DEGENERATIVE
DISORDERS OF BRAIN
Dr. Arif khan S
AGING OR SENILE ATROPHY OF
BRAINnormal aging include ventricular and sulcal dilatation owing to cerebral
volume loss typically reported as “atrophy”
Sulcal dilatation is a prominent feature
Despite these structural changes, cerebral metabolism, as measured by
positron emission tomography (PET) with the glucose analogues fluorine
deoxyglucose (18FDG) and carbon deoxyglucose (11C-2DG), does not
decline with age.
Neuronal loss is minimal in number and only parenchymal atrophy occurs in
most.
cerebrospinal fluid (CSF) volume increases approximately twofold
parenchymal volume loss rather than cerebral atrophy
DEMENTIA
Wide range of pathologies
1. Anatomic: abscess, tumor, subdural hematoma, posttraumatic
encephalomalacia, diffuse axonal injury.
2. Metabolic: electrolyte imbalance, nutritional deficiency, endocrinopathy,
toxic exposure, medications.
3. psychiatric
4. Degenerative: Alzheimer's disease [AD],
Parkinson's disease [PD], frontotemporal dementia, dementia with Lewy
bodies), vascular (e.g., cerebral infarction, Binswanger's disease, CADASIL
5. infectious/inflammatory : vasculitis, prion disease
6. demyelinating disease: multiple sclerosis
7. paraneoplastic phenomena
DISEASES
Alzheimer's disease
vascular dementia
Lewy body disease
frontotemporal lobar
degeneration
MISCELLANEOUS:
Creutzfeldt-Jakob disease
progressive supranuclear palsy
(PSP)
multiple system atrophy (MSA)
Huntington disease
corticobasal degeneration
CADASIL
MRI PROTOCOL
Three plane imaging* (preferably with the coronal images angled at right
angles to the hippocampus) with T1, T2, FLAIR, DWI and T2* sequences
T1
sequence: ​volumetric gradient echo e.g. MPRAGE
e.g. 0.9mm reformatted in three planes
Purpose: anatomical, best for assessing regional volume loss.
T2
​sequence: fast spin echo, whole brain or limited to basal ganglia and
posterior fossa (thin e.g. 3mm)
purpose: signal intensity of basal ganglia, and posterior fossa structures
(often less well seen on FLAIR due to flow artefact)
FLAIR
​​sequence: whole brain axial or volumetric
purpose: white matter signal abnormality
small vessel ischaemia resulting in multi-infarct dementia and abnormal sulcal
signal in leptomeningeal processes
DWI / ADC (or isometric images from optional DTI acquisition)
purpose: cortical or deep grey matter restricted diffusion in Creutzfeldt Jakob
disease (CJD) and restriction in demyelination of infarction (e.g. cerebral
vasculitis)
SWI
​​sequence: SWI including phase and magnitude images
purpose: microhaemorrhages (e.g. cerebral amyloid angiopathy (CAA),
hypertensive encephalopathy). Mineral deposition in cortex (e.g. Alzheimer's
disease, amyotrophic lateral sclerosis (ALS)). Loss of low signal in substantia
nigra (Parkinson disease)
Optional additional sequences
DTI (optional): for tractography
MR Perfusion: arterial spin labelling or preferably contrast perfusion
MR spectroscopy
SYSTEMATIC APPROACH
T1 sagittal
A.Midlline
corpus callosum
​the anterior half of the body should be thicker,
and certainly not thinner than the posterior half.
Upward bowing – Hydrocephalus.
midbrain shape, size and midbrain to pons area
ratio
pons shape
should be plump and rounded and about 4 times
as large as the midbrain.
B. Sagittal :
medial surfaces of the frontal, parietal
and occipital lobes
all the sulci should be about the same
size
Significant parietal sulcal widening with
atrophy of the precuneus and posterior
cingulate suggests Alzheimer's disease
(AD).
anterior to posterior gradient of sulcal
size (bigger anteriorly) seen in
frontotemporal lobar degeneration.
mamillary bodies
should be about the same size. Atrophic
or asymmetrical mammillary bodies may
imply hippocampal pathology or
Wernicke-Korsakoff syndrome.
upper cervical spine and cord.
Axial FLAIR & T2
•gyral atrophy, particularly useful for the frontal lobes
•widening of the sylvian fissures
•hippocampal volume and signal
•posterior fossa morphology
•Midbrain
•Pons
•Medulla
•Cerebellum
•Wernicke pattern high T2 signal (ventromedial thalamus, mammillary bodies,
periaqueductal grey matter)
•Cortical white matter changes.
T2 axial imaging is often better for basal
ganglia structures and posterior fossa.
Assess for:
reversal of normal T2 signal of putamen vs
globus pallidus of MSA-P
atrophic caudate heads of Huntington's
disease
size and flow void in aqueduct (usually
prominent in NPH)
3. Coronal sequences
•hippocampal, choroidal fissure and temporal horn size
•symmetry
• left > right atrophy favours FTLD
• equal involvement favours Alzheimer's disease
•anterior to posterior gradient
• anterior atrophy > posterior atrophy favours FTLD
•involvement of the temporal lobe generally favours FTLD
•atrophy largely restricted to the hippocampus and parahippocampal
gyrus favours Alzheimer's disease
•mammillary body size, signal and symmetry
4. T2* sequences
Sequences susceptible to blood products are particularly useful in assessing:
•microhaemorrhages
• peripherally distributed in cerebral amyloid angiopathy which in turn is associate with
Alzheimer's disease
•centrally distributed (basal ganglia / pons / cerebellum) in chronic hypertensive
encephalophathy
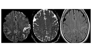
5. DWI
DWI has a limited role in the assessment of a patient with a suspected neurodegenerative
disease
Crucial particularly for Creutzfeldt-Jakob disease: look for cortical, basal ganglia and thalamic
restricted diffusion.
SCORING SYSTEMS AND
MEASUREMENTS
•Fazekas scale for white matter lesions: the deep white matter component is used in
assessing the amount of chronic small vessel ischaemic change
•posterior atrophy score of parietal atrophy (PA or PCA or Koedam score): useful in
atypical (posterior cortical atrophy) or early onset Alzheimer's disease.
•medial temporal lobe atrophy score (MTA score)
•global cortical atrophy scale (GCA scale)
A number of measurements / ratios are also useful:
midbrain to pons area ratio (for PSP)
magnetic resonance parkinsonism index (MRPI) (for PSP)
ALZHEIMER DISEASE
Alzheimer disease (AD) is a common neurodegenerative disease,
responsible for the majority of all dementias, and imposing a significant
burden on developed nations.
Most common cause of dementia, and accounts for two thirds of cases of
dementia in patients aged 60-70 years.
Epidemiological risk factor : advanced age, female gender,
apolipoprotein E (APOE) ε4 allele carrier status
current smoking
family history of dementia
Classical/typical Alzheimer disease:
with antegrade episodic memory deficits.
Neuropsychiatric symptoms are also common, and eventually affect
almost all patients. These include apathy, depression, anxiety,
aggression/agitation, and psychosis.
