MULTIPLE SCLEROSIS imaging
Myelin and White Matter
• The gray and white matter of the central nervous system
(CNS) differ not only in gross morphology but also in water
content and macromolecular components, notably
membrane lipids.
• Although the gray matter primarily contains neurons and
their processes, the white matter is composed
predominantly of myelinated bundles of axons
• The oligodendroglial cell membrane is the source of the
myelin sheath, which is a tightly wrapped, multilayered
membrane composed of a repeating structure
characterized by lipid-cytoplasm-lipid-water and which
ensheathes axons
.
• Cholesterol, galactocerebroside, sphingomyelin, and
phospholipids are the lipids found in fully formed
white matter and account for the stability and
strength
• proteins are also embedded within the myelin,
including proteolipid protein, myelin basic protein
(MBP), 20,30-cyclic-nucleotide 30-
phosphodiesterase, myelin-associated glycoprotein,
and myelin/oligodendrocyte glycoprotein
• . Any process, including metabolic injury or
ischemia, that changes the chemical composition of
myelin will result in a less stable structure that is
more susceptible to injury .
• Neuroglial cells, namely oligodendrocytes,
astrocytes, and microglia, are primarily
responsible for the maintenance or “well-being”
of the white matter- by providing structural and
nutritional support of neurons, regulating the
extracellular environment, and acting as
scavenger cells
Progression of Myelination
• Proximal pathways before distal (e.g.,
brainstem before supratentorial brain)
• Sensory (visual and auditory) before motor
• Central white matter before peripheral
• Posterior before anterior
Myelinated Regions at Birth (or Shortly After
Birth)
• Dorsal brainstem
• Inferior, superior cerebellar peduncles
• Perirolandic region
• Corticospinal tract
• Central portion of centrum semiovale
• Posterior limb of internal capsule to cerebral
peduncle
• Ventrolateral thalamus
• Optic nerve, chiasm, tract
Myelination and MR Findings
• The most commonly used marker for evaluating
normal brain maturation on conventional MR is the
progression of myelination.
• Myelination starts in the second trimester of
gestation and continues into adulthood, beginning
with the peripheral nervous system and then the
spinal cord, the brainstem, and finally the
supratentorial brain.
• Myelination of the brain evolves in a predictable
sequential fashion over the first 2 postnatal years .
• Studies have suggested that the sequence of
myelination has functional significance and is
correlated with psychomotor development ..
• As white matter becomes myelinated, it appears
hyperintense on T1-weighted and hypointense on
T2-weighted images relative to gray matter
• it is known that the signal changes on T1-weighted
MR parallel increases in certain lipids that occur
during the formation of myelin from
oligodendrocytes .
• The signal changes on T2-weighted MR have been
presumed to be correlated with the period of
maturation of the myelin sheath seen histologically
as thickening and tightening of the spiral of myelin
around the axon and loss of water
• During the first 6 months of life, T1-weighted images
are most useful for evaluating the progression of
myelination ..
• After 6 months of age, most cerebral white matter
appears high in signal intensity on the T1-weighted
images,
• beyond this time the T2-weighted images are
generally relied on to further evaluate myelin
progression .
• By 24 months of age, the process of myelination is
essentially complete except for the terminal zones of
myelination found in the occipital-parietal
periventricular white matter.
• These regions appear as subtle, ill-defined areas of
hyperintensity
CLASSIFICATION OF WHITE MATTER
DISEASES
• “. From the pathologic point of view, white
matter diseases can be classified into three
major groups:
• primary demyelination,
• secondary demyelination,
• dysmyelination.
Primary demyelinating diseases are characterized by loss
of normally formed myelin with relative preservation of
axons
Multiple sclerosis
Classic (Charcot type)
Acute (Marburg type)
Diffuse cerebral sclerosis (Schilder type)
Concentric sclerosis (Balò type)
Neuromyelitis optica (Devic type)
Inflammatory demyelinating pseudotumor
Secondary demyelination - Demyelination
associated with a known etiology or a systemic
disorder
preferential destruction of white matter (i.e.,
destruction of both axons and myelin
• Associated with infectious agents and/or
vaccinations
• AssociateAssociated with physical/chemical
agents or therapeuticprocedures
• Associated with nutritional/vitamin deficiency
• Associated with genetic abnormality
• Dysmyelination is a pathologic process of the
white matter characterized by defective
formation or maintenance of myelin.
• Many of these dysmyelinating have known
genetic defects regarding abnormal metabolism
of myelin.
• These disorders also called leukodystrophies
Leukodystrophies
• X-linked
Adrenoleukodystrophy
Classic type
Adrenomyeloneuropathy
Pelizaeus-Merzbacher disease
Autosomal recessive
Vanishing white matter disease
Globoid cell leukodystrophy (Krabbe disease)
Canavan disease (spongy degeneration of the brain)
Metachromatic leukodystrophy
Cockayne syndromea
Aicardi-Goutière syndromea
Neonatal adrenoleukodystrophy
Pattern of inheritance unknown
Alexander disease
• Multiple sclerosis - is the most common
inflammatory demyelinating disease of the
central nervous system in young and middle-age
adults.
• A significant body of information suggests a viral
etiology in genetically susceptible individuals .
• However, there has been no confirmed isolation
of a conclusive and unequivocal infective agent
at autopsy or biopsy of MS plaques
• MS is characterized by a variety of clinical
courses and disease patterns.
• Most MS cases are categorized into the classic
form, or Charcot type
• Most patients initially present in the third and
fourth decades,
• The incidence of MS is two to three times higher
in females than in males, and it is quite
uncommon in children, with only 0.3% to 0.4% of
all cases occurring during the first decade.
The first clinical symptom is
• often impaired or double vision;
• other common complaints include weakness,
numbness, tingling, and gait disturbances.
• As the disease progresses, loss of sphincter
control, blindness, paralysis, and dementia may
develop.
