INTRODUCTION
•Fleischner Society of thoracic imaging define
thoracic mass as:
•Any pulmonary, pleural, or mediastinal lesion
seen on chest radiographs as an opacity
greater than 3 cm in diameter.
•Mass usually implies a solid or partly solid
opacity.
•Nodule is define ≤ 3 cm in greatest diameter.
Lung masses
•A mass is much more likely than a nodule
to be malignant = 95%
•Imaging ALONE can not differentiate
between lung masses.
•Calcification in a mass does not exclude
malignancy
Nodule/mass evaluation
• Clinical findings (Age, risk factor, symptoms, examination, primary
tumor)
• Previous films
• Imaging evaluation
Location of the Lesion (lung, pleural, chest wall)
Number
Size = >3 or <3
Change in Size
Calcification
Fat Density
Water Density
Air Bronchogram
Cavitation
Character of the Nodule-Lung Interface
Contrast Enhancement
adjacent bone destruction
Volume doubling
times
• Faster 1 month
• Between 1-18
months
• Slower than 18
months
Faster than1 month suggest infection, infarction,
aggressive lymphoma, or a fast growing metastasis
Between 1 and 18 months Lung cancers usually take
to double in volume
Slower than 18 months suggest granuloma,
hamartoma, carcinoid, round atelectasis.
M
M
Location of the Lesion (lung, pleural, chest wall)
Number
Size = >3 or <3
Change in Size
Calcification
Fat Density
Water Density
Air Bronchogram
Cavitation
Character of the Nodule-Lung Interface
Contrast Enhancement
adjacent bone destruction
Location of the Lesion
Number
Water Density (CT)
Fat Density
Air Bronchogram
Cavitation
Adjacent bone destruction
REMEMBER THAT:
•For every radiological evaluation
points there is/are exception/s,
•Clinical data, previous films,
correlation is essential to reach the
diagnosis.
LESION LOCATION
NUMBER OF LESIONS
MULTIPLE
Metastatic
carcinoma
Wegener
granulomatosis
Lung abscesses/
septic emboli
Wegener Granulomatosis
History of sinus & renal disease
Nodules or masses ± cavitation, air-fluid levels rare
Subglottic stenosis may be associate
Septic Emboli
Endocarditis, extrathoracic site of infection,
indwelling catheter, or IV drug abuse
Often multiple consolidations, rapidly evolve
into cavities (24 hours)
NUMBER OF LESIONS
SOLITARY
primary
pulmonary
carcinoma
acute lung
abscess
Hydatid cyst
Round
pneumonia /
atelectasis
OTHER LESS
COMMON
Metastasis
Hamartoma
Sequestration
Arteriovenous malformation
Lung Cancer
Lung cavity in edentulous patient more likely from
cancer than abscess
Thickest portion of cavity wall > 15 mm suggests tumor
Nodular cavity wall
Less likely to exhibit surrounding consolidation
Extralobar Sequestration
 Supernumerary lung tissue
 Well-defined pyramidal basilar soft tissue mass
o May exhibit intrinsic fluid-filled cysts
 90% in left inferior hemithorax
o Other locations: Within diaphragm, abdomen, mediastinum
 Systemic arterial supply
 Systemic venous drainage
Water Density on CT
•Water density (0 HU) on CT plus a thin or
invisible wall is diagnostic of a cystic lesion.
Water Density on CT
Hydatid cyst Bronchogenic cyst Fluid-filled bulla
Pulmonary bronchogenic cyst
Solitary, well-defined, unilocular, spherical/ovoid
Usually lower lobe, rarely upper lobe
Medial 1/3 of lung
Fat Density on CT
•Demonstration of the presence of fat (−30
to −120 HU) attenuation values on CT.
Fat Density on CT
Lipoid pneumonia Metastatic liposarcoma
Air bronchogram
Air bronchogram on CT
Bronchoalevoler
carcinoma
Pulmonary lymphoma Round Pneumonia
X
Cavities and air crescent sign
•Defined radiologically as a gas-containing
space within the lung surrounded by a wall
whose thickness is greater than 1 mm
•Many of the causes of masses may result in
cavitation, so the presence or absence of
cavitation is of limited diagnostic value.
