PROVISIONAL RESTORATION IN
FIXED PARTIAL DENTURES
Guided By:
Dr. Shailendra Kumar Sahu
Dr. Anurag Dani
Dr. P Muralidhar Reddy
Dr. Manupreet Kaur Rangi
Dr. Poonam Deshmukh
Dr. Prashant Kothari
CONTENTS
• Introduction
• Definition of provisional restorations.
• Requirements of provisional restoration.
• Classification of provisional restoration.
• Fabrication Techniques.
• Provisional Cements
• Provisional restorations in laminates and Implant dentistry
• Limitations of provisional restorations
• Recent advances in provisionalization
• Conclusion
• References.
INTRODUCTION
• The word provisional means established for the time being, pending a permanent
arrangement.
INTERIM PROSTHESIS - A fixed or removable dental prosthesis, designed to enhance
esthetics, stabilization and/or function for a limited period of time, after which it is to be
replaced by a definitive dental prosthesis. - GPT 9
Synonyms : PROVISIONAL; TRANSITIONAL; TEMPORARY; TREATMENT
RESTORATIONS
BIOLOGIC
1.Pulpal protection
2.Periodontal health
3.Occlusal
compatibility & tooth
position
4.Prevention of enamel
fracture.
4
REQUIREMENTS OF PROVISIONAL MATERIALS
MECHANICAL
Greater stresses in an interim restoration occur during chewing.
To reduce the risk of failure, connector size must be increased in comparison with the
definitive restoration.
ESTHETIC
Aesthetic concern: incisors,
canines and premolars.
Used as a guide for optimum
esthetics in definitive restoration.
It is shaped and modified until
its appearance is mutually
acceptable to the dentist and the
patient.
CLASSIFICATION
1. Method of Fabrication
Prefabricated/ Preformed.
Custom made.
2. Technique involved in fabrication
Direct technique.
Indirect technique.
Indirect - Direct technique
3. Location of fabrication
Chair-side fabricated.
Laboratory fabricated.
4. Duration of use
Short term : for few days - 2 weeks.
Eg - Polycarbonate, aluminium crowns.
Medium term : for 2 weeks > few weeks.
Eg - resin based provisionals.
Long term : for months.
Eg - mostly cast metal crowns.
5. Type of material used:
Metal provisional restoration
Aluminium
Nickel-chromium
Tin-silver
Resin based provisional restoration
Cellulose acetate
Polycarbonate resin
Poly-methyl methacrylate
Poly-ethyl methacrylate
Microfilled composite
Urethane dimethacrylate
Bis -acryl composite
Method of Fabrication
Prefabricated/ Preformed.
Custom made.
Tooth-shaped shells of various materials.
Most crown forms need some modification, eg:axial recontouring, occlusal adjustment, relining.
They can be cemented directly onto the prepared teeth.
Available in various tooth sizes and shapes.
Prefabricated/ Preformed crowns
ADVANTAGES DISADVANTAGES
• Less time
consuming.
•
• Rarely satisfies the
requirement of contours.
•
• Available in
various sizes.
• Limited to single tooth
restoration
POLYCARBONATE CROWNS:
First described by Charles et al in 1973.
Most natural appearance
Advantages:
1. Esthetics
2. Readily available
3. Save chair-side time
CELLULOSE ACETATE:
Thin [0.2 – 0.3 mm] transparent material.
Available in all tooth types and range of sizes.
Do not chemically or mechanically bond to the inside surface so after polymerisation the
shell is peeled off.
The disadvantages are :
• They merely act as a matrix and so must be removed after their relining material has set.
• When the cellulose crown form is removed, the thickness of the crown get reduced (by
about 0.2 mm). This may lead to instability in the occlusion and movement of adjacent teeth.
METAL
Due to their appearance, they are used in the posterior region of the mouth.
Various types of metal crown are available: aluminium, stainless steel, tin-silver and
nickel-chromium alloy crowns.
Aluminium crown forms
1. These have been used for many years as the material is easy to manipulate, and it
is malleable and ductile.
2. Aluminium crown forms can corrode with time as saliva can react with them.
3. There is also a risk that if they are placed adjacent to a freshly packed amalgam
or gold restoration, a galvanic cell may be established.
