MITRA CLIP
DR VIRBHAN BALAI
MBBS,DLO,MD (MEDICINE),DNB (CARDIOLOGY), FNB
(INTERVENTIONAL CARDIOLOGY)
MAX SUPERSPECIALITY HOSPITAL SAKET,NEW DELHI
• Chronic MR is a significant public health burden
• >3 million people in the US alone from moderate-
severe MR.
• Left untreated, chronic MR results in
– Heart failure symptoms
– LV cavity dilatation
– Systolic dysfunction
– LA enlargement
– Atrial fibrillation
– Pulmonary hypertension.
• P/C technology significantly alter the treatment
paradigm of Chr MR.
• P/C MVRe offers the benefits of ↓morbidity, improved
RT & shorter hospital stay as compared to surgery.
• Current P/C options are based on surgical repair
techniques.
• Four primary methods are:
1. Edge-to-edge (E2E) leaflet repair
2. Indirect annuloplasty via the CS
3. Direct annuloplasty
4. Septal-lateral annular cinching.
Mitral Valve Anatomy
• MV complex is composed of -
1. Mitral annulus- elliptical
2. Leaflets- anterior & posterior (A1,
A2,A3/P1,P2,P3 scallope from Lat to Med.)
3. Chordae tendineae- Pri./Sec./Tert.
4. Papillary muscles-
anterolateral/posteromedial
5. Commisures- anterolateral/posteromedial
SURGICAL MITRAL VALVE REPAIR
• ACC/AHA guidelines provide a framework for MV
surgery.
• Acute severe MR → surgery
• Chronic severe MR with symptoms
• Asympatomatic pt`s with Chr Sev MR
– LV systolic dysfunction
– LV cavity dilatation (LVESD >40 mm)
– Onset of atrial fibrillation
– PH (PASP>50 mm Hg at rest or >60 mm Hg with
exercise)
• Asymptomatic pt`s with Sev MR and normal LV size &
function.
– Surgery is considered reasonable at centers where repair is likely
(>95% chance) and has a low operative risk (<1%); (class IIa )
• MVRe is the preferred method for surgical management as
compare to MVR.
• MVRe advantage -: improved survival, preservation of LV
function, freedom from anticoagulation, and fewer
complications.
• MVRe, underutilized: < 50% of the pt`s, even though abt
90% pt`s are suitable.
• Techniques of MV repair :-
1. Annulus (annuloplasty with or without a rigid or
flexible ring, decalcification, débridement).
2. Leaflets (triangular or quadrangular resection,
sliding annuloplasty, patch enlargement,
decalcification, E2E repair).
3. Chordae (resection or elongation of chords).
4. Myocardium (e.g. remodeling through the Dor
procedure, plication of scar, pericardial cushions,
transventricular slings),
5. Papillary muscles (realignment).
6. Some combination of all these.
Percutaneous Mitral Valve Repair
• Aim of P/C strategies for MVRe is to provide
relief from sev MR in pt`s who are otherwise
not be candidates for surgical correction or
• In those who prefer a less invasive approach
without the need for CPB.
• Five major approaches to p/c repair.
1. E2E repair: best studied, based on the surgical repair by
Dr. Alfieri.
2. Proximity of the CS to the mitral annulus to accomplish
favorable changes in annular geometry, bringing the post
leaflet toward the ant leaflet and thereby improving
coaptation.
3. LV reshaping - reduction in septal-to-lateral diameter and
improves leaflet coaptation.
4. Transventricular (direct) approach- mitral annuloplasty is
performed by various methods.
5. Implantation of artificial chordae.
• Transcatheter MV replacement
Percutaneous or Minimally Invasive Mitral Valve Repair
Devices Under Development
Edge-to-Edge (Double-Orifice) Leaflet Repair with
the MitraClip System
• MitraClip system is the best studied P/C MVRe.
• Based on the Alfieri stitch operation- middle
scallops of the post and ant leaflets (P2 and A2)
are sutured together to create a double-orifice
mitral valve.
• MitraClip is the first P/C MV repair technology
to receive CE Mark approval (European Union)
and has also received FDA approval for pt`s with
primary (degenerative) MR with prohibitive
surgical risk and functional MR (2019).
• INDICATION
• TMVr with MitraClip therapy delivers a
treatment option for select pt`s with:
1. Significant primary (or degenerative) MR who
are considered at high surgical risk
2. Significant secondary MR and heart failure
who remain symptomatic despite GDMT
• CONTRAINDICATIONS
• The MitraClip is CI in pt`s with the following
conditions:
– Pt`s who cannot tolerate procedural anticoagulation
or post procedural antiplatelet regimen
– Active endocarditis of the mitral valve
– Rheumatic mitral valve disease
– Evidence of intracardiac, IVC or femoral vein thrombus
• Eligibility criteria
• For safe positioning of the clip,
• Anatomical eligibility criteria are
recommended.
– Coaptation length of >2 mm
– Coaptation depth of <11 mm, and
– In the case of degenerative disease, a flail gap of
<10 mm and a flail width of <15 mm are
favourable.
PROCEDURE
• Right femoral vein route
• The Mitra Clip system consists of a steerable
guide catheter that is introduced using the
transfemoral route, by echocardiographic
guiding, trans septally into the LA.
• The clip delivery system can be introduced
through the guide catheter .
• The MitraClip procedure is divided into the
following steps:
1. Transseptal puncture
2. Advancement of the steerable guide catheter
into the LA
3. Advancement of the clip delivery system into the
LA and positioning of the Mitra Clip below the
mitral valve leaflets
4. Grasping of the leaflets, assessment of the result
and clip release.
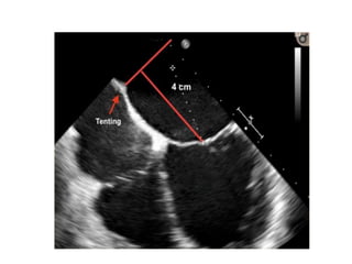
Transseptal puncture
• Optimal puncture site is superiorly and posteriorly in the interatrial
septum
• 3D TEE planes are used to determine the correct site
• Position of the BRK transseptal can be seen by a tent-like indentation of
the interatrial septum (‘tenting’).
• The site of optimal transseptal puncture is different for degenerative and
functional MR.
• In degenerative disease (e. g. prolapse), the puncture site needs to be 4–
5 cm above the mitral annulus to give enough space for adequate catheter
and MitraClip maneuvering.
