PROVISIONAL
RESTORATIONS IN FPD
PRESENTED BY –
Dr. Arpita Bagga
• Introduction
• Requirements for fixed provisional restorations
Provisional luting materials
• Types of provisional restorations
• Various techniques of fabrication:
a.Direct fabrication techniques
b.Indirect method
c.direct- indirect
• Management of provisional restoration short comings
• Summary
• Refrences
INTRODUCTION
• Provisional restorations in fixed prosthodontic
rehabilitation are important treatment
procedures, particularly if the restorations are
expected to function for extended periods of
time or when additional therapy is required
before completion of the rehabilitation.
• these materials should not only satisfy the
mechanical requirements such as strength and
resistance to wear but also meet the biologic and
esthetic demands.
• Fabrication of this definitive prosthesis, on an
average takes about 7-10 days during which the
prepared tooth need to be protected from the oral
environment and also its relationship with the
adjacent and opposing tooth need to be
maintained.
• Thus, in order to protect these prepared teeth,
provisional restorations are fabricated and the
process is called as Temporization .
• The terms provisional, interim, or transitional
have also been routinely used interchangeably
Provisional prosthesis: a fixed or removable dental
prosthesis, or maxillofacial prosthesis designed to
enhance esthetics, stabilization, and/or function for
a limited period of time, after which it is to be
replaced by a definitive dental or maxillofacial
prosthesis; often such prostheses are used to assist
in determination of the therapeutic effectiveness of
a specific treatment plan or the form and function
of the planned definitive prosthesis
(Fredrick and
Krug)
• Protect pulpal tissue and sedate prepared
abutments
• Protect teeth from dental caries
• Provide comfort and function
• Evaluate parallelism of abutments
• Provide method for immediately replacing
missing teeth
• Prevent migration of abutments
• Improve esthetics
• Evaluate and reinforce the patient’s oral home
care
Rationale for Provisionalrestorations
• Provide a matrix for the retention of periodontal
surgical dressings
• Stabilize mobile teeth during periodontal
therapy and evaluation.
• Provide anchorage for orthodontic brackets
during tooth movement
• Aid in developing and evaluating an occlusal
scheme before definitive treatment
• Allow evaluation of vertical dimension,
phonetics, and masticatory function
• Assist in determining the prognosis of
questionable abutments during prosthodontic
treatment planning
.
MECHANICAL
Resist Functional
load
Resist Removal
forces
Inter-abutment
alingment
ESTHETIC
Contourable
Colour stability
Protect pulp
periodontal health.
Provide occlusal
compatibility
Maintain tooth
position
BIOLOGIC
Fracture resistance
• Greater stresses in an interim restoration occur
during chewing.
• To reduce the risk of failure, connector size
must be increased in comparison with the
definitive restoration.
Indications of provisional restorations
• Diagnostic: Prior to making the final restoration it
may be advisable to determine the prognosis of the
pulps and the periodontium of the prepared tooth.
• Protective: Cut dentine and associated pulp are
protected from salivary, thermal and chemical
irritants. The gingival is also protected when
restorations are properly formed
• Restorative: Replacement of teeth, especially
immediate anterior replacements.
• Restorative: Replacement of teeth, especially
immediate anterior replacements.
• Stabilization or Provisional Splinting: Stabilization
is of great importance in the treatment of
periodontal weakened teeth. this type of temporary
restoration acts as a provisional splint
Method of
fabrication
Duration of
use
Type of
material
used.
Techniques for
fabrication.
TYPES OF PROVISIONAL RESTORATION
Provisional
restoration
Made
Depending on
Method of
Fabrication
Provisional
Restoration
Custom
Preformed
technique
Indirect
Depending On
Technique of
Fabrication
Indirect-
direct
technique
Direct
resin based
provisional
restoration
Based on material used
Metal based
Provisional
Restoration
Micro-filled Composite: BISGMA •
Direct Provisional Fixed Partial Denture
• For urgent situations, in the absence of any
matrix or opportunity to create a matrix, a
provisional restoration can be fabricated by
adapting a block of freshly mixed
acrylic resin directly to a tooth.
• After the acrylic resin block has polymerized,
the tooth contours can be carved with burs
of choice and the restorative margins perfected
intraorally.
Direct Provisional Fixed Partial Denture
Advantage :
- Less time consuming as the intermediate steps of
indirect technique are eliminated.
Disadvantages :
- Potential tissue trauma from the polymerizing
resin, and
- Inherently poor marginal fit.
Direct Provisional Fixed Partial Denture
• Indirect: these are constructed by placing the
matrix over a model of the prepared tooth, thus
the provisional is constructed out of the
patient's mouth.
• Advantages:
1.No contact of monomer with the prepared tooth or
gingiva.
2.Avoids subjecting a prepared tooth from the heat
created from polymerization.
3.Marginal fit is better.
4.Comfortable to the patient.
• Indirect-Direct: These are made by forming
a temporary in an indirect manner and
then relining this directly in the patients mouth.