• Patients rarely experience pain with MS, except
that associated with eye movement in
association with optic neuritis
The clinical course of classic MS is highly variable.
four temporal patterns of multiple sclerosis .
• Most patients (80% to 85%) experience a relapsing-remitting
course of exacerbations (attacks) and remissions of neurologic
deficits separated by stable periods.
• . About 10% to 15% of the cases have a nonremitting
progressive course and have been termed primary-
progressive MS .
• Less than 5% of patients start off with a primary progressive
course but develop discrete exacerbations and are
categorized under the progressive- relapsing MS
• Patients exhibiting the chronic-progressive pattern typically
have more severe spinal cord involvement.
• Late in the classic form of the disease, severe
neurologic disability with cognitive impairment is
common, regardless of the overall time course of
the progression .
• MS in this group, especially in infants or children
younger than 5 years, may have unusual clinical
and imaging features.
• Seizures have been reported to occur more
frequently than in adults.
• In addition to these clinical patterns, patients
may be monosymptomatic, in which the
presentation consists of a single episode of a
neurologic deficit
• These patients are included in the clinically
isolated syndrome category, such as optic
neuritis, transverse myelitis, or brainstem
syndrome
PATHOLOGY
• Characteristic pattern of distribution of plaques in
brains affected by MS is widely recognized,
considerable variation is noted from patient to patient
• For unknown reasons, there is a distinct propensity
for involvement of certain regions of white matter,
most notably the periventricular white matter , optic
nerves, brainstem, and spinal cord
• The characteristic susceptibility of the
periventricular regions to MS plaques is not
uniform; however, most plaques are seen
anatomically related to subependymal veins
• About 50% occur in a periventricular
distribution, predominantly near the angles of
the lateral ventricles .
• The periaqueductal region and the floor of the
fourth ventricle are also frequently involved
• MS plaques are typically situated within white
matter, gray matter lesions are not uncommon
on pathologic examination
• Typically, these lesions go through different
stages, including an
• acute “active” stage,
• followed by a subacute stage with plaques with
radially expanding “active rims” and plaques
with “smoldering rims,”
• finally reach the “inactive” gliotic stage
Imaging
• MR has fundamentally changed the clinical evaluation of patients with
MS.
• The sensitivity of MR to MS lesions far exceeds that of the clinical
examination and any other imaging modality (e.g., computed
tomography [CT] .
• MR is not specific for the diagnosis of MS because white matter lesions
that mimic those of MS may be detected in both normal volunteers and
patients harboring other pathologic conditions, some of which have
nothing to do with demyelinating disease per se.
• Moreover, conventional MR can be normal in up to 25% of patients
with a proven clinical diagnosis
• . For these reasons, MR imaging cannot be the sole criterion for the
diagnosis of MS but must be included with clinical and laboratory
findings
MS Brain Protocol
Indications for MRI of the brain are:
• Clinically isolated syndrome suggestive of MS to prove
dissemination in time or space in order to fulfill the
McDonald criteria
• Patients with MS to determine the prognosis or response
to therapy
• To specify an atypical lesion in the spinal cord
• To screen for opportunistic infections in patients receiving
immunosuppressive treatment (for example development
of Progressive Multifocal Leukoencephalopthy in patients
using natalizumab).
• Gadolinium is administered at the start of the examination
because the longer you wait the more enhancement you
will see on the T1W images (MS lesions are not
spontaneously bright on T1-weighted images without
contrast administration).
• A scout with additional mid-sagittal T1WI is made for
optimal and constant positioning.
• The sagittal FLAIR is ideal for detection of lesions in the
corpus callosum and the 3D sequence allows for better
detection of smaller and juxtacortical lesions.
.
• Finally the axial T1W-images are made after about 15
minutes to provide optimal contrast enhancement
Magnetic Resonance Findings
• typically presenting as scattered foci of varying
size demonstrating high signal intensity on T2-
weighted images
• MS lesions are frequently situated in the
periventricular white matter, internal capsule,
corpus callosum, pons, and but may be found
throughout the myelinated white matter and
within gray matter
• . Plaques located in the immediate periventricular
region may be difficult to appreciate on T2-weighted
image
• proton density– weighted images or fluid-
attenuated inversion recovery (FLAIR) images usually
better define periventricular lesions.
• MS plaques have a propensity to occur in the
periventricular region
• commonly appear as linear or ovoid lesions
oriented perpendicular to the lateral ventricle
(Dawson fingers),
• MR appearance of MS lesions is highly variable and
certainly not specific .
• anatomic distribution of the lesions should not be
considered key to the diagnosis because
“exceptional” locations are commonly encountered.
• However, the corpus callosum is a region that is
especially vulnerable to demyelination in MS,
possibly due to its intimate neuroanatomic
relationship to the lateral ventricular roofs and to
small penetrating vessels.
• Studies have shown focal areas of high signal
intensity on T2-weighted images in the inferior
aspect of the corpus callosum (callosal–septal
interface) in up to 93% of MS patients
• . Sagittal T1-weighted images also nicely depict
these lesions as focal areas of thinning of the
inferior aspect of the corpus callosum
• MS lesions typically decrease in size over time and leave a
smaller residual plaque.
• MS plaques may enhance after the administration of
intravenous contrast , reflecting transient abnormality of
the blood–brain barrier.
• The enhancement patterns are extremely variable and
may appear homogeneous, ringlike, or nodular.
• Treatment with steroids may also be associated with a
marked reduction in lesion enhancement and morphology
.
• Contrast enhancement may be used to add specificity to
the finding of multiple hyperintensities on T2-weighted
images because the finding of enhancing along with
nonenhancing lesions is quite common in MS (
• Although quite commonly large MS lesions have
very little mass effect, masslike lesions (tumefactive
MS) that may mimic a tumor on imaging
• Perfusion MR techniques may also be useful to
increase the confidence of the noninvasive diagnosis
of tumefactive MS .
