EPILEPSY SURGERY
DR K SASHANKA
WHEN TO CONSIDER EPILEPSY SURGERY ?
• Persistent Seizures despite adequate pharmacological treatment
• Drug resistant epilepsy may be defined as failure of adequate trials of two
tolerated and appropriately chosen and used AED schedules (whether as
monotherapies or in combination) to achieve sustained seizure freedom) .
AIM OF PRESURGICAL WORKUP
• Complete resection (or disconnection) of the cortical areas or networks
responsible for the generation of seizures (epileptogenic zone [EZ]), leading to
complete seizure control in patients in whom multiple antiepileptic
medications have failed.
• Accurate and comprehensive mapping of the anatomo-electro-clinical (AEC)
network
WORKUP IN A NUTSHELL
• Noninvasive
1. Video EEG
2. Magnetoencephalography (MEG),
3. EEG-fMRI,
4. Nuclear imaging (PET,SPECT )
5. Neuropsychological testing
6. Wada (intracarotid amobarbital) test
• Invasive
1. Subdural Grid Implantation Method
2. Stereo-Electroencephalography Method.
DETAILED HISTORY
EEG
• Developed in 1924.
• Awake & Sleep
• Ictal & Interictal
• Eye opening & Closure, Hyperventilation, Photic stimulation.
SCALP EEG
• Lateralization (left vs. right hemisphere) and localization.
• Additional electrodes that are particularly sensitive to medial temporal
discharges.
• The presence of interictal (between seizures) epileptiform discharges.
• EDs: sharp waves or spikes.
• Lack of EDs does NOT rule out epilepsy (up to 10%).
• Interictal s/o increased epileptogenic potential.
• Ictal Eds s/o classification of seizure, brain region of seizure activity.
• Sensitivity and specificity depends upon,
1. Localization of epileptic brain tissue.
2. Duration of recording.
3. Use of supplementary electrodes.
4. Frequency of seizures
5. Timing in relation to last seizure.
Diagnostic yield increases to 90 % in TLE by obtaining
sleep study (Vs 50 % in awake)
VIDEO EEG
• The combined use of video and EEG recording improves the
sensitivity and specificity over EEG recording alone.
• In many cases of medically refractory seizures, video-EEG
recording of the patient's symptoms should be performed as a
first study in the proper classification of the seizure disorder.
• Inpatient monitoring is often necessary when AEDs are
withdrawn to enhance the chance of recording a seizure during
monitoring.
NEURORADIOLOGICAL EVALUTION FOR EPILEPSY
SURGERY
WHEN IS IT INDICATED ?
• The Neuroimaging Commission of the International League Against Epilepsy
1. The onset of partial seizures, at any age.
2. The onset of generalized or unclassified seizures in the first year of life or in adulthood.
3. Evidence of a fixed deficit on neurological or neuropsychological examination.
4. Difficulty obtaining seizure control with first-line antiepileptic drugs.
5. Loss of seizure control or a change in the pattern of seizures.
TYPES
1. STRUCTURAL IMAGING
2. FUNCTIONAL IMAGING
WHAT IS EPILEPSY PROTOCOL ?
1. Volumetric T1-weighted dataset with slices of 1- to 2-mm thickness
2. Axial and sagittal high-resolution T2-weighted dataset with slices of 2- to 3-mm thickness
3. Coronal fluid-attenuated inversion recovery (FLAIR) sequence in the same plane
4. Three-dimensional FLAIR sequences
5. Coronal T2*-weighted gradient echo sequence (sensitive to paramagnetic substances such
as hemosiderin, useful for ruling out hemorrhagic lesions such as cavernomas)
Images should be acquired in an oblique coronal orientation perpendicular to the long axis of
the hippocampus
OPTIONAL SEQUENCES
1. Magnetization transfer imaging
2. T2-weighted relaxometry imaging
SURGICALLY TREATABLE CAUSES OF EPILEPSY
• Hippocampal Sclerosis - most common form of epilepsy in adults
MTS FEATURES –
1. Temporal horn dilatation, caused by
volume loss of the hippocampus.
2 . Atrophy of the structures that form the
outflow tracts from the hippocampus
(inferiorly, the parahippocampal gyrus,
posteriorly, the ipsilateral fornix connected
to the ipsilateral mammillary body).
3. Atrophy of the structures indirectly
connected with the hippocampus
(the remainder of the temporal lobe, the
thalamus, and the caudate nucleus).
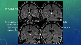
PROBLEMS IN DIAGNOSINS MTS WITH MRI
1. Comparing the volumes of the two hippocampi, including the inability to
detect bilateral hippocampal sclerosis .
2. Possibility of false lateralization in patients with an epileptogenic lesion that
expands the hippocampus.
MALFORMATIONS OF CORTICAL DEVELOPMENT
• Type 1 - malformations resulting from abnormal proliferation of neuronal and glial cells.
• Type 2 - malformations resulting from abnormal neuronal migration.
• Group III: malformations resulting from abnormal cortical organization.
• Polymicrogyria , Schizencephaly
• FOCAL CORTICAL DYPLASIA – Type 2 b - Taylor’s FCD With Balloon cells
Most common
cause of
epilepsy in children
FCD 1- ASSOCIATED
WITH MTS 70%
FCD TYPE 2 -
“funnel” track
between the cortex
and the ventricle
OTHER CAUSES -
• Tumors- contrast
• Vascular malformations – cavernoma – Hemosiderin - GRE
FUNCTIONAL IMAGING
• Diffusion Tensor Imaging-
Magnitude & Direction Of water diffusion.