• Advantage:
1.Chair side time is reduced.
2.Less heat generated in mouth.
3.Contact between the resin monomer and soft
tissue is minimised.
Over impression fabricated provisional crown
• Over impression frequently is made in the
patient mouth while waiting for the anesthetic
to take effect
• If the tooth to be restored has any obvious
defect , the over impression should be made
from the diagnostic cast
• Any defect can be filled with utility wax
• When the alginate has set the over impression
can be removed from the diagnostic cast
• Thin flashes of impression material that
replicate the gingival crevice are
removed to insure that there will be no
impediments to the complete seating of the cast
into the overimpression later
• The impression is wrapped in a wet paper towel
and placed in a zip lock plastic bag for later use.
• When the tooth preparation is completed, another
quadrant impression is made in alginate. This
impression is poured up with a thin mix of
quicksetting plaster .
• Seat the prepared tooth cast into the over
impression, making sure that the teeth on the
cast are accurately aligned with the tooth
impressions
• Mix tooth-colored acrylic resin in a dappen dish
with a cement spatula. Place the resin in the over
impression so that it completely fills the crown
area of the tooth for which the provisional
restoration is being made .
Once the cast has been firmly seated and the
excess resin has been expressed, hold the cast in
place with a large rubber band
• It is important that the cast be oriented securely in
an upright position so that the space between the
cast and the impression that is filled with the resin
forming the provisional restoration will not be
distorted.
TEMPLATE METHOD
Template fabricated VLC provisional restoration
• A transparent template is essential to the use of a
visible light cured resin
• Template is filled with light cured resin.Use firm
pressure to seat the loaded template on the quick
set plaster cast
• Cast with resin loaded template is placed on the
light polymerising unit
• Remove from polymerising unit, trim excess with
scissors Finishing and polishing
Over impression fabricated bisacryl composite
Impression of the sextant taken
A gingival trough is cut With
no 8 bur in facial and lingual
surfaces of imprint of tooth
being restored
Mixed resin is expressed into the Imprint of the tooth for
which provisonal Restoration s being fabricated
Tease the restoration
Position the impression tray on the tooth ,
App. 2min
Remove excess near the margin
When elastic , can remove, shouldn’t take
more than 6 min from mixing
Shell fabricated provisional crown
• A thin shell crown or fpd can be made from
any acrylic resin , and then that shell can be
relined indirectly or directly in the mouth .
• If the reline is done directly ,a methacrylate
other than polymethyl should be used
• This technique can save your chair because the
restoration is partially fabricated prior to the
preparation appointment
An overimpression is made from diagnostic wax up
With an insufflator gently spray enough polymer on to surface of
impression to absorb monomer.
Trim of excess flash material created by the gingival
crevice
Use plastic squeeze bottle with a fine tip to deposit one drop on the
lingual surface of the imprint of each tooth to be restored.
Keep the monomer near the gingival portion of the impression to
prevent excess from accumulating in the incisal or occlusal surface
Try shell on the cast
Gently remove shell from the impression after 4 min
Teeth have been prepared, make a quandrant alginate and pour
with quick setting plaster.
Repeat the process 4 times , inverting the impression frequently to allow the
material to run down to margin rather than pudding in incsial or occlusal
surface
Trim the flash from the gingival area and open the gingival
embrasure with an abrasive disc
Trim the excess
Seat the shell onto the prepared teeth on the cast
When the resin has polymerised, remove the band and dissemble
the shell from plaster
Monomer and polymer can be added directly to shell and mixed there or
mixed in a dappen dish and then transferred to shell , completely filling each
tooth
Wrap a rubber around the shell and cast and place them in a
plaster bowl full of hot tap water for approximately 5mi
• These are available in incisors, canines and
bicuspids. There is a range of sizes for each tooth
form. It should be relined with acrylic in order to
provide a good internal fit.
• After lining with acrylic, they may be trimmed to
provide a good marginal adaptation and further
adjusted into proper occlusion.
Techniques for prefabricated provisional
restorations
PROVISIONAL CROWN FOR AN
ENDODONTICALLY TREATED TOOTH
• It is often difficult to fabricate provisional
restoration for a tooth that has been prepared for a
dowel core because there is so little intact
supragingival tooth structure.
• This can be accommodated for in the use of
standard polycarbontae crown by placing a piece
of paper clip or other stiff wire into canal and
place resin filled crown down over that.
PREFORMED ANATOMIC METALLIC CROWN
• Emergency cases involving fractured molars
are one of the best indication for the use of
preformed metal crown.
Procedure consist of
• minimal tooth preparation
• measurement and selection of crown
• trimming and adaptation of gingival margin
• occlusal adjustment
• cementation
• Porcelain veneers are a very conservative
treatment for changing the shape, shade, and
contour of teeth without resorting to full-
coverage restorations. These restorations rely
upon the bond between enamel and the porcelain
veneer.
