GYNAECOLOGICAL
IMAGING
NORMAL RADIOLOGICAL
ANATOMY
• UTERUS
• It is pear shaped structure
• varies in size
• Before puberty cervix large and body of
uterus small.
• After puberty uterus size increases to 7 to
8 cm.
• After menopause involute to 5 to 6 cm
• May be retrovertes or anteverted
• Retroflexed or anteflexed
• There is difficulty in seeing the fundus if
retroverted retroflexed
On MRI T2W images
endometrium is of
High signal intensity
Normal pediatric endometrium. Sagittal US
image of the uterus in a 2-year-old girl
demonstrates a thin endometrium
Sagittal US image of the uterus
obtained during menstruation
shows a thin endometrial lining
Sagittal US image of the uterus obtained during
the late proliferative phase of the menstrual cycle
demonstrates the endometrium with a multilayered
appearance
Sagittal US image of the uterus obtained during
the secretory phase of the menstrual cycle shows
a thickened, echogenic endometrium
• ENDOMETRIUM IS CONSIDERED
ABMORMAL IF IT MEASURES MORE
THAN 1.4cm IN PREMENOPAUAL
AND MORE THAN 4mm IN POST
MENOPAUSAL.
• On USG endometrium is of high
echogenecity .
• At the start of follicular phase of menstrual cycle
it is thin echogenic line.
• From day 8 to 10 of menstrual cycle
endometrium thickens and become five layered
at midcycle.
• In the luteal phase endometrium loses its five
layered appearance and becomes progressively
more echogenic with normal thickness of 1.2 to
1.4cm.
• MYOMETRIUM IS HYPOECHOIC ON
USG
• ON MRI T2W The layer of myometrium
just below endometrium is of low signal
intensity and the remaining myometrium is
of intermediate signal intensity.
The zonal anatomy, with differentiation between the high-
intensity endometrium (E), low-intensity junctional zone
(arrow), and intermediate-intensity outer myometrium, is
well seen.
T2-weighted MR image shows the normal
endometrium (straight arrow) and junctional
zone (curved arrow).
• Parametrium is hypoechoic on USG
• and on MRI T1W intermediate signals and
increase in signals on T2W.
CERVIX
• Cervix is cylinderical shape structure 2 to
4cm.
• connecting with body of uterus at internal
os.
Normal Uterus–Transabdominal. Longitudinal scan through the urine-filled
bladder (B) demonstrates a normal adult uterus with smooth contours, pear
shape, and well-defined bright endometrial echo (open arrow). The cervix (arrow)
is recognized at the junction of imaginary lines drawn through the long axis of the
uterus and the long axis of the vagina (between arrowheads). This uterus is
anteverted.
Transvaginal sonogram in early pregnancy
showing a normal cervix. Arrows point to the
internal and external os.
Transabdominal sonogram showing
a normal cervix.
• On MRI
• On T2W images,there is hyperintense
central zone representing cervical mucus
and epithelium
• Outer zone of low signals due to
fibrostromal wall similar to junctional jone
of myometrium
• Further peripheral layerof intermediate
signal intensity continuous with
myometrium.
VAGINA RADIOLOGICAL
ANATOMY
• On USG Vagina is visualizes as two
linear hypoechoic muscular walls around
and echogenic mucosa.
• On MRI T2W images vagina has a high
signal central zone of mucus and
epithelium surrounded by low signal
muscular wall.
Normal vagina seen in the axial plane. T2-weighted shows the vagina
as an intermediate-intensity tube (arrow) between the bladder base (B)
anteriorly and the rectum (R) posteriorly.
OVARY
• These are oval structures lying in relation
with internal iliac vessels on the pelvic
side walls.
• They are less echogenic than the
uterus.
• may contain variable number of
follicles/cysts.
• IN MENSTRUATING WOMEN its
VOLUME SHOULD BE NORMALLY
LESS THAN 7.5ml
• AND IN POSTMENOPAUSLA WOMEN
NOT MORE THAN 3ml.
OVULATORY CYCLE
• At start of FOLLICULAR PHASE few
number of follicles start to develop
• From day 8 to 10 one follicle become
dominant nad continues to grow at a rate
of 2 to 3 mm/day.
• About midcycle it measures 18 to 25mm.
• after ovulation corpus luteum can be seen
seen as irregular cystcontaining internal
echoes due to blood or a hypoechoic
area.
Doppler studies
• During menstruation and early follicular
phase high impedance flow RI appro 0.7
• Following neovascularization and corpus
luteum development ,diastolic flow
increases leading to low impedance flow
and RI less than 0.6
• Doppler indices in postmenopausal are of
high resistive index.
Color Doppler US scan shows
abundant flow in the wall of the
corpus luteum.
• Ovaries are best seen in transverse
or coronal planes.
• They measure about 1.5 to 3 cm in
diameter.
• Ovary show low to intermediate
signal intensity similar to muscle
on T1W and low signals on T2W.
Axial T2-weighted magnetic resonance image of
the pelvis. This image reveals multiple subcapsular
follicles in both ovaries
• Follicles are seen which are of Low to
intermediate signals on T1W and high
signals on T2W
• On T1W images difficulty arise in
differentiating ovaries from bowel and
uterus.After IV gadolinium normal
ovaries enhance
CONGENITAL UTERINE
ANOMALIES
• The upper two third of vagina uterus
and fallopian tube develop from fusion
and descent of paired mullerian
ducts.
• The lower third of vagina is derived from
urogenital sinus.
• Partial or complete failure of the ducts to
fuse result in spectrum of complex
abnormalities.
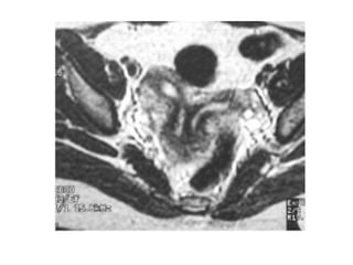
UNICORNUATE UTERUS
• Unicornuate uterus
results from complete
or incomplete arrest
of development of
one müllerian duct
Axial T2-weighted FSE image (2,000/120) shows
a laterally deviated banana-shaped uterus (arrow).
No rudimentary horn could be detected.
BICORNUATE UTERUS
• Bicornuate uterus results from partial
nonfusion of the müllerian ducts . Double
uterine bodies and a single cervix are
present. An arcuate uterus is considered a
milder form of bicornuate uterus; it has a
convex or flat external fundal contour and
mild impression on the endometrial cavity.
Bicornuate bicollis is a variant of
bicornuate uterus in which the anomaly is
combined with a muscular uterine septum
that extends to the external os
BICORNUATE UTERUS
SEPTATE UTERUS
• In it uterine septum
fails to resorb
resulting in failure of
correct placental
implantation and
subsequent
miscarriage.
