Approach to mammogram
General breast anatomy
• Conical, round or hemispherical shape

• Comprised of 15-20 lobes, each encased in fascial sheath defined by AMF
& PMF
• Extends from 2nd or 3rd intercostal space to 6th or 7th intercostal space
• Extends laterally to anterior axillary fold and medially to lateral sternum
• Relationship to chest wall
• Superior two-thirds overlies pectoralis major muscle
• Lateral portions overly serratus anterior muscle
• Inferior-most margin overlies upper abdominaloblique muscles
• Axillary tail of Spence: Extension of normal breast
• tissue toward axilla
ZONAL ANATOMY
• Premammary (Subcutaneous) Zone
• Most superficial zone
• Anterior margin defined by skin, posterior margin
defined by AMF
• Contains subcutaneous fat, blood
vessels, anteriorsuspensory (Cooper) ligaments
• May contain ectopic ducts and TDLUs ASLs(Cooper
ligaments)
• Formed from two leaflets of AMF inserting into dermis
• Provide support for breast
• Usually visible on mammograms and sonograms
• Mammary Zone
• Defined anteriorly by AMF and posteriorly by PMF
• Contains majority of ducts/TDLUs, stromal fat and
stromal connective tissue
• Subdivided haphazardly by interspersed ASLs.
• Retromammary Zone
• Most posterior of three zones
• Defined anteriorly by PMF and posteriorly by chest
wall
• Contains fat and PSLs which attach PMF to chest wall
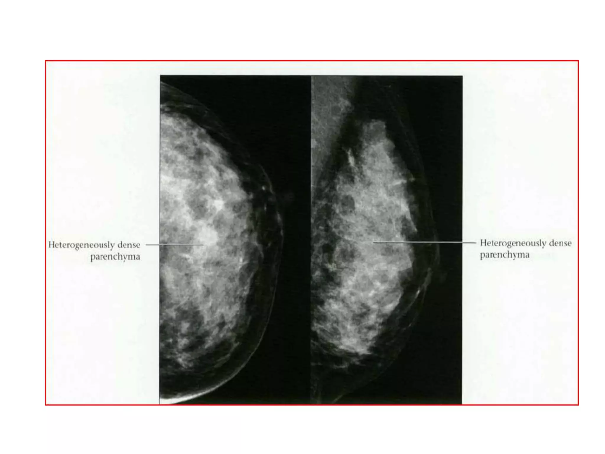
BI-RADS BREAST COMPOSITION
• The American College of Radiology Breast
Imaging and Reporting Database System (BIRADS)divides breast composition into four
categories:
• 1) almost entirely fat,
• 2) scattered fibroglandular densities
(approximately 25-50% glandular),
• 3) heterogeneously dense (51-75% glandular),
• 4) extremely dense (greater than 75% glandular).
BIRADS

INFERENCE

0

Needs additional
imaging evaluation

1
2

RISK OF
MALIG.

Negative/ Normal
Benign Findings.

•Fat containing.
•Benign
Intramammary LN
•Benign
Calcifications

No further
evaluation needed
3

Probably Benign.
Short term Follow
up is suggested

TYPICAL EXAMPLES

=< 2 %

Round, oval or
lobulated lesion
with
circumscribed
margins.
4

Suspicious
Abnormality.

3 – 94 %

Biopsy should be
considered
5

6

Highly
suggestive of
malignancy
Appropriate
intervention to
be taken
Biopsy proven
Malignancy

> 95%

Irregular shaped,
spiculated
margins.
MASS

CALCIFICATION

ASYMMETRIC
BREAST FINDINGS

INTRAMAMMARY

TUBULAR
DENSITY

ARCHITECTURAL
DISTORTION

LYMPHNODE

OTHER
ASSOCIATED
FINDINGS
MASS

CALCIFICATION

ASYMMETRIC
BREAST FINDINGS

INTRAMAMMARY

TUBULAR
DENSITY

ARCHITECTURAL
DISTORTION

LYMPHNODE

OTHER
ASSOCIATED
FINDINGS
SOL seen in two different projections and have
convex borders.
1. SIZE
2. SHAPE
3. MARGINS
4. DENSITY
5. CALCIFICATION
SHAPE
MARGINS
DENSITY

 High
 Iso
 Low ( not fat)
 Fat containing
 Oil cysts
 Lipoma
 Galactocele
 Hamartomas
 Fibroadenolipomas
MASS