• Fabrication of provisional restorations for
veneers can be a time-consuming and difficult
task. The minimal reduction typically done and
fragility of the thin temporaries make the
process even more challenging.
A provisional restoration technique for laminate veneer
preparations Dean A. Elledge et al.
Veneer preparation Diagnostic wax-up
Removal of the matrix for
trimming of excess material
A bis-acryl temporary material
was dispensed into the putty
matrix to fill the facial surface
The filled matrix was inserted into
the patient’s mouth . The
provisional veneer was removed
from the patient.
Cementation with TempoCem ID
Cleanup of excess
cement
Acrylics: since 1930s the most commonly used
materials today for both single-unit and multiple-
unit restorations
• They produce acceptable short-term
provisionals but tend to discolour over time.
• disadvantages : objectionable odour,
significant shrinkage and heat generation
during setting.
MATERIALS USED IN THE FABRICATION OF
PROVISIONAL CROWNS
poly-R'
methacrylates
polymethyl
methacrylates,
epimines
• Polymethyl methacrylates are commercially
available as
Jet (Lang),
Alike (GC America),
Temporary Bridge Resin (Dentsply/Caulk),
Neopar (SDS/Kerr),
Duralay (Reliance)
• Advantages of this material include low cost, good
wear resistance, good esthetics, high polishability,
good colour stability
• Drawback : It warps because of polymerization
shrinkage
• Heat production during polymerization due to the
exothermic reaction which can damage pulp
• The free monomer that is present may cause pulpal
and gingival damage
• Plant et al. found that the intra-pulpal temperature
rise associated with the polymerization of methyl
methacrylate materials could be up to five times
that associated with the normal consumption of
thermally hot liquid
Plant CG, Jones DW, Darvell BW. The heat evolved and temperatures attained during
setting of restorative materials. Br Dent J 1974;137:233-8.
Poly-R' Methacrylates - Snap ,Splintline ,Trim
II ,Provisional C&B Resin and Temp Plus
• advantages like low cost, less heat given off
during reaction, less shrinkage than polymethyl
methacrylates and extended working time
• disadvantages which include less esthetic than
other currently marketed materials, eugenol
deteriorates the resin, poor wear resistance, poor
colour stability, objectionable odour, hard to
repair and radiolucent.
• Epimines were the first two-paste acrylics,
commercially introduced in 1968 as Scutan
(ESPE). Although Scutan had relatively low
shrinkage, heat production and lowest pulpal
irritability, it was weak and could not be
altered or repaired.
• Preformed provisional crowns or matrices
usually consist of tooth-shaped shells of
plastic, cellulose acetate or metal.
Polycarbonate crowns
First described by Charles et al in 1973.
•Most natural appearance
•Advantages:
1.Esthetics
2.Readily available
3.Save chair-side time
Ion Crown Formers: These are shells made of
cellulose acetate and are available in all
tooth
forms.
• These shells come in various sizes for each
tooth form and are lined with acrylic resin.
After the acrylic resin has polymerized, the
cellulose shell is peeled away from the
crown.
• This usually necessitates the further addition of
acrylic in the areas of the proximal contacts.
• Aluminium crown forms
1.These have been used for many years as the
material is easy to manipulate, and it is malleable
and ductile.
2.Aluminium crown forms can corrode with time as
saliva can react with them.
3.There is also a risk that if they are placed adjacent
to a freshly packed amalgam or gold restoration, a
galvanic cell may be established.
Stainless steel crown forms:
1. These crown forms are much less malleable and
ductile than the aluminium crown forms, thus they
are harder wearing and are less likely to deform
under load.
2. They are usually not refined but trimmed using
crown shears until their fit approximates to the
prepared tooth and luted using a glass ionomer or
polycarboxylate cement.
3. The success rate is very high and these crowns
are useful to maintain the space that may be lost
when a deciduous tooth is lost prematurely.
Tin Silver: Tin Silver preformed crowns are
available for posterior teeth.
• This alloy is very soft and the margin
of the crown can be flexed prior to
seating.
• This produces a close marginal fit after
the shell is trimmed with a bur.
• These should also be lined with nacrylic
resin to provide good internal
adaptation and retention of the temporary.
• Nickel chromium alloy:
1.Used in children with extensively damaged
primary teeth
2.They cannot be altered with resin
3.These crowns can be easily recontoured using
pliers.
4.Indicated as long term temporaries.
Composites :auto-polymerized, dualpolymerized
and visible light polymerized
• shrink less, give off less heat during setting,
• excellent esthetics, minimal odor and can be
polished at chair-side.
• Protemp II, Protemp Garant, Protemp IV,
Provitec
Bis-acryl composite
Light cure resin
• For both anterior and posterior teeth, they
found the bis-acryl materials significantly
superior to PMMA in all categories and
amongst the various materials, studies have
concluded that Protemp IV is most colour
stable and with superior mechanical
properties.
