Contents

Basic fundamentals about








CT scan
MRI
MRS
fMRI
SPECT
PET

Imaging in some specific psychiatric disorders






Imaging in Dementia
Imaging in OCD
Imaging in Depression & Bipolar disorders
Imaging in Schizophrenia
Imaging in Anxiety disorders & PTSD
Imaging in ADHD & Autism
NEUROIMAGING


Can allow measurement of the structure, function, &
chemistry of the living human brain



Has provided new information about the pathophysiology
of psychiatric disorders



Can be useful for diagnosing illness, predicting prognosis
& for developing new treatments
USES OF NEUROIMAGING
Indications in
Clinical Practice


Neurological Deficits



To rule out neurological
causes of psychiatric
illnesses



Dementia

Indications in Clinical
Research


Analysis of Clinically
Defined Groups of Patients



Analysis of Brain Activity
during Performance of
Specific Tasks
NEURO-IMAGING TECHNIQUES
1.

Structural





2.

Plain Skull Radiography
Pneumo-encephalography
CT scan
Structural MRI

Functional







Magnetic resonance spectroscopy (MRS)
Functional MRI (fMRI)
Positron emission tomography (PET)
Single photon emission computed tomography (SPECT)
Brain electrical activity mapping (BEAM)
Evoked Potential
COMPUTED TOMOGRAPHY (CT)
…Contd
CT Scanners take a
series of head X-ray
pictures from all
vantage points

The amount of radiation
that passes through, or is
not absorbed from, each
angle is digitized &
entered into a computer

When viewed in
sequence, the images
allow mental
reconstruction of the
structure of the brain

BASICS
360º around a
patient's head

The computer uses matrix algebra
calculations to assign a specific
density to each point within the head
& displays these data as a set of 2-D
images
Grey-scale Appearance on CT
Tissue

Appearance

Bone

White

Calcified Tissue

White

Clotted Blood

White

Grey Matter

Light Gray

White Matter

Medium Grey

CSF

Near Black

Water

Near Black

Air

Black
Points to remember


CT image is determined only by degree to which tissues absorb X-ray



Bony str. Absorb large amount of x-rays and tend to obscure the details
of neighboring structures poor visibility in brainstem.



Poor differentiation of grey-white pattern than compared to MRI.



Certain tumors may be invisible on CT because they absorb as much
irradiation than the surrounding brain visible on Contrast CT.



Bone, clotted blood, calcified tissue, contrast material all appear white
& CSF black



The only component of brain better seen on CT scan is
Calcification, which may be invisible on MRI
Normal CT Brain


Criteria for Contrast Patients with H/O seizure
 Patients with H/O cerebro-vascular accident
 Suspicion of intracranial SOLs including

granulomas, CNS tumours, metastatic lesions
¤ Plain CT
• Diagnostic accuracy 82%
¤ Contrast CT
• IV iodinated contrast medium
• Diagnostic accuracy 92%
Image showing enhancement after contrast administration
…Contd

ADVANTAGES v/s DISADVANTAGES of CT
ADVANTAGES


Simpler, cheaper, more accessible



Tolerated by claustrophobics



No absolute contraindications



Better than MR for bone detail &
Calcification

DISADVANTAGES


Ionizing radiation



IV contrast complications



Limited range of tissue
contrasts
CLNICAL INDICATIONS OF CT BRAIN IN
PSYCHIATRY













Confusion &/or dementias of unknown cause
First episode of psychosis
First episode of major affective disorder after 50 years of age
Personality changes after 50 years of age
Psychiatric symptoms following head injury
To rule out complications due to possible head trauma
Prolonged catatonia
Co existence of seizure with psychiatric symptoms
Movement disorders of unknown etiology
Focal neurological signs accompanying psychiatric symptoms
Weinberg 1984; Beresford et al 1986
MRI

Liquid Helium Cooled
1.5 Tesla Solenoid Magnet
Radiofrequency
Transmitter/Reciever
Coil
Patient Platform
…Contd
Nuclei of all atoms are
thought to spin about an
axis randomly oriented in
space

When the pulse terminates, the
axis of the spinning nucleus
realigns itself with the magnetic
field

During this
realignment, it emits its
own radiofrequency
signal

Placed in magnetic Field 
axis of all odd-numbered
nuclei (mainly Hydrogen)
align with the magnetic field

When exposed to a pulse of
radiofrequency waves Axis of nucleus deviates
away from the magnetic field

MRI scanners collect the emissions of
individual, realigning nuclei & use
computer analysis to generate a
series of 2-D images that represent
the brain


Radiofrequency and magnetic field pulses
manipulated to create different pulse sequences.



Based on the duration of RF pulse & the length of
time - different pulse sequences are obtained.



Examples: T1, T2, FLAIR, DWI etc.
T1 Weighted MRI


Best for visualizing normal
neuroanatomy



Sharp boundaries between
grey matter, white matter, and
CSF



Useful in evaluation of
cerebro-pontine angle cistern
& pituitary fossa



Bone white
white matter light grey
grey matter medium grey
water/CSF/air- Black






•T1 is the only sequence that allows
contrast enhancement with Gadolinium.
•Contrast enhanced structures on T1
appears white.
T2 Weighted MRI


Less distinct boundaries
between white and grey matter



Best for displaying pathology



Useful in demyelination, edema
& tumour infiltration



Gray matter medium gray



white matter dark grey



CSF and water White
…Contd

T1 WEIGHTED IMAGES

T2 WEIGHTED IMAGES
Fluid Attenuated Inversion Recovery
(FLAIR)


Special type of MRI scan



T1 image is inverted & added to
the T2 image



Contrast between grey & white
matter is doubled & the normal
CSF signal is suppressed.



Special indications
1.

To detect Sclerosis of
hippocampus in Temporal lobe
epilepsy.

2.

To Localize the areas of
abnormal metabolism in
degenerative neurological
diseases.
Diffusion-Weighted Imaging (DWI)


Sensitive to speed of
water diffusion



Visualizes area of
ischemic stroke in 1st
few hours- earliest to
detect ischemia.
IMPORTANT POINTS
•MRI magnets used in clinical practice ranges from 0.3 to 2.0 Tesla strength.
•Higher field-strength scanners produce image of higher resolution.
INDICATIONS






To rule out organic
cause of
psychiatric illness
Abrupt change in
mental state

DISADVANTAGES

ADVANTAGES


Does not expose the
patient to ionizing
radiations



Demyelinating
disease can be
assessed reliably

New onset memory
loss or dementia


better study of
posterior fossa
structures



Avoided in patients
wearing metallic
devices



Claustrophobia



Does not pick up
bony abnormalities



Difficult in
uncooperative
patients
IV CONTRAST IN NEURO-IMAGING


CT  Iodine based
 Iodine is highly attenuating of X-ray beam (bright on CT)



MRI  Gadolinium based (Gadolinium DTPA)
 Gadolinium is a paramagnetic metal that hastens T1 relaxation of
nearby water protons (bright on T1-weighted images)



Tissue that gets brighter with IV contrast is said to be ―enhanced‖



Enhancement reflects the vascularity of tissue,
 The blood-brain barrier keeps IV contrast out of the brain
 Enhancement implies BBB is absent or dysfunctional
Amygdala
Hippocampus
Caudate
Head
Putamen
Globus
Pallidus
Magnetic Resonance Spectroscopy
(MRS)
PRINCIPLE
Basic principle similar to MRI

MRS can detect several odd-numbered nuclei

Permits study of many metabolic processes
φ

Nuclei align themselves in the strong mag. field

φ

A radiofrequency pulse causes the nuclei of interest to absorb & then emit
energy

φ

Readout on MRS  in the form of a spectrum  Can be converted into a
pictorial image of the brain
NUCLEI USED IN MRS
& Their uses in Psychiatry
NUCLEI

USES

H¹

Decreased aspartate (NAA) in dementia & other
neurological conditions

Li 7

Pharmacokinetics of Lithium

C¹³

Study of metabolic pathway

F 19

•
•

P³¹

Pharmacokinetics of certain drugs like SSRIs
(Fluoxetine, Fluoxamine)
Analysis of glucose metabolism

Tissue metabolism (compound containing high energy
phosphates like ATP, ADP etc.)
Significance of MRS in psychiatry


MRS has revealed decreased NAA conc. in temporal
lobes & increased conc. of Inositol in occipital lobes of
pts with Alzheimer dementia.



