COLPOSCOPY OF GLANDULAR LESIONS
Silvano Costa, Bologna, Italy
Mario Sideri, Milano, Italy
Adenocarcinoma in situ is the only known precursor to
cervical adenocarcinoma, and appropriate management
can prevent the occurrence of invasive disease in many
cases [1].
1 Alfsen GC,. Cancer 2000; 89:1291.
Adenocarcinoma in situ- AIS
Adenocarcinoma in situ is the only known precursor to cervical
adenocarcinoma, and appropriate management can prevent the
occurrence of invasive disease in many cases [1].
1 Alfsen GC,. Cancer 2000; 89:1291.
2 Gien LT,. Gynecol Oncol 2010; 116:140.
The usual interval between clinically detectable
adenocarcinoma in situ and early invasion appears to
be at least five years, suggesting opportunity for
screening and intervention [2].
Adenocarcinoma in situ- AIS
Adenocarcinoma in situ is the only known precursor to cervical
adenocarcinoma, and appropriate management can prevent the
occurrence of invasive disease in many cases [2].
1 Alfsen GC,. Cancer 2000; 89:1291.
2 Gien LT,. Gynecol Oncol 2010; 116:140.
3 SEER data for 2003-2007: http://seer.cancer.gov/.
The usual interval between clinically detectable adenocarcinoma in
situ and early invasion appears to be at least five years, suggesting
opportunity for screening and intervention [2].
Adenocarcinoma in situ- AIS
Glandular neoplasia of the uterine cervix comprises
25% of all annual cervical cancers diagnoses [3].
Adenocarcinoma in situ- AIS
From 1980 to 2000, epidemiological data show a six
fold increase of AIS (1) probably due to (2,3):
1) a better clarification of glandular findings by Bethesda
System cervical cytology classification
2) exposure to factors that cause or promote glandular
neoplasia as:
* prolonged infection with high risk HPV subtypes (mainly 16;18)
*oral contraceptives ?
3) less squamous neoplasia due to cytologic screening
1. SEER data for 2003-2007: http://seer.cancer.gov/.
2. Plaxe SC, Gynecol Oncol 1999; 75:55.
3. Tornesello ML, Gynecol Oncol 2011; 121:32.
• Between 2003 and 2009 forty-four cervical cancers were
diagnosed following at least one cyto -/ HPV+ result:
– 26 had one cyto-/HPV+ before diagnosis
– 15 had two
– 3 had three
• Cancer types:
– 16 squamous
– 1 small cell
– 24 adenocarcinomas
– 2 adenosquamous carcinomas
• Adenocarcinoma and adenosquamous CA usually
accounts for about 20% of cervical cancers
60% were adeno-
or adenosquamous
carcinomas
Kinney W, Fetterman B, Cox JT,Lorey T,Flanagan T,Castle PE..
Gynecol Oncol. 2011 May 1;121(2):309-13.
Cytology is less effective at detecting AIS
and adenocarcinoma
Characteristics of 44 cancers detected by cotesting
Cytology is less effective at detecting AIS
and adenocarcinoma
Detection of CIN3, AIS, adenocarcinoma and SCC in the ATHENA Trial
Castle PE et al. Lancet Oncol. 2011 Sep;12(9):880-90.*25% difference
Sensitivity
Histology (number) Cytology
HPV
testing
CIN3 (254)
52%
(132)
92%
(254)
AIS (16) 63% (10) 88% (14)*
Adenocarcinoma and
AdenoSq Ca (1)
100% (1) 100% (1)
Squamous cell cancer (3) 100% (3) 100% (3)
Cytology is less effective at detecting AIS and
adenocarcinoma1,2
•Cytologic screening has been ineffective in reducing the
incidence
of adenocarcinoma1
•Incidence of adenoCA in women <40 has been increasing1
•Stage for stage survival for women with adenoCA is significantly
less than for squamous cancer1
•85-90% of adenoCA is due to HPV 16,18, much higher than the
approximately 70% for squamous cancers1
•In HPV-based screening, the numbers of women with screen-
detected glandular disease are likely to increase2
1. Ault KA et al. Int. J. Cancer. 2011; 128, 1344–1353;
2. Saslow d et al. CA Cancer J Clin. 2012 May-Jun;62(3):147-72;
3. Leeson SC et al J Low Genit Tract Dis.. 2013 Jun 14. [Epub ahead of print].
Reasons for moving from cytology to
HPV testing
Adenocarcinoma in situ- AIS
•Age of onset : 35
•Location : upper limit of the SCJ, usually extending
up to 25 mm into the cervical canal
•Distribution: unifocal, multicentric, diffused or “skip
lesion”
•Co-exsistence with squamous lesion: ~ 50% (25-
90%) (1)
1) Costa S, et al., Gynecol Oncol, 2007 106:170-6.