Stainless steel crown forms:
1. These crown forms are much less malleable and ductile than the
aluminium crown forms, thus they are harder wearing and are less likely to
deform under load.
2. They are usually not refined but trimmed using crown shears until their
fit approximates to the prepared tooth and luted using a glass ionomer or
polycarboxylate cement.
3. The success rate is very high and these crowns are useful to maintain
the space that may be lost when a deciduous tooth is lost prematurely.
Tin silver alloy crowns:
1. These are available for posterior teeth.
2. The alloy is very soft and the margin of the crown can be flexed prior to seating.
3. These produce a close marginal fit after the shell is trimmed with a bur.
4. These should also be lined with acrylic resin to provide good internal adaptation and
retention.
Nickel chromium alloy:
1. Used in children with extensively damaged primary teeth
2. They cannot be altered with resin
3. These crowns can be easily recontoured using pliers.
4. Indicated as long term temporaries.
CUSTOM MADE CROWNS
Custom fabrication represents one of the best choices for
provisional restorative treatment.
The technique allows for intimate contact between a
provisional restoration and prepared tooth.
Tissue surface form
Direct & Indirect forms, a 3rd category indirect-direct
results from the sequential application of these two forms
Technique involved in Fabrication.
• Direct technique.
• Indirect technique.
• Indirect - Direct technique
DIRECT TECHNIQUE
The prepared teeth and tissues directly provide the tissue
form for the provisional restoration.
Techniques available are:
1. Shells (proprietary or custom)
2. Matrices ( formed directly in mouth or indirectly on
cast)
3. Direct syringing.
DIRECT TECHNIQUE.
• The patient’s prepared teeth & the gingival tissues directly provide the TSF, so the
intermediate steps of the indirect technique are eliminated
• Disadvantages such as potential tissue trauma & inherently poor marginal fit.
• Therefore the routine use of directly formed provisional restorations not
recommended when indirect techniques are feasible.
Regish.k.m et al, Techniques of Fabrication of Provisional Restoration: An Overview, International Journal of
Dentistry,Volume 2011 (2011), Article ID 134659
Advantage :
- Less time consuming as the intermediate steps of
indirect technique are eliminated.
Disadvantages :
- Potential tissue trauma from the polymerizing
resin, and
- Inherently poor marginal fit.
INDIRECT TECHNIQUE
Impression of the prepared teeth is poured in quick-setting gypsum :
1. Avoid exposure of patient to adverse properties of resins.
2. Optimise the properties of resins.
3. Ease of making significant changes in contours or occlusal changes.
• Regish.k.m et al, Techniques of Fabrication of Provisional Restoration: An Overview, International Journal of
Dentistry,Volume 2011 (2011), Article ID 134659
Advantages:
1. No contact of monomer
with the prepared tooth
or gingiva.
2. Avoids subjecting a
prepared tooth from the
heat created from
polymerization.
3. Marginal fit is better.
4. Comfortable to the
patient.
INDIRECT - DIRECT TECHNIQUE
Regish.k.m et al, Techniques of Fabrication of Provisional Restoration: An Overview, International Journal of
Dentistry,Volume 2011 (2011), Article ID 134659
Advantage:
1. Chair side time is reduced.
2. Less heat generated in
mouth.
3. Contact between the resin
monomer and soft tissue is
minimised.
TEMPLATE FABRICATED PROVISIONAL FIXED
PARTIAL DENTURE
When a fixed partial denture made for a patient the provisional restoration
should be in the form of a fixed partial dentuare rather than individual crowns.
In the anterior region it will provide better cosmetic result & even in the
posterior region the provisional fixed partial denture will better stabilize the
teeth & the patient gets accustomed to having a tooth in the edentulous space
again.
