Management of Endoleaks after EVAR
Michel Makaroun MD
Co-Director UPMC Heart and Vascular Institute
Professor and Chief, Division of Vascular Surgery
University of Pittsburgh School of Medicine
Disclosures
Consultant:
WL Gore, Cordis, Medtronic
Research Grants:
WL Gore, Cook, Cordis
Medtronic, Boston Scientific, Abbott
Bolton, Lombard, Trivascular
Type I
Attachment leak
Type II
Branch flow
Type III
Defect in graft or
modular disconnection
Type IV
Fabric porosity
The Different Types of Endoleaks
There is almost uniform consensus about
Type I and III Endoleaks
 They are serious and associated with a
significant risk of rupture!
 Should be treated whenever feasible:
either with
 Endovascular Salvage or
 Open Conversion
6 Ruptures All from Type I or Type III
TYPE I + III
J Vasc Surg 2002;35:461-73
Type I Endoleaks
World Review of Ruptures after EVAR
55% (129/235) of All Ruptures
are due to Type I endoleaks
38 of the ruptures in the first 30 days
Intrasac Pressure Measurements
Before Exclusion
Mean Pressure: 75 mmHg
After EVAR with Type I
Mean Pressure: 111 mmHgBefore Implantation Type I endoleak
 Earliest EVAR Tube Experience
 Parodi first 50 patients (1995)
 5 Type I endoleaks (10%) : 3 proximal 2 distal
 4 died by 8 months, one from Rupture @2 months
20% Mortality from Rupture 1st
year !
 Earliest EVAR Bifurcated Experience
 Chuter first 41 patients (1996)
 9 Type I endoleaks (22%)
 2 Type I died within 3 days from rupture
22% Mortality from Rupture!
Early Experience proved Type I Endoleaks to be serious.
ALL Type I Endoleaks have since been treated when feasible
at original procedure or when discovered!!
1. Incidence has decreased significantly
2. Very few type I endoleaks are monitored conservatively
 Small endoleaks missed at completion angiography
 Endoleaks difficult to manage by endovascular means
in sick patients with limited life expectancy
Endovascular Rx of Type I Endoleaks
 Extensions with Stent Grafts
 High pressure balloons
 Increase Radial Force by Palmaz Stents
 Endostapling
Extension Simple and effective but can be limited by
1. Renals close to the proximal end
2. Essential internal iliac artery
In those situations
Coiling of the track may work
Or Coverage of the Renals with chimneys
Rarely Open Conversion is required
Higher Mortality and morbidity
Procedural Type I Endoleak Treated by Ballooning
Pre deployment Type I Endoleak Ballooning
No more endoleak
Procedural Type I Endoleak Treated by Extension
Pre deployment Type I Endoleak Extension
No more endoleak
Procedural Type I Endoleak Treated with Palmaz
Type I Endoleak Palmaz Stent No Endoleak
Procedural Type I Endoleak Treated by Endostaples
Courtesy of Jim Joye DO
Late Type I Endoleaks
 Can be due to Migration
 Aneurysmal degeneration of neck
 Enlargement of Iliac arteries
 Angulation
Treated with New Endograft inside first one
Endovascular Rx of Proximal Type I Endoleak
after Proximal Migration
Endovascular Rx of Distal Type I
from Iliac Degeneration
7 years post Ancure:
Distal Type I Endoleak
Right Limb
Endoleak
Excluder
14.5 x 7cm
Extension
No more
Endoleaks
Treated by Extension
Endovascular Rx of Proximal Type I Endoleak
after Proximal Migration
3 years post AneuRx:
Migration and Proximal
Type I
No More
Endoleaks
Treated by Extension and Palmaz Stent
Endovascular Rx of Proximal Type I Endoleak
after Proximal Migration
Treated by Extension and Left renal stent
Type I
Old Type II
coiled
NO Type I
No Room
To extend
Endovascular Rx of Proximal Type I Endoleak
with renal coverage and chimneys
Aneurysm
neck wall
Poor deployment and Type I Treated with suprarenal
Extension and 2
Failed
Extension
Palmaz
Staples
Coiling of Distal Type I
6 months post Tube Ancure
Distal Type I
Graft
Endoleak
Coils
1 Month Post Coiling 5.8 cm
Coiling of Distal Type I
1 year post coiling 4.6 cm 2 years post coiling 3.4 cm
5 year post coiling 2.8 cm4 year post coiling 2.8 cm
Type I
Open Conversion
Does not always require complete Explantation
Operative Mortality: 5-10%
High Morbididty
Conversion To Open Repair
Type III Endoleaks
Fabric Tear and Type III Endoleak
Fabric Tear from Wall stent in Ancure Rx with Excluder Limb
6 years after Implantation
Limb Disconnection and Type III endoleak
Rt Limb Disconnection in a Lifepath Rx with Excluder Limb
6 years after Implantation
How about Type II Endoleaks?
