PRINCIPLES OF TOOTH
PREPARATION
Dr Apurva Thampi
1
2
WHAT IS TOOTH PREPARATION???
Tooth preparation may be defined as the mechanical treatment of
dental disease or injury to hard tissue that restores a tooth to the
original form
Tylman
The mechanical preparation or the chemical treatment of the remaining
tooth structure, which enables it to accommodate a restorative material
without incurring mechanical or biological failure.
Marzouk
3
NEED FOR TOOTH PREPARATION
• Teeth - no regenerative ability  restoration
• Teeth require preparation to receive restoration
• Conservative tooth preparation
4
BROAD OBJECTIVES
Optimal tooth
preparation
According to Rosensteil,
5
GUIDELINES OF TOOTH PREPARATION
6
PRINCIPLES OF TOOTH PREPARATION
Preservation
of tooth
structure
Retention &
Resistance
Structural
durability
Marginal
integrity
Preservation
of the
periodontium
According to Shillingburg,
7
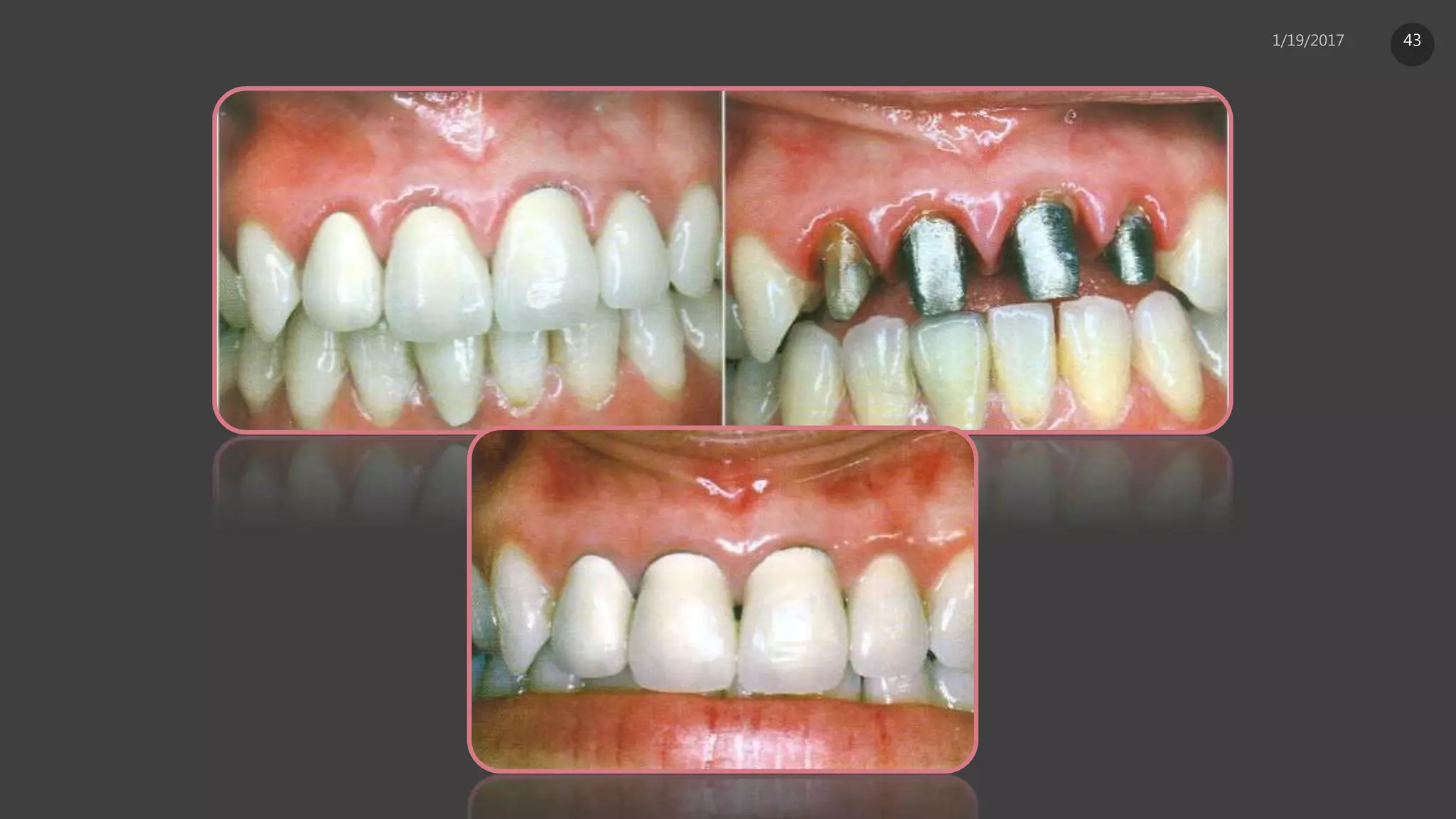
PRESERVATION OF TOOTH
STRUCTURE
Preservation of
 Adjacent teeth
 Soft tissue
 pulp
8
PRESERVATION OF ADJACENT TEETH
• Metal matrix band around the tooth – can be
perforated
• Thin layer of proximal enamel retained – protect
adjacent tooth structure
• Thin tapered diamond – “fin” of enamel
• Undesirable angulation to be avoided
9
PRESERVATION OF SOFT TISSUE
• Careful retraction with mouth mirror or suction tip
10
PRESERVATION OF PULP
Temperature Chemical action Bacterial action
• Friction • Materials – on
freshly cut dentin
• All carious dentin –
removed
• Water spray should
be used
• Cavity varnish or
dentin bonding
agents - prevents
• Bacteria gain access
- microleakage
• Retention features –
at low speeds
• Cleaning and
degreasing agents –
pulpal irritants
• Zinc phosphate
cement -
antibacterial
11
10 – 19
years
20-29
30-39
50-59
20-2910 – 19
years
30-39
50-59
10 – 19
years
20-2930-39
50-59
Maxillary central incisors with
metal ceramic crown
preparation
Maxillary lateral incisors with