TEMPLATE FABRICATED VLC CURED PROVISIONAL
RESTORATION
MATERIALS
• The most common materials used for custom interim-fixed restorations are several types of acrylic
resins such as:
• Polymethyl Methacrylate (PMMA) Resin, (Duralay)
• Polyethyl Methacrylate (PEMA) Resin, (Slintine)
• Polyvinyl Methacrylate Resin, (Trim)
• Bis-acryl Composite Resin(Protemp 4)
• Vinyl Ethyl Methacrylate (Snap)
• Butyl Methacrylate(Temp Plus)
• Visible Light-cured Urethane Dimethacrylates.(Revotech LC)
PRESENTLYAVAILABLE PROVISIONAL LUTING CEMENTS
• Polycarboxylate temporary luting cements:
Low postoperative sensitivity
Adequate retention
Easy cleanup
Ex. Cling 2(Clinician’s Choice), Hy-Bond(Shofu dental)
ZOE TEMPORARY LUTING CEMENTS: (Commonly Used)
• Sedative on sensitive teeth
• Excellent antibacterial effect
• Ex. RelyX TempE (3M
ESPE), Temp Bond(Kerr),
Flow Temp(Premier Dental
Products), Hy- Bond
ZOE(Shofu Dental)
ZONE TEMPORARY LUTING CEMENTS
• Replace eugenol with various types
of Carboxylic acids.
• Compatible with permanent resin
cements.
• Greater retention than ZOE
cements.
• No Sedative effect on pulp.
• Ex. Rely X Temp NE(3M ESPE),
Temp Bond NE (Kerr), Freegenol,
Nogenol and Temp Adavantage(GC
America), Ultratemp(Ultradent
Products)
RESIN TEMPORARY LUTING CEMENTS:
• High Strengh
• Excellent retention
• Better esthetics
• Easy Cleanup
• Ex. Systemp.Link(Ivoclar Vivadent),
Temp Bond Clear(Kerr), ImProve (Noble
Biocare)
Maya zalkind, DMD," and nira hochman, DDS , laminate veneer provisional restorations: A clinical report, The Journal of Prosthetic
Dentistry, February, Volume 77 Number2 1997,
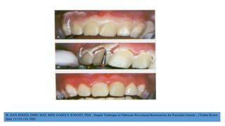
W. DAN SNEED, DMD, MAT, MHS JAMES S. KNIGHT, DDS , Simple Technique to Fabricate Provisional Restorations for Porcelain Veneers , J
Esthet Restor Dent 13:115-119, 2001
W. DAN SNEED, DMD, MAT, MHS JAMES S. KNIGHT, DDS , Simple Technique to Fabricate Provisional Restorations for Porcelain Veneers , J Esthet Restor
Dent 13:115-119, 2001
Celin Arce, DDS, MS, FACP, Predictable techniques for single provisional ,dentaleconomics..com
Provisional Restorations For Implants
• Challenging roadblocks to implant treatment is the patient’s
perception of the temporization.
Partially Edentulous sites Fully Edentulous sites
1) Fixed prosthesis
Ex. Existing FPD, Acrylic Provisional
or resin bonded bridge
Complete dentures
2) Removable prosthesis(i.e stayplate,
flippers)
Ex. Essix appliance, Snap on Smile
Fabrication of In - Office resin- bonded bridge
Removable
Provisional Prosthesis
Fixed prosthesis and
Resin bonded ridge
Fabrication of Essix Appliance
Recent Advances In Provisonal Restorations
Tuff-Tem plus
Protemp Crowns
RohitRaghavan, Shajahan P A, NeenaKunjumon, Provisionals In Dentistry – From Past To Recent Advances , International Journal Dental and Medical
Sciences Research ,Volume 2, Issue 6 (June- 2018), PP 01-06
Temp Tab Thermoplastic
Matrix Wafers
CAD-CAMPMMA
Provisionals
Limitations of provisional restorations
1. Lack of inherent strength-Provisional restorations fracture in long span bridges
2. Poor marginal adaptation- This inherent deficiency is difficult to improve upon.
provisional restorations infers adequate margins at its best
3. Color instability- this is apparent when the provisional restorations are placed for
longer duration.
4. Poor wear properties- teeth will drift or torque if heavy occlusal forces are used.
5. Detectable odor emission- this is undeniable as the resins are porous.
6. Inadequate bonding characteristics-eugenol cements are incompatible with methyl
methacrylate resins
• The three factors that are responsible for achieving quality provisional restorations are
time, proper materials and technique
CONCLUSION
• Although interim restorations are usually intented for short term use
& then discarded, they can be made to provide pleasing esthetics,
adequate support & good protection for teeth while maintaining
periodontal health.
• They may be made in dental office by number of practical methods
from several commercially available materials.
• The success of Fixed prosthodontics often depends on the care with
which the interim restoration is designed & fabricated.