MRS has revealed decreased NAA conc. In temporal
& frontal lobes of pts with Schizophrenia.



Also it has shown elevated brain Lactate levels during
panic attacks in pts with panic disorder.
Functional Magnetic Resonance Imaging
(fMRI)


ADVANTAGES

A sub-type of MRI scan



Uses the New T2 or the Blood-Oxygen
Level Dependent (BOLD) sequence
Detects levels of oxygenated Hb in
the blood  Maps brain function



Detects not the brain activity per se, but
the blood flow

Neuronal
activity
within the
brain

Local
increase
in blood
flow

Increases
the local
Hb conc.

• Possible to study both
cerebral anatomy &
functional
neurophysiology using
a single technique
(Bullmore & Fletcher
2003)
• No radio active
exposure
Which
reflects the
func. activity
of brain on
T2 sequence
Limitations of fMRI


fMRI asseses neuronal activity indirectly by
measuring blood flow (or tissue perfusion)  this
limits its resolution.
 Two tasks that activates clusters of neurons 5 mm apart

will yield overlapping signals on fMRI & thus are
indistinguishable by this technique.
 Sensitivity & resolution can be improved by using ultrasmall non toxic iron oxide particles.


Acquisition of sufficient images for study can
require 20 minutes to 3 hours, during which the
subject’s head must remain in exactly the same
position.
fMRI
Healthy Controls

Depression group
Healthy Controls

fMRI

Schizophrenia group
SPECT
SPECT

SPECT
…Contd

BASICS
A type of Nuclear Imaging that shows how blood flows to tissues & organs
 Integrates : CT + Radioactive Material (Tracer)
 SPECT uses compounds labeled with single photon-emitting isotopes: iodine123, technetium-99m, and xenon-133


Inject with radiolabelled material

Gamma rays
emitted detected
by scanner

Translated into
2-D image

These images
added together
to get a 3-D
image
USES


Regional cerebral blood flow
 Tc 99 is most commonly used for deeper structures of brain
 Xe 133 for superficial structures of brain (rCBF Technique)



Muscarinic cholinergic system
 I 123



Dopaminergic system
 Radiolabelled receptor binding agents I123, IBZM (Iodobenzamide) for

D2 receptors


Adrenergic system



Early diagnosis of Alzheimer's disease
What SPECT can measure


Regional brain function: perfusion



Dopamine D2 receptor availability



Dopamine transporter function



M1 muscarinic receptors



Nicotinic receptors

Same scanner: different radiopharmaceuticals
PET
…Contd

BASIC PRINCIPLE
-ray
detector

+

Radioactive nucleus

•
•
Most Commonly Used Isotopes
• F 18
• N 13
• O 15

A radioactive isotope is injected &
decays, emitting a β + particle.
Within a short distance, the β + particle
bumps into an electron & the two
annihilate, producing a pair of - rays.

•

By detecting & reconstructing where the rays come from, we can measure the
location & conc of radio-isotope.
…Contd

APPLICATIONS


To estimate regional cerebral blood flow



To estimate regional cerebral glucose metabolism
(regional cerebral metabolic rate for glucose - rCMRglu)



For receptor imaging



To study normal brain development
SPECT v/s PET
SPECT

PET

Single photon

Positron

99mTc or I 123

11C or 18F

Short half life

Longer half life

Less sensitive

Highly sensitive (100 times more than
SPECT)

Can buy isotopes

Local cyclotron

Low spatial resolution

Superior spatial resolution

Cheaper and easily available than PET

Costly, not easily available
PET scan
Increased loss of gray
matter in adolescence
between the ages of
12-16 compared to
healthy adolescence.
Red—Gray Matter Gain
Blue—Gray Matter Loss
PET Scan
Not Depressed vs. Depressed
PET scans of a 45 year old woman
with recurrent depression
pre and post treatment.
PET Scan
ADHD vs. Normal

NORMAL

ADHD

White, Red, Orange = higher glucose metabolism
Blue, Green, Purple = lower glucose metabolism
IMAGING IN SPECIFIC
PSYCHIATRIC DISORDERS
IMAGING IN DEMENTIA
ALZHEIMER’S DEMENTIA
Structural imaging


Cerebral atrophy (typical dilatation of lateral
ventricles & widening of cortical sulci) particularly in posterior temporal & parietal regions &
 specific brain regions like hippocampus and medial

temporal lobe.


Volumetric MRI reveals shrinkage in vulnerable
brain regions, particularly the medial temporal lobe
& Hippocampus.
Measurements of hippocampus is the most sensitive marker of
pathology of AD early in disease
Functional imaging


Early studies using PET or SPECT revealed a
characteristic pattern of hypometabolism in the posterior
parietal lobes.



MRS in AD revealed- Decreased conc of NAA in the
temporal lobes & increased conc of inositol in the
occipital lobes
SPECT of rCBF in AD

(Cummings and Mega, 2003)
PET of
Glucose
Metabolism
in normal vs.
Alzheimer’s
Disease
Recent..


Most recent development in brain imaging in AD is
the development of radio-labelled ligands that can
bind with amyloid, and then can be visualised with
PET.
 This technique is currently under investigation.
FRONTO-TEMPORAL
DEMENTIA
Structural imaging reveals

Severe sharply localised atrophy – bilaterally symmetric
―KNIFE-BLADE ATROPHY‖



Hyper-intense signal in the cortex & underlying white
matter of the affected areas



Areas involved- dorsolateral prefrontal cortex & medial
temporal lobes
Areas spared- posterior parietal and occipital cortices.



Functional imaging reveals

Fronto-temporal hypometabolism
Frontal lobe dementia
• Frontal hypo-perfusion sometimes including
temporal lobes
Alzheimer’s disease

Bi-lateral temporo-parietal
deficits

Frontal lobe dementia

Bi-lateral frontal lobe
deficits
LEWY BODY DEMENTIA


To date, no MRI features have been identified to
characterize DLB.



The absence of significant Medial Temporal lobe
atrophy in an elderly demented patient suggests
DLB etiology rather than AD.



PET or SPECT may reveal reduced occipital
function with generalized reduction of cortical
activity.
VASCULAR DEMENTIA
Vascular dementia



Multiple regions of focally reduced perfusion
NORMAL PRESSURE
HYDROCEPHALUS
MRI findings include

Ventricular enlargement out of proportion to sulcal
atrophy.



Prominent periventricular hyperintensity (halo).



Prominent flow void in the aqueduct and third
ventricle, the so-called jet sign, (presents as a dark
aqueduct and third ventricle on a T2-weighted image
where remainder of CSF is bright)



Thinning and elevation of corpus callosum on sagittal
images
IMAGING IN OCD
-Frontal lobe
-Caudate
-Cingulate gyrus
CT & MRI IN OCD


Bilaterally smaller caudate in OCD pts.