metal ceramic crown
preparation
Maxillary canine with metal
ceramic crown preparation
12
PULPAL TEMPERATURE RISE
IN RELATION TO TOOTH
CONTACT
Grp I : air turbine ; water cooled
Grp II : air turbine ; dry
Grp III : low speed ; water cooled
Grp IV : low speed ; dry
According to Zach and Cohen –
• Rise of 5.5 o C - 15% necrosis
• Rise of 11.1o C - 60% necrosis
• Rise of 16.6o C - 100% necrosis
1/19/2017 13
CONSERVATION OF TOOTH STRUCTURE
• Extensive amount of reduction – every dentinal tubule
exposed – communicated directly with the dental pulp
• Any damage to the odontoblastic process would
adversely affect the cell nucleus at the dentin-pulp
interface
14
Partial coverage. Minimum convergence angle. Anatomic reduction
Axial surface reduction.Apical extension. Conservative margin
Thickness of remaining dentin inversely proportional to pulpal
response
15
CONSIDERATIONS AFFECTING FUTURE
DENTAL HEALTH
• Insufficient axial reduction
• Inadequate occlusal reduction
• Poor choice of margin location
• Over contoured restoration –
periodontal disease
• Poor form – occlusal dysfunction
• Chipping of enamel or crown fracture
16
RETENTION AND RESISTANCE
• Taper
• Freedom of displacement
• Length
• Substitution of internal features
• Path of insertion
17
A preparation with good resistance
form will be retentive; the opposite is not
necessarily true.
Retention – A +B
Resistance – B+C+D
A B
C D
18
RETENTION FORM
Retention prevents removal of
the restoration along the path
of insertion or long axis of the
tooth preparation.
Resistance prevents
dislodgment of the
restoration by forces directed
in an apical or oblique
direction and prevents any
movement of the restoration
under occlusal forces.
RESISTANCE FORM
19
TAPER
• The axial walls of the preparation must taper slightly
• two opposing external walls must gradually
converge or
• two opposing internal surfaces of tooth structure
must diverge occlusally.
