Dr Mohit Goel
JR I
28/3/13
 Grey and white matter of CNS differ in
morphology, water content & macromolecular
content mainly membrane lipids.
 Grey matter primarily contain neurons & their
process.
 White matter predominantly composed of
myelinated axons.
 Oligodendroglial cell membrane is the source of
the myelin sheath.
 Cholesterol, galactocerebrosidase,
spingomyelin & phospholipids are found in fully
formed white matter and account for stability &
strength of the myelin membrane.
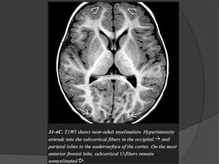
 Normal myelination… Hyperintense on T1 &
Hypointense on T2.
 T1W parallel increase in lipids while T2W
correlates to the period of maturation of myelin
sheath.
General rules of myelination
 Caudad to cephalad.
 Central to peripheral.
 Posterior to anterior.
INFRATENTORIAL
 Dorsal medulla /
midbrain
 Inferior / superior
cerebellar peduncles
 Middle cerebellar
peduncle
 Cerebellar white
matter
T1WI T2WI
First appear at
Birth Birth
Birth Birth
1 mth 3 mth
1 – 3 mth 8 – 18 mth
SUPRATENTORIAL
 Internal capsule
Posterior limb
Anterior limb
 Thalamus
 Pre / postcentral gyri
 Corpus callosum
Splenium
Genu
 Centrum semiovale
 Optic radiations
 Subcortical U fibers
T1WI T2WI
Birth Birth
3 mth 3 – 6 mth
Birth Birth
1 mth 8 – 12 mth
3 – 4 mth 6 mth
6 mth 8 mth
Birth – 1 mth 3 mth
3 mth 3 mth
3 – 8 mth 8 – 18 mth
Birth
 Dorsal medulla / mid brain.
 Inferior / superior cerebellar peduncles.
 Posterior limb of internal capsule.
 Ventrolateral thalamus.
One month
 Deep cerebellar white matter.
 Corticospinal tract.
 Pre / post central gyri.
 Optic nerve / tracts.
Three month
 Cerebellar folia.
 Ventral brainstem.
 Optic radiation.
 Anterior limb of internal capsule.
 Occipital subcortical U fibers.
 Corpus callosum splenium.
Six month
 Corpus callosum genu.
 Paracentral subcortical U fibers.
 Centrum semioval ( Partial ).
Eight month
 Centrum semiovale ( complete except
frontoteporal area ).
 Subcortical U fibers ( complete except most
rostral frontal area ).
Eighteen month
 Essentially like adult.
Myelination milestones after
birth
T1WI
 3 m cerebellar white
matter
 4 m corpus callosum
splenium
 6 m corpus callosum
genu
T2WI
 6 m corpus callosum
splenium
 8 m corpus callosum
genu
 11 m anterior limb
internal capsule
 14 m frontal white
matter
White matter diseases are traditionally divided into two
categories:
• Dysmyelinating diseases
• Demyelinating diseases
• Hypomyelinating diseases
Dysmyelinating diseases - also known as leukodystrophies,
result from an inherited enzyme deficiency that causes
abnormal formation, destruction, or turnover of myelin.
Demyelinating diseases - involve destruction of intrinsically
normal myelin.
Hypomyelinating diseases - the WM may partially myelinate
but never myelinates completely).
Classification of Leukodystrophies on the Basis of Organelle Disorder
Metachromatic Leukodystrophy
The imaging hallmark of MLD is a rapidly progressive leukodystrophy.
Serial CT scans show centrifugal spread of confluent hypodensity with the
corpus callosum splenium and parietooccipital periventricular WM initially
affected.
The disease gradually extends into the frontal and then the temporal WM.
NECT shows symmetric periventricular WM hypodensity
The typical MR appearance is confluent, symmetric, butterfly-shaped
T2/FLAIR hyperintensity in the periventricular WM.
The subcortical U-fibers and cerebellum are typically spared until late in the
disease.
Islands of normal myelin around medullary veins in the WM may produce a
striking "tiger" or "leopard" pattern with linear hypointensities in a sea of
confluent hyperintensity. No enhancement is seen on T1 C+.
A few cases of MLD have been reported with enlarged, enhancing cranial
nerves and/or cauda equina nerve roots.
Restricted diffusion is common.
MRS typically shows elevated choline with variable increase in myoinositol.
Metachromatic Leukodystrophy
X-Linked Adrenoleukodystrophy
Also called "bronze" Schilder disease
CT findings
NECT scans demonstrate
hypodensity in the corpus
callosum splenium and WM
around the atria and occipital
horns of the lateral ventricles.