• Two main disadvantages-
1. It is inadequate in processing voxels containing multiple fiber orientations,
providing unreliable orientation estimates that delineate pathways that do not
exist and failing to identify tracts that do.
2. low signal-to-noise ratio technique, which can also affect the reliability of the
estimated orientations.
• Probabilistic techniques were developed to deal with the issues
APPLICATIONS IN EPILEPSY SURGERY
1. Lesional cases close to eloquent cortex tissue.
2. Beneficial not only for surgical planning but also for neurophysiologic
purposes to better understand the possible connectivity underlying the
electrical spread of the seizure.
3. Postoperative evaluation of disconnection surgery.
FMRI – FUNCTIONAL MRI
• It can be used to map language,motor function,memory, and epileptic activity.
• blood oxygen level–dependent (BOLD) signal is generated .
• The BOLD signal represents the ratio of oxyhemoglobin concentration to
deoxyhemoglobin concentration.
APPLICATIONS IN EPILEPSY SURGERY
• Motor fMRI -Gyral functional anatomy, especially in the context of perirolandic disease that may
cause some migration of function. Motor fMRI can also be used to identify regions of interest
necessary for generating corticospinal tractography.
• Language fMRI- high levels of concordance with the Wada test in lateralizing language function.
Because it is cheap, noninvasive, and repeatable, many centers have abandoned the Wada test in
favor of language fMRI for lateralization of function .
• EEG fmri - noninvasive technique that has the significant advantage of combining the high spatial
resolution of fMRI with the excellent temporal resolution of EEG.
MRS
OTHER NON INVASIVE MODALITIES –
1. FDG PET
2. SPECT
• Use - Nonlesional epilepsy patients in whom the semiology appears focal as a
way of localizing a potential target for implantation of intracranial electrodes.
• Principle - Technetium 99-m ethyl cysteinate diethylester (ECD, Neurolite) or
hexamethyl propylene amine oxime (HMPAO, Ceretec) is distributed to brain
tissue in proportion to cerebral perfusion, is deposited, and remains stable for
up to 4 hours after injection.
• Injection less than 45 seconds from ictal onset is critical. Longer seizures do
not allow for a later injection time.
3.MEG
• MEG can be helpful in source localization of EEG dipoles of interictal
discharges in patients with MRI-negative focal epilepsies.
• MEG is used principally for the localization of interictal epileptiform activity
because the chance of recording a seizure during MEG is very small unless the
patient is having frequent daily seizures or a seizure is coincidentally
recorded.
• MEG also provides functional data, including sensorimotor and language
cortex localization, that may be correlated with interictal epileptiform activity
with high spatial resolution.
INVASIVE TESTING - INDICATIONS
1. The MRI does not show a cortical lesion in a location that is concordant with the
electroclinical or functional hypothesis generated by the video-EEG recordings (so-called MRI
negative cases).
2. The anatomic location of the MRI-identified lesion (and at times the location of a clearly
hypometabolic focal area on PET) is not concordant with the electroclinical hypothesis. Such
cases include deeply seated brain lesions such as periventricular nodular heterotopia or deep
sulcal lesions.
3. There are two or more anatomic lesions with the location of at least one of them being
discordant with the electroclinical hypothesis, or both lesions are located within the same
functional network and it is unclear if one or both of them are epileptic.
4. The generated AEC hypothesis (MRI-negative or MRI identifiable lesion) involves potentially
eloquent cortex. The identification of the EZ, mapping of its extent, and
1.WADA
• Developed by Jun Wada.
• To preoperatively determine which hemisphere contains language function,
this remains its primary use.
• Also used to test memory function within each hemisphere.
• Accomplished by individually cannulating each internal carotid artery.
• After contrast arteriography verifies that blood flows to the corresponding
hemisphere and not to the brainstem or contralateral side, a dose of sodium
amobarbital (sufficient to impede hemispheric function) is injected.
COMPLICATIONS
• Analysis of a series of 677 consecutive patients who underwent Wada testing
revealed a considerably higher complication rate
• adverse events occurred in 74 patients (10.9%)
• Encephalopathy (7.2%), seizure (1.2%), stroke (0.6%), transient ischemic
attack (0.6%), localized hemorrhage at the catheter insertion site (0.6%),
carotid artery dissection (0.4%), allergic reaction to contrast (0.3%), bleeding
from the catheter insertion site (0.1%), and infection (0.1%). Persistent
deficits (i.e., greater than 3 months) occurred in four patients (0.6%)—three
patients with stroke and one patient with dissection.
2.SUBDURAL STRIP AND GRID RECORDINGS
INDICATIONS AND APPLICATIONS
• In addition to localizing the epileptogenic focus, intracranial strips and grids may be implanted for
mapping eloquent cortex within or near the epileptogenic focus.
• Although cortical mapping can be performed in the operating room, extraoperative mapping using
implanted subdural electrodes offers several advantages.
1 .More complex cognitive functions can be mapped in implanted patients, in comparison with the
limited tasks that can be mapped in the operating room.