Significantly more Cerebral Grey matter & Less white matter volume
than normal controls.



Decreased volume of Left orbital frontal cortex.



Abnormality in length of Corpus callosum.



Abnormality in Pituitary volume may also be noted.



Larger anterior cingulate volumes (ACV)  a/w increased OCD
symptoms severity but not duration of illness
MRS IN OCD


OCD patients were divided into three
groups
 Responders to a SSRI
 Responders to a SSRI + an Atypical

Antipsychotic
 Non-Responders to either SSRI or
SSRI + an Atypical Antipsychotic

Greater Glutamatergic
conc. in caudate, as
measured by ¹H-MRS in
comparison to controls



MRS was used to measure NAA
concentrations in the anterior
cingulate, the left basal ganglia & the
left prefrontal lobe of the subjects



Significantly lower NAA concentrations
in responders to SSRI + AAP in
Sumitani S et al (2007) Psychiatry Res; 154: 85-92
anterior cingulate gyrus
SPECT & PET in OCD


In a resting SPECT study, OCD pts has increased mesial frontal
perfusion, which normalised with fluoxetine Rx.

PET have shown- Increased activity (eg. Metabolism & blood
flow) in the frontal lobes, basal ganglia(sp. caudate), and the
cingulate gyrus in OCD pts. (findings consistent with the MRI
findings)
 Head of the caudate 


 PET : Greater activity
 SPECT : Decreased activity


Pharmalcological and behavioral Rx reportedly reverse these
abnormalities.
IMAGING IN DEPRESSION
& BIPOLAR DISORDER
-Left Prefrontal cortex
-Subcortical nuclei
CT & MRI in Depression


Smaller volumes of frontal cortex, cerebellum, caudate &
putamen.



Ventricular enlargement, cortical atrophy, and sulcal widening
also have been reported in some studies.



The most consistent abnormality observed in depression isIncreased frequency of abnormal hyperintensities in subcortical
regions including periventricular regions, basal ganglia, and
thalamus.
 These hyperintensities may reflect the deleterious effects of recurrent

affective episodes. (specially in bipolar I disorder and among elderly)


Some depressed pts may also have specifically
reduced hippocampal or caudate nucleus volumes,
suggesting presence of more focal defects.
 Focal areas of atrophy have been associated with increased

illness severity, bipolarity and increased cortisol levels.
fMRI IN DEPRESSION


Bilateral anterior cingulate cortex & Right amygdala
significantly smaller in size.
Tang Y et al (2007) Psychiatry Res.



Inactivation of Left prefrontal cortex in Depressed
Inactivation of Right prefrontal cortex in Mania
fMRI
Healthy Controls

Depression group
SPECT in Depression


Baseline cerebral blood flow (CBF)
was lower in depressed patients –
in frontal cortex & subcortical nuclei
bilaterally



Medication response –
normalization of CBF deficit.

Joensuu M et al (2007) Psychiatry Res. 154(2): 125-31
PET in Depression


The most widely replicated PET
finding in depression is- Decreased
anterior brain (frontal / prefrontal
cortex) metabolism specially on
dominant hemisphere (LEFT side).
 Reversal of this hypofrontality occurs when

pt. shifts from depression into mania (i.e.
decrease RIGHT frontal lobe function seen
in mania)



It has been seen that
antidepressants at least partially
NORMALISES these changes.
PET scans of a 45 year old woman
with recurrent depression
pre and post treatment.
Bipolar disorder


PET studies in depressed BPI, bipolar II, and manic
individuals have shown increased amygdala and
ventral striatal limbic subcortical activity compared
with healthy controls



In adults, there are findings of enlarged (or shrunken)
amygdalae, decreased dorsal and ventral prefrontal
cortices, and smaller or no change in hippocampi.

Altshuler LL, Bartzokis G, Grieder T, et al. An MRI study of temporal lobe structures in men with
bipolar disorder or schizophrenia. Biol Psychiatry. 2000;48:147–162.
Blumberg et al. 2003 "Amygdala and hippocampal volumes in adolescents and adults with bipolar
disorder". Arch Gen Psychiatry 60 (12): 1201–8.
IMAGING IN SCHIZOPHRENIA
Structural imaging


Enlargement of lateral & third ventricles may be static or
progressive.



Frontal lobe abnormalities, particularly prefrontal gray matter
and orbitofrontal regions.



Parietal lobe abnormalities, particularly of the inferior parietal
lobule which includes both supramarginal and angular gyri.



Subcortical abnormalities i.e. cavum septi pellucidum, basal
ganglia, corpus callosum, and thalamus.



All these structural abnormalities may be static or progressive.


Decreased size of medial temporal lobe structures (which
include the amygdala, hippocampus, and parahippocampal
gyrus), and abnormalities of neocortical temporal lobe regions
(superior temporal gyrus).



Hippocampus is not only smaller in size but also functionally
abnormal (disturbed glutamate transmission in functional
scans)



Reduced symmetry in various brain areas may be indicative
of disruption of brain lateralisation during neurodevelopment.



Anatomical & functional deficits in prefrontal cortex.



Volume shrinkage or neuronal loss in medial dorsal nucleus of
thalamus.


Positive symptoms  Decreased volume of
Superior temporal gyrus



Negative symptoms  Enlarged lateral ventricle &
decreased volume of medial temporal lobe
structures



Typical Anti-psychotics  increases the size of the
basal ganglia
Ventriculomegaly in discordant monozygotic twins seen on T2-weighted MRI scans.

Woolley J , and McGuire P APT 2005;11:195-202

©2005 by The Royal College of Psychiatrists
Functional imaging


Hypofrontality



Functional scans have also revealed lower levels of
phosphomonoester & inorganic phosphate and higher
levels of phophodiester in schiz pts.



NAA levels were also lower in hippocampus and frontal
lobes in pts with schiz.
Scan showing Increased loss of gray matter in adolescence between
the ages of 12-16 compared to healthy adolescence.
Red—Gray Matter Gain ;

Blue—Gray Matter Loss
IMAGING IN ANXIETY D/Os


Structural imaging (CT & MRI) Occasional increase in size of ventricles.
 Abnormalities in RIGHT hemisphere but not in the left

hemisphere.
○ This finding suggests that some type of cerebral

asymmetry may be important in the development of
anxiety disorder.



Functional imaging (fMRI, SPECT, PET) Abnormalities in frontal cortex, occipital & temporal

areas in pts. with anxiety disorder &
Abnormalities in parahippocampal gyrus in pts with
panic disorder.


MRS –
 In panic d/o  used to record the levels of

lactate, whose IV infusion can ppt. panic episodes in
~ 3/4th of the pts. with either Panic D/o or Major
Depression
 Brain lactate conc. were found to be elevated during

panic attacks, even without provocative infusion in
panic disorder pts.
IMAGING IN PTSD
Structural imaging in PTSD
Studies in PTSD Vietnam combat
veterans revealed:
 Reduced left and right hippocampal
volume
 Volume reductions were associated
with severity of combat exposure.
 A similar study was undertaken with Gulf
war veterans in Israel, and these data are
have shown similar findings


Hippocampus (green), Fornix
(blue)
and Mammilary Bodies (gray) are
shown in 3D.

Boone, Omar et al. Longitudinal MRI Study of Hippocampal Volume
in Trauma Survivors With PTSD. Am J Psychiatry 2001; 158:1248–1251


Smaller hippocampal volume is not a necessary
risk factor for developing PTSD and does not
occur within 6 months of expressing the disorder
 This brain abnormality might occur in individuals with
chronic or complicated PTSD.