• In contrast, in cases of functional MR, the line of coaptation is usually
below the plane of the mitral annulus due to extensive tethering.
• Therefore, the puncture site in these patients needs to be more inferior
and closer to the annular plane (about 3.5 cm above the annular plane).
Introduction of steerable guide catheter
into the left atrium
• The steerable guide catheter with the dilator
is gently advanced into the LA over an Amplatz
extra stiff wire (placed in the LUPV) under
fluoroscopic and TEE guidance.
• Once the catheter is safely placed in the LA,
the Amplatz extra stiff wire is retrieved first,
followed by the dilator.
Advancement of the clip delivery system into the LA
and positioning of the MitraClip below the MV
leaflets
• The clip delivery system is advanced via the
steerable guide catheter under fluoroscopic
guidance directed toward the LUPV.
• TEE guidance necessary to ensure that the tip
of the steerable guide catheter remains across
the IAS and that the delivery system with the
clip at the tip does not cause injury to the free
left atrial wall.
• Steering and positioning of the MitraClip
delivery system in the LA.
• The Clip Delivery System (CDS) is advanced
until its tip is even with the guide tip under
fluoroscopic guidance.
• The CDS is further advanced until the guide
radiopaque tip ring marker is centred between
the sleeve alignment markers with
confirmation on fluoroscopy (straddling)
• It is recommended to pass the opened clip
into the left ventricle.
• A correct orientation of the MitraClip, with
perpendicular alignment to the line of
coaptation, verifying that both mitral leaflets
are freely moving above the clip arms, is
crucial for a successful grasp of the mitral
valve leaflets.
Grasping of the leaflets, assessment of the
result and clip release
• Once the MitraClip is in a satisfactory position, grasping of the leaflets
using a 2D LVOT view.
• It is recommended to do this with the help of a short breath-hold,
controlled by the accompanying anaesthetist.
• Multiple planes are useful for assessment of proper leaflet insertion into
the MitraClip.
• The insertion of the posterior leaflet is commonly best seen in the LVOT
view, and the insertion of the anterior leaflet in the four-chamber view.
• The intercommissural view can add information such as entrapped
chordae tendinae.
• After grasping of the leaflets, leaflet capture is evaluated by lowering the
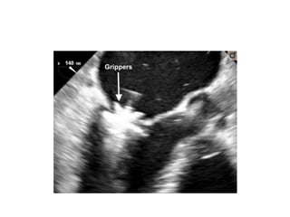
gripper and partially closing the clip to secure leaflet insertion.
• Formation of the double-barrelled orifice is confirmed with an en face
view to make sure that each orifice is approximately the same size.
• Before and after the implantation of each clip, it is
necessary to evaluate the grade of regurgitation and
stenosis of the mitral valve, and in addition, the
morphological result after clip placement.
• Care should be taken, especially when manipulating
the device near the commissures, not to enter the
ventricular cavity too deeply in order to avoid chordal
entanglement.
• Eventually, fibrosis and scarring occur in the bridging
segment, similar to that seen with surgical E2E repair.
MitraClip leaflet coaptation system
• Colour Doppler- Multiple jets, commonly occurs after
a MitraClip is implanted.
• This may potentially lead to overestimating residual MR
• To overcome this problem, measure LA pressure curves, the
height of the V-wave beforeand after the procedure.
• This gives us an idea about the improvement of the degree
of the MR.
• LV angio may also help in evaluation the severity of the
residual MR.
• LV Angiographic MR grading may be inaccurate if the
catheter is entrapped in the chordae tendineae, if
insufficient contrast is used to opacify the LV and LA, or in
the presence of arrhythmias.
.
Implantation of additional MitraClips
• As residual MR after MitraClip is associated with higher
mortality than that for pt`s without MR.
• The orientation of the second clip is mostly done
fluoroscopically without the use of echo and should be
aligned as parallel as possible to the first clip.
• During advancement of the MitraClip from the LA into
the LV under breath-holding, the clip should be closed
to avoid any interference or entanglement with the
chordae tendineae then re-opened in the left ventricle.
• Folding of leaflet tissue between two MitraClips should
be avoided as this may cause uncorrectable residual
MR .
COMPLICATIONS
• Death; Allergic reaction (anesthetic, contrast, Heparin, nickel alloy, latex); Aneurysm or pseudo-
aneurysm; Arrhythmias; Atrial fibrillation; Atrial septal defect requiring intervention; Arterio-venous
fistula; Bleeding; Cardiac arrest;
• Cardiac perforation; Cardiac tamponade / Pericardial Effusion; Chordal entanglement / rupture;
Coagulopathy; Conversion to standard valve surgery; DVT; Dislodgement of previously implanted
devices; Dizziness; Drug reaction to anti-platelet / anticoagulation agents / contrast media;
• Dyskinesia; Dyspnea; Edema; Emboli (air, thrombus, MitraClip™ Implant); Emergency cardiac
surgery; Endocarditis; Esophageal irritation; Esophageal perforation or stricture; Failure to deliver
MitraClip™ to the intended site; Failure to retrieve MitraClip™ System components; Fever or
hyperthermia; Gastrointestinal bleeding or infarct; Hematoma; Hemolysis; Hemorrhage requiring
transfusion; Hypotension / hypertension; Infection; Injury to mitral valve complicating or preventing
later surgical repair; Lymphatic complications; Mesenteric ischemia; MitraClip™ Implant erosion,
migration or malposition;
• MitraClip™ Implant thrombosis; MitraClip™ System component(s) embolization; Mitral stenosis;
Mitral valve injury; Multi-system organ failure; Myocardial infarction; Nausea / vomiting; Pain;
Peripheral ischemia; Prolonged angina; Prolonged ventilation; Pulmonary congestion; Pulmonary
thrombo-embolism; Renal insufficiency or failure; Respiratory failure / atelectasis / pneumonia;
Septicemia; Shock, Anaphylactic or Cardiogenic;
• Single leaflet device attachment (SLDA); Skin injury or tissue changes due to exposure to ionizing
radiation; Stroke or transient ischemic attack (TIA); Urinary tract infection; Vascular trauma,
dissection or occlusion; Vessel spasm; Vessel perforation or laceration; Worsening heart failure;
Worsening mitral regurgitation; Wound dehiscence
Trials of MitraClip
EVEREST I Trial ( Endovascular Valve Edge-to-
Edge Repair Study )- with MitraClip have
confirmed its feasibility.