Atypical/variant Alzheimer disease:
These entities, often recognised clinically well before they were
identified to be pathologically identical to Alzheimer disease
slowly progressive focal cortical atrophy, with symptoms and signs
matched to the affected area
Examples include:
posterior cortical atrophy
frontal variant of Alzheimer disease
a minority of cases of semantic dementia
Pathology
Alzheimer disease is characterised by the accumulation of senile
(neuritic) plaques, neuritic (neurofibrillary) tangles, and progressive
loss of neurons
The progression of pathology initially involves the transentorhinal
region and then spreads to the hippocampal complex and mesial
temporal lobe structures and eventually the temporal lobes and basal
forebrain.
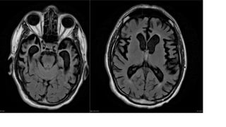
RADIOGRAPHIC FEATURES
The primary role of MRI (and CT) in the diagnosis of Alzheimer disease is
the assessment of volume change in characteristic locations which can
yield a diagnostic accuracy of up to 87%.
The diagnosis should be made on the basis of two features:
mesial temporal lobe atrophy
temporoparietal cortical atrophy.
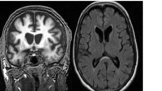
MESIAL TEMPORAL LOBE ATROPHY
hippocampal and parahippocampal decrease in volume,
Indirectly by examining enlargement of the parahippocampal
fissures.
The former is more sensitive and specific but ideally requires actual
volumetric calculations rather than 'eye-balling' the scan
These measures have been combined in the medial temporal atrophy
score which has been shown to be predictive of progression from
mild cognitive impairment (MCI) to dementiA
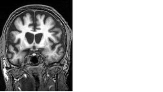
MEDIAL TEMPORAL LOBE ATROPHY
SCORE
visual score performed on MRI of the brain using coronal T1 weighted images through the
hippocampus at the level of the anterior pons and assesses three features
width of the choroid fissure
width of the temporal horn of the lateral ventricle
height of the hippocampus
These result in a score of 0 to 4.
0 = no CSF is visible around the hippocampus
1 = choroid fissure is slightly widened
2 = moderate widening of the choroid fissure, mild enlargement of the temporal horn and
mild loss of hippocampal height
3 = marked widening of the choroid fissure, moderate enlargement of the temporal horn,
and moderate loss of hippocampal height
4 = marked widening of the choroid fissure, marked enlargement of the temporal horn,
and the hippocampus is markedly atrophied and internal structure is lost
In a patient younger than 75 years of age, a score of 2 or more is abnormal.
In a patient 75 years or older, a score of 3 or more is abnormal.
Atrophy has been shown to correlate with likelihood of progression from mild
cognitive impairment (MCI) to dementia 4.
MRI SPECTROSCOPY :
increases in myoinositol (MI) (3.56 ppm) thought to reflect inhibition
of enzyme(s) mediating conversion of MI to phosphatidyl inositol,
decreased N-acetyl aspartate (NAA) (2.02 ppm) indicating decreased
neuronal activity,
TEMPOROPARIETAL CORTICAL
ATROPHY
Parietal atrophy: particularly relevant to posterior cortical atrophy or
early onset Alzheimer disease
the inter-hemispheric surface of the parietal lobe.
TREATMENT AND PROGNOSIS
There is no cure for this disease; some drugs have been developed trying to
improve symptoms or, at least, temporarily slow down their progression.
cholinsterase inhibitors
partial NMDA receptor antagonists
medications for behavioural symptoms
antidepressants
anxiolytics
antiparkinsonian (movement symptoms)
anticonvulsants/sedatives (behavioural)
VASCULAR DEMENTIA
also known as vascular cognitive impairment, .
It is primarily seen in patients with atherosclerosis and chronic
hypertension.
Results from the accumulation of multiple white matter or cortical infarcts,
although cerebral haemorrhages can be variably included
strongly correlated with age, seen in only 1% of patients over the age of 55
years of age, but in over 4% of patients over 71 years of age.
It is also possible to divide vascular dementia into subtypes,
small vessel dementia (aka Binswanger disease)
cortical vascular dementia roughly equivalent to multi-infarct dementia
strategic infarct dementia
thalamic dementia
RADIOGRAPHIC FEATURES
Both CT and MRI are able to provide evidence of ischaemic damage,
MRI is more sensitive, especially to white matter small vessel ischaemic
change as well as to microhaemorrhages seen in cerebral amyloid
angiopathy and chronic hypertensive encephalopathy.
•small vessel dementia (aka Binswanger disease)
•cerebral infarction
•lacunar infarction
•intracerebral haemorrhage
CEREBRAL AMYLOID ANGIOPATHY
SMALL VESSEL DEMENTIA
also known as Binswanger disease
Subcortical arteriosclerotic encephalopathy
refers to slowly progressive, exclusively white-matter, multi-infarct
dementia.
A genetically transmitted form of the disease is known as familial
arteriopathic leukoencephalopathy
or
CADASIL (cerebral autosomal dominant arteriopathy with subcortical
infarcts and leukoencephalopathy).
CLINICAL CRITERIA FOR
DIAGNOSIS
marked subcortical microangiopathic lesions at MR imaging
a negative family history for strokes, early cognitive impairment, or
psychiatric disorders in first- and second-degree relatives
documented arterial hypertension: systolic values higher than 160
mm Hg, diastolic values higher than 95 mm Hg, or both, measured at
several occasions 5
MRI
subcortical and periventricular lesions
visible on T2 FLAIR, T2-weighted, and
proton-density sequences.
commonly grouped around the
frontal and occipital horns, and in the
centrum semi ovale.
Moderate, generalised cerebral
atrophy is invariably present,
and lacunar infarctsin the basal gangli
a and
thalami are common.
CT
Diffuse, incompletely symmetrical hyp
odensities are present in deep
white matter, especially they are
prominent in the frontal lobes and
CEREBRAL AUTOSOMAL DOMINANT
ARTERIOPATHY WITH SUBCORTICAL
INFARCTS AND
LEUKOENCEPHALOPATHY (CADASIL)occurs in the absence of
hypertension and arteriosclerosis
and presents in 71% of cases before
the age of 60 years.
Imaging features demonstrate
severe microvascular changes with
multiple subcortical infarcts
Not distinguishable from
hypertensive type microvascular
disease.
DEMENTIA WITH LEWY BODIES/PD
Neurodegenerative disease (a synucleinopathy to be specific) related to
Parkinson's disease (PD).
Epidemiology
Dementia with Lewy bodies presents in older patients (onset typically in
50-70 years of age), and is sporadic
It is the second most common neurodegenerative cause of dementia in
older patients, after Alzheimer's disease, accounting for 15-20% of case
RADIOGRAPHIC FEATURES
MRI
Atrophy in various parts of the brain without a clearly identified unique
pattern.
Most helpful in distinguishing DLB from other entities resulting in dementia
is the absence of features of other diseases.
generalised decrease in cerebral volume most marked in
frontal lobes ; parietotemporal regions ;
enlargement of the lateral ventricles
relatively focal atrophy
midbrain
hypothalamus
SWALLOW TAIL SIGN
The swallow tail sign describes the
normal axial imaging appearance of
nigrosome-1 within the substantia
nigra on high resolution T2*/SWI
weighted MRI
Absence of the sign (absent swallow tail
sign) is reported to have a diagnostic
accuracy of greater than 90%
for Parkinson disease
Nuclear medicine
Occipital hypoperfusion on SPECT / PET .