The opinions here are much more divided !
The Majority of Endoleaks are Type II
0
20
40
60
80
100
None Type I Type II Type III Type IV Type
Indet
%subjectsevaluated
12 Mos
24 Mos
36 Mos
48 Mos
60 Mos
Excluder Regulatory Trial: 5 year Chart
12 Mos
Type II Total % Type II Total % Type II Total %
Talent 10 159 6.2%* 1 118 0.80% 0 113 0.00%
Lifepath 4 57 7.00%
Excluder 13 86 15.10% 8 55 14.50% 5 36 13.90%
Zenith 19 124 15.30% 3 43 7.00%
AneuRx 34 327 10.40% 29 210 13.80% 13 92 14.10%
Ancure 27 295 9.20% 15 213 7.00% 2 121 1.60%
Total 107 1048 10.20% 56 639 8.80% 20 362 5.50%
24 Mos 36 Mos
 Occurs with all Grafts in 14% (10-20%) of patients
 Prevalence decreases to 5-10% between 1-3 years
Sheehan MK, Makaroun MS et al J Vasc Surg 2006;43:657-61
Incidence Similar for ALL Endografts
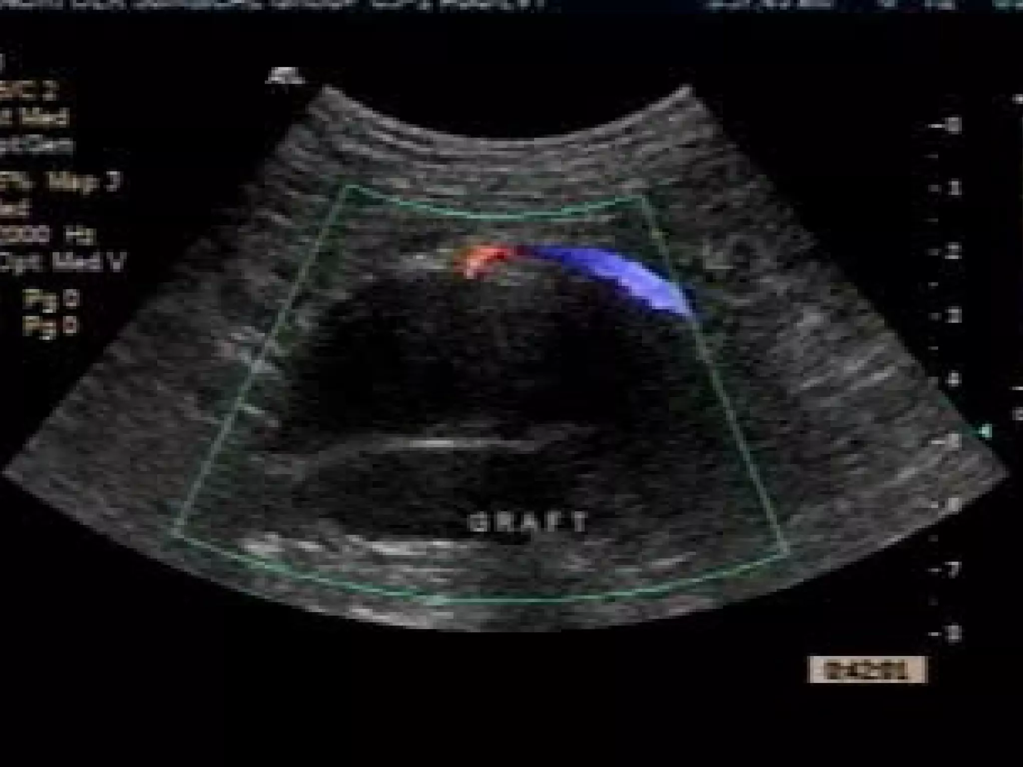
Diagnosis of Type II Endoleaks
CT and Duplex agree in many cases on Endoleak.