Calcification in the affected WM
is common.
CECT may show enhancement
around the central hypodense
WM.
MR findings
A posterior-predominant pattern is seen in 80% of patients with X-
ALD.
The earliest finding is T2/FLAIR hyperintensity in the middle of
the corpus callosum splenium.
As the disease progresses, hyperintensity spreads from posterior
to anterior and from the center to the periphery.
The peritrigonal WM, corticospinal tracts, fornix, commissural
fibers, plus the visual and auditory pathways can all eventually
become involved.
The leading edge of demyelination appears hyperintense on
T1WI but does not enhance.
The intermediate zone of active inflammatory demyelination
often enhances on T1 C+.
Diffusion restriction in the intermediate zone of inflammatory
demyelination may be present on DWI.
MRS shows decreased NAA even in normal-appearing WM.
Elevated choline, myoinositol, and lactate are common.
Globoid Cell Leukodystrophy (Krabbe Disease)
GLD is characterized by the presence of unique "globoid" cells in the demyelinating
lesions.
Imaging
NECT scans :
Bilaterally symmetric calcifications
in the thalami, basal ganglia,
internal capsule, corticospinal
tracts, and dentate nuclei of the
cerebellum can sometimes be
Identified.
Classic MR findings in GLD are corticospinal tract hyperintensity on T2/FLAIR
with confluent symmetric demyelination in the deep periventricular WM.
The subcortical U-fibers are typically spared. Bithalamic hypointensity on
T2WI is common.
Diffusion tensor imaging (DTI) may demonstrate reduced fractional anisotropy
in the corticospinal tracts before other abnormalities appear.
MRS findings of elevated choline and decreased NAA in the hemispheric WM
are characteristic but nonspecific.
Cerebellar findings appear early in the disease course.
Alternating "halo" or ring-like hypointensities on T1WI and hyperintensities
on T2WI can be identified in the cerebellar WM surrounding the dentate
nuclei.
Another distinctive feature of GLD is enlargement of the intracranial optic
nerves and chiasm. Diffusely enlarged, enhancing cranial nerves and cauda
equina nerve roots have also been reported in GLD.
Differential Diagnosis
The WM changes in metachromatic leukodystrophy and vanishing white
matter disease may initially appear quite similar, but these disorders lack
the basal ganglia/thalamic calcifications typical of GLD.
Krabbe Disease
Vanishing White Matter Disease
Characterized by diffusely abnormal white matter that literally "vanishes"
over time.
The deep frontoparietal WM is most severely affected with relatively lesser
involvement of the temporal lobes.
Classic VWM presents in children two to five years of age.
IMAGING
Extensive confluent WM T1 hypointensity with T2/FLAIR hyperintensity is
typical.
The disease is initially periventricular but later spreads to involve the
subcortical arcuate fibers. Over time, the affected WM undergoes
rarefaction.
Cavitary foci of CSF-like signal intensity may develop.
Diffuse volume loss with enlarged ventricles and sulci is seen on serial
studies.
VWM does not enhance.
Maple Syrup Urine Disease
Symptoms usually develop within a few days after birth and
include poor feeding, lethargy, vomiting, and seizures.
In severe cases, the urine smells like maple syrup or burnt
sugar.
NECT scans
show profound hypodensity in the myelinated WM with
vasogenic edema in the (Areas of early myelination) dorsal
brainstem, cerebellum, cerebral peduncles, and posterior limb
of the internal capsule.
MR scans show striking T2/FLAIR hyperintensity with relatively
crisp margins.
DWI shows restricted diffusivity
Maple Syrup Urine Disease
Maple Syrup Urine Disease
Subcortical White Matter Predominance
Megaloencephalic Leukodystrophy with Subcortical Cyst
It has remarkably slow course of neurologic deterioration.
Age at symptom onset varies widely, ranging from
birth to 25 years, with median age of six months.
IMAGING
A large head with diffuse confluent WM T2/FLAIR
hyperintensity in the subcortical WM is typical.
The affected gyri appear "watery" and swollen.
The basal ganglia are spared; the corpus callosum and internal capsule are
usually normal. The cerebellar WM is generally normal or only mildly
affected.
Characteristic CSF-like subcortical cysts develop in the anterior temporal
lobes and then appear in the frontoparietal lobes.
Unlike the "watery" WM, the cysts suppress completely on FLAIR. The
number and size of the cysts may increase over time.
The abnormal WM and cysts do not enhance on T1 C+.
MRS shows mild to moderately decreased NAA and reduced NAA:Cr ratio.
Megaloencephalic Leukodystrophy with Subcortical Cyst
Hypomyelinating Disorders
Pelizaeus-Merzbacher Disease
X-linked disorder that results in nearly complete lack of myelination.