EVEREST II Trial- confirmed its safety and
efficacy as compared to those with surgical
repair.
COAPT Trial : HF 20 MR
 EVEREST II – Randomised trial,
 184 pt`s - MitraClip therapy
 95 pt`s -underwent surgical repair or replacement.
 Mitra clip pt`s were almost a decade older (mean age, 67 years) than in
usual surgical series and had more comorbidities.
 Major adverse events at 30 days were significantly less frequent with
MitraClip therapy (9.6% vs 57% with surgery; P < 0.0001),
 Although much of the difference could be attributed to the greater need for
blood transfusions with surgery.
 The freedom from the combined outcome of death, mitral valve surgery,
and MR severity greater than 2+ at 12 months was higher with surgery
(73%) than with MitraClip therapy (55%; P = 0.0007).
 In patients with acute MitraClip therapy success, the result appears
durable, with a very low rate of later mitral valve surgery.
Subsequent analyses of this study and additional
registries have demonstrated persistent reductions
in MR grade, improvement in NYHA functional
class, and reduction in LV dimensions with
MitraClip therapy.
Other studies have shown a lack of MS, no effect
of initial rhythm on results, and importantly,
greater benefit than with surgery for higher-risk
patients.
Catheter Cardiovasc Interv 2014;84:581-90
Meta-analysis of outcomes of the MitraClip
compared to mitral valve surgery in high-risk
Philip F et al, Catheter Cardiovasc Interv 2014;84:581-90
EVEREST High-Risk Registry and
prohibitive-risk patient subset, indicate a more
appropriate role in high-risk pt`s and those
with 20 functional and ischemic MR.
In addition to improved symptoms,
50% -70% reduction in hospitalization for HF
with MitraClip implantation has been observed
COAPT (Clinical Outcomes Assessment of the
MitraClip Percutaneous Therapy for High
Surgical Risk Patients) Trial- to compare the
device with medical therapy in pt`s with
secondary MR.
Several other devices, designed to provide
leaflet repair, including
NeoChord
Mitra-Spacer
MitraFlex
Preclinical or phase 1 evaluation.
MitraClip for Degenerative Mitral Regurgitation
• EVEREST I (Endovascular Valve Edge-to-Edge
Repair Study I) - published in 2005.
• 27 pt`s in the phase I prospective, multicenter
safety and feasibility trial
• The clip was successfully deployed initially in
24 pt`s (89%), and 3 pt`s went on to successful
surgical repair or replacement.
• The pivotal EVEREST II trial
• Randomized 279 pt`s in a 2:1 fashion,
• 184 in MitraClip group and 95 to surgery.
• Of these subjects, 73% had DMR.
• One primary end point was a safety end point (major adverse events such
as death, stroke, MI, reoperation, and transfusion), which was designed to
show superiority of the endovascular strategy.
• At 30 days, the primary safety end point was experienced by 9.6% of the
p/c group and 57% of the surgical (control) group, although much of this
difference was accounted for by the need for transfusion of more than 2
units of blood in the surgical group (53.2%, compared with 8.8% in the
percutaneous group).
• Lack of death, major stroke, urgent/emergent surgery, or MV reoperation
in any of the 136 Mitra- Clip pt`s who achieved acute procedural success.
• The second primary end point was for efficacy and was designed to
show noninferiority to cardiac surgery (freedom from surgery for
valve dysfunction, death, or MR 2+ or worse).
• Analysis of clinical effectiveness showed the MitraClip to be
noninferior to surgery (72.4% vs. 87.8%, with a prespecified margin
for noninferiority of 31%).
• At 4 years’ follow-up, Mauri and colleagues demonstrated similar
survival (mortality rate, 17.4% vs. 17.8%) and functional
improvement, although pt`s receiving the clip had a much higher
need for MV surgery (24.8% vs. 5.5%).
• The presence of MR of 3+ or 4+ (18.8% vs. 3.0%) was greater with
MitraClip at 1 year, although there was no significant difference in
worsening MR or need for MV intervention between years 1 and 4.
• Subgroup analysis demonstrated that patients with FMR may derive
greater benefit from the MitraClip.
• High-risk Real-World Expanded Multi-Center Study of the
MitraClip System (REALISM) registry.
• The mean age of the group was 82 years; 48% had prior
cardiac surgery; and 86% had NYHA III or IV symptoms.
• Predicted 30-day mortality rate of 13.2% based on mean
STS score, the observed mortality rate was only 6.3%.
• Mortality at 1 year was 23.6%
• Of the surviving pt`s, 87% were in NYHA class II at 1 year,
and 85% had 2+ or less MR.
• U.S. FDA in 2013 approved the use mitra clip in pt`s with
DMR who are considered to be at prohibitive risk for
surgery.
• The ACC/STS/Transcatheter Valve Therapies registry recently published
the initial outcomes of commercial MitraClip implantation in the U.S.
among 564 pt`s with a median STS-predicted risk of mortality of 7.9%.
• Most pt`s had either DMR alone (85.5%) or combination DMR/FMR
(5.1%), and only a few (9.2%) had FMR, consistent with the U.S. FDA
labeled indication.
• Approx 97% of pt`s had successful device implantation, and 93% of pt`s
had ≤2+ MR at discharge.
• Procedure-related complications were rare, with cardiac perforation seen
in 0.7%, stroke in 1.1%, need for open-heart surgery in 0.7%, and single-
leaflet device attachment in 1.1%. In this highly comorbid group of
patients, in-hospital mortality was relatively low at 2.3%. The report is
encouraging with regard to the commercial roll-out of the device as a
demonstration of the overall safety and efficacy of the MitraClip device.
MitraClip for Functional Mitral Regurgitation
• Surgery in pt`s with FMR is generally high risk, has poor
durability, and is associated with worse overall survival .
• ACC/AHA, ESC and ISHLT provide a class IIb indication for
MV surgery in pt`s with FMR.
• Among 149 pt`s with FMR included in the high-risk surgical
cohort of EVEREST II and the continued access registry, 63%
had prior cardiac surgery and 87% had NYHA class III or IV
symptoms.
• Despite their high-risk profile, these pt`s had low (4.7%)
mortality rate at 30 days.
• At 1 year, 82% had 2+ or less MR, and pt`s had significant
reduction in LV volumes.