Source of Endoleak ???
Diagnosis of Type II Endoleaks
 Source can be difficult to determine
 Some endoleaks are very complex
90 x 91 mm AAA
MB Nov 2003
MB Dec 2003
Type I Endoleak ??
Or is it IMA Type II ??
CT Diagnosis of Type II Endoleaks
SMA Injection
Large Patent IMA
Type II IMA Endoleak
MB February 2004
5 Fr Glide cath
Renegade
Microcath
Transcend
.014 wire
1. WHEN TO TREAT?
The answer has changed steadily over the years
gradually favoring a more conservative approach
The current recommendation:
 Rx confirmed Type II Endoleaks ONLY when
associated with AAA sac Enlargement !
Also eliminates many unnecessary re-interventions
Evidence suggests that Type II endoleaks
have a relatively Benign Natural History !
0
10
20
30
40
50
60
70
80
90
OP D/C 3m 6m 12m 24m 36m
Excluded
Endoleaks
No Interventions until 6 Months
2/3 resolve spontaneously
by 6 months
Makaroun et al Eur J Vasc Endovasc Surg 1999;18:185-90
UPMC 1999
Spontaneous resolution can occur Late
Year 1. May 2003
Type II Endoleak
Year 2. May 2004
Type II Endoleak
Year 3. May 2005
No Endoleak
Late Spontaneous Resolution (3 Years)
Persistent
Type II Endoleak
Lumbars
September 2006
+ AAA can shrink despite Type II Endoleak
September 2005
53 x 55 mm
September 2006
43 x 45 mm
10 mm Decrease
 486 Patients with 90 Type II Endoleaks (18.5%)
 61% sealed spontaneously in 6 months
 Only 6% experienced enlargement > 5mm
J Vasc Surg 2004;39:306-13
 965 Patients with 154 Type II Endoleaks (16%)
 75% seal spontaneously in 5 years (KM analysis)
 Only 8.4% experienced enlargement > 5mm
J Vasc Surg 2006;44:453-59
So Should we Ignore Type II Endoleaks?
Probably not!
 Review of 270 Aneurysm Ruptures after EVAR
 Endoleaks the cause of rupture in 160 patients
 Type I or III in 114 Patients
 Type II in 23 Patients
Eur J Vasc Endovasc Surg 2009;37:15-22
Type II Endoleaks
 Usually run a benign course
 But can rarely result in rupture
 Should ONLY be treated when associated with
AAA enlargement!
Caveat: Increasing Sac Size is an unproven surrogate
for the potential of future rupture but quite likely
2. How to do it?
There is no consensus as to the best way to treat
Type II Endoleaks, as they can be very different
from each other and can be very complex to treat.
Approaches to Type II Endoleaks
 Observation
 Laparoscopic clipping of branches
 Open Surgical Conversion
Partial or Complete
 Endovascular Approaches !!
Endovascular Rx of Type II Endoleaks
Multiple Branch Vessels involved
 IMA
 Multiple sets of Lumbars
 Other branches
 Large Nidus
Diagnosis is usually suspected by
Duplex or CT but has to be
confirmed at angiography!