CALCIFICATION

ASYMMETRIC
BREAST FINDINGS

INTRAMAMMARY

TUBULAR
DENSITY

ARCHITECTURAL
DISTORTION

LYMPH NODE

OTHER
ASSOCIATED
FINDINGS
Morphology

Distribution

Number

Size
MORPHOLOGY

BENIGN

INTERMEDIATE
CONCERN OR
SUSPICIOUS
CALCIFICATION

HIGH PROBABILITY
OF MALIGNANCY
MORPHOLOGY: Benign

Skin Calcification
Vascular Calcification
Popcorn Calcification
Rod like Calcification
Lucent Centered Deposits
Eggshell/ Rim Calcification
Precipitated Calcification in milk of calcium.
Large Dystrophic Calcification
Skin Calcification
Tattoo Sign
Usually located along
inframammary fold
parasternally, axilla
and areola.
Can be seen in the
skin which is enface
Vascular Calcification

Linear or parallel tracks
that are usually clearly
associated with blood
vessels.
Popcorn Calcification
Involuting
Fibroadenoma
Rod like calcification
Within ectatic ducts due
to secretory deposits
and follow ductal
distribution radiating
towards nipple.
May be continuous or
discontinuous and may
show branching.
Differentiate from
malignant fine branching
calcifications.
Lucent centered deposits
Fat Necrosis
Calcified Debris in
ducts
Occasionally in
Fibroadenoms
Eggshell or Rim Calcification
Wall of the Cyst.
Fat Necrosis.
Periphery of
Fibroadenoma
Milk of Calcium
Are benign sedimented
calcification in macro or
micro cysts.
Typical feature is apparent
change in shape on different
projections.
• Whenever there is possibility of milk of calcium
consider magnification medio-lateral spot film
Dystrophic Calcification
Coarse irregular lava
shaped calcification.
In irradiated breast
or following trauma
Round calcification
>0.5 mm.
In fibrocystic changes
or adenosis or skin
calcification.
MORPHOLOGY: Intermediate Concern

RISK

OF

MALIGNANCY
Amorphous or indistict calcification
 Calcification without a clearly
defined shape or form. They
are usually so small or hazy in
appearance, that a more
specific morphologic
classification can not be
determined.
 Present in many benign and
malignant breast diseases.
About 20% of amorphous
calcifications turns out to be
malignant.
Coarse Heterogenous
Irregular calcification
that are usually larger
than 0.5 mm but not
the size of large
heterogenous
dystrophic
calcifications.
MORPHOLOGY: High Probability of Malignancy

Fine Pleomorphic:
< 0.5 mm
Variable in
size, density or form
25 – 40% risk of
malignancy
Fine Linear or Branching

< 0.5mm in width.
Linear or branching
distribution
• As compared to Malignant Calcification, Benign
Calcifications are:
– Larger
– Coarser
– Round and smooth
– Easily seen.
MASS

