Diagnostic Radiology of Cardiovascular System Chen, Shaoqiong Acknowledgement : most of the slices are refer to the ppt provided by Dr. Biling Liang is gratefully acknowledged
Basic X-ray features Heart dislocation Heart enlargement Abnormal pulmonary blood flow Changes of aorta Pericardial abnormal findings /231 methods normal abnormities diseases
Basic X-ray features Changes of pericardium Normal pericardium Pericardial anomalies Pericardial effusion Acute pericarditis Pericardial thickening 、 calcification Chronic pericarditis Constrictive pericarditis /231 methods normal abnormities diseases
Basic X-ray features Changes of pericardium Normal pericardium /231 methods normal abnormities diseases
Normal pericardium Inner serous layer  is the epicardium  Outer fibrous layer is pericardium  Space between the two is pericardial space  Normally contains about 20-50cc of fluid  Fat covers outside of heart and outside of pericardium sandwiching pericardial space between the two layers  Normal thickness of pericardium (parietal pericardium and fluid in space) is 2-4 mm  Requires about 150-250cc before cardiac tamponade occurs
Basic X-ray features Changes of pericardium Normal pericardium Pericardial anomalies Pericardial effusion Acute pericarditis Pericardial thickening 、 calcification Chronic pericarditis Constrictive pericarditis /231 methods normal abnormities diseases
Pericardial effusion X-ray appearance : Direct sign : Heart shadow generally enlarge bilaterally  “ water-bottle” or “flask” shape,  globular Contour  of cardiac border disappear Pulsation of the cardiac border weaken or disappear, but the aortal pulsation is normal Indirect sign : Vena systemica return obstructed, right ventricle output decreased Superior vena cava widen Decreased lung markings Aortal shadow  smaller Cardiac tamponade – impedes diastolic filling /231 Tuberculosis rheumatism uraemia  virus neoplasm Fluid: Transudation exudation  blood methods normal abnormities diseases
Pericardial effusion Pericardial effusion on both lateral chest radiograph and axial CT.  Red arrow  points to fat outside of pericardium.  Green arrow   points to pericardial space which is 8 mm in this patient (<4 mm is normal.)  The   yellow arrow    points to fat outside of heart and the  blue arrow  to the myocardium.
Pericardial effusion
Pericardial effusion “ water-bottle” “flask” shape Globular shape methods normal abnormities diseases
Pericardial effusion general enlarge bilaterally Widened SVC methods normal abnormities diseases
Pericardial effusion /231 erect position  supine position methods normal abnormities diseases
Pericardial thickening 、 calcification thickening : Pericardium near the diaphragm (ventricular face) thicken obviously but the atrium aera and the root of the great vessels less thicken Epicardial fat pad ‘sign’  (+) Lat. / PA view:  anterior pericardial stripe  > 2mm Hemodynamic change: Right ventricle compression : venous return obstructed, vena cervicalis and vena cava dilatation Left ventricle compression  : left atrium and pulmonary venous pressure increased, so  the left heart output decreased /231 methods normal abnormities diseases
Constrictive pericarditis X-ray  : Direct sign : The heart shadow size is normal or little, midium enlarged A side or both sides of heart borders straighten, the demarcation among each arcus is undefined; contour: triangle , globular Heart pulsation weaken or disappear; the portion without thickened can bulge, and it’s pulsation enhanced Pericardial calcification : eggshell, barred, patching,  Pleural thickening, adhesion Indirect sign : VP ↑ Superior vena cava  dilatation Pulmonary  venous hypertension /231 胸膜肥厚 methods normal abnormities diseases
Constrictive pericarditis /231 methods normal abnormities diseases
Pericardial calcification
Constrictive pericarditis   -  RA enlargement
Constrictive pericarditis   - RA enlargement
Constrictive pericarditis   -  RA enlargement