Septate uterus results from complete
fusion of the müllerian ducts with failure
of resorption of the central septum
Septate uterus: incomplete septum
the outer fundal contour (superior border) is flat
or slightly concave, which is sufficient to make the
diagnosis of septate uterus
UTERUS DIDELPHYS
• .Didelphic uterus
results from complete
nonfusion of both
müllerian ducts Two
uterine bodies and
two cervices are
present
Didelphys uterus. Complete separation and full
development of both müllerian ducts is noted. (a) Two
vaginas and 2 cervices; (b) 2 distinct cervices; (c) 2 uterine
horns are widely splayed; (d) cross section of uterine
bodies and cervices.
Bicornuate uterus. The midline uterine external fundal cleft
(superior border) has a depression greater than 1 cm,
excluding septate uterus from the differential diagnosis.
This image is of bicornuate bicollis, since 2 cervices are
present
Normal uterus. Note a single
uterine cavity and flat or convex
outer fundal contour.
Septate uterus. Midline septum can be of variable
length and can be muscular or fibrous. In the
diagram, the septum is shown as an extension of
the uterine myometrium.
Bicornuate uterus. Note the partial fusion of the lower
uterine segment and persistently separated upper uterine
segments. Of key importance is the prominent fundal cleft
(>1 cm), which distinguishes the anomaly from septate
uterus.
Unicornuate uterus. Note the failure
of the development of one half of
the uterus.
Didelphys uterus. Note the
complete separation but full
development of each müllerian
duct.
Arcuate uterus. Mild thickening of the
midline fundal myometrium resulting in
fundal cavity indentation but normal outer
fundal contour.
Diethylstilbestrol-exposed uterus. Myometrial hypertrophy
results in a T-shaped uterine cavity and cavity irregularity,
which is pathognomonic for the anomaly. Typically, the
uteri are hypoplastic.
HEMATOMETRIUM AND
HEMATOCOLPOS
• Primary amenorrhea
• cyclical abdominal pain
• pelvic pain
• severe dysmenorrhea
• USG reveals a thick walled cystic
mass either due to obstructed
vagina or obstructed uterus with
low level internal echoes due to
blood.
Transverse vaginal septum (class 2). Sagittal T2-weighted shows a
transverse septum in the middle of the vagina (arrow), causing
dilatation of the proximal vagina (V) and uterus (U) (hematocolpos and
hetmatometria).
Obstructed hymen (class 2). Sagittal T1-weighted
spin-echo image (500/8) shows a dilated
hematometrocolpos. The obstruction is at the level
of perineum
Hematometrocolpos in a 12-year-old girl with
abdominal pain. Sagittal US image demonstrates a
markedly distended vagina (straight arrow) and
uterine cavity (curved arrow)
Ultrasound Hematocolpos
MR image shows a blood-filled
vagina and a normal uterus
High incidence of associated
single kidney
kidneys shows congenitally absent
left kidney.
• MRI IS THE TECHNIQUE OF
CHOICE IN ASSESSMENT
AND EVALUATION OF
CONGENITAL LESIONS
UTERINE
ABORMALITIES
UTERINE FIBROIDS
• SUBMUCOUS arise within cavity and
distort it
• MURAL may or maynot distort cavity
depends on precise location
• SUBSEROSAL cause bulge on surface of
uterus
•
• On USG most fibroids are
• ROUND WELL DEFINED
• HYPOECHOIC MASSES WITH
CHARACTERISTIC INTERNAL
ARCHITECTURE SHOWING
RECURRENT SHADOWING
• Nondegenerating fibroids
• have a uniform signal intensity
indistinguishable from myometrium on
T1W images and with lower signals
on T2W images.
• Degenerating fibroids show variable
and nonspecific signal
appearanceswith an intermediate to high
signals on T1W and high signals on T2W
images.
• Malignant transformation cant be
differentiated from degenerating
fibroids
Arrowheads point to enlarged
uterus with multiple fibroids
Axial MRI shows the cross section of a fibroid in
the lower uterus. Note the mass effect on the
bladder, which is located anteriorly
Calcified fibroid. Arrrowheads point
to the contour of the uterus
Calcified fibroid. Rectum has
contrast from a previous procedure.
Coronal T2-weighted MRI shows an
enlarged uterus with multiple fibroids.
•
CT Calcified fibroid
CT scan shows a subserosal, 2.3- to 2.5-
cm, right anterior fundal uterine fibroid.
fibroid post wall
MR Coronal image. Fibroid.
MR Sagittal image Calcified fibroid.
Sagittal T2-weighted MRI shows a large
heterogeneous fundal uterine fibroid.
Submucosal fibroids. T2-weighted MR
image shows a hypointense submucosal
fibroid splaying the endometrium (
Transabdominal sagittal sonogram shows a
heterogeneous but predominately
hypoechoic posterior uterine fibroid
young adult female patient with a relatively
large submucous fibroid bulging into the
uterine cavity
• Pedunculated fibroids
on pedicle usually
from serosal surface
• Cervical
fibroid rare
<5%
• They can be hyperechoic and may
be calcified particularly in
postmenopausal women.
• Degeneration within fibroid appear as
• area of increase echogenecity or
• irregular cystic areas.
Fibroids can undergo various degenerative changes,
especially when large. This fibroid of the uterus measures
11.2 cms. and shows multiple hypoechoic and hyperechoic
patchy areas
Doppler USG
• Fibroids can
be very
vascular so
may show
very low
impedance
flow.
ADENOMYOSIS
• It is the presence of endometrial
glands within myometrium
associated with adjacent
myometrial hyperplasia.
• It is usually a diffuse process but may form
a localazised mass or adenomyoma.
• Clinical findings are dysmenorrhea and
menorrhagia with a tender bulky uterus.
USG features
• On USG poorly defined areas of
decreased echogenecity and
heterogeneity in myometriumassociated
with small 2to 5mm cystic spaces in
myometrium in 50% cases.
• Focal adenomyoma cause focal bulge in
myometrium and may be hypo or
hyperechoic but less well defined than
fibroids.
Normal uterus. Sagittal endovaginal US scan shows a normal
myometrium (M), which is moderately echogenic and has a
homogeneous echotexture. The subendometrial halo, which represents
the innermost layer of the myometrium, is visualized subjacent to the
endometrium (E) as a thin hypoechoic band (arrows). The endometrium
is uniformly echogenic in this patient, who was in the secretory phase of
the menstrual cycle.
• sagittal oblique endovaginal US
scan shows that the myometrium
is thickened ventrally and has a
heterogeneous echotexture
(straight arrows). The echogenicity
of the ventral myometrium is
decreased relative to that of the
dorsal myometrium. Additional
features of adenomyosis seen in
this image include poor definition
of the endomyometrial junction
and a myometrial cyst (curved
arrow).
adenomyosisSagittal transabdominal
sonogram of an enlarged uterus with a
thickened posterior myometrium (arrows).
MRI features
• Maximum thickness of junctional zone is
12mm
• And in adenomyosis there is diffuse or
focal thickening of junctional zone,with or
without focal areas of high signal on T2W.