• More important is the morphology of the
cavity.
Cavity morphology
• Thickness of the cavity wall
• The character of its inner lining (whether
irregular or smooth)
• The presence and nature of its contents
• The number of lesions
Cavities and air crescent sign
•
morphology of the cavity
Benign lesions
Thin <4 mm
smooth inner wall
Malignant lesion
Thick > 15mm
Nodular inner wall 5 to 15 mm
Equivocal
Cavities and air crescent sign
• Content of cavity
Non specific
Flat, smooth air-fluid
level
pus, necrotic
neoplasm
More specific
Mobile intracavitry mass 
fungal mycetomas
Fungal ball
Aspergiloma
collapsed membranes
ruptured Echinococcus cyst
Cavities and air crescent sign
•Invasion of adjacent bone by a pulmonary mass
is almost pathognomonic of lung cancer.
•Actinomycosis and occasionally tuberculosis or
fungal disease are the alternative possibilities.
Adjacent bone destruction
57-year-old woman with cough, hemoptysis and weight loss
• PA chest radiographs demonstrate a large right hilar mass with associated upper lobe
volume loss. Note the reverse “S” shape produced by the concave outline of the lateral
aspect of the minor fissure and the convex outline of the central mass, the so-called reverse
“S” sign of Golden.
• Contrast-enhanced chest CT (lung and mediastinal windows) reveals a large central mass
that produces severe irregular narrowing of the right main bronchus, atelectasis of the right
upper lobe, and deformity of the superior vena cava consistent with local invasion
Lung Cancer
PA chest radiographs demonstrate a well defined spherical pulmonary mass of lobular contours
in the left lung
Contrast-enhanced chest CT (mediastinal window) at the level of left atrium demonstrates a
heterogeneously enhancing mass with irregular central low attenuation, representing necrosis.
The mass abuts central bronchi medial and the adjacent pleura laterally
65-year-old man with cough and chest pain
Lung Cancer
Asymptomatic 35-year-old man
• PA chest radiograph demonstrates a well-marginated polylobular mass in the
right lower lobe.
Coned-down contrast-enhanced chest CT (lung and mediastinal windows)
demonstrates a polylobular right lower lobe mass with well-defined borders and
intrinsic homogeneous fluid attenuation contents.
Pulmonary Cystic Hydatid Disease (Echinococcosis)
67-year-old man with hemoptysis and prior tuberculosis
• PA chest radiograph demonstrates a cavitary left apical mass with an intrinsic
soft tissue nodule and an air-fluid level. Air crescent sign
• unenhanced chest CT (lung window) demonstrates a left apical thick-walled
cavitary lesion with an intrinsic dependent soft-tissue nodule and small cavitary
satellite nodules. An adjacent pleural thickening as well as left apical
centrilobular and paraseptal emphysema.
Aspergillosis; Mycetoma
LUNG MASSES

LUNG MASSES

  • 2.
    INTRODUCTION •Fleischner Society ofthoracic imaging define thoracic mass as: •Any pulmonary, pleural, or mediastinal lesion seen on chest radiographs as an opacity greater than 3 cm in diameter. •Mass usually implies a solid or partly solid opacity. •Nodule is define ≤ 3 cm in greatest diameter.
  • 3.
    Lung masses •A massis much more likely than a nodule to be malignant = 95% •Imaging ALONE can not differentiate between lung masses. •Calcification in a mass does not exclude malignancy
  • 4.
    Nodule/mass evaluation • Clinicalfindings (Age, risk factor, symptoms, examination, primary tumor) • Previous films • Imaging evaluation Location of the Lesion (lung, pleural, chest wall) Number Size = >3 or <3 Change in Size Calcification Fat Density Water Density Air Bronchogram Cavitation Character of the Nodule-Lung Interface Contrast Enhancement adjacent bone destruction
  • 5.