One of the most common hypomyelinating disorders.
100% of classic PMD cases occur in males.
PMD is typically identified in infants under one year of age.
Imaging
The typical imaging appearance of PMD is nearly complete lack of
myelination.
The entire cerebral WM appears strikingly and homogeneously
hyperintense on T2WI.
Preserved myelin around perivascular spaces gives the WM a "tiger"
pattern.
Hyperintensity of the pyramidal tracts or entire pons is typically present.
Progressive WM and cerebellar volume loss are common.
Disorders Affecting Both Gray and White Matter
Mucopolysaccharidoses
Lysosomal storage disorders characterized by incomplete degradation and
progressive accumulation of toxic glycosaminoglycan (GAG) in various
organs.
The major features of these disorders are
• Macrocephaly,
• Enlarged perivascular spaces, and
• Pachymeningopathy.
Imaging
Macrocephaly
NECT scans show an enlarged head, often with metopic "beaking".
Progressive hydrocephalus and atrophy can be present.
Enlarged Perivascular Spaces
A striking sieve-like cribriform appearance in the posterior cerebral WM
and corpus callosum is characteristic and is caused by numerous dilated
PVSs (peri-vascular spaces)- also called as "Hurler holes," these
enlarged PVSs are typical of both Hurler and Hunter diseases. They are
much less common in the other MPSs.
NECT scans may show decreased density with multifocal CSF-like
hypodensities in the WM and basal ganglia.
T2 scans show CSF-like hyperintensity in the enlarged PVSs. The
surrounding WM may show patchy or confluent hyperintensity. The PVSs
themselves suppress completely on FLAIR.
The enlarged PVSs do not "bloom" on T2* and do not enhance following
contrast administration.
Pachymeningopathy
Thickened meninges can compress the medulla or upper cervical cord.
Odontoid dysplasia and a short C1 posterior arch—common in the MPSs—
can exacerbate the craniovertebral junction stenosis, causing progressive
myelopathy.
A lumbar gibbus with a "beaked" L1 vertebral body is common in Hurler
disease.
Mucopolysaccharidoses
MR shows virtually complete absence of myelination with confluent
T2/FLAIR hyperintensity throughout the WM and globi pallidi.
Early in the disease course, the subcortical arcuate fibers are initially
affected and the gyri may appear swollen.
As the disease progresses, diffuse volume loss with ventricular and sulcal
enlargement ensues.
The hemispheric and cerebellar WM, basal ganglia, and cortex are all
affected.
MRS - is the key to the definitive diagnosis of CD.
Markedly elevated NAA is seen in virtually all cases.
Cr is reduced. An elevated myoisitol peak is sometimes present.
Canavan Disease
Canavan disease is the only identified genetic disorder caused by a defect in
a metabolite— N-acetyl-L-aspartate (NAA) —that is produced exclusively in
the brain.
The most common form by far is infantile CD. Infantile CD presents between
three and six months and is characterized by hypotonia, macrocephaly, and
seizures.
Death between one or two years is typical.
Imaging
NECT shows a large head with diffuse WM hypodensity in the cerebral
hemispheres and cerebellum.
The globi pallidi also appear hypodense. CD does not enhance.
Canavan Disease
Canavan Disease
Alexander Disease
The infantile form, which is the most common,
patients younger than two years present with megalencephaly, progressive
psychomotor retardation, and seizures.
Imaging
NECT scans of infants with AxD show a large head with symmetric WM
hypodensity in the frontal lobes that extends posteriorly into the caudate
nuclei and internal/external capsules.
Intense bifrontal periventricular enhancement can be seen on CECT scans
early in the disease course.
MR shows T1 hypointensity and T2/FLAIR hyperintensity in the frontal WM,
caudate nuclei, and anterior putamina.
Subcortical U-fibers are involved early in the disease course.
A classic finding is a T1 hypointense, T2 hyperintense rim around the
frontal horns.
FLAIR scans may demonstrate cystic encephalomalacia in the frontal
WM in more severe, protracted cases.
Enlargement of the caudate heads and fornices, which appear swollen
and hyperintense.
The thalami, globi pallidi, brainstem, and cerebellum are less commonly
affected.
MRS shows decreased NAA, elevated myoinositol, and variably
increased choline and lactate.
DWI shows normal to increased diffusivity in the affected WM.
Alexander Disease
Zellweger syndrome spectrum (ZSS)
Imaging
ZSS is characterized by microgyria and pachygyria, often with bilaterally
symmetric parasylvian lesions.
Hypomyelinated WM is seen as confluent T2/FLAIR WM hyperintensity.