CALCIFICATION

ASYMMETRIC
BREAST FINDINGS

INTRAMAMMARY

TUBULAR
DENSITY

ARCHITECTURAL
DISTORTION

LYMPHNODE

OTHER
ASSOCIATED
FINDINGS
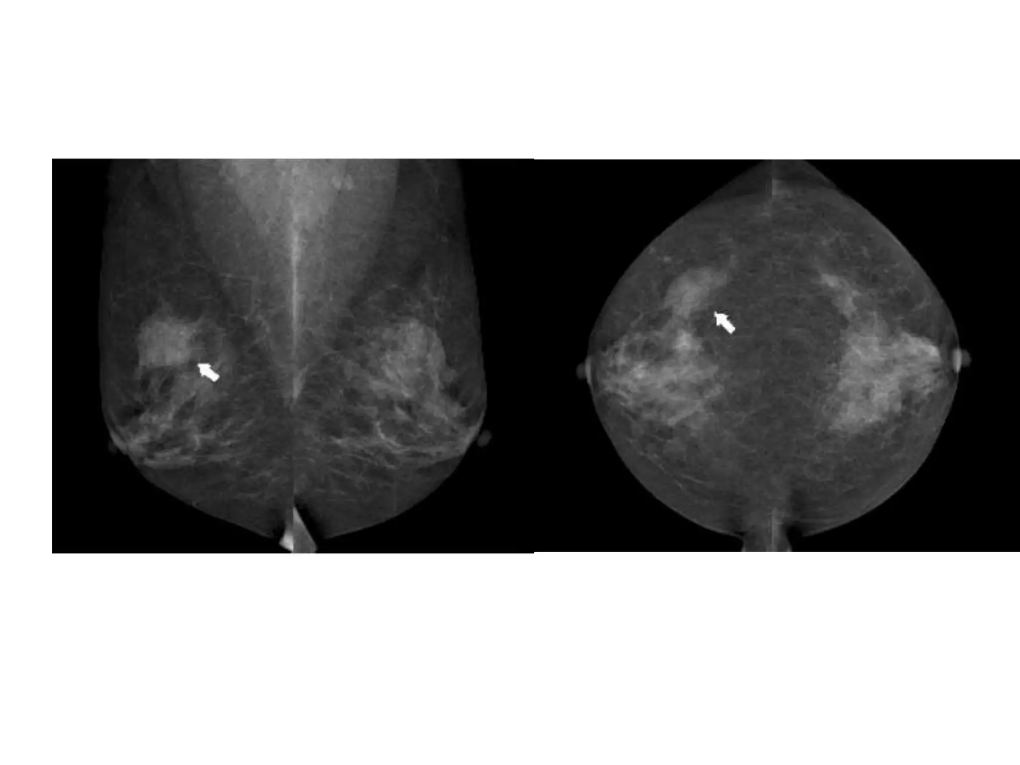
• In contrast to a mass, which is a 3-D structure
demonstrating convex outward borders and which is
usually evident on two orthogonal views, asymmetric
findings lack the convex outward borders and the
conspicuity typical of a mass.
ASYMMETRIC
BREAST
FINDINGS

ASYMMETRY

GLOBAL
ASYMMETRY

FOCAL
ASYMMETRY
ASYMMETRY

• If a potential mass is seen in only a single view at
standard mammography, it should be called an
“asymmetry” until its three-dimensionality is
confirmed.
• Approximately 80% of cases are due to summation
shadow, of normal fibroglandular breast.
• True lesions may sometimes appear on only one view
because on other views they are either obscured by
overlapping dense parenchyma or are located
outside the field of view.
GLOBAL ASYMMETRY

• Is seen in both the views.
• Involves a greater volume of breast tissue (at least a
quadrant)
• Without any associated mass, suspicious
calcifications, or architectural distortions.
• It is usually due to normal variations or hormonal
influence and only significant when it corresponds to
a palpable abnormality.
FOCAL ASYMMETRY

• Is seen in both the views.
• Involves a less than one quadrant of breast.
• It can be due to normal variations or some lesion.
DEVELOPING ASYMMETRY

• This is a focal asymmetry that is new, larger, or
denser at current examination than at previous
examinations.
ASYMMETRY

BIRADS I

DEVELOPING
ASYMMETRY

BIRADS IV

NONPALPABLE
NONPALPABLE
PALPABLE
PALPABLE

GLOBAL
ASYMMETRY
FOCAL
ASYMMETRY
GLOBAL
ASYMMETRY
FOCAL
ASYMMETRY

BIRADS II
BIRADS III
BIRADS IV
BIRADS IV
MASS

CALCIFICATION

ASYMMETRIC
BREAST FINDINGS

INTRAMAMMARY

TUBULAR
DENSITY

ARCHITECTURAL
DISTORTION

LYMPHNODE

OTHER
ASSOCIATED
FINDINGS
BENIGN INTRAMAMMARY LYMPH NODE

• Well circumscribed.
• < 1cm
• UPPER AND OUTER
QUADRANT
• Lucent and invaginated
fatty hilum
• May appear as 3 or more
round densities in horse
shoe arrangement.
When not to consider Benign Intramammary node

• If a mass is seen in a section other than upper and
outer quadrant, unless it has a clearly defined hilum.
• Lesion in upper outer quadrant does not have other
characteristics, it should be considered suspicious as
malignant node or primary mass.
MASS

CALCIFICATION

ASYMMETRIC
BREAST FINDINGS

INTRAMAMMARY

TUBULAR
DENSITY

ARCHITECTURAL
DISTORTION

LYMPHNODE

OTHER
ASSOCIATED
FINDINGS
• Tubular or
branching
structure
representing
dilated duct.
• Usually of minor
significance.
• BIRADS III
MASS

CALCIFICATION

ASYMMETRIC
BREAST FINDINGS

INTRAMAMMARY

TUBULAR
DENSITY

ARCHITECTURAL
DISTORTION

LYMPHNODE

OTHER
ASSOCIATED
FINDINGS
• Spiculations radiating
from a point without any
identifiable mass.
• The only architectural
distortion that does not
require further
evaluation is that caused
by prior surgery or
trauma.
• BIRADS IV
 SKIN RETRACTION
 NIPPLE RETRACTION

 SKIN THICKENING
 TRABECULAR THICKENING
 AXILLARY
LYMPHADENOPATHY
• FINALLY WE HAVE to decide on the
significance of the mammographic
findings.
• FINALISE THE REPORT IN 7 SPECIFIC
CATEGORIES.