Protemp™ Crowns (3M ESPE)
A Bis-GMA light-cured composite
• Have a single shade only,
• Have good wear resistance
• Good polishability,
• But because of their single shade are somewhat
limited unless one is prepared to custom stain
Luxatemp Ultra
• Incorporating proprietary nano technology
• Luxatemp Ultra surpasses all leading provisional
materials in flexural strength
CAD-CAM PMMA Provisonals
• Provisional restorations are digitally fabricated
from polymethyl methacrylate (PMMA) and
yeilds a highly precise and anatomically detailed
result .
• PMMA temporaries are milled out of a dense
block and shows reduced the porosity of
traditional hand processed techniques, reducing
chair time and cracking.
• Axial contours and occlusal anatomy provided
from tooth libraries produce additional anatomy
that mimics natural teeth
BioTemps provisionals
Indicated for provisional splinted crowns and
provisionalfull-arch bridges. BioTemps Implant
Provisionals looks like realistic temporaries at any
stage of implant treatment.Cast-metal substructure
is indicated when pontic span is greater than 3
units. BioTemps with metal reinforcement last up
to six months.
There are a variety of luting materials used for
interim purposes. The most common include
(1) polycarboxylate
(2) zinc-oxide eugenol
(3) non-eugenol materials.
• The retentive requirements for provisional luting
materials are that they be: strong enough to retain
a provisional restoration during the course of
treatment but,allow easy restoration removal when
required.
• This paradoxical necessity for good retentive and
sealing quality and easy restoration retrieval may
lead to a compromise in material behavior,
particularly regarding mechanical properties.
• Baldissara et al recommended that interim
restorations be frequently evaluated and used
for only short periods of time.
• Literature reports advise that if provisional
treatment is required over a protracted time
period, it is best to remove and replace the
provisional luting agent on a regular basis
• Some of the most commonly used cements with
provisional prostheses are those containing zinc-
oxide and eugenol. They provide:
sedative effects to reduce dentin
hypersensitivity
possess antibacterial properties.
• Eugenol interferes with the acrylic resin
polymerization and hardening process .
• Therefore Eugenol-free provisional luting
materials are commercially available and
have gained popularity due to the absence of
resin-softening characteristics .
• Polycarboxylate temporary luting
cements:
Low postoperative sensitivity
Adequate retention
Easy cleanup
Ex. Cling 2(Clinician’s Choice), Hy-Bond(Shofu
dental)
ZONE TEMPORARY LUTING CEMENTS
• Replace eugenol with various types of
Carboxylic acids.
• Compatible with permanent resin cements.
• Greater retention than ZOE cements.
• No Sedative effect on pulp.
• ex. Rely X Temp NE(3M ESPE), Temp Bond
NE (Kerr), Freegeno
RESIN TEMPORARY LUTING CEMENTS:
•High Strengh
•Excellent retention
•Better esthetics
•Easy Cleanup
•Ex. Systemp.Link(Ivoclar Vivadent), Temp Bond
Clear(Kerr), ImProve (Noble Biocare)
MANAGEMENT OF PROVISIONAL
RESTORATION SHORTCOMINGS
Fracture
s
• upon removal from the mouth, during
construction trimming, or function.
• result of a crack propagating from a surface
flaw,
• It alters transverse strength, impact
strength, and fatigue resistance
method to reduce the likelihood of fracture
• select the appropriate material based on its
behavior in the oral environment when it will be
subject to aging, fatigue, water sorption, and
wear processes
• it is important to know the flexural strength of
various types of resins for provisional
restorations, as most of them are brittle
• it is generally accepted that PMMAs exhibit
higher fracture toughness than bisphenol A
glycidyl methacrylate (bis-GMA) resins
Non-integrity of the External Contour:
• The correct shaping of the external contours
provides proximal and occlusal stability, and
• maintains tooth positions while the restorative
plan is executed.
Marginal Inaccuracy:
• should exhibit accurate marginal adaptation to the
finish line of the prepared tooth in order to protect
the pulp from thermal, bacterial, and chemical
insults.
• Deficiencies can occur when auto-polymerizing
acrylic resin is used, due to dimensional
contraction
• the resulting marginal gaps may be minimized by
relining the restorations
• Relining has been recommended at the time of
fabrication in order to compensate for the
polymerization shrinkage of the resin and to
improve the initial retention
REMOVAL OF PROVISIONAL
RESTORATION
• The provisional is removed when the patient
returns for the definitive restoration or for
continued preparation.
• Risk of damage to the prepared tooth can be
minimized if removal forces are directed parallel
to the long axis of the preparation.
• The Backhans or hemostatic forceps are
effective.
• Slight buccolingual rocking motion will help
break the cement seal.
CONCLUSION
Although provisional restorations are usually
intended for short term use and then discarded, they
can be made to provide pleasing esthetics, adequate
support, and good protection for teeth while
maintaining periodontal health.
They may be fabricated in the dental office or in
laboratory from any of several commercially
available materials and by a number of practical
methods.