May aid in differentiation from other types of dementia, especially
Alzheimer's disease
TREATMENT AND PROGNOSIS
Unlike Parkinson's disease, dementia with Lewy bodies respond less readily
to L-dopa and also may have severe sensitivity reactions to neuroleptic
drugs, such as rigidity, reduced consciousness, pyrexia, falling, postural
hypotension and collapse.
Lewy body dementia also responds favourably to acetylcholinesterase
inhibitors.
DIFFERENTIAL DIAGNOSIS
with strong overlap between:
•Alzheimer's disease
• clinical: may occasionally have similar clinical presentation with a frontal type dementia or posterior
cortical atrophy
• imaging: prominent involvement of hippocampi on imaging
•Fronto-temporal lobar degeneration
• clinical: usually younger onset, absent parkinsonian features, absent visual hallucinations
• imaging: more pronounced frontal / temporal atrophy, L > R asymmetry
FRONTO-TEMPORAL LOBAR
DEGENERATION
Frontotemporal lobar degeneration (FTLD) is the pathological description
of a group of neurodegenerative disorders characterised by focal atrophy
of the frontal and temporal cortices.
rontotemporal lobar degeneration can be divided as follows 3-4:
•behavioural variant fronto-temporal lobar degeneration dementia (bvFTLD), (aka
behavioural variant frontotemporal dementia)1
•language variant fronto-temporal lobar degeneration (lvFTLD), (aka primary
progressive aphasia (PPA)6
• agrammatic variant primary progressive aphasia, (aka progressive non-fluent
aphasia (PNFA)
• semantic variant primary progressive aphasia, (aka semantic dementia)
• logopaenic variant primary progressive aphasia
RADIOGRAPHIC FEATURES
The frontal and temporal lobes are predominantly affected, there is
often striking asymmetry both of involvement of frontal vs temporal
lobes, and involvement of left and right hemispheres.
In addition the degree of fronto-striatal dysfunction varies between
the different FTLD subgroups, with behavioural variant
frontotemporal dementia (bvFTD) having the greatest involvement.
As a result the caudate heads tend to be reduced in size in these
patients, to a much greater degree than in the language variants of
frontotemporal dementia.
BEHAVIOURAL VARIANT FRONTO-
TEMPORAL LOBAR DEGENERATION
(BVFTLD)
also referred to as Pick disease.
.
Patients with behavioural variant FTD typically present with a
dysexecutive cognitive syndrome associated with changes in
personality and social behaviour.
As the disease progresses, impairments in language and memory may
develop and the cognitive phenotype may come to resemble one of
the language variants of FTD.
RADIOGRAPHIC FEATURES
MRI
typical radiographic finding is atrophy of the frontal lobes and, to a
lesser extent, the temporal lobes.
The degree of atrophy can be very asymmetric
Decrease in volume of the caudate heads. This indicates loss of both
efferent and afferent fibres.
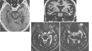
CREUTZFELDT-JAKOB DISEASE
spongiform encephalopathy
Results in a rapidly progressive dementia
other non-specific neurological features.
Three types of Creutzfeldt-Jakob disease have been described
•sporadic (sCJD): accounts for 85-90% of cases
•variant (vCJD)
•familial (fCJD): 10% of cases (these individuals carry a PRPc mutation)
Creutzfeldt-Jakob disease is characterized by rapidly progressive dementia,
cerebral atrophy, myoclonus and death.
Patients with vCJD present mostly with sensory and psychiatric symptoms
Patients with sCJD usually present with progressive cognitive impairment and
cerebellar symptoms.
PATHOLOGY
mediated via (infectious) prions,
a type of protein, which manifest in sheep as the disease scrapie, and
in cows as bovine spongiform encephalopathy.
Prions are considered infectious in sense that they can alter the
structure of neighbouring proteins.
CJD leads to spongiform degeneration of the brain,
the conversion of normal prion protein to proteinaceous infectious
particles that accumulate in and around neurons and lead to cell
death..
RADIOGRAPHIC FEATURES
MRI
MRI findings may be bilateral or unilateral and symmetric or asymmetric,
and include:
T2 hyperintensity
obasal ganglia (putamen and caudate)
othalamus ( hockey stick sign and pulvinar sign)
ocortex: most common early manifestation
owhite matter
persistent restricted diffusion on DWI (considered the most sensitive
sign)
Review of sequential studies also typically demonstrates rapidly
progressive cerebral atrophy.
hypometabolism on 18FDG-PET studies
TREATMENT AND PROGNOSIS
here is currently no curative treatment and the disease is invariably
fatal with a mean survival of only 7 months for most cases.
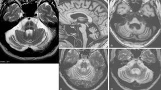
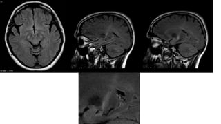
PROGRESSIVE SUPRANUCLEAR
PALSYlso known as the Steele-Richardson-Olszewski syndrome.
Progressive supranuclear palsy typically becomes clinically apparent in
the 6th decade of life,
Progresses to death usually within a decade (2-17 years from
diagnosis)
Progressive supranuclear palsy is characterised
decreased cognition,
abnormal eye movements (supranuclear vertical gaze palsy),
postural instability and falls
as well as parkinsonian features and speech disturbances
RADIOGRAPHIC FEATURES
MRI
midbrain atrophy
reduction of anteroposterior midline midbrain diameter, at the level of
the superior colliculi on axial imaging (from interpeduncular fossa, to
the intercolicular groove: <12mm 8): which can give a mickey mouse
appearance
reduced area of the midbrain on midline sagittal and reduced midbrain
to pons area ratio: approx 0.12 (normal approx 0.24) on midline
sagittal
Loss of the lateral convex margin of the tegmentum of midbrain has
been described as the morning glory sign
hummingbird sign also known as the penguin sign. The key is a
flattening or concave outline to the superior aspect of the midbrain
which should be upwardly convex
•T2: diffuse high-signal lesions in
• pontine tegmentum
• tectum of the midbrain
• inferior olivary nucleus
MICKEY MOUSE APPEARANCE
THE PENGUIN SIGN
MULTIPLE SYSTEM ATROPHY
sporadic neurodegenerative disease
Typically symptoms begin between 40 and 60 years of age.
Clinical presentation is variable, but typically presents in one of three
patterns (initially described as separate entities):
Shy-Drager syndrome is used when autonomic symptoms predominate
striatonigral degeneration shows predominant parkinsonian features
olivopontocerebellar atrophy demonstrates primarily cerebellar
dysfunction
MSA has been divided clinically into 2 forms according to the dominant non-
autonomic symptoms:
MSA-C: predominance of cerebellar symptoms (olivopontocerebellar atrophy)
MSA-P: predominance of parkinsonian signs and symptoms (striatonigral
degeneration)
RADIOGRAPHIC FEATURES
•T2 hyperintensities: typically present in the pontocerebellar tracts
• pons: hot cross bun sign (MSA-C)
• middle cerebellar peduncles
• Cerebellum
putaminal findings in MSA-P :
 reduced volume
 reduced GRE and T2 signal relative to globus pallidus
 reduced GRE and T2 signal relative to red nucleus
 abnormal disruption of the normal high T2 linear rim.,
•MSA-C
• disproportionate atrophy of the cerebellum and brainstem (especially olivary nuclei and middle
cerebellar peduncle)
NUCLEAR MEDICINE
SPECT and PET studies tend to demonstrate hypometabolism in the
superior parietal and superior frontal areas, in the basal ganglia
HUNTINGTON DISEASE
autosomal dominant neurodegenerative disease
a loss of GABAergic neurons of the basal ganglia.
especially atrophy of the caudate nucleus and putamen.