• Typically there is evidence of decreased perfusion
within the lesion in comparison with contralateral,
normal-appearing brain parenchyma.
• MS can also appear as very subtle diffuse
hyperintensity in the white matter
• Increasing hypointensity of MS plaques on T1-
weighted images has been correlated with increased
demyelination and axonal loss on pathology .
• These lesions may approach the signal intensity of
CSF, referred to as “black holes,” and have been
shown to be correlated more closely with clinical
disability
• Peripheral lesional high signal intensity on T1-
weighted images is frequently encountered,
suggesting the presence of paramagnetic material
and likely corresponds to the presence of free
radicals in the macrophage layer forming the margin
of an acute plaque.
• MS lesions may also display clearly defined rings
within or surrounding plaques of demyelination
• Atrophy is common with progression of disease,
usually manifested by ventricular enlargement
and thinning of the corpus callosum,
• increased iron deposition is concomitantly found
in the basal ganglia, thalami, cortex, and
subcortical white matter
• . Rare reports are even found in the literature of
meningeal enhancement (93) and hemorrhagic
MS lesions
Revised Magnetic Resonance Imaging
Criteria for the Diagnosis of Multiple
SclerosisMagnetic resonance abnormality and
dissemination in space
Dissemination in time
At least one gadolinium-enhancing lesion
or nine T2 hyperintense lesions if there is
no gadolinium- enhancing lesion
Detection of gadolinium enhancement at
least 3 mo after the onset of the initial
clinical event, if not at the site
corresponding to the initial event
At least one infratentorial lesion
At least one juxtacortical lesion
At least three periventricular lesions
Detection of a new T2 lesion if it appears
at any time compared with a reference
scan done at least 30 days after the onset
of the initial clinical event
A spinal cord lesion can be considered
equivalent to a brain infratentorial lesion
Three of the following
• One of the most common questions
in daily radiology practice when we
see an image like the one on the
left is:
• 'Do we have to think of Multiple
Sclerosis?
• Or are these white matter lesions
the result of small vessel disease, as
in a hypertensive patient?
• Or should we think of more
uncommon diseases?
• In order to be able to answer that
question, we have to realise that
when we study white matter lesions
(WMLs):
• Many neurological diseases can
mimic MS both clinically and
radiologically.
• Most incidentally found WMLs will
have a vascular origin.
• MS has a typical distribution of WMLs.
This can be very helpful in differentiating them from
vascular lesions .
Typical for MS
• involvement of corpus callosum,
• U-fibers,
• temporal lobes,
• brainstem,
• cerebellum
• spinal cord.
This pattern of involvement is uncommon in other
diseases.
In small vessel disease there may be involvement of the
brainstem, but it is usually symmetrical and central, while
in MS it is periphera
• The lesions in the deep white
matter (yellow arrow) are
nonspecific and can be seen in
many diseases.
Typical for MS in this case is:
• Involvement of the temporal
lobe (red arrow)
• Juxtacortical lesions (green
arrow) - touching the cortex
• Involvement of the corpus
callosum (blue arrow)
• Periventricular lesions -
touching the ventricles
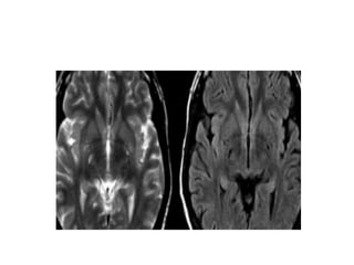
• TYpical findings for MS as seen
in this case are:
• Multiple lesions adjacent to
the ventricles (red arrow).
• Ovoid lesions perpendicular to
the ventricles (yellow arrow).
• Multiple lesions in brainstem
and cerebellum.
• These ovoid lesions are also
called Dawson fingers.
They represent areas of
demyelination along the small
cerebral veins that run
perpendicular to the
ventricles.
DAWSON FINGERS
• Ovoid lesions perpendicular to
the ventricles (Dawson fingers).
• Enhancing lesion.
• Multiple lesions adjacent to the
ventricles.
• Dawson fingers are typical for
MS and are the result of
inflammation around
penetrating venules.
These veins are perpendicular
to the ventricular surface.
• .
• Enhancement is another typical finding in MS.
This enhancement will be present for about
one month after the occurrence of a lesion.
The simultaneous demonstration of enhancing
and non-enhancing lesions in MS is the
radiological counterpart of the clinical
dissemination in time and space.
The edema will regress and finally only the
center will remain as a hyperintense lesion on
T2WI
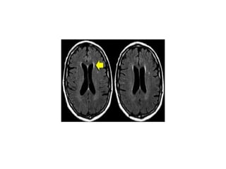
Juxtacortical lesions
• located in the U-fibers are also
very specific for MS.
• The involvement of the U-fibers
is best seen on the
magnification view.
Variants
• Acute MS (Marburg type)- occurs as an
infrequent variety of MS, most commonly in
younger patients.
• It is often preceded by fever and typically has
inexorable rapid progression to death within
months.
• This fulminant form of MS has also been seen as
a terminal event in classic MS.
• Pathologic findings of extensive myelin
destruction, severe axonal loss, and early edema
are seen
• Neuromyelitis optica (Devic type) -is a syndrome of acute
onset of optic neuritis and transverse myelitis that develop
at approximately the same time and dominate the clinical
picture
• . This condition has a different pathogenesis from most of
the other MS types related to the fact that demyelination
is antibody dependent and complement mediated
• . Approximately 50% of these patients die within several
months
• . The relationship of Devic syndrome to MS is
controversial; indeed, other acute demyelinating
disorders, including acute disseminated
encephalomyelitis, can affect optic nerves and spinal cord
• Schilder type, or myelinoclastic diffuse
• refers to an entity consisting of extensive, confluent,
asymmetric demyelination of both cerebral hemispheres with
involvement of the brainstem and cerebellum. It is usually
• seen in children presenting with seizures, signs of pyramidal
tract involvement, ataxia, and psychiatric symptomatology.
