Normal And Abnormal
Development Of Female
Genital Tract
Khalid Sait
FRCSC
Prof Gynecologist Oncologist
Faculty of Medicine
King Abdulaziz University
Embryology
n  Baby sex established at the time of
fertilization ( sperm meet ovum )
n  sperm 46 xy ovum 46 xx
(23x + 23 y) (23 x + 23 x)
Girl Boy
Gonadal sex
Testes / Ovaries
Genetic sex
XX / XY
Internal
genitalia
Hormones
External
genitalia
Embryology
n  Gonads appear as genital ridges by proliferation of
coalemic epithelium(mesoderm)
n  Primordal germ cell appear in the endodermal cell in the
wall of yolk sac , migrate along the mesentery of hindgut
and invade the genital ridges
n  At 7 weeks the gonads of embryo:
indistinguishable male and female
( indifferent gonad)
n  At 8 weeks if xx ----- Ovary
xy------- Testis
Embryology
Ovary
n  Gonadal ovary : medullary cord degenerate and cortical cord
develop
n  Germ cells ----oogonia
n  11-12 w : onset of oogenesis
n  20 w : 7 million germ cells in each ovary
n  Birth : 2 millions
n  Puberty : 40,000 primary oocytes remaining in the ovaries.
Only 400 ------------- secondary
oocytes and extended at ovulation once every month during menst.
Cycle.
n  Descend of ovary is not an active migration, but result of rapid
growth of body and failure of gubernaculum to elongatee ( that why
its maintain blood supply from the aorta
Paramesonephric
Congenital Uterine Anomaly
n  Precise incidence is unknown (range from 1-2 %)
n  Clinical presentation:
1 Usually asymptomatic
2 Menstrual disorder
3 Dysmenorrhea
4 Recurrent abortion ( decrease intrauterine volume and
vascularity, increase uterine irritability and cervical
incompetance )
5 Premature labor
6 Abnormal presentation
7 Primary infertility
Congenital Uterine Anomaly
n  Diagnosis:
History
Pelvic exam
Hysterosalpingography
U/S
MRI
Laproscopy
Hysteroscopy
IVP or U/S (Exclude Renal anomaly )
Congenital Uterine Anomaly
n  Treatment:
1- Double uterus (didelphic uterus): no need to treat.
2- Bicornate ut. --------- Strassmann procedure
( if indicated )
3- Ut. Septum --------- (BCP for dysmenorrhea ),
Tompkins metroplasty or Hysteroscopic resection of
septum )
4- Unicornate ut. -------- Surgery indicated if there is
blind horn which cause symptom----- surgical resection
of blind horn.
Mullerian Agenesis
n  Mayer Custer Hauser Rokitansky Syndrome
n  1: 4000
n  Abscent upper vagina, cervix and uterus and
tubes
n  Normal ovaries and vulva
n  Associated with spine and renal anomaly
n  Treatment:
McIndoe procedure
Self dilatation of vagina
Vaginal Agenesis
n  1: 5000
n  Normal Vulva
n  Ass. With spine, renal and middle ear anomaly
n  Treatment:
Karyotype, U/S - MRI ( only 5 % will have normal
functioning uterus)
Once patient sexually active
1- Gradual vaginal dilatation against vaginal dimple
(daily for 20-30 mint for few month with gradual dilators
size.
2- William procedure
3- Wharton and Macindo procedure
Transverse Vaginal Septum
n  Mid vagina usually
n  May be partial or complete
n  Presentation:
Primary amenorrhea
Dysparonia
n  Treatment:
Surgical resection
Adult Equivalents of Embryonic Structures
FemaleEmbryonic Structure
ovaryIndifferent gonad
ovarian folliclesCortex
rete ovariiMedulla
ovarian and round ligament of uterusGubernaculum
epoophoron, paroophoronMesonephric tubules
appendix vesiculosa, duct of epoophoron, duct of Gartner,
ureter, pelvis, calices and collecting tubules
Mesonephric Duct
hydatid of Morgagni, uterine tube, uterusParamesonephric Duct
urinary bladder, urethra, vagina,
urethral, paraurethral and greater vestibular glands
Urogenital Sinus
hymenSinus tubercle
clitorisPhallus
labia minoraUrogenital folds
labia majoraLabioscrotal swellings
Imperforated Hymen
n  Presentation:
Primary Amenorrhea
Pelvic mass
n  Treatment:
Cuciate incision at hymen
n  Follow up
Endometrosis
Vaginal adenosis
Normal and abnormal genital tract
Normal and abnormal genital tract
Normal and abnormal genital tract

Normal and abnormal genital tract

  • 1.
