Presented by Dr Vrishit Saraswat
IInd Yr Resident
Guided by Prof Dr Dharmraj Meena
Department of Radiodiagnosis
 Bronchiectasis ( Bronchos- airways ; ectasia-
dilatation) is a morphological term used to
describe abnormal irreversibly dilated and
often thick walled bronchi.
 Bronchiectasis represents the end stage of
variety of pathological precesses that cause
destruction of bronchial wall and its
surrounding tissues.
 Clinical Findings:
Classical clinical triad: chronic cough, excess
sputum production and repeated infection.
Hemoptysis.
Shortness of breath.
Wheezing.
Fever is rare even with infection.
Types of bronchiectasis
Types
Cylindrical
Cystic
Saccular or varicoid
Description
Dilated bronchi with straight and
usually regular outlines; tram track lines
parallel to eachother; signet ring
appearance when seen in axial plane
Ballooned appearance of bronchi may
have air-fluid levels; large,cystic areas
with a honeycomb appearance; thicker
than bullae of emphysema
Bronchi with dilated segments and other
areas of constriction; beaded bronchi
 Bronchial dilatation is associated with
destructive and inflammatory changes in the
walls of medium-sized airways, often at the
level of segmental or subsegmental bronchi.
 Airway inflammation is primarily mediated by
neutrophils and results in upregulation of
enzymes, such as elastase and matrix
metalloprotienases.
 This leads to detruction of cartiulage, muscle
and elastic tissue in bronchial wall.
 The dilated airways frequently contain pools of
thick, purulent material, while more peripheral
airways afe often occluded by secretions or
obliterated and replaced by fibrous tissue.
 The parenchyma mormally supplied by
affected airways is abnormal, containing
varying combinations of fibrosis, emphysema,
bronchopneumonia and atelactsis
Epithelial injury
Mucus hypersecretions
Reduced mucociliary
clearance
& plugging of airways
Inflammation
Chronic
Bronchial
infection
Airway Damage
BRONCHIECTASIS
Location
Proximal, frequently upper lobe, bronchiectasis is
characteristic of allergic bronchopulmonary
aspergillosis (ABPA)
Bronchiectasis from viral or pyogenic infections is
usually at the bases
Tuberculous bronchiectasis is usually at the apices
Diffuse bronchiectasis :
Impaired mucus clearing e.g. cystic fibrosis and
Kartagener
Chronic diffuse airways disease (chronic
bronchitis, asthma, BO)
Immune deficiency states
 CT is the study of choice with a sensitivity of
up to 97% and a specificity up to 99% Signet
ring appearance on CT : normally, the vessel is
larger than the corresponding bronchus
 In bronchiectasis, the bronchus is larger than
the corresponding vessel
 “Tramlines” or “honeycombing” represents
dilated, thickened bronchial walls
 Volume loss due to destruction of lung tissue
 Multiple small nodular densities from plugged
alveoli
 Lack of normal, bronchial tapering
 Non uniform bronchial dilation Cystic lesions,
often with air-fluid levels, and frequently in a
cluster
 Bronchial wall thickening.
 Scintigraphy Prior to the advent of HRCT, ventilation
(with or without perfusion) scintigraphy was used to
aid disease evaluation in bronchiectasis. DOLLERY
and HUGH-JONES studied the physiological
implications of bronchiectasis and found reduced
blood flow and impaired ventilation in bronchiectatic
areas. V/Q scintigraphy typically demonstrates
matched ventilation and perfusion defects, reflecting
abnormal ventilation secondary to bronchiectasis and
associated small airways obstruction V/Q scintigraphy
and lung function are additive tools to aid diagnosis
and guide therapeutic management. The ongoing issue
of radiation dose and absence of useful anatomical
information, however, limit the value of V/Q
scintigraphy in routine practice.