ORIGIN & LOCATION
columnar or reserve
cells at T. Zone
Upper limit of T.
Zone
cervix
Detection of AIS
As preinvasive lesion AIS is asymptomatic
and detection occurs:
• By cytology
• By chance following Endocervical curettage, large
LOOP biopsy or conization for squamous lesion
G. Negri. Pap test tecnica e lettura. In Costa S, Syrjanen K. Gestione delle pazienti con pap test anormale. Athena
Ed., Modena, 2005
Detection of AIS: CYTOLOGY
AIS is detected in the majority of the women upon
evaluation of abnormal findings on cervical cytology
Either glandular or squamous cytologic abnormalities may
precede a diagnosis of AIS :
Glandular 40-60 %
Squamous 40-50%
Mixed squamous and glandular 15 %
Negative findings 5 %
Detection of AIS
AIS is a histologic diagnosis made with a cervical
biopsy, which may include one or more of the
following techniques:
*colposcopy-directed biopsy,
*endocervical curettage,
*cone biopsy.
HISTOLOGY
Detection of AIS
COLPOSCOPY
COLPOSCOPY is poor at detecting glandular
lesions for two reasons:
1) The location within CC is out of view
2) Even within view there are not specific colposcopic
features of glandular lesions
Detection of AIS
COLPOSCOPY
Colposcopy In AIS:
50-70% prediction of squamous lesion
20-30% prediction of glandular lesion
15% Negative
55% Type 3 TZ
Detection of AIS
COLPOSCOPY
Colposcopic features of AIS may be associated
with:
• Elongated glandular villi
• Fused villi
• Acetowhitening of villi
COLPOSCOPY
Detection of AIS
COLPOSCOPY-Directed Biopsy
In AIS directed biopsy shows:
40-60% CIN 2+ or mixed (Squamous + Glandular)
25-40% Pure Glandular lesion
10-20% Negative-CIN 1
In case of cytologic finding of glandular abnormalities if
biopsy and ECC are negative, further evaluation with
conization may be warranted.
Detection of AIS
Endocervical Curettage ( EEC)
Even its use is questionable, ECC should be performed in all
women with a cytologic finding of glandular abnormalities
or a high grade squamous intraepithelial lesion extended
into CC (1,2)
In AIS patients ECC is positive in 35-65% of cases (3)
1.Wang SS,. Gynecol Oncol 2006; 103:541.
2. Costa S, Gynecol Oncol , 2012 ;124:490-5.
3. Zannoni G. Il Bethesda System in: Costa S, Syrjabnen K. Gestione delle pazienti con pap test anormale. Athena Ed., Modena, 2005
Conization is appropriate in cases with suspected
disease who have negative biopsy and ECC results
Detection of AIS
Conization
These include women with the following findings:
•Cytology with AIS or AdCa and a negative biopsy and ECC
•Cytology with AGC and a negative biopsy, ECC, or endometrial
biopsy
Conization may be performed using one of several
techniques, including:
•cold knife conization (CKC),
•loop electrosurgical excision procedure (LEEP)
•laser conization
Detection of AIS
Conization
Many women with AIS will undergo LEEP, because
there was no preoperative suspicion of glandular
disease [1]. These patients are managed the same way
as those who underwent CKC [2].
Detection of AIS
Conization
1. Kastritis E,. Gynecol Oncol 2005; 99:376.
2. Lee KB,. Int J Gynecol Cancer 2006; 16:1569.
Many women with AIS will undergo LEEP because there was no preoperative
suspicion of glandular disease [1]. These patients are managed the same way
as those who underwent CKC.