• Adult cases have aso been described .
• Typically, there is a rapid progression of disease over the
course of 1 to 2 years, but the demyelinating process may be
fulminant se..
• Concentric sclerosis (Balò type)
• IT is a very rare type of demyelinating disease in which
large regions with alternating zones of demyelinated and
myelinated white matter are found.
• The myelinated regions may reflect remyelination rather
than spared normal myelin.
• This progressive disease is more often found in young
patients and is more common in the Philippines.
• When encountered, Balò concentric sclerosis has a
pathognomonic appearance on both pathology and MR
• Tumefactive MS
• Tumefactive MS is a variant of
Multiple Sclerosis.
• The open-ring enhancement
pattern with low signal T2 ring
and low CBF are all indicative
of demyelination.
EXTRA CEREBRAL LESIONS
Spinal cord.
• MS lesions of the spinal cord are usually found in
combination with lesions in the brain; however,
5% to 24% of cases can be found in isolation
• MR studies have shown that cord abnormalities
may be found in approximately 75% of MS
patients and in an even higher proportion of
patients with spinal cord symptoms
• Most lesions are found in the cervical region
• Axial T2-weighted images demonstrate the
typical peripheral location of MS lesions commonly
the dorsolateral aspect of the cord, where pial veins
are adjacent to white matter .
• Involvement of both gray and white matter by MS
plaques can be seen.
• Gadolinium contrast administration frequently
demonstrates enhancement of acute spinal cord
lesion
• The most typical enhancement pattern in
demyelinating spinal cord lesions is a peripheral
ringlike enhancement, although this is not always
seen
• Enhancing MS plaques can be virtually
indistinguishable from neoplastic lesions and other
inflammatory lesions of the spinal cord particularly
when the spinal cord is enlarged due to edema.
• Therefore, clinical correlation and often serial
follow-up scanning are necessary to formulate a
specific diagnosis,
Differential diagnosis of WMLs
DD multiple patchy lesions
• Borderzone infarction
Key finding: typically these lesions are located in only one
hemisphere either in deep watershed area or peripheral
watershed area. In the case on the left the infarction is in
the deep watershed area.
• ADEM
Key findings: Multifocal lesions in WM and basal ganglia
10-14 days following infection or vaccination.
As in MS, ADEM can involve the spinal cord, U-fibers and
corpus callosum and sometimes show enhancement.
Different from MS is that the lesions are often large and
in a younger age group. The disease is monophasic
• Lyme
2-3mm lesions simulating MS in a patient with skin
rash and influenza-like illness. Other findings are
high signal in spinal cord and enhancement of CN7
(root entry zone)
• PML
Progressive Multifocal Leukoencephalopathy (PML)
is a demyelinating disease caused by JC virus in
immunosuppressed patients.
Key finding: space-occupying, nonenhancing WMLs
in the U-fibers (unlike HIV or CMV).
PML may be unilateral, but more often it is
asymmetrical and bilateral.
• Metastases
Metastases are mostly surrounded by a lot of edema.
• Virchow Robin spaces
On the T2W image there are multiple high intensity lesions
Mc location in the basal ganglia. basal ganglia, around atria,
near the anterior commissure and in the middle of the
brainstem.
On the FLAIR image these lesions are dark, so they follow the
intensity of CSF on all sequences (they were hypointense ion
the T1WI).
This signal intensity in combination with the location is typical
for VR spaces.
• Normal Aging
In normal ageing we can see:
Periventricular caps and bands
Mild atrophy with widening of sulci and ventricles
Punctate and sometimes even confluent lesions in the deep white
matter (Fazekas I and II).
Periventricular caps are hyperintense regions around the anterior and
posterior pole of the lateral ventricles and are associated with myelin
pallor and dilated perivascular spaces.
Periventricular bands or 'rims' are thin linear lesions along the body of
the lateral ventricles and are associated with subependymal gliosis.
Newer Techniques
• Proton MR spectroscopy has been studied by several
investigators in MS
• Decreased levels of NAA have been reported in acute
active and chronic plaques
• Serial MR spectroscopic studies have shown that the
NAA level can be partially restored,
• The described reduced level in MS plaques does not
imply irreversible damage. Instead, its recovery might be
related to resolution of edema or recovery from
sublethal neuroaxonal injury
• MT techniques have been applied to brain MR in an
attempt to characterize MS lesions and to discern
otherwise occult disease in normal-appearing brain
parenchyma.
• This pulse sequence technique, which can be
implemented on a conventional scanner, exploits
differences in relaxation between immobilized water
transiently bound to macromolecules and water protons
not associated with macromolecules.
• The hypothesis underlying these investigations is that
demyelination results in more free water compared with
myelinated white matter or intact but edematous tissue.
• Selective suppression of immobilized water is
accomplished by the application of an off-resonance
saturation pulse, which saturates the broad resonance of
protons bound to macromolecules.
• . Using this experimental design, it has been shown in
some studies that MT ratios are higher in normal
mature myelinated white matter than in gray matter.
• A slight decrease of the magnetization transfer ratio
was noted in early inflammatory lesions without
demyelination in models of experimental allergic
encephalomyelitis.
• More pronounced reductions in MT ratios have been
described in demyelinating lesions in experimental
models (proportional to the degree of demyelination)
and in patients with MS
• diffusion MR study showed that markedly hypointense
nonenhancing lesions showed higher apparent diffusion
coefficient (ADC) values than isointense nonenhancing
lesions, indicating that quantitative diffusion data from
MR imaging differs among MS lesions that appear
different from each other on T1-weighted images.
• These quantitative diffusion differences imply
microstructural differences, which may prove useful in
documenting irreversible disease.