Subependymal (caudothalamic) germinolytic cysts are common findings.
Hyperbilirubinemia may cause increased T1 signal intensity in the globi
pallidi of older patients.
Zellweger syndrome spectrum (ZSS)
Leigh Disease
Serum and CSF lactate levels are elevated.
Imaging
Bilaterally symmetric areas of T2/FLAIR hyperintensity in the basal ganglia.
The putamina (especially the posterior segments) are consistently affected, as
are the caudate heads.
The dorsomedial thalami can also be involved whereas the globi pallidi are
less commonly affected.
Mid- and lower brainstem (pons/medulla) lesions are typical.
Leigh Disease
Symmetric lesions in the cerebral peduncles are common, and the
periaqueductal gray matter is frequently affected.
Acute lesions may restrict on DWI but do not enhance.
MRS of the brain parenchyma and CSF typically shows a prominent
lactate peak at 1.3 ppm.
Leigh Disease
Leigh Disease
MELAS
Mitochondrial encephalomyopathy with lactic acidosis and stroke-like
episodes (MELAS)
The clinical triad of lactic acidosis, seizures, and stroke-like episodes is the
classic presentation.
Acute MELAS –
often shows swollen T2/FLAIR hyperintense gyri.
The underlying WM is normal
The cortical abnormalities cross vascular distribution territories,
distinguishing MELAS from acute cerebral infarction.
The parietal and occipital lobes are most commonly affected.
Gyral enhancement on T1 C+ is typical.
MRA shows no evidence of major vessel occlusion.
Chronic MELAS-
shows multifocal lacunar-type infarcts,
symmetric basal ganglia calcifications,
WM volume loss, and progressive
atrophy of the parietooccipital cortex.
MRS
Two-thirds of cases show a prominent lactate "doublet" at 1.3 ppm in
otherwise normal-appearing brain.
One-third of cases show no evidence for elevated lactate levels in the
brain parenchyma but may demonstrate a lactate peak in the ventricular
CSF.
MELAS
Kearns-Sayre Syndrome
KSS typically presents in older children or young adults and is characterized
by short stature, progressive external ophthalmoplegia, retinitis pigmentosa,
sensorineural hearing loss, and ataxia.
Imaging
CT scans show variable symmetric basal ganglia calcifications.
Mild cortical and cerebellar volume loss is common.
MR shows increased signal intensity in the basal ganglia, WM, and
cerebellum on T2/FLAIR.
The subcortical arcuate fibers, corticospinal tracts, cerebellum, and posterior
brainstem are involved early in the disease course while the periventricular
WM remains relatively spared.
DWI shows reduced diffusivity in the brainstem and subcortical WM.
MRS demonstrates elevated lactate.
Kearns-Sayre Syndrome
Kearns-Sayre Syndrome
Kearns-Sayre Syndrome
Glutaric Aciduria Type 1
Imaging
The three "signature" imaging findings of classic GA1 are
(1)macrocrania,
(2) bilateral widened ("open") sylvian fissures, and
(3) bilaterally symmetric basal ganglia lesions.
Severe GA1 may also cause diffuse hemispheric WM abnormalities.
GA1 infants in metabolic crisis often present with acute striatal necrosis.
Bilateral diffusely swollen basal ganglia that are T2/FLAIR hyperintense and
that restrict on DWI are typical.
Chronic GA1 causes enlarged CSF spaces and atrophy.
The volume loss may tear bridging veins that cross from the brain surface to
the dura, resulting in recurrent subdural hematomas.
GA1 does not enhance on T1 C+ scans.
MRS is nonspecific with decreased NAA, increased Cho:Cr ratio, and
(during crisis) elevated lactate level.
Glutaric aciduria type 2 (GA2)
Imaging studies show symmetric T2/FLAIR hyperintensity in the basal
ganglia and hemispheric WM, but the "open" sylvian fissures characteristic
of GA1 are absent.
Glutaric Aciduria Type 1
Glutaric Aciduria Type 1
Glutaric Aciduria Type 1
Glutaric Aciduria Type 1
Myelination disorders

Myelination disorders

  • 1.
  • 2.
     Grey andwhite matter of CNS differ in morphology, water content & macromolecular content mainly membrane lipids.  Grey matter primarily contain neurons & their process.  White matter predominantly composed of myelinated axons.  Oligodendroglial cell membrane is the source of the myelin sheath.
  • 3.
     Cholesterol, galactocerebrosidase, spingomyelin& phospholipids are found in fully formed white matter and account for stability & strength of the myelin membrane.  Normal myelination… Hyperintense on T1 & Hypointense on T2.  T1W parallel increase in lipids while T2W correlates to the period of maturation of myelin sheath.