2. in contrast to intraoperative mapping, which is generally limited to 1 to 2 hours, implanted subdural
strips and grids usually remain in place several days, permitting significantly more time for testing.
3. Subdural EEG offers a means of brain mapping in children or adults who are unable to cooperate with
an awake craniotomy.
3 . STERIO- EEG-
INDICATIONS
1. The possibility of a deep-seated or difficult-to-cover location
of the EZ in areas such as the mesial structures of the temporal
lobe, perisylvian areas, cingulate gyrus and mesial
interhemispheric regions, ventromedial prefrontal areas, insula,
and depths of sulci
2. The failure of a previous subdural invasive study to outline
the exact location of the seizure onset zone
3. The need for extensive bihemispheric explorations (in
particular in focal epilepsies arising from the interhemispheric
or deep insular regions, or temporoparietooccipital junction)
4. Presurgical evaluation suggestive of an extended network
involvement (e.g., temporofrontal or frontoparietal) in the
setting of normal MRI
DISADVANTAGES
• Surgical risks
• Restricted capability for performing functional mapping. Because of the
limited number of contacts located in the superficial cortex, a contiguous
mapping of eloquent brain areas cannot be obtained as in the subdural
method mapping.
SURGICAL APPROACHES FOR EPILEPSY
LOBECTOMY
• 1. EXTRA TEMPORAL LOBECTOMY
• 2. TEMPORAL LOBECTOMY -
A. STANDARD TEMPORAL LOBECTOMY
B. SELECTIVE AMYGDALOHIPPOCAMPECTOMY
C. LASER INTERSTETIAL THERMAL THERAPY
D. SRS
EXTRA TEMPORAL LOBECTOMY
1.FRONTAL LOBE SURGERY
• 6% to 30% of all epilepsy surgeries and represents the second most common
procedure performed to treat intractable focal epilepsy after TLE surgery.
• Seizure freedom rates with frontal resections have varied from 13% to 80%,
significantly lower success rates than those observed with temporal
Resections .
PREDICTORS OF SEIZURE RECURRENCE
• Lower success rates of FLE surgery include difficulty localizing the epileptogenic zone with
EEG data secondary to rapid ictal spread through the frontal lobe.
• Difficulty achieving a complete surgical resection secondary to proximity of functional and
eloquent cortex .
• Preponderance of cortical dysplasia, often invisible on MRI, as the epilepsy etiology in the
frontal lobe as opposed to clearly localized HS in the temporal lobe.
• Complete resection of the epileptogenic lesion has consistently been found to predict seizure
freedom.
TEMPORAL LOBECTOMY
1.STANDARD TEMPORAL LOBECTOMY
• One of the most common and effective procedures for the treatment of medically
refractory epilepsy.
• Spencer et.al. 1984
• Indications –
1. Complex partial seizures with semiology typical of mesial temporal lobe epilepsy.
2. MRI evidence of unilateral hippocampal atrophy and increased T2-weighted signal.
3. Unilateral temporal lobe hypometabolism on PET scans.
4. EEG confirmation that seizures begin over the temporal area ipsilateral to the
hippocampal atrophy or PET scan evidence of hypometabolism in anteromedial temporal
region
• Resect anterior 3-3.5cm of middle
and inferior temporal gyrus
• Amygdala
• 2.5 vrs 3.5 CM of hippocampus
• Parahippocampal gyrus
SURGICAL COMPLICATIONS
• Very low perioperative mortality rate in the hands of experienced epilepsy
surgeons (about 0.1%-0.5%).
• Visual field deficits (caused by violation of visual path fibers), temporalis
muscle wasting, frontalis nerve palsy, language deficits, problems with
semantic processing .
• Diplopia, and hemiparesis (secondary to injury of the anterior choroidal
artery)
OUTCOME
• Engel Class I outcome (freedom from disabling seizures) in 70%-80% of
patients at 2 years after surgery.
• This declines to about 50% at 5 years.
• Several factors have been shown to predict an unfavourable outcome:
presence of epileptic activity on EEG at 6 months postop, frequent
preoperative seizures, generalized motor seizures, bilateral MRI
abnormalities, and increased epilepsy duration.
2.SELECTIVE AMYGDALOHIPPOCAMPECTOMY
• Almost every direct comparison study has shown equivalent seizure freedom
rates (60%-90% at 3-6 years of follow-up) between SAH and ATL in adult
patients.
• The most consistent finding across multiple retrospective studies is a smaller
decline in verbal memory in dominant lobe SAH surgical resection than that
seen in ATL
3. LASER INTERSTITIAL THERMAL THERAPY
• It is a technique in which a laser fiber is stereotactically implanted into the
region of choice and progressively heated to thermally ablate the region
under MRI guidance.
• Theoretical benefit of LITT is obvious, but there are few data regarding
long-term follow-up in these patients. Whether seizure freedom persists
after LITT for MTLE remains to be determined.
4. STEREOTACTIC RADIOSURGERY
• The effect of SRS on seizure frequency is delayed, with a maximum reduction
in seizures typically seen 12 to 18 months after treatment.
• During this time, seizures continue to occur, and the risk of associated
morbidity and mortality .
• Régis and Barbaro , showed seizure freedom rates of 58% and 73% at 1 and 2
years of follow-up.