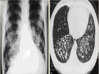
 Signs on CXR include the identification of
parallel linear densities, tram-track opacities, or
ring shadows reflecting thickened and
abnormally dilated bronchial walls. These
bronchial abnormalities form a spectrum from
subtle or barely perceptible 5-mm ring
shadows to obvious cysts. Tubular branching
opacities conforming to the expected bronchial
branching pattern may result from fluid or
mucous filling of bronchi
Mucoid impactation
Detection of
bronchiectasis
Focal BE
•Cong Br. Atres
•ExtCompression
•Endo Br Malig
•FB
•Bronchilithiasi
•Airway stenosis
Diffuse BE
Central
predomin
ABPA MKS
WCS KS
Peripheral predominance
UL
LL
RML, Lt Ling L
•Cystic Fibrosis
•Sarcoidosis
•Post radiation
Fibrosis
•Atypical myco
Infection
•Idiopathic
•Post infectious
•Repeated aspiration
•Fibrotic lung disease
•Post transplant rejection
•Hypogammaglobulinemia
 Signet ring appearance on CT: normally, the
vessel is larger than the corresponding
bronchus; in bronchiectasis, the bronchus is
larger than the corresponding vessel.
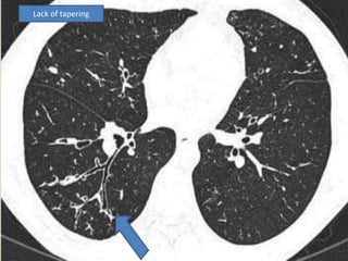
 Bronchial dilation, the cardinal sign of
bronchiectasis, is characterised on HRCT by a
bronchoarterial ratio (BAR) of .1, lack of
bronchial tapering, and visibility of airways
within 1 cm of the pleural surface or abutting
the mediastinal pleural surface.
 “Tramlines” or “honeycombing” represents
dilated, thickened bronchial walls.
 Volume loss due to destruction of lung tissue.
 Multiple small nodular densities from plugged
alveoli.
 Lack of normal, bronchial tapering
 Non uniform bronchial dilation
 Cystic lesions, often with air-fluid levels, and
frequently in a cluster Bronchial wall
thickening.
Var
Cys
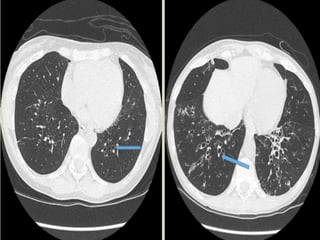
Lack of tapering
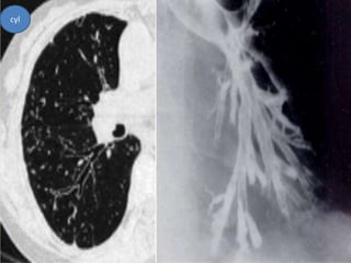
cyl
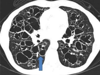
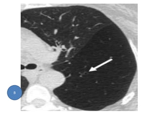
Tram Line in LUL and signet ring in RUL
Heterogenous attenuation of lung parenchyma with ill defined low density areas of air
trapping peripherally
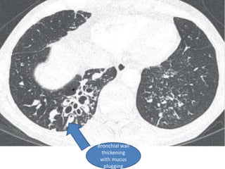
Air trapping
Bronchial wall
thickening
with mucus
plugging
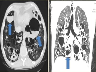
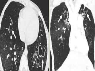
High-resolution computed tomography showing a) proximal bronchiectasis
affecting segmental airways and b) high attenuation mucous plugs in patients
with allergic bronchopulmonary aspergillosis. No intravenous contrast medium
was used in (b). a) b) Mucous plugs Impaction.
• In advance disease of cystic bronchiectasis, it
is often impossible to distinguish between
markedly dilated bronchi and cystic air spaces
in destroyed lung.
• Air fluid levels and history of patients usually
helps differentiating the two conditions
Thisis predominantly endobronchial tumor, arising before bifurcation of
left upper and lower lobe bronchi, causes distal bronchiectasis. Transverse
images of tumor and distal bronchiectasis
 Most carcinoid tumors are primarily
endobronchial lesions, occurring in the central,
main, or segmental bronchi. Some small
tumors are located entirely within the lumen.
However, some display a dominant
extraluminal component with only a small part
of the tumor lying within the airway (iceberg
lesion). A variety of other benign and
malignant neoplasms can also result in
obstruction leading to focal bronchiectasis.