• A whole-brain diffusion MR histogram study also
showed that MR diffusion histograms can quantify
visible and occult cerebral lesion load in patients with
MS
• Fiber tractography is another promising
technique for evaluation of white matter
abnormalities in MS patients, in particular in
assessing the degree of axonal loss
• demonstrating fewer fibers in corticospinal
tracts of patients with higher lesion loads
imaging  of multiple sclerosis

imaging of multiple sclerosis

  • 1.
  • 2.
    Myelin and WhiteMatter • The gray and white matter of the central nervous system (CNS) differ not only in gross morphology but also in water content and macromolecular components, notably membrane lipids. • Although the gray matter primarily contains neurons and their processes, the white matter is composed predominantly of myelinated bundles of axons • The oligodendroglial cell membrane is the source of the myelin sheath, which is a tightly wrapped, multilayered membrane composed of a repeating structure characterized by lipid-cytoplasm-lipid-water and which ensheathes axons .
  • 3.
    • Cholesterol, galactocerebroside,sphingomyelin, and phospholipids are the lipids found in fully formed white matter and account for the stability and strength • proteins are also embedded within the myelin, including proteolipid protein, myelin basic protein (MBP), 20,30-cyclic-nucleotide 30- phosphodiesterase, myelin-associated glycoprotein, and myelin/oligodendrocyte glycoprotein • . Any process, including metabolic injury or ischemia, that changes the chemical composition of myelin will result in a less stable structure that is more susceptible to injury .
  • 4.
    • Neuroglial cells,namely oligodendrocytes, astrocytes, and microglia, are primarily responsible for the maintenance or “well-being” of the white matter- by providing structural and nutritional support of neurons, regulating the extracellular environment, and acting as scavenger cells
  • 5.
    Progression of Myelination •Proximal pathways before distal (e.g., brainstem before supratentorial brain) • Sensory (visual and auditory) before motor • Central white matter before peripheral • Posterior before anterior
  • 6.
    Myelinated Regions atBirth (or Shortly After Birth) • Dorsal brainstem • Inferior, superior cerebellar peduncles • Perirolandic region • Corticospinal tract • Central portion of centrum semiovale • Posterior limb of internal capsule to cerebral peduncle • Ventrolateral thalamus • Optic nerve, chiasm, tract
  • 7.
    Myelination and MRFindings • The most commonly used marker for evaluating normal brain maturation on conventional MR is the progression of myelination. • Myelination starts in the second trimester of gestation and continues into adulthood, beginning with the peripheral nervous system and then the spinal cord, the brainstem, and finally the supratentorial brain. • Myelination of the brain evolves in a predictable sequential fashion over the first 2 postnatal years . • Studies have suggested that the sequence of myelination has functional significance and is correlated with psychomotor development ..
  • 8.
    • As whitematter becomes myelinated, it appears hyperintense on T1-weighted and hypointense on T2-weighted images relative to gray matter • it is known that the signal changes on T1-weighted MR parallel increases in certain lipids that occur during the formation of myelin from oligodendrocytes . • The signal changes on T2-weighted MR have been presumed to be correlated with the period of maturation of the myelin sheath seen histologically as thickening and tightening of the spiral of myelin around the axon and loss of water
  • 9.
    • During thefirst 6 months of life, T1-weighted images are most useful for evaluating the progression of myelination .. • After 6 months of age, most cerebral white matter appears high in signal intensity on the T1-weighted images, • beyond this time the T2-weighted images are generally relied on to further evaluate myelin progression . • By 24 months of age, the process of myelination is essentially complete except for the terminal zones of myelination found in the occipital-parietal periventricular white matter. • These regions appear as subtle, ill-defined areas of hyperintensity
  • 11.
    CLASSIFICATION OF WHITEMATTER DISEASES • “. From the pathologic point of view, white matter diseases can be classified into three major groups: • primary demyelination, • secondary demyelination, • dysmyelination.
  • 12.
    Primary demyelinating diseasesare characterized by loss of normally formed myelin with relative preservation of axons Multiple sclerosis Classic (Charcot type) Acute (Marburg type) Diffuse cerebral sclerosis (Schilder type) Concentric sclerosis (Balò type) Neuromyelitis optica (Devic type) Inflammatory demyelinating pseudotumor
  • 13.
    Secondary demyelination -Demyelination associated with a known etiology or a systemic disorder preferential destruction of white matter (i.e., destruction of both axons and myelin • Associated with infectious agents and/or vaccinations • AssociateAssociated with physical/chemical agents or therapeuticprocedures • Associated with nutritional/vitamin deficiency • Associated with genetic abnormality
  • 14.
    • Dysmyelination isa pathologic process of the white matter characterized by defective formation or maintenance of myelin. • Many of these dysmyelinating have known genetic defects regarding abnormal metabolism of myelin. • These disorders also called leukodystrophies
  • 15.
    Leukodystrophies • X-linked Adrenoleukodystrophy Classic type Adrenomyeloneuropathy Pelizaeus-Merzbacherdisease Autosomal recessive Vanishing white matter disease Globoid cell leukodystrophy (Krabbe disease) Canavan disease (spongy degeneration of the brain) Metachromatic leukodystrophy Cockayne syndromea Aicardi-Goutière syndromea Neonatal adrenoleukodystrophy Pattern of inheritance unknown Alexander disease
  • 16.
    • Multiple sclerosis- is the most common inflammatory demyelinating disease of the central nervous system in young and middle-age adults. • A significant body of information suggests a viral etiology in genetically susceptible individuals . • However, there has been no confirmed isolation of a conclusive and unequivocal infective agent at autopsy or biopsy of MS plaques
  • 17.
    • MS ischaracterized by a variety of clinical courses and disease patterns. • Most MS cases are categorized into the classic form, or Charcot type • Most patients initially present in the third and fourth decades, • The incidence of MS is two to three times higher in females than in males, and it is quite uncommon in children, with only 0.3% to 0.4% of all cases occurring during the first decade.