• The terms angle of convergence and angle of
divergence - relationships between the two opposing
walls of a preparation.
20
Nearly parallel sides gives maximum retention
21
TAPER
• Initially – Ward – 5% - 20% taper (3-12 degrees)
• Recently – 3-5 ; 6 ; 10-14 degrees
• Several studies suggest – 16 degrees clinical taper
(TC)
• Range – 10 degrees on anteriors and 22 degrees on
molars
22
Relationship between taper and retention – as taper increases, retention decreases
23
24
ACCORDING TO CHARLES GOODACRE…
Posterior teeth were prepared with greater taper than anterior (mandibular molars)
FL surfaces had greater convergence than MD surfaces
FPD abutments were prepared with greater taper
Monocular vision created greater taper than binocular vision
25
FREEDOM OF DISPLACEMENT
• Limiting path of insertion
• Limiting torqueing forces in a horizontal plane –
grooves with definate lingual walls
26
Walls of the groove must be perpendicular to the
rotating forces
Buccal and lingual walls will not resist
displacement if they meet the pulpal wall at
oblique angles
27
LENGTH
• Longer preparations – more surface area – more
retention
• Short walls – decrease taper – increase resistance
• Preparation on smaller tooth – smaller arc of
displacement
28
Preparattion of a tooth with smaller diameter
resists displacement better than in a larger tooth
with same height
Resistance of a short preparation can be improved
by adding grooves
29
SUBSTITUTION OF INTERNAL FEATURES
• Minimal taper may always not be possible
30
Adding grooves or boxes to a preparation with a
limited path of withdrawal does not markedly affect its
retention because the surface area is not increased
significantly
(Rosenstiel)
31
A flat gingival seat and adequate axial depth will aid in resisting
forces by increasing surface area
32
PATH OF INSERTION
Path of insertion is an imaginary line along which the
restoration will be placed into or removed from the
preparation
33
34
PATH OF INSERTION
• Considered FL and MD
35
STRUCTURAL DURABILITY
• Occlusal reduction
• Functional cusp bevel
• Axial reduction
36
OCCLUSAL REDUCTION
Preparation Occlusal reduction
Gold crown 1.5 mm
Metal ceramic crown 1.5 – 2mm
All ceramic crown 2 mm
37
OCCLUSAL REDUCTION
• Occlusal anatomy must be maintained
• Flat occlusal anatomy – does not allow good
functional morphology
38
FUNCTIONAL CUSP BEVEL
• Wide bevel (on functional cusps)
• Lingual cusps of maxillary teeth
• Buccal cusps of maxillary teeth
39
40
• If no bevel – excessive axial inclination – destroy
excessive tooth structure – lessens retention
41
AXIAL REDUCTION
• Space for adequate restoration material
• Inadequate axial reduction – over contoured
restorations – disastrous periodontal effects
42
43
“TRUSS EFFECT”
To maximise space –
• Offset
• Occlusal shoulder
• Isthmus
• Proximal groove
1/19/2017 44
MARGINAL INTEGRITY
• Finish line
configuration
• Bevels
45
FINISH LINE CONFIGURATION
• Fit as closely to the finish line to minimise exposed
cement
• Sufficient strength to withstand the forces of
mastication
• Should be located where the dentist can inspect them
and the patient can clean them
46
FUNCTIONS OF FINISH LINE
Measure of tooth structure that has been removed
Used to measure the accuracy of an impression
Helps to evaluate a die and trim accurately
Proper fabrication of a wax pattern
Evaluation of a restoration
Helps in determining if the restoration is seated
completely
47
48
TYPES OF FINISH LINE
• Least stress
• Round end diamond
• Torpedo – less likely to
produce a butt joint
CHAMFER MARGIN
1/19/2017 49
TYPES OF FINISH LINES
• 90 degree cavo-surface
angle
• Rounded internal line
angle
• Better support than
Chamfer
• Bevel can be added to
provide better support
HEAVY CHAMFER
1/19/2017 50
TYPES OF FINISH LINES
• Healthy restoration
contours and maximum
esthetics
• Minimises stress that
may lead to fracture of
porcelain
• Sharp line angle – stress
concentration – coronal
fracture
SHOULDER
1/19/2017 51
TYPES OF FINISH LINES
• Essentially same as the
shoulder
• Internal line angle
rounded
• Cavo surface margin –
90 degrees
• Stress concentration
less than in classic
shoulder RADIAL SHOULDER
1/19/2017 52
TYPES OF FINISH LINES
• Permits an acute margin
of metal
• Thin margin – difficult
to wax up
• Susceptible to
distortion when
subjected to occlusal
forces
• May result in over
contoured restoration
to compensate for bulk
KNIFE EDGE
1/19/2017 53
TO BEVEL OR NOT TO BEVEL….