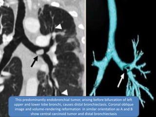
This predominantly endobronchial tumor, arising before bifurcation of left
upper and lower lobe bronchi, causes distal bronchiectasis. Coronal oblique
image and volume-rendering reformation in similar orientation as A and B
show central carcinoid tumor and distal bronchiectasis
 Calcified or ossified material within the bronchial
lumen can cause focal bronchiectasis. By far the
most common cause of broncholithiasis is erosion
by and extrusion of a calcified adjacent lymph
node, usually associated with a long-standing
focus of necrotizing granulomatous lymphadenitis,
especially after tuberculosis. Nevertheless, the
frequency of broncholithiasis complicating
granulomatous infection is quite low. The most
common sites are the proximal right middle lobe
bronchus and the origin of the anterior segmental
bronchus of the upper lobes because of airway
anatomy and lymph node distribution.
Calcified left upper lobe endobronchial broncholithiasis (arrow) from
previous tuberculosis exposure is seen on transverse image (A), minimum-
intensity- projection reformation in coronal oblique plane (B), and volume-
rendering reformation (C) in similar orientation. In C, arrow points to distal
bronchiectasis.
A B
C
 Airway stenosis causing focal bronchiectasis
can result from a broad spectrum of entities
including infection, intubation stricture,
healing of a tracheostomy stoma,
tracheobronchopathia osteochondroplastica,
amyloidosis, relapsing polychondritis,
sarcoidosis, and fibrosing mediastinitis.
Congenital stenosis of left mainstem bronchus. Transverse images show
stenosis (arrow, A), distal bronchiectasis, and mucoid impaction (arrows, B).
A B
 The most common cause of congenital focal
bronchiectasis is bronchial atresia,
characterized by obliteration of a bronchus
with distal bronchiectasis, mucoid impaction,
and air trapping that is most commonly seen in
the left upper lobe. In this rare lesion, the
bronchial tree peripheral to the point of
obliteration is patent and the lung parenchyma
is overinflated because of collateral air drift.
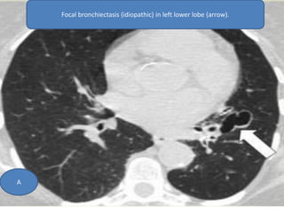
Focal bronchiectasis (idiopathic) in left lower lobe (arrow).
A
B
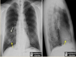
Post radiation fibrosis
Right para-mediastinal fibrotic changes, which developed after treatment of lung
cancer, are associated with traction bronchiectasis
 The most common cause of congenital upper-
lung-predominant bronchiectasis is cystic
fibrosis, commonly associated with enlarged
lung volumes and interstitial alterations. An
autosomal recessive genetic disorder causing
ineffective clearance of secretions, cystic
fibrosis presents with recurrent pneumonias,
sinusitis, pancreatic insufficiency, and
infertility. Milder forms of cystic fibrosis,
however, can remain unrecognized until
adulthood.
Young adult with cystic fibrosis. Chronic right upper lobe collapse (arrow) Young adult
female with cystic fibrosis
Elderly
male
Elderly male with idiopathic pulmonary fibrosis. Arrow:
varicose bronchiectasis.
 Parenchymal involvement by sarcoidosis can
lead to upper and mid lung fibrosis and
traction bronchiectasis, typically associated
with multiple nodules in a perilymphatic
distribution. Mediastinal and bilateral
symmetric lymphadenopathy is common,
although it can regress as the interstitial disease
worsens.
Transverse images show fibrosis and traction bronchiectasis (arrows, B) that
predominantly involve upper lobes.
 Aka Immobile Cilia Syndrome.
 Recurrent URT infections(rhinitis, sinusitis,
otitis media)
 This rare congenital cause of bronchiectasis,
which primarily involves the middle lung, is
characterized by ineffective clearing of
secretions, causing bronchiectasis, recurrent
pneumonias, sinusitis, and infertility. In 50% of
cases, total situs inversus is present, a condition
known as Kartagener's syndrome.
Transverse CT image confirms dextrocardia (asterisk is in left ventricle) and
bronchiectasis (arrows) that predominantly affects midportion of lungs.
 Also known as tracheobronchomegaly, is a rare
congenital abnormality of the trachea and main
bronchi characterized by cystic dilatation of the
tracheobronchial tree and recurrent respiratory
infections.