• On T2W images focal adenomyosis
appear as poorly marginated low signal
mass within the myometrium.
• sagittal T2-weighted MR image
shows marked thickening of
the junctional zone. The result
is a poorly defined low-signal-
intensity mass that replaces
the ventral myometrium
(arrows). The numerous bright
foci, some of which have a
rounded appearance whereas
others have a linear or
fingerlike appearance,
represent the heterotopic
endometrium. Bl = bladder.
• Focal thickening of the
junctional zone. Sagittal T2-
weighted MR image shows
focal thickening of the
junctional zone at the level of
the fundus (arrows). Although
the maximal thickness of the
junctional zone was more than
12 mm in this patient, any focal
thickening of the junctional
zone should raise the
possibility of adenomyosis. Bl
= bladder, E = endometrium.
ENDOMETRIAL
HYPERPLASIA
• If premenopausal more than
1.4cm
• and postmenopausal women
more than 4mm.
Postmenopausal endometrial
atrophy.
Endometrial hyperplasia. US image shows an
endometrium with diffuse thickening (maximum
thickness, 1.74 cm) due to hyperplasia
ENDOMETRIAL CARCINOMA
• Occurs mainly in postmenopausal
women
• Most common presenting symptom
abnormal uterine bleeding
Ultrasound features
• vary from endometrial thickening
to an irregular hypoechoic
intracavitatory mass to an enlarged
diffusely infiltrated uterus.
Endometrial adenocarcinoma. (a) US image reveals a
heterogeneous endometrial mass (arrows) that is difficult to
distinguish from the myometrium. Cursors indicate the
entire transverse width of the uterus.
CT features
• Hypodense irregular mass expanding the
uterine cavity sometimes associated with
blood,fluid or pus within cavity.
• CT is good at determining the extent of
extrauterine disease but cant easily
differnentiate stage1 from stage 2 disease.
63-year-old woman with moderately
differentiated endometrial
adenocarcinoma
A 57-year-old woman with stage IVB poorly
differentiated endometrial carcinoma. CT image
through the uterus. The cervix is markedly
enlarged and replaced by tumor.
CT scan also reveals a
heterogeneous tumor
(arrowheads).
endometrial adenocarcinoma. CT image through
the uterus shows fluid-filled cavity marginated by
tumor involving most of the endometrial
andcervical regionenlarged lymph node right pelvic
T2-weighted MR image shows a large,
heterogeneous tumor distending the
endometrial canal (arrows).
• Endometrial
carcinoma in a 58-
year-old patient. (a)
Sagittal fast SE T2-
weighted (4,000/119
[effective]) MR image
shows nodular,
discretely irregular
foci of low signal
intensity (arrowheads)
in the endometrial
cavity.
• THE MOST RELIABLE CRITERIA FOR
THE DIAGNOSIS OF MYOMETRIAL
INVASION IS DISRUPTION OF
JUNCTIONAL ZONE.
• FOLLOWING IV CONTRAST
ENDOMETRIAL CARCINOMA
ENHANCES .
FIGO STAGING FOR UTERINE
CORPUS
•OVARIAN
PATHOLOGIES
POLYCYSTIC OVARY
• LARGE OVARIES VOLUME >7.5ml
• MORE THAN 2to 5mm follicles MAINLY
PERIPHERAL DISTRIBUTION
INCREASED STROMA
LARGE /NORMAL UTERUS THICK
ENDOMETRIUM
• numerous
peripheral follicles
and hyperechoic
stroma. Note that
none of the
follicles is larger
than 1.2 cm.
MULTIFOLLICULAR OVARY
• Size of uterus and
ovary normal.
• several follicles of 5 to
10mm.
• no increase stroma
Primary ovarian failure
• Size of uterus and ovary small
• no follicle seen
• no increase stroma
SIMPLE ADNEXAL CYST
• Most commonly functional in origin
• D/D
• Paraovarian cysts
• Endometrioma
• Hydrosalpinx
• Neoplastic cysts
• Peritoneal cysts.
• 3.5-cm simple ovarian
cyst (calipers).
Normal-appearing
ovarian tissue
(arrows) with a few
follicles around the
periphery confirms
the ovarian origin of
the cyst.
• corpus luteum within
the ovary. It has a
slightly thick,
crenulated wall
(arrows) and a small
cystic center
Anechoic lesion with posterior acoustic
enhancement.thin smooth walls.no solid
part.unilocular.simple follicular cysts.no
septa.normal vessels
HEMORRHAGIC CYST
• a retracting clot
(asterisk) with
concave margins
along the wall of a
hemorrhagic cyst
• hemarragic cyst
complex cystic mass
within the periphery of
the ovary. The
seemingly solid area
within the cystic mass
has concave margins
and no demonstrable
flow, both typical
features of a clot.
• hemorrhagic cyst
complex ovarian cyst
with a seemingly solid
area due to a clot (C).
This could be
mistaken for the solid
area of a neoplasm.
No flow was evident
• hemorrhagic cyst
complex ovarian cyst
with internal echoes.
There is a reticular or
fishnet pattern to the
internal echoes due to
fibrin strands
(arrows). Note how
the fibrin strands are
thin
RUPTURED CYST
• right adnexa shows a
thick-walled ovarian
cyst (corpus luteum)
with surrounding
anechoic free fluid, a
finding indicative of
rupture
TORSION OF CYST
• Twisted vascular
pedicle showing the
circular string-of-
beads appearance of
dilated veins (arrows).
BL-indicates urinary
bladder; and CYST,
ovarian cyst.
Whirlpool Sign in Ovarian Torsion
Whirlpool Sign
A, Snail shell appearance of the twisted pedicle (arrows). BL
indicates urinary bladder; and CYST, ovarian cyst. B, Color
Doppler study of the twisted artery and vein.
• A, Twisted pedicle
appearing as a large
echogenic mass
(arrows). B, Color
Doppler study of the
pedicle showing
absent flow.
ENDOMETRIOMA
• endometrioma
complex ovarian cyst
with homogeneous
internal echoes. It
contains a small solid-
appearing area
(arrow). Color
Doppler US (not
shown) did not
demonstrate flow in
the solid area.
• endometrioma
complex ovarian cyst
(between arrows) with
homogeneous
internal echoes.
DERMOID CYST
• Mature cystic
teratomacomplex
ovarian cyst (long
arrows) with low-level
internal echoes and a
markedly hyperechoic
solid-appearing area
(with faint distal
acoustic shadowing
(S).
'tip-oftheiceberg sign acoustic shadowing from the
hyperechoic part of the dermoid cyst
mature cystic teratoma.suppresed
on stir.contain fat
TUBO OVARIAN
ABSCESS
Endovaginal sonogram. This image shows
anechoic tubular structures in the adnexal area;
the finding is compatible with a hydrosalpinx.