• The Radiosurgery or Open Surgery for Epilepsy (ROSE) trial is a prospective,
randomized controlled trial in which enrollment has now ceased and data
collection and analysis is ongoing.
TOPECTOMY
• Resection of cortex outside medial temporal lobe
• Boundaries of resections determined by ECOG
• Suspected regions of epileptogenesis may involve eloquent cortex
• Mapping of cortical function during diagnostic work-up
• Extra-operative techniques: fMRI, MEG
• Mapping by intraoperative cortical stimulation
• In the absence of pathological abnormalities, extratemporal resections
represent the poorest outcome.
HEMISPHERIC DISCONNECTION PROCEDURES
• Anatomical hemisphrectomy - Dandy in 1923 – malignant glioma
• Functional hemisphrectomy 1970s by Rasmussen
• 1990 -2 different approaches were described
Vertical approach was described by Delalande and colleagues
Lateral approach was described by Villemure et al
ETIOLOGIES
• Drug-resistant epilepsy resulting from diffuse damage to one hemisphere.
• Such damage is usually associated with hemiparesis,hemianopia, and,
frequently, delayed cognitive development.
INDICATIONS
• Unihemispheric lesions that are either inborn or occurred around the time of
birth and manifested during infancy or early childhood as frequent and
intractable seizures.
• Hemispherotomy is also indicated for small infants with so-called catastrophic
epilepsy, manifesting early after birth, usually from severe hemispheric
damage or an inborn malformation in which lengthy drug treatment is known
to be unsuccessful.
CONTRAINDICATIONS
• Patients with independently arising seizures from the so-called healthy
hemisphere.
• Presence of incomplete hemianopia may be considered a contraindication,
especially in older children.
• Mental retardation is no longer considered a contraindication.
LATERAL TRANSSYLVIAN/TRANSVENTRICULAR
APPROACH
• STEP 3 – OPEN VENTRICLE COMPLETELY
• STEP 4 – MESIAL DISCONNECTION
• the blue line is the paramedian callosal transection
• the anterior red line represents the frontobasal
disconnection
• the yellow line represents the temporomesial
disconnection anterior to the choroidal point
• the posterior red line shows the
occipitotemporomesial disconnection through the
trigonal area
• the dotted red line shows the temporomesial
disconnection along the choroidal fissure, used if
one chooses not to resect the hippocampus.
• The green oval shows resection of the
hippocampus, which is frequently done to obtain a
good specimen.
VERTICAL PARASAGITTAL HEMISPHEROTOMY
• 1. A parasagittal frontal craniotomy approximately 3 × 5 cm insize, one third anterior
and two thirds posterior to the coronal suture.
• 2. Transcortical access to the lateral ventricle via limited cortical resection to enable
access to the foramen of Monro and the posterior thalamic region.
• 3.Paramedian callosotomy, including transection of the posteriorcolumn of the
fornix.
• 4. Lateral transection between the thalamus and the striatum starting in the lateral
ventricle and reaching down to the temporal horn.
• 5. After completion of the anterior callosotomy, resection of the posterior part of the
gyrus rectus and extension of the transection line laterally so that the head of the
caput caudatum meets the substriatal transection line lateral to the thalamus
EFFECT OF SURGICAL TECHNIQUE
• More recent series report seizure outcome rates ranging from 75% to 90%.
• Functional hemispherectomy techniques are associated with reduced risk for
late complications (hydrocephalus) and a somewhat lower rate of
intraoperative complications than anatomic hemispherectomy is.
LONG TERM OUTCOME
• seizure-free rates of 78% at 6 months dropped to 70% at 2 years and 58% at 5
years
CORPUS CALLOSOTOMY
• 1940 by van Wagenen and Herren
• Callosotomy is a palliative procedure and does not achieve a cure, it is not a
suitable option for patients with resectable seizure foci.
• Corpus callosotomy has been used to successfully treat a wide variety of
generalized seizures. Patients with atonic seizures have repeatedly shown
superior results, with an 80% to 100% reduction in drop attacks.
• There is considerable debate as to the ideal length of the callosotomy, with
multiple series showing benefit for both partial and complete disconnection.
• Extensive callosotomies offer the greater chance of seizure reduction albeit
with the possibility of greater morbidity. For this reason, callosotomies are
usually performed in a staged manner.
MULTIPLE SUBPIAL TRANSECTION
• Subpial transection is reserved for patients in whom the
seizure activity originates in eloquent cortex.
VAGUS NERVE STIMULATION
• FDA approval of VNS in 1997 as adjunctive therapy in patients
12 years of age and older.
• Mechanism of action of VNS not clear.
• Desynchronizing electroencephalography activity.
Indications for VNS
• Medical therapy has failed
• Patient unsuitable candidate for resection
At 12 months, the mean seizure reduction in patients was 45% in
an intention-to-treat analysis of the initial 195-person enrollment
COMPLICATIONS
• Infection - 5–7%
• Vocal cord paralysis ~ 1% of patients
• Hoarseness, cough, dyspnea, nausea, and obstructive sleep apnea.
DBS- ANT
• seizure frequency continued
to decline during the open-
label stimulation phase, with a
median seizure frequency
decrease of
41% at 1 year, 56% at 2 years,24
and 69% at 5 years
RESPONSIVE NEUROSTIMULATION
• The responder rate (>50%
seizure reduction) was
43% at 1 year
postimplantation and 46%
at 2 years.