 Central Bronchietasis
 Histopathologic evidence of deficiency of
tracheobronchial muscle fibers and absence of the
myenteric plexus, as well as an association with
other congenital or connective tissue disorders,
including ankylosing spondylitis, Marfan
syndrome, CF, Ehlers- Danlos syndrome, and cutis
laxa in children
Enlarged mainstem bronchi with distal bronchiectsis (white arrows)
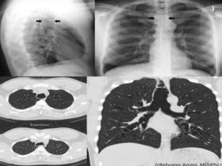
 Cystic bronchiectasis of 4th to 6th order bronchi
 typically in childhood ,due to defective
cartilage.
 Ballooning of central bronchi on inspiration
and collapse on expiration has also been
reported.
Williams-Campbell syndrome with
bronchiectasis in a patient who had left lung
transplantation. Histologic evaluation of the
resected lung revealed deficient cartilage in
central bronchi. HRCT at three levels shows
marked dilatation of bronchi within central
lung regions. Peripheral lung appears lucent,
particularly when compared with the normal
left lung transplant. This lucency reflects
air trapping and mosaic perfusion.
Thank YOU

Bronchiectasis airway disease

  • 1.
    Presented by DrVrishit Saraswat IInd Yr Resident Guided by Prof Dr Dharmraj Meena Department of Radiodiagnosis
  • 2.
     Bronchiectasis (Bronchos- airways ; ectasia- dilatation) is a morphological term used to describe abnormal irreversibly dilated and often thick walled bronchi.  Bronchiectasis represents the end stage of variety of pathological precesses that cause destruction of bronchial wall and its surrounding tissues.
  • 3.
     Clinical Findings: Classicalclinical triad: chronic cough, excess sputum production and repeated infection. Hemoptysis. Shortness of breath. Wheezing. Fever is rare even with infection.
  • 4.
    Types of bronchiectasis Types Cylindrical Cystic Saccularor varicoid Description Dilated bronchi with straight and usually regular outlines; tram track lines parallel to eachother; signet ring appearance when seen in axial plane Ballooned appearance of bronchi may have air-fluid levels; large,cystic areas with a honeycomb appearance; thicker than bullae of emphysema Bronchi with dilated segments and other areas of constriction; beaded bronchi
  • 6.
     Bronchial dilatationis associated with destructive and inflammatory changes in the walls of medium-sized airways, often at the level of segmental or subsegmental bronchi.  Airway inflammation is primarily mediated by neutrophils and results in upregulation of enzymes, such as elastase and matrix metalloprotienases.  This leads to detruction of cartiulage, muscle and elastic tissue in bronchial wall.
  • 7.
     The dilatedairways frequently contain pools of thick, purulent material, while more peripheral airways afe often occluded by secretions or obliterated and replaced by fibrous tissue.  The parenchyma mormally supplied by affected airways is abnormal, containing varying combinations of fibrosis, emphysema, bronchopneumonia and atelactsis
  • 8.
    Epithelial injury Mucus hypersecretions Reducedmucociliary clearance & plugging of airways Inflammation Chronic Bronchial infection Airway Damage BRONCHIECTASIS
  • 9.
    Location Proximal, frequently upperlobe, bronchiectasis is characteristic of allergic bronchopulmonary aspergillosis (ABPA) Bronchiectasis from viral or pyogenic infections is usually at the bases Tuberculous bronchiectasis is usually at the apices Diffuse bronchiectasis : Impaired mucus clearing e.g. cystic fibrosis and Kartagener Chronic diffuse airways disease (chronic bronchitis, asthma, BO) Immune deficiency states
  • 10.
     CT isthe study of choice with a sensitivity of up to 97% and a specificity up to 99% Signet ring appearance on CT : normally, the vessel is larger than the corresponding bronchus  In bronchiectasis, the bronchus is larger than the corresponding vessel  “Tramlines” or “honeycombing” represents dilated, thickened bronchial walls  Volume loss due to destruction of lung tissue
  • 11.
     Multiple smallnodular densities from plugged alveoli  Lack of normal, bronchial tapering  Non uniform bronchial dilation Cystic lesions, often with air-fluid levels, and frequently in a cluster  Bronchial wall thickening.
  • 12.
