Embed presentation
Downloaded 262 times











































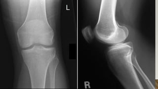
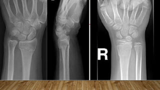
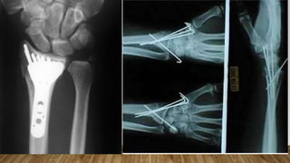
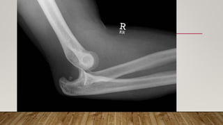
This document discusses radiology and the use of x-rays. It begins with an introduction to radiology and x-rays, noting their importance as the "father of medical investigations." It then discusses anatomy as seen on radiographs and whether x-rays are enough. The document goes on to compare gross views to radiological views, noting what each can and cannot show. It highlights important figures in the development of radiology, from x-rays to CT, MRI, and ultrasound. Specific anatomical structures visible on upper and lower limb x-rays are listed. The document concludes by discussing how pathologies appear on x-rays and the importance of clinical history and knowledge when interpreting radiological images.









