Epilepsy surgery
Epilepsy surgery

Epilepsy surgery

  • 1.
  • 2.
    WHEN TO CONSIDEREPILEPSY SURGERY ? • Persistent Seizures despite adequate pharmacological treatment • Drug resistant epilepsy may be defined as failure of adequate trials of two tolerated and appropriately chosen and used AED schedules (whether as monotherapies or in combination) to achieve sustained seizure freedom) .
  • 3.
    AIM OF PRESURGICALWORKUP • Complete resection (or disconnection) of the cortical areas or networks responsible for the generation of seizures (epileptogenic zone [EZ]), leading to complete seizure control in patients in whom multiple antiepileptic medications have failed. • Accurate and comprehensive mapping of the anatomo-electro-clinical (AEC) network
  • 4.
    WORKUP IN ANUTSHELL • Noninvasive 1. Video EEG 2. Magnetoencephalography (MEG), 3. EEG-fMRI, 4. Nuclear imaging (PET,SPECT ) 5. Neuropsychological testing 6. Wada (intracarotid amobarbital) test • Invasive 1. Subdural Grid Implantation Method 2. Stereo-Electroencephalography Method.
  • 5.
  • 6.
    EEG • Developed in1924. • Awake & Sleep • Ictal & Interictal • Eye opening & Closure, Hyperventilation, Photic stimulation.
  • 7.
    SCALP EEG • Lateralization(left vs. right hemisphere) and localization. • Additional electrodes that are particularly sensitive to medial temporal discharges. • The presence of interictal (between seizures) epileptiform discharges. • EDs: sharp waves or spikes. • Lack of EDs does NOT rule out epilepsy (up to 10%).
  • 8.
    • Interictal s/oincreased epileptogenic potential. • Ictal Eds s/o classification of seizure, brain region of seizure activity. • Sensitivity and specificity depends upon, 1. Localization of epileptic brain tissue. 2. Duration of recording. 3. Use of supplementary electrodes. 4. Frequency of seizures 5. Timing in relation to last seizure. Diagnostic yield increases to 90 % in TLE by obtaining sleep study (Vs 50 % in awake)
  • 9.
    VIDEO EEG • Thecombined use of video and EEG recording improves the sensitivity and specificity over EEG recording alone. • In many cases of medically refractory seizures, video-EEG recording of the patient's symptoms should be performed as a first study in the proper classification of the seizure disorder. • Inpatient monitoring is often necessary when AEDs are withdrawn to enhance the chance of recording a seizure during monitoring.
  • 10.
  • 11.
    WHEN IS ITINDICATED ? • The Neuroimaging Commission of the International League Against Epilepsy 1. The onset of partial seizures, at any age. 2. The onset of generalized or unclassified seizures in the first year of life or in adulthood. 3. Evidence of a fixed deficit on neurological or neuropsychological examination. 4. Difficulty obtaining seizure control with first-line antiepileptic drugs. 5. Loss of seizure control or a change in the pattern of seizures.
  • 12.
  • 13.
    WHAT IS EPILEPSYPROTOCOL ? 1. Volumetric T1-weighted dataset with slices of 1- to 2-mm thickness 2. Axial and sagittal high-resolution T2-weighted dataset with slices of 2- to 3-mm thickness 3. Coronal fluid-attenuated inversion recovery (FLAIR) sequence in the same plane 4. Three-dimensional FLAIR sequences 5. Coronal T2*-weighted gradient echo sequence (sensitive to paramagnetic substances such as hemosiderin, useful for ruling out hemorrhagic lesions such as cavernomas) Images should be acquired in an oblique coronal orientation perpendicular to the long axis of the hippocampus
  • 14.
    OPTIONAL SEQUENCES 1. Magnetizationtransfer imaging 2. T2-weighted relaxometry imaging
  • 15.
    SURGICALLY TREATABLE CAUSESOF EPILEPSY • Hippocampal Sclerosis - most common form of epilepsy in adults MTS FEATURES – 1. Temporal horn dilatation, caused by volume loss of the hippocampus. 2 . Atrophy of the structures that form the outflow tracts from the hippocampus (inferiorly, the parahippocampal gyrus, posteriorly, the ipsilateral fornix connected to the ipsilateral mammillary body). 3. Atrophy of the structures indirectly connected with the hippocampus (the remainder of the temporal lobe, the thalamus, and the caudate nucleus).
  • 16.
    PROBLEMS IN DIAGNOSINSMTS WITH MRI 1. Comparing the volumes of the two hippocampi, including the inability to detect bilateral hippocampal sclerosis . 2. Possibility of false lateralization in patients with an epileptogenic lesion that expands the hippocampus.
  • 17.
    MALFORMATIONS OF CORTICALDEVELOPMENT • Type 1 - malformations resulting from abnormal proliferation of neuronal and glial cells.
  • 18.
    • Type 2- malformations resulting from abnormal neuronal migration.
  • 19.
    • Group III:malformations resulting from abnormal cortical organization. • Polymicrogyria , Schizencephaly
  • 20.
    • FOCAL CORTICALDYPLASIA – Type 2 b - Taylor’s FCD With Balloon cells Most common cause of epilepsy in children FCD 1- ASSOCIATED WITH MTS 70% FCD TYPE 2 - “funnel” track between the cortex and the ventricle
  • 21.