Endovaginal ultrasound scan. This image shows
anechoic tubular structures in the adnexa; the
finding is compatible with a hydrosalpinx.
Endovaginal ultrasound scan. This image reveals
a tubular structure with debris in the left adnexa;
the finding is compatible with a pyosalpinx.
hydrosalpinx tubular-shaped cystic mass
with a septum. Small nodules (arrows) in the
mass are due to thickened endosalpingeal
folds
Endovaginal ultrasound scan. This image shows a
relatively enlarged right ovary, increased flow, and
a small amount of adjacent free fluid. These
findings are compatible with oophoritis.
Endovaginal ultrasound scan. This
image shows a healthy left ovary.
This sonogram shows a markedly
heterogeneous and thickened endometrium,
a finding that is compatible with
endometritis.
This sonogram demonstrates a markedly heterogeneous and thickened
endometrium. On closer evaluation, a fluid-fluid level in the endometrial cavity is
revealed. In the appropriate clinical setting, this finding is compatible with
pyometrium, as it was in this case.
This sonogram reveals bilateral complex masses
in a patient who had pyometrium. The finding is
compatible with tubo-ovarian abscesses.
This sonogram reveals bilateral complex masses
in a patient who had pyometrium, a finding that is
compatible with tubo-ovarian abscess.
Power Doppler sonogram. This image shows increased
flow to the wall of a tubo-ovarian abscess. The inner
hypoechoic regions are due to the presence of purulent
material
Endometritis with air in the endometrial
cavity and bilateral tubo-ovarian abscesses
are shown.
Paraovarian cyst.
Ovarian fibroma
• Ovarian fibroma in a
24-year-old woman.
Sagittal transvaginal
US scan reveals a
slightly hypoechoic
solid mass (M) within
and replacing most of
the ovary (calipers).
No distal acoustic
shadowing is present
• Ovarian fibromas are composed of
spindle cells that form collagen and
usually display low signal intensity
on both T1- and T2-weighted MRI.
High signal intensity on T2-
weighted images corresponded to
regions of hyalinization and
myxomatous changes [5].
Intratumoral edema is also
common in larger fibromas.
52-year-old woman with ovarian fibroma with prominent
cystic change. Axial T2-weighted
axial T1-weighted
axial contrast-enhanced T1-
weighted
EPITHELIAL OVARIAN TUMORS
• serous
cystadenocarcinoma
complex ovarian cyst
(calipers) with several
thick septa (arrows)
and solid areas.
• Benign serous
cystadenoma in a 49-
year-old woman.
Contrast material-
enhanced CT scan
shows a unilocular
cystic mass in the
right lower quadrant
(arrows). The wall of
the mass is not
delineated, and there
is no evidence of any
excrescence within it.
• 21-year-old woman
with ovarian serous
cystadenoma.
Sonogram shows
echogenic mural
nodule (arrow) in
cystic mass.
• 21-year-old woman
with ovarian serous
cystadenoma. CT
scan shows
enhancing papillary
projection
• Bilateral serous
cystadenocarcinomas
in a 50-year-old
woman. Contrast-
enhanced CT scan
shows bilateral ovoid
tumors (T) with some
septa and mural
nodules.
• 21-year-old woman
with ovarian serous
cystadenoma. Sagittal
contrast-enhanced
T1-weighted MR
image shows papillary
projection (arrows) in
cystic mass.
• 38-year-old woman
with ovarian
mucinous
cystadenofibroma. CT
scan shows large
cystic mass with
enhancing solid
portion
• Benign mucinous
cystadenoma in a 26-
year-old woman.
Contrast-enhanced
CT scan shows a
large, multilocular
cystic mass (arrows)
with a smooth
contour, honeycomb
appearance, and
heterogeneous
attenuation in the
locules.
• . Serous
cystadenocarcinoma
of the ovary with
peritoneal
carcinomatosis in a
60-year-old woman.
Contrast-enhanced
CT scans obtained at
the level of the liver
Brenner tumour
• They are mainly hypoechoic solid masses.
Calcifications have been reported in 50% of
Brenner tumours on ultrasound.
• CT
• calcifications have been reported in ~ 83% of
Brenner tumours on CT.
• solid component may show mild to moderate
enhancement post contrast.
• Pelvic MRI
• due to its predominantly fibrous content content
they appear hypointense on T2 weighted
sequences
Axial contrast-enhanced CT shows a solid mass
(arrows) with 8 cm diameter arising from the right
ovary. Extensive amorphous calcification within the
mass is seen
Axial T1-weighted image showing a large
hypointense adnexal mass (arrows) arising
from the right ovary.
Sagittal T2-weighted image demonstrating large right
adnexal mass to be uniformly hypointense (asterisk). Also
seen is anteverted and anteflexed uterus (arrow).
DIFFERENTIATION OF BENIGN AND
MALIGNANT OVARY TUMORS
• Color Doppler
ultrasonogram shows
very low impedance
flow within the wall,
which indicates an
ovarian tumor.
OVARIAN HYPERSTIMULATION
SYNDROME
• ovarian
hyperstimulationmark
edly enlarged left
ovary (arrows) with
multiple adjacent
simple cysts in a
patient undergoing in
vitro fertilization
HYSTEROCONTRAST
SONOGRAPHY
• Hysterosalpingo-contrast-sonography
(usually shortened to HyCoSy) is a simple
and well-tolerated outpatient ultrasound
procedure used to assess the patency of
the fallopian tubes, as well as detect
abnormalities of the uterus and
endometrium.
• The test uses “Levovist”, a non-iodine
contrast agent. Levovist is a microparticle
suspension consisting of 99.9% galactose
and 0.1% palmitic acid.
• The HyCoSy procedure is a safe and
reliable alternative to the conventional
hysterosalpingogram (HSG) which uses X-
rays. No radiation or iodinated contrast
material is used for a HyCoSy test.
• —Endometrial polyp
in 33-year-old
woman.
• A, Sonohysterogram
in transverse plane
shows solitary,
smooth, well-defined,
uniformly echogenic
intracavitary lesion.
Angle of lesion with
underlying
endometrium (arrows)
is acute.
• Endometrial polyp in
33-year-old woman.
• B, Color Doppler
image shows single
feeding vessel at
base of polyp (arrow).
• Endometrial cancer in 57-year-
old woman. Sonohysterogram
in sagittal plane with color
Doppler reveals that diffuse,
irregular frondlike thickening of
posterior endometrium shows
internal vascularity.
Endometrial-myometrial
interface has been lost, which
suggests invasion into
myometrium.
• Submucosal fibroid in
42-year-old woman at
sonohysterography.
• B, Transverse image
with application of
color Doppler
sonography shows
typical arborizing
vascular pattern of
fibroid lesion.
THANKyOU

Gynaecological imaging

  • 1.
  • 2.