Diagnostic Radiology of Cardiovascular System /231 Imaging methods normal appearances abnormities diseases methods normal abnormities diseases
Common disease    of heart and great vessels Rheumatic heart disease Mitral stenosis Mitral regurgitation Ischemic heart disease  Coronary artery disease   Congenitial heart disease  ASD Tetralogy of Fallot   /231 method normal abnormities diseases
Rheumatic heart disease Involved valve : Mitral valve 、 Aortic valve 、 Tricuspid valve Pathology : Mitral valve stenosis :  Valve ring cicatricle  contraction Mitral valve insufficiency : /231 methods normal abnormities diseases
Mitral Stenosis Rheumatic Valvular Heart Disease Rheumatic heart disease causes  mitral stenosis in 99.8% of cases
Right Ventricular Hypertrophy Stenotic mitral valve © Frank Netter, MD Novartis®
Mitral stenosis occurs  Left atrial pressure     Left atrium enlarges  Cephalization  PIE  PAH develops  PVR increases  RV enlarges  Pulmonic regurg develops  Tricuspid annulus dilates  Tricuspid insufficiency  RV failure Time course of MS in adult © Frank Netter, MD Novartis®
   Pulmonary venous and capillary pressure Effect of Mitral Stenosis  On Lungs
Mitral stenosis    hemodynamics /231 Mitral valve stenosis Left atrial output obstructed LV  engorge insufficiently LA   pressure increase  & dilate Pulmonary venous hypertension,  interstitial pulmonary edema RV  burden increase & enlarge aortic knob shrink LV  and aortic knob  shrink methods normal abnormities diseases
Mitral stenosis X-ray  appearance : Cardiac type :“ mitral configuration ” LA & RV enlarged -------  pulmonary artery segment Convexity  LV shrink, Straightening of left heart border ------- Aortic knob shrink valvular calcification Pulmonary venous hypertension, interstitial pulmonary edema Hemosiderin deposited   : 1-2mm nodular shadow /231 LA enlargement PA – right border : Double density of left atrial  enlargement , double PA – left border : left atrial appendage  enlargement Lat & RAO :  esophagus compressed Elevation of left mainstem bronchus   RV enlargement pulmonary artery segment Convexity Lat : contact between the front surface of heart and the sternum (anterior chest wall) >1/3   methods normal abnormities diseases
Mitral stenosis /231 Four arus, diplopia,  Pulmonary venous hypertension LA enlargement PA – right border : double density PA – left border : left atrial appendage enlargement Lat & RAO : esophagus compressed methods normal abnormities diseases
Mitral stenosis LA LV RV LA LV LV LA Valve calcification Lat Cor
Mitral stenosis LA LV LA LV LA RV LV RA RV
Mitral stenosis LA LV LV LA RV RA
Mitral stenosis LA,RV enlarge, Hemosiderin pigmentation RV enlargement pulmonary artery segment Convexity Lat : contact between the front surface of heart and the sternum (anterior chest wall) >1/3   methods normal abnormities diseases
Mitral stenosis /231 methods normal abnormities diseases
Mitral stenosis LA enlarge : esophagus compression, diplopia RV enlarge: heart touch the anterior chest wall  > 1/3 LA enlargement PA – right border : double density PA – left border : left atrial appendage enlargement Lat & RAO : esophagus compressed methods normal abnormities diseases
Mitral stenosis PV hypertension enlarged MPA Cephalization methods normal abnormities diseases
Mitral stenosis ---    Hemosiderin deposited /231 methods normal abnormities diseases
Mitral stenosis—pulmonary interstitial   edema-- Kerley’s B-line /231 Perpendicular  to the chest wall methods normal abnormities diseases
Common disease    of heart and great vessels Rheumatic heart disease Mitral stenosis Mitral regurgitation Ischemic heart disease   Coronary artery disease   Congenitial heart disease  ASD Fallot 4 /231 method normal abnormities diseases
 
Coronary artery disease Myocardium O 2  supply insufficient   Caused by severe coronary artery stenosis Atherosclerosis , spasm , thrombosis  Myocardial infarction
Coronary artery CTA MIP With Contrast Medium
VRT Recon. Normal Coronary artery CTA