Approach to mammogram

Editor's Notes

  • #27 Morphology is the most imp descriptor for calcification and the risk associated with diff types of morphology is stratifies into groups……
  • #32 , as are usually &gt; 1mm in diameter and diffusely distributed
  • #34 very thin benign calcifications that appear as calcium deposited on the surface of a sphere.
  • #46 BIRADS defines it as
  • #47 The mass isseen as a space-occupying structure with convex outward borders (arrows).Figure 2: Asymmetry seen in (a) schematic, (b) MLO views, and (c) CC views. Apotential lesion lacking the characteristics of a mass is seen only on the left CC view(arrow). A corresponding abnormality is not seen on the left MLO view.
  • #49 So perform additional views.LESION SHOULD NOT BE IN THE AREA WHICH CANT BE CAPTURED IN BOTH THE VIEWS LIKE IN AXILLA NEAR CHEST WALL.For an asymmetry seen only on the MLO view, it is frequently best to go immediatelyto the straight lateral view (8). This slight shift in the orientation of breast structuresrelative to the x-ray beam is often sufficient, by the disappearance or changedFor asymmetries seen only on CC projections, the rolled view is best for determiningthe presence of a lesion (8). To obtain this view, the breast can be gently rotated aroundthe axis of the nipple and recompressed in this new orientation. Rolling the breast willdo little to obscure a true lesion, which will simply be displaced in the direction of theapplied roll. Conversely, rolling the breast in an appropriate manner will cause asummation shadow to virtually disappear because the relevant tissues will be displacedwith regard to one another. To properly determine the presence of a lesion, the directionof roll should be chosen so that the region in question is rolled toward and projectedover an area of fat and not over dense tissue, so that the lesion is not obscured. Thisrequires preliminary assessment of the fibroglandular pattern. If a true lesion is rolledinto an area of dense fibroglandular tissue, it may be obscured, leading to the erroneousconclusion that it has &quot;disappeared.&quot; Therefore, each rolled projection must be tailoredfor each patient (7). In addition, movement of a true abnormality relative to theSpot Compression View
  • #50 Figure 2: Asymmetry seen in (a) schematic, (b) MLO views, and (c) CC views. Apotential lesion lacking the characteristics of a mass is seen only on the left CC view(arrow). A corresponding abnormality is not seen on the left MLO view.
  • #52 Figure 3: Global asymmetry seen in (a) schematic, (b) MLO views, and (c) CCviews. A much greater volume of breast tissue is seen over a substantial portion of theleft breast relative to the corresponding region in the right breast, but there is noassociated mass, suspicious calcifications, or architectural distortion.
  • #54 Figure 4: Focal asymmetry seen in (a) schematic, (b) MLO views, and (c) CC views.A focal asymmetry with a similar shape (arrows), not fitting the criteria of a mass, isseen on two standard views.Developing AsymmetryThis is a focal asymmetry that is new, larger, or denser at current examination thanat previous examinations (Fig 5). To identify such a lesion, comparison with previousmammograms is critical. It raises a reasonable degree of suspicion and requiresadditional evaluation in the absence of a history of hormonal therapy, surgery, trauma,or infection at the site. It is an uncommon mammographic finding, reported in less than1% of examinations, but the likelihood of malignancy ranges from 13% to 27% (Fig 6)(4).5a.10
  • #55 HOW TO DIFFRENTIATE ASYMMETRY FROM FOCAL ASYMMETERY- ARC METHOD AND LINE METHOD…….. ASDESCRIB ED IN ARTICLE
  • #56 Can be kept in BIRADS II or III ( if radiologists feel it to be followed up)?If palpable abnormality is present at same site BIRADS IV
  • #69 Not the single desriptor which will help us decide BIRADS but the constillation of findings……. There is no strict criteria for certain things to assign BIRADS and it depend on radiologidt what degree of suspicion he has…………. So although BIRADS has been standarised to a great extent but stilllSubjectiveness remains in classifyng lesions…..