Anatomy
Critical to function
NMJ on the muscle fiber

10µm

10µm
Synaptic selectivity at developing
NMJ
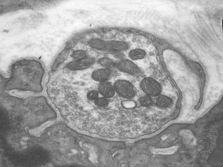
Synapse from a frog sartorius neuromuscular
junction showing vesicles clustered in the active
zone, some docked at the membrane (arrows).
(from
Heuser,
1977)
Synaptic Transmission
The Steps
Synaptic Transmission Model
•
•
•
•
•
•

Precursor transport
NT synthesis
Storage
Release
Activation
Termination ~diffusion, degradation,
uptake, autoreceptors
Presynaptic
Axon Terminal

Terminal
Button

Postsynaptic
Membrane
(1) Precursor
Transport
(2)
Synthesis

_
_
_

enzymes/cofactors

NT
(3) Storage

in vesicles
A quantum is the number of transmitters
released from a single synaptic vesicle
Vesicles have a fairly uniform size and diameter ≈ 40- 50 nm
Individual vesicles contain 8000 - 10,000 phospholipid molecules and several
proteins. The vesicle molecular weight is approx. 3-5 x 106
Proteins associated with synaptic vesicles
(identified through sequencing and cloning of cDNA’s)

Membrane proteins
A.
B.
C.

Synaptophysin (~ 36 kD)
Synaptotagmin (~ 61 kD; the Ca2+ sensor)
Snares (residents of either the vesicle
[v-snare] or the target membrane [t-snare])
1.
VAMP (also called synaptobrevin), a v-snare (~18 kD)
2.
Syntaxin, a t-snare that also associates with Ca 2+
channels (~32 kD; technically not a vesicle protein)
3.
SNAP-25, a t-snare (~25 kD; also technically not a
vesicle protein)
D. Electrogenic proton ATPase -creates emf that drives
neurotransmitter uptake against a concentration gradient
Proteins associated with synaptic vesicles
(identified through sequencing and cloning of cDNA’s)

Membrane proteins
A.
B.
C.

Synaptophysin (~ 36 kD)
Synaptotagmin (~ 61 kD; the Ca2+ sensor)
Snares (residents of either the vesicle
[v-snare] or the target membrane [t-snare])
1.
VAMP (also called synaptobrevin), a v-snare (~18 kD)
2.
Syntaxin, a t-snare that also associates with Ca 2+
channels (~32 kD; technically not a vesicle protein)
3.
SNAP-25, a t-snare (~25 kD; also technically not a
vesicle protein)
D. Electrogenic proton ATPase -creates emf that drives
neurotransmitter uptake against a concentration gradient
An alternative form of Ca2+-dependent vesicle fusion, termed fast tracking, or
“kiss and run” predominates at low frequency stimulation.
Life cycle of a
synaptic vesicle
Terminal
Button

Dendritic
Spine

Synapse
(4) Release
Terminal
Button

Dendritic
Spine

Synapse

Receptors
Terminal
Button

AP

Dendritic
Spine

Synapse
Exocytosis

Ca2+
From Kristin Harris Lectures.
http://synapses.mcg.edu/lab/harris/lectures.htm
Stimulation
mini

Evoked amplitudes.
1X

4X

Mini histogram.
2X

1X
3X
4X

2X
1 mV

Squire Fund. Neurosci.
From Kristin Harris Lectures.
http://synapses.mcg.edu/lab/harris/lectures.htm
“docked”
No firing

“fast”

“slow”

Firing

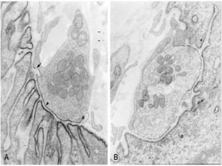
Heuser and Reese,
1981

Electron micrographs of “omega figures” (fusing synaptic vesicles) after slam freezing a
firing synapse provided clinching evidence for the vesicle hypothesis.
A cholinergic synapse
Ne
rv

Action
potential

Choline

ef
ibe
r(
ax
on
)

Na+, Cl-

Acetyl-CoA

Acetyl-Choline
Ca + +

Ca + +

Acetyl-Choline
A cholinergic synapse (2): Rapid
transmitter inactivation by
cholinesterase
Choline
Acetate
Action
potential

Acetyl-CoA

Acetyl-Choline

Ca + +

Choline
esterase
(5) Activation
(1) Ionotropic Channels
Channel

NT

neurotransmitter
Ionotropic Channels
NT

Pore
Ionotropic Channels

NT
Ionotropic Channels

NT
Acetylcholine Receptor
α
β
γ

(or

ε)

ACh

ACh

δ

α
Miyazawa, A., Y. Fujiyoshi, and N. Unwin. 2003. Structure and gating
mechanism of the acetylcholine receptor pore. Nature 423:949-955.
End Plate Potential (EPP)