  • 18.
    The first clinicalsymptom is • often impaired or double vision; • other common complaints include weakness, numbness, tingling, and gait disturbances. • As the disease progresses, loss of sphincter control, blindness, paralysis, and dementia may develop. • Patients rarely experience pain with MS, except that associated with eye movement in association with optic neuritis
  • 19.
    The clinical courseof classic MS is highly variable. four temporal patterns of multiple sclerosis . • Most patients (80% to 85%) experience a relapsing-remitting course of exacerbations (attacks) and remissions of neurologic deficits separated by stable periods. • . About 10% to 15% of the cases have a nonremitting progressive course and have been termed primary- progressive MS . • Less than 5% of patients start off with a primary progressive course but develop discrete exacerbations and are categorized under the progressive- relapsing MS • Patients exhibiting the chronic-progressive pattern typically have more severe spinal cord involvement.
  • 20.
    • Late inthe classic form of the disease, severe neurologic disability with cognitive impairment is common, regardless of the overall time course of the progression . • MS in this group, especially in infants or children younger than 5 years, may have unusual clinical and imaging features. • Seizures have been reported to occur more frequently than in adults.
  • 21.
    • In additionto these clinical patterns, patients may be monosymptomatic, in which the presentation consists of a single episode of a neurologic deficit • These patients are included in the clinically isolated syndrome category, such as optic neuritis, transverse myelitis, or brainstem syndrome
  • 22.
    PATHOLOGY • Characteristic patternof distribution of plaques in brains affected by MS is widely recognized, considerable variation is noted from patient to patient • For unknown reasons, there is a distinct propensity for involvement of certain regions of white matter, most notably the periventricular white matter , optic nerves, brainstem, and spinal cord
  • 23.
    • The characteristicsusceptibility of the periventricular regions to MS plaques is not uniform; however, most plaques are seen anatomically related to subependymal veins • About 50% occur in a periventricular distribution, predominantly near the angles of the lateral ventricles . • The periaqueductal region and the floor of the fourth ventricle are also frequently involved
  • 24.
    • MS plaquesare typically situated within white matter, gray matter lesions are not uncommon on pathologic examination • Typically, these lesions go through different stages, including an • acute “active” stage, • followed by a subacute stage with plaques with radially expanding “active rims” and plaques with “smoldering rims,” • finally reach the “inactive” gliotic stage
  • 25.
    Imaging • MR hasfundamentally changed the clinical evaluation of patients with MS. • The sensitivity of MR to MS lesions far exceeds that of the clinical examination and any other imaging modality (e.g., computed tomography [CT] . • MR is not specific for the diagnosis of MS because white matter lesions that mimic those of MS may be detected in both normal volunteers and patients harboring other pathologic conditions, some of which have nothing to do with demyelinating disease per se. • Moreover, conventional MR can be normal in up to 25% of patients with a proven clinical diagnosis • . For these reasons, MR imaging cannot be the sole criterion for the diagnosis of MS but must be included with clinical and laboratory findings
  • 26.
    MS Brain Protocol Indicationsfor MRI of the brain are: • Clinically isolated syndrome suggestive of MS to prove dissemination in time or space in order to fulfill the McDonald criteria • Patients with MS to determine the prognosis or response to therapy • To specify an atypical lesion in the spinal cord • To screen for opportunistic infections in patients receiving immunosuppressive treatment (for example development of Progressive Multifocal Leukoencephalopthy in patients using natalizumab).
  • 27.
    • Gadolinium isadministered at the start of the examination because the longer you wait the more enhancement you will see on the T1W images (MS lesions are not spontaneously bright on T1-weighted images without contrast administration). • A scout with additional mid-sagittal T1WI is made for optimal and constant positioning. • The sagittal FLAIR is ideal for detection of lesions in the corpus callosum and the 3D sequence allows for better detection of smaller and juxtacortical lesions. . • Finally the axial T1W-images are made after about 15 minutes to provide optimal contrast enhancement
  • 28.
    Magnetic Resonance Findings •typically presenting as scattered foci of varying size demonstrating high signal intensity on T2- weighted images • MS lesions are frequently situated in the periventricular white matter, internal capsule, corpus callosum, pons, and but may be found throughout the myelinated white matter and within gray matter
  • 29.
    • . Plaqueslocated in the immediate periventricular region may be difficult to appreciate on T2-weighted image • proton density– weighted images or fluid- attenuated inversion recovery (FLAIR) images usually better define periventricular lesions. • MS plaques have a propensity to occur in the periventricular region • commonly appear as linear or ovoid lesions oriented perpendicular to the lateral ventricle (Dawson fingers),
  • 30.
    • MR appearanceof MS lesions is highly variable and certainly not specific . • anatomic distribution of the lesions should not be considered key to the diagnosis because “exceptional” locations are commonly encountered. • However, the corpus callosum is a region that is especially vulnerable to demyelination in MS, possibly due to its intimate neuroanatomic relationship to the lateral ventricular roofs and to small penetrating vessels.
  • 31.
    • Studies haveshown focal areas of high signal intensity on T2-weighted images in the inferior aspect of the corpus callosum (callosal–septal interface) in up to 93% of MS patients • . Sagittal T1-weighted images also nicely depict these lesions as focal areas of thinning of the inferior aspect of the corpus callosum
  • 33.
    • MS lesionstypically decrease in size over time and leave a smaller residual plaque. • MS plaques may enhance after the administration of intravenous contrast , reflecting transient abnormality of the blood–brain barrier. • The enhancement patterns are extremely variable and may appear homogeneous, ringlike, or nodular. • Treatment with steroids may also be associated with a marked reduction in lesion enhancement and morphology . • Contrast enhancement may be used to add specificity to the finding of multiple hyperintensities on T2-weighted images because the finding of enhancing along with nonenhancing lesions is quite common in MS (
  • 34.