REFERENCES
 Phillip’s Science of dental materials. Eleventh edition
 Rosenstiel, Contemporary fixed prosthodontics. 4th edition.
 Shillingburg, Fundamentals of fixed prosthodontics. 3rd edition.
 Regish.k.m et al, Techniques of Fabrication of Provisional Restoration: An Overview, International Journal of
Dentistry,Volume 2011 (2011), Article ID 134659
 Maya zalkind, DMD," and nira hochman, DDS , laminate veneer provisional restorations: A clinical report, The
Journal of Prosthetic Dentistry, February, Volume 77 Number2 1997
 W. DAN SNEED, DMD, MAT, MHS JAMES S. KNIGHT, DDS , Simple Technique to Fabricate Provisional
Restorations for Porcelain Veneers , J Esthet Restor Dent 13:115-119, 2001
 Celin Arce, DDS, MS, FACP, Predictable techniques for single provisional ,dentaleconomics..com
 RohitRaghavan, Shajahan PA, NeenaKunjumon, Provisionals In Dentistry – From Past To Recent Advances ,
International Journal Dental and Medical Sciences Research ,Volume 2, Issue 6 (June- 2018), PP 01-06

provisional restoration fixed partial denture

  • 1.
    PROVISIONAL RESTORATION IN FIXEDPARTIAL DENTURES Guided By: Dr. Shailendra Kumar Sahu Dr. Anurag Dani Dr. P Muralidhar Reddy Dr. Manupreet Kaur Rangi Dr. Poonam Deshmukh Dr. Prashant Kothari
  • 2.
    CONTENTS • Introduction • Definitionof provisional restorations. • Requirements of provisional restoration. • Classification of provisional restoration. • Fabrication Techniques. • Provisional Cements • Provisional restorations in laminates and Implant dentistry • Limitations of provisional restorations • Recent advances in provisionalization • Conclusion • References.
  • 3.
    INTRODUCTION • The wordprovisional means established for the time being, pending a permanent arrangement. INTERIM PROSTHESIS - A fixed or removable dental prosthesis, designed to enhance esthetics, stabilization and/or function for a limited period of time, after which it is to be replaced by a definitive dental prosthesis. - GPT 9 Synonyms : PROVISIONAL; TRANSITIONAL; TEMPORARY; TREATMENT RESTORATIONS
  • 4.
    BIOLOGIC 1.Pulpal protection 2.Periodontal health 3.Occlusal compatibility& tooth position 4.Prevention of enamel fracture. 4 REQUIREMENTS OF PROVISIONAL MATERIALS
  • 5.
    MECHANICAL Greater stresses inan interim restoration occur during chewing. To reduce the risk of failure, connector size must be increased in comparison with the definitive restoration.
  • 6.
    ESTHETIC Aesthetic concern: incisors, caninesand premolars. Used as a guide for optimum esthetics in definitive restoration. It is shaped and modified until its appearance is mutually acceptable to the dentist and the patient.
  • 7.
    CLASSIFICATION 1. Method ofFabrication Prefabricated/ Preformed. Custom made. 2. Technique involved in fabrication Direct technique. Indirect technique. Indirect - Direct technique 3. Location of fabrication Chair-side fabricated. Laboratory fabricated. 4. Duration of use Short term : for few days - 2 weeks. Eg - Polycarbonate, aluminium crowns. Medium term : for 2 weeks > few weeks. Eg - resin based provisionals. Long term : for months. Eg - mostly cast metal crowns.
  • 8.
    5. Type ofmaterial used: Metal provisional restoration Aluminium Nickel-chromium Tin-silver Resin based provisional restoration Cellulose acetate Polycarbonate resin Poly-methyl methacrylate Poly-ethyl methacrylate Microfilled composite Urethane dimethacrylate Bis -acryl composite
  • 9.
    Method of Fabrication Prefabricated/Preformed. Custom made.
  • 10.
    Tooth-shaped shells ofvarious materials. Most crown forms need some modification, eg:axial recontouring, occlusal adjustment, relining. They can be cemented directly onto the prepared teeth. Available in various tooth sizes and shapes. Prefabricated/ Preformed crowns ADVANTAGES DISADVANTAGES • Less time consuming. • • Rarely satisfies the requirement of contours. • • Available in various sizes. • Limited to single tooth restoration
  • 11.