Detection of AIS
Conization
55 % of women with AIS are found to
have a coexisting squamous lesion
1. Macdonald OK, Am J Clin Oncol 2009; 32:411.
260 CIN2 on colpo directed biopsy were
submitted to cervical conization; the
pathology of cone revealed:
Less than CIN2 = 25%
CIN2 = 40%
CIN3+ = 35%
5 cases of AIS (5.4% out of the CIN3+)
CIN2: treatment
Final diagnosis
362 CIN3 on colpo directed biopsy were
submitted to cervical conization; the
pathology of cone revealed:
Less than CIN2 = 17%
CIN2 = 13%
CIN3+ = 70%
7 cases of AIS
CIN2: treatment
Final diagnosis
Many women with AIS will undergo LEEP because there was no preoperative
suspicion of glandular disease [1]. These patients are managed the same way
as those who underwent CKC.
Detection of AIS
Conization
55 % of women with AIS are found to have a coexisting squamous lesion
Although there are conflict data regarding
information on residual disease, some
surgeons perform ECC at the time of
conization
1. Macdonald OK, Am J Clin Oncol 2009; 32:411.
AIS MANAGEMENT
The management of AIS is challenging :
Negative margins on a cone biopsy specimen or a
negative EEC do not necessarily ensure that the lesion
has been completely excised.
RESIDUAL LESION
Initial conization positive margin : AIS: 52 %; AdCa: 6%
Initial conization negative margin: AIS 20% ; AdCa: 1.5%
AIS MANAGEMENT
Since many women treated with conization have a
high risk of residual AIS or adenocarcinoma (AdCa)
Hysterectomy remains the standard
treatment for AIS
AIS MANAGEMENT
For women who wish to preserve fertility,
conization followed by surveillance is a
reasonable option in case of negative
margins and negative endocervical curettage
AIS MANAGEMENT
Pap smear : low sensitivity
Colposcopy : not appropriate
Follow Up Problems
AIS MANAGEMENT
Follow Up Problems
Recent observations (1) suggested that
HR-HPV test in conjunction with cervical
cytology offers clear advantages in monitoring
the women conservatively treated for cervical
glandular intraepithelial neoplasia
Pap smear : low sensitivity Colposcopy : not appropriate
1. Costa S, Gynecol Oncol , 2012 ;124:490-5.
HPV testing after
conservative treatment for
AIS
HPV testing has been shown to be useful also
in the follow up of conservatively treated
cervical AIS by our group.
Gynecologic Oncology 2007, 106, 170-176
HPV testing after conservative
treatment for AIS
When both PAP smear and HPV test are used together, such a combined test detects
persistent lesions at the 1st FU visit with OR=9.0 (95% 0.91–88.57) and gives
sensitivity (SE) of 90.0%, specificity (SP) 50.0%, PPV 52.9%, and NPV 88.9%. At
the 2nd FU visit, this combination gives SE 100%, SP 52.6%, PPV 40.0%, and NPV
100% (OR not computable). At the 3rd FU visit, when most of the disease has
disappeared, SE is 0%, SP 91.7%, PPV 0%, and NPV 91.7%.
Costa S, et al. Gynecologic Oncology 2007, 106, 170-176
Positive HR-HPV test was the only independent
predictor of disease recurrence (OR=2.72),
and with free cone margins,
was also the most powerful predictor of disease
progression to AdCa (OR=3.7).
AIS MANAGEMENT
Performance of Pap smear, colposcopy, cone
margins and HR-HPV DNA test
1. Costa S, Gynecol Oncol , 2012 ;124:490-5.
Thank you
Invasive adenocarcinoma, negative pap and HPV test positive type 16
Nulliparous, 37 years old,
2010 negative smear and cervical cauterization of an ectopy;
april 2013 negative smear;
because of postcoital bleeding  cytology again and report of
adenocarcinoma, HPV16;
colposcopy positive, TZ type 2, suspicion of invasion,
biopsy adenocarcinoma endocervical type, well differentiated, villoglandular.
Lasercone pathology report endocervical adenocarcinoma, well differentiated
innvasive (max depth 5 mm; max lenght 8 mm) FIGO stage IB1.
3  dr mario sideri  ais
3  dr mario sideri  ais
3  dr mario sideri  ais

3 dr mario sideri ais

  • 1.