Principle of Endo RX
 Obliterate the feeding vessels
and if possible the nidus
Three Different Approaches
 Trans-Arterial catheterization:
More technically demanding but
potentially more effective
 Translumbar puncture
 Transcaval direct access
Rx Nidus. Difficult to get vessels
Occluding Agents
 Glue
 Onyx
 Thrombin
 Coils
Onyx and Glue are liquid agents that help fill
nidus but very expensive and complicate FU
ONYX
18 m later size increased from 9 to 14 cm
and presented with a leaking AAA
Onyx and Glue are liquid agents that help fill
nidus but very expensive and complicate FU
Type III
Disconnection
Type IB
Endoleak
Unrecognized
Type II
Endoleak
Poorly coiled
2. How I do it
Technical Notes
 Trans-arterial Coaxial System
 Micro-catheters
 Coils
 Can deliver very long coils if needed (Interlocks)
 Use Saline flush for short ones instead of coil pushers
 Make sure it is occluded
 Proximal lumbars (L1-L3) near impossible to reach
Int Iliac coils
6 Fr Sheath in Internal Iliac
5 Fr angled Catheter
Microcatheter
Lumbar Endoleak
Coils at
origin of Lumbar
Lumbar Endoleak Coils in Lumbar
One month later
Treatment of Type II Endoleaks
Coiling of Type II IMA Endoleak
IMA endoleak treated by coiling
Type II Endoleaks Can be Complex: Case AH
June 07: Lumbar
Type II endoleak
Microcatheter
Access
Lumbars Coiled
No endoleak
AH Oct 07: Endoleak still present/ AAA larger
Oct 07
Persistent
Endoleak
More
Feeders
Renegade
Micro
Catheter
Access to
AAA Sac
Complex Endoleak
Nidus and
Branches
Coiled
 Some endoleaks are complex and
require multiple interventions
Trans-Arterial Access Not Always Available
OW March 2012
Persistent
Endoleak
67x70 mm
Type II Endoleak
No Transarterial Access Right
No Transarterial Access left
Trans-Lumbar Approach Reasonable Alternative
OW March 2012
 Patient prone
 Shiba needle/ .018 wire
 Puncture endoleak
 Exchange for Stiff wire
 6 Fr 30 cm sheath
 Catheter
 Eliminate Nidus
Trans-Lumbar Approach Reasonable Alternative
OW March 2012
6 Fr Sheath
5 Fr angled Catheter
Microcatheter
Trans-Caval Approach Useful in Some Patients
 Patient Supine
 Trans-Caval approach
with a Rosch-Uchida
catheter
 Angiogram
 Direct embolization of
Nidus and branches
 Removal of catheter
and completion
cavogram
3. Does it Work?
A qualified YES!
 Of course conversions (both partial and complete) do
work but associated morbidity is high
 Endovascular interventions are tedious and will work
in most, if operator is experienced and persistent
3. Does it Work?
Unfortunately, Very little long term data exists!
It is easy to make claims of effectiveness since:
a) Many interventions were carried too early when
most endoleaks would have resolved spontaneously
b) Many techniques obstruct future imaging
c) No clear endpoint of effectiveness: Size of AAA
 UPMC experience 1995- 2003
 All Trans-Arterial coiling
 Endoleaks only treated if persistent > 6 months
 Success: No leaks and stable or shrinking AAA sac
 FU: Mean 18 months
J Vasc Surg 2004;40:430-4
Results of Coiling
 28 patients
 Follow-up 1-60mos
 Clinical Success (82%)
 15/19 (79%) Type II
 8/9 (89%) Type I
 Procedural Morbidity 0%
 Procedural Mortality 0%
Type II Endoleaks: Results of Coiling
 19 patients
 21 attempts
 2 patients required more
than one intervention
 Can be very complex
 15 successful
 1 IMA
 7 pure lumbar
 7 combined
3 Lumbar Coils
Two years later
Two interventions later
Coils Not Occlusive
Multiple
Coils added
Till Occlusion
Several sources coexist in some complex cases
Type II
Lumbar
1 Year Year 2
Type I
Distal
Year 3
Type II
IMA
 Endovascular techniques can be used safely and
effectively to Treat Endoleaks after EVAR
 Type I and Type III should almost always be treated
when discovered
 Treatment of Type II should be reserved to patients
with sac enlargement
 Open Conversions may be necessary but carry a
higher morbidity and mortality
Summary
Management of endoleaks after evar asvs 2013

Management of endoleaks after evar asvs 2013

  • 1.
