CT ANATOMY OF LIVER
• Liver is the largest abdominal
organ. Mean weight :1.5- 1.8Kg.
• Transverse diameter : 20-23cm.
Craniocaudal measurement at
midpoint of right lobe : 13- 16cm.
• Surrounded by Glisson’s capsule
– Dense fibrous sheath with
interspersed elastic fibres
• Liver has five surfaces: superior,
anterior, right, posterior and
inferior.
• The inferior surface is separated
by acute inferior margin of the
liver.
• The anterior surface include the
falciform ligament which runs on
a vertical plane slightly to the
right from the abdominal
midline.midline
• The inferior surface of the liver is
divided into four sectors by
structures which assume the shape
of a “H”.
• The left vertical arm of the H -
ligamentum teres anteriorly and the
ligamentum venosum posteriorly.
• The horizontal portion of the H- liver
hilum - porta hepatis.
• The vertical right arm of the H- the
inferior vena cava posteriorly and the
gallbladder fossa anteriorly.
• In the region between the two vertical arms of the H, the two
accessory lobes are recognisable, the caudate lobe posteriorly and the
quadrate lobe anteriorly
• The medial aspect of the inferior caudate lobe is known as papillary
process
• On the inferior liver surface, there are some impressions of adjacent
abdominal organs.
• Esophagus, right anterior part of stomach, duodenum, gall bladder,
right colic flexure, right kidney ,right suprarenal gland
• The left lobe portion cranial to lesser curvature of the stomach, does
not receive impression by adjacent organs - is known as tuber
omentale.
LIGAMENTS
• Falciform ligament
• Ligamentum teres
• Ligamentum venosum
• Lesser omentum
• Right and left triangular ligament
• Anterior and posterior coronary ligament
• FALCIFORM LIGAMENT:
-Sickle shaped
- Anteriorly connects with peritoneum behind the right rectus
abdominis
- Posteriorly, in contact with left lobe of liver.
- Free edge contain ligamentum teres
- Divides the subphrenic compartment into right and left
• Ligamentum teres or Round
ligament: Formed by obliterated
fetal umbilical vein
• Ligamentum venosum: Formed
by obliterated ductus venosus.
Spans from porta hepatis of the
liver to the inferior venacava.
• Lesser omentum:
Double layered peritoneal sheath.
Spans from lesser curvature of the
stomach and proximal duodenum
to the liver hilum.
Caudal free edge- hepatoduodenal
ligament
BARE AREA OF LIVER
• Anterior boundary: Anterior
coronary ligament
• Posterior boundary: Posterior
coronary ligament
• Where the coronary ligaments
meet laterally, they form right
and left triangular ligaments
• Morphological division:
-Two main lobes - the right and
the left one
-Two accessory lobes - the
caudate and the quadrate lobes
- Divided into right and left lobes
by fossae of gall bladder and
inferior venacava.
SEGMENTAL ANATOMY OF LIVER
• The French surgeon and anatomist Claude Couinaud divided the liver
into eight functionally independent segments
• allows resection of segments without damaging other segments.
• Each segment has its own vascular inflow, outflow and biliary
drainage.
• In the centre of each segment there is a branch of the portal vein,
hepatic artery and bile duct.
• In the periphery of each segment there is vascular outflow through
the hepatic veins.
• Liver is divided into a functional
left and right liver by a main
scissurae containing the middle
hepatic vein.
• This is known as Cantlie's line.
• Cantlie's line runs from the
middle of the gallbladder fossa
anteriorly to the inferior vena
cava posteriorly.
• Right hepatic vein divides the
right lobe into anterior and
posterior segments.
• Left hepatic vein divides the left
lobe into left medial and left
lateral sections.
• The portal vein divides the liver
horizontally into upper and lower
segments.
• There are eight liver segments.
• Segment IV is divided into segment IVa and IVb according to Bismuth.
• The numbering of the segments is in a clockwise manner.
• Segment I (the caudate lobe) is located posteriorly.
• It is not visible on a frontal view.
CAUDATE LOBE
• The caudate lobe or segment I is anatomically different from other
lobes in that it has direct connections to the IVC.
• The caudate lobe may be supplied by both right and left branches of
the portal vein.
• bounded posterolaterally by the fossa for the inferior vena cava,
anteriorly by the ligamentum venosum, and inferiorly by the porta
hepatis
• its inferior portion is subdivided into a lateral caudate process and a
medial papillary process
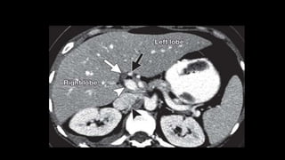
PORTA HEPATIS
• The porta hepatis/ hilum of the liver -
passes across the left posterior aspect
of visceral surface of the right lobe of
the liver.