    Normal And Abnormal DevelopmentOf Female Genital Tract Khalid Sait FRCSC Prof Gynecologist Oncologist Faculty of Medicine King Abdulaziz University
  • 2.
    Embryology n  Baby sexestablished at the time of fertilization ( sperm meet ovum ) n  sperm 46 xy ovum 46 xx (23x + 23 y) (23 x + 23 x) Girl Boy
  • 3.
    Gonadal sex Testes /Ovaries Genetic sex XX / XY Internal genitalia Hormones External genitalia
  • 4.
    Embryology n  Gonads appearas genital ridges by proliferation of coalemic epithelium(mesoderm) n  Primordal germ cell appear in the endodermal cell in the wall of yolk sac , migrate along the mesentery of hindgut and invade the genital ridges n  At 7 weeks the gonads of embryo: indistinguishable male and female ( indifferent gonad) n  At 8 weeks if xx ----- Ovary xy------- Testis
  • 5.
    Embryology Ovary n  Gonadal ovary: medullary cord degenerate and cortical cord develop n  Germ cells ----oogonia n  11-12 w : onset of oogenesis n  20 w : 7 million germ cells in each ovary n  Birth : 2 millions n  Puberty : 40,000 primary oocytes remaining in the ovaries. Only 400 ------------- secondary oocytes and extended at ovulation once every month during menst. Cycle. n  Descend of ovary is not an active migration, but result of rapid growth of body and failure of gubernaculum to elongatee ( that why its maintain blood supply from the aorta
  • 6.
  • 11.
    Congenital Uterine Anomaly n Precise incidence is unknown (range from 1-2 %) n  Clinical presentation: 1 Usually asymptomatic 2 Menstrual disorder 3 Dysmenorrhea 4 Recurrent abortion ( decrease intrauterine volume and vascularity, increase uterine irritability and cervical incompetance ) 5 Premature labor 6 Abnormal presentation 7 Primary infertility
  • 12.
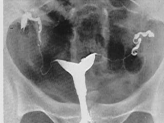
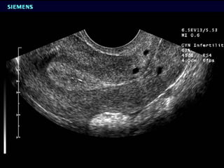
    Congenital Uterine Anomaly n Diagnosis: History Pelvic exam Hysterosalpingography U/S MRI Laproscopy Hysteroscopy IVP or U/S (Exclude Renal anomaly )
  • 22.
    Congenital Uterine Anomaly n Treatment: 1- Double uterus (didelphic uterus): no need to treat. 2- Bicornate ut. --------- Strassmann procedure ( if indicated ) 3- Ut. Septum --------- (BCP for dysmenorrhea ), Tompkins metroplasty or Hysteroscopic resection of septum ) 4- Unicornate ut. -------- Surgery indicated if there is blind horn which cause symptom----- surgical resection of blind horn.
  • 23.
    Mullerian Agenesis n  MayerCuster Hauser Rokitansky Syndrome n  1: 4000 n  Abscent upper vagina, cervix and uterus and tubes n  Normal ovaries and vulva n  Associated with spine and renal anomaly n  Treatment: McIndoe procedure Self dilatation of vagina
  • 26.
    Vaginal Agenesis n  1:5000 n  Normal Vulva n  Ass. With spine, renal and middle ear anomaly n  Treatment: Karyotype, U/S - MRI ( only 5 % will have normal functioning uterus) Once patient sexually active 1- Gradual vaginal dilatation against vaginal dimple (daily for 20-30 mint for few month with gradual dilators size. 2- William procedure 3- Wharton and Macindo procedure
  • 27.
    Transverse Vaginal Septum n Mid vagina usually n  May be partial or complete n  Presentation: Primary amenorrhea Dysparonia n  Treatment: Surgical resection
  • 32.
    Adult Equivalents ofEmbryonic Structures FemaleEmbryonic Structure ovaryIndifferent gonad ovarian folliclesCortex rete ovariiMedulla ovarian and round ligament of uterusGubernaculum epoophoron, paroophoronMesonephric tubules appendix vesiculosa, duct of epoophoron, duct of Gartner, ureter, pelvis, calices and collecting tubules Mesonephric Duct hydatid of Morgagni, uterine tube, uterusParamesonephric Duct urinary bladder, urethra, vagina, urethral, paraurethral and greater vestibular glands Urogenital Sinus hymenSinus tubercle clitorisPhallus labia minoraUrogenital folds labia majoraLabioscrotal swellings
  • 34.
    Imperforated Hymen n  Presentation: PrimaryAmenorrhea Pelvic mass n  Treatment: Cuciate incision at hymen n  Follow up Endometrosis Vaginal adenosis