54
TO BEVEL…..
• Diminish marginal inaccuracy
d = D sin m
or
d = D cos p
• As the angle m is reduced its sine
value also reduces and so does the
value of d…thus reducing the
marginal discrepancy.
55
….NOT TO BEVEL
56
PRESERVATION OF THE
PERIODONTIUM
57
MARGIN PLACEMENT
• Direct effect on ultimate success of restoration
• Margins should be as smooth as possible
• Placed in area that can be finished well by the dentist
and kept clean by the patient
• Placed in enamel whenever possible
• Should be supragingival whenever possible
58
SUPRA GINGIVAL MARGIN
• Less potential for soft
tissue damage
• Easily prepared and
finished
• More easily kept clean
• Impressions are more
easily made
• Restorations easily
evaluated at recall
appointments
1/19/2017 59
SUBGINGIVAL MARGIN
:
• Esthetics
• Existing caries, cervical erosion, or restorations extend
subgingivally, and crown-lengthening is not indicated
• Proximal contact area extends to the gingival crest
• Additional retention is needed
• Margin of a metal-ceramic crown is to be hidden behind the
labiogingival crest
• Root sensitivity cannot be controlled by more conservative
procedures, such as the application of dentin bonding agents
60
• Finish line should not be closer than 2mm to the alveolar
crest
• Placement in this area –
• gingival inflammation
• loss of alveolar crest height
• pocket formation
61
MARGINAL ADAPTATION
• Junction between a cemented restoration and the tooth -
potential site for recurrent caries
• Casting- fits within 10 µm
• Porcelain margin- 50 µm
• Stepped irregular margin- poor adaptation
62
CURRENT CONCEPTS
Tooth preparations for complete crowns: An art
form based on scientific principles
Charles Goodacre
63
• The total occlusal convergence - between 10 and 20 degrees.
• 3 mm should be the minimal occlusocervical /incisocervical dimension
of incisors and premolars prepared within the recommended 10 to 20
degrees of total occlusal convergence.
• The minimal occlusocervical dimension of molars should be 4 mm when
prepared with 10 to 20 degrees total occlusal convergence.
• The ratio of the occlusocervical/incisocervical dimension of a prepared
tooth to the faciolingual dimension should be at least 0.4 or higher for
all teeth.
64
• Teeth should be prepared so that the facioproximal and
linguoproximal corners are preserved.
• Teeth without natural circumferential morphology after tooth
preparation (round teeth) or teeth that lack adequate resistance form
should be modified with the creation of grooves/boxes.
• Many molars need auxiliary grooves or boxes to enhance resistance
form because of their short occlusocervical dimensions and the
unfavorable ratio of the occlusocervical dimensions to the faciolingual
dimensions.
• Axial grooves/boxes should be used routinely when mandibular
molars are prepared for fixed partial dentures, and they should be
located on the proximal surfaces.
65
• When tooth conditions and esthetics permit, finish lines should be located
supragingivally.
• When subgingival finish lines are required, they should not be extended to
the epithelial attachment.
• Chamfer finish lines approximately 0.3 mm deep are well suited for all-
metal crowns.
• Both shoulder and chamfer finish lines can be used with all-ceramic crowns
if the crowns are bonded to the prepared teeth. Depths greater than 1 mm
are not required when a semitranslucent type of allceramic crown is used.