• It separates the caudate lobe and
process from the quadrate lobe.
• The porta hepatis transmits the portal
triad—formed by the main portal
vein, proper hepatic artery, and
common hepatic duct—as well as
nerves and lymphatics.
• All of these structures are enveloped
in the free edge of the lesser
omentum or hepatoduodenal
ligament.
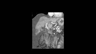
LIVER VASCULAR SYSTEM
• Around 25% of hepatic blood inflow is arterial and is supplied by the
common hepatic artery (CHA).
• Portal vein supplies ~75% of the liver's blood supply by volume.
• Most of the venous drainage from the liver passes into the three
hepatic veins which drain into the inferior vena cava.
HEPATIC ARTERY
• At the liver hilum, before entering the
parenchyma, the hepatic artery bifurcates
into the right and left hepatic branches.
• The right hepatic artery (RHA) is larger, gives
off a cystic branch for the gallbladder and
bifurcates into anterior and posterior
branches just before entering the
parenchyma.
• The left branch divides into three vessels for
the anterior, posterior and caudate parts of
the left lobe.
• Hepatic arteries then give off segmental and
subsegmental arteries that run and branch
in the portal spaces.
PORTAL VENOUS SYSTEM
• It originates by the confluence
between the superior mesenteric
vein and the splenic vein behind the
neck of the pancreas (L2).
• The PV is valveless , has a length of
around 70 mm.
• Diameter 13 mm is considered as the
upper limit.
• It runs in the hepatoduodenal
ligament along with the common bile
duct and the hepatic artery.
• Immediately before reaching the liver,
the portal vein divides in the porta
hepatis into left and right portal veins.
• The right portal vein divides into
anterior (supplying segments 5 and 8)
and posterior (supplying segments 6 and
7) branches.
• The left portal vein may be divided into
transverse and umbilical portions.
• The main branches of the left portal vein
originate from the umbilical portion, and
supply liver segments 2, 3 and 4
HEPATIC VEINS
• Venous blood of the liver is mainly
collected by the hepatic veins, which
drain into the IVC.
• Has three main venous branches: the
left, the right and the middle one.
• Hepatic veins are not encompassed
by a surrounding connective tissue
sheath, as their tunica adventitia is in
direct contact with the liver
parenchyma
BILE DUCT
• Bile collected by the bile canaliculi converges towards the portal triad,
where bile ducts are seen.
• Smaller bile ducts converge with one another to form right and left
hepatic ducts.
• The left duct collects bile from the individual segments of the left liver
• The right has two tributaries, the right posterior hepatic duct (RPHD)
and the right anterior hepatic duct (RAHD)
• RHD and LHD converge to form the common hepatic duct (CHD) which
exits the liver at the hilum.
• The common hepatic duct receives the cystic duct, thus becoming the
common bile duct and opens into major duodenal papilla.
• Bile duct from S1 can drain into RHD or LHD
INTRAHEPATIC PORTAL VEIN VARIANTS
Cheng’s classification.
• Type I – Normal anatomy.
• Type II – Trifurcation.
• Type III - Direct origin of the
RPPV from the main portal vein.
• Type IV - RAPV originates from
the distal portion of the LPV
HEPATIC ARTERY VARIANTS
MICHEL’S CLASSIFICATION
INTRAHEPATIC BILE DUCT VARIANTS
Huang’s classification
• A1 refers to the standard
configuration.
• A2- triple confluence between
the RPHD, RAHD and LHD.
• A3 -RPHD or RAHD joins the LHD
• A4 - RPHD joins the CHD
• A5 – RPHD joins the cystic duct.
• B1 is standard configuration- duct from S2 and S3 forming a common
duct which joins S4.
• B2- Duct from S4 drains into the RHD.
• B3 – Duct from S4 drains into RAHD.
• B4 – Duct from S4 drains into CHD.
• B5 - S2 and S3 have independent drainage
• B6 - S1 drains in the CHD.
MORPHOLOGY VARIANTS
• Riedel’s lobe is a morphological
variant of the right hepatic lobe,
which is tongue like extension in
the craniocaudal dimension,
extending inferiorly beyond the
limit of the costal cartilage.
• Beaver tail liver- Here left lobe is
developed in the latero-lateral
dimension, and thus spans
further in the left
hypochondrium, making
extensive contact with the
spleen.