Boone, Omar et al. Longitudinal MRI Study of Hippocampal Volume
in Trauma Survivors With PTSD. Am J Psychiatry 2001; 158:1248–1251
Twin studies in PTSD


A study reported in Nature-Neuroscience evaluated MR brain
morphometry of the hippocampus in monozygotic twins
discordant for PTSD. The PTSD twin was diagnosed with
PTSD as a result of combat exposure in the Vietnam War.



The twin aspect of this study was important as it showed that
individuals discordant for PTSD showed reduced hippocampal
volume compared with twins where PTSD was present in
neither twin.



This finding suggests that there may be a predisposition or
vulnerability factor involved in the genesis of PTSD

Gilberson, MW et al. Smaller hippocampal volume predicts pathologic vulnerability to
psychological trauma. Nature-Neuroscience, October 2002
Functional imaging in PTSD


fMRI studies have found increased activity in
Amygdala, a brain region associated with fear.
IMAGING IN ADHD
Structural imaging (CT & MRI)


Shows no consistent findings.



Increased cortical grey & white matter volumes from 5
yrs of age with peak at 12-15 yrs of age.



Early onset ADHD may be associated with smaller
total brain volume in- 4% cases.



Decrease in the volume of posterior inferior cerebellar
vermis may be noted.(region involved in attention
processing)
Functional imaging (fMRI, SPECT, PET)


PET has shown that adolescent females with ADHD have
globally lower glucose metabolism that both normal
controls & males with ADHD.



PET scan has also shown lower CBF and metabolic rates
in the frontal lobes of children with ADHD.



This may be because frontal lobes in children with ADHD are not
adequately performing their inhibitory mechanism on lower
structures, leading to disinhibition.



Less striatal activation during cognition inhibition tasks.
PET Scan
ADHD vs. Normal

White, Red, Orange = higher glucose metabolism
Blue, Green, Purple = lower glucose metabolism
IMAGING IN AUTISM
Structural imaging


Significant DECREASE of grey matter concentration in superior
temporal sulcus bilaterally, an area which is critical for
perception of key social stimuli.



Also a decrease of white matter concentration in the right
temporal pole and in cerebellum compared to normal children.



INCREASE in total cerebral volume, both in grey and white
matter, mostly in the occipital, temporal and parietal lobes.



Brain enlargement has been considered as a possible biomarker for
autistic disorder.
Functional imaging


Bilateral hypoperfusion of the temporal lobes in autistic
children.



In addition, activation abnormalities may be observed
in the temporal lobes and amygdala, which are
involved in language and social cognition.



An increase in visual cortex activity was also reported
Message…


Neuroimaging can be structural / functional



Functional imaging more useful than structural in psychiatry



Neuroimaging in psychiatry is presently used mainly to rule
out neurological causes, and in evalulation of dementia



Sensitiviy & specifity of imaging in psychiatry is not much



Still various studies and their findings and newer
developments holds a promising future for neuroimaging in
psychiatric diagnosis & managements.
Presented and Made by-

Dr.Swapnil Agrawal
Resident- Psychiatry
Govt. Medical College, Kota (Raj)
dr.swapnil@yahoo.co.in