    Management of Endoleaksafter EVAR Michel Makaroun MD Co-Director UPMC Heart and Vascular Institute Professor and Chief, Division of Vascular Surgery University of Pittsburgh School of Medicine
  • 2.
    Disclosures Consultant: WL Gore, Cordis,Medtronic Research Grants: WL Gore, Cook, Cordis Medtronic, Boston Scientific, Abbott Bolton, Lombard, Trivascular
  • 3.
    Type I Attachment leak TypeII Branch flow Type III Defect in graft or modular disconnection Type IV Fabric porosity The Different Types of Endoleaks
  • 4.
    There is almostuniform consensus about Type I and III Endoleaks  They are serious and associated with a significant risk of rupture!  Should be treated whenever feasible: either with  Endovascular Salvage or  Open Conversion
  • 5.
    6 Ruptures Allfrom Type I or Type III
  • 6.
    TYPE I +III J Vasc Surg 2002;35:461-73
  • 7.
  • 8.
    World Review ofRuptures after EVAR 55% (129/235) of All Ruptures are due to Type I endoleaks 38 of the ruptures in the first 30 days
  • 9.
    Intrasac Pressure Measurements BeforeExclusion Mean Pressure: 75 mmHg After EVAR with Type I Mean Pressure: 111 mmHgBefore Implantation Type I endoleak
  • 10.
     Earliest EVARTube Experience  Parodi first 50 patients (1995)  5 Type I endoleaks (10%) : 3 proximal 2 distal  4 died by 8 months, one from Rupture @2 months 20% Mortality from Rupture 1st year !
  • 11.
     Earliest EVARBifurcated Experience  Chuter first 41 patients (1996)  9 Type I endoleaks (22%)  2 Type I died within 3 days from rupture 22% Mortality from Rupture!
  • 12.
    Early Experience provedType I Endoleaks to be serious. ALL Type I Endoleaks have since been treated when feasible at original procedure or when discovered!! 1. Incidence has decreased significantly 2. Very few type I endoleaks are monitored conservatively  Small endoleaks missed at completion angiography  Endoleaks difficult to manage by endovascular means in sick patients with limited life expectancy
  • 13.
    Endovascular Rx ofType I Endoleaks  Extensions with Stent Grafts  High pressure balloons  Increase Radial Force by Palmaz Stents  Endostapling Extension Simple and effective but can be limited by 1. Renals close to the proximal end 2. Essential internal iliac artery In those situations Coiling of the track may work Or Coverage of the Renals with chimneys Rarely Open Conversion is required Higher Mortality and morbidity
  • 14.
    Procedural Type IEndoleak Treated by Ballooning Pre deployment Type I Endoleak Ballooning No more endoleak
  • 15.
    Procedural Type IEndoleak Treated by Extension Pre deployment Type I Endoleak Extension No more endoleak
  • 16.
    Procedural Type IEndoleak Treated with Palmaz Type I Endoleak Palmaz Stent No Endoleak
  • 17.
    Procedural Type IEndoleak Treated by Endostaples Courtesy of Jim Joye DO
  • 18.
    Late Type IEndoleaks  Can be due to Migration  Aneurysmal degeneration of neck  Enlargement of Iliac arteries  Angulation
  • 19.
    Treated with NewEndograft inside first one Endovascular Rx of Proximal Type I Endoleak after Proximal Migration
  • 20.
    Endovascular Rx ofDistal Type I from Iliac Degeneration 7 years post Ancure: Distal Type I Endoleak Right Limb Endoleak Excluder 14.5 x 7cm Extension No more Endoleaks Treated by Extension
  • 21.
    Endovascular Rx ofProximal Type I Endoleak after Proximal Migration 3 years post AneuRx: Migration and Proximal Type I No More Endoleaks Treated by Extension and Palmaz Stent
  • 22.
    Endovascular Rx ofProximal Type I Endoleak after Proximal Migration Treated by Extension and Left renal stent Type I Old Type II coiled NO Type I No Room To extend
  • 23.