Huntington disease has a prevalence of 5-10 per 100,000 and is
typically diagnosed between 30 and 50 years of age
In approximately 1-6% symptoms occur before the age of 20, so-called
'juvenile' form
Presentation is typically with progressive rigidity, choreoathetosis,
dementia, psychosis and emotional lability.
The juvenile form has a different presentation, with cerebellar
symptoms, rigidity and hypokinesia being prominent.
it is a autosomal dominant with complete penetrance and genetic
anticipation particularly if inherited mutated allele is paternal.
The mutation responsible is on chromosome 4p16:3, and consists of a
CAG trineucleotide repeat.
The usual 10-30 copies are amplified to greater than 36, and the greater the
number of repeats the earlier the age of onset
RADIOGRAPHIC FEATURES
MRI
The most striking, and best known, feature is that of caudate head atrophy resulting in
enlargement of the frontal horns, often giving them a "box" like configuration
This can be quantified by an number of measurements:
•frontal horn width to intercaudate distance ratio (FH/CC)
•intercaudate distance to inner table width ratio (CC/IT)
Juvenile form
putamen are also atrophied, and demonstrate increased T2 signal
basal ganglia may show decrease T2 signal and blooming on SWI in keeping with iron
deposition
. Generalised age inappropriate cortical volume loss is also recognised
FH/CC ratio :normal mean 2.2 to
2.6 (this ratio decreases with
ageing as a result of enlargement
of the frontal horns of the lateral
ventricles).
CC/IT ratio : normal mean 0.09
to 0.12
AMYOTROPHIC LATERAL
SCLEROSIS
also known as Lou Gehrig disease or Charcot disease
Primary degeneration of the motor neurons within the brain, brain
stem, and spinal cord.
Patients typically present with progressive muscle weakness and limb
and truncal atrophy combined with signs of spasticity
Mean age at the time of diagnosis is 55 years.
RADIOGRAPHIC FEATURES
MRI
The earliest MR
manifestation is
hyperintensity on T2WI in
the corticospinal tracts,
seen earliest in the
internal capsule,.
Iron deposition in the
cortex is demonstrated as
loss of signal, most
evident on T2* weighted
sequences
IS IT ATROPHY OR
HYDROCEPHALUS??Abnormal accumulation of CSF in Ventricular system
Results from Structural or functional block to normal flow Of CSF
In effect all are obhstructive
Difficult to differentiate Atrophy from Hydrocephalus >60yrs
Initially show increased ICT
Later stages may reach Equillibrium and Becomes NP hYdrocephalus.
Types
Obstructive
Communicating
NPH – seen typically in old patients. Diagnosis is more based on clinical feature
Dementia, urinary incontinence and gait apraxias + Hydrocephalus = NPH
Radiologically w
1. degeree of ventricular dilatation is
more with Thinning and bowing of CC
2. Sulcal effacement is invariable seen
Hydrocephalus
3. dilatation or rounding of the Temporal
Horns.
4. Rounding and enlargement of the
frontal horns
5. Enlargement and ballooning of 3rd
ventricle
6. Enlargement of fourth ventricle.
SPOTTERS
THANK YOU

Neurodegenerative disorders MRI approach

  • 1.
  • 2.
    AGING OR SENILEATROPHY OF BRAINnormal aging include ventricular and sulcal dilatation owing to cerebral volume loss typically reported as “atrophy” Sulcal dilatation is a prominent feature Despite these structural changes, cerebral metabolism, as measured by positron emission tomography (PET) with the glucose analogues fluorine deoxyglucose (18FDG) and carbon deoxyglucose (11C-2DG), does not decline with age. Neuronal loss is minimal in number and only parenchymal atrophy occurs in most. cerebrospinal fluid (CSF) volume increases approximately twofold parenchymal volume loss rather than cerebral atrophy
  • 3.
    DEMENTIA Wide range ofpathologies 1. Anatomic: abscess, tumor, subdural hematoma, posttraumatic encephalomalacia, diffuse axonal injury. 2. Metabolic: electrolyte imbalance, nutritional deficiency, endocrinopathy, toxic exposure, medications. 3. psychiatric 4. Degenerative: Alzheimer's disease [AD], Parkinson's disease [PD], frontotemporal dementia, dementia with Lewy bodies), vascular (e.g., cerebral infarction, Binswanger's disease, CADASIL 5. infectious/inflammatory : vasculitis, prion disease 6. demyelinating disease: multiple sclerosis 7. paraneoplastic phenomena
  • 5.
    DISEASES Alzheimer's disease vascular dementia Lewybody disease frontotemporal lobar degeneration MISCELLANEOUS: Creutzfeldt-Jakob disease progressive supranuclear palsy (PSP) multiple system atrophy (MSA) Huntington disease corticobasal degeneration CADASIL
  • 6.
    MRI PROTOCOL Three planeimaging* (preferably with the coronal images angled at right angles to the hippocampus) with T1, T2, FLAIR, DWI and T2* sequences T1 sequence: ​volumetric gradient echo e.g. MPRAGE e.g. 0.9mm reformatted in three planes Purpose: anatomical, best for assessing regional volume loss. T2 ​sequence: fast spin echo, whole brain or limited to basal ganglia and posterior fossa (thin e.g. 3mm) purpose: signal intensity of basal ganglia, and posterior fossa structures (often less well seen on FLAIR due to flow artefact)
  • 7.
    FLAIR ​​sequence: whole brainaxial or volumetric purpose: white matter signal abnormality small vessel ischaemia resulting in multi-infarct dementia and abnormal sulcal signal in leptomeningeal processes DWI / ADC (or isometric images from optional DTI acquisition) purpose: cortical or deep grey matter restricted diffusion in Creutzfeldt Jakob disease (CJD) and restriction in demyelination of infarction (e.g. cerebral vasculitis) SWI ​​sequence: SWI including phase and magnitude images purpose: microhaemorrhages (e.g. cerebral amyloid angiopathy (CAA), hypertensive encephalopathy). Mineral deposition in cortex (e.g. Alzheimer's disease, amyotrophic lateral sclerosis (ALS)). Loss of low signal in substantia nigra (Parkinson disease)
  • 8.
    Optional additional sequences DTI(optional): for tractography MR Perfusion: arterial spin labelling or preferably contrast perfusion MR spectroscopy
  • 9.
    SYSTEMATIC APPROACH T1 sagittal A.Midlline corpuscallosum ​the anterior half of the body should be thicker, and certainly not thinner than the posterior half. Upward bowing – Hydrocephalus. midbrain shape, size and midbrain to pons area ratio pons shape should be plump and rounded and about 4 times as large as the midbrain.
  • 10.