    COLPOSCOPY OF GLANDULARLESIONS Silvano Costa, Bologna, Italy Mario Sideri, Milano, Italy
  • 2.
    Adenocarcinoma in situis the only known precursor to cervical adenocarcinoma, and appropriate management can prevent the occurrence of invasive disease in many cases [1]. 1 Alfsen GC,. Cancer 2000; 89:1291. Adenocarcinoma in situ- AIS
  • 3.
    Adenocarcinoma in situis the only known precursor to cervical adenocarcinoma, and appropriate management can prevent the occurrence of invasive disease in many cases [1]. 1 Alfsen GC,. Cancer 2000; 89:1291. 2 Gien LT,. Gynecol Oncol 2010; 116:140. The usual interval between clinically detectable adenocarcinoma in situ and early invasion appears to be at least five years, suggesting opportunity for screening and intervention [2]. Adenocarcinoma in situ- AIS
  • 4.
    Adenocarcinoma in situis the only known precursor to cervical adenocarcinoma, and appropriate management can prevent the occurrence of invasive disease in many cases [2]. 1 Alfsen GC,. Cancer 2000; 89:1291. 2 Gien LT,. Gynecol Oncol 2010; 116:140. 3 SEER data for 2003-2007: http://seer.cancer.gov/. The usual interval between clinically detectable adenocarcinoma in situ and early invasion appears to be at least five years, suggesting opportunity for screening and intervention [2]. Adenocarcinoma in situ- AIS Glandular neoplasia of the uterine cervix comprises 25% of all annual cervical cancers diagnoses [3].
  • 5.
    Adenocarcinoma in situ-AIS From 1980 to 2000, epidemiological data show a six fold increase of AIS (1) probably due to (2,3): 1) a better clarification of glandular findings by Bethesda System cervical cytology classification 2) exposure to factors that cause or promote glandular neoplasia as: * prolonged infection with high risk HPV subtypes (mainly 16;18) *oral contraceptives ? 3) less squamous neoplasia due to cytologic screening 1. SEER data for 2003-2007: http://seer.cancer.gov/. 2. Plaxe SC, Gynecol Oncol 1999; 75:55. 3. Tornesello ML, Gynecol Oncol 2011; 121:32.
  • 6.
    • Between 2003and 2009 forty-four cervical cancers were diagnosed following at least one cyto -/ HPV+ result: – 26 had one cyto-/HPV+ before diagnosis – 15 had two – 3 had three • Cancer types: – 16 squamous – 1 small cell – 24 adenocarcinomas – 2 adenosquamous carcinomas • Adenocarcinoma and adenosquamous CA usually accounts for about 20% of cervical cancers 60% were adeno- or adenosquamous carcinomas Kinney W, Fetterman B, Cox JT,Lorey T,Flanagan T,Castle PE.. Gynecol Oncol. 2011 May 1;121(2):309-13. Cytology is less effective at detecting AIS and adenocarcinoma Characteristics of 44 cancers detected by cotesting
  • 7.
    Cytology is lesseffective at detecting AIS and adenocarcinoma Detection of CIN3, AIS, adenocarcinoma and SCC in the ATHENA Trial Castle PE et al. Lancet Oncol. 2011 Sep;12(9):880-90.*25% difference Sensitivity Histology (number) Cytology HPV testing CIN3 (254) 52% (132) 92% (254) AIS (16) 63% (10) 88% (14)* Adenocarcinoma and AdenoSq Ca (1) 100% (1) 100% (1) Squamous cell cancer (3) 100% (3) 100% (3)
  • 8.
    Cytology is lesseffective at detecting AIS and adenocarcinoma1,2 •Cytologic screening has been ineffective in reducing the incidence of adenocarcinoma1 •Incidence of adenoCA in women <40 has been increasing1 •Stage for stage survival for women with adenoCA is significantly less than for squamous cancer1 •85-90% of adenoCA is due to HPV 16,18, much higher than the approximately 70% for squamous cancers1 •In HPV-based screening, the numbers of women with screen- detected glandular disease are likely to increase2 1. Ault KA et al. Int. J. Cancer. 2011; 128, 1344–1353; 2. Saslow d et al. CA Cancer J Clin. 2012 May-Jun;62(3):147-72; 3. Leeson SC et al J Low Genit Tract Dis.. 2013 Jun 14. [Epub ahead of print]. Reasons for moving from cytology to HPV testing
  • 9.