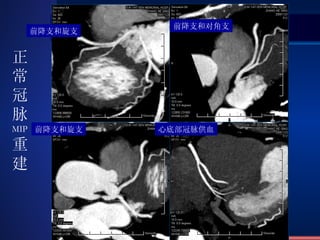
前降支和旋支 前降支和对角支 前降支和旋支 心底部冠脉供血 正常冠脉 MIP 重建
正常冠状动脉 CT : 119148
Ischemic heart disease LV  enlargement PA –  cardiac apex extending to left and down left ventricle segment extended,rounded,expand to left Lat : retrocardiac space become narrowed or disappeared, esophageal space disappeaered  Aorta enlarged methods normal abnormities diseases
Ischemic heart disease cardiomegaly methods normal abnormities diseases
Multi-slice spiral CT /231 Plain scan Calcification in the coronary A. wall methods normal abnormities diseases
Coronary artery   CTA Negative prediction  100 % positive prediction  80 ~ 88 %
Coronary artery calcification & soft plaque
Coronary artery soft plaque
Coronary artery stenosis DSA
Myocardial infarction /231 Real time : infarcted myocardium non-enhanced Delay enhancement in the infarcted myocardium methods normal abnormities diseases
 
Common disease    of heart and great vessels Rheumatic heart disease Mitral stenosis Mitral regurgitation Ischemic heart disease  Coronary artery disease   Congenitial heart disease   ASD Fallot 4 /231 method normal abnormities diseases
Congenital heart disease Classification : Hemodynamics : left to right shunt, right to left shunt, no shunt Clinic : cyanotic, non- cyanotic X-ray: increased pulmonary blood flow  ,  pulmonary oligemia, LBV no change pathological changes : Atrial septal defect ( ASD ) Ventricualr septal defect ( VSD ) Tetralogy of Fallot ( F4 ) Patent ductus arteriosus ( PDA ) Pulmonary stenosis ( PS ) /231 method normal abnormities diseases
ASD Right atrium open looking into left atrium through ASD Normal © Frank Netter, MD Novartis® fossa ovalis
ASD----hemodynamics /231 Left -> right shunt But  depend on the P. Vscular resistance  RA LA RA flow  ↑ RV flow  ↑ PBF↑ RA hypertrophy dilatation RV hypertrophy dilatation pulmonary  hypertension Right heart failure methods normal abnormities diseases
Discontinuity in the atrial septum with  systolic signal void consistent with  L->R shunt on atrial level  Right atrium is mildly dilated; RV, LV and LA size are normal SCMR Auckland MRI
ASD Clinic mostly adult  SM on the 2th-3rd intercostal of the left sternal border Change of hemodynamics X-ray appearance Cardiomegaly , “mitral configuration” RA & RV↑ ,  RA↑ ↑   obviously Pulmonary artery segment bulge  , hilum angiectasia, hilum dance pulmonary blood flow↑ ↑. PAH in later stage LA do not enlarge, LV and aorta shrink /231 4 type: Ostium primum , ostium secundum Sinus venosus , coronary sinus Fossa Ovalis defect 80~90% Atrial septal defect methods normal abnormities diseases
ASD RA RA
ASD aorta shrink RA & RV↑ ,  RA↑ ↑   obviously RA RV PA Aorta svc
ASD RA & RV↑ ,  RA↑ ↑   obviously
ASD /231 Enlargement of RA methods normal abnormities diseases RA RV PA Aorta svc
ASD /231 methods normal abnormities diseases
ASD /231 Preoperative Postoperative methods normal abnormities diseases
ASD /231 Pulmonary hypertension methods normal abnormities diseases RA RV PA Aorta svc
ASD Prominent pulmonary vessels Prominent MPA Normal left atrium
Tetralogy of Fallot Most common CHD with hematoasthenia  and cyanosis  Including four anomalies   : Pulmonary stenosis Ventricular septal defect Aortic  overriding Hypertrophy  of the RV Radiologic findings Cardiac apex displaced upward “coer  en sabot”  PA segment concave  Decreased vasculature  R aortic arch in 25% /231 methods normal abnormities diseases
Fallot’s tetralogy /231 methods normal abnormities diseases
Tetralogy of Fallot
Tetralogy of Fallot
Tetralogy of Fallot /231 methods normal abnormities diseases
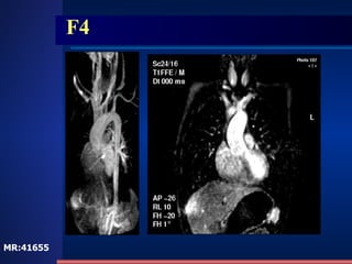
F4 Aortic overriding Pulmonary stenosis right->left shunt RV hypertrophy LA RV MR:41655
F4 MR:41655
 

Pericardial abnormal findings

  • 1.
    Diagnostic Radiology ofCardiovascular System Chen, Shaoqiong Acknowledgement : most of the slices are refer to the ppt provided by Dr. Biling Liang is gratefully acknowledged
  • 2.