• The ACCESS-EU trial (A Two- Phase
Observational Study of the MitraClip System in
Europe)
• 567 high-risk pt`s, including 393 pt`s (69%)
with FMR; the av Logistic EuroSCORE
(predicted mortality according to a logistic
regression equation) was 23.
• Of the patients with FMR, 66% had an LVEF of
<40%.
• Despite the high-risk profile, the mortality rate
was only 2.8% at 30 days and 17% at 1 year.
• At 1 year, 78.6% of the FMR pt`s had 2+ or less
MR, and 71% of the entire group had NYHA class I
or II symptoms.
• Whereas FMR patients constituted only 26% of
the EVEREST I trial, they made up 71% of the
EVEREST II/ REALISM high-risk cohort and 77% of
the ACCESS-EU registry.
• 67% of the European commercial MitraClip
experience has been in pt`s with FMR.
• CV Outcomes Assessment of the MitraClip P/C Therapy
for HF Pt`s With FMR, (COAPT) trial
• The trial randomized 614 pt`s with ≥3+ FMR at high or
extreme surgical risk
• GDMT alone (312 pt`s) or MitraClip plus GDMT (302
pt`s).
• Exclusion criteria :- LVEF <20% or LV cavity dilation
>7.0 cm, sig RV dysfunction, other sig heart valve
disease, and oxygen-dependent lung disease.
• Baseline characteristics – av. age of 72 yrs and STS-
PROM 8.2%, LVEF 31%, and 61% of pt`s with ischemic
and 39% of pt`s nonischemic cmp.
• Primary safety end point freedom from all device-
related complications at 12 months
• Primary effectiveness end point of annualized rate of
hospitalizations for heart failure was reduced from 68%
in the control group to 36% in the device group (P <
.001).
• At 12 months, 95% of pt`s had ≤2+ MR.
• 38% relative-risk reduction in all-cause mortality at 2
years with the MitraClip (29.1 vs. 46.1%, P < .001).
• NNT to prevent one hospitalization was three pt`s, and
to prevent one death was six.
• U.S. FDA MitraClip for FMR-2019
• Month prior to presentation of the COAPT
results, the Percutaneous Repair with the
MitraClip Device for Severe
Functional/Secondary Mitral Regurgitation
(MITRA-FR) was presented and published.
• The trial randomized 304 pt`s with FMR in a
1:1 fashion to medical therapy or MitraClip.
• At 1 year, there was no difference in death or
hospitalization between the two strategies.
• There are a number of explanations for this difference in comparison to
COAPT with regard to trial methodology, procedural results, and follow-up.
• In MITRA-FR, pt`s were included with ≥2+ FMR, while COAPT included only
≥3+ regurgitation. COAPT excluded pt`s with very severe LV dilation (>7.0
cm), though this was not an exclusion to MITRA-FR.
• Medical therapy at trial enrollment was highly standardized in COAPT with
few changes during follow-up, which was not the case in MITRA-FR.
• Pt`s available for ECHO follow-up at 12 months in the MITRA-FR trial was
limited, and of those available, 17% had ≥3+ and 50% had ≥2+ , FMR (in
comparison to 5% and 31% of pt`s in COAPT).
• Mortality benefit seen in COAPT, this was noted only beyond 1-year
follow-up (there was no difference at 1 year); as such, the 1-year follow-up
presented in MITRA-FR (along with half the sample size) may be limited to
discern a treatment benefit.
THANKYOU

Mitra clip

  • 1.
    MITRA CLIP DR VIRBHANBALAI MBBS,DLO,MD (MEDICINE),DNB (CARDIOLOGY), FNB (INTERVENTIONAL CARDIOLOGY) MAX SUPERSPECIALITY HOSPITAL SAKET,NEW DELHI
  • 2.
    • Chronic MRis a significant public health burden • >3 million people in the US alone from moderate- severe MR. • Left untreated, chronic MR results in – Heart failure symptoms – LV cavity dilatation – Systolic dysfunction – LA enlargement – Atrial fibrillation – Pulmonary hypertension.
  • 3.
    • P/C technologysignificantly alter the treatment paradigm of Chr MR. • P/C MVRe offers the benefits of ↓morbidity, improved RT & shorter hospital stay as compared to surgery. • Current P/C options are based on surgical repair techniques. • Four primary methods are: 1. Edge-to-edge (E2E) leaflet repair 2. Indirect annuloplasty via the CS 3. Direct annuloplasty 4. Septal-lateral annular cinching.
  • 4.
    Mitral Valve Anatomy •MV complex is composed of - 1. Mitral annulus- elliptical 2. Leaflets- anterior & posterior (A1, A2,A3/P1,P2,P3 scallope from Lat to Med.) 3. Chordae tendineae- Pri./Sec./Tert. 4. Papillary muscles- anterolateral/posteromedial 5. Commisures- anterolateral/posteromedial
  • 7.
    SURGICAL MITRAL VALVEREPAIR • ACC/AHA guidelines provide a framework for MV surgery. • Acute severe MR → surgery • Chronic severe MR with symptoms • Asympatomatic pt`s with Chr Sev MR – LV systolic dysfunction – LV cavity dilatation (LVESD >40 mm) – Onset of atrial fibrillation – PH (PASP>50 mm Hg at rest or >60 mm Hg with exercise)
  • 8.
    • Asymptomatic pt`swith Sev MR and normal LV size & function. – Surgery is considered reasonable at centers where repair is likely (>95% chance) and has a low operative risk (<1%); (class IIa ) • MVRe is the preferred method for surgical management as compare to MVR. • MVRe advantage -: improved survival, preservation of LV function, freedom from anticoagulation, and fewer complications. • MVRe, underutilized: < 50% of the pt`s, even though abt 90% pt`s are suitable.
  • 9.
    • Techniques ofMV repair :- 1. Annulus (annuloplasty with or without a rigid or flexible ring, decalcification, débridement). 2. Leaflets (triangular or quadrangular resection, sliding annuloplasty, patch enlargement, decalcification, E2E repair). 3. Chordae (resection or elongation of chords). 4. Myocardium (e.g. remodeling through the Dor procedure, plication of scar, pericardial cushions, transventricular slings), 5. Papillary muscles (realignment). 6. Some combination of all these.
  • 10.
    Percutaneous Mitral ValveRepair • Aim of P/C strategies for MVRe is to provide relief from sev MR in pt`s who are otherwise not be candidates for surgical correction or • In those who prefer a less invasive approach without the need for CPB.
  • 11.