Presynaptic
terminal

VNa

Muscle Membrane
Voltage (mV)

The movement of Na+ and K+
depolarizes muscle membrane
potential (EPP)

0
EPP
Threshold

-90 mV
VK
Presynaptic
AP

Time (msec)

Outside

Muscle membrane

Inside
ACh Receptor Channels

Voltage-gated
Na Channels

Inward Rectifier
K Channels
45
Normal EPPs invariably evoke muscle action
potentials
• Normally, the average EPP amplitude = 60 mV
-In frog, ~150 vesicles
• Safety factor for transmission is therefore high (greater than 1)
- Frog example:
∆VEPP ÷ ∆VAPthreshold
= 60 mV ÷ │-90 mV*- [-50 mV] │
= 60 mV ÷ 40 mV = 1.5
(*muscle resting VM = -90 mV)
(6) Termination
(6.1) Termination by...
Diffusion
(6.2) Termination by...
Enzymatic degradation
Acetylcholine
Metabolism
acetylcholine

ACh

esterase (AChE)

choline + acetate

• AChE is located in the synaptic cleft
• Choline is taken back up into the
presynaptic terminal – active process
• Acetate diffuses away to be utilized in
other metabolic roles
(6.3) Termination by...
Reuptake
(6.4) Termination by...
Autoreceptors

A
The Safety Factor !!!
• Number of Quanta
• The receptor density on the post synaptic
membrane
• The activity of ACH esterase
• The folds of the PS membrabe
• The presence of active zones
Voltage-gated channels
Na+ channelopathies
Gene

Channel

Disease

Muscle

SCN4A

α subunit of NaV1.4

Hyperkalaemic periodic paralysis
Hypokalaemic periodic paralysis
Paramyotonia congenita
Potassium-aggravated myotonia
Myotonia fluctuans
Myotonia permanens
etc

Neuronal

SCN1A

α subunit of NaV1.1
(somatic)

Generalised Epilepsy with Febrile
Seizures + (GEFS+),
Severe myoclonic epilepsy of
infancy (SMEI)

SCN2A

α subunit of NaV1.2
(axonal)

GEFS+

SCN1B

β1 subunit
Ca2+ channel structure

α2δ

γ
β
α1
Ca2+ channelopathies
Gene

Neuronal

Disease

CACNA1S

α subunit of CaV1.1

HypoK periodic paralysis
Malignant hyperthermia

RYR1

Muscle

Channel

Ryanodine receptor
(sarcoplasmic channel)

Malignant hyperthermia
Central core disease

CACNA1A

α subunit of CaV2.1
(P/Q-type channel)

Familial hemiplegic migraine
Episodic ataxia type 2
Spinocerebellar ataxia type 6
Absence epilepsy?

CACNA1H

αsubunit of CaV3.2
(T-type channel)

Absence epilepsy
Nicotinic receptor channelopathies
Gene
CHRNA1

α1 subunit

Congenital myasthenic syndrome

β1 subunit

CHRND

δ subunit

CHRNE
Neuronal

Disease

CHRNB1

Muscle

Channel

ε subunit

CHRNA2

α4 subunit

CHRNB4

β2 subunit

AD nocturnal frontal lobe epilepsy
Slow channel
syndrome

Sine et al
(1995)
Fast channel syndrome
can be associated with congenital joint
deformities (arthrogryposis multiplex)

Brownlow et al
(2001)
Neuromuscular transmission
Neuromuscular transmission

Neuromuscular transmission

Editor's Notes

  • #10 neuro4e-fig-08-11-0.jpg
  • #38 Cholinesterase provides for a very rapid mechanism of inactivation. This makes acetylcholine a preferred transmitter where rapid modulation of the signal is desired. Example: Voluntary muscular action.
  • #45 ACh: acetylcholine AChR: acetylcholine receptor is the nicotinic hetero(and penta)meric muscle form, which has (1)2,,, fetal subunit composition and (1)2,,, adult subunit composition
  • #47 Endplate potentials (EPPs) are larger, compound MEPPs that result from the activation of many of the terminals of an endplate at the same time. The average EPPs results from the summation of ~150 average MEPPs. The average EPP amplitude is therefore ~+60 mV (0.4 mV/quantum X 150 quanta). If the resting VM of the muscle fiber is -90 mV and the threshold for action potential initiation is -50 mV, a single average EPP will provide 1.5X the voltage required to change VM to the action potential threshold! The normal “safety factor” for neuromuscular excitation is therefore quite high, ~2. That means that under normal circumstances, a muscle action potential will always be generated, and the muscle will contract, as a result of a single EPP. If the fiber is repeatedly stimulated over a very long period of time, some failures will be observed, because the axon will start to run out of vesicles and/or the muscle will fatigue.