    Endovascular Rx ofProximal Type I Endoleak with renal coverage and chimneys Aneurysm neck wall Poor deployment and Type I Treated with suprarenal Extension and 2 Failed Extension Palmaz Staples
  • 24.
    Coiling of DistalType I 6 months post Tube Ancure Distal Type I Graft Endoleak Coils 1 Month Post Coiling 5.8 cm
  • 25.
    Coiling of DistalType I 1 year post coiling 4.6 cm 2 years post coiling 3.4 cm 5 year post coiling 2.8 cm4 year post coiling 2.8 cm
  • 26.
    Type I Open Conversion Doesnot always require complete Explantation Operative Mortality: 5-10% High Morbididty Conversion To Open Repair
  • 27.
  • 28.
    Fabric Tear andType III Endoleak Fabric Tear from Wall stent in Ancure Rx with Excluder Limb 6 years after Implantation
  • 29.
    Limb Disconnection andType III endoleak Rt Limb Disconnection in a Lifepath Rx with Excluder Limb 6 years after Implantation
  • 30.
    How about TypeII Endoleaks? The opinions here are much more divided !
  • 31.
    The Majority ofEndoleaks are Type II 0 20 40 60 80 100 None Type I Type II Type III Type IV Type Indet %subjectsevaluated 12 Mos 24 Mos 36 Mos 48 Mos 60 Mos Excluder Regulatory Trial: 5 year Chart
  • 32.
    12 Mos Type IITotal % Type II Total % Type II Total % Talent 10 159 6.2%* 1 118 0.80% 0 113 0.00% Lifepath 4 57 7.00% Excluder 13 86 15.10% 8 55 14.50% 5 36 13.90% Zenith 19 124 15.30% 3 43 7.00% AneuRx 34 327 10.40% 29 210 13.80% 13 92 14.10% Ancure 27 295 9.20% 15 213 7.00% 2 121 1.60% Total 107 1048 10.20% 56 639 8.80% 20 362 5.50% 24 Mos 36 Mos  Occurs with all Grafts in 14% (10-20%) of patients  Prevalence decreases to 5-10% between 1-3 years Sheehan MK, Makaroun MS et al J Vasc Surg 2006;43:657-61 Incidence Similar for ALL Endografts
  • 33.
    Diagnosis of TypeII Endoleaks CT and Duplex agree in many cases on Endoleak. Source of Endoleak ???
  • 34.
    Diagnosis of TypeII Endoleaks
  • 35.
     Source canbe difficult to determine  Some endoleaks are very complex 90 x 91 mm AAA MB Nov 2003 MB Dec 2003 Type I Endoleak ?? Or is it IMA Type II ?? CT Diagnosis of Type II Endoleaks
  • 36.
    SMA Injection Large PatentIMA Type II IMA Endoleak
  • 37.
    MB February 2004 5Fr Glide cath Renegade Microcath Transcend .014 wire
  • 38.
    1. WHEN TOTREAT? The answer has changed steadily over the years gradually favoring a more conservative approach The current recommendation:  Rx confirmed Type II Endoleaks ONLY when associated with AAA sac Enlargement ! Also eliminates many unnecessary re-interventions
  • 39.
    Evidence suggests thatType II endoleaks have a relatively Benign Natural History ! 0 10 20 30 40 50 60 70 80 90 OP D/C 3m 6m 12m 24m 36m Excluded Endoleaks No Interventions until 6 Months 2/3 resolve spontaneously by 6 months Makaroun et al Eur J Vasc Endovasc Surg 1999;18:185-90 UPMC 1999
  • 40.
    Spontaneous resolution canoccur Late Year 1. May 2003 Type II Endoleak Year 2. May 2004 Type II Endoleak Year 3. May 2005 No Endoleak Late Spontaneous Resolution (3 Years)
  • 41.
    Persistent Type II Endoleak Lumbars September2006 + AAA can shrink despite Type II Endoleak September 2005 53 x 55 mm September 2006 43 x 45 mm 10 mm Decrease
  • 42.
     486 Patientswith 90 Type II Endoleaks (18.5%)  61% sealed spontaneously in 6 months  Only 6% experienced enlargement > 5mm J Vasc Surg 2004;39:306-13
  • 43.