    B. Sagittal : medialsurfaces of the frontal, parietal and occipital lobes all the sulci should be about the same size Significant parietal sulcal widening with atrophy of the precuneus and posterior cingulate suggests Alzheimer's disease (AD). anterior to posterior gradient of sulcal size (bigger anteriorly) seen in frontotemporal lobar degeneration. mamillary bodies should be about the same size. Atrophic or asymmetrical mammillary bodies may imply hippocampal pathology or Wernicke-Korsakoff syndrome. upper cervical spine and cord.
  • 11.
    Axial FLAIR &T2 •gyral atrophy, particularly useful for the frontal lobes •widening of the sylvian fissures •hippocampal volume and signal •posterior fossa morphology •Midbrain •Pons •Medulla •Cerebellum •Wernicke pattern high T2 signal (ventromedial thalamus, mammillary bodies, periaqueductal grey matter) •Cortical white matter changes.
  • 12.
    T2 axial imagingis often better for basal ganglia structures and posterior fossa. Assess for: reversal of normal T2 signal of putamen vs globus pallidus of MSA-P atrophic caudate heads of Huntington's disease size and flow void in aqueduct (usually prominent in NPH)
  • 13.
    3. Coronal sequences •hippocampal,choroidal fissure and temporal horn size •symmetry • left > right atrophy favours FTLD • equal involvement favours Alzheimer's disease •anterior to posterior gradient • anterior atrophy > posterior atrophy favours FTLD •involvement of the temporal lobe generally favours FTLD •atrophy largely restricted to the hippocampus and parahippocampal gyrus favours Alzheimer's disease •mammillary body size, signal and symmetry
  • 14.
    4. T2* sequences Sequencessusceptible to blood products are particularly useful in assessing: •microhaemorrhages • peripherally distributed in cerebral amyloid angiopathy which in turn is associate with Alzheimer's disease •centrally distributed (basal ganglia / pons / cerebellum) in chronic hypertensive encephalophathy 5. DWI DWI has a limited role in the assessment of a patient with a suspected neurodegenerative disease Crucial particularly for Creutzfeldt-Jakob disease: look for cortical, basal ganglia and thalamic restricted diffusion.
  • 15.
    SCORING SYSTEMS AND MEASUREMENTS •Fazekasscale for white matter lesions: the deep white matter component is used in assessing the amount of chronic small vessel ischaemic change •posterior atrophy score of parietal atrophy (PA or PCA or Koedam score): useful in atypical (posterior cortical atrophy) or early onset Alzheimer's disease. •medial temporal lobe atrophy score (MTA score) •global cortical atrophy scale (GCA scale) A number of measurements / ratios are also useful: midbrain to pons area ratio (for PSP) magnetic resonance parkinsonism index (MRPI) (for PSP)
  • 16.
    ALZHEIMER DISEASE Alzheimer disease(AD) is a common neurodegenerative disease, responsible for the majority of all dementias, and imposing a significant burden on developed nations. Most common cause of dementia, and accounts for two thirds of cases of dementia in patients aged 60-70 years. Epidemiological risk factor : advanced age, female gender, apolipoprotein E (APOE) ε4 allele carrier status current smoking family history of dementia
  • 17.
    Classical/typical Alzheimer disease: withantegrade episodic memory deficits. Neuropsychiatric symptoms are also common, and eventually affect almost all patients. These include apathy, depression, anxiety, aggression/agitation, and psychosis. Atypical/variant Alzheimer disease: These entities, often recognised clinically well before they were identified to be pathologically identical to Alzheimer disease slowly progressive focal cortical atrophy, with symptoms and signs matched to the affected area Examples include: posterior cortical atrophy frontal variant of Alzheimer disease a minority of cases of semantic dementia
  • 18.
    Pathology Alzheimer disease ischaracterised by the accumulation of senile (neuritic) plaques, neuritic (neurofibrillary) tangles, and progressive loss of neurons The progression of pathology initially involves the transentorhinal region and then spreads to the hippocampal complex and mesial temporal lobe structures and eventually the temporal lobes and basal forebrain.
  • 19.
    RADIOGRAPHIC FEATURES The primaryrole of MRI (and CT) in the diagnosis of Alzheimer disease is the assessment of volume change in characteristic locations which can yield a diagnostic accuracy of up to 87%. The diagnosis should be made on the basis of two features: mesial temporal lobe atrophy temporoparietal cortical atrophy.
  • 20.
    MESIAL TEMPORAL LOBEATROPHY hippocampal and parahippocampal decrease in volume, Indirectly by examining enlargement of the parahippocampal fissures. The former is more sensitive and specific but ideally requires actual volumetric calculations rather than 'eye-balling' the scan These measures have been combined in the medial temporal atrophy score which has been shown to be predictive of progression from mild cognitive impairment (MCI) to dementiA
  • 22.
    MEDIAL TEMPORAL LOBEATROPHY SCORE visual score performed on MRI of the brain using coronal T1 weighted images through the hippocampus at the level of the anterior pons and assesses three features width of the choroid fissure width of the temporal horn of the lateral ventricle height of the hippocampus These result in a score of 0 to 4. 0 = no CSF is visible around the hippocampus 1 = choroid fissure is slightly widened 2 = moderate widening of the choroid fissure, mild enlargement of the temporal horn and mild loss of hippocampal height 3 = marked widening of the choroid fissure, moderate enlargement of the temporal horn, and moderate loss of hippocampal height 4 = marked widening of the choroid fissure, marked enlargement of the temporal horn, and the hippocampus is markedly atrophied and internal structure is lost
  • 23.
    In a patientyounger than 75 years of age, a score of 2 or more is abnormal. In a patient 75 years or older, a score of 3 or more is abnormal. Atrophy has been shown to correlate with likelihood of progression from mild cognitive impairment (MCI) to dementia 4.
  • 24.
    MRI SPECTROSCOPY : increasesin myoinositol (MI) (3.56 ppm) thought to reflect inhibition of enzyme(s) mediating conversion of MI to phosphatidyl inositol, decreased N-acetyl aspartate (NAA) (2.02 ppm) indicating decreased neuronal activity,
  • 25.
    TEMPOROPARIETAL CORTICAL ATROPHY Parietal atrophy:particularly relevant to posterior cortical atrophy or early onset Alzheimer disease the inter-hemispheric surface of the parietal lobe.
  • 26.
    TREATMENT AND PROGNOSIS Thereis no cure for this disease; some drugs have been developed trying to improve symptoms or, at least, temporarily slow down their progression. cholinsterase inhibitors partial NMDA receptor antagonists medications for behavioural symptoms antidepressants anxiolytics antiparkinsonian (movement symptoms) anticonvulsants/sedatives (behavioural)
  • 27.
    VASCULAR DEMENTIA also knownas vascular cognitive impairment, . It is primarily seen in patients with atherosclerosis and chronic hypertension. Results from the accumulation of multiple white matter or cortical infarcts, although cerebral haemorrhages can be variably included strongly correlated with age, seen in only 1% of patients over the age of 55 years of age, but in over 4% of patients over 71 years of age. It is also possible to divide vascular dementia into subtypes, small vessel dementia (aka Binswanger disease) cortical vascular dementia roughly equivalent to multi-infarct dementia strategic infarct dementia thalamic dementia
  • 28.