    Volume doubling times • Faster1 month • Between 1-18 months • Slower than 18 months Faster than1 month suggest infection, infarction, aggressive lymphoma, or a fast growing metastasis Between 1 and 18 months Lung cancers usually take to double in volume Slower than 18 months suggest granuloma, hamartoma, carcinoid, round atelectasis.
  • 6.
  • 7.
  • 9.
    Location of theLesion (lung, pleural, chest wall) Number Size = >3 or <3 Change in Size Calcification Fat Density Water Density Air Bronchogram Cavitation Character of the Nodule-Lung Interface Contrast Enhancement adjacent bone destruction
  • 10.
    Location of theLesion Number Water Density (CT) Fat Density Air Bronchogram Cavitation Adjacent bone destruction
  • 11.
    REMEMBER THAT: •For everyradiological evaluation points there is/are exception/s, •Clinical data, previous films, correlation is essential to reach the diagnosis.
  • 12.
  • 15.
  • 17.
    Wegener Granulomatosis History ofsinus & renal disease Nodules or masses ± cavitation, air-fluid levels rare Subglottic stenosis may be associate
  • 18.
    Septic Emboli Endocarditis, extrathoracicsite of infection, indwelling catheter, or IV drug abuse Often multiple consolidations, rapidly evolve into cavities (24 hours)
  • 19.
    NUMBER OF LESIONS SOLITARY primary pulmonary carcinoma acutelung abscess Hydatid cyst Round pneumonia / atelectasis OTHER LESS COMMON Metastasis Hamartoma Sequestration Arteriovenous malformation
  • 20.
    Lung Cancer Lung cavityin edentulous patient more likely from cancer than abscess Thickest portion of cavity wall > 15 mm suggests tumor Nodular cavity wall Less likely to exhibit surrounding consolidation
  • 22.
    Extralobar Sequestration  Supernumerarylung tissue  Well-defined pyramidal basilar soft tissue mass o May exhibit intrinsic fluid-filled cysts  90% in left inferior hemithorax o Other locations: Within diaphragm, abdomen, mediastinum  Systemic arterial supply  Systemic venous drainage
  • 23.
    Water Density onCT •Water density (0 HU) on CT plus a thin or invisible wall is diagnostic of a cystic lesion. Water Density on CT Hydatid cyst Bronchogenic cyst Fluid-filled bulla
  • 25.
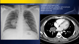
    Pulmonary bronchogenic cyst Solitary,well-defined, unilocular, spherical/ovoid Usually lower lobe, rarely upper lobe Medial 1/3 of lung
  • 26.
    Fat Density onCT •Demonstration of the presence of fat (−30 to −120 HU) attenuation values on CT. Fat Density on CT Lipoid pneumonia Metastatic liposarcoma
  • 29.
    Air bronchogram Air bronchogramon CT Bronchoalevoler carcinoma Pulmonary lymphoma Round Pneumonia
  • 32.
  • 33.
    Cavities and aircrescent sign •Defined radiologically as a gas-containing space within the lung surrounded by a wall whose thickness is greater than 1 mm •Many of the causes of masses may result in cavitation, so the presence or absence of cavitation is of limited diagnostic value. • More important is the morphology of the cavity.
  • 34.
    Cavity morphology • Thicknessof the cavity wall • The character of its inner lining (whether irregular or smooth) • The presence and nature of its contents • The number of lesions Cavities and air crescent sign
  • 35.
    • morphology of thecavity Benign lesions Thin <4 mm smooth inner wall Malignant lesion Thick > 15mm Nodular inner wall 5 to 15 mm Equivocal Cavities and air crescent sign
  • 38.
    • Content ofcavity Non specific Flat, smooth air-fluid level pus, necrotic neoplasm More specific Mobile intracavitry mass  fungal mycetomas Fungal ball Aspergiloma collapsed membranes ruptured Echinococcus cyst Cavities and air crescent sign
  • 41.