    POLYCARBONATE CROWNS: First describedby Charles et al in 1973. Most natural appearance Advantages: 1. Esthetics 2. Readily available 3. Save chair-side time
  • 12.
    CELLULOSE ACETATE: Thin [0.2– 0.3 mm] transparent material. Available in all tooth types and range of sizes. Do not chemically or mechanically bond to the inside surface so after polymerisation the shell is peeled off. The disadvantages are : • They merely act as a matrix and so must be removed after their relining material has set. • When the cellulose crown form is removed, the thickness of the crown get reduced (by about 0.2 mm). This may lead to instability in the occlusion and movement of adjacent teeth.
  • 13.
    METAL Due to theirappearance, they are used in the posterior region of the mouth. Various types of metal crown are available: aluminium, stainless steel, tin-silver and nickel-chromium alloy crowns. Aluminium crown forms 1. These have been used for many years as the material is easy to manipulate, and it is malleable and ductile. 2. Aluminium crown forms can corrode with time as saliva can react with them. 3. There is also a risk that if they are placed adjacent to a freshly packed amalgam or gold restoration, a galvanic cell may be established.
  • 14.
    Stainless steel crownforms: 1. These crown forms are much less malleable and ductile than the aluminium crown forms, thus they are harder wearing and are less likely to deform under load. 2. They are usually not refined but trimmed using crown shears until their fit approximates to the prepared tooth and luted using a glass ionomer or polycarboxylate cement. 3. The success rate is very high and these crowns are useful to maintain the space that may be lost when a deciduous tooth is lost prematurely.
  • 15.
    Tin silver alloycrowns: 1. These are available for posterior teeth. 2. The alloy is very soft and the margin of the crown can be flexed prior to seating. 3. These produce a close marginal fit after the shell is trimmed with a bur. 4. These should also be lined with acrylic resin to provide good internal adaptation and retention.
  • 16.
    Nickel chromium alloy: 1.Used in children with extensively damaged primary teeth 2. They cannot be altered with resin 3. These crowns can be easily recontoured using pliers. 4. Indicated as long term temporaries.
  • 17.
    CUSTOM MADE CROWNS Customfabrication represents one of the best choices for provisional restorative treatment. The technique allows for intimate contact between a provisional restoration and prepared tooth. Tissue surface form Direct & Indirect forms, a 3rd category indirect-direct results from the sequential application of these two forms
  • 18.
    Technique involved inFabrication. • Direct technique. • Indirect technique. • Indirect - Direct technique
  • 19.
    DIRECT TECHNIQUE The preparedteeth and tissues directly provide the tissue form for the provisional restoration. Techniques available are: 1. Shells (proprietary or custom) 2. Matrices ( formed directly in mouth or indirectly on cast) 3. Direct syringing.
  • 20.
    DIRECT TECHNIQUE. • Thepatient’s prepared teeth & the gingival tissues directly provide the TSF, so the intermediate steps of the indirect technique are eliminated • Disadvantages such as potential tissue trauma & inherently poor marginal fit. • Therefore the routine use of directly formed provisional restorations not recommended when indirect techniques are feasible.
  • 21.
    Regish.k.m et al,Techniques of Fabrication of Provisional Restoration: An Overview, International Journal of Dentistry,Volume 2011 (2011), Article ID 134659 Advantage : - Less time consuming as the intermediate steps of indirect technique are eliminated. Disadvantages : - Potential tissue trauma from the polymerizing resin, and - Inherently poor marginal fit.
  • 22.
    INDIRECT TECHNIQUE Impression ofthe prepared teeth is poured in quick-setting gypsum : 1. Avoid exposure of patient to adverse properties of resins. 2. Optimise the properties of resins. 3. Ease of making significant changes in contours or occlusal changes.
  • 23.
    • Regish.k.m etal, Techniques of Fabrication of Provisional Restoration: An Overview, International Journal of Dentistry,Volume 2011 (2011), Article ID 134659 Advantages: 1. No contact of monomer with the prepared tooth or gingiva. 2. Avoids subjecting a prepared tooth from the heat created from polymerization. 3. Marginal fit is better. 4. Comfortable to the patient.