    RADIOGRAPHIC FEATURES Both CTand MRI are able to provide evidence of ischaemic damage, MRI is more sensitive, especially to white matter small vessel ischaemic change as well as to microhaemorrhages seen in cerebral amyloid angiopathy and chronic hypertensive encephalopathy. •small vessel dementia (aka Binswanger disease) •cerebral infarction •lacunar infarction •intracerebral haemorrhage
  • 29.
  • 31.
    SMALL VESSEL DEMENTIA alsoknown as Binswanger disease Subcortical arteriosclerotic encephalopathy refers to slowly progressive, exclusively white-matter, multi-infarct dementia. A genetically transmitted form of the disease is known as familial arteriopathic leukoencephalopathy or CADASIL (cerebral autosomal dominant arteriopathy with subcortical infarcts and leukoencephalopathy).
  • 32.
    CLINICAL CRITERIA FOR DIAGNOSIS markedsubcortical microangiopathic lesions at MR imaging a negative family history for strokes, early cognitive impairment, or psychiatric disorders in first- and second-degree relatives documented arterial hypertension: systolic values higher than 160 mm Hg, diastolic values higher than 95 mm Hg, or both, measured at several occasions 5
  • 33.
    MRI subcortical and periventricularlesions visible on T2 FLAIR, T2-weighted, and proton-density sequences. commonly grouped around the frontal and occipital horns, and in the centrum semi ovale. Moderate, generalised cerebral atrophy is invariably present, and lacunar infarctsin the basal gangli a and thalami are common. CT Diffuse, incompletely symmetrical hyp odensities are present in deep white matter, especially they are prominent in the frontal lobes and
  • 34.
    CEREBRAL AUTOSOMAL DOMINANT ARTERIOPATHYWITH SUBCORTICAL INFARCTS AND LEUKOENCEPHALOPATHY (CADASIL)occurs in the absence of hypertension and arteriosclerosis and presents in 71% of cases before the age of 60 years. Imaging features demonstrate severe microvascular changes with multiple subcortical infarcts Not distinguishable from hypertensive type microvascular disease.
  • 35.
    DEMENTIA WITH LEWYBODIES/PD Neurodegenerative disease (a synucleinopathy to be specific) related to Parkinson's disease (PD). Epidemiology Dementia with Lewy bodies presents in older patients (onset typically in 50-70 years of age), and is sporadic It is the second most common neurodegenerative cause of dementia in older patients, after Alzheimer's disease, accounting for 15-20% of case
  • 36.
    RADIOGRAPHIC FEATURES MRI Atrophy invarious parts of the brain without a clearly identified unique pattern. Most helpful in distinguishing DLB from other entities resulting in dementia is the absence of features of other diseases. generalised decrease in cerebral volume most marked in frontal lobes ; parietotemporal regions ; enlargement of the lateral ventricles relatively focal atrophy midbrain hypothalamus
  • 37.
    SWALLOW TAIL SIGN Theswallow tail sign describes the normal axial imaging appearance of nigrosome-1 within the substantia nigra on high resolution T2*/SWI weighted MRI Absence of the sign (absent swallow tail sign) is reported to have a diagnostic accuracy of greater than 90% for Parkinson disease
  • 39.
    Nuclear medicine Occipital hypoperfusionon SPECT / PET . May aid in differentiation from other types of dementia, especially Alzheimer's disease
  • 40.
    TREATMENT AND PROGNOSIS UnlikeParkinson's disease, dementia with Lewy bodies respond less readily to L-dopa and also may have severe sensitivity reactions to neuroleptic drugs, such as rigidity, reduced consciousness, pyrexia, falling, postural hypotension and collapse. Lewy body dementia also responds favourably to acetylcholinesterase inhibitors.
  • 41.
    DIFFERENTIAL DIAGNOSIS with strongoverlap between: •Alzheimer's disease • clinical: may occasionally have similar clinical presentation with a frontal type dementia or posterior cortical atrophy • imaging: prominent involvement of hippocampi on imaging •Fronto-temporal lobar degeneration • clinical: usually younger onset, absent parkinsonian features, absent visual hallucinations • imaging: more pronounced frontal / temporal atrophy, L > R asymmetry
  • 42.
    FRONTO-TEMPORAL LOBAR DEGENERATION Frontotemporal lobardegeneration (FTLD) is the pathological description of a group of neurodegenerative disorders characterised by focal atrophy of the frontal and temporal cortices. rontotemporal lobar degeneration can be divided as follows 3-4: •behavioural variant fronto-temporal lobar degeneration dementia (bvFTLD), (aka behavioural variant frontotemporal dementia)1 •language variant fronto-temporal lobar degeneration (lvFTLD), (aka primary progressive aphasia (PPA)6 • agrammatic variant primary progressive aphasia, (aka progressive non-fluent aphasia (PNFA) • semantic variant primary progressive aphasia, (aka semantic dementia) • logopaenic variant primary progressive aphasia
  • 43.
    RADIOGRAPHIC FEATURES The frontaland temporal lobes are predominantly affected, there is often striking asymmetry both of involvement of frontal vs temporal lobes, and involvement of left and right hemispheres. In addition the degree of fronto-striatal dysfunction varies between the different FTLD subgroups, with behavioural variant frontotemporal dementia (bvFTD) having the greatest involvement. As a result the caudate heads tend to be reduced in size in these patients, to a much greater degree than in the language variants of frontotemporal dementia.
  • 44.
    BEHAVIOURAL VARIANT FRONTO- TEMPORALLOBAR DEGENERATION (BVFTLD) also referred to as Pick disease. . Patients with behavioural variant FTD typically present with a dysexecutive cognitive syndrome associated with changes in personality and social behaviour. As the disease progresses, impairments in language and memory may develop and the cognitive phenotype may come to resemble one of the language variants of FTD.
  • 45.
    RADIOGRAPHIC FEATURES MRI typical radiographicfinding is atrophy of the frontal lobes and, to a lesser extent, the temporal lobes. The degree of atrophy can be very asymmetric Decrease in volume of the caudate heads. This indicates loss of both efferent and afferent fibres.
  • 48.
    CREUTZFELDT-JAKOB DISEASE spongiform encephalopathy Resultsin a rapidly progressive dementia other non-specific neurological features. Three types of Creutzfeldt-Jakob disease have been described •sporadic (sCJD): accounts for 85-90% of cases •variant (vCJD) •familial (fCJD): 10% of cases (these individuals carry a PRPc mutation)
  • 49.
    Creutzfeldt-Jakob disease ischaracterized by rapidly progressive dementia, cerebral atrophy, myoclonus and death. Patients with vCJD present mostly with sensory and psychiatric symptoms Patients with sCJD usually present with progressive cognitive impairment and cerebellar symptoms.
  • 50.
    PATHOLOGY mediated via (infectious)prions, a type of protein, which manifest in sheep as the disease scrapie, and in cows as bovine spongiform encephalopathy. Prions are considered infectious in sense that they can alter the structure of neighbouring proteins. CJD leads to spongiform degeneration of the brain, the conversion of normal prion protein to proteinaceous infectious particles that accumulate in and around neurons and lead to cell death..
  • 51.