    Adenocarcinoma in situ-AIS •Age of onset : 35 •Location : upper limit of the SCJ, usually extending up to 25 mm into the cervical canal •Distribution: unifocal, multicentric, diffused or “skip lesion” •Co-exsistence with squamous lesion: ~ 50% (25- 90%) (1) 1) Costa S, et al., Gynecol Oncol, 2007 106:170-6.
  • 10.
    ORIGIN & LOCATION columnaror reserve cells at T. Zone Upper limit of T. Zone cervix
  • 11.
    Detection of AIS Aspreinvasive lesion AIS is asymptomatic and detection occurs: • By cytology • By chance following Endocervical curettage, large LOOP biopsy or conization for squamous lesion G. Negri. Pap test tecnica e lettura. In Costa S, Syrjanen K. Gestione delle pazienti con pap test anormale. Athena Ed., Modena, 2005
  • 12.
    Detection of AIS:CYTOLOGY AIS is detected in the majority of the women upon evaluation of abnormal findings on cervical cytology Either glandular or squamous cytologic abnormalities may precede a diagnosis of AIS : Glandular 40-60 % Squamous 40-50% Mixed squamous and glandular 15 % Negative findings 5 %
  • 13.
    Detection of AIS AISis a histologic diagnosis made with a cervical biopsy, which may include one or more of the following techniques: *colposcopy-directed biopsy, *endocervical curettage, *cone biopsy. HISTOLOGY
  • 14.
    Detection of AIS COLPOSCOPY COLPOSCOPYis poor at detecting glandular lesions for two reasons: 1) The location within CC is out of view 2) Even within view there are not specific colposcopic features of glandular lesions
  • 15.
    Detection of AIS COLPOSCOPY ColposcopyIn AIS: 50-70% prediction of squamous lesion 20-30% prediction of glandular lesion 15% Negative 55% Type 3 TZ
  • 16.
    Detection of AIS COLPOSCOPY Colposcopicfeatures of AIS may be associated with: • Elongated glandular villi • Fused villi • Acetowhitening of villi
  • 17.
  • 18.
    Detection of AIS COLPOSCOPY-DirectedBiopsy In AIS directed biopsy shows: 40-60% CIN 2+ or mixed (Squamous + Glandular) 25-40% Pure Glandular lesion 10-20% Negative-CIN 1 In case of cytologic finding of glandular abnormalities if biopsy and ECC are negative, further evaluation with conization may be warranted.
  • 19.
    Detection of AIS EndocervicalCurettage ( EEC) Even its use is questionable, ECC should be performed in all women with a cytologic finding of glandular abnormalities or a high grade squamous intraepithelial lesion extended into CC (1,2) In AIS patients ECC is positive in 35-65% of cases (3) 1.Wang SS,. Gynecol Oncol 2006; 103:541. 2. Costa S, Gynecol Oncol , 2012 ;124:490-5. 3. Zannoni G. Il Bethesda System in: Costa S, Syrjabnen K. Gestione delle pazienti con pap test anormale. Athena Ed., Modena, 2005
  • 20.
    Conization is appropriatein cases with suspected disease who have negative biopsy and ECC results Detection of AIS Conization These include women with the following findings: •Cytology with AIS or AdCa and a negative biopsy and ECC •Cytology with AGC and a negative biopsy, ECC, or endometrial biopsy
  • 21.
    Conization may beperformed using one of several techniques, including: •cold knife conization (CKC), •loop electrosurgical excision procedure (LEEP) •laser conization Detection of AIS Conization
  • 22.
    Many women withAIS will undergo LEEP, because there was no preoperative suspicion of glandular disease [1]. These patients are managed the same way as those who underwent CKC [2]. Detection of AIS Conization 1. Kastritis E,. Gynecol Oncol 2005; 99:376. 2. Lee KB,. Int J Gynecol Cancer 2006; 16:1569.
  • 23.
    Many women withAIS will undergo LEEP because there was no preoperative suspicion of glandular disease [1]. These patients are managed the same way as those who underwent CKC. Detection of AIS Conization 55 % of women with AIS are found to have a coexisting squamous lesion 1. Macdonald OK, Am J Clin Oncol 2009; 32:411.