• Diaphragmatic invagination in
the liver.
• As a result of invagination of the
diaphragmatic slips along the
superior aspect of the liver,
pseudoaccessory fissures are
formed.
• On unenhanced CT normal liver parenchyma has homogeneous
density, which can vary between 55 and 65 HU.
• Exceeds that of the spleen by about 10HU.
• Increased diffuse deposition of fat leads to reduction in attenuation
• Increased glycogen – increased attenuation
• Hepatic perfusion cycle can be differentiated into three phases.
1. Arterial phase
2. Redistribution or portal venous phase
3. Equilibrium or hepatic venous phase
Bolus tracking is done and when aortic enhancement reaches a
threshold of approximately 150HU, hepatic scanning is initiated.
• Early arterial phase – Approx 10 sec after contrast threshold based
scanning initiation.
Contrast enhancement of the abdominal aorta and hepatic artery
without admixture of enhanced portal venous blood
• Late arterial phase : Approx 20
sec after scanning initiation.
- Clear depiction of hepatic artery
and its branches.
- Minimal admixture of enhanced
portal venous blood
• Redistribution/ portal venous
inflow phase : About 30 sec after
scan initiation.
- Allows early visualisation of
portal vein and its intrahepatic
branches.
- Maximum contrast enhancement
after 40sec.
• Hepatic venous phase: 60 sec
after scan initiation.
- Simultaneous enhancement of
hepatic and portal veins will be
visualised.
• Delayed phase : 10-15min after initiation of contrast. Done in
suspected cholangiocarcinoma.
LIVER VOLUMETRY
• CT liver volumetry is an essential imaging study in preoperative
assessment for living donor liver transplantation.
• Hepatic venous phase is used for CT volumetry. 6 or 8 mm slice
thickness used.
• Liver boundary is traced to exclude the surrounding structures/organs as
well as vessels and hepatic fissures, then we summate the liver area on
every single cut
• Virtual hepatectomy plane is drawn on each cut on axial images, to the
right of the middle hepatic vein in right hemihepatectomy and along
falciform ligament in left lateral segmentectomy
• Volume of all cuts is summed to get the total and lobar volume of the
liver
Liver ct anatomy(1).pptx
Liver ct anatomy(1).pptx

Liver ct anatomy(1).pptx

  • 1.
  • 2.
    • Liver isthe largest abdominal organ. Mean weight :1.5- 1.8Kg. • Transverse diameter : 20-23cm. Craniocaudal measurement at midpoint of right lobe : 13- 16cm. • Surrounded by Glisson’s capsule – Dense fibrous sheath with interspersed elastic fibres
  • 3.
    • Liver hasfive surfaces: superior, anterior, right, posterior and inferior. • The inferior surface is separated by acute inferior margin of the liver.
  • 4.
    • The anteriorsurface include the falciform ligament which runs on a vertical plane slightly to the right from the abdominal midline.midline
  • 5.
    • The inferiorsurface of the liver is divided into four sectors by structures which assume the shape of a “H”. • The left vertical arm of the H - ligamentum teres anteriorly and the ligamentum venosum posteriorly. • The horizontal portion of the H- liver hilum - porta hepatis. • The vertical right arm of the H- the inferior vena cava posteriorly and the gallbladder fossa anteriorly.
  • 6.
    • In theregion between the two vertical arms of the H, the two accessory lobes are recognisable, the caudate lobe posteriorly and the quadrate lobe anteriorly • The medial aspect of the inferior caudate lobe is known as papillary process
  • 8.
    • On theinferior liver surface, there are some impressions of adjacent abdominal organs. • Esophagus, right anterior part of stomach, duodenum, gall bladder, right colic flexure, right kidney ,right suprarenal gland • The left lobe portion cranial to lesser curvature of the stomach, does not receive impression by adjacent organs - is known as tuber omentale.
  • 12.
    LIGAMENTS • Falciform ligament •Ligamentum teres • Ligamentum venosum • Lesser omentum • Right and left triangular ligament • Anterior and posterior coronary ligament
  • 13.
    • FALCIFORM LIGAMENT: -Sickleshaped - Anteriorly connects with peritoneum behind the right rectus abdominis - Posteriorly, in contact with left lobe of liver. - Free edge contain ligamentum teres - Divides the subphrenic compartment into right and left
  • 15.
    • Ligamentum teresor Round ligament: Formed by obliterated fetal umbilical vein • Ligamentum venosum: Formed by obliterated ductus venosus. Spans from porta hepatis of the liver to the inferior venacava.