    • Five majorapproaches to p/c repair. 1. E2E repair: best studied, based on the surgical repair by Dr. Alfieri. 2. Proximity of the CS to the mitral annulus to accomplish favorable changes in annular geometry, bringing the post leaflet toward the ant leaflet and thereby improving coaptation. 3. LV reshaping - reduction in septal-to-lateral diameter and improves leaflet coaptation. 4. Transventricular (direct) approach- mitral annuloplasty is performed by various methods. 5. Implantation of artificial chordae. • Transcatheter MV replacement
  • 12.
    Percutaneous or MinimallyInvasive Mitral Valve Repair Devices Under Development
  • 13.
    Edge-to-Edge (Double-Orifice) LeafletRepair with the MitraClip System • MitraClip system is the best studied P/C MVRe. • Based on the Alfieri stitch operation- middle scallops of the post and ant leaflets (P2 and A2) are sutured together to create a double-orifice mitral valve. • MitraClip is the first P/C MV repair technology to receive CE Mark approval (European Union) and has also received FDA approval for pt`s with primary (degenerative) MR with prohibitive surgical risk and functional MR (2019).
  • 14.
    • INDICATION • TMVrwith MitraClip therapy delivers a treatment option for select pt`s with: 1. Significant primary (or degenerative) MR who are considered at high surgical risk 2. Significant secondary MR and heart failure who remain symptomatic despite GDMT
  • 15.
    • CONTRAINDICATIONS • TheMitraClip is CI in pt`s with the following conditions: – Pt`s who cannot tolerate procedural anticoagulation or post procedural antiplatelet regimen – Active endocarditis of the mitral valve – Rheumatic mitral valve disease – Evidence of intracardiac, IVC or femoral vein thrombus
  • 16.
    • Eligibility criteria •For safe positioning of the clip, • Anatomical eligibility criteria are recommended. – Coaptation length of >2 mm – Coaptation depth of <11 mm, and – In the case of degenerative disease, a flail gap of <10 mm and a flail width of <15 mm are favourable.
  • 17.
    PROCEDURE • Right femoralvein route • The Mitra Clip system consists of a steerable guide catheter that is introduced using the transfemoral route, by echocardiographic guiding, trans septally into the LA. • The clip delivery system can be introduced through the guide catheter .
  • 19.
    • The MitraClipprocedure is divided into the following steps: 1. Transseptal puncture 2. Advancement of the steerable guide catheter into the LA 3. Advancement of the clip delivery system into the LA and positioning of the Mitra Clip below the mitral valve leaflets 4. Grasping of the leaflets, assessment of the result and clip release.
  • 20.
    Transseptal puncture • Optimalpuncture site is superiorly and posteriorly in the interatrial septum • 3D TEE planes are used to determine the correct site • Position of the BRK transseptal can be seen by a tent-like indentation of the interatrial septum (‘tenting’). • The site of optimal transseptal puncture is different for degenerative and functional MR. • In degenerative disease (e. g. prolapse), the puncture site needs to be 4– 5 cm above the mitral annulus to give enough space for adequate catheter and MitraClip maneuvering. • In contrast, in cases of functional MR, the line of coaptation is usually below the plane of the mitral annulus due to extensive tethering. • Therefore, the puncture site in these patients needs to be more inferior and closer to the annular plane (about 3.5 cm above the annular plane).
  • 22.
    Introduction of steerableguide catheter into the left atrium • The steerable guide catheter with the dilator is gently advanced into the LA over an Amplatz extra stiff wire (placed in the LUPV) under fluoroscopic and TEE guidance. • Once the catheter is safely placed in the LA, the Amplatz extra stiff wire is retrieved first, followed by the dilator.
  • 23.
    Advancement of theclip delivery system into the LA and positioning of the MitraClip below the MV leaflets • The clip delivery system is advanced via the steerable guide catheter under fluoroscopic guidance directed toward the LUPV. • TEE guidance necessary to ensure that the tip of the steerable guide catheter remains across the IAS and that the delivery system with the clip at the tip does not cause injury to the free left atrial wall.
  • 25.
    • Steering andpositioning of the MitraClip delivery system in the LA. • The Clip Delivery System (CDS) is advanced until its tip is even with the guide tip under fluoroscopic guidance. • The CDS is further advanced until the guide radiopaque tip ring marker is centred between the sleeve alignment markers with confirmation on fluoroscopy (straddling)
  • 27.
    • It isrecommended to pass the opened clip into the left ventricle. • A correct orientation of the MitraClip, with perpendicular alignment to the line of coaptation, verifying that both mitral leaflets are freely moving above the clip arms, is crucial for a successful grasp of the mitral valve leaflets.
  • 28.
    Grasping of theleaflets, assessment of the result and clip release • Once the MitraClip is in a satisfactory position, grasping of the leaflets using a 2D LVOT view. • It is recommended to do this with the help of a short breath-hold, controlled by the accompanying anaesthetist. • Multiple planes are useful for assessment of proper leaflet insertion into the MitraClip. • The insertion of the posterior leaflet is commonly best seen in the LVOT view, and the insertion of the anterior leaflet in the four-chamber view. • The intercommissural view can add information such as entrapped chordae tendinae. • After grasping of the leaflets, leaflet capture is evaluated by lowering the gripper and partially closing the clip to secure leaflet insertion. • Formation of the double-barrelled orifice is confirmed with an en face view to make sure that each orifice is approximately the same size.
  • 30.
    • Before andafter the implantation of each clip, it is necessary to evaluate the grade of regurgitation and stenosis of the mitral valve, and in addition, the morphological result after clip placement. • Care should be taken, especially when manipulating the device near the commissures, not to enter the ventricular cavity too deeply in order to avoid chordal entanglement. • Eventually, fibrosis and scarring occur in the bridging segment, similar to that seen with surgical E2E repair.
  • 32.
  • 33.
    • Colour Doppler-Multiple jets, commonly occurs after a MitraClip is implanted. • This may potentially lead to overestimating residual MR • To overcome this problem, measure LA pressure curves, the height of the V-wave beforeand after the procedure. • This gives us an idea about the improvement of the degree of the MR. • LV angio may also help in evaluation the severity of the residual MR. • LV Angiographic MR grading may be inaccurate if the catheter is entrapped in the chordae tendineae, if insufficient contrast is used to opacify the LV and LA, or in the presence of arrhythmias. .
  • 34.