    Basic X-ray featuresHeart dislocation Heart enlargement Abnormal pulmonary blood flow Changes of aorta Pericardial abnormal findings /231 methods normal abnormities diseases
  • 3.
    Basic X-ray featuresChanges of pericardium Normal pericardium Pericardial anomalies Pericardial effusion Acute pericarditis Pericardial thickening 、 calcification Chronic pericarditis Constrictive pericarditis /231 methods normal abnormities diseases
  • 4.
    Basic X-ray featuresChanges of pericardium Normal pericardium /231 methods normal abnormities diseases
  • 5.
    Normal pericardium Innerserous layer  is the epicardium Outer fibrous layer is pericardium Space between the two is pericardial space Normally contains about 20-50cc of fluid Fat covers outside of heart and outside of pericardium sandwiching pericardial space between the two layers Normal thickness of pericardium (parietal pericardium and fluid in space) is 2-4 mm Requires about 150-250cc before cardiac tamponade occurs
  • 6.
    Basic X-ray featuresChanges of pericardium Normal pericardium Pericardial anomalies Pericardial effusion Acute pericarditis Pericardial thickening 、 calcification Chronic pericarditis Constrictive pericarditis /231 methods normal abnormities diseases
  • 7.
    Pericardial effusion X-rayappearance : Direct sign : Heart shadow generally enlarge bilaterally “ water-bottle” or “flask” shape, globular Contour of cardiac border disappear Pulsation of the cardiac border weaken or disappear, but the aortal pulsation is normal Indirect sign : Vena systemica return obstructed, right ventricle output decreased Superior vena cava widen Decreased lung markings Aortal shadow smaller Cardiac tamponade – impedes diastolic filling /231 Tuberculosis rheumatism uraemia virus neoplasm Fluid: Transudation exudation blood methods normal abnormities diseases
  • 8.
    Pericardial effusion Pericardialeffusion on both lateral chest radiograph and axial CT. Red arrow points to fat outside of pericardium. Green arrow points to pericardial space which is 8 mm in this patient (<4 mm is normal.)  The  yellow arrow   points to fat outside of heart and the blue arrow to the myocardium.
  • 9.
  • 10.
    Pericardial effusion “water-bottle” “flask” shape Globular shape methods normal abnormities diseases
  • 11.
    Pericardial effusion generalenlarge bilaterally Widened SVC methods normal abnormities diseases
  • 12.
    Pericardial effusion /231erect position supine position methods normal abnormities diseases
  • 13.
    Pericardial thickening 、calcification thickening : Pericardium near the diaphragm (ventricular face) thicken obviously but the atrium aera and the root of the great vessels less thicken Epicardial fat pad ‘sign’ (+) Lat. / PA view: anterior pericardial stripe > 2mm Hemodynamic change: Right ventricle compression : venous return obstructed, vena cervicalis and vena cava dilatation Left ventricle compression : left atrium and pulmonary venous pressure increased, so the left heart output decreased /231 methods normal abnormities diseases
  • 14.
    Constrictive pericarditis X-ray : Direct sign : The heart shadow size is normal or little, midium enlarged A side or both sides of heart borders straighten, the demarcation among each arcus is undefined; contour: triangle , globular Heart pulsation weaken or disappear; the portion without thickened can bulge, and it’s pulsation enhanced Pericardial calcification : eggshell, barred, patching, Pleural thickening, adhesion Indirect sign : VP ↑ Superior vena cava dilatation Pulmonary venous hypertension /231 胸膜肥厚 methods normal abnormities diseases
  • 15.
    Constrictive pericarditis /231methods normal abnormities diseases
  • 16.
  • 17.
  • 18.
  • 19.
  • 20.
    Diagnostic Radiology ofCardiovascular System /231 Imaging methods normal appearances abnormities diseases methods normal abnormities diseases
  • 21.
    Common disease of heart and great vessels Rheumatic heart disease Mitral stenosis Mitral regurgitation Ischemic heart disease Coronary artery disease Congenitial heart disease ASD Tetralogy of Fallot /231 method normal abnormities diseases
  • 22.
    Rheumatic heart diseaseInvolved valve : Mitral valve 、 Aortic valve 、 Tricuspid valve Pathology : Mitral valve stenosis : Valve ring cicatricle contraction Mitral valve insufficiency : /231 methods normal abnormities diseases
  • 23.
