is an alternative to amalgam or composite when the higher strength of a casting alloy is needed or when the superior control of contours and contacts that the indirect procedure provides is desired.  It offers an excellent alternative to a crown for teeth that have been greatly weakened by caries or by large, failing restorations but where the facial and lingual tooth surfaces are relatively unafected by disease or injury.
  • 8.
     For suchweakened teeth, the superior physical properties of a casting alloy are desirable to withstand the occlusal loads placed on the restoration;  also the onlay can be designed to distribute occlusal loads over the tooth in a manner that decreases the chance of tooth fracture in the future.  Preserving intact facial and lingual surfaces is conducive to maintaining the health of the pulp and the contiguous soft tissue (gingiva).
  • 9.
    Endodontically Treated Teeth A molar or premolar with treatment root canal filling can be restored with a cast-metal onlay, provided that the onlay has been thoughtfully designed to distribute occlusal loads in such a manner as to reduce the chance of tooth fracture. Teeth at Risk for Fracture  Fracture lines in enamel and dentin, especially in teeth having extensive restorations, should be recognized as cleavage planes for possible future fracture of the tooth.  Restoring these teeth with a restoration that braces the tooth against fracture injury may be warranted sometimes. Such restorations are cast onlays and
  • 10.
    Removable Prothodontic Abutment Teeth that are to serve as abutments for a removable partial denture can be restored with cast-metal restorations.  The advantages of cast restorations are as follows:  (1) The superior physical properties of cast-metal alloys allow restorations to better withstand forces imparted by a partial denture, and  (2) rest seats, guiding planes, and other aspects of contour relating to partial dentures are better controlled when the indirect technique is used.
  • 11.
    CONTRA-INDCATIONS  High cariesindex.  Poor plaque control.  Paediatric patients  ?Mesio-occluso-distal (MOD) cavities.  Poor dentinal support requiring a wide preparation.
  • 12.
    ADVANTAGES  Better aesthetics Superior material properties.  Longevity.  No discoloration from corrosion.  There is dimensional stability and marginal integrity  No staining of the remaining tooth substance  They have the ability to protect the remaining tooth substance
  • 13.
    DISADVANTAGES  More costlythan amalgam.  Two visit procedure i.e. more time consuming  May display metal.  More technique sensitive.  Excessive occlusal forces can lead to fracture  Because of their small size, inlays are more difficult to handle and more readily aspirated by the patient than are crowns during trial insertion.  Therefore, trial insertion and cemenetation should be carried out with a rubber dam in place.
  • 14.
    CLASSIFICATION BASED ON POSITION Eg Class I inlay, Class II inlay etc BASED ON MATERIAL  Gold inlay  Ceramic inlay  Composite inlay
  • 15.
    TOOTH PREPARATION  Thebasic principle governing preparation of inlay cavities is the elimination of the carious lesion  Also ensuring that the restoration should have a common path of insertion and withdrawal and opposising near parallel walls that form sharp internal angles with a flat floor.  Similar to the conventional amalgam cavities with some modifications  These modifications are listed below: OUTLINE FORM: dictated by extent of carious lesion. Susceptible pits and fissures should be included in the preparation.
  • 16.
    RETENTION FORM:  Retentionof inlays and onlays is micro-mechanical with the use of dental cements  There is no need for incorporation of undercuts into the cavity as retention from cement is usually sufficient  The walls should be near parallel with slight occlusal divergence (about 5-7degres).  This will ensure the wax pattern is not distorted during withdrawal and also allow insertion of the cast restoration.
  • 17.
    RESISTANCE FORM  Thematerials are strong in thin sections unlike amalgam. This ensures that smaller cavities can be restored without extensive damage to sound tooth substance.  However, the floor should be flat with smooth walls and sharp internal angles. REMOVAL OF RESIDUAL CARIES  This must be done in order to avoid residual caries. Softened dentine should be removed from the cavity floor with excavator before lining the cavity floor.
  • 18.
