Embed presentation
Downloaded 37 times


























































































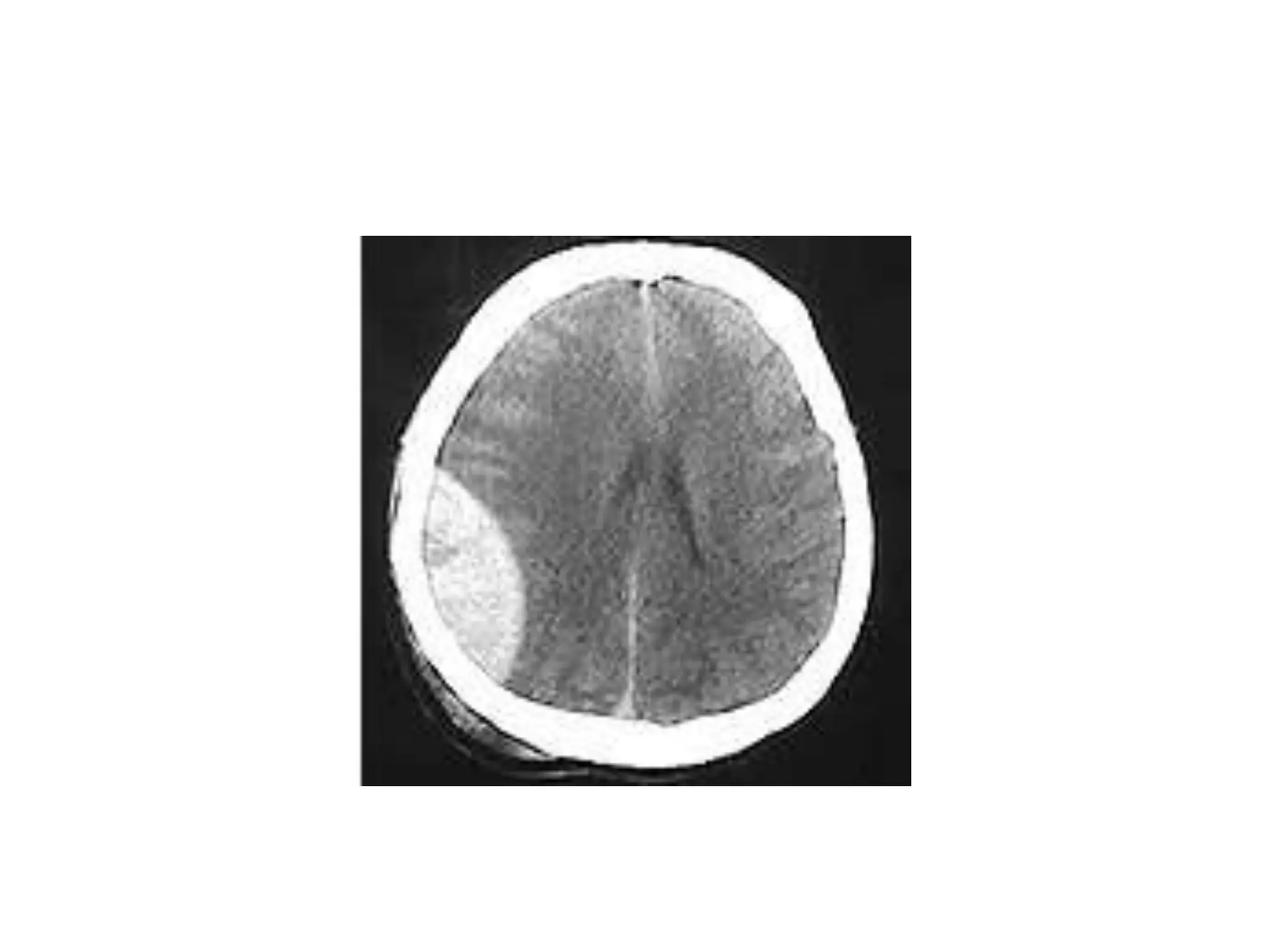
This document provides an overview of key topics in chest x-rays, ECG readings, medical instruments, drugs, and clinical pictures commonly seen in medical orientation classes. It lists various chest x-ray findings like pleural effusion, pneumonia, and pulmonary edema. It also outlines different ECG waves and conditions such as atrial fibrillation, heart blocks, and left ventricular hypertrophy. Common medical instruments like oropharyngeal airways, IV cannulas, and Foley catheters are identified. Examples of anti-tuberculosis therapy, steroids, and clinical pictures including butterfly rash and Cushing's face are briefly covered.
























































