  • 24.
    INDIRECT - DIRECTTECHNIQUE Regish.k.m et al, Techniques of Fabrication of Provisional Restoration: An Overview, International Journal of Dentistry,Volume 2011 (2011), Article ID 134659 Advantage: 1. Chair side time is reduced. 2. Less heat generated in mouth. 3. Contact between the resin monomer and soft tissue is minimised.
  • 25.
    TEMPLATE FABRICATED PROVISIONALFIXED PARTIAL DENTURE When a fixed partial denture made for a patient the provisional restoration should be in the form of a fixed partial dentuare rather than individual crowns. In the anterior region it will provide better cosmetic result & even in the posterior region the provisional fixed partial denture will better stabilize the teeth & the patient gets accustomed to having a tooth in the edentulous space again.
  • 28.
    TEMPLATE FABRICATED VLCCURED PROVISIONAL RESTORATION
  • 29.
    MATERIALS • The mostcommon materials used for custom interim-fixed restorations are several types of acrylic resins such as: • Polymethyl Methacrylate (PMMA) Resin, (Duralay) • Polyethyl Methacrylate (PEMA) Resin, (Slintine) • Polyvinyl Methacrylate Resin, (Trim) • Bis-acryl Composite Resin(Protemp 4) • Vinyl Ethyl Methacrylate (Snap) • Butyl Methacrylate(Temp Plus) • Visible Light-cured Urethane Dimethacrylates.(Revotech LC)
  • 31.
    PRESENTLYAVAILABLE PROVISIONAL LUTINGCEMENTS • Polycarboxylate temporary luting cements: Low postoperative sensitivity Adequate retention Easy cleanup Ex. Cling 2(Clinician’s Choice), Hy-Bond(Shofu dental)
  • 32.
    ZOE TEMPORARY LUTINGCEMENTS: (Commonly Used) • Sedative on sensitive teeth • Excellent antibacterial effect • Ex. RelyX TempE (3M ESPE), Temp Bond(Kerr), Flow Temp(Premier Dental Products), Hy- Bond ZOE(Shofu Dental)
  • 33.
    ZONE TEMPORARY LUTINGCEMENTS • Replace eugenol with various types of Carboxylic acids. • Compatible with permanent resin cements. • Greater retention than ZOE cements. • No Sedative effect on pulp. • Ex. Rely X Temp NE(3M ESPE), Temp Bond NE (Kerr), Freegenol, Nogenol and Temp Adavantage(GC America), Ultratemp(Ultradent Products)
  • 34.
    RESIN TEMPORARY LUTINGCEMENTS: • High Strengh • Excellent retention • Better esthetics • Easy Cleanup • Ex. Systemp.Link(Ivoclar Vivadent), Temp Bond Clear(Kerr), ImProve (Noble Biocare)
  • 35.
    Maya zalkind, DMD,"and nira hochman, DDS , laminate veneer provisional restorations: A clinical report, The Journal of Prosthetic Dentistry, February, Volume 77 Number2 1997,
  • 36.
    W. DAN SNEED,DMD, MAT, MHS JAMES S. KNIGHT, DDS , Simple Technique to Fabricate Provisional Restorations for Porcelain Veneers , J Esthet Restor Dent 13:115-119, 2001
  • 37.
    W. DAN SNEED,DMD, MAT, MHS JAMES S. KNIGHT, DDS , Simple Technique to Fabricate Provisional Restorations for Porcelain Veneers , J Esthet Restor Dent 13:115-119, 2001
  • 38.
    Celin Arce, DDS,MS, FACP, Predictable techniques for single provisional ,dentaleconomics..com
  • 39.
    Provisional Restorations ForImplants • Challenging roadblocks to implant treatment is the patient’s perception of the temporization. Partially Edentulous sites Fully Edentulous sites 1) Fixed prosthesis Ex. Existing FPD, Acrylic Provisional or resin bonded bridge Complete dentures 2) Removable prosthesis(i.e stayplate, flippers) Ex. Essix appliance, Snap on Smile
  • 40.
    Fabrication of In- Office resin- bonded bridge
  • 41.
  • 42.
  • 43.