    NORMAL RADIOLOGICAL ANATOMY • UTERUS •It is pear shaped structure • varies in size • Before puberty cervix large and body of uterus small. • After puberty uterus size increases to 7 to 8 cm. • After menopause involute to 5 to 6 cm
  • 4.
    • May beretrovertes or anteverted • Retroflexed or anteflexed • There is difficulty in seeing the fundus if retroverted retroflexed
  • 5.
    On MRI T2Wimages endometrium is of High signal intensity
  • 6.
    Normal pediatric endometrium.Sagittal US image of the uterus in a 2-year-old girl demonstrates a thin endometrium
  • 7.
    Sagittal US imageof the uterus obtained during menstruation shows a thin endometrial lining
  • 8.
    Sagittal US imageof the uterus obtained during the late proliferative phase of the menstrual cycle demonstrates the endometrium with a multilayered appearance
  • 9.
    Sagittal US imageof the uterus obtained during the secretory phase of the menstrual cycle shows a thickened, echogenic endometrium
  • 10.
    • ENDOMETRIUM ISCONSIDERED ABMORMAL IF IT MEASURES MORE THAN 1.4cm IN PREMENOPAUAL AND MORE THAN 4mm IN POST MENOPAUSAL.
  • 11.
    • On USGendometrium is of high echogenecity . • At the start of follicular phase of menstrual cycle it is thin echogenic line. • From day 8 to 10 of menstrual cycle endometrium thickens and become five layered at midcycle. • In the luteal phase endometrium loses its five layered appearance and becomes progressively more echogenic with normal thickness of 1.2 to 1.4cm.
  • 12.
    • MYOMETRIUM ISHYPOECHOIC ON USG • ON MRI T2W The layer of myometrium just below endometrium is of low signal intensity and the remaining myometrium is of intermediate signal intensity.
  • 13.
    The zonal anatomy,with differentiation between the high- intensity endometrium (E), low-intensity junctional zone (arrow), and intermediate-intensity outer myometrium, is well seen.
  • 14.
    T2-weighted MR imageshows the normal endometrium (straight arrow) and junctional zone (curved arrow).
  • 15.
    • Parametrium ishypoechoic on USG • and on MRI T1W intermediate signals and increase in signals on T2W.
  • 16.
    CERVIX • Cervix iscylinderical shape structure 2 to 4cm. • connecting with body of uterus at internal os.
  • 17.
    Normal Uterus–Transabdominal. Longitudinalscan through the urine-filled bladder (B) demonstrates a normal adult uterus with smooth contours, pear shape, and well-defined bright endometrial echo (open arrow). The cervix (arrow) is recognized at the junction of imaginary lines drawn through the long axis of the uterus and the long axis of the vagina (between arrowheads). This uterus is anteverted.
  • 18.
    Transvaginal sonogram inearly pregnancy showing a normal cervix. Arrows point to the internal and external os.
  • 19.
  • 20.
    • On MRI •On T2W images,there is hyperintense central zone representing cervical mucus and epithelium • Outer zone of low signals due to fibrostromal wall similar to junctional jone of myometrium • Further peripheral layerof intermediate signal intensity continuous with myometrium.
  • 21.
    VAGINA RADIOLOGICAL ANATOMY • OnUSG Vagina is visualizes as two linear hypoechoic muscular walls around and echogenic mucosa. • On MRI T2W images vagina has a high signal central zone of mucus and epithelium surrounded by low signal muscular wall.
  • 23.
    Normal vagina seenin the axial plane. T2-weighted shows the vagina as an intermediate-intensity tube (arrow) between the bladder base (B) anteriorly and the rectum (R) posteriorly.
  • 24.
    OVARY • These areoval structures lying in relation with internal iliac vessels on the pelvic side walls. • They are less echogenic than the uterus. • may contain variable number of follicles/cysts.
  • 26.
    • IN MENSTRUATINGWOMEN its VOLUME SHOULD BE NORMALLY LESS THAN 7.5ml • AND IN POSTMENOPAUSLA WOMEN NOT MORE THAN 3ml.
  • 27.
    OVULATORY CYCLE • Atstart of FOLLICULAR PHASE few number of follicles start to develop • From day 8 to 10 one follicle become dominant nad continues to grow at a rate of 2 to 3 mm/day. • About midcycle it measures 18 to 25mm. • after ovulation corpus luteum can be seen seen as irregular cystcontaining internal echoes due to blood or a hypoechoic area.
  • 28.
    Doppler studies • Duringmenstruation and early follicular phase high impedance flow RI appro 0.7 • Following neovascularization and corpus luteum development ,diastolic flow increases leading to low impedance flow and RI less than 0.6 • Doppler indices in postmenopausal are of high resistive index.
  • 29.
    Color Doppler USscan shows abundant flow in the wall of the corpus luteum.
  • 30.
    • Ovaries arebest seen in transverse or coronal planes. • They measure about 1.5 to 3 cm in diameter. • Ovary show low to intermediate signal intensity similar to muscle on T1W and low signals on T2W.
  • 32.
    Axial T2-weighted magneticresonance image of the pelvis. This image reveals multiple subcapsular follicles in both ovaries
  • 33.
    • Follicles areseen which are of Low to intermediate signals on T1W and high signals on T2W • On T1W images difficulty arise in differentiating ovaries from bowel and uterus.After IV gadolinium normal ovaries enhance
  • 34.
    CONGENITAL UTERINE ANOMALIES • Theupper two third of vagina uterus and fallopian tube develop from fusion and descent of paired mullerian ducts. • The lower third of vagina is derived from urogenital sinus. • Partial or complete failure of the ducts to fuse result in spectrum of complex abnormalities.
  • 36.
    UNICORNUATE UTERUS • Unicornuateuterus results from complete or incomplete arrest of development of one müllerian duct
  • 37.
    Axial T2-weighted FSEimage (2,000/120) shows a laterally deviated banana-shaped uterus (arrow). No rudimentary horn could be detected.
  • 39.
    BICORNUATE UTERUS • Bicornuateuterus results from partial nonfusion of the müllerian ducts . Double uterine bodies and a single cervix are present. An arcuate uterus is considered a milder form of bicornuate uterus; it has a convex or flat external fundal contour and mild impression on the endometrial cavity. Bicornuate bicollis is a variant of bicornuate uterus in which the anomaly is combined with a muscular uterine septum that extends to the external os
  • 41.
  • 42.
    SEPTATE UTERUS • Init uterine septum fails to resorb resulting in failure of correct placental implantation and subsequent miscarriage. Septate uterus results from complete fusion of the müllerian ducts with failure of resorption of the central septum
  • 43.
  • 44.
    the outer fundalcontour (superior border) is flat or slightly concave, which is sufficient to make the diagnosis of septate uterus
  • 46.
    UTERUS DIDELPHYS • .Didelphicuterus results from complete nonfusion of both müllerian ducts Two uterine bodies and two cervices are present
  • 47.