    • Although quitecommonly large MS lesions have very little mass effect, masslike lesions (tumefactive MS) that may mimic a tumor on imaging • Perfusion MR techniques may also be useful to increase the confidence of the noninvasive diagnosis of tumefactive MS . • Typically there is evidence of decreased perfusion within the lesion in comparison with contralateral, normal-appearing brain parenchyma. • MS can also appear as very subtle diffuse hyperintensity in the white matter
  • 36.
    • Increasing hypointensityof MS plaques on T1- weighted images has been correlated with increased demyelination and axonal loss on pathology . • These lesions may approach the signal intensity of CSF, referred to as “black holes,” and have been shown to be correlated more closely with clinical disability • Peripheral lesional high signal intensity on T1- weighted images is frequently encountered, suggesting the presence of paramagnetic material and likely corresponds to the presence of free radicals in the macrophage layer forming the margin of an acute plaque.
  • 37.
    • MS lesionsmay also display clearly defined rings within or surrounding plaques of demyelination
  • 38.
    • Atrophy iscommon with progression of disease, usually manifested by ventricular enlargement and thinning of the corpus callosum, • increased iron deposition is concomitantly found in the basal ganglia, thalami, cortex, and subcortical white matter • . Rare reports are even found in the literature of meningeal enhancement (93) and hemorrhagic MS lesions
  • 39.
    Revised Magnetic ResonanceImaging Criteria for the Diagnosis of Multiple SclerosisMagnetic resonance abnormality and dissemination in space Dissemination in time At least one gadolinium-enhancing lesion or nine T2 hyperintense lesions if there is no gadolinium- enhancing lesion Detection of gadolinium enhancement at least 3 mo after the onset of the initial clinical event, if not at the site corresponding to the initial event At least one infratentorial lesion At least one juxtacortical lesion At least three periventricular lesions Detection of a new T2 lesion if it appears at any time compared with a reference scan done at least 30 days after the onset of the initial clinical event A spinal cord lesion can be considered equivalent to a brain infratentorial lesion Three of the following
  • 40.
    • One ofthe most common questions in daily radiology practice when we see an image like the one on the left is: • 'Do we have to think of Multiple Sclerosis? • Or are these white matter lesions the result of small vessel disease, as in a hypertensive patient? • Or should we think of more uncommon diseases? • In order to be able to answer that question, we have to realise that when we study white matter lesions (WMLs): • Many neurological diseases can mimic MS both clinically and radiologically. • Most incidentally found WMLs will have a vascular origin.
  • 41.
    • MS hasa typical distribution of WMLs. This can be very helpful in differentiating them from vascular lesions . Typical for MS • involvement of corpus callosum, • U-fibers, • temporal lobes, • brainstem, • cerebellum • spinal cord. This pattern of involvement is uncommon in other diseases. In small vessel disease there may be involvement of the brainstem, but it is usually symmetrical and central, while in MS it is periphera
  • 42.
    • The lesionsin the deep white matter (yellow arrow) are nonspecific and can be seen in many diseases. Typical for MS in this case is: • Involvement of the temporal lobe (red arrow) • Juxtacortical lesions (green arrow) - touching the cortex • Involvement of the corpus callosum (blue arrow) • Periventricular lesions - touching the ventricles
  • 43.
    • TYpical findingsfor MS as seen in this case are: • Multiple lesions adjacent to the ventricles (red arrow). • Ovoid lesions perpendicular to the ventricles (yellow arrow). • Multiple lesions in brainstem and cerebellum. • These ovoid lesions are also called Dawson fingers. They represent areas of demyelination along the small cerebral veins that run perpendicular to the ventricles.
  • 44.
    DAWSON FINGERS • Ovoidlesions perpendicular to the ventricles (Dawson fingers). • Enhancing lesion. • Multiple lesions adjacent to the ventricles. • Dawson fingers are typical for MS and are the result of inflammation around penetrating venules. These veins are perpendicular to the ventricular surface. • .
  • 45.
    • Enhancement isanother typical finding in MS. This enhancement will be present for about one month after the occurrence of a lesion. The simultaneous demonstration of enhancing and non-enhancing lesions in MS is the radiological counterpart of the clinical dissemination in time and space. The edema will regress and finally only the center will remain as a hyperintense lesion on T2WI
  • 46.
    Juxtacortical lesions • locatedin the U-fibers are also very specific for MS. • The involvement of the U-fibers is best seen on the magnification view.
  • 47.
    Variants • Acute MS(Marburg type)- occurs as an infrequent variety of MS, most commonly in younger patients. • It is often preceded by fever and typically has inexorable rapid progression to death within months. • This fulminant form of MS has also been seen as a terminal event in classic MS. • Pathologic findings of extensive myelin destruction, severe axonal loss, and early edema are seen
  • 48.
    • Neuromyelitis optica(Devic type) -is a syndrome of acute onset of optic neuritis and transverse myelitis that develop at approximately the same time and dominate the clinical picture • . This condition has a different pathogenesis from most of the other MS types related to the fact that demyelination is antibody dependent and complement mediated • . Approximately 50% of these patients die within several months • . The relationship of Devic syndrome to MS is controversial; indeed, other acute demyelinating disorders, including acute disseminated encephalomyelitis, can affect optic nerves and spinal cord
  • 50.
    • Schilder type,or myelinoclastic diffuse • refers to an entity consisting of extensive, confluent, asymmetric demyelination of both cerebral hemispheres with involvement of the brainstem and cerebellum. It is usually • seen in children presenting with seizures, signs of pyramidal tract involvement, ataxia, and psychiatric symptomatology. • Adult cases have aso been described . • Typically, there is a rapid progression of disease over the course of 1 to 2 years, but the demyelinating process may be fulminant se..