    Mitral Stenosis RheumaticValvular Heart Disease Rheumatic heart disease causes mitral stenosis in 99.8% of cases
  • 24.
    Right Ventricular HypertrophyStenotic mitral valve © Frank Netter, MD Novartis®
  • 25.
    Mitral stenosis occurs Left atrial pressure  Left atrium enlarges Cephalization PIE PAH develops PVR increases RV enlarges Pulmonic regurg develops Tricuspid annulus dilates Tricuspid insufficiency RV failure Time course of MS in adult © Frank Netter, MD Novartis®
  • 26.
    Pulmonary venous and capillary pressure Effect of Mitral Stenosis On Lungs
  • 27.
    Mitral stenosis hemodynamics /231 Mitral valve stenosis Left atrial output obstructed LV engorge insufficiently LA pressure increase & dilate Pulmonary venous hypertension, interstitial pulmonary edema RV burden increase & enlarge aortic knob shrink LV and aortic knob shrink methods normal abnormities diseases
  • 28.
    Mitral stenosis X-ray appearance : Cardiac type :“ mitral configuration ” LA & RV enlarged ------- pulmonary artery segment Convexity LV shrink, Straightening of left heart border ------- Aortic knob shrink valvular calcification Pulmonary venous hypertension, interstitial pulmonary edema Hemosiderin deposited : 1-2mm nodular shadow /231 LA enlargement PA – right border : Double density of left atrial enlargement , double PA – left border : left atrial appendage enlargement Lat & RAO : esophagus compressed Elevation of left mainstem bronchus RV enlargement pulmonary artery segment Convexity Lat : contact between the front surface of heart and the sternum (anterior chest wall) >1/3 methods normal abnormities diseases
  • 29.
    Mitral stenosis /231Four arus, diplopia, Pulmonary venous hypertension LA enlargement PA – right border : double density PA – left border : left atrial appendage enlargement Lat & RAO : esophagus compressed methods normal abnormities diseases
  • 30.
    Mitral stenosis LALV RV LA LV LV LA Valve calcification Lat Cor
  • 31.
    Mitral stenosis LALV LA LV LA RV LV RA RV
  • 32.
    Mitral stenosis LALV LV LA RV RA
  • 33.
    Mitral stenosis LA,RVenlarge, Hemosiderin pigmentation RV enlargement pulmonary artery segment Convexity Lat : contact between the front surface of heart and the sternum (anterior chest wall) >1/3 methods normal abnormities diseases
  • 34.
    Mitral stenosis /231methods normal abnormities diseases
  • 35.
    Mitral stenosis LAenlarge : esophagus compression, diplopia RV enlarge: heart touch the anterior chest wall > 1/3 LA enlargement PA – right border : double density PA – left border : left atrial appendage enlargement Lat & RAO : esophagus compressed methods normal abnormities diseases
  • 36.
    Mitral stenosis PVhypertension enlarged MPA Cephalization methods normal abnormities diseases
  • 37.
    Mitral stenosis --- Hemosiderin deposited /231 methods normal abnormities diseases
  • 38.
    Mitral stenosis—pulmonary interstitial edema-- Kerley’s B-line /231 Perpendicular to the chest wall methods normal abnormities diseases
  • 39.
    Common disease of heart and great vessels Rheumatic heart disease Mitral stenosis Mitral regurgitation Ischemic heart disease Coronary artery disease Congenitial heart disease ASD Fallot 4 /231 method normal abnormities diseases
  • 40.
  • 41.
    Coronary artery diseaseMyocardium O 2 supply insufficient Caused by severe coronary artery stenosis Atherosclerosis , spasm , thrombosis Myocardial infarction
  • 42.
    Coronary artery CTAMIP With Contrast Medium
  • 43.
    VRT Recon. NormalCoronary artery CTA
  • 44.
    前降支和旋支 前降支和对角支 前降支和旋支心底部冠脉供血 正常冠脉 MIP 重建
  • 45.
  • 46.
    Ischemic heart diseaseLV enlargement PA – cardiac apex extending to left and down left ventricle segment extended,rounded,expand to left Lat : retrocardiac space become narrowed or disappeared, esophageal space disappeaered Aorta enlarged methods normal abnormities diseases
  • 47.