     Scintigraphy Priorto the advent of HRCT, ventilation (with or without perfusion) scintigraphy was used to aid disease evaluation in bronchiectasis. DOLLERY and HUGH-JONES studied the physiological implications of bronchiectasis and found reduced blood flow and impaired ventilation in bronchiectatic areas. V/Q scintigraphy typically demonstrates matched ventilation and perfusion defects, reflecting abnormal ventilation secondary to bronchiectasis and associated small airways obstruction V/Q scintigraphy and lung function are additive tools to aid diagnosis and guide therapeutic management. The ongoing issue of radiation dose and absence of useful anatomical information, however, limit the value of V/Q scintigraphy in routine practice.
  • 13.
     Signs onCXR include the identification of parallel linear densities, tram-track opacities, or ring shadows reflecting thickened and abnormally dilated bronchial walls. These bronchial abnormalities form a spectrum from subtle or barely perceptible 5-mm ring shadows to obvious cysts. Tubular branching opacities conforming to the expected bronchial branching pattern may result from fluid or mucous filling of bronchi
  • 16.
  • 18.
    Detection of bronchiectasis Focal BE •CongBr. Atres •ExtCompression •Endo Br Malig •FB •Bronchilithiasi •Airway stenosis Diffuse BE Central predomin ABPA MKS WCS KS Peripheral predominance UL LL RML, Lt Ling L •Cystic Fibrosis •Sarcoidosis •Post radiation Fibrosis •Atypical myco Infection •Idiopathic •Post infectious •Repeated aspiration •Fibrotic lung disease •Post transplant rejection •Hypogammaglobulinemia
  • 19.
     Signet ringappearance on CT: normally, the vessel is larger than the corresponding bronchus; in bronchiectasis, the bronchus is larger than the corresponding vessel.  Bronchial dilation, the cardinal sign of bronchiectasis, is characterised on HRCT by a bronchoarterial ratio (BAR) of .1, lack of bronchial tapering, and visibility of airways within 1 cm of the pleural surface or abutting the mediastinal pleural surface.
  • 20.
     “Tramlines” or“honeycombing” represents dilated, thickened bronchial walls.  Volume loss due to destruction of lung tissue.  Multiple small nodular densities from plugged alveoli.  Lack of normal, bronchial tapering  Non uniform bronchial dilation  Cystic lesions, often with air-fluid levels, and frequently in a cluster Bronchial wall thickening.
  • 24.
  • 25.
  • 26.
  • 28.
    Tram Line inLUL and signet ring in RUL Heterogenous attenuation of lung parenchyma with ill defined low density areas of air trapping peripherally
  • 29.
  • 30.
  • 31.
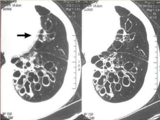
    High-resolution computed tomographyshowing a) proximal bronchiectasis affecting segmental airways and b) high attenuation mucous plugs in patients with allergic bronchopulmonary aspergillosis. No intravenous contrast medium was used in (b). a) b) Mucous plugs Impaction.
  • 37.
    • In advancedisease of cystic bronchiectasis, it is often impossible to distinguish between markedly dilated bronchi and cystic air spaces in destroyed lung. • Air fluid levels and history of patients usually helps differentiating the two conditions
  • 38.
    Thisis predominantly endobronchialtumor, arising before bifurcation of left upper and lower lobe bronchi, causes distal bronchiectasis. Transverse images of tumor and distal bronchiectasis
  • 39.
     Most carcinoidtumors are primarily endobronchial lesions, occurring in the central, main, or segmental bronchi. Some small tumors are located entirely within the lumen. However, some display a dominant extraluminal component with only a small part of the tumor lying within the airway (iceberg lesion). A variety of other benign and malignant neoplasms can also result in obstruction leading to focal bronchiectasis.
  • 40.
    This predominantly endobronchialtumor, arising before bifurcation of left upper and lower lobe bronchi, causes distal bronchiectasis. Coronal oblique image and volume-rendering reformation in similar orientation as A and B show central carcinoid tumor and distal bronchiectasis
  • 41.
     Calcified orossified material within the bronchial lumen can cause focal bronchiectasis. By far the most common cause of broncholithiasis is erosion by and extrusion of a calcified adjacent lymph node, usually associated with a long-standing focus of necrotizing granulomatous lymphadenitis, especially after tuberculosis. Nevertheless, the frequency of broncholithiasis complicating granulomatous infection is quite low. The most common sites are the proximal right middle lobe bronchus and the origin of the anterior segmental bronchus of the upper lobes because of airway anatomy and lymph node distribution.
  • 42.