  • 4.
    General rules ofmyelination  Caudad to cephalad.  Central to peripheral.  Posterior to anterior.
  • 5.
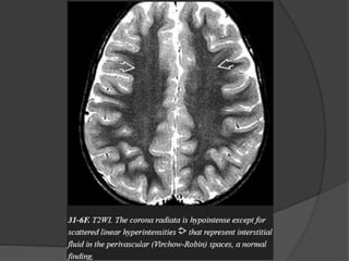
    INFRATENTORIAL  Dorsal medulla/ midbrain  Inferior / superior cerebellar peduncles  Middle cerebellar peduncle  Cerebellar white matter T1WI T2WI First appear at Birth Birth Birth Birth 1 mth 3 mth 1 – 3 mth 8 – 18 mth
  • 6.
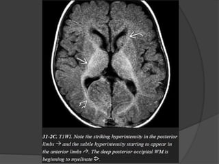
    SUPRATENTORIAL  Internal capsule Posteriorlimb Anterior limb  Thalamus  Pre / postcentral gyri  Corpus callosum Splenium Genu  Centrum semiovale  Optic radiations  Subcortical U fibers T1WI T2WI Birth Birth 3 mth 3 – 6 mth Birth Birth 1 mth 8 – 12 mth 3 – 4 mth 6 mth 6 mth 8 mth Birth – 1 mth 3 mth 3 mth 3 mth 3 – 8 mth 8 – 18 mth
  • 7.
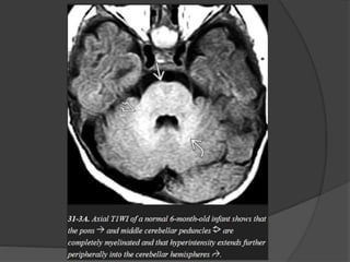
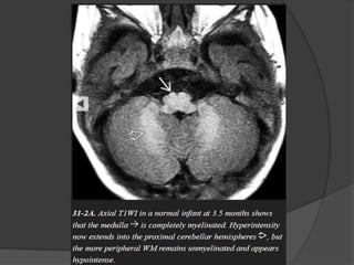
    Birth  Dorsal medulla/ mid brain.  Inferior / superior cerebellar peduncles.  Posterior limb of internal capsule.  Ventrolateral thalamus. One month  Deep cerebellar white matter.  Corticospinal tract.  Pre / post central gyri.  Optic nerve / tracts.
  • 8.
    Three month  Cerebellarfolia.  Ventral brainstem.  Optic radiation.  Anterior limb of internal capsule.  Occipital subcortical U fibers.  Corpus callosum splenium. Six month  Corpus callosum genu.  Paracentral subcortical U fibers.  Centrum semioval ( Partial ).
  • 9.
    Eight month  Centrumsemiovale ( complete except frontoteporal area ).  Subcortical U fibers ( complete except most rostral frontal area ). Eighteen month  Essentially like adult.
  • 23.
    Myelination milestones after birth T1WI 3 m cerebellar white matter  4 m corpus callosum splenium  6 m corpus callosum genu T2WI  6 m corpus callosum splenium  8 m corpus callosum genu  11 m anterior limb internal capsule  14 m frontal white matter
  • 24.
    White matter diseasesare traditionally divided into two categories: • Dysmyelinating diseases • Demyelinating diseases • Hypomyelinating diseases Dysmyelinating diseases - also known as leukodystrophies, result from an inherited enzyme deficiency that causes abnormal formation, destruction, or turnover of myelin. Demyelinating diseases - involve destruction of intrinsically normal myelin. Hypomyelinating diseases - the WM may partially myelinate but never myelinates completely).
  • 25.
    Classification of Leukodystrophieson the Basis of Organelle Disorder
  • 27.
  • 28.
    The imaging hallmarkof MLD is a rapidly progressive leukodystrophy. Serial CT scans show centrifugal spread of confluent hypodensity with the corpus callosum splenium and parietooccipital periventricular WM initially affected. The disease gradually extends into the frontal and then the temporal WM. NECT shows symmetric periventricular WM hypodensity
  • 29.
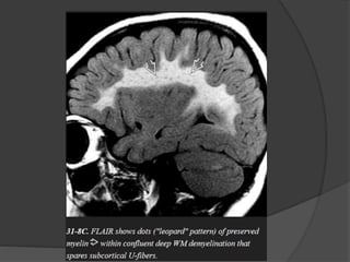
    The typical MRappearance is confluent, symmetric, butterfly-shaped T2/FLAIR hyperintensity in the periventricular WM. The subcortical U-fibers and cerebellum are typically spared until late in the disease. Islands of normal myelin around medullary veins in the WM may produce a striking "tiger" or "leopard" pattern with linear hypointensities in a sea of confluent hyperintensity. No enhancement is seen on T1 C+. A few cases of MLD have been reported with enlarged, enhancing cranial nerves and/or cauda equina nerve roots. Restricted diffusion is common. MRS typically shows elevated choline with variable increase in myoinositol.