    OTHER CAUSES - •Tumors- contrast • Vascular malformations – cavernoma – Hemosiderin - GRE
  • 22.
    FUNCTIONAL IMAGING • DiffusionTensor Imaging- Magnitude & Direction Of water diffusion. • Two main disadvantages- 1. It is inadequate in processing voxels containing multiple fiber orientations, providing unreliable orientation estimates that delineate pathways that do not exist and failing to identify tracts that do. 2. low signal-to-noise ratio technique, which can also affect the reliability of the estimated orientations. • Probabilistic techniques were developed to deal with the issues
  • 23.
    APPLICATIONS IN EPILEPSYSURGERY 1. Lesional cases close to eloquent cortex tissue. 2. Beneficial not only for surgical planning but also for neurophysiologic purposes to better understand the possible connectivity underlying the electrical spread of the seizure. 3. Postoperative evaluation of disconnection surgery.
  • 24.
    FMRI – FUNCTIONALMRI • It can be used to map language,motor function,memory, and epileptic activity. • blood oxygen level–dependent (BOLD) signal is generated . • The BOLD signal represents the ratio of oxyhemoglobin concentration to deoxyhemoglobin concentration.
  • 25.
    APPLICATIONS IN EPILEPSYSURGERY • Motor fMRI -Gyral functional anatomy, especially in the context of perirolandic disease that may cause some migration of function. Motor fMRI can also be used to identify regions of interest necessary for generating corticospinal tractography. • Language fMRI- high levels of concordance with the Wada test in lateralizing language function. Because it is cheap, noninvasive, and repeatable, many centers have abandoned the Wada test in favor of language fMRI for lateralization of function . • EEG fmri - noninvasive technique that has the significant advantage of combining the high spatial resolution of fMRI with the excellent temporal resolution of EEG.
  • 26.
  • 28.
    OTHER NON INVASIVEMODALITIES – 1. FDG PET
  • 29.
    2. SPECT • Use- Nonlesional epilepsy patients in whom the semiology appears focal as a way of localizing a potential target for implantation of intracranial electrodes. • Principle - Technetium 99-m ethyl cysteinate diethylester (ECD, Neurolite) or hexamethyl propylene amine oxime (HMPAO, Ceretec) is distributed to brain tissue in proportion to cerebral perfusion, is deposited, and remains stable for up to 4 hours after injection. • Injection less than 45 seconds from ictal onset is critical. Longer seizures do not allow for a later injection time.
  • 31.
    3.MEG • MEG canbe helpful in source localization of EEG dipoles of interictal discharges in patients with MRI-negative focal epilepsies. • MEG is used principally for the localization of interictal epileptiform activity because the chance of recording a seizure during MEG is very small unless the patient is having frequent daily seizures or a seizure is coincidentally recorded. • MEG also provides functional data, including sensorimotor and language cortex localization, that may be correlated with interictal epileptiform activity with high spatial resolution.
  • 34.
    INVASIVE TESTING -INDICATIONS 1. The MRI does not show a cortical lesion in a location that is concordant with the electroclinical or functional hypothesis generated by the video-EEG recordings (so-called MRI negative cases). 2. The anatomic location of the MRI-identified lesion (and at times the location of a clearly hypometabolic focal area on PET) is not concordant with the electroclinical hypothesis. Such cases include deeply seated brain lesions such as periventricular nodular heterotopia or deep sulcal lesions. 3. There are two or more anatomic lesions with the location of at least one of them being discordant with the electroclinical hypothesis, or both lesions are located within the same functional network and it is unclear if one or both of them are epileptic. 4. The generated AEC hypothesis (MRI-negative or MRI identifiable lesion) involves potentially eloquent cortex. The identification of the EZ, mapping of its extent, and
  • 35.
    1.WADA • Developed byJun Wada. • To preoperatively determine which hemisphere contains language function, this remains its primary use. • Also used to test memory function within each hemisphere. • Accomplished by individually cannulating each internal carotid artery. • After contrast arteriography verifies that blood flows to the corresponding hemisphere and not to the brainstem or contralateral side, a dose of sodium amobarbital (sufficient to impede hemispheric function) is injected.
  • 36.
    COMPLICATIONS • Analysis ofa series of 677 consecutive patients who underwent Wada testing revealed a considerably higher complication rate • adverse events occurred in 74 patients (10.9%) • Encephalopathy (7.2%), seizure (1.2%), stroke (0.6%), transient ischemic attack (0.6%), localized hemorrhage at the catheter insertion site (0.6%), carotid artery dissection (0.4%), allergic reaction to contrast (0.3%), bleeding from the catheter insertion site (0.1%), and infection (0.1%). Persistent deficits (i.e., greater than 3 months) occurred in four patients (0.6%)—three patients with stroke and one patient with dissection.
  • 37.
    2.SUBDURAL STRIP ANDGRID RECORDINGS
  • 38.
    INDICATIONS AND APPLICATIONS •In addition to localizing the epileptogenic focus, intracranial strips and grids may be implanted for mapping eloquent cortex within or near the epileptogenic focus. • Although cortical mapping can be performed in the operating room, extraoperative mapping using implanted subdural electrodes offers several advantages. 1 .More complex cognitive functions can be mapped in implanted patients, in comparison with the limited tasks that can be mapped in the operating room. 2. in contrast to intraoperative mapping, which is generally limited to 1 to 2 hours, implanted subdural strips and grids usually remain in place several days, permitting significantly more time for testing. 3. Subdural EEG offers a means of brain mapping in children or adults who are unable to cooperate with an awake craniotomy.