66
• Axial and occlusal reductions for all-metal crowns should be at least 0.5
mm deep and 1.0 mm deep, respectively.
• For metal-ceramic crowns, Facial /axial reductions in excess of 1 mm can
compromise the remaining tooth structure external to the pulp, whereas
2.0 mm of occlusal reduction is commonly achievable even on a young
tooth.
• With all-ceramic crowns, it is not necessary to exceed 1 mm of axial
reduction with semitranslucent systems and higher value, lower chroma
shades.
• 2 mm incisal/occlusal reduction for allceramic crowns.
67
14. Line angles should be rounded on all-ceramic tooth preparations to
reduce stress in the definitive restoration.
With crowns that use metal, the primary purpose of line angle rounding
is to facilitate pouring impressions and investing wax patterns without
trapping air bubbles and to facilitate removing casting modules.
15. Smooth tooth preparation appears to enhance the fit of restorations.
Surface roughness generally increases retention with zinc phosphate
cement, but its effect with adhesive cements (polycarboxylate, glass
ionomer, resin) has not been as definitely determined.
68
CONCLUSION
Successful restoration
Accurate diagnosis
Thoughtful Rx planning
Preparation design
69

Principle of tooth preparation

  • 1.
  • 2.
  • 3.
    WHAT IS TOOTHPREPARATION??? Tooth preparation may be defined as the mechanical treatment of dental disease or injury to hard tissue that restores a tooth to the original form Tylman The mechanical preparation or the chemical treatment of the remaining tooth structure, which enables it to accommodate a restorative material without incurring mechanical or biological failure. Marzouk 3
  • 4.
    NEED FOR TOOTHPREPARATION • Teeth - no regenerative ability  restoration • Teeth require preparation to receive restoration • Conservative tooth preparation 4
  • 5.
  • 6.
    GUIDELINES OF TOOTHPREPARATION 6
  • 7.
    PRINCIPLES OF TOOTHPREPARATION Preservation of tooth structure Retention & Resistance Structural durability Marginal integrity Preservation of the periodontium According to Shillingburg, 7
  • 8.
    PRESERVATION OF TOOTH STRUCTURE Preservationof  Adjacent teeth  Soft tissue  pulp 8
  • 9.
    PRESERVATION OF ADJACENTTEETH • Metal matrix band around the tooth – can be perforated • Thin layer of proximal enamel retained – protect adjacent tooth structure • Thin tapered diamond – “fin” of enamel • Undesirable angulation to be avoided 9
  • 10.
    PRESERVATION OF SOFTTISSUE • Careful retraction with mouth mirror or suction tip 10
  • 11.
    PRESERVATION OF PULP TemperatureChemical action Bacterial action • Friction • Materials – on freshly cut dentin • All carious dentin – removed • Water spray should be used • Cavity varnish or dentin bonding agents - prevents • Bacteria gain access - microleakage • Retention features – at low speeds • Cleaning and degreasing agents – pulpal irritants • Zinc phosphate cement - antibacterial 11
  • 12.
    10 – 19 years 20-29 30-39 50-59 20-2910– 19 years 30-39 50-59 10 – 19 years 20-2930-39 50-59 Maxillary central incisors with metal ceramic crown preparation Maxillary lateral incisors with metal ceramic crown preparation Maxillary canine with metal ceramic crown preparation 12
  • 13.
    PULPAL TEMPERATURE RISE INRELATION TO TOOTH CONTACT Grp I : air turbine ; water cooled Grp II : air turbine ; dry Grp III : low speed ; water cooled Grp IV : low speed ; dry According to Zach and Cohen – • Rise of 5.5 o C - 15% necrosis • Rise of 11.1o C - 60% necrosis • Rise of 16.6o C - 100% necrosis 1/19/2017 13
  • 14.
    CONSERVATION OF TOOTHSTRUCTURE • Extensive amount of reduction – every dentinal tubule exposed – communicated directly with the dental pulp • Any damage to the odontoblastic process would adversely affect the cell nucleus at the dentin-pulp interface 14
  • 15.