  • 30.
  • 32.
  • 34.
    CT findings NECT scansdemonstrate hypodensity in the corpus callosum splenium and WM around the atria and occipital horns of the lateral ventricles. Calcification in the affected WM is common. CECT may show enhancement around the central hypodense WM.
  • 35.
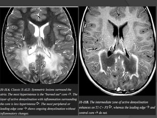
    MR findings A posterior-predominantpattern is seen in 80% of patients with X- ALD. The earliest finding is T2/FLAIR hyperintensity in the middle of the corpus callosum splenium. As the disease progresses, hyperintensity spreads from posterior to anterior and from the center to the periphery. The peritrigonal WM, corticospinal tracts, fornix, commissural fibers, plus the visual and auditory pathways can all eventually become involved.
  • 36.
    The leading edgeof demyelination appears hyperintense on T1WI but does not enhance. The intermediate zone of active inflammatory demyelination often enhances on T1 C+. Diffusion restriction in the intermediate zone of inflammatory demyelination may be present on DWI. MRS shows decreased NAA even in normal-appearing WM. Elevated choline, myoinositol, and lactate are common.
  • 38.
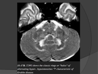
    Globoid Cell Leukodystrophy(Krabbe Disease) GLD is characterized by the presence of unique "globoid" cells in the demyelinating lesions.
  • 39.
    Imaging NECT scans : Bilaterallysymmetric calcifications in the thalami, basal ganglia, internal capsule, corticospinal tracts, and dentate nuclei of the cerebellum can sometimes be Identified.
  • 40.
    Classic MR findingsin GLD are corticospinal tract hyperintensity on T2/FLAIR with confluent symmetric demyelination in the deep periventricular WM. The subcortical U-fibers are typically spared. Bithalamic hypointensity on T2WI is common. Diffusion tensor imaging (DTI) may demonstrate reduced fractional anisotropy in the corticospinal tracts before other abnormalities appear. MRS findings of elevated choline and decreased NAA in the hemispheric WM are characteristic but nonspecific.
  • 41.
    Cerebellar findings appearearly in the disease course. Alternating "halo" or ring-like hypointensities on T1WI and hyperintensities on T2WI can be identified in the cerebellar WM surrounding the dentate nuclei. Another distinctive feature of GLD is enlargement of the intracranial optic nerves and chiasm. Diffusely enlarged, enhancing cranial nerves and cauda equina nerve roots have also been reported in GLD. Differential Diagnosis The WM changes in metachromatic leukodystrophy and vanishing white matter disease may initially appear quite similar, but these disorders lack the basal ganglia/thalamic calcifications typical of GLD.
  • 42.
  • 44.
    Vanishing White MatterDisease Characterized by diffusely abnormal white matter that literally "vanishes" over time. The deep frontoparietal WM is most severely affected with relatively lesser involvement of the temporal lobes. Classic VWM presents in children two to five years of age. IMAGING Extensive confluent WM T1 hypointensity with T2/FLAIR hyperintensity is typical.
  • 45.
    The disease isinitially periventricular but later spreads to involve the subcortical arcuate fibers. Over time, the affected WM undergoes rarefaction. Cavitary foci of CSF-like signal intensity may develop. Diffuse volume loss with enlarged ventricles and sulci is seen on serial studies. VWM does not enhance.
  • 47.
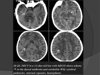
    Maple Syrup UrineDisease Symptoms usually develop within a few days after birth and include poor feeding, lethargy, vomiting, and seizures. In severe cases, the urine smells like maple syrup or burnt sugar. NECT scans show profound hypodensity in the myelinated WM with vasogenic edema in the (Areas of early myelination) dorsal brainstem, cerebellum, cerebral peduncles, and posterior limb of the internal capsule. MR scans show striking T2/FLAIR hyperintensity with relatively crisp margins. DWI shows restricted diffusivity
  • 49.
  • 50.
  • 51.
    Subcortical White MatterPredominance Megaloencephalic Leukodystrophy with Subcortical Cyst It has remarkably slow course of neurologic deterioration. Age at symptom onset varies widely, ranging from birth to 25 years, with median age of six months. IMAGING A large head with diffuse confluent WM T2/FLAIR hyperintensity in the subcortical WM is typical. The affected gyri appear "watery" and swollen. The basal ganglia are spared; the corpus callosum and internal capsule are usually normal. The cerebellar WM is generally normal or only mildly affected.