    RADIOGRAPHIC FEATURES MRI MRI findingsmay be bilateral or unilateral and symmetric or asymmetric, and include: T2 hyperintensity obasal ganglia (putamen and caudate) othalamus ( hockey stick sign and pulvinar sign) ocortex: most common early manifestation owhite matter persistent restricted diffusion on DWI (considered the most sensitive sign) Review of sequential studies also typically demonstrates rapidly progressive cerebral atrophy.
  • 52.
  • 54.
    TREATMENT AND PROGNOSIS hereis currently no curative treatment and the disease is invariably fatal with a mean survival of only 7 months for most cases.
  • 55.
    PROGRESSIVE SUPRANUCLEAR PALSYlso knownas the Steele-Richardson-Olszewski syndrome. Progressive supranuclear palsy typically becomes clinically apparent in the 6th decade of life, Progresses to death usually within a decade (2-17 years from diagnosis) Progressive supranuclear palsy is characterised decreased cognition, abnormal eye movements (supranuclear vertical gaze palsy), postural instability and falls as well as parkinsonian features and speech disturbances
  • 56.
    RADIOGRAPHIC FEATURES MRI midbrain atrophy reductionof anteroposterior midline midbrain diameter, at the level of the superior colliculi on axial imaging (from interpeduncular fossa, to the intercolicular groove: <12mm 8): which can give a mickey mouse appearance reduced area of the midbrain on midline sagittal and reduced midbrain to pons area ratio: approx 0.12 (normal approx 0.24) on midline sagittal Loss of the lateral convex margin of the tegmentum of midbrain has been described as the morning glory sign hummingbird sign also known as the penguin sign. The key is a flattening or concave outline to the superior aspect of the midbrain which should be upwardly convex
  • 57.
    •T2: diffuse high-signallesions in • pontine tegmentum • tectum of the midbrain • inferior olivary nucleus
  • 58.
  • 59.
  • 60.
    MULTIPLE SYSTEM ATROPHY sporadicneurodegenerative disease Typically symptoms begin between 40 and 60 years of age. Clinical presentation is variable, but typically presents in one of three patterns (initially described as separate entities): Shy-Drager syndrome is used when autonomic symptoms predominate striatonigral degeneration shows predominant parkinsonian features olivopontocerebellar atrophy demonstrates primarily cerebellar dysfunction
  • 61.
    MSA has beendivided clinically into 2 forms according to the dominant non- autonomic symptoms: MSA-C: predominance of cerebellar symptoms (olivopontocerebellar atrophy) MSA-P: predominance of parkinsonian signs and symptoms (striatonigral degeneration)
  • 62.
    RADIOGRAPHIC FEATURES •T2 hyperintensities:typically present in the pontocerebellar tracts • pons: hot cross bun sign (MSA-C) • middle cerebellar peduncles • Cerebellum putaminal findings in MSA-P :  reduced volume  reduced GRE and T2 signal relative to globus pallidus  reduced GRE and T2 signal relative to red nucleus  abnormal disruption of the normal high T2 linear rim., •MSA-C • disproportionate atrophy of the cerebellum and brainstem (especially olivary nuclei and middle cerebellar peduncle)
  • 64.
    NUCLEAR MEDICINE SPECT andPET studies tend to demonstrate hypometabolism in the superior parietal and superior frontal areas, in the basal ganglia
  • 65.
    HUNTINGTON DISEASE autosomal dominantneurodegenerative disease a loss of GABAergic neurons of the basal ganglia. especially atrophy of the caudate nucleus and putamen. Huntington disease has a prevalence of 5-10 per 100,000 and is typically diagnosed between 30 and 50 years of age In approximately 1-6% symptoms occur before the age of 20, so-called 'juvenile' form Presentation is typically with progressive rigidity, choreoathetosis, dementia, psychosis and emotional lability. The juvenile form has a different presentation, with cerebellar symptoms, rigidity and hypokinesia being prominent.
  • 66.
    it is aautosomal dominant with complete penetrance and genetic anticipation particularly if inherited mutated allele is paternal. The mutation responsible is on chromosome 4p16:3, and consists of a CAG trineucleotide repeat. The usual 10-30 copies are amplified to greater than 36, and the greater the number of repeats the earlier the age of onset
  • 67.
    RADIOGRAPHIC FEATURES MRI The moststriking, and best known, feature is that of caudate head atrophy resulting in enlargement of the frontal horns, often giving them a "box" like configuration This can be quantified by an number of measurements: •frontal horn width to intercaudate distance ratio (FH/CC) •intercaudate distance to inner table width ratio (CC/IT) Juvenile form putamen are also atrophied, and demonstrate increased T2 signal basal ganglia may show decrease T2 signal and blooming on SWI in keeping with iron deposition . Generalised age inappropriate cortical volume loss is also recognised
  • 69.
    FH/CC ratio :normalmean 2.2 to 2.6 (this ratio decreases with ageing as a result of enlargement of the frontal horns of the lateral ventricles). CC/IT ratio : normal mean 0.09 to 0.12
  • 70.
    AMYOTROPHIC LATERAL SCLEROSIS also knownas Lou Gehrig disease or Charcot disease Primary degeneration of the motor neurons within the brain, brain stem, and spinal cord. Patients typically present with progressive muscle weakness and limb and truncal atrophy combined with signs of spasticity Mean age at the time of diagnosis is 55 years.
  • 71.
    RADIOGRAPHIC FEATURES MRI The earliestMR manifestation is hyperintensity on T2WI in the corticospinal tracts, seen earliest in the internal capsule,. Iron deposition in the cortex is demonstrated as loss of signal, most evident on T2* weighted sequences
  • 73.
    IS IT ATROPHYOR HYDROCEPHALUS??Abnormal accumulation of CSF in Ventricular system Results from Structural or functional block to normal flow Of CSF In effect all are obhstructive Difficult to differentiate Atrophy from Hydrocephalus >60yrs Initially show increased ICT Later stages may reach Equillibrium and Becomes NP hYdrocephalus. Types Obstructive Communicating NPH – seen typically in old patients. Diagnosis is more based on clinical feature Dementia, urinary incontinence and gait apraxias + Hydrocephalus = NPH
  • 74.
    Radiologically w 1. degereeof ventricular dilatation is more with Thinning and bowing of CC 2. Sulcal effacement is invariable seen Hydrocephalus 3. dilatation or rounding of the Temporal Horns. 4. Rounding and enlargement of the frontal horns 5. Enlargement and ballooning of 3rd ventricle 6. Enlargement of fourth ventricle.
  • 75.
  • 81.

Editor's Notes

  • #3 between young (ages 20 to 30) and older (ages 60 to 80) normal subjects
  • #4 Radiologic assessment, traditionally and currently, is used to rule out the presence of some treatable causes of dementia
  • #5 CURRENT MOSTLY ACCEPTED CLASSIFICATION SYSTEM IS BASED ON TYPE OF PROTEIN AFFECTED .. AND NO IMAGING CLASSIFICATION IS AVAILABLE …
  • #6 Cerebral autosomal dominant Arteriopathy with subdortical infarcts and Leukoencephalopathy
  • #7 *sagittal, coronal and axial is obtained,
  • #10 If thinner a degree of frontal lobe atrophy should be immediately suspected. ​ 2. roughly the area of the midbrain should be about a quarter of the pons
  • #17 clinically characterised by predominantly memory deficits, at least in initial stage
  • #18 Semantic variant primary progressive aphasia, also known as semantic dementia (SD) is one of the clinical neurodegenerative diseases associated with fronto-temporal lobar degeneration (FTLD). It is a subtype of the language variant front-temporal dementias.