    CORRECTION OF ENAMELMARGINS  All undermined enamel should be removed  The carvo-surface angles should be be bevelled unless it is greater than 135 degrees.  This is to ensure the margins of the restoration are adequately burnished for proper finish.
  • 19.
    TOOTH PREPARATION Armamentarium  Carbideburs are usually used for inlays or onlay preparation , but diamond burs can be substituted if preferred :  Tapered carbide burs  Round carbide burs  Cylindrical carbide burs  Finishing stones  Mirrors,  Explore and periodontal probe.  Chisels  Hatchets  Gingival margin trimmers  Excavators.  High – and low-speed handpieces  Articulating film
  • 20.
    CLASS 2 INLAYPREPARATION Occlusal analysis  Carefully assess the occlusal contact relationship and mark it with articulating film.  The margins of the restoration should not be too close (less 1.0 mm) to a centric contact ; otherwise there will be damaging stress at the gold-enamel junction.  Apply rubber dam.
  • 21.
    OUTLINE FORM  Penetratethe central groove just to the depth of the dentine (typically about 1.8 mm)with small , round or tapered carbide bur held in the path of withdrawal of inlay.  Extend the occlusal outline through the central groove with tapered carbide bur.
  • 22.
    A, Proposed outlineform for distoocclusal preparation. B, Dimensions and coniguration of No. 271, No. 169L, and No. 8862 instruments. C, Conventional 4-degree divergence from line of draw x/y.
  • 23.
    The sharp lineangles between the occlusal outline and proximal box are rounded. Caries Excavation  Identify and remove any caries not eliminated by the proximal box preparation , usually an excavator or round bur in the low-speed hand piece is used.  Place a cement base to restore the resistance form (distorted by the excavation) and prevent distortion of wax pattern during manipulation.  It is easily placed with a gingival margin trimmer held in contact with the axial wall to prevent creating an undercut.
  • 24.
    Place a 45-degree gingival margin bevel with a thin , tapered carbide or fine-grit diamond tissue in the axial wall and/or pulpal floor. N/B – an inlay is not a suitable restoration for extensive caries , and carrying it beyond the line angles will lead to a significant loss of retention –
  • 25.
    Axio-gingival groove andbevel placement :  prepare a small, well-defined groove at the junction of axial and gingival wall at the base of the proximal box to enhance retention  Prepare proximal bevels on the buccal and lingual walls with the tapered bur oriented in the path of withdrawal.  There should be a smooth transition between the proximal and gingival bevels.  Place an occlusal bevel to improve marginal fit and allow finishing of the restoration.
  • 26.
    As a finalstep ,smoothen the preparation where necessary , paying particular attention to the margins.
  • 27.
    Onlay Preparation  Thecast-metal onlay restoration spans the gap between the inlay, which is primarily an intracoronal restoration, and the full crown, which is a totally extracoronal restoration.  The full onlay by definition caps all of the cusps of a posterior tooth and can be designed to help strengthen a tooth that has been weakened by caries or previous restorative experiences.
  • 28.
     It canbe designed to distribute occlusal loads over the tooth in a manner that greatly decreases the chance of future fracture.  It is more conservative of the tooth structure than the full crown preparation, and its supragingival margins, when possible, are less irritating to the gingiva.
  • 29.
    Initial Preparation  OcclusalReduction  The cusps should be reduced because this improves the access and the visibility for subsequent steps in tooth preparation.  Also when the cusps are reduced, it is easier to assess the height of the remaining clinical crown of the tooth, which determines the degree of occlusal divergence necessary for adequate retention form.  Using the No. 271 carbide bur held parallel to the long axis of the tooth crown, a 2-mm deep pulpal loor is prepared along the central groove
  • 31.
     Occlusal Step After cusp reduction, a 0.5-mm deep occlusal step should be present in the central groove region between the reduced cuspal inclines and the pulpal floor  Proximal Box  Continuing with the No. 271 carbide bur held parallel to the long axis of the tooth crown, the proximal boxes are prepared
  • 32.