  • 52.
    Characteristic CSF-like subcorticalcysts develop in the anterior temporal lobes and then appear in the frontoparietal lobes. Unlike the "watery" WM, the cysts suppress completely on FLAIR. The number and size of the cysts may increase over time. The abnormal WM and cysts do not enhance on T1 C+. MRS shows mild to moderately decreased NAA and reduced NAA:Cr ratio.
  • 53.
  • 54.
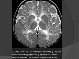
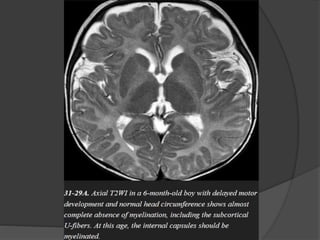
    Hypomyelinating Disorders Pelizaeus-Merzbacher Disease X-linkeddisorder that results in nearly complete lack of myelination. One of the most common hypomyelinating disorders. 100% of classic PMD cases occur in males. PMD is typically identified in infants under one year of age. Imaging The typical imaging appearance of PMD is nearly complete lack of myelination. The entire cerebral WM appears strikingly and homogeneously hyperintense on T2WI.
  • 55.
    Preserved myelin aroundperivascular spaces gives the WM a "tiger" pattern. Hyperintensity of the pyramidal tracts or entire pons is typically present. Progressive WM and cerebellar volume loss are common.
  • 58.
    Disorders Affecting BothGray and White Matter Mucopolysaccharidoses Lysosomal storage disorders characterized by incomplete degradation and progressive accumulation of toxic glycosaminoglycan (GAG) in various organs. The major features of these disorders are • Macrocephaly, • Enlarged perivascular spaces, and • Pachymeningopathy. Imaging
  • 59.
    Macrocephaly NECT scans showan enlarged head, often with metopic "beaking". Progressive hydrocephalus and atrophy can be present. Enlarged Perivascular Spaces A striking sieve-like cribriform appearance in the posterior cerebral WM and corpus callosum is characteristic and is caused by numerous dilated PVSs (peri-vascular spaces)- also called as "Hurler holes," these enlarged PVSs are typical of both Hurler and Hunter diseases. They are much less common in the other MPSs. NECT scans may show decreased density with multifocal CSF-like hypodensities in the WM and basal ganglia.
  • 60.
    T2 scans showCSF-like hyperintensity in the enlarged PVSs. The surrounding WM may show patchy or confluent hyperintensity. The PVSs themselves suppress completely on FLAIR. The enlarged PVSs do not "bloom" on T2* and do not enhance following contrast administration. Pachymeningopathy Thickened meninges can compress the medulla or upper cervical cord. Odontoid dysplasia and a short C1 posterior arch—common in the MPSs— can exacerbate the craniovertebral junction stenosis, causing progressive myelopathy. A lumbar gibbus with a "beaked" L1 vertebral body is common in Hurler disease.
  • 61.
  • 63.
    MR shows virtuallycomplete absence of myelination with confluent T2/FLAIR hyperintensity throughout the WM and globi pallidi. Early in the disease course, the subcortical arcuate fibers are initially affected and the gyri may appear swollen. As the disease progresses, diffuse volume loss with ventricular and sulcal enlargement ensues. The hemispheric and cerebellar WM, basal ganglia, and cortex are all affected. MRS - is the key to the definitive diagnosis of CD. Markedly elevated NAA is seen in virtually all cases. Cr is reduced. An elevated myoisitol peak is sometimes present.
  • 64.
    Canavan Disease Canavan diseaseis the only identified genetic disorder caused by a defect in a metabolite— N-acetyl-L-aspartate (NAA) —that is produced exclusively in the brain. The most common form by far is infantile CD. Infantile CD presents between three and six months and is characterized by hypotonia, macrocephaly, and seizures. Death between one or two years is typical. Imaging NECT shows a large head with diffuse WM hypodensity in the cerebral hemispheres and cerebellum. The globi pallidi also appear hypodense. CD does not enhance.
  • 65.
  • 66.
  • 67.
    Alexander Disease The infantileform, which is the most common, patients younger than two years present with megalencephaly, progressive psychomotor retardation, and seizures. Imaging NECT scans of infants with AxD show a large head with symmetric WM hypodensity in the frontal lobes that extends posteriorly into the caudate nuclei and internal/external capsules. Intense bifrontal periventricular enhancement can be seen on CECT scans early in the disease course. MR shows T1 hypointensity and T2/FLAIR hyperintensity in the frontal WM, caudate nuclei, and anterior putamina. Subcortical U-fibers are involved early in the disease course.