    •Invasion of adjacentbone by a pulmonary mass is almost pathognomonic of lung cancer. •Actinomycosis and occasionally tuberculosis or fungal disease are the alternative possibilities. Adjacent bone destruction
  • 43.
    57-year-old woman withcough, hemoptysis and weight loss • PA chest radiographs demonstrate a large right hilar mass with associated upper lobe volume loss. Note the reverse “S” shape produced by the concave outline of the lateral aspect of the minor fissure and the convex outline of the central mass, the so-called reverse “S” sign of Golden. • Contrast-enhanced chest CT (lung and mediastinal windows) reveals a large central mass that produces severe irregular narrowing of the right main bronchus, atelectasis of the right upper lobe, and deformity of the superior vena cava consistent with local invasion Lung Cancer
  • 44.
    PA chest radiographsdemonstrate a well defined spherical pulmonary mass of lobular contours in the left lung Contrast-enhanced chest CT (mediastinal window) at the level of left atrium demonstrates a heterogeneously enhancing mass with irregular central low attenuation, representing necrosis. The mass abuts central bronchi medial and the adjacent pleura laterally 65-year-old man with cough and chest pain Lung Cancer
  • 45.
    Asymptomatic 35-year-old man •PA chest radiograph demonstrates a well-marginated polylobular mass in the right lower lobe. Coned-down contrast-enhanced chest CT (lung and mediastinal windows) demonstrates a polylobular right lower lobe mass with well-defined borders and intrinsic homogeneous fluid attenuation contents. Pulmonary Cystic Hydatid Disease (Echinococcosis)
  • 46.
    67-year-old man withhemoptysis and prior tuberculosis • PA chest radiograph demonstrates a cavitary left apical mass with an intrinsic soft tissue nodule and an air-fluid level. Air crescent sign • unenhanced chest CT (lung window) demonstrates a left apical thick-walled cavitary lesion with an intrinsic dependent soft-tissue nodule and small cavitary satellite nodules. An adjacent pleural thickening as well as left apical centrilobular and paraseptal emphysema. Aspergillosis; Mycetoma

Editor's Notes

  • #13 extrapleural lesions are often associated with rib lesions (fracture or destruction) and lift up the parietal and visceral pleura from the chest wall which is evident as triangular density a the upper and lower margin of the lesion pleural lesions are often lobulated and also demonstrated the pleural lift up sign at their margins pulmonary lesions abutting the pleural surface do not separate the pleural from chest wall and may be well or poorly demarcated an acute angle between a lesion and the chest wall at both its superior and inferior margins is also characteristic of pulmonary mass
  • #21 PA chest radiograph of a 60-year-old woman who presented with hemoptysis shows a large right upper lobe pulmonary mass that is highly suspicious for primary lung cancer given its large size. (Right) Axial CECT of the same patient shows the large lobular right upper lobe mass, which involves the lumen of the right upper lobe anterior segmental bronchus. Endoluminal involvement by the neoplasm likely contributed to hemoptysis. Note surrounding centrilobular emphysema.
  • #25 ydatid cyst. A, View of the left lung from a chest radiograph shows a smoothly marginated, 6-cm diameter mass. B, CT scan photographed at lung windows shows smooth margins of the cyst in the lingula and normal adjacent parenchyma. C, Contrast-enhanced CT scan shows a cystic lesion containing fl uid with attenuation values similar to water (0 HU).
  • #28 image shows NECT of lung (left) and mediastinal (right) window of a patient with lipoid pneumonia manifesting as a spiculated mass with intrinsic fat attenuation
  • #31 Bronchioloalveolar carcinoma and CT angiogram sign. A, CT scan shows consolidation in the right lower lobe, a few poorly defined nodular opacities bilaterally, and ground-glass opacities in the lingula. B, Contrast-enhanced CT scan shows that some of the areas of consolidation have lower attenuation than the chest wall muscles, and that opacifi ed vessels are well seen within the consolidation (CT angiogram sign)