    Partial coverage. Minimumconvergence angle. Anatomic reduction Axial surface reduction.Apical extension. Conservative margin Thickness of remaining dentin inversely proportional to pulpal response 15
  • 16.
    CONSIDERATIONS AFFECTING FUTURE DENTALHEALTH • Insufficient axial reduction • Inadequate occlusal reduction • Poor choice of margin location • Over contoured restoration – periodontal disease • Poor form – occlusal dysfunction • Chipping of enamel or crown fracture 16
  • 17.
    RETENTION AND RESISTANCE •Taper • Freedom of displacement • Length • Substitution of internal features • Path of insertion 17
  • 18.
    A preparation withgood resistance form will be retentive; the opposite is not necessarily true. Retention – A +B Resistance – B+C+D A B C D 18
  • 19.
    RETENTION FORM Retention preventsremoval of the restoration along the path of insertion or long axis of the tooth preparation. Resistance prevents dislodgment of the restoration by forces directed in an apical or oblique direction and prevents any movement of the restoration under occlusal forces. RESISTANCE FORM 19
  • 20.
    TAPER • The axialwalls of the preparation must taper slightly • two opposing external walls must gradually converge or • two opposing internal surfaces of tooth structure must diverge occlusally. • The terms angle of convergence and angle of divergence - relationships between the two opposing walls of a preparation. 20
  • 21.
    Nearly parallel sidesgives maximum retention 21
  • 22.
    TAPER • Initially –Ward – 5% - 20% taper (3-12 degrees) • Recently – 3-5 ; 6 ; 10-14 degrees • Several studies suggest – 16 degrees clinical taper (TC) • Range – 10 degrees on anteriors and 22 degrees on molars 22
  • 23.
    Relationship between taperand retention – as taper increases, retention decreases 23
  • 24.
  • 25.
    ACCORDING TO CHARLESGOODACRE… Posterior teeth were prepared with greater taper than anterior (mandibular molars) FL surfaces had greater convergence than MD surfaces FPD abutments were prepared with greater taper Monocular vision created greater taper than binocular vision 25
  • 26.
    FREEDOM OF DISPLACEMENT •Limiting path of insertion • Limiting torqueing forces in a horizontal plane – grooves with definate lingual walls 26
  • 27.
    Walls of thegroove must be perpendicular to the rotating forces Buccal and lingual walls will not resist displacement if they meet the pulpal wall at oblique angles 27
  • 28.
    LENGTH • Longer preparations– more surface area – more retention • Short walls – decrease taper – increase resistance • Preparation on smaller tooth – smaller arc of displacement 28
  • 29.
    Preparattion of atooth with smaller diameter resists displacement better than in a larger tooth with same height Resistance of a short preparation can be improved by adding grooves 29
  • 30.
    SUBSTITUTION OF INTERNALFEATURES • Minimal taper may always not be possible 30
  • 31.
    Adding grooves orboxes to a preparation with a limited path of withdrawal does not markedly affect its retention because the surface area is not increased significantly (Rosenstiel) 31
  • 32.
    A flat gingivalseat and adequate axial depth will aid in resisting forces by increasing surface area 32
  • 33.
    PATH OF INSERTION Pathof insertion is an imaginary line along which the restoration will be placed into or removed from the preparation 33
  • 34.
  • 35.
    PATH OF INSERTION •Considered FL and MD 35
  • 36.
    STRUCTURAL DURABILITY • Occlusalreduction • Functional cusp bevel • Axial reduction 36
  • 37.
    OCCLUSAL REDUCTION Preparation Occlusalreduction Gold crown 1.5 mm Metal ceramic crown 1.5 – 2mm All ceramic crown 2 mm 37
  • 38.
    OCCLUSAL REDUCTION • Occlusalanatomy must be maintained • Flat occlusal anatomy – does not allow good functional morphology 38
  • 39.
    FUNCTIONAL CUSP BEVEL •Wide bevel (on functional cusps) • Lingual cusps of maxillary teeth • Buccal cusps of maxillary teeth 39
  • 40.
  • 41.
    • If nobevel – excessive axial inclination – destroy excessive tooth structure – lessens retention 41
  • 42.