    Recent Advances InProvisonal Restorations Tuff-Tem plus Protemp Crowns RohitRaghavan, Shajahan P A, NeenaKunjumon, Provisionals In Dentistry – From Past To Recent Advances , International Journal Dental and Medical Sciences Research ,Volume 2, Issue 6 (June- 2018), PP 01-06
  • 44.
    Temp Tab Thermoplastic MatrixWafers CAD-CAMPMMA Provisionals
  • 45.
    Limitations of provisionalrestorations 1. Lack of inherent strength-Provisional restorations fracture in long span bridges 2. Poor marginal adaptation- This inherent deficiency is difficult to improve upon. provisional restorations infers adequate margins at its best 3. Color instability- this is apparent when the provisional restorations are placed for longer duration. 4. Poor wear properties- teeth will drift or torque if heavy occlusal forces are used. 5. Detectable odor emission- this is undeniable as the resins are porous. 6. Inadequate bonding characteristics-eugenol cements are incompatible with methyl methacrylate resins • The three factors that are responsible for achieving quality provisional restorations are time, proper materials and technique
  • 46.
    CONCLUSION • Although interimrestorations are usually intented for short term use & then discarded, they can be made to provide pleasing esthetics, adequate support & good protection for teeth while maintaining periodontal health. • They may be made in dental office by number of practical methods from several commercially available materials. • The success of Fixed prosthodontics often depends on the care with which the interim restoration is designed & fabricated.
  • 47.
    REFERENCES  Phillip’s Scienceof dental materials. Eleventh edition  Rosenstiel, Contemporary fixed prosthodontics. 4th edition.  Shillingburg, Fundamentals of fixed prosthodontics. 3rd edition.  Regish.k.m et al, Techniques of Fabrication of Provisional Restoration: An Overview, International Journal of Dentistry,Volume 2011 (2011), Article ID 134659  Maya zalkind, DMD," and nira hochman, DDS , laminate veneer provisional restorations: A clinical report, The Journal of Prosthetic Dentistry, February, Volume 77 Number2 1997  W. DAN SNEED, DMD, MAT, MHS JAMES S. KNIGHT, DDS , Simple Technique to Fabricate Provisional Restorations for Porcelain Veneers , J Esthet Restor Dent 13:115-119, 2001  Celin Arce, DDS, MS, FACP, Predictable techniques for single provisional ,dentaleconomics..com  RohitRaghavan, Shajahan PA, NeenaKunjumon, Provisionals In Dentistry – From Past To Recent Advances , International Journal Dental and Medical Sciences Research ,Volume 2, Issue 6 (June- 2018), PP 01-06

Editor's Notes

  • #5 1. It must seal and insulate the prepared tooth surface from the oral environment to prevent sensitivity and further irritation to the pulp. 2. To facilitate plaque removal, a provisional restoration must have good marginal fit, proper contour and a smooth surface. An over contoured, irregular transition from the restoration to the root surface and inadequate marginal adaptation contributes to plaque accumulation and unhealthy periodontium as it can cause Gingival tissue impingement - Ischemia initially blanching can be seen..later - Localized inflammation or necrosis develops. 3. It should establish or maintain proper contacts with adjacent and opposing teeth. Inadequate contacts : Supraeruption, horizontal movement. 4. The provisional restoration should protect the tooth weaker by crown preparation. This is particularly true with partial coverage designs in which the margin of the preparation is close to the occlusal surface of the tooth and could get damaged during chewing.
  • #6 To avoid jeopardizing periodontal health, they should not be over contoured near the gingiva. Good access for plaque control should have priority.
  • #8 1.Long span posterior FPDs. 2.Patient undergoing implant therapy. 3.Extensive periodontal treatment. 4.Orthodontic stabilization. 5.Evaluation of change in VDO.
  • #12 Polycarbonate has the most natural appearance of all the preformed materials. Although available in only one shade this can be modified to limited extent by the lining resin
  • #13 Ion Crown Formers: shells of cellulose acetate ,…..thin (0.2 to 0.3 mm) transparent material available in all tooth types & a range of sizes. Shades …. on auto polymerizing resin. Resin does not chemically or mechanically bond to the inside surface of the shell, once the polymerization is complete, shell peeled off & discarded to prevent staining at the interface. Removing shell requires the addition of resin to reestablish proximal contacts
  • #14 a. This makes their handling easy for the dentist as they can be bent and trimmed to shape easily.