    Implantation of additionalMitraClips • As residual MR after MitraClip is associated with higher mortality than that for pt`s without MR. • The orientation of the second clip is mostly done fluoroscopically without the use of echo and should be aligned as parallel as possible to the first clip. • During advancement of the MitraClip from the LA into the LV under breath-holding, the clip should be closed to avoid any interference or entanglement with the chordae tendineae then re-opened in the left ventricle. • Folding of leaflet tissue between two MitraClips should be avoided as this may cause uncorrectable residual MR .
  • 35.
    COMPLICATIONS • Death; Allergicreaction (anesthetic, contrast, Heparin, nickel alloy, latex); Aneurysm or pseudo- aneurysm; Arrhythmias; Atrial fibrillation; Atrial septal defect requiring intervention; Arterio-venous fistula; Bleeding; Cardiac arrest; • Cardiac perforation; Cardiac tamponade / Pericardial Effusion; Chordal entanglement / rupture; Coagulopathy; Conversion to standard valve surgery; DVT; Dislodgement of previously implanted devices; Dizziness; Drug reaction to anti-platelet / anticoagulation agents / contrast media; • Dyskinesia; Dyspnea; Edema; Emboli (air, thrombus, MitraClip™ Implant); Emergency cardiac surgery; Endocarditis; Esophageal irritation; Esophageal perforation or stricture; Failure to deliver MitraClip™ to the intended site; Failure to retrieve MitraClip™ System components; Fever or hyperthermia; Gastrointestinal bleeding or infarct; Hematoma; Hemolysis; Hemorrhage requiring transfusion; Hypotension / hypertension; Infection; Injury to mitral valve complicating or preventing later surgical repair; Lymphatic complications; Mesenteric ischemia; MitraClip™ Implant erosion, migration or malposition; • MitraClip™ Implant thrombosis; MitraClip™ System component(s) embolization; Mitral stenosis; Mitral valve injury; Multi-system organ failure; Myocardial infarction; Nausea / vomiting; Pain; Peripheral ischemia; Prolonged angina; Prolonged ventilation; Pulmonary congestion; Pulmonary thrombo-embolism; Renal insufficiency or failure; Respiratory failure / atelectasis / pneumonia; Septicemia; Shock, Anaphylactic or Cardiogenic; • Single leaflet device attachment (SLDA); Skin injury or tissue changes due to exposure to ionizing radiation; Stroke or transient ischemic attack (TIA); Urinary tract infection; Vascular trauma, dissection or occlusion; Vessel spasm; Vessel perforation or laceration; Worsening heart failure; Worsening mitral regurgitation; Wound dehiscence
  • 36.
    Trials of MitraClip EVERESTI Trial ( Endovascular Valve Edge-to- Edge Repair Study )- with MitraClip have confirmed its feasibility. EVEREST II Trial- confirmed its safety and efficacy as compared to those with surgical repair. COAPT Trial : HF 20 MR
  • 40.
     EVEREST II– Randomised trial,  184 pt`s - MitraClip therapy  95 pt`s -underwent surgical repair or replacement.  Mitra clip pt`s were almost a decade older (mean age, 67 years) than in usual surgical series and had more comorbidities.  Major adverse events at 30 days were significantly less frequent with MitraClip therapy (9.6% vs 57% with surgery; P < 0.0001),  Although much of the difference could be attributed to the greater need for blood transfusions with surgery.  The freedom from the combined outcome of death, mitral valve surgery, and MR severity greater than 2+ at 12 months was higher with surgery (73%) than with MitraClip therapy (55%; P = 0.0007).  In patients with acute MitraClip therapy success, the result appears durable, with a very low rate of later mitral valve surgery.
  • 41.
    Subsequent analyses ofthis study and additional registries have demonstrated persistent reductions in MR grade, improvement in NYHA functional class, and reduction in LV dimensions with MitraClip therapy. Other studies have shown a lack of MS, no effect of initial rhythm on results, and importantly, greater benefit than with surgery for higher-risk patients. Catheter Cardiovasc Interv 2014;84:581-90
  • 42.
    Meta-analysis of outcomesof the MitraClip compared to mitral valve surgery in high-risk Philip F et al, Catheter Cardiovasc Interv 2014;84:581-90
  • 43.
    EVEREST High-Risk Registryand prohibitive-risk patient subset, indicate a more appropriate role in high-risk pt`s and those with 20 functional and ischemic MR. In addition to improved symptoms, 50% -70% reduction in hospitalization for HF with MitraClip implantation has been observed
  • 44.
    COAPT (Clinical OutcomesAssessment of the MitraClip Percutaneous Therapy for High Surgical Risk Patients) Trial- to compare the device with medical therapy in pt`s with secondary MR.
  • 48.
    Several other devices,designed to provide leaflet repair, including NeoChord Mitra-Spacer MitraFlex Preclinical or phase 1 evaluation.
  • 49.
    MitraClip for DegenerativeMitral Regurgitation • EVEREST I (Endovascular Valve Edge-to-Edge Repair Study I) - published in 2005. • 27 pt`s in the phase I prospective, multicenter safety and feasibility trial • The clip was successfully deployed initially in 24 pt`s (89%), and 3 pt`s went on to successful surgical repair or replacement.
  • 50.
    • The pivotalEVEREST II trial • Randomized 279 pt`s in a 2:1 fashion, • 184 in MitraClip group and 95 to surgery. • Of these subjects, 73% had DMR. • One primary end point was a safety end point (major adverse events such as death, stroke, MI, reoperation, and transfusion), which was designed to show superiority of the endovascular strategy. • At 30 days, the primary safety end point was experienced by 9.6% of the p/c group and 57% of the surgical (control) group, although much of this difference was accounted for by the need for transfusion of more than 2 units of blood in the surgical group (53.2%, compared with 8.8% in the percutaneous group). • Lack of death, major stroke, urgent/emergent surgery, or MV reoperation in any of the 136 Mitra- Clip pt`s who achieved acute procedural success.
  • 51.
    • The secondprimary end point was for efficacy and was designed to show noninferiority to cardiac surgery (freedom from surgery for valve dysfunction, death, or MR 2+ or worse). • Analysis of clinical effectiveness showed the MitraClip to be noninferior to surgery (72.4% vs. 87.8%, with a prespecified margin for noninferiority of 31%). • At 4 years’ follow-up, Mauri and colleagues demonstrated similar survival (mortality rate, 17.4% vs. 17.8%) and functional improvement, although pt`s receiving the clip had a much higher need for MV surgery (24.8% vs. 5.5%). • The presence of MR of 3+ or 4+ (18.8% vs. 3.0%) was greater with MitraClip at 1 year, although there was no significant difference in worsening MR or need for MV intervention between years 1 and 4. • Subgroup analysis demonstrated that patients with FMR may derive greater benefit from the MitraClip.