     965 Patientswith 154 Type II Endoleaks (16%)  75% seal spontaneously in 5 years (KM analysis)  Only 8.4% experienced enlargement > 5mm J Vasc Surg 2006;44:453-59
  • 44.
    So Should weIgnore Type II Endoleaks? Probably not!
  • 45.
     Review of270 Aneurysm Ruptures after EVAR  Endoleaks the cause of rupture in 160 patients  Type I or III in 114 Patients  Type II in 23 Patients Eur J Vasc Endovasc Surg 2009;37:15-22
  • 46.
    Type II Endoleaks Usually run a benign course  But can rarely result in rupture  Should ONLY be treated when associated with AAA enlargement! Caveat: Increasing Sac Size is an unproven surrogate for the potential of future rupture but quite likely
  • 47.
    2. How todo it? There is no consensus as to the best way to treat Type II Endoleaks, as they can be very different from each other and can be very complex to treat.
  • 48.
    Approaches to TypeII Endoleaks  Observation  Laparoscopic clipping of branches  Open Surgical Conversion Partial or Complete  Endovascular Approaches !!
  • 49.
    Endovascular Rx ofType II Endoleaks Multiple Branch Vessels involved  IMA  Multiple sets of Lumbars  Other branches  Large Nidus Diagnosis is usually suspected by Duplex or CT but has to be confirmed at angiography! Principle of Endo RX  Obliterate the feeding vessels and if possible the nidus Three Different Approaches  Trans-Arterial catheterization: More technically demanding but potentially more effective  Translumbar puncture  Transcaval direct access Rx Nidus. Difficult to get vessels Occluding Agents  Glue  Onyx  Thrombin  Coils
  • 50.
    Onyx and Glueare liquid agents that help fill nidus but very expensive and complicate FU ONYX 18 m later size increased from 9 to 14 cm and presented with a leaking AAA
  • 51.
    Onyx and Glueare liquid agents that help fill nidus but very expensive and complicate FU Type III Disconnection Type IB Endoleak Unrecognized Type II Endoleak Poorly coiled
  • 52.
    2. How Ido it Technical Notes  Trans-arterial Coaxial System  Micro-catheters  Coils  Can deliver very long coils if needed (Interlocks)  Use Saline flush for short ones instead of coil pushers  Make sure it is occluded  Proximal lumbars (L1-L3) near impossible to reach
  • 53.
    Int Iliac coils 6Fr Sheath in Internal Iliac 5 Fr angled Catheter Microcatheter
  • 54.
  • 55.
    Lumbar Endoleak Coilsin Lumbar One month later Treatment of Type II Endoleaks
  • 56.
    Coiling of TypeII IMA Endoleak IMA endoleak treated by coiling
  • 57.
    Type II EndoleaksCan be Complex: Case AH June 07: Lumbar Type II endoleak Microcatheter Access Lumbars Coiled No endoleak
  • 58.
    AH Oct 07:Endoleak still present/ AAA larger Oct 07 Persistent Endoleak More Feeders Renegade Micro Catheter Access to AAA Sac Complex Endoleak Nidus and Branches Coiled  Some endoleaks are complex and require multiple interventions
  • 59.
    Trans-Arterial Access NotAlways Available OW March 2012 Persistent Endoleak 67x70 mm Type II Endoleak No Transarterial Access Right No Transarterial Access left
  • 60.
    Trans-Lumbar Approach ReasonableAlternative OW March 2012  Patient prone  Shiba needle/ .018 wire  Puncture endoleak  Exchange for Stiff wire  6 Fr 30 cm sheath  Catheter  Eliminate Nidus
  • 61.
    Trans-Lumbar Approach ReasonableAlternative OW March 2012 6 Fr Sheath 5 Fr angled Catheter Microcatheter
  • 62.
    Trans-Caval Approach Usefulin Some Patients  Patient Supine  Trans-Caval approach with a Rosch-Uchida catheter  Angiogram  Direct embolization of Nidus and branches  Removal of catheter and completion cavogram
  • 63.