Neruoimaging final

  • 2.
    Contents Basic fundamentals about       CTscan MRI MRS fMRI SPECT PET Imaging in some specific psychiatric disorders      Imaging in Dementia Imaging in OCD Imaging in Depression & Bipolar disorders Imaging in Schizophrenia Imaging in Anxiety disorders & PTSD Imaging in ADHD & Autism
  • 3.
    NEUROIMAGING  Can allow measurementof the structure, function, & chemistry of the living human brain  Has provided new information about the pathophysiology of psychiatric disorders  Can be useful for diagnosing illness, predicting prognosis & for developing new treatments
  • 4.
    USES OF NEUROIMAGING Indicationsin Clinical Practice  Neurological Deficits  To rule out neurological causes of psychiatric illnesses  Dementia Indications in Clinical Research  Analysis of Clinically Defined Groups of Patients  Analysis of Brain Activity during Performance of Specific Tasks
  • 5.
    NEURO-IMAGING TECHNIQUES 1. Structural     2. Plain SkullRadiography Pneumo-encephalography CT scan Structural MRI Functional       Magnetic resonance spectroscopy (MRS) Functional MRI (fMRI) Positron emission tomography (PET) Single photon emission computed tomography (SPECT) Brain electrical activity mapping (BEAM) Evoked Potential
  • 6.
  • 7.
    …Contd CT Scanners takea series of head X-ray pictures from all vantage points The amount of radiation that passes through, or is not absorbed from, each angle is digitized & entered into a computer When viewed in sequence, the images allow mental reconstruction of the structure of the brain BASICS 360º around a patient's head The computer uses matrix algebra calculations to assign a specific density to each point within the head & displays these data as a set of 2-D images
  • 8.
    Grey-scale Appearance onCT Tissue Appearance Bone White Calcified Tissue White Clotted Blood White Grey Matter Light Gray White Matter Medium Grey CSF Near Black Water Near Black Air Black
  • 9.
    Points to remember  CTimage is determined only by degree to which tissues absorb X-ray  Bony str. Absorb large amount of x-rays and tend to obscure the details of neighboring structures poor visibility in brainstem.  Poor differentiation of grey-white pattern than compared to MRI.  Certain tumors may be invisible on CT because they absorb as much irradiation than the surrounding brain visible on Contrast CT.  Bone, clotted blood, calcified tissue, contrast material all appear white & CSF black  The only component of brain better seen on CT scan is Calcification, which may be invisible on MRI
  • 10.
  • 11.
     Criteria for ContrastPatients with H/O seizure  Patients with H/O cerebro-vascular accident  Suspicion of intracranial SOLs including granulomas, CNS tumours, metastatic lesions ¤ Plain CT • Diagnostic accuracy 82% ¤ Contrast CT • IV iodinated contrast medium • Diagnostic accuracy 92%
  • 12.
    Image showing enhancementafter contrast administration
  • 13.
    …Contd ADVANTAGES v/s DISADVANTAGESof CT ADVANTAGES  Simpler, cheaper, more accessible  Tolerated by claustrophobics  No absolute contraindications  Better than MR for bone detail & Calcification DISADVANTAGES  Ionizing radiation  IV contrast complications  Limited range of tissue contrasts
  • 15.
    CLNICAL INDICATIONS OFCT BRAIN IN PSYCHIATRY           Confusion &/or dementias of unknown cause First episode of psychosis First episode of major affective disorder after 50 years of age Personality changes after 50 years of age Psychiatric symptoms following head injury To rule out complications due to possible head trauma Prolonged catatonia Co existence of seizure with psychiatric symptoms Movement disorders of unknown etiology Focal neurological signs accompanying psychiatric symptoms Weinberg 1984; Beresford et al 1986
  • 16.
    MRI Liquid Helium Cooled 1.5Tesla Solenoid Magnet Radiofrequency Transmitter/Reciever Coil Patient Platform
  • 17.
    …Contd Nuclei of allatoms are thought to spin about an axis randomly oriented in space When the pulse terminates, the axis of the spinning nucleus realigns itself with the magnetic field During this realignment, it emits its own radiofrequency signal Placed in magnetic Field  axis of all odd-numbered nuclei (mainly Hydrogen) align with the magnetic field When exposed to a pulse of radiofrequency waves Axis of nucleus deviates away from the magnetic field MRI scanners collect the emissions of individual, realigning nuclei & use computer analysis to generate a series of 2-D images that represent the brain
  • 18.
     Radiofrequency and magneticfield pulses manipulated to create different pulse sequences.  Based on the duration of RF pulse & the length of time - different pulse sequences are obtained.  Examples: T1, T2, FLAIR, DWI etc.
  • 19.
    T1 Weighted MRI  Bestfor visualizing normal neuroanatomy  Sharp boundaries between grey matter, white matter, and CSF  Useful in evaluation of cerebro-pontine angle cistern & pituitary fossa  Bone white white matter light grey grey matter medium grey water/CSF/air- Black    •T1 is the only sequence that allows contrast enhancement with Gadolinium. •Contrast enhanced structures on T1 appears white.
  • 20.
    T2 Weighted MRI  Lessdistinct boundaries between white and grey matter  Best for displaying pathology  Useful in demyelination, edema & tumour infiltration  Gray matter medium gray  white matter dark grey  CSF and water White
  • 21.
  • 22.
    Fluid Attenuated InversionRecovery (FLAIR)  Special type of MRI scan  T1 image is inverted & added to the T2 image  Contrast between grey & white matter is doubled & the normal CSF signal is suppressed.  Special indications 1. To detect Sclerosis of hippocampus in Temporal lobe epilepsy. 2. To Localize the areas of abnormal metabolism in degenerative neurological diseases.
  • 23.
    Diffusion-Weighted Imaging (DWI)  Sensitiveto speed of water diffusion  Visualizes area of ischemic stroke in 1st few hours- earliest to detect ischemia.
  • 24.
    IMPORTANT POINTS •MRI magnetsused in clinical practice ranges from 0.3 to 2.0 Tesla strength. •Higher field-strength scanners produce image of higher resolution. INDICATIONS    To rule out organic cause of psychiatric illness Abrupt change in mental state DISADVANTAGES ADVANTAGES  Does not expose the patient to ionizing radiations  Demyelinating disease can be assessed reliably New onset memory loss or dementia  better study of posterior fossa structures  Avoided in patients wearing metallic devices  Claustrophobia  Does not pick up bony abnormalities  Difficult in uncooperative patients
  • 25.
    IV CONTRAST INNEURO-IMAGING  CT  Iodine based  Iodine is highly attenuating of X-ray beam (bright on CT)  MRI  Gadolinium based (Gadolinium DTPA)  Gadolinium is a paramagnetic metal that hastens T1 relaxation of nearby water protons (bright on T1-weighted images)  Tissue that gets brighter with IV contrast is said to be ―enhanced‖  Enhancement reflects the vascularity of tissue,  The blood-brain barrier keeps IV contrast out of the brain  Enhancement implies BBB is absent or dysfunctional
  • 26.
  • 27.
  • 28.
  • 29.
  • 30.
  • 31.
  • 32.
    PRINCIPLE Basic principle similarto MRI MRS can detect several odd-numbered nuclei Permits study of many metabolic processes φ Nuclei align themselves in the strong mag. field φ A radiofrequency pulse causes the nuclei of interest to absorb & then emit energy φ Readout on MRS  in the form of a spectrum  Can be converted into a pictorial image of the brain
  • 34.
    NUCLEI USED INMRS & Their uses in Psychiatry NUCLEI USES H¹ Decreased aspartate (NAA) in dementia & other neurological conditions Li 7 Pharmacokinetics of Lithium C¹³ Study of metabolic pathway F 19 • • P³¹ Pharmacokinetics of certain drugs like SSRIs (Fluoxetine, Fluoxamine) Analysis of glucose metabolism Tissue metabolism (compound containing high energy phosphates like ATP, ADP etc.)
  • 35.
    Significance of MRSin psychiatry  MRS has revealed decreased NAA conc. in temporal lobes & increased conc. of Inositol in occipital lobes of pts with Alzheimer dementia.  MRS has revealed decreased NAA conc. In temporal & frontal lobes of pts with Schizophrenia.  Also it has shown elevated brain Lactate levels during panic attacks in pts with panic disorder.
  • 36.
  • 37.