Fundamentals of fixed prosthodontics ,
Shillingberg
Reference
Thank you

PROVISIONAL RESTORATIONS pdf.pdf.pptx.pptx

  • 1.
  • 2.
    • Introduction • Requirementsfor fixed provisional restorations Provisional luting materials • Types of provisional restorations • Various techniques of fabrication: a.Direct fabrication techniques b.Indirect method c.direct- indirect • Management of provisional restoration short comings • Summary • Refrences
  • 3.
    INTRODUCTION • Provisional restorationsin fixed prosthodontic rehabilitation are important treatment procedures, particularly if the restorations are expected to function for extended periods of time or when additional therapy is required before completion of the rehabilitation. • these materials should not only satisfy the mechanical requirements such as strength and resistance to wear but also meet the biologic and esthetic demands.
  • 4.
    • Fabrication ofthis definitive prosthesis, on an average takes about 7-10 days during which the prepared tooth need to be protected from the oral environment and also its relationship with the adjacent and opposing tooth need to be maintained. • Thus, in order to protect these prepared teeth, provisional restorations are fabricated and the process is called as Temporization . • The terms provisional, interim, or transitional have also been routinely used interchangeably
  • 5.
    Provisional prosthesis: afixed or removable dental prosthesis, or maxillofacial prosthesis designed to enhance esthetics, stabilization, and/or function for a limited period of time, after which it is to be replaced by a definitive dental or maxillofacial prosthesis; often such prostheses are used to assist in determination of the therapeutic effectiveness of a specific treatment plan or the form and function of the planned definitive prosthesis
  • 6.
    (Fredrick and Krug) • Protectpulpal tissue and sedate prepared abutments • Protect teeth from dental caries • Provide comfort and function • Evaluate parallelism of abutments • Provide method for immediately replacing missing teeth • Prevent migration of abutments • Improve esthetics • Evaluate and reinforce the patient’s oral home care Rationale for Provisionalrestorations
  • 7.
    • Provide amatrix for the retention of periodontal surgical dressings • Stabilize mobile teeth during periodontal therapy and evaluation. • Provide anchorage for orthodontic brackets during tooth movement • Aid in developing and evaluating an occlusal scheme before definitive treatment • Allow evaluation of vertical dimension, phonetics, and masticatory function • Assist in determining the prognosis of questionable abutments during prosthodontic treatment planning
  • 8.
    . MECHANICAL Resist Functional load Resist Removal forces Inter-abutment alingment ESTHETIC Contourable Colourstability Protect pulp periodontal health. Provide occlusal compatibility Maintain tooth position BIOLOGIC Fracture resistance
  • 9.
    • Greater stressesin an interim restoration occur during chewing. • To reduce the risk of failure, connector size must be increased in comparison with the definitive restoration.
  • 10.
    Indications of provisionalrestorations • Diagnostic: Prior to making the final restoration it may be advisable to determine the prognosis of the pulps and the periodontium of the prepared tooth. • Protective: Cut dentine and associated pulp are protected from salivary, thermal and chemical irritants. The gingival is also protected when restorations are properly formed • Restorative: Replacement of teeth, especially immediate anterior replacements.
  • 11.
    • Restorative: Replacementof teeth, especially immediate anterior replacements. • Stabilization or Provisional Splinting: Stabilization is of great importance in the treatment of periodontal weakened teeth. this type of temporary restoration acts as a provisional splint
  • 12.
    Method of fabrication Duration of use Typeof material used. Techniques for fabrication. TYPES OF PROVISIONAL RESTORATION
  • 13.
  • 14.
  • 15.
    resin based provisional restoration Based onmaterial used Metal based Provisional Restoration Micro-filled Composite: BISGMA •
  • 16.
    Direct Provisional FixedPartial Denture • For urgent situations, in the absence of any matrix or opportunity to create a matrix, a provisional restoration can be fabricated by adapting a block of freshly mixed acrylic resin directly to a tooth. • After the acrylic resin block has polymerized, the tooth contours can be carved with burs of choice and the restorative margins perfected intraorally.
  • 17.
    Direct Provisional FixedPartial Denture Advantage : - Less time consuming as the intermediate steps of indirect technique are eliminated. Disadvantages : - Potential tissue trauma from the polymerizing resin, and - Inherently poor marginal fit.
  • 18.
    Direct Provisional FixedPartial Denture
  • 19.
    • Indirect: theseare constructed by placing the matrix over a model of the prepared tooth, thus the provisional is constructed out of the patient's mouth. • Advantages: 1.No contact of monomer with the prepared tooth or gingiva. 2.Avoids subjecting a prepared tooth from the heat created from polymerization. 3.Marginal fit is better. 4.Comfortable to the patient.
  • 21.
    • Indirect-Direct: Theseare made by forming a temporary in an indirect manner and then relining this directly in the patients mouth. • Advantage: 1.Chair side time is reduced. 2.Less heat generated in mouth. 3.Contact between the resin monomer and soft tissue is minimised.
  • 22.