    AXIAL REDUCTION • Spacefor adequate restoration material • Inadequate axial reduction – over contoured restorations – disastrous periodontal effects 42
  • 43.
  • 44.
    “TRUSS EFFECT” To maximisespace – • Offset • Occlusal shoulder • Isthmus • Proximal groove 1/19/2017 44
  • 45.
    MARGINAL INTEGRITY • Finishline configuration • Bevels 45
  • 46.
    FINISH LINE CONFIGURATION •Fit as closely to the finish line to minimise exposed cement • Sufficient strength to withstand the forces of mastication • Should be located where the dentist can inspect them and the patient can clean them 46
  • 47.
    FUNCTIONS OF FINISHLINE Measure of tooth structure that has been removed Used to measure the accuracy of an impression Helps to evaluate a die and trim accurately Proper fabrication of a wax pattern Evaluation of a restoration Helps in determining if the restoration is seated completely 47
  • 48.
  • 49.
    TYPES OF FINISHLINE • Least stress • Round end diamond • Torpedo – less likely to produce a butt joint CHAMFER MARGIN 1/19/2017 49
  • 50.
    TYPES OF FINISHLINES • 90 degree cavo-surface angle • Rounded internal line angle • Better support than Chamfer • Bevel can be added to provide better support HEAVY CHAMFER 1/19/2017 50
  • 51.
    TYPES OF FINISHLINES • Healthy restoration contours and maximum esthetics • Minimises stress that may lead to fracture of porcelain • Sharp line angle – stress concentration – coronal fracture SHOULDER 1/19/2017 51
  • 52.
    TYPES OF FINISHLINES • Essentially same as the shoulder • Internal line angle rounded • Cavo surface margin – 90 degrees • Stress concentration less than in classic shoulder RADIAL SHOULDER 1/19/2017 52
  • 53.
    TYPES OF FINISHLINES • Permits an acute margin of metal • Thin margin – difficult to wax up • Susceptible to distortion when subjected to occlusal forces • May result in over contoured restoration to compensate for bulk KNIFE EDGE 1/19/2017 53
  • 54.
    TO BEVEL ORNOT TO BEVEL…. 54
  • 55.
    TO BEVEL….. • Diminishmarginal inaccuracy d = D sin m or d = D cos p • As the angle m is reduced its sine value also reduces and so does the value of d…thus reducing the marginal discrepancy. 55
  • 56.
  • 57.
  • 58.
    MARGIN PLACEMENT • Directeffect on ultimate success of restoration • Margins should be as smooth as possible • Placed in area that can be finished well by the dentist and kept clean by the patient • Placed in enamel whenever possible • Should be supragingival whenever possible 58
  • 59.
    SUPRA GINGIVAL MARGIN •Less potential for soft tissue damage • Easily prepared and finished • More easily kept clean • Impressions are more easily made • Restorations easily evaluated at recall appointments 1/19/2017 59
  • 60.
    SUBGINGIVAL MARGIN : • Esthetics •Existing caries, cervical erosion, or restorations extend subgingivally, and crown-lengthening is not indicated • Proximal contact area extends to the gingival crest • Additional retention is needed • Margin of a metal-ceramic crown is to be hidden behind the labiogingival crest • Root sensitivity cannot be controlled by more conservative procedures, such as the application of dentin bonding agents 60
  • 61.
    • Finish lineshould not be closer than 2mm to the alveolar crest • Placement in this area – • gingival inflammation • loss of alveolar crest height • pocket formation 61
  • 62.
    MARGINAL ADAPTATION • Junctionbetween a cemented restoration and the tooth - potential site for recurrent caries • Casting- fits within 10 µm • Porcelain margin- 50 µm • Stepped irregular margin- poor adaptation 62
  • 63.
    CURRENT CONCEPTS Tooth preparationsfor complete crowns: An art form based on scientific principles Charles Goodacre 63
  • 64.