     ADVANTAGES A sub-type ofMRI scan  Uses the New T2 or the Blood-Oxygen Level Dependent (BOLD) sequence Detects levels of oxygenated Hb in the blood  Maps brain function  Detects not the brain activity per se, but the blood flow Neuronal activity within the brain Local increase in blood flow Increases the local Hb conc. • Possible to study both cerebral anatomy & functional neurophysiology using a single technique (Bullmore & Fletcher 2003) • No radio active exposure Which reflects the func. activity of brain on T2 sequence
  • 38.
    Limitations of fMRI  fMRIasseses neuronal activity indirectly by measuring blood flow (or tissue perfusion)  this limits its resolution.  Two tasks that activates clusters of neurons 5 mm apart will yield overlapping signals on fMRI & thus are indistinguishable by this technique.  Sensitivity & resolution can be improved by using ultrasmall non toxic iron oxide particles.  Acquisition of sufficient images for study can require 20 minutes to 3 hours, during which the subject’s head must remain in exactly the same position.
  • 39.
  • 40.
  • 41.
  • 42.
    …Contd BASICS A type ofNuclear Imaging that shows how blood flows to tissues & organs  Integrates : CT + Radioactive Material (Tracer)  SPECT uses compounds labeled with single photon-emitting isotopes: iodine123, technetium-99m, and xenon-133  Inject with radiolabelled material Gamma rays emitted detected by scanner Translated into 2-D image These images added together to get a 3-D image
  • 43.
    USES  Regional cerebral bloodflow  Tc 99 is most commonly used for deeper structures of brain  Xe 133 for superficial structures of brain (rCBF Technique)  Muscarinic cholinergic system  I 123  Dopaminergic system  Radiolabelled receptor binding agents I123, IBZM (Iodobenzamide) for D2 receptors  Adrenergic system  Early diagnosis of Alzheimer's disease
  • 44.
    What SPECT canmeasure  Regional brain function: perfusion  Dopamine D2 receptor availability  Dopamine transporter function  M1 muscarinic receptors  Nicotinic receptors Same scanner: different radiopharmaceuticals
  • 45.
  • 46.
    …Contd BASIC PRINCIPLE -ray detector + Radioactive nucleus • • MostCommonly Used Isotopes • F 18 • N 13 • O 15 A radioactive isotope is injected & decays, emitting a β + particle. Within a short distance, the β + particle bumps into an electron & the two annihilate, producing a pair of - rays. • By detecting & reconstructing where the rays come from, we can measure the location & conc of radio-isotope.
  • 47.
    …Contd APPLICATIONS  To estimate regionalcerebral blood flow  To estimate regional cerebral glucose metabolism (regional cerebral metabolic rate for glucose - rCMRglu)  For receptor imaging  To study normal brain development
  • 48.
    SPECT v/s PET SPECT PET Singlephoton Positron 99mTc or I 123 11C or 18F Short half life Longer half life Less sensitive Highly sensitive (100 times more than SPECT) Can buy isotopes Local cyclotron Low spatial resolution Superior spatial resolution Cheaper and easily available than PET Costly, not easily available
  • 49.
    PET scan Increased lossof gray matter in adolescence between the ages of 12-16 compared to healthy adolescence. Red—Gray Matter Gain Blue—Gray Matter Loss
  • 50.
  • 51.
    PET scans ofa 45 year old woman with recurrent depression pre and post treatment.
  • 52.
    PET Scan ADHD vs.Normal NORMAL ADHD White, Red, Orange = higher glucose metabolism Blue, Green, Purple = lower glucose metabolism
  • 53.
  • 54.
  • 56.
  • 57.
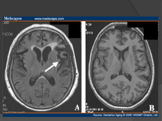
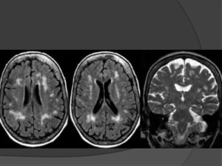
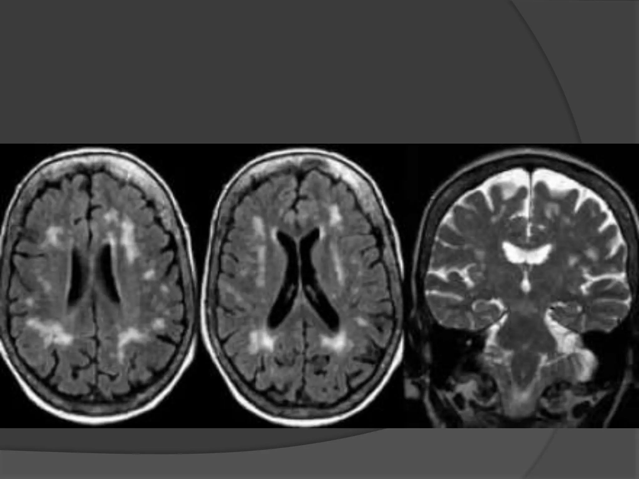
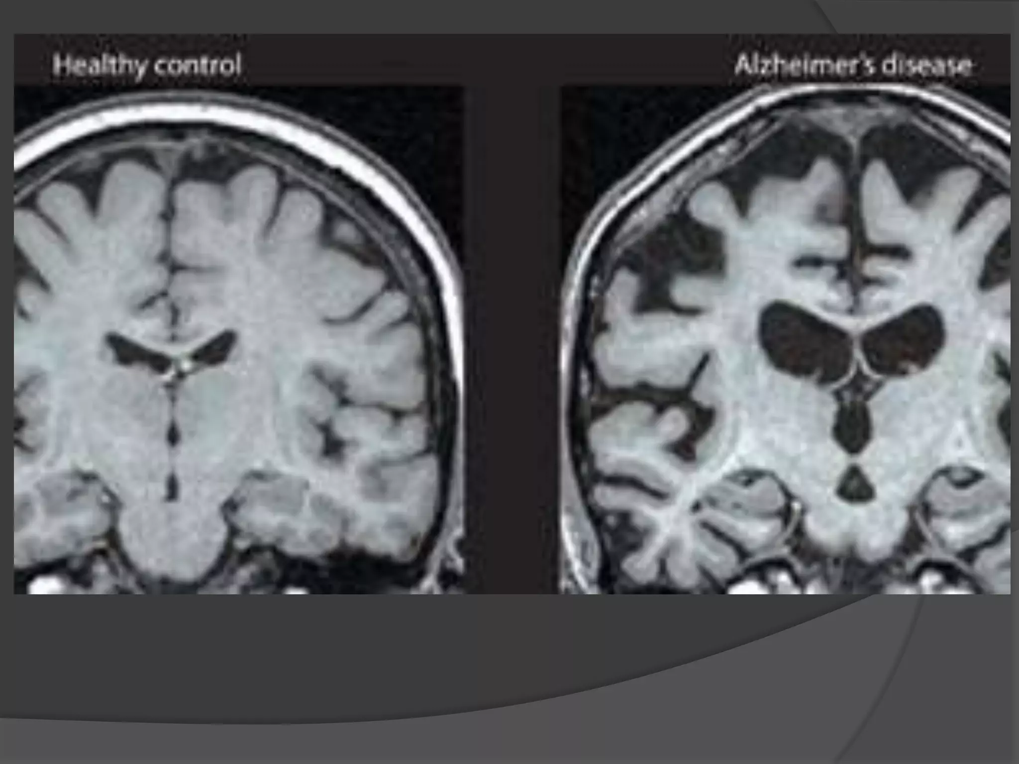
    Structural imaging  Cerebral atrophy(typical dilatation of lateral ventricles & widening of cortical sulci) particularly in posterior temporal & parietal regions &  specific brain regions like hippocampus and medial temporal lobe.  Volumetric MRI reveals shrinkage in vulnerable brain regions, particularly the medial temporal lobe & Hippocampus.
  • 59.
    Measurements of hippocampusis the most sensitive marker of pathology of AD early in disease
  • 62.
    Functional imaging  Early studiesusing PET or SPECT revealed a characteristic pattern of hypometabolism in the posterior parietal lobes.  MRS in AD revealed- Decreased conc of NAA in the temporal lobes & increased conc of inositol in the occipital lobes
  • 64.
    SPECT of rCBFin AD (Cummings and Mega, 2003)
  • 65.
    PET of Glucose Metabolism in normalvs. Alzheimer’s Disease
  • 66.
    Recent..  Most recent developmentin brain imaging in AD is the development of radio-labelled ligands that can bind with amyloid, and then can be visualised with PET.  This technique is currently under investigation.
  • 67.
  • 68.
    Structural imaging reveals Severesharply localised atrophy – bilaterally symmetric ―KNIFE-BLADE ATROPHY‖  Hyper-intense signal in the cortex & underlying white matter of the affected areas  Areas involved- dorsolateral prefrontal cortex & medial temporal lobes Areas spared- posterior parietal and occipital cortices.  Functional imaging reveals Fronto-temporal hypometabolism
  • 71.
    Frontal lobe dementia •Frontal hypo-perfusion sometimes including temporal lobes Alzheimer’s disease Bi-lateral temporo-parietal deficits Frontal lobe dementia Bi-lateral frontal lobe deficits
  • 72.
  • 73.
     To date, noMRI features have been identified to characterize DLB.  The absence of significant Medial Temporal lobe atrophy in an elderly demented patient suggests DLB etiology rather than AD.  PET or SPECT may reveal reduced occipital function with generalized reduction of cortical activity.
  • 74.
  • 79.
    Vascular dementia  Multiple regionsof focally reduced perfusion
  • 80.
  • 82.
    MRI findings include Ventricularenlargement out of proportion to sulcal atrophy.  Prominent periventricular hyperintensity (halo).  Prominent flow void in the aqueduct and third ventricle, the so-called jet sign, (presents as a dark aqueduct and third ventricle on a T2-weighted image where remainder of CSF is bright)  Thinning and elevation of corpus callosum on sagittal images
  • 84.
    IMAGING IN OCD -Frontallobe -Caudate -Cingulate gyrus
  • 85.
    CT & MRIIN OCD  Bilaterally smaller caudate in OCD pts.  Significantly more Cerebral Grey matter & Less white matter volume than normal controls.  Decreased volume of Left orbital frontal cortex.  Abnormality in length of Corpus callosum.  Abnormality in Pituitary volume may also be noted.  Larger anterior cingulate volumes (ACV)  a/w increased OCD symptoms severity but not duration of illness
  • 86.
    MRS IN OCD  OCDpatients were divided into three groups  Responders to a SSRI  Responders to a SSRI + an Atypical Antipsychotic  Non-Responders to either SSRI or SSRI + an Atypical Antipsychotic Greater Glutamatergic conc. in caudate, as measured by ¹H-MRS in comparison to controls  MRS was used to measure NAA concentrations in the anterior cingulate, the left basal ganglia & the left prefrontal lobe of the subjects  Significantly lower NAA concentrations in responders to SSRI + AAP in Sumitani S et al (2007) Psychiatry Res; 154: 85-92 anterior cingulate gyrus
  • 87.
    SPECT & PETin OCD  In a resting SPECT study, OCD pts has increased mesial frontal perfusion, which normalised with fluoxetine Rx. PET have shown- Increased activity (eg. Metabolism & blood flow) in the frontal lobes, basal ganglia(sp. caudate), and the cingulate gyrus in OCD pts. (findings consistent with the MRI findings)  Head of the caudate    PET : Greater activity  SPECT : Decreased activity  Pharmalcological and behavioral Rx reportedly reverse these abnormalities.
  • 88.
    IMAGING IN DEPRESSION &BIPOLAR DISORDER -Left Prefrontal cortex -Subcortical nuclei
  • 89.
    CT & MRIin Depression  Smaller volumes of frontal cortex, cerebellum, caudate & putamen.  Ventricular enlargement, cortical atrophy, and sulcal widening also have been reported in some studies.  The most consistent abnormality observed in depression isIncreased frequency of abnormal hyperintensities in subcortical regions including periventricular regions, basal ganglia, and thalamus.  These hyperintensities may reflect the deleterious effects of recurrent affective episodes. (specially in bipolar I disorder and among elderly)
  • 90.
     Some depressed ptsmay also have specifically reduced hippocampal or caudate nucleus volumes, suggesting presence of more focal defects.  Focal areas of atrophy have been associated with increased illness severity, bipolarity and increased cortisol levels.
  • 91.