  • 17.
    • Lesser omentum: Doublelayered peritoneal sheath. Spans from lesser curvature of the stomach and proximal duodenum to the liver hilum. Caudal free edge- hepatoduodenal ligament
  • 18.
    BARE AREA OFLIVER • Anterior boundary: Anterior coronary ligament • Posterior boundary: Posterior coronary ligament • Where the coronary ligaments meet laterally, they form right and left triangular ligaments
  • 19.
    • Morphological division: -Twomain lobes - the right and the left one -Two accessory lobes - the caudate and the quadrate lobes - Divided into right and left lobes by fossae of gall bladder and inferior venacava.
  • 20.
    SEGMENTAL ANATOMY OFLIVER • The French surgeon and anatomist Claude Couinaud divided the liver into eight functionally independent segments • allows resection of segments without damaging other segments. • Each segment has its own vascular inflow, outflow and biliary drainage. • In the centre of each segment there is a branch of the portal vein, hepatic artery and bile duct. • In the periphery of each segment there is vascular outflow through the hepatic veins.
  • 21.
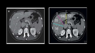
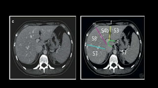
    • Liver isdivided into a functional left and right liver by a main scissurae containing the middle hepatic vein. • This is known as Cantlie's line. • Cantlie's line runs from the middle of the gallbladder fossa anteriorly to the inferior vena cava posteriorly.
  • 22.
    • Right hepaticvein divides the right lobe into anterior and posterior segments. • Left hepatic vein divides the left lobe into left medial and left lateral sections. • The portal vein divides the liver horizontally into upper and lower segments.
  • 23.
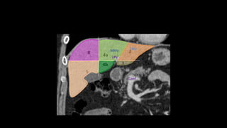
    • There areeight liver segments. • Segment IV is divided into segment IVa and IVb according to Bismuth. • The numbering of the segments is in a clockwise manner. • Segment I (the caudate lobe) is located posteriorly. • It is not visible on a frontal view.
  • 24.
    CAUDATE LOBE • Thecaudate lobe or segment I is anatomically different from other lobes in that it has direct connections to the IVC. • The caudate lobe may be supplied by both right and left branches of the portal vein. • bounded posterolaterally by the fossa for the inferior vena cava, anteriorly by the ligamentum venosum, and inferiorly by the porta hepatis • its inferior portion is subdivided into a lateral caudate process and a medial papillary process
  • 35.
    PORTA HEPATIS • Theporta hepatis/ hilum of the liver - passes across the left posterior aspect of visceral surface of the right lobe of the liver. • It separates the caudate lobe and process from the quadrate lobe. • The porta hepatis transmits the portal triad—formed by the main portal vein, proper hepatic artery, and common hepatic duct—as well as nerves and lymphatics. • All of these structures are enveloped in the free edge of the lesser omentum or hepatoduodenal ligament.
  • 37.
    LIVER VASCULAR SYSTEM •Around 25% of hepatic blood inflow is arterial and is supplied by the common hepatic artery (CHA). • Portal vein supplies ~75% of the liver's blood supply by volume. • Most of the venous drainage from the liver passes into the three hepatic veins which drain into the inferior vena cava.
  • 39.
    HEPATIC ARTERY • Atthe liver hilum, before entering the parenchyma, the hepatic artery bifurcates into the right and left hepatic branches. • The right hepatic artery (RHA) is larger, gives off a cystic branch for the gallbladder and bifurcates into anterior and posterior branches just before entering the parenchyma. • The left branch divides into three vessels for the anterior, posterior and caudate parts of the left lobe. • Hepatic arteries then give off segmental and subsegmental arteries that run and branch in the portal spaces.
  • 42.
    PORTAL VENOUS SYSTEM •It originates by the confluence between the superior mesenteric vein and the splenic vein behind the neck of the pancreas (L2). • The PV is valveless , has a length of around 70 mm. • Diameter 13 mm is considered as the upper limit. • It runs in the hepatoduodenal ligament along with the common bile duct and the hepatic artery.
  • 43.
    • Immediately beforereaching the liver, the portal vein divides in the porta hepatis into left and right portal veins. • The right portal vein divides into anterior (supplying segments 5 and 8) and posterior (supplying segments 6 and 7) branches. • The left portal vein may be divided into transverse and umbilical portions. • The main branches of the left portal vein originate from the umbilical portion, and supply liver segments 2, 3 and 4
  • 48.