    Didelphys uterus. Completeseparation and full development of both müllerian ducts is noted. (a) Two vaginas and 2 cervices; (b) 2 distinct cervices; (c) 2 uterine horns are widely splayed; (d) cross section of uterine bodies and cervices.
  • 48.
    Bicornuate uterus. Themidline uterine external fundal cleft (superior border) has a depression greater than 1 cm, excluding septate uterus from the differential diagnosis. This image is of bicornuate bicollis, since 2 cervices are present
  • 50.
    Normal uterus. Notea single uterine cavity and flat or convex outer fundal contour.
  • 51.
    Septate uterus. Midlineseptum can be of variable length and can be muscular or fibrous. In the diagram, the septum is shown as an extension of the uterine myometrium.
  • 52.
    Bicornuate uterus. Notethe partial fusion of the lower uterine segment and persistently separated upper uterine segments. Of key importance is the prominent fundal cleft (>1 cm), which distinguishes the anomaly from septate uterus.
  • 53.
    Unicornuate uterus. Notethe failure of the development of one half of the uterus.
  • 54.
    Didelphys uterus. Notethe complete separation but full development of each müllerian duct.
  • 55.
    Arcuate uterus. Mildthickening of the midline fundal myometrium resulting in fundal cavity indentation but normal outer fundal contour.
  • 56.
    Diethylstilbestrol-exposed uterus. Myometrialhypertrophy results in a T-shaped uterine cavity and cavity irregularity, which is pathognomonic for the anomaly. Typically, the uteri are hypoplastic.
  • 57.
    HEMATOMETRIUM AND HEMATOCOLPOS • Primaryamenorrhea • cyclical abdominal pain • pelvic pain • severe dysmenorrhea • USG reveals a thick walled cystic mass either due to obstructed vagina or obstructed uterus with low level internal echoes due to blood.
  • 58.
    Transverse vaginal septum(class 2). Sagittal T2-weighted shows a transverse septum in the middle of the vagina (arrow), causing dilatation of the proximal vagina (V) and uterus (U) (hematocolpos and hetmatometria).
  • 59.
    Obstructed hymen (class2). Sagittal T1-weighted spin-echo image (500/8) shows a dilated hematometrocolpos. The obstruction is at the level of perineum
  • 60.
    Hematometrocolpos in a12-year-old girl with abdominal pain. Sagittal US image demonstrates a markedly distended vagina (straight arrow) and uterine cavity (curved arrow)
  • 61.
  • 62.
    MR image showsa blood-filled vagina and a normal uterus
  • 63.
    High incidence ofassociated single kidney
  • 64.
    kidneys shows congenitallyabsent left kidney.
  • 65.
    • MRI ISTHE TECHNIQUE OF CHOICE IN ASSESSMENT AND EVALUATION OF CONGENITAL LESIONS
  • 66.
  • 67.
    UTERINE FIBROIDS • SUBMUCOUSarise within cavity and distort it • MURAL may or maynot distort cavity depends on precise location • SUBSEROSAL cause bulge on surface of uterus •
  • 70.
    • On USGmost fibroids are • ROUND WELL DEFINED • HYPOECHOIC MASSES WITH CHARACTERISTIC INTERNAL ARCHITECTURE SHOWING RECURRENT SHADOWING
  • 71.
    • Nondegenerating fibroids •have a uniform signal intensity indistinguishable from myometrium on T1W images and with lower signals on T2W images.
  • 72.
    • Degenerating fibroidsshow variable and nonspecific signal appearanceswith an intermediate to high signals on T1W and high signals on T2W images. • Malignant transformation cant be differentiated from degenerating fibroids
  • 73.
    Arrowheads point toenlarged uterus with multiple fibroids
  • 74.
    Axial MRI showsthe cross section of a fibroid in the lower uterus. Note the mass effect on the bladder, which is located anteriorly
  • 75.
    Calcified fibroid. Arrrowheadspoint to the contour of the uterus
  • 76.
    Calcified fibroid. Rectumhas contrast from a previous procedure.
  • 77.
    Coronal T2-weighted MRIshows an enlarged uterus with multiple fibroids.
  • 78.
  • 79.
    CT scan showsa subserosal, 2.3- to 2.5- cm, right anterior fundal uterine fibroid.
  • 80.
  • 82.
  • 83.
    MR Sagittal imageCalcified fibroid.
  • 84.
    Sagittal T2-weighted MRIshows a large heterogeneous fundal uterine fibroid.
  • 85.
    Submucosal fibroids. T2-weightedMR image shows a hypointense submucosal fibroid splaying the endometrium (
  • 86.
    Transabdominal sagittal sonogramshows a heterogeneous but predominately hypoechoic posterior uterine fibroid
  • 87.
    young adult femalepatient with a relatively large submucous fibroid bulging into the uterine cavity
  • 88.
    • Pedunculated fibroids onpedicle usually from serosal surface
  • 89.
  • 90.
    • They canbe hyperechoic and may be calcified particularly in postmenopausal women.
  • 91.
    • Degeneration withinfibroid appear as • area of increase echogenecity or • irregular cystic areas.
  • 92.
    Fibroids can undergovarious degenerative changes, especially when large. This fibroid of the uterus measures 11.2 cms. and shows multiple hypoechoic and hyperechoic patchy areas
  • 93.
    Doppler USG • Fibroidscan be very vascular so may show very low impedance flow.
  • 94.
  • 95.
    • It isthe presence of endometrial glands within myometrium associated with adjacent myometrial hyperplasia.
  • 96.
    • It isusually a diffuse process but may form a localazised mass or adenomyoma. • Clinical findings are dysmenorrhea and menorrhagia with a tender bulky uterus.
  • 97.
    USG features • OnUSG poorly defined areas of decreased echogenecity and heterogeneity in myometriumassociated with small 2to 5mm cystic spaces in myometrium in 50% cases. • Focal adenomyoma cause focal bulge in myometrium and may be hypo or hyperechoic but less well defined than fibroids.
  • 98.
    Normal uterus. Sagittalendovaginal US scan shows a normal myometrium (M), which is moderately echogenic and has a homogeneous echotexture. The subendometrial halo, which represents the innermost layer of the myometrium, is visualized subjacent to the endometrium (E) as a thin hypoechoic band (arrows). The endometrium is uniformly echogenic in this patient, who was in the secretory phase of the menstrual cycle.
  • 99.
    • sagittal obliqueendovaginal US scan shows that the myometrium is thickened ventrally and has a heterogeneous echotexture (straight arrows). The echogenicity of the ventral myometrium is decreased relative to that of the dorsal myometrium. Additional features of adenomyosis seen in this image include poor definition of the endomyometrial junction and a myometrial cyst (curved arrow).
  • 100.
    adenomyosisSagittal transabdominal sonogram ofan enlarged uterus with a thickened posterior myometrium (arrows).
  • 101.