  • 68.
    A classic findingis a T1 hypointense, T2 hyperintense rim around the frontal horns. FLAIR scans may demonstrate cystic encephalomalacia in the frontal WM in more severe, protracted cases. Enlargement of the caudate heads and fornices, which appear swollen and hyperintense. The thalami, globi pallidi, brainstem, and cerebellum are less commonly affected. MRS shows decreased NAA, elevated myoinositol, and variably increased choline and lactate. DWI shows normal to increased diffusivity in the affected WM.
  • 69.
  • 71.
    Zellweger syndrome spectrum(ZSS) Imaging ZSS is characterized by microgyria and pachygyria, often with bilaterally symmetric parasylvian lesions. Hypomyelinated WM is seen as confluent T2/FLAIR WM hyperintensity. Subependymal (caudothalamic) germinolytic cysts are common findings. Hyperbilirubinemia may cause increased T1 signal intensity in the globi pallidi of older patients.
  • 72.
  • 73.
    Leigh Disease Serum andCSF lactate levels are elevated. Imaging Bilaterally symmetric areas of T2/FLAIR hyperintensity in the basal ganglia. The putamina (especially the posterior segments) are consistently affected, as are the caudate heads. The dorsomedial thalami can also be involved whereas the globi pallidi are less commonly affected. Mid- and lower brainstem (pons/medulla) lesions are typical. Leigh Disease
  • 74.
    Symmetric lesions inthe cerebral peduncles are common, and the periaqueductal gray matter is frequently affected. Acute lesions may restrict on DWI but do not enhance. MRS of the brain parenchyma and CSF typically shows a prominent lactate peak at 1.3 ppm.
  • 75.
  • 76.
  • 77.
    MELAS Mitochondrial encephalomyopathy withlactic acidosis and stroke-like episodes (MELAS) The clinical triad of lactic acidosis, seizures, and stroke-like episodes is the classic presentation. Acute MELAS – often shows swollen T2/FLAIR hyperintense gyri. The underlying WM is normal The cortical abnormalities cross vascular distribution territories, distinguishing MELAS from acute cerebral infarction. The parietal and occipital lobes are most commonly affected. Gyral enhancement on T1 C+ is typical. MRA shows no evidence of major vessel occlusion.
  • 78.
    Chronic MELAS- shows multifocallacunar-type infarcts, symmetric basal ganglia calcifications, WM volume loss, and progressive atrophy of the parietooccipital cortex. MRS Two-thirds of cases show a prominent lactate "doublet" at 1.3 ppm in otherwise normal-appearing brain. One-third of cases show no evidence for elevated lactate levels in the brain parenchyma but may demonstrate a lactate peak in the ventricular CSF.
  • 80.
  • 81.
    Kearns-Sayre Syndrome KSS typicallypresents in older children or young adults and is characterized by short stature, progressive external ophthalmoplegia, retinitis pigmentosa, sensorineural hearing loss, and ataxia. Imaging CT scans show variable symmetric basal ganglia calcifications. Mild cortical and cerebellar volume loss is common. MR shows increased signal intensity in the basal ganglia, WM, and cerebellum on T2/FLAIR. The subcortical arcuate fibers, corticospinal tracts, cerebellum, and posterior brainstem are involved early in the disease course while the periventricular WM remains relatively spared. DWI shows reduced diffusivity in the brainstem and subcortical WM. MRS demonstrates elevated lactate.
  • 82.
  • 83.
  • 84.
  • 85.
    Glutaric Aciduria Type1 Imaging The three "signature" imaging findings of classic GA1 are (1)macrocrania, (2) bilateral widened ("open") sylvian fissures, and (3) bilaterally symmetric basal ganglia lesions. Severe GA1 may also cause diffuse hemispheric WM abnormalities. GA1 infants in metabolic crisis often present with acute striatal necrosis. Bilateral diffusely swollen basal ganglia that are T2/FLAIR hyperintense and that restrict on DWI are typical.
  • 86.
    Chronic GA1 causesenlarged CSF spaces and atrophy. The volume loss may tear bridging veins that cross from the brain surface to the dura, resulting in recurrent subdural hematomas. GA1 does not enhance on T1 C+ scans. MRS is nonspecific with decreased NAA, increased Cho:Cr ratio, and (during crisis) elevated lactate level. Glutaric aciduria type 2 (GA2) Imaging studies show symmetric T2/FLAIR hyperintensity in the basal ganglia and hemispheric WM, but the "open" sylvian fissures characteristic of GA1 are absent.
  • 87.
  • 88.
  • 89.
  • 90.