    Ischemic heart diseasecardiomegaly methods normal abnormities diseases
  • 48.
    Multi-slice spiral CT/231 Plain scan Calcification in the coronary A. wall methods normal abnormities diseases
  • 49.
    Coronary artery CTA Negative prediction 100 % positive prediction 80 ~ 88 %
  • 50.
  • 51.
  • 52.
  • 53.
    Myocardial infarction /231Real time : infarcted myocardium non-enhanced Delay enhancement in the infarcted myocardium methods normal abnormities diseases
  • 54.
  • 55.
    Common disease of heart and great vessels Rheumatic heart disease Mitral stenosis Mitral regurgitation Ischemic heart disease Coronary artery disease Congenitial heart disease ASD Fallot 4 /231 method normal abnormities diseases
  • 56.
    Congenital heart diseaseClassification : Hemodynamics : left to right shunt, right to left shunt, no shunt Clinic : cyanotic, non- cyanotic X-ray: increased pulmonary blood flow , pulmonary oligemia, LBV no change pathological changes : Atrial septal defect ( ASD ) Ventricualr septal defect ( VSD ) Tetralogy of Fallot ( F4 ) Patent ductus arteriosus ( PDA ) Pulmonary stenosis ( PS ) /231 method normal abnormities diseases
  • 57.
    ASD Right atriumopen looking into left atrium through ASD Normal © Frank Netter, MD Novartis® fossa ovalis
  • 58.
    ASD----hemodynamics /231 Left-> right shunt But depend on the P. Vscular resistance RA LA RA flow ↑ RV flow ↑ PBF↑ RA hypertrophy dilatation RV hypertrophy dilatation pulmonary hypertension Right heart failure methods normal abnormities diseases
  • 59.
    Discontinuity in theatrial septum with systolic signal void consistent with L->R shunt on atrial level Right atrium is mildly dilated; RV, LV and LA size are normal SCMR Auckland MRI
  • 60.
    ASD Clinic mostlyadult SM on the 2th-3rd intercostal of the left sternal border Change of hemodynamics X-ray appearance Cardiomegaly , “mitral configuration” RA & RV↑ , RA↑ ↑ obviously Pulmonary artery segment bulge , hilum angiectasia, hilum dance pulmonary blood flow↑ ↑. PAH in later stage LA do not enlarge, LV and aorta shrink /231 4 type: Ostium primum , ostium secundum Sinus venosus , coronary sinus Fossa Ovalis defect 80~90% Atrial septal defect methods normal abnormities diseases
  • 61.
  • 62.
    ASD aorta shrinkRA & RV↑ , RA↑ ↑ obviously RA RV PA Aorta svc
  • 63.
    ASD RA &RV↑ , RA↑ ↑ obviously
  • 64.
    ASD /231 Enlargementof RA methods normal abnormities diseases RA RV PA Aorta svc
  • 65.
    ASD /231 methodsnormal abnormities diseases
  • 66.
    ASD /231 PreoperativePostoperative methods normal abnormities diseases
  • 67.
    ASD /231 Pulmonaryhypertension methods normal abnormities diseases RA RV PA Aorta svc
  • 68.
    ASD Prominent pulmonaryvessels Prominent MPA Normal left atrium
  • 69.
    Tetralogy of FallotMost common CHD with hematoasthenia and cyanosis Including four anomalies : Pulmonary stenosis Ventricular septal defect Aortic overriding Hypertrophy of the RV Radiologic findings Cardiac apex displaced upward “coer en sabot” PA segment concave Decreased vasculature R aortic arch in 25% /231 methods normal abnormities diseases
  • 70.
    Fallot’s tetralogy /231methods normal abnormities diseases
  • 71.
  • 72.
  • 73.
    Tetralogy of Fallot/231 methods normal abnormities diseases
  • 74.
    F4 Aortic overridingPulmonary stenosis right->left shunt RV hypertrophy LA RV MR:41655
  • 75.
  • 76.

Editor's Notes

  • #41 Greater spatial resolution for improved differential diagnosis: Visualization of smallest branches of coronary, cerebral, and mesenteric vessels Faster volume coverage when needed: Examination of pure arterial phase CTA
  • #71 病例 6 :包括 X 线(胸部正位+左右斜位) 答题要求:诊断是什么,有那些诊断依据, 血流动力学改变?