    Over impression fabricatedprovisional crown • Over impression frequently is made in the patient mouth while waiting for the anesthetic to take effect • If the tooth to be restored has any obvious defect , the over impression should be made from the diagnostic cast • Any defect can be filled with utility wax
  • 24.
    • When thealginate has set the over impression can be removed from the diagnostic cast • Thin flashes of impression material that replicate the gingival crevice are removed to insure that there will be no impediments to the complete seating of the cast into the overimpression later
  • 25.
    • The impressionis wrapped in a wet paper towel and placed in a zip lock plastic bag for later use. • When the tooth preparation is completed, another quadrant impression is made in alginate. This impression is poured up with a thin mix of quicksetting plaster .
  • 26.
    • Seat theprepared tooth cast into the over impression, making sure that the teeth on the cast are accurately aligned with the tooth impressions
  • 27.
    • Mix tooth-coloredacrylic resin in a dappen dish with a cement spatula. Place the resin in the over impression so that it completely fills the crown area of the tooth for which the provisional restoration is being made .
  • 28.
    Once the casthas been firmly seated and the excess resin has been expressed, hold the cast in place with a large rubber band
  • 29.
    • It isimportant that the cast be oriented securely in an upright position so that the space between the cast and the impression that is filled with the resin forming the provisional restoration will not be distorted.
  • 30.
  • 33.
    Template fabricated VLCprovisional restoration • A transparent template is essential to the use of a visible light cured resin • Template is filled with light cured resin.Use firm pressure to seat the loaded template on the quick set plaster cast • Cast with resin loaded template is placed on the light polymerising unit • Remove from polymerising unit, trim excess with scissors Finishing and polishing
  • 34.
    Over impression fabricatedbisacryl composite Impression of the sextant taken A gingival trough is cut With no 8 bur in facial and lingual surfaces of imprint of tooth being restored Mixed resin is expressed into the Imprint of the tooth for which provisonal Restoration s being fabricated
  • 35.
    Tease the restoration Positionthe impression tray on the tooth , App. 2min Remove excess near the margin When elastic , can remove, shouldn’t take more than 6 min from mixing
  • 36.
    Shell fabricated provisionalcrown • A thin shell crown or fpd can be made from any acrylic resin , and then that shell can be relined indirectly or directly in the mouth . • If the reline is done directly ,a methacrylate other than polymethyl should be used • This technique can save your chair because the restoration is partially fabricated prior to the preparation appointment
  • 37.
    An overimpression ismade from diagnostic wax up With an insufflator gently spray enough polymer on to surface of impression to absorb monomer. Trim of excess flash material created by the gingival crevice Use plastic squeeze bottle with a fine tip to deposit one drop on the lingual surface of the imprint of each tooth to be restored. Keep the monomer near the gingival portion of the impression to prevent excess from accumulating in the incisal or occlusal surface
  • 38.
    Try shell onthe cast Gently remove shell from the impression after 4 min Teeth have been prepared, make a quandrant alginate and pour with quick setting plaster. Repeat the process 4 times , inverting the impression frequently to allow the material to run down to margin rather than pudding in incsial or occlusal surface Trim the flash from the gingival area and open the gingival embrasure with an abrasive disc
  • 39.
    Trim the excess Seatthe shell onto the prepared teeth on the cast When the resin has polymerised, remove the band and dissemble the shell from plaster Monomer and polymer can be added directly to shell and mixed there or mixed in a dappen dish and then transferred to shell , completely filling each tooth Wrap a rubber around the shell and cast and place them in a plaster bowl full of hot tap water for approximately 5mi
  • 40.
    • These areavailable in incisors, canines and bicuspids. There is a range of sizes for each tooth form. It should be relined with acrylic in order to provide a good internal fit. • After lining with acrylic, they may be trimmed to provide a good marginal adaptation and further adjusted into proper occlusion. Techniques for prefabricated provisional restorations
  • 45.
    PROVISIONAL CROWN FORAN ENDODONTICALLY TREATED TOOTH • It is often difficult to fabricate provisional restoration for a tooth that has been prepared for a dowel core because there is so little intact supragingival tooth structure. • This can be accommodated for in the use of standard polycarbontae crown by placing a piece of paper clip or other stiff wire into canal and place resin filled crown down over that.
  • 47.
    PREFORMED ANATOMIC METALLICCROWN • Emergency cases involving fractured molars are one of the best indication for the use of preformed metal crown.
  • 48.
    Procedure consist of •minimal tooth preparation • measurement and selection of crown • trimming and adaptation of gingival margin • occlusal adjustment • cementation
  • 53.
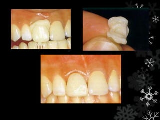
    • Porcelain veneersare a very conservative treatment for changing the shape, shade, and contour of teeth without resorting to full- coverage restorations. These restorations rely upon the bond between enamel and the porcelain veneer. • Fabrication of provisional restorations for veneers can be a time-consuming and difficult task. The minimal reduction typically done and fragility of the thin temporaries make the process even more challenging.