  • 24.
    260 CIN2 oncolpo directed biopsy were submitted to cervical conization; the pathology of cone revealed: Less than CIN2 = 25% CIN2 = 40% CIN3+ = 35% 5 cases of AIS (5.4% out of the CIN3+) CIN2: treatment Final diagnosis
  • 25.
    362 CIN3 oncolpo directed biopsy were submitted to cervical conization; the pathology of cone revealed: Less than CIN2 = 17% CIN2 = 13% CIN3+ = 70% 7 cases of AIS CIN2: treatment Final diagnosis
  • 26.
    Many women withAIS will undergo LEEP because there was no preoperative suspicion of glandular disease [1]. These patients are managed the same way as those who underwent CKC. Detection of AIS Conization 55 % of women with AIS are found to have a coexisting squamous lesion Although there are conflict data regarding information on residual disease, some surgeons perform ECC at the time of conization 1. Macdonald OK, Am J Clin Oncol 2009; 32:411.
  • 27.
    AIS MANAGEMENT The managementof AIS is challenging : Negative margins on a cone biopsy specimen or a negative EEC do not necessarily ensure that the lesion has been completely excised. RESIDUAL LESION Initial conization positive margin : AIS: 52 %; AdCa: 6% Initial conization negative margin: AIS 20% ; AdCa: 1.5%
  • 28.
    AIS MANAGEMENT Since manywomen treated with conization have a high risk of residual AIS or adenocarcinoma (AdCa) Hysterectomy remains the standard treatment for AIS
  • 29.
    AIS MANAGEMENT For womenwho wish to preserve fertility, conization followed by surveillance is a reasonable option in case of negative margins and negative endocervical curettage
  • 30.
    AIS MANAGEMENT Pap smear: low sensitivity Colposcopy : not appropriate Follow Up Problems
  • 31.
    AIS MANAGEMENT Follow UpProblems Recent observations (1) suggested that HR-HPV test in conjunction with cervical cytology offers clear advantages in monitoring the women conservatively treated for cervical glandular intraepithelial neoplasia Pap smear : low sensitivity Colposcopy : not appropriate 1. Costa S, Gynecol Oncol , 2012 ;124:490-5.
  • 32.
    HPV testing after conservativetreatment for AIS HPV testing has been shown to be useful also in the follow up of conservatively treated cervical AIS by our group. Gynecologic Oncology 2007, 106, 170-176
  • 33.
    HPV testing afterconservative treatment for AIS When both PAP smear and HPV test are used together, such a combined test detects persistent lesions at the 1st FU visit with OR=9.0 (95% 0.91–88.57) and gives sensitivity (SE) of 90.0%, specificity (SP) 50.0%, PPV 52.9%, and NPV 88.9%. At the 2nd FU visit, this combination gives SE 100%, SP 52.6%, PPV 40.0%, and NPV 100% (OR not computable). At the 3rd FU visit, when most of the disease has disappeared, SE is 0%, SP 91.7%, PPV 0%, and NPV 91.7%. Costa S, et al. Gynecologic Oncology 2007, 106, 170-176
  • 34.
    Positive HR-HPV testwas the only independent predictor of disease recurrence (OR=2.72), and with free cone margins, was also the most powerful predictor of disease progression to AdCa (OR=3.7). AIS MANAGEMENT Performance of Pap smear, colposcopy, cone margins and HR-HPV DNA test 1. Costa S, Gynecol Oncol , 2012 ;124:490-5.
  • 35.
  • 36.
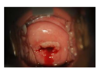
    Invasive adenocarcinoma, negativepap and HPV test positive type 16 Nulliparous, 37 years old, 2010 negative smear and cervical cauterization of an ectopy; april 2013 negative smear; because of postcoital bleeding  cytology again and report of adenocarcinoma, HPV16; colposcopy positive, TZ type 2, suspicion of invasion, biopsy adenocarcinoma endocervical type, well differentiated, villoglandular. Lasercone pathology report endocervical adenocarcinoma, well differentiated innvasive (max depth 5 mm; max lenght 8 mm) FIGO stage IB1.