    HEPATIC VEINS • Venousblood of the liver is mainly collected by the hepatic veins, which drain into the IVC. • Has three main venous branches: the left, the right and the middle one. • Hepatic veins are not encompassed by a surrounding connective tissue sheath, as their tunica adventitia is in direct contact with the liver parenchyma
  • 51.
    BILE DUCT • Bilecollected by the bile canaliculi converges towards the portal triad, where bile ducts are seen. • Smaller bile ducts converge with one another to form right and left hepatic ducts. • The left duct collects bile from the individual segments of the left liver • The right has two tributaries, the right posterior hepatic duct (RPHD) and the right anterior hepatic duct (RAHD) • RHD and LHD converge to form the common hepatic duct (CHD) which exits the liver at the hilum. • The common hepatic duct receives the cystic duct, thus becoming the common bile duct and opens into major duodenal papilla. • Bile duct from S1 can drain into RHD or LHD
  • 54.
    INTRAHEPATIC PORTAL VEINVARIANTS Cheng’s classification. • Type I – Normal anatomy. • Type II – Trifurcation. • Type III - Direct origin of the RPPV from the main portal vein. • Type IV - RAPV originates from the distal portion of the LPV
  • 55.
  • 61.
    INTRAHEPATIC BILE DUCTVARIANTS Huang’s classification • A1 refers to the standard configuration. • A2- triple confluence between the RPHD, RAHD and LHD. • A3 -RPHD or RAHD joins the LHD • A4 - RPHD joins the CHD • A5 – RPHD joins the cystic duct.
  • 62.
    • B1 isstandard configuration- duct from S2 and S3 forming a common duct which joins S4. • B2- Duct from S4 drains into the RHD. • B3 – Duct from S4 drains into RAHD. • B4 – Duct from S4 drains into CHD. • B5 - S2 and S3 have independent drainage • B6 - S1 drains in the CHD.
  • 63.
    MORPHOLOGY VARIANTS • Riedel’slobe is a morphological variant of the right hepatic lobe, which is tongue like extension in the craniocaudal dimension, extending inferiorly beyond the limit of the costal cartilage.
  • 64.
    • Beaver tailliver- Here left lobe is developed in the latero-lateral dimension, and thus spans further in the left hypochondrium, making extensive contact with the spleen.
  • 65.
    • Diaphragmatic invaginationin the liver. • As a result of invagination of the diaphragmatic slips along the superior aspect of the liver, pseudoaccessory fissures are formed.
  • 67.
    • On unenhancedCT normal liver parenchyma has homogeneous density, which can vary between 55 and 65 HU. • Exceeds that of the spleen by about 10HU. • Increased diffuse deposition of fat leads to reduction in attenuation • Increased glycogen – increased attenuation
  • 68.
    • Hepatic perfusioncycle can be differentiated into three phases. 1. Arterial phase 2. Redistribution or portal venous phase 3. Equilibrium or hepatic venous phase Bolus tracking is done and when aortic enhancement reaches a threshold of approximately 150HU, hepatic scanning is initiated.
  • 69.
    • Early arterialphase – Approx 10 sec after contrast threshold based scanning initiation. Contrast enhancement of the abdominal aorta and hepatic artery without admixture of enhanced portal venous blood
  • 70.
    • Late arterialphase : Approx 20 sec after scanning initiation. - Clear depiction of hepatic artery and its branches. - Minimal admixture of enhanced portal venous blood
  • 71.
    • Redistribution/ portalvenous inflow phase : About 30 sec after scan initiation. - Allows early visualisation of portal vein and its intrahepatic branches. - Maximum contrast enhancement after 40sec.
  • 72.
    • Hepatic venousphase: 60 sec after scan initiation. - Simultaneous enhancement of hepatic and portal veins will be visualised.
  • 73.
    • Delayed phase: 10-15min after initiation of contrast. Done in suspected cholangiocarcinoma.
  • 75.
    LIVER VOLUMETRY • CTliver volumetry is an essential imaging study in preoperative assessment for living donor liver transplantation. • Hepatic venous phase is used for CT volumetry. 6 or 8 mm slice thickness used. • Liver boundary is traced to exclude the surrounding structures/organs as well as vessels and hepatic fissures, then we summate the liver area on every single cut • Virtual hepatectomy plane is drawn on each cut on axial images, to the right of the middle hepatic vein in right hemihepatectomy and along falciform ligament in left lateral segmentectomy • Volume of all cuts is summed to get the total and lobar volume of the liver