  • 39.
    3 . STERIO-EEG- INDICATIONS 1. The possibility of a deep-seated or difficult-to-cover location of the EZ in areas such as the mesial structures of the temporal lobe, perisylvian areas, cingulate gyrus and mesial interhemispheric regions, ventromedial prefrontal areas, insula, and depths of sulci 2. The failure of a previous subdural invasive study to outline the exact location of the seizure onset zone 3. The need for extensive bihemispheric explorations (in particular in focal epilepsies arising from the interhemispheric or deep insular regions, or temporoparietooccipital junction) 4. Presurgical evaluation suggestive of an extended network involvement (e.g., temporofrontal or frontoparietal) in the setting of normal MRI
  • 40.
    DISADVANTAGES • Surgical risks •Restricted capability for performing functional mapping. Because of the limited number of contacts located in the superficial cortex, a contiguous mapping of eloquent brain areas cannot be obtained as in the subdural method mapping.
  • 42.
  • 43.
    LOBECTOMY • 1. EXTRATEMPORAL LOBECTOMY • 2. TEMPORAL LOBECTOMY - A. STANDARD TEMPORAL LOBECTOMY B. SELECTIVE AMYGDALOHIPPOCAMPECTOMY C. LASER INTERSTETIAL THERMAL THERAPY D. SRS
  • 44.
    EXTRA TEMPORAL LOBECTOMY 1.FRONTALLOBE SURGERY • 6% to 30% of all epilepsy surgeries and represents the second most common procedure performed to treat intractable focal epilepsy after TLE surgery. • Seizure freedom rates with frontal resections have varied from 13% to 80%, significantly lower success rates than those observed with temporal Resections .
  • 45.
    PREDICTORS OF SEIZURERECURRENCE • Lower success rates of FLE surgery include difficulty localizing the epileptogenic zone with EEG data secondary to rapid ictal spread through the frontal lobe. • Difficulty achieving a complete surgical resection secondary to proximity of functional and eloquent cortex . • Preponderance of cortical dysplasia, often invisible on MRI, as the epilepsy etiology in the frontal lobe as opposed to clearly localized HS in the temporal lobe. • Complete resection of the epileptogenic lesion has consistently been found to predict seizure freedom.
  • 46.
    TEMPORAL LOBECTOMY 1.STANDARD TEMPORALLOBECTOMY • One of the most common and effective procedures for the treatment of medically refractory epilepsy. • Spencer et.al. 1984 • Indications – 1. Complex partial seizures with semiology typical of mesial temporal lobe epilepsy. 2. MRI evidence of unilateral hippocampal atrophy and increased T2-weighted signal. 3. Unilateral temporal lobe hypometabolism on PET scans. 4. EEG confirmation that seizures begin over the temporal area ipsilateral to the hippocampal atrophy or PET scan evidence of hypometabolism in anteromedial temporal region
  • 47.
    • Resect anterior3-3.5cm of middle and inferior temporal gyrus • Amygdala • 2.5 vrs 3.5 CM of hippocampus • Parahippocampal gyrus
  • 48.
    SURGICAL COMPLICATIONS • Verylow perioperative mortality rate in the hands of experienced epilepsy surgeons (about 0.1%-0.5%). • Visual field deficits (caused by violation of visual path fibers), temporalis muscle wasting, frontalis nerve palsy, language deficits, problems with semantic processing . • Diplopia, and hemiparesis (secondary to injury of the anterior choroidal artery)
  • 49.
    OUTCOME • Engel ClassI outcome (freedom from disabling seizures) in 70%-80% of patients at 2 years after surgery. • This declines to about 50% at 5 years. • Several factors have been shown to predict an unfavourable outcome: presence of epileptic activity on EEG at 6 months postop, frequent preoperative seizures, generalized motor seizures, bilateral MRI abnormalities, and increased epilepsy duration.
  • 50.
  • 51.
    • Almost everydirect comparison study has shown equivalent seizure freedom rates (60%-90% at 3-6 years of follow-up) between SAH and ATL in adult patients. • The most consistent finding across multiple retrospective studies is a smaller decline in verbal memory in dominant lobe SAH surgical resection than that seen in ATL
  • 52.
    3. LASER INTERSTITIALTHERMAL THERAPY • It is a technique in which a laser fiber is stereotactically implanted into the region of choice and progressively heated to thermally ablate the region under MRI guidance. • Theoretical benefit of LITT is obvious, but there are few data regarding long-term follow-up in these patients. Whether seizure freedom persists after LITT for MTLE remains to be determined.
  • 53.
    4. STEREOTACTIC RADIOSURGERY •The effect of SRS on seizure frequency is delayed, with a maximum reduction in seizures typically seen 12 to 18 months after treatment. • During this time, seizures continue to occur, and the risk of associated morbidity and mortality . • Régis and Barbaro , showed seizure freedom rates of 58% and 73% at 1 and 2 years of follow-up. • The Radiosurgery or Open Surgery for Epilepsy (ROSE) trial is a prospective, randomized controlled trial in which enrollment has now ceased and data collection and analysis is ongoing.