    FABRICATION OF CASTGOLD RESTORATION  STEPS • Impression making • Record of interocclusal relationship • Working cast • Working die • Wax pattern fabrication • Spruing • Washing of Wax Pattern • Investing • Casting procedure • Cleaning of casting • Trying in the casting • Cementation of casting
  • 33.
    IMPRESSION TAKING FORCAST METAL RESTORATION  Elastomeric material is used.  The occlusal contact in maximum intercuspal position and in all lateral and protrusive movement should be evaluated before and after tooth preparation RECORD OF INTEROCCLUSAL RELATIONSHIP  Simple hinge type articulator is suitable for single tooth inlay  Semi-adjustable articulators are used for restoring multiple teeth
  • 34.
     Before preparationof the tooth, the occlusal contacts in maximum intercuspation and in all lateral and protrusive movements should have been carefully evaluated.  can be obtained by (1) using commercially  available bite registration pastes or  (2) making full-arch impressions and mounting the casts made from these impressions on a simple hinge articulator.
  • 36.
    TEMPORARY RESTORATION  Interimrestoration is given to the prepared tooth  It should have the following features:  Should protect and stabilise the prepared tooth and to provide comfort to patient  Non irritating  Aesthetically satisfactory  Easy to clean and maintain  Protect and maintain the health of the periodontium  Materials used is acrylic resin  Direct or indirect technique can be used to provide temporary restoration
  • 37.
    WORKING CAST  Itis an accurate replica of the prepared and adjacent unprepared teeth over which cast metal restoration can be fabricated  Material used is dental stone WORKING DIE  Die is the positive replica of a prepared tooth  It should replicate the tooth preparation in the most minute detail. • Have adequate strength • It should be easy and quick to fabricate • Commonly used materials include:  Dental stone  Electroformed dies  Epoxy resins
  • 38.
    WAX PATTERN FABRICATION Thereare 2 methods for wax pattern fabricaton  Direct wax pattern method: Wax pattern is prepared in the oral cavity  Indirect wax pattern method: Wax pattern is prepared outside the oral cavity Direct wax pattern using matrix band  Isolate the tooth  Apply matrix band and retainer  Type 1 Inlay wax is used  Soften the inlay wax with heat  Compress softened wax into prepared tooth
  • 39.
     Cooling ofwax causes shrinkage, this is compensated by holding the wax in the preparation under finger pressure until it reaches mouth temperature.  Remove the matrix band and retainer carefully without disturbing the wax pattern  Ask the patient to bite in centric occlusion  Examine the occlusal surface for high point and remove them
  • 40.
     Smoothen theproximal surface of the wax with fine soft silk  Evaluate and correct all margins of the pattern  Once wax pattern is satisfactory, attach the sprue former and reservoir to the thickest point of the wax pattern  Remove the wax pattern and examine it for marginal integrity
  • 41.
    SPRUING  A sprueformer can be made of wax, plastic and metal Functions are:  Sprue former provides a channel so that molten metal flows into mould space after the wax pattern has been eliminated  Provides reservoir of molten metal to compensate for metal shrinkage during solidification  Forms a channel for elimination of wax
  • 42.
    WASHING OF WAXPATTERN  Wax pattern should be washed with soap and soft hair brush carefully  This helps to reduce surface tension and air bubbles on the surface of wax pattern INVESTING Once the wax pattern is cleaned, it is surrounded by investment that hardens and forms the mould in which casting is made
  • 43.
    CASTING PROCEDURE It includes: Burnout for wax elimination  Expansion of the investment to compensate for casting shrinkage  Placement of the gold alloy into the mould  Casting process proper
  • 44.
    CLEANING OF CASTING Quenching of the casting involves rapid cooling at room temperature water bath or ice water bath  Pickling: Is a process in which discolored casting is heated with an acid in test tube or beaker
  • 45.