    3. Does itWork? A qualified YES!  Of course conversions (both partial and complete) do work but associated morbidity is high  Endovascular interventions are tedious and will work in most, if operator is experienced and persistent
  • 64.
    3. Does itWork? Unfortunately, Very little long term data exists! It is easy to make claims of effectiveness since: a) Many interventions were carried too early when most endoleaks would have resolved spontaneously b) Many techniques obstruct future imaging c) No clear endpoint of effectiveness: Size of AAA
  • 65.
     UPMC experience1995- 2003  All Trans-Arterial coiling  Endoleaks only treated if persistent > 6 months  Success: No leaks and stable or shrinking AAA sac  FU: Mean 18 months J Vasc Surg 2004;40:430-4
  • 66.
    Results of Coiling 28 patients  Follow-up 1-60mos  Clinical Success (82%)  15/19 (79%) Type II  8/9 (89%) Type I  Procedural Morbidity 0%  Procedural Mortality 0%
  • 67.
    Type II Endoleaks:Results of Coiling  19 patients  21 attempts  2 patients required more than one intervention  Can be very complex  15 successful  1 IMA  7 pure lumbar  7 combined
  • 68.
    3 Lumbar Coils Twoyears later Two interventions later Coils Not Occlusive Multiple Coils added Till Occlusion
  • 69.
    Several sources coexistin some complex cases Type II Lumbar 1 Year Year 2 Type I Distal Year 3 Type II IMA
  • 70.
     Endovascular techniquescan be used safely and effectively to Treat Endoleaks after EVAR  Type I and Type III should almost always be treated when discovered  Treatment of Type II should be reserved to patients with sac enlargement  Open Conversions may be necessary but carry a higher morbidity and mortality Summary

Editor's Notes

  • #4 Note: this slide shows each type of endoleak separately.
  • #14 Type II Endoleaks are “anatomy related” and due to patent lumbar arteries or IMA branches. Currently there is debate as to whether patent lumbar arteries and IMA’s should be coil embolized prior to Endograft placement.
  • #21 Type II Endoleaks are “anatomy related” and due to patent lumbar arteries or IMA branches. Currently there is debate as to whether patent lumbar arteries and IMA’s should be coil embolized prior to Endograft placement.
  • #22 Type II Endoleaks are “anatomy related” and due to patent lumbar arteries or IMA branches. Currently there is debate as to whether patent lumbar arteries and IMA’s should be coil embolized prior to Endograft placement.
  • #23 Type II Endoleaks are “anatomy related” and due to patent lumbar arteries or IMA branches. Currently there is debate as to whether patent lumbar arteries and IMA’s should be coil embolized prior to Endograft placement.
  • #25 Type II Endoleaks are “anatomy related” and due to patent lumbar arteries or IMA branches. Currently there is debate as to whether patent lumbar arteries and IMA’s should be coil embolized prior to Endograft placement.
  • #26 Type II Endoleaks are “anatomy related” and due to patent lumbar arteries or IMA branches. Currently there is debate as to whether patent lumbar arteries and IMA’s should be coil embolized prior to Endograft placement.
  • #29 Image is of a competitor’s graft. The above images were taken from cases implanted at the Hospital of the University of Pennsylvania by Dr’s Baum and Fairman. They document the angiographic images you will see where there is some form of graft failure. The explanted graft is a competitor’s graft that has a tear in it.
  • #40 Type II Endoleaks are “anatomy related” and due to patent lumbar arteries or IMA branches. Currently there is debate as to whether patent lumbar arteries and IMA’s should be coil embolized prior to Endograft placement.
  • #49 Type II Endoleaks are “anatomy related” and due to patent lumbar arteries or IMA branches. Currently there is debate as to whether patent lumbar arteries and IMA’s should be coil embolized prior to Endograft placement.
  • #50 Type II Endoleaks are “anatomy related” and due to patent lumbar arteries or IMA branches. Currently there is debate as to whether patent lumbar arteries and IMA’s should be coil embolized prior to Endograft placement.
  • #67 22 Ancure, 2 each of Excluder, AneuRx, Lifepath