  • 54.
    A provisional restorationtechnique for laminate veneer preparations Dean A. Elledge et al. Veneer preparation Diagnostic wax-up
  • 55.
    Removal of thematrix for trimming of excess material A bis-acryl temporary material was dispensed into the putty matrix to fill the facial surface The filled matrix was inserted into the patient’s mouth . The provisional veneer was removed from the patient.
  • 56.
    Cementation with TempoCemID Cleanup of excess cement
  • 57.
    Acrylics: since 1930sthe most commonly used materials today for both single-unit and multiple- unit restorations • They produce acceptable short-term provisionals but tend to discolour over time. • disadvantages : objectionable odour, significant shrinkage and heat generation during setting. MATERIALS USED IN THE FABRICATION OF PROVISIONAL CROWNS
  • 58.
  • 59.
    • Polymethyl methacrylatesare commercially available as Jet (Lang), Alike (GC America), Temporary Bridge Resin (Dentsply/Caulk), Neopar (SDS/Kerr), Duralay (Reliance)
  • 60.
    • Advantages ofthis material include low cost, good wear resistance, good esthetics, high polishability, good colour stability • Drawback : It warps because of polymerization shrinkage • Heat production during polymerization due to the exothermic reaction which can damage pulp • The free monomer that is present may cause pulpal and gingival damage
  • 61.
    • Plant etal. found that the intra-pulpal temperature rise associated with the polymerization of methyl methacrylate materials could be up to five times that associated with the normal consumption of thermally hot liquid Plant CG, Jones DW, Darvell BW. The heat evolved and temperatures attained during setting of restorative materials. Br Dent J 1974;137:233-8.
  • 62.
    Poly-R' Methacrylates -Snap ,Splintline ,Trim II ,Provisional C&B Resin and Temp Plus • advantages like low cost, less heat given off during reaction, less shrinkage than polymethyl methacrylates and extended working time • disadvantages which include less esthetic than other currently marketed materials, eugenol deteriorates the resin, poor wear resistance, poor colour stability, objectionable odour, hard to repair and radiolucent.
  • 63.
    • Epimines werethe first two-paste acrylics, commercially introduced in 1968 as Scutan (ESPE). Although Scutan had relatively low shrinkage, heat production and lowest pulpal irritability, it was weak and could not be altered or repaired.
  • 64.
    • Preformed provisionalcrowns or matrices usually consist of tooth-shaped shells of plastic, cellulose acetate or metal. Polycarbonate crowns First described by Charles et al in 1973. •Most natural appearance •Advantages: 1.Esthetics 2.Readily available 3.Save chair-side time
  • 65.
    Ion Crown Formers:These are shells made of cellulose acetate and are available in all tooth forms.
  • 66.
    • These shellscome in various sizes for each tooth form and are lined with acrylic resin. After the acrylic resin has polymerized, the cellulose shell is peeled away from the crown. • This usually necessitates the further addition of acrylic in the areas of the proximal contacts.
  • 67.
    • Aluminium crownforms 1.These have been used for many years as the material is easy to manipulate, and it is malleable and ductile. 2.Aluminium crown forms can corrode with time as saliva can react with them. 3.There is also a risk that if they are placed adjacent to a freshly packed amalgam or gold restoration, a galvanic cell may be established.
  • 68.
    Stainless steel crownforms: 1. These crown forms are much less malleable and ductile than the aluminium crown forms, thus they are harder wearing and are less likely to deform under load. 2. They are usually not refined but trimmed using crown shears until their fit approximates to the prepared tooth and luted using a glass ionomer or polycarboxylate cement. 3. The success rate is very high and these crowns are useful to maintain the space that may be lost when a deciduous tooth is lost prematurely.
  • 69.
    Tin Silver: TinSilver preformed crowns are available for posterior teeth.
  • 70.
    • This alloyis very soft and the margin of the crown can be flexed prior to seating. • This produces a close marginal fit after the shell is trimmed with a bur. • These should also be lined with nacrylic resin to provide good internal adaptation and retention of the temporary.
  • 71.
    • Nickel chromiumalloy: 1.Used in children with extensively damaged primary teeth 2.They cannot be altered with resin 3.These crowns can be easily recontoured using pliers. 4.Indicated as long term temporaries.
  • 72.
    Composites :auto-polymerized, dualpolymerized andvisible light polymerized • shrink less, give off less heat during setting, • excellent esthetics, minimal odor and can be polished at chair-side. • Protemp II, Protemp Garant, Protemp IV, Provitec
  • 73.
  • 74.
    • For bothanterior and posterior teeth, they found the bis-acryl materials significantly superior to PMMA in all categories and amongst the various materials, studies have concluded that Protemp IV is most colour stable and with superior mechanical properties.
  • 75.
    Protemp™ Crowns (3MESPE) A Bis-GMA light-cured composite • Have a single shade only, • Have good wear resistance • Good polishability, • But because of their single shade are somewhat limited unless one is prepared to custom stain
  • 76.