    MRI features • Maximumthickness of junctional zone is 12mm • And in adenomyosis there is diffuse or focal thickening of junctional zone,with or without focal areas of high signal on T2W. • On T2W images focal adenomyosis appear as poorly marginated low signal mass within the myometrium.
  • 102.
    • sagittal T2-weightedMR image shows marked thickening of the junctional zone. The result is a poorly defined low-signal- intensity mass that replaces the ventral myometrium (arrows). The numerous bright foci, some of which have a rounded appearance whereas others have a linear or fingerlike appearance, represent the heterotopic endometrium. Bl = bladder.
  • 103.
    • Focal thickeningof the junctional zone. Sagittal T2- weighted MR image shows focal thickening of the junctional zone at the level of the fundus (arrows). Although the maximal thickness of the junctional zone was more than 12 mm in this patient, any focal thickening of the junctional zone should raise the possibility of adenomyosis. Bl = bladder, E = endometrium.
  • 104.
    ENDOMETRIAL HYPERPLASIA • If premenopausalmore than 1.4cm • and postmenopausal women more than 4mm.
  • 105.
  • 106.
    Endometrial hyperplasia. USimage shows an endometrium with diffuse thickening (maximum thickness, 1.74 cm) due to hyperplasia
  • 107.
    ENDOMETRIAL CARCINOMA • Occursmainly in postmenopausal women • Most common presenting symptom abnormal uterine bleeding
  • 108.
    Ultrasound features • varyfrom endometrial thickening to an irregular hypoechoic intracavitatory mass to an enlarged diffusely infiltrated uterus.
  • 109.
    Endometrial adenocarcinoma. (a)US image reveals a heterogeneous endometrial mass (arrows) that is difficult to distinguish from the myometrium. Cursors indicate the entire transverse width of the uterus.
  • 110.
    CT features • Hypodenseirregular mass expanding the uterine cavity sometimes associated with blood,fluid or pus within cavity. • CT is good at determining the extent of extrauterine disease but cant easily differnentiate stage1 from stage 2 disease.
  • 111.
    63-year-old woman withmoderately differentiated endometrial adenocarcinoma
  • 112.
    A 57-year-old womanwith stage IVB poorly differentiated endometrial carcinoma. CT image through the uterus. The cervix is markedly enlarged and replaced by tumor.
  • 113.
    CT scan alsoreveals a heterogeneous tumor (arrowheads).
  • 114.
    endometrial adenocarcinoma. CTimage through the uterus shows fluid-filled cavity marginated by tumor involving most of the endometrial andcervical regionenlarged lymph node right pelvic
  • 115.
    T2-weighted MR imageshows a large, heterogeneous tumor distending the endometrial canal (arrows).
  • 116.
    • Endometrial carcinoma ina 58- year-old patient. (a) Sagittal fast SE T2- weighted (4,000/119 [effective]) MR image shows nodular, discretely irregular foci of low signal intensity (arrowheads) in the endometrial cavity.
  • 118.
    • THE MOSTRELIABLE CRITERIA FOR THE DIAGNOSIS OF MYOMETRIAL INVASION IS DISRUPTION OF JUNCTIONAL ZONE.
  • 119.
    • FOLLOWING IVCONTRAST ENDOMETRIAL CARCINOMA ENHANCES .
  • 120.
    FIGO STAGING FORUTERINE CORPUS
  • 121.
  • 122.
    POLYCYSTIC OVARY • LARGEOVARIES VOLUME >7.5ml • MORE THAN 2to 5mm follicles MAINLY PERIPHERAL DISTRIBUTION INCREASED STROMA LARGE /NORMAL UTERUS THICK ENDOMETRIUM
  • 123.
    • numerous peripheral follicles andhyperechoic stroma. Note that none of the follicles is larger than 1.2 cm.
  • 127.
    MULTIFOLLICULAR OVARY • Sizeof uterus and ovary normal. • several follicles of 5 to 10mm. • no increase stroma
  • 128.
    Primary ovarian failure •Size of uterus and ovary small • no follicle seen • no increase stroma
  • 129.
    SIMPLE ADNEXAL CYST •Most commonly functional in origin • D/D • Paraovarian cysts • Endometrioma • Hydrosalpinx • Neoplastic cysts • Peritoneal cysts.
  • 130.
    • 3.5-cm simpleovarian cyst (calipers). Normal-appearing ovarian tissue (arrows) with a few follicles around the periphery confirms the ovarian origin of the cyst.
  • 132.
    • corpus luteumwithin the ovary. It has a slightly thick, crenulated wall (arrows) and a small cystic center
  • 134.
    Anechoic lesion withposterior acoustic enhancement.thin smooth walls.no solid part.unilocular.simple follicular cysts.no septa.normal vessels
  • 135.
    HEMORRHAGIC CYST • aretracting clot (asterisk) with concave margins along the wall of a hemorrhagic cyst
  • 136.
    • hemarragic cyst complexcystic mass within the periphery of the ovary. The seemingly solid area within the cystic mass has concave margins and no demonstrable flow, both typical features of a clot.
  • 137.
    • hemorrhagic cyst complexovarian cyst with a seemingly solid area due to a clot (C). This could be mistaken for the solid area of a neoplasm. No flow was evident
  • 138.
    • hemorrhagic cyst complexovarian cyst with internal echoes. There is a reticular or fishnet pattern to the internal echoes due to fibrin strands (arrows). Note how the fibrin strands are thin
  • 140.
    RUPTURED CYST • rightadnexa shows a thick-walled ovarian cyst (corpus luteum) with surrounding anechoic free fluid, a finding indicative of rupture
  • 141.
    TORSION OF CYST •Twisted vascular pedicle showing the circular string-of- beads appearance of dilated veins (arrows). BL-indicates urinary bladder; and CYST, ovarian cyst.
  • 142.
    Whirlpool Sign inOvarian Torsion
  • 143.
  • 144.
    A, Snail shellappearance of the twisted pedicle (arrows). BL indicates urinary bladder; and CYST, ovarian cyst. B, Color Doppler study of the twisted artery and vein.
  • 145.
    • A, Twistedpedicle appearing as a large echogenic mass (arrows). B, Color Doppler study of the pedicle showing absent flow.
  • 146.
  • 148.
    • endometrioma complex ovariancyst with homogeneous internal echoes. It contains a small solid- appearing area (arrow). Color Doppler US (not shown) did not demonstrate flow in the solid area.
  • 149.
    • endometrioma complex ovariancyst (between arrows) with homogeneous internal echoes.
  • 150.
  • 151.
    • Mature cystic teratomacomplex ovariancyst (long arrows) with low-level internal echoes and a markedly hyperechoic solid-appearing area (with faint distal acoustic shadowing (S).
  • 153.
    'tip-oftheiceberg sign acousticshadowing from the hyperechoic part of the dermoid cyst
  • 154.
  • 155.
  • 156.
    Endovaginal sonogram. Thisimage shows anechoic tubular structures in the adnexal area; the finding is compatible with a hydrosalpinx.