    • The totalocclusal convergence - between 10 and 20 degrees. • 3 mm should be the minimal occlusocervical /incisocervical dimension of incisors and premolars prepared within the recommended 10 to 20 degrees of total occlusal convergence. • The minimal occlusocervical dimension of molars should be 4 mm when prepared with 10 to 20 degrees total occlusal convergence. • The ratio of the occlusocervical/incisocervical dimension of a prepared tooth to the faciolingual dimension should be at least 0.4 or higher for all teeth. 64
  • 65.
    • Teeth shouldbe prepared so that the facioproximal and linguoproximal corners are preserved. • Teeth without natural circumferential morphology after tooth preparation (round teeth) or teeth that lack adequate resistance form should be modified with the creation of grooves/boxes. • Many molars need auxiliary grooves or boxes to enhance resistance form because of their short occlusocervical dimensions and the unfavorable ratio of the occlusocervical dimensions to the faciolingual dimensions. • Axial grooves/boxes should be used routinely when mandibular molars are prepared for fixed partial dentures, and they should be located on the proximal surfaces. 65
  • 66.
    • When toothconditions and esthetics permit, finish lines should be located supragingivally. • When subgingival finish lines are required, they should not be extended to the epithelial attachment. • Chamfer finish lines approximately 0.3 mm deep are well suited for all- metal crowns. • Both shoulder and chamfer finish lines can be used with all-ceramic crowns if the crowns are bonded to the prepared teeth. Depths greater than 1 mm are not required when a semitranslucent type of allceramic crown is used. 66
  • 67.
    • Axial andocclusal reductions for all-metal crowns should be at least 0.5 mm deep and 1.0 mm deep, respectively. • For metal-ceramic crowns, Facial /axial reductions in excess of 1 mm can compromise the remaining tooth structure external to the pulp, whereas 2.0 mm of occlusal reduction is commonly achievable even on a young tooth. • With all-ceramic crowns, it is not necessary to exceed 1 mm of axial reduction with semitranslucent systems and higher value, lower chroma shades. • 2 mm incisal/occlusal reduction for allceramic crowns. 67
  • 68.
    14. Line anglesshould be rounded on all-ceramic tooth preparations to reduce stress in the definitive restoration. With crowns that use metal, the primary purpose of line angle rounding is to facilitate pouring impressions and investing wax patterns without trapping air bubbles and to facilitate removing casting modules. 15. Smooth tooth preparation appears to enhance the fit of restorations. Surface roughness generally increases retention with zinc phosphate cement, but its effect with adhesive cements (polycarboxylate, glass ionomer, resin) has not been as definitely determined. 68
  • 69.

Editor's Notes

  • #10 Iatrogenic damage – more susceptible to caries Original tooth surface contains higher content of fluoride content – interrupted layer is more prone to plaque retention Teeth are 1.5-2mm wider at the contact area than at the CEJ
  • #15 Dowden argues that any damage to the odontoblastic process would adversely affect that cell nucleus at the dentin-pulp interface
  • #17 difficult for the patient to maintain plaque control around the gingival margin Original tooth contour – unless malpositioned
  • #21 The relationship of one wall of a preparation to the long axis of that preparation is the inclination of that wall.
  • #22 the more nearly parallel the opposing walls of a preparation, the greater should be the retention. – impossible to create parallel walls - undercuts
  • #27 Definate wall should be perpendicular to the direction of force to provide adequate resistance
  • #29 Axial wall occlusal to the finish line becomes a factor in resisting tipping forces
  • #31 Taper of these features is nearly the same as the instrument used
  • #35 Viewed from a distance of 30 cm or 12 inches Intraorally – where direct vision not possible – mouth mirror held ½ inch away
  • #37 Bulk material – confined to the tooth preparation – prevent periodontal problems
  • #56  Dis the distance by which the crown fails to seat •dis the shortest distance between the tooth structure and the restoration •If the inner angle of the metal margin forms an angle m ,of less than 90 degrees with the path of insertion ,as does a bevel or a chamfer ,dwill be smaller than D. •The shortest distance from the casting margin to tooth structure ,d, can be stated as a function of Dand the sine of the angle m or the cosine of the angle p,whichis the angle between the surface of the bevel and the path of insertion.