  • #19  Coronal diagram shows the medial temporal lobe structures, including the perihippocampal fissures. The medial aspect is to the left, and the lateral aspect is to the right. The perihippocampal fissures are visible but are not dilated. The choroid plexus (Ch) and the fimbria (F) form a physical barrier between the temporal horn (TH) and the choroidal fissure (CF). CN, caudate nucleus; H, hippocampus; HF, hippocampal fissure; PMC, perimesencephalic cistern; S, subiculum; TFB, transverse fissure of Bichat. Compared to the normal brain anatomy in Figure 7-3, there is volume loss of the hippocampus and corresponding dilatation of the perihippocampal fissures. The choroid plexus (Ch) and the fimbria (F) form a physical barrier between the temporal horn (TH) and the choroidal fissure (CF). CN, caudate nucleus; H, hippocampus; HF, hippocampal fissure; PMC, perimesencephalic cistern; S, subiculum; TFB transverse fissure of Bichat.
  • #20 Although CT is able to demonstrate the characteristic patterns of cortical atrophy, MRI is more sensitive to these changes, and better able to exclude other causes of dementia (e.g. multi-infarct dementia) and as such is the favoured modality.
  • #22 demonstrates an area of decreased density in the medial aspect of the temporal lobe. Mri shows cortical atrophy and dilated temporal horn of LV
  • #23 The Medial temporal lobe atrophy (MTA) score is useful in distinguishing patients with mild cognitive impairment and Alzheimer's disease from those without impairment 2 is helpful in the assessment of patients with possible dementia (see neurodegenerative MRI brain - an approach). It is a visual score performed on MRI of the brain using coronal T1 weighted images through the hippocampus at the level of the anterior pons and assesses three features 1,3
  • #24 These structural changes are accompanied by corresponding functional deficits including decreased glucose metabolism, shown by PET using 18FDG or 11C-2DG, and decreased regional cerebral perfusion, shown by single photon emission computed tomography (SPECT
  • #26 examining the posterior cingulate sulcal and parieto-occipital sulcal size and degree of atrophy of the pre-cuneus and cortical surface of the parietal lobe
  • #27 aka Koedam score
  • #29 is the second most common cause of dementia after the far more common Alzheimer's disease
  • #31 Cerebral amyloid angiopathy (CAA) is a cerebrovascular disorder that tends to manifest in normotensive elderly patients. It is common and most often presents clinically as an intracerebral haemorrhage 1. It is usually not associated with systemic amyloidosis.
  • #35 Differential diagnosis CADASIL: classically, lesions involve anterior temporal and superior frontal lobes which are uncommonly involved in SAE. Also arcuate fibers are more likely to be affected in CADASIL. Low signal intensity of the basal ganglia and dentate nuclei of the cerebellum are more pronounced in CADASIL compared to the SAE
  • #37 Synucleinopathies are a subgroup of neurodegenerative diseases, characterised by impairment of alpha-synuclein metabolism, resulting in abnormal intracellular deposits and can further be divided into those with and those without the formation of Lewy bodies 1-2: diseases with Lewy bodies Parkinson disease / Parkinson disease dementia Lewy body disease multiple systemic atrophy (MSA) pure autonomic failure rapid eye movement (REM) sleep behavior disorder
  • #38  the hippocampi remain normal in size, helping to distinguish Lewy body disease from Alzheimer's disease
  • #40 Substantia nigra anatomy on 3T SWI MRI. Anatomical structures: 1 red nucleus, 2 midbrain tegmentum, 3 aqueduct, 4 periaqueductal grey, 5 medial leminiscus, 6 nigrosome-1, 7 substantia nigra, 8 cerebral peduncle, 9 mammillary body, 10 inter-peduncular fossa, 11 optic radiation, 12 3rd ventricle, 13 temporal lobe, 14 cerebellum, 15 frontal lobe. Images
  • #43 It is important to realize that there is significant overlap between manyneurodegenerative diseases, and that a clear cut distinction between entities is not always possible. In the case of dementia with Lewy bodies, this is particularly the case, with strong overlap between:
  • #44 The term Pick disease should probably be avoided when discussing clinical presentation. Rather it should be reserved for the pathological entity characterised by Pick bodies.
  • #46 although the term should probably be avoided as it denotes a particular histology. 
  • #53 he hockey stick sign refers to the hyperintense signal involving the pulvinar and dorsomedial thalamic nuclei bilaterally on FLAIR, in cases of variant Creutzfeldt-Jakob disease (vCJD), which has the shape of a hockey stick.
  • #54 DWI ADC FLAIR
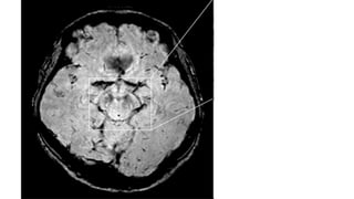
  • #55  Hyperintensity of all deep gray-matter nuclei, with the pulvinar (large arrow) hyperintense to both the caudate head (small double arrows) and putamen (arrowhead). This is the appearance of the pulvinar sign. The hockey stick sign refers to the hyperintense signal involving the pulvinar and dorsomedial thalamic nuclei bilaterally on FLAIR, in cases of variant Creutzfeldt-Jakob disease (vCJD), which has the shape of a hockey stick.
  • #60 reduction of anteroposterior midline midbrain diameter, at the level of the superior colliculi on axial imaging (from interpeduncular fossa, to the intercolicular groove: <12mm 8): which can give a mickey mouse appearance
  • #61 The key is a flattening or concave outline to the superior aspect of the midbrain which should be upwardly convex
  • #63 ome older texts refer to MSA-A to denote Shy-Drager syndrome. In the latest consensus however autonomic symptoms are considered part of both MSA-C and MSA-P and thus the term MSA-A is no longer used.
  • #65  of the transverse fibers of the pons, the cerebellum, the middle cerebellar peduncles, and the inferior olives
  • #67  In juvenile cases having inherited the disease from the father is far more common
  • #68 anticipation (i.e. next generation will have more severe course of the disease or show symptoms earlier
  • #73 in the internal capsule, as the fibers are most concentrated hereas the fibers are most concentrated here. Eventually the entire tract from motor strip to the spinal cord is affected with increased T2 signal and volume loss
  • #74 MR spectroscopy 2: decreased NAA decreased glutamate increased choline increased myoinositol
  • #75 Hydrocephalus Ex vacuo is used sometimes to say atrophy. AD can coexisit with NPH
  • #76 Question is thn how to distinguish the Hydrocephalus from the Atrophy Clinically atrophy will have far more cognitive impairment. In Atrophy sulcal spaces will be more promionent with atrophy of the Gyri. In atrophy the sulcal spaces will be widened more than the ventricular enlargement . 5. In atrophy the wall will be parallel so no ballooning .
  • #82 Which disease /.////////clue is ICE bucket challenge