    fMRI IN DEPRESSION  Bilateralanterior cingulate cortex & Right amygdala significantly smaller in size. Tang Y et al (2007) Psychiatry Res.  Inactivation of Left prefrontal cortex in Depressed Inactivation of Right prefrontal cortex in Mania
  • 92.
  • 93.
    SPECT in Depression  Baselinecerebral blood flow (CBF) was lower in depressed patients – in frontal cortex & subcortical nuclei bilaterally  Medication response – normalization of CBF deficit. Joensuu M et al (2007) Psychiatry Res. 154(2): 125-31
  • 94.
    PET in Depression  Themost widely replicated PET finding in depression is- Decreased anterior brain (frontal / prefrontal cortex) metabolism specially on dominant hemisphere (LEFT side).  Reversal of this hypofrontality occurs when pt. shifts from depression into mania (i.e. decrease RIGHT frontal lobe function seen in mania)  It has been seen that antidepressants at least partially NORMALISES these changes.
  • 95.
    PET scans ofa 45 year old woman with recurrent depression pre and post treatment.
  • 96.
    Bipolar disorder  PET studiesin depressed BPI, bipolar II, and manic individuals have shown increased amygdala and ventral striatal limbic subcortical activity compared with healthy controls  In adults, there are findings of enlarged (or shrunken) amygdalae, decreased dorsal and ventral prefrontal cortices, and smaller or no change in hippocampi. Altshuler LL, Bartzokis G, Grieder T, et al. An MRI study of temporal lobe structures in men with bipolar disorder or schizophrenia. Biol Psychiatry. 2000;48:147–162. Blumberg et al. 2003 "Amygdala and hippocampal volumes in adolescents and adults with bipolar disorder". Arch Gen Psychiatry 60 (12): 1201–8.
  • 97.
  • 98.
    Structural imaging  Enlargement oflateral & third ventricles may be static or progressive.  Frontal lobe abnormalities, particularly prefrontal gray matter and orbitofrontal regions.  Parietal lobe abnormalities, particularly of the inferior parietal lobule which includes both supramarginal and angular gyri.  Subcortical abnormalities i.e. cavum septi pellucidum, basal ganglia, corpus callosum, and thalamus.  All these structural abnormalities may be static or progressive.
  • 99.
     Decreased size ofmedial temporal lobe structures (which include the amygdala, hippocampus, and parahippocampal gyrus), and abnormalities of neocortical temporal lobe regions (superior temporal gyrus).  Hippocampus is not only smaller in size but also functionally abnormal (disturbed glutamate transmission in functional scans)  Reduced symmetry in various brain areas may be indicative of disruption of brain lateralisation during neurodevelopment.  Anatomical & functional deficits in prefrontal cortex.  Volume shrinkage or neuronal loss in medial dorsal nucleus of thalamus.
  • 100.
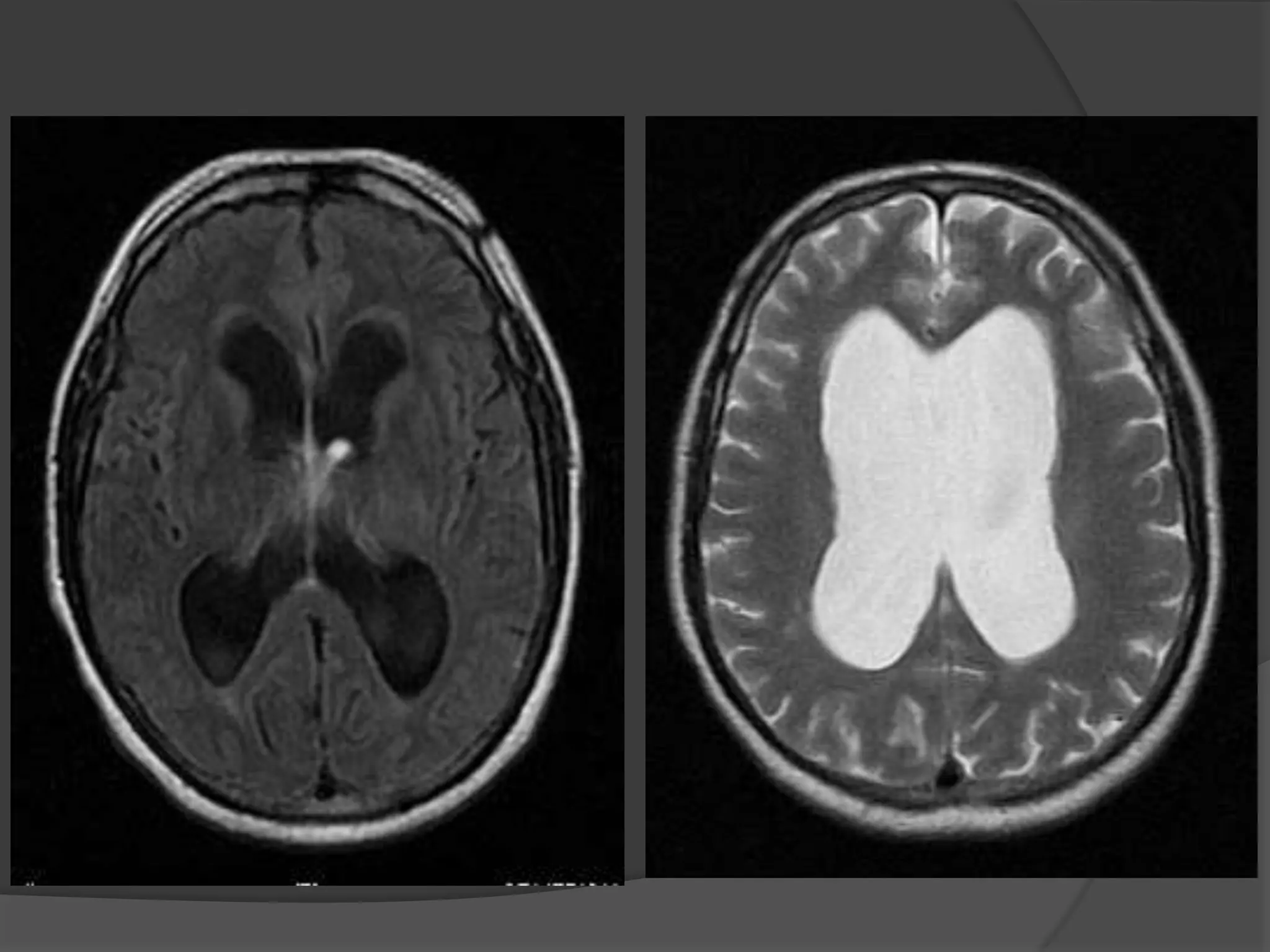
     Positive symptoms Decreased volume of Superior temporal gyrus  Negative symptoms  Enlarged lateral ventricle & decreased volume of medial temporal lobe structures  Typical Anti-psychotics  increases the size of the basal ganglia
  • 101.
    Ventriculomegaly in discordantmonozygotic twins seen on T2-weighted MRI scans. Woolley J , and McGuire P APT 2005;11:195-202 ©2005 by The Royal College of Psychiatrists
  • 102.
    Functional imaging  Hypofrontality  Functional scanshave also revealed lower levels of phosphomonoester & inorganic phosphate and higher levels of phophodiester in schiz pts.  NAA levels were also lower in hippocampus and frontal lobes in pts with schiz.
  • 103.
    Scan showing Increasedloss of gray matter in adolescence between the ages of 12-16 compared to healthy adolescence. Red—Gray Matter Gain ; Blue—Gray Matter Loss
  • 105.
  • 106.
     Structural imaging (CT& MRI) Occasional increase in size of ventricles.  Abnormalities in RIGHT hemisphere but not in the left hemisphere. ○ This finding suggests that some type of cerebral asymmetry may be important in the development of anxiety disorder.  Functional imaging (fMRI, SPECT, PET) Abnormalities in frontal cortex, occipital & temporal areas in pts. with anxiety disorder & Abnormalities in parahippocampal gyrus in pts with panic disorder.
  • 107.
     MRS –  Inpanic d/o  used to record the levels of lactate, whose IV infusion can ppt. panic episodes in ~ 3/4th of the pts. with either Panic D/o or Major Depression  Brain lactate conc. were found to be elevated during panic attacks, even without provocative infusion in panic disorder pts.
  • 108.
  • 109.
    Structural imaging inPTSD Studies in PTSD Vietnam combat veterans revealed:  Reduced left and right hippocampal volume  Volume reductions were associated with severity of combat exposure.  A similar study was undertaken with Gulf war veterans in Israel, and these data are have shown similar findings  Hippocampus (green), Fornix (blue) and Mammilary Bodies (gray) are shown in 3D. Boone, Omar et al. Longitudinal MRI Study of Hippocampal Volume in Trauma Survivors With PTSD. Am J Psychiatry 2001; 158:1248–1251
  • 110.
     Smaller hippocampal volumeis not a necessary risk factor for developing PTSD and does not occur within 6 months of expressing the disorder  This brain abnormality might occur in individuals with chronic or complicated PTSD. Boone, Omar et al. Longitudinal MRI Study of Hippocampal Volume in Trauma Survivors With PTSD. Am J Psychiatry 2001; 158:1248–1251
  • 111.
    Twin studies inPTSD  A study reported in Nature-Neuroscience evaluated MR brain morphometry of the hippocampus in monozygotic twins discordant for PTSD. The PTSD twin was diagnosed with PTSD as a result of combat exposure in the Vietnam War.  The twin aspect of this study was important as it showed that individuals discordant for PTSD showed reduced hippocampal volume compared with twins where PTSD was present in neither twin.  This finding suggests that there may be a predisposition or vulnerability factor involved in the genesis of PTSD Gilberson, MW et al. Smaller hippocampal volume predicts pathologic vulnerability to psychological trauma. Nature-Neuroscience, October 2002
  • 112.
    Functional imaging inPTSD  fMRI studies have found increased activity in Amygdala, a brain region associated with fear.
  • 113.
  • 114.
    Structural imaging (CT& MRI)  Shows no consistent findings.  Increased cortical grey & white matter volumes from 5 yrs of age with peak at 12-15 yrs of age.  Early onset ADHD may be associated with smaller total brain volume in- 4% cases.  Decrease in the volume of posterior inferior cerebellar vermis may be noted.(region involved in attention processing)
  • 115.
    Functional imaging (fMRI,SPECT, PET)  PET has shown that adolescent females with ADHD have globally lower glucose metabolism that both normal controls & males with ADHD.  PET scan has also shown lower CBF and metabolic rates in the frontal lobes of children with ADHD.  This may be because frontal lobes in children with ADHD are not adequately performing their inhibitory mechanism on lower structures, leading to disinhibition.  Less striatal activation during cognition inhibition tasks.
  • 117.
    PET Scan ADHD vs.Normal White, Red, Orange = higher glucose metabolism Blue, Green, Purple = lower glucose metabolism
  • 118.
  • 119.
    Structural imaging  Significant DECREASEof grey matter concentration in superior temporal sulcus bilaterally, an area which is critical for perception of key social stimuli.  Also a decrease of white matter concentration in the right temporal pole and in cerebellum compared to normal children.  INCREASE in total cerebral volume, both in grey and white matter, mostly in the occipital, temporal and parietal lobes.  Brain enlargement has been considered as a possible biomarker for autistic disorder.
  • 121.
    Functional imaging  Bilateral hypoperfusionof the temporal lobes in autistic children.  In addition, activation abnormalities may be observed in the temporal lobes and amygdala, which are involved in language and social cognition.  An increase in visual cortex activity was also reported
  • 123.
    Message…  Neuroimaging can bestructural / functional  Functional imaging more useful than structural in psychiatry  Neuroimaging in psychiatry is presently used mainly to rule out neurological causes, and in evalulation of dementia  Sensitiviy & specifity of imaging in psychiatry is not much  Still various studies and their findings and newer developments holds a promising future for neuroimaging in psychiatric diagnosis & managements.
  • 125.
    Presented and Madeby- Dr.Swapnil Agrawal Resident- Psychiatry Govt. Medical College, Kota (Raj) dr.swapnil@yahoo.co.in