  • 54.
    TOPECTOMY • Resection ofcortex outside medial temporal lobe • Boundaries of resections determined by ECOG • Suspected regions of epileptogenesis may involve eloquent cortex • Mapping of cortical function during diagnostic work-up • Extra-operative techniques: fMRI, MEG • Mapping by intraoperative cortical stimulation • In the absence of pathological abnormalities, extratemporal resections represent the poorest outcome.
  • 56.
    HEMISPHERIC DISCONNECTION PROCEDURES •Anatomical hemisphrectomy - Dandy in 1923 – malignant glioma • Functional hemisphrectomy 1970s by Rasmussen • 1990 -2 different approaches were described Vertical approach was described by Delalande and colleagues Lateral approach was described by Villemure et al
  • 57.
    ETIOLOGIES • Drug-resistant epilepsyresulting from diffuse damage to one hemisphere. • Such damage is usually associated with hemiparesis,hemianopia, and, frequently, delayed cognitive development.
  • 58.
    INDICATIONS • Unihemispheric lesionsthat are either inborn or occurred around the time of birth and manifested during infancy or early childhood as frequent and intractable seizures. • Hemispherotomy is also indicated for small infants with so-called catastrophic epilepsy, manifesting early after birth, usually from severe hemispheric damage or an inborn malformation in which lengthy drug treatment is known to be unsuccessful.
  • 59.
    CONTRAINDICATIONS • Patients withindependently arising seizures from the so-called healthy hemisphere. • Presence of incomplete hemianopia may be considered a contraindication, especially in older children. • Mental retardation is no longer considered a contraindication.
  • 60.
  • 61.
    • STEP 3– OPEN VENTRICLE COMPLETELY • STEP 4 – MESIAL DISCONNECTION • the blue line is the paramedian callosal transection • the anterior red line represents the frontobasal disconnection • the yellow line represents the temporomesial disconnection anterior to the choroidal point • the posterior red line shows the occipitotemporomesial disconnection through the trigonal area • the dotted red line shows the temporomesial disconnection along the choroidal fissure, used if one chooses not to resect the hippocampus. • The green oval shows resection of the hippocampus, which is frequently done to obtain a good specimen.
  • 62.
    VERTICAL PARASAGITTAL HEMISPHEROTOMY •1. A parasagittal frontal craniotomy approximately 3 × 5 cm insize, one third anterior and two thirds posterior to the coronal suture. • 2. Transcortical access to the lateral ventricle via limited cortical resection to enable access to the foramen of Monro and the posterior thalamic region. • 3.Paramedian callosotomy, including transection of the posteriorcolumn of the fornix. • 4. Lateral transection between the thalamus and the striatum starting in the lateral ventricle and reaching down to the temporal horn. • 5. After completion of the anterior callosotomy, resection of the posterior part of the gyrus rectus and extension of the transection line laterally so that the head of the caput caudatum meets the substriatal transection line lateral to the thalamus
  • 63.
    EFFECT OF SURGICALTECHNIQUE • More recent series report seizure outcome rates ranging from 75% to 90%. • Functional hemispherectomy techniques are associated with reduced risk for late complications (hydrocephalus) and a somewhat lower rate of intraoperative complications than anatomic hemispherectomy is.
  • 64.
    LONG TERM OUTCOME •seizure-free rates of 78% at 6 months dropped to 70% at 2 years and 58% at 5 years
  • 65.
    CORPUS CALLOSOTOMY • 1940by van Wagenen and Herren • Callosotomy is a palliative procedure and does not achieve a cure, it is not a suitable option for patients with resectable seizure foci. • Corpus callosotomy has been used to successfully treat a wide variety of generalized seizures. Patients with atonic seizures have repeatedly shown superior results, with an 80% to 100% reduction in drop attacks.
  • 66.
    • There isconsiderable debate as to the ideal length of the callosotomy, with multiple series showing benefit for both partial and complete disconnection. • Extensive callosotomies offer the greater chance of seizure reduction albeit with the possibility of greater morbidity. For this reason, callosotomies are usually performed in a staged manner.
  • 67.
    MULTIPLE SUBPIAL TRANSECTION •Subpial transection is reserved for patients in whom the seizure activity originates in eloquent cortex.
  • 69.
    VAGUS NERVE STIMULATION •FDA approval of VNS in 1997 as adjunctive therapy in patients 12 years of age and older. • Mechanism of action of VNS not clear. • Desynchronizing electroencephalography activity. Indications for VNS • Medical therapy has failed • Patient unsuitable candidate for resection At 12 months, the mean seizure reduction in patients was 45% in an intention-to-treat analysis of the initial 195-person enrollment
  • 70.
    COMPLICATIONS • Infection -5–7% • Vocal cord paralysis ~ 1% of patients • Hoarseness, cough, dyspnea, nausea, and obstructive sleep apnea.
  • 71.
    DBS- ANT • seizurefrequency continued to decline during the open- label stimulation phase, with a median seizure frequency decrease of 41% at 1 year, 56% at 2 years,24 and 69% at 5 years
  • 72.
    RESPONSIVE NEUROSTIMULATION • Theresponder rate (>50% seizure reduction) was 43% at 1 year postimplantation and 46% at 2 years.