  • 157.
    Endovaginal ultrasound scan.This image shows anechoic tubular structures in the adnexa; the finding is compatible with a hydrosalpinx.
  • 158.
    Endovaginal ultrasound scan.This image reveals a tubular structure with debris in the left adnexa; the finding is compatible with a pyosalpinx.
  • 159.
    hydrosalpinx tubular-shaped cysticmass with a septum. Small nodules (arrows) in the mass are due to thickened endosalpingeal folds
  • 160.
    Endovaginal ultrasound scan.This image shows a relatively enlarged right ovary, increased flow, and a small amount of adjacent free fluid. These findings are compatible with oophoritis.
  • 162.
    Endovaginal ultrasound scan.This image shows a healthy left ovary.
  • 163.
    This sonogram showsa markedly heterogeneous and thickened endometrium, a finding that is compatible with endometritis.
  • 164.
    This sonogram demonstratesa markedly heterogeneous and thickened endometrium. On closer evaluation, a fluid-fluid level in the endometrial cavity is revealed. In the appropriate clinical setting, this finding is compatible with pyometrium, as it was in this case.
  • 165.
    This sonogram revealsbilateral complex masses in a patient who had pyometrium. The finding is compatible with tubo-ovarian abscesses.
  • 166.
    This sonogram revealsbilateral complex masses in a patient who had pyometrium, a finding that is compatible with tubo-ovarian abscess.
  • 167.
    Power Doppler sonogram.This image shows increased flow to the wall of a tubo-ovarian abscess. The inner hypoechoic regions are due to the presence of purulent material
  • 168.
    Endometritis with airin the endometrial cavity and bilateral tubo-ovarian abscesses are shown.
  • 169.
  • 170.
    Ovarian fibroma • Ovarianfibroma in a 24-year-old woman. Sagittal transvaginal US scan reveals a slightly hypoechoic solid mass (M) within and replacing most of the ovary (calipers). No distal acoustic shadowing is present
  • 171.
    • Ovarian fibromasare composed of spindle cells that form collagen and usually display low signal intensity on both T1- and T2-weighted MRI. High signal intensity on T2- weighted images corresponded to regions of hyalinization and myxomatous changes [5]. Intratumoral edema is also common in larger fibromas.
  • 172.
    52-year-old woman withovarian fibroma with prominent cystic change. Axial T2-weighted
  • 173.
  • 174.
  • 176.
    EPITHELIAL OVARIAN TUMORS •serous cystadenocarcinoma complex ovarian cyst (calipers) with several thick septa (arrows) and solid areas.
  • 177.
    • Benign serous cystadenomain a 49- year-old woman. Contrast material- enhanced CT scan shows a unilocular cystic mass in the right lower quadrant (arrows). The wall of the mass is not delineated, and there is no evidence of any excrescence within it.
  • 181.
    • 21-year-old woman withovarian serous cystadenoma. Sonogram shows echogenic mural nodule (arrow) in cystic mass.
  • 182.
    • 21-year-old woman withovarian serous cystadenoma. CT scan shows enhancing papillary projection
  • 183.
    • Bilateral serous cystadenocarcinomas ina 50-year-old woman. Contrast- enhanced CT scan shows bilateral ovoid tumors (T) with some septa and mural nodules.
  • 184.
    • 21-year-old woman withovarian serous cystadenoma. Sagittal contrast-enhanced T1-weighted MR image shows papillary projection (arrows) in cystic mass.
  • 185.
    • 38-year-old woman withovarian mucinous cystadenofibroma. CT scan shows large cystic mass with enhancing solid portion
  • 186.
    • Benign mucinous cystadenomain a 26- year-old woman. Contrast-enhanced CT scan shows a large, multilocular cystic mass (arrows) with a smooth contour, honeycomb appearance, and heterogeneous attenuation in the locules.
  • 187.
    • . Serous cystadenocarcinoma ofthe ovary with peritoneal carcinomatosis in a 60-year-old woman. Contrast-enhanced CT scans obtained at the level of the liver
  • 188.
    Brenner tumour • Theyare mainly hypoechoic solid masses. Calcifications have been reported in 50% of Brenner tumours on ultrasound. • CT • calcifications have been reported in ~ 83% of Brenner tumours on CT. • solid component may show mild to moderate enhancement post contrast. • Pelvic MRI • due to its predominantly fibrous content content they appear hypointense on T2 weighted sequences
  • 189.
    Axial contrast-enhanced CTshows a solid mass (arrows) with 8 cm diameter arising from the right ovary. Extensive amorphous calcification within the mass is seen
  • 190.
    Axial T1-weighted imageshowing a large hypointense adnexal mass (arrows) arising from the right ovary.
  • 191.
    Sagittal T2-weighted imagedemonstrating large right adnexal mass to be uniformly hypointense (asterisk). Also seen is anteverted and anteflexed uterus (arrow).
  • 194.
    DIFFERENTIATION OF BENIGNAND MALIGNANT OVARY TUMORS
  • 195.
    • Color Doppler ultrasonogramshows very low impedance flow within the wall, which indicates an ovarian tumor.
  • 196.
    OVARIAN HYPERSTIMULATION SYNDROME • ovarian hyperstimulationmark edlyenlarged left ovary (arrows) with multiple adjacent simple cysts in a patient undergoing in vitro fertilization
  • 197.
    HYSTEROCONTRAST SONOGRAPHY • Hysterosalpingo-contrast-sonography (usually shortenedto HyCoSy) is a simple and well-tolerated outpatient ultrasound procedure used to assess the patency of the fallopian tubes, as well as detect abnormalities of the uterus and endometrium.
  • 199.
    • The testuses “Levovist”, a non-iodine contrast agent. Levovist is a microparticle suspension consisting of 99.9% galactose and 0.1% palmitic acid. • The HyCoSy procedure is a safe and reliable alternative to the conventional hysterosalpingogram (HSG) which uses X- rays. No radiation or iodinated contrast material is used for a HyCoSy test.
  • 202.
    • —Endometrial polyp in33-year-old woman. • A, Sonohysterogram in transverse plane shows solitary, smooth, well-defined, uniformly echogenic intracavitary lesion. Angle of lesion with underlying endometrium (arrows) is acute.
  • 203.
    • Endometrial polypin 33-year-old woman. • B, Color Doppler image shows single feeding vessel at base of polyp (arrow).
  • 204.
    • Endometrial cancerin 57-year- old woman. Sonohysterogram in sagittal plane with color Doppler reveals that diffuse, irregular frondlike thickening of posterior endometrium shows internal vascularity. Endometrial-myometrial interface has been lost, which suggests invasion into myometrium.
  • 205.
    • Submucosal fibroidin 42-year-old woman at sonohysterography. • B, Transverse image with application of color Doppler sonography shows typical arborizing vascular pattern of fibroid lesion.
  • 206.