  • 52.
    • High-risk Real-WorldExpanded Multi-Center Study of the MitraClip System (REALISM) registry. • The mean age of the group was 82 years; 48% had prior cardiac surgery; and 86% had NYHA III or IV symptoms. • Predicted 30-day mortality rate of 13.2% based on mean STS score, the observed mortality rate was only 6.3%. • Mortality at 1 year was 23.6% • Of the surviving pt`s, 87% were in NYHA class II at 1 year, and 85% had 2+ or less MR. • U.S. FDA in 2013 approved the use mitra clip in pt`s with DMR who are considered to be at prohibitive risk for surgery.
  • 53.
    • The ACC/STS/TranscatheterValve Therapies registry recently published the initial outcomes of commercial MitraClip implantation in the U.S. among 564 pt`s with a median STS-predicted risk of mortality of 7.9%. • Most pt`s had either DMR alone (85.5%) or combination DMR/FMR (5.1%), and only a few (9.2%) had FMR, consistent with the U.S. FDA labeled indication. • Approx 97% of pt`s had successful device implantation, and 93% of pt`s had ≤2+ MR at discharge. • Procedure-related complications were rare, with cardiac perforation seen in 0.7%, stroke in 1.1%, need for open-heart surgery in 0.7%, and single- leaflet device attachment in 1.1%. In this highly comorbid group of patients, in-hospital mortality was relatively low at 2.3%. The report is encouraging with regard to the commercial roll-out of the device as a demonstration of the overall safety and efficacy of the MitraClip device.
  • 54.
    MitraClip for FunctionalMitral Regurgitation • Surgery in pt`s with FMR is generally high risk, has poor durability, and is associated with worse overall survival . • ACC/AHA, ESC and ISHLT provide a class IIb indication for MV surgery in pt`s with FMR. • Among 149 pt`s with FMR included in the high-risk surgical cohort of EVEREST II and the continued access registry, 63% had prior cardiac surgery and 87% had NYHA class III or IV symptoms. • Despite their high-risk profile, these pt`s had low (4.7%) mortality rate at 30 days. • At 1 year, 82% had 2+ or less MR, and pt`s had significant reduction in LV volumes.
  • 55.
    • The ACCESS-EUtrial (A Two- Phase Observational Study of the MitraClip System in Europe) • 567 high-risk pt`s, including 393 pt`s (69%) with FMR; the av Logistic EuroSCORE (predicted mortality according to a logistic regression equation) was 23. • Of the patients with FMR, 66% had an LVEF of <40%.
  • 56.
    • Despite thehigh-risk profile, the mortality rate was only 2.8% at 30 days and 17% at 1 year. • At 1 year, 78.6% of the FMR pt`s had 2+ or less MR, and 71% of the entire group had NYHA class I or II symptoms. • Whereas FMR patients constituted only 26% of the EVEREST I trial, they made up 71% of the EVEREST II/ REALISM high-risk cohort and 77% of the ACCESS-EU registry. • 67% of the European commercial MitraClip experience has been in pt`s with FMR.
  • 57.
    • CV OutcomesAssessment of the MitraClip P/C Therapy for HF Pt`s With FMR, (COAPT) trial • The trial randomized 614 pt`s with ≥3+ FMR at high or extreme surgical risk • GDMT alone (312 pt`s) or MitraClip plus GDMT (302 pt`s). • Exclusion criteria :- LVEF <20% or LV cavity dilation >7.0 cm, sig RV dysfunction, other sig heart valve disease, and oxygen-dependent lung disease. • Baseline characteristics – av. age of 72 yrs and STS- PROM 8.2%, LVEF 31%, and 61% of pt`s with ischemic and 39% of pt`s nonischemic cmp.
  • 58.
    • Primary safetyend point freedom from all device- related complications at 12 months • Primary effectiveness end point of annualized rate of hospitalizations for heart failure was reduced from 68% in the control group to 36% in the device group (P < .001). • At 12 months, 95% of pt`s had ≤2+ MR. • 38% relative-risk reduction in all-cause mortality at 2 years with the MitraClip (29.1 vs. 46.1%, P < .001). • NNT to prevent one hospitalization was three pt`s, and to prevent one death was six. • U.S. FDA MitraClip for FMR-2019
  • 59.
    • Month priorto presentation of the COAPT results, the Percutaneous Repair with the MitraClip Device for Severe Functional/Secondary Mitral Regurgitation (MITRA-FR) was presented and published. • The trial randomized 304 pt`s with FMR in a 1:1 fashion to medical therapy or MitraClip. • At 1 year, there was no difference in death or hospitalization between the two strategies.
  • 60.
    • There area number of explanations for this difference in comparison to COAPT with regard to trial methodology, procedural results, and follow-up. • In MITRA-FR, pt`s were included with ≥2+ FMR, while COAPT included only ≥3+ regurgitation. COAPT excluded pt`s with very severe LV dilation (>7.0 cm), though this was not an exclusion to MITRA-FR. • Medical therapy at trial enrollment was highly standardized in COAPT with few changes during follow-up, which was not the case in MITRA-FR. • Pt`s available for ECHO follow-up at 12 months in the MITRA-FR trial was limited, and of those available, 17% had ≥3+ and 50% had ≥2+ , FMR (in comparison to 5% and 31% of pt`s in COAPT). • Mortality benefit seen in COAPT, this was noted only beyond 1-year follow-up (there was no difference at 1 year); as such, the 1-year follow-up presented in MITRA-FR (along with half the sample size) may be limited to discern a treatment benefit.
  • 61.

Editor's Notes

  • #4 MVRe= MV repair. CS=CORONARY SINUS, RT- RECOVERY TIME,
  • #5 The mitral annulus is the elliptical area of attachment of the MV to the base of the LA (Fig. 52.1). The posterior leaflet has three lobes or “scallops”: the lateral (P1), central (P2), and medial scallops (P3). The anterior leaflet scallops are named A1, A2, and A3, respectively, corresponding to the posterior scallops. The anatomic position of the valve is such that the two leaflets meet at the anterolateral and posteromedial commissures. Chordae connect both the leaflets and the anterolateral and posteromedial papillary muscles. The primary chordae connect to the free edge of the leaflet; the secondary chordae (“strut” chords) are thicker and connect to the rough zone of the leaflet; and the tertiary chordae are short and connect the basal zone of the leaflet to the ventricular free wall.