    Luxatemp Ultra • Incorporatingproprietary nano technology • Luxatemp Ultra surpasses all leading provisional materials in flexural strength
  • 77.
    CAD-CAM PMMA Provisonals •Provisional restorations are digitally fabricated from polymethyl methacrylate (PMMA) and yeilds a highly precise and anatomically detailed result . • PMMA temporaries are milled out of a dense block and shows reduced the porosity of traditional hand processed techniques, reducing chair time and cracking. • Axial contours and occlusal anatomy provided from tooth libraries produce additional anatomy that mimics natural teeth
  • 78.
    BioTemps provisionals Indicated forprovisional splinted crowns and provisionalfull-arch bridges. BioTemps Implant Provisionals looks like realistic temporaries at any stage of implant treatment.Cast-metal substructure is indicated when pontic span is greater than 3 units. BioTemps with metal reinforcement last up to six months.
  • 79.
    There are avariety of luting materials used for interim purposes. The most common include (1) polycarboxylate (2) zinc-oxide eugenol (3) non-eugenol materials.
  • 80.
    • The retentiverequirements for provisional luting materials are that they be: strong enough to retain a provisional restoration during the course of treatment but,allow easy restoration removal when required. • This paradoxical necessity for good retentive and sealing quality and easy restoration retrieval may lead to a compromise in material behavior, particularly regarding mechanical properties.
  • 81.
    • Baldissara etal recommended that interim restorations be frequently evaluated and used for only short periods of time. • Literature reports advise that if provisional treatment is required over a protracted time period, it is best to remove and replace the provisional luting agent on a regular basis
  • 82.
    • Some ofthe most commonly used cements with provisional prostheses are those containing zinc- oxide and eugenol. They provide: sedative effects to reduce dentin hypersensitivity possess antibacterial properties.
  • 83.
    • Eugenol interfereswith the acrylic resin polymerization and hardening process . • Therefore Eugenol-free provisional luting materials are commercially available and have gained popularity due to the absence of resin-softening characteristics .
  • 84.
    • Polycarboxylate temporaryluting cements: Low postoperative sensitivity Adequate retention Easy cleanup Ex. Cling 2(Clinician’s Choice), Hy-Bond(Shofu dental)
  • 85.
    ZONE TEMPORARY LUTINGCEMENTS • Replace eugenol with various types of Carboxylic acids. • Compatible with permanent resin cements. • Greater retention than ZOE cements. • No Sedative effect on pulp. • ex. Rely X Temp NE(3M ESPE), Temp Bond NE (Kerr), Freegeno
  • 86.
    RESIN TEMPORARY LUTINGCEMENTS: •High Strengh •Excellent retention •Better esthetics •Easy Cleanup •Ex. Systemp.Link(Ivoclar Vivadent), Temp Bond Clear(Kerr), ImProve (Noble Biocare)
  • 87.
    MANAGEMENT OF PROVISIONAL RESTORATIONSHORTCOMINGS Fracture s • upon removal from the mouth, during construction trimming, or function. • result of a crack propagating from a surface flaw, • It alters transverse strength, impact strength, and fatigue resistance
  • 88.
    method to reducethe likelihood of fracture • select the appropriate material based on its behavior in the oral environment when it will be subject to aging, fatigue, water sorption, and wear processes • it is important to know the flexural strength of various types of resins for provisional restorations, as most of them are brittle • it is generally accepted that PMMAs exhibit higher fracture toughness than bisphenol A glycidyl methacrylate (bis-GMA) resins
  • 89.
    Non-integrity of theExternal Contour: • The correct shaping of the external contours provides proximal and occlusal stability, and • maintains tooth positions while the restorative plan is executed.
  • 90.
    Marginal Inaccuracy: • shouldexhibit accurate marginal adaptation to the finish line of the prepared tooth in order to protect the pulp from thermal, bacterial, and chemical insults. • Deficiencies can occur when auto-polymerizing acrylic resin is used, due to dimensional contraction • the resulting marginal gaps may be minimized by relining the restorations
  • 91.
    • Relining hasbeen recommended at the time of fabrication in order to compensate for the polymerization shrinkage of the resin and to improve the initial retention
  • 92.
    REMOVAL OF PROVISIONAL RESTORATION •The provisional is removed when the patient returns for the definitive restoration or for continued preparation. • Risk of damage to the prepared tooth can be minimized if removal forces are directed parallel to the long axis of the preparation. • The Backhans or hemostatic forceps are effective. • Slight buccolingual rocking motion will help break the cement seal.
  • 93.
    CONCLUSION Although provisional restorationsare usually intended for short term use and then discarded, they can be made to provide pleasing esthetics, adequate support, and good protection for teeth while maintaining periodontal health.
  • 94.
    They may befabricated in the dental office or in laboratory from any of several commercially available materials and by a number of practical methods.
  • 95.
    Fundamentals of fixedprosthodontics , Shillingberg Reference
  • 96.