    Calcified left upperlobe endobronchial broncholithiasis (arrow) from previous tuberculosis exposure is seen on transverse image (A), minimum- intensity- projection reformation in coronal oblique plane (B), and volume- rendering reformation (C) in similar orientation. In C, arrow points to distal bronchiectasis. A B C
  • 43.
     Airway stenosiscausing focal bronchiectasis can result from a broad spectrum of entities including infection, intubation stricture, healing of a tracheostomy stoma, tracheobronchopathia osteochondroplastica, amyloidosis, relapsing polychondritis, sarcoidosis, and fibrosing mediastinitis.
  • 44.
    Congenital stenosis ofleft mainstem bronchus. Transverse images show stenosis (arrow, A), distal bronchiectasis, and mucoid impaction (arrows, B). A B
  • 45.
     The mostcommon cause of congenital focal bronchiectasis is bronchial atresia, characterized by obliteration of a bronchus with distal bronchiectasis, mucoid impaction, and air trapping that is most commonly seen in the left upper lobe. In this rare lesion, the bronchial tree peripheral to the point of obliteration is patent and the lung parenchyma is overinflated because of collateral air drift.
  • 46.
    Focal bronchiectasis (idiopathic)in left lower lobe (arrow). A
  • 47.
  • 48.
    Post radiation fibrosis Rightpara-mediastinal fibrotic changes, which developed after treatment of lung cancer, are associated with traction bronchiectasis
  • 49.
     The mostcommon cause of congenital upper- lung-predominant bronchiectasis is cystic fibrosis, commonly associated with enlarged lung volumes and interstitial alterations. An autosomal recessive genetic disorder causing ineffective clearance of secretions, cystic fibrosis presents with recurrent pneumonias, sinusitis, pancreatic insufficiency, and infertility. Milder forms of cystic fibrosis, however, can remain unrecognized until adulthood.
  • 50.
    Young adult withcystic fibrosis. Chronic right upper lobe collapse (arrow) Young adult female with cystic fibrosis
  • 52.
    Elderly male Elderly male withidiopathic pulmonary fibrosis. Arrow: varicose bronchiectasis.
  • 53.
     Parenchymal involvementby sarcoidosis can lead to upper and mid lung fibrosis and traction bronchiectasis, typically associated with multiple nodules in a perilymphatic distribution. Mediastinal and bilateral symmetric lymphadenopathy is common, although it can regress as the interstitial disease worsens.
  • 54.
    Transverse images showfibrosis and traction bronchiectasis (arrows, B) that predominantly involve upper lobes.
  • 55.
     Aka ImmobileCilia Syndrome.  Recurrent URT infections(rhinitis, sinusitis, otitis media)  This rare congenital cause of bronchiectasis, which primarily involves the middle lung, is characterized by ineffective clearing of secretions, causing bronchiectasis, recurrent pneumonias, sinusitis, and infertility. In 50% of cases, total situs inversus is present, a condition known as Kartagener's syndrome.
  • 56.
    Transverse CT imageconfirms dextrocardia (asterisk is in left ventricle) and bronchiectasis (arrows) that predominantly affects midportion of lungs.
  • 57.
     Also knownas tracheobronchomegaly, is a rare congenital abnormality of the trachea and main bronchi characterized by cystic dilatation of the tracheobronchial tree and recurrent respiratory infections.  Central Bronchietasis  Histopathologic evidence of deficiency of tracheobronchial muscle fibers and absence of the myenteric plexus, as well as an association with other congenital or connective tissue disorders, including ankylosing spondylitis, Marfan syndrome, CF, Ehlers- Danlos syndrome, and cutis laxa in children
  • 58.
    Enlarged mainstem bronchiwith distal bronchiectsis (white arrows)
  • 60.
     Cystic bronchiectasisof 4th to 6th order bronchi  typically in childhood ,due to defective cartilage.  Ballooning of central bronchi on inspiration and collapse on expiration has also been reported.
  • 61.
    Williams-Campbell syndrome with bronchiectasisin a patient who had left lung transplantation. Histologic evaluation of the resected lung revealed deficient cartilage in central bronchi. HRCT at three levels shows marked dilatation of bronchi within central lung regions. Peripheral lung appears lucent, particularly when compared with the normal left lung transplant. This lucency reflects air trapping and mosaic perfusion.
  • 62.