  • #18 It provides a continuous mechanism for a variety of alterations during treatment such as marginal adaptation, contour change, shade adjustment, occlusal modification, and repair.
  • #20 2. There are three main types of matrices :putty, Vacuum formed thermoplastic, preformed celluloid.
  • #21 Lubricate the prepared teeth and the adjacent gingival margins with petroleum jelly, and reseat the index or the alginate impression with provisional restorative material in the dough stage on the tissue surface of the impression. Make an alginate impression or a putty index. Prepare the patient’s teeth in the usual manner. Reseat the index/alginate impression with provisional restorative material in the dough stage on the tissue surface of the impression. Remove and reseat the restoration until it sets. Finish, polish, and cement the restoration
  • #22 Make an alginate impression or a putty index. Prepare the patient’s teeth in the usual manner. Reseat the index/alginate impression with provisional restorative material in the dough stage on the tissue surface of the impression. Remove and reseat the restoration until it sets. Finish, polish, and cement the restoration
  • #24 A silicone putty index is made involving at least one tooth on either side of the tooth to be prepared. Prepare the patient’s teeth to receive crown. Make a sectional impression of the prepared tooth and the adjacent structures and pour a check cast. Mix the provisional restorative material, and place it in the tissue surface of the index and seat it on the check cast. Try in the preformed restoration for its fit on the cast and then intra-orally. Reline the temporary restoration to perfect the internal fit if necessary. Finish, polish, and cement the restoration.
  • #25 Pour a diagnostic cast from an impression of the unprepared teeth. A silicone putty index is made for the tooth to be prepared. Prepare the tooth on mounted diagnostic casts. Lubricate the prepared diagnostic cast with a petroleum jelly mix the provisional restorative material, and place it in the tissue surface of the index and reseat it on the prepared diagnostic casts After the acrylic resin has polymerized, finish the restoration. Prepare the patient's teeth. Try in the preformed restoration. Reline the temporary restoration to perfect the internal fit if required. Finish, polish and cement the restoration.
  • #27 Place a metal crown or denture teeth in edentulous space All embrasures should be filled with putty(to eliminate undercuts during adaptation) 5x5 inch sheet of 0.020inch thick sheet (clear temporary splint vaccum forming material ) Vaccum forming machine Plastic sheet is secured in the frame of vaccum forming machine Plastic sags as it is heated to proper temperature The frame is pulled down over perforated stage of vaccum forming machine The plastic is cut to remove from diagnostic cast
  • #28 Template is tried on the cast to verify fit Resin is placed in the template The template is held in position with rubber bands The lingual ridge of saddle is removed to open lingual embrasure The pontic is trimmed to widen embrasure and create cleanable contours
  • #33 Eugenol is able to penetrate and diffuse throughout dentine and can affect bond strength provided by resins materials used for definitive restorations
  • #35 Higher incidence of microlekage discolouration and odor associated
  • #36 Preformed polycarbonate crown of suitable diameter was selected and prepared in accordance with height of gingival crest free gingiva and cavosurface angles of tooth preparation Aftr lingual reduction Prepared shell was relined with autopolarzing or light cure acrylic resin After polymerization temp laminate V Was adjusted to desirable shape and occlusion A hole was created at the point of mark drawn on tooth surface A dimple was then made in middle of provisional laminate veneer Bomding material was applied only in dimple area so there was no elevation pf PLV OR gap
  • #37 Unesthetic maxillary anterior dentition Bite registration material placed in stock tray (it sets quickly and forms a rigid impression) Rigidity helps minimize flash when fabricating the PR Impression Can be reused again to replace lost or broken veneer Self etching dentin enamel adhesive system being applied Temphase injected into bite registration impression Loaded impression seated over teeth and held until ured
  • #38 Dry carbide finishing burs the flash was separated at the marginal areas and peeled away Advantages Quick simple fabrication and cementation in one step
  • #39 A PUTTY MATRIX OF DIAGNOSTIC WAX UP BY HONGIUM PRO PUTTY(DMG AMERICA) WITH LIGHT BODY TO CAPTURE SURFACE DETAILS
  • #40 Pressure directly or indirectly on surgical site, implant or bone graft can lead to bone loss or morbidity.