  • #7 Mitral valve anatomy. (A) Left ventriculogram in the left anterior oblique projection shows the mitral valve in short axis, with labeled leaflet segments. (B) A schematic diagram of the mitral valve in short axis. (C) A transthoracic echocardiographic image of the mitral valve in the parasternal short-axis projection. A1, A2, and A3, Lateral, central, and medial scallops of the anterior leaflet; P1, P2, and P3, lateral, central, and medial scallops of the posterior leaflet.
  • #8 PH- PULMONARY HYPERTENSION
  • #10 Dor procedure- endoventricular circular patch plasty (EVCPP). Viable method of restoring dilated LV to its normal,elliptical geometry. The dor procedure uses a circular suture and a dacron patch to correct LV aneurysm and exclude scarred part of septum and ventricular wall.
  • #11 P/C- PERCUTANEOUS. CPB- CARDIO PULMONARY BYPASS
  • #15 CLASS IIB (ACC/AHA 2014), STS SCORE> 8%,Prohibitive Risk Primary (or degenerative) Mitral Regurgitation Prohibitive risk is determined by the clinical judgment of a heart team, including a cardiac surgeon experienced in mitral valve surgery and a cardiologist experienced in mitral valve disease, due to the presence of one or more of the following documented surgical risk factors: 30-day STS predicted operative mortality risk score of ≥8% for patients deemed likely to undergo mitral valve replacement or ≥6% for patients deemed likely to undergo mitral valve repair Porcelain aorta or extensively calcified ascending aorta. Frailty (assessed by in-person cardiac surgeon consultation) Hostile chest Severe liver disease / cirrhosis (MELD Score > 12) Severe pulmonary hypertension (systolic pulmonary artery pressure > 2/3 systemic pressure) Unusual extenuating circumstance, such as right ventricular dysfunction with severe tricuspid regurgitation, chemotherapy for malignancy, major bleeding diathesis, immobility, AIDS, severe dementia, high risk of aspiration, internal mammary artery (IMA) at high risk of injury, etc. Evaluable data regarding safety or effectiveness is not available for prohibitive risk DMR patients with an LVEF < 20% or an LVESD > 60 mm. MitraClip™ should be used only when criteria for clip suitability for DMR have been met. The heart team should include a cardiac surgeon experienced in mitral valve surgery and a cardiologist experienced in mitral valve disease and may also include appropriate physicians to assess the adequacy of heart failure treatment and valvular anatomy.
  • #18 LA-LEFT ATRIUM
  • #22 The puncture site is evaluated using TEE in a 4-chamber view, and the ‘tenting’ of the atrial septum can be seen as the transseptal needle is pushed against it, ideally in the superior and posterior part of the interatrial septum with the aim of obtaining adequate working space and distance above the mitral annulus
  • #23 LUPV-LEFT UPPER PULMONARY VEIN, LA-LEFT ATRIUM,
  • #24 MV –MITRAL VALVE, LUPV-left upper pulmonary vein, IAS-interatrial septum
  • #25 Steering and positioning of the MitraClip delivery system in the left atrium. The Clip Delivery System (CDS) is advanced until its tip is even with the guide tip under fluoroscopic guidance. The CDS is further advanced until the guide radiopaque tip ring marker is centred between the sleeve alignment markers with confirmation on fluoroscopy (straddling)
  • #27 3D en face view allows to determine when the clip is adequately positioned above the middle segments of the mitral valve and whether orientation is perpendicular to the line of mitral valve coaptation
  • #30 After grasping of the leaflets, leaflet capture is evaluated by lowering the gripper and partially closing the clip to secure leaflet insertion
  • #31  This may potentially lead to overestimating residual MR in patients with multiple jets. To overcome this problem, we recommend the measurement of the pressure curves in the left atrium to measure the height of the V‑wave before the procedure and compare it with the pressure curves after implantation of the MitraClip. This gives us an idea about the improvement of the degree of the MR. Left ventricular angiography may also help in evaluation the severity of the residual MR. On the other hand, angiographic MR grading may be inaccurate if the catheter is entrapped in the chordae tendineae, if insufficient contrast is used to opacify the left ventricle and left atrium, or in the presence of arrhythmias .
  • #32 Fig. 52.7 MitraClip repair of posterior leaflet flail. (A) P2 flail (arrow) with (B) anteriorly directed mitral regurgitation (MR) (arrow); (C) 3-D transesophageal echocardiography shows the clip in the left atrium perpendicular to the coaptation line; fluoroscopic projections of the clip (D) open in the left ventricle and (E) closed on the valve; (F) clip grasping the mitral valve (MV); (G) moderate residual MR (arrow) just medial to the clip (arrowhead); (H) second clip (arrow) placed just medial to the first; (I) trivial residual MR (arrow); (J) double-orifice MV after two clips placed. Ao, Aorta.
  • #33 MitraClip leaflet coaptation system (Abbott Vascular) creates a bridge between the P2 and A2 segments of the mitral valve similar to the Alfieri stitch operation (A) utilizing a clip delivery system (B) and the MitraClip NT (C). D, Side view, and E, left atrial view, of the clip delivery system as it is advanced through the mitral valve in the open position prior to grasping of the leaflets. F, The final result is illustrated after the clip has been released and the delivery system removed. (Courtesy Abbott Vascular, Inc.)
  • #43 FIGURE 72.9 Meta-analysis of outcomes of the MitraClip compared to mitral valve surgery in high-risk patients. ICU, Intensive care unit; Vent, ventilation. (From Philip F, Athappan G, Tuzcu EM, et al. MitraClip for severe symptomatic mitral regurgitation in patients at high surgical risk. Catheter Cardiovasc Interv 2014;84:581-90.)
  • #44 Although the EVEREST II trial failed to demonstrate efficacy equivalent to that of surgery for a diverse group of patients with varied risk and etiology.
  • #53 Acc/sts ref no 70 perloff., Society of Thoracic Surgeons (
  • #55 the International Society for Heart and Lung Transplantation
  • #56 Av-average
  • #58 Cmp- cardiomyopathy
  • #59 The number needed to treat
  • #60 Mitra fr ref 75,perloff