    TRYING IN THECASTING  Isolate the tooth with rubber dam  Remove the temporary restoration and cement completely  Place the casting on the tooth using light pressure  Check the occlusion by asking the patient to bite on articulation paper  Proper occlusion tends to stabilise the cast while improper casting tends to deflect it  Evaluate the embrassure and judge the points were proximal recontouring is required
  • 46.
    CEMENTATION OF CASTING Clean the casting thoroughly  Apply a thin layer of vanish  Apply warm air to the gingival sulcus of the prepared tooth to dry it  Apply a thin layer of cement on the surfaces of the casting which will be in contact with the tooth surface and on the tooth preparation surface  Sit the casting with the help of hand pressure using a suitable instrument  Ask the patient to bite on a soft cotton pellet which is placed on the occlusal surface of the casting  Clean the area with dry cotton roll  Check the occlusion for harmony of occlusion  Check the gingival sulcus to remove remnant of cement
  • 47.
    RECENT ADVANCES  Thisinclude the CAD/CAM system making the process of restoration more predictable with good clinical outcomes with regards to:  Improved aesthetics  Reduction in time for delivering the restoration  Improved mechanical properties
  • 48.
     Digital technology,computerized dentistry, and digital dentistry are general terms used to describe the clinical application of computer-assisted design, computer- assisted machining (CAD/CAM).  The restorative dentistry application of CAD/CAM technology is the fabrication and delivery of permanent  restorations for teeth and implants.  For the past 30 years the incorporation of dental CAD/CAM into direct patient care has provided a way for dentists to deliver esthetic ceramic restorations in a single dental appointment.
  • 49.
     There arethree sequences involved in the CAD/CAM process.  An intraoral scanner or camera is used to accurately record the hard and soft tissue geometry of the patient’s intraoral condition to a computer program in the First sequence.  This is commonly referred to as a digital impression
  • 50.
     Proprietary softwaredesign program is used to create a virtual restoration (the volume proposal) in the second sequence.  The software programs have the capability of controlling and editing the various parameters of the restoration such as emergence profile, proximal contact, and occlusal relationships.
  • 51.
     Once theproposal of the restoration has been completed, a computer-controlled device is used to produce the restoration in the third sequence.  The most common device uses a subtractive process to machine (i.e., grind or mill, depending on whether carbide burs or diamonds are used) the final restoration from a preformed block of a variety of restorative materials (typically ceramic material)
  • 52.
     CAD/CAM inlayand onlay preparations are primarily adhesive-style preparations that rely on the adhesion of the resin cement to dentin and enamel for retention of the restoration .  These preparations are divergent and relatively non mechanically retentive in design as this provides a more conservative preparation than the requirement for mechanical resistance through grooves, slots, or boxes.
  • 53.
     The internalaspect of the preparation should avoid sharp  divots or concavities, and all internal angles should be rounded  Occlusal reduction should be uniform and of sufficient  thickness to provide optimum strength of the selected ceramic material similar to crown preparations.
  • 54.
     Preparation shouldallow for a minimum of 1.5 mm of ceramic thickness in the central fossa and over nonfunctional cusps, and 2 mm over functional cusps.  All cavosurface margins should be strategically placed away from the contact position of the opposing cusp(s) and be well smooth for easy identification in the design software.  Beveled margins must be avoided, as thin areas of ceramic are prone to fracture
  • 56.
    SUMMARY….  Inlays andonlays ofer excellent restorations that may be underused in dentistry.  The technique typically requires multiple patient visits and excellent laboratory support, but the resulting restorations  have the potential to last for decades.  High noble alloys are desirable for patients concerned with allergy or sensitivity to other restorative materials.
  • 57.
     Cast-metal onlays,in particular, can be designed to strengthen the restored tooth while conserving more tooth structure than does a full crown.  Disadvantages such as high cost and technique sensitivity limit their use, but when indicated, they provide a restorative option that is less damaging to pulpal and periodontal tissues compared with a full crown.