Editor's Notes

  • #9 Colour of infarct tissue??
  • #26 Attenuate means to decrease, to fade away.Hasten means to rush, of move fast.
  • #27 Anterior and medial most part of temporal lobe amygdala.
  • #28 Just behind the amygdala is the hippocampus
  • #34 MRSki image daalnihai…!!!
  • #35 How diff nuclei are studied here??
  • #36 Lactate infusion can precipitate panic attacks in 3/4th of pts with panic disorder or major depression.
  • #39 PET & SPECT requires radioisotopes for scanning.PET scanning may give information specifically about neuronal metabolism.
  • #40 This slide shows lower blood flow in …………….in depressed subjects compared to controls.
  • #41 This slide shows lower blood flow in …………….in schiz subjects compared to controls.
  • #51 ????
  • #92 Left sided activation of regions in PFC is more involved in goal directed and appetitive behaviors.Right PFC is implicated in avoidance behaviors and inhibition of appetitive persuits.
  • #93 Is this showing greater activation in frontal and anterior temporal areas??????
  • #95 Left sided activation of regions in PFC is more involved in goal directed and appetitive behaviors.Right PFC is implicated in avoidance behaviors and inhibition of appetitive persuits.
  • #97 A 2003 study found that adult and adolescent bipolar patients tended to have considerably smaller amygdala volumes and somewhat smaller hippocampal volumes. amygdala is found to be activated in fMRI when people observe that others are physically close to them, such as when a person being scanned knows that an experimenter is standing immediately next to the scanner, versus standing at a distance
  • #110 Mammilary bodies - They, along with the anterior and dorsomedial nuclei in the thalamus, are involved with the processing of recognition memory.They are believed to add the element of smell to memories.