  • 52.
    • Concentric sclerosis(Balò type) • IT is a very rare type of demyelinating disease in which large regions with alternating zones of demyelinated and myelinated white matter are found. • The myelinated regions may reflect remyelination rather than spared normal myelin. • This progressive disease is more often found in young patients and is more common in the Philippines. • When encountered, Balò concentric sclerosis has a pathognomonic appearance on both pathology and MR
  • 54.
    • Tumefactive MS •Tumefactive MS is a variant of Multiple Sclerosis. • The open-ring enhancement pattern with low signal T2 ring and low CBF are all indicative of demyelination.
  • 55.
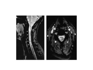
    EXTRA CEREBRAL LESIONS Spinalcord. • MS lesions of the spinal cord are usually found in combination with lesions in the brain; however, 5% to 24% of cases can be found in isolation • MR studies have shown that cord abnormalities may be found in approximately 75% of MS patients and in an even higher proportion of patients with spinal cord symptoms
  • 56.
    • Most lesionsare found in the cervical region • Axial T2-weighted images demonstrate the typical peripheral location of MS lesions commonly the dorsolateral aspect of the cord, where pial veins are adjacent to white matter . • Involvement of both gray and white matter by MS plaques can be seen. • Gadolinium contrast administration frequently demonstrates enhancement of acute spinal cord lesion
  • 57.
    • The mosttypical enhancement pattern in demyelinating spinal cord lesions is a peripheral ringlike enhancement, although this is not always seen • Enhancing MS plaques can be virtually indistinguishable from neoplastic lesions and other inflammatory lesions of the spinal cord particularly when the spinal cord is enlarged due to edema. • Therefore, clinical correlation and often serial follow-up scanning are necessary to formulate a specific diagnosis,
  • 59.
  • 61.
    DD multiple patchylesions • Borderzone infarction Key finding: typically these lesions are located in only one hemisphere either in deep watershed area or peripheral watershed area. In the case on the left the infarction is in the deep watershed area. • ADEM Key findings: Multifocal lesions in WM and basal ganglia 10-14 days following infection or vaccination. As in MS, ADEM can involve the spinal cord, U-fibers and corpus callosum and sometimes show enhancement. Different from MS is that the lesions are often large and in a younger age group. The disease is monophasic
  • 62.
    • Lyme 2-3mm lesionssimulating MS in a patient with skin rash and influenza-like illness. Other findings are high signal in spinal cord and enhancement of CN7 (root entry zone) • PML Progressive Multifocal Leukoencephalopathy (PML) is a demyelinating disease caused by JC virus in immunosuppressed patients. Key finding: space-occupying, nonenhancing WMLs in the U-fibers (unlike HIV or CMV). PML may be unilateral, but more often it is asymmetrical and bilateral.
  • 63.
    • Metastases Metastases aremostly surrounded by a lot of edema. • Virchow Robin spaces On the T2W image there are multiple high intensity lesions Mc location in the basal ganglia. basal ganglia, around atria, near the anterior commissure and in the middle of the brainstem. On the FLAIR image these lesions are dark, so they follow the intensity of CSF on all sequences (they were hypointense ion the T1WI). This signal intensity in combination with the location is typical for VR spaces.
  • 65.
    • Normal Aging Innormal ageing we can see: Periventricular caps and bands Mild atrophy with widening of sulci and ventricles Punctate and sometimes even confluent lesions in the deep white matter (Fazekas I and II). Periventricular caps are hyperintense regions around the anterior and posterior pole of the lateral ventricles and are associated with myelin pallor and dilated perivascular spaces. Periventricular bands or 'rims' are thin linear lesions along the body of the lateral ventricles and are associated with subependymal gliosis.
  • 67.
    Newer Techniques • ProtonMR spectroscopy has been studied by several investigators in MS • Decreased levels of NAA have been reported in acute active and chronic plaques • Serial MR spectroscopic studies have shown that the NAA level can be partially restored, • The described reduced level in MS plaques does not imply irreversible damage. Instead, its recovery might be related to resolution of edema or recovery from sublethal neuroaxonal injury
  • 68.
    • MT techniqueshave been applied to brain MR in an attempt to characterize MS lesions and to discern otherwise occult disease in normal-appearing brain parenchyma. • This pulse sequence technique, which can be implemented on a conventional scanner, exploits differences in relaxation between immobilized water transiently bound to macromolecules and water protons not associated with macromolecules. • The hypothesis underlying these investigations is that demyelination results in more free water compared with myelinated white matter or intact but edematous tissue. • Selective suppression of immobilized water is accomplished by the application of an off-resonance saturation pulse, which saturates the broad resonance of protons bound to macromolecules.
  • 69.
    • . Usingthis experimental design, it has been shown in some studies that MT ratios are higher in normal mature myelinated white matter than in gray matter. • A slight decrease of the magnetization transfer ratio was noted in early inflammatory lesions without demyelination in models of experimental allergic encephalomyelitis. • More pronounced reductions in MT ratios have been described in demyelinating lesions in experimental models (proportional to the degree of demyelination) and in patients with MS
  • 70.
    • diffusion MRstudy showed that markedly hypointense nonenhancing lesions showed higher apparent diffusion coefficient (ADC) values than isointense nonenhancing lesions, indicating that quantitative diffusion data from MR imaging differs among MS lesions that appear different from each other on T1-weighted images. • These quantitative diffusion differences imply microstructural differences, which may prove useful in documenting irreversible disease. • A whole-brain diffusion MR histogram study also showed that MR diffusion histograms can quantify visible and occult cerebral lesion load in patients with MS
  • 71.
    • Fiber tractographyis another promising technique for evaluation of white matter abnormalities in MS patients, in particular in assessing the degree of axonal loss • demonstrating fewer fibers in corticospinal tracts of patients with higher lesion loads