IRM du FOIE
Pr Frank Boudghene
Hopital Tenon
Université Paris 6
Protocole chụp IRM gan
1. Séquence FSE T2 Fat-Sat synchronisée
2. diffusion b0-400-800
3. T2*
4. EG T1 en apnée double écho de phase (graisse)
5. EG T1 Fat-Sat có tiêm Gado 2D ou 3D
6. Cholangio IRM hyper T2 (Haste ou SSFSE)
Fondamentaux
• Lát cắt từ 5 mm > 8 mm voire 2,5 mm
• Chụp có tiêm thuốc Gadolinium
• Xung xóa mỡ
Nước
Mỡ
Các phương pháp xóa mỡ
• FAT-SAT
• IN/OUT of PHASE
• STIR
in et out phase
• Giảm các nhiễu ảnh
• Tăng độ tương phản
• Mô tả đặc điểm của tổn thương chứa mỡ
1T
6,8
ms
3,4
ms
1,5T
4,5
ms
2,2
ms
Nhiễu ảnh và cách xử lý
Cử động hô hấp
 Đồng bộ nhịp thở
 Xóa mỡ
Nhịp đập mạch máu
 Bão hòa
 Xung nhanh True-FISP
Nhu động ống tiêu hóa
 Xung nhanh(HASTE, True-FISP)
 Thuốc tương phản
Cảm ứng từ của khí và mô
 Uống nước lấp đầy ống tiêu hóa
 Sử dụng xung HASTE và TE court
Lựa chọn
• Chụp hướng Coronales
• Xung True FISP
• Xung STIR kết hợp nín thở
• Cholangio-IRM (3D)
• xung 3D-VIBE sau Teslascan :
Cholangio 3D pré-op
Tương phản
Ngoài tế bào
Gan đường mật
Tế bào Kupffer
Mạch máu
Chất cận từ T1
Chất cận từ T2
Trắng
Gd-DTPA, Gd-DOTA,
Gd-DTPA-BMA,
Gd-HP-DO3A
Gd-EOB-DTPA,
Gd-BOPTA, Mn-DPDP
Albumine-Gd-DTPA,
Dextran-Gd-DTPA,
Polylysine-Gd-DTPA
Tối
SPIO, USPIO, MION
Tương phản IRM
Gadolinium
Không đặc hiệu
Đặc hiệu gan mật khác
Gd-DOTA
Dotarem®
Gd-DTPA
Magnevist®
Gd-DTPA-BMA
Omniscan®
Gd-HP DO3A
Prohance®
Gd-DTPA-BMEA
Optimark®
Gadobutrol
Gadovist®
Mangafodipir
Teslascan®
Gd-BOPTA
Multihance®
Ferumoxide
Endorem®
Ferucarbotran
Resovist®
Ferumoxtran
Sinerem®
(lymphographie)
Macromolécules
(imagerie vasculaire, de
la perméabilité)
Chất đối từ IRM
Mạch
Gadolinium non spécifique
CAPTURE
Endorem, Teslascan
Dộng mạch Tĩnh mạch cửa Nhu mô Gan, đường mật, tế
bào. Kupffer
Dặc điểm nhận
biết
Dặc điểm nhận
biết
Dặc điểm nhận
biết
Phát hiện di căn
Hình đường mật
Multihance
Chélates de Gadolinium : 0,1 mmol / kg = 0,2 ml / kg
• Tiêm kép: liều bolus 20ml
Teslascan ® : 5 µmol Mn / kg = 0,5 ml / kg
• Truyền tĩnh mạch chậm 50 ml trong 20 phút
• Truyền nhanh
«Phát hiện những tổn thương gan đã biết hoặc nghi ngờ ung thư»
Multihance ® : 0,05 mmol/ kg = 0,1 ml / kg
• Tiêm liều kép (Bolus)
• Phản ứng di ứng
«phát hiện những tổn thương đã biết hoặc nghi ngờ ung thư»
Chỉ định và liều lượng
Synthèse: lésions hépatiques
T1 T2 Gado Divers
U máu Giảm tăng E2 Tăng muộn
Di căn Giảm tăng tăng
CHC Giảm tăng Tăng sớm
Nhiễm mỡ tăng Đồng Đồng Fat-Sat
nang Giảm tăng Giảm
Máu tụ tăng tăng Đồng Tuổi
Đặc điểm tổn thương gan và di căn
• IRM + Gado = Dotarem ® , Magnevist ®
• Multihance ® ou Teslascan ® ?
Phát hiện HCC
• phase vasculaire = Dotarem ® , Magnevist ®
• phase capture = Multihance ® ,Teslascan ® ?
Thực hành
Các tổn thương dạng nốt ở gan
Bệnh cảnh lâm sàng
• Ưng thư nguyên phát ngoài gan
• Bệnh gan mãn tính
• Phát hiện tình cờ
U nguyên phát tại gan
u
(incidence)
Lành tính Ac tính
Biểu bì U tuyến
(1/1000 à 1/10 000)
Nang tuyến
CHC (1/1000)
(1/100 si hépatopathie)
Ung thư biểu mô
đường mật
Không phải biểu
bì
U máu
(1/10)
Sarcome
« giả u » nang (1/10)
tăng sản thể
nốt khu trú
(1/100)
u mờ thừa
Các tổn thương phát hiện tình cờ
nang U máu
Tăng
sản thể
nốt kh
Nhiễm
mỡ khu
trú
Di căn
CHC
U
tuyến
Các tổn thương gan phát hiện tình cờ
nang U máu
HNF
Nhiễm
mỡ khu
trú
Di căn
CHC
adénome
Ác tính
U lành
U máu
HNF Métas
CHC
adénome
U ác
U lành
U đặc của gan trên siêu âm
U máu
không điển
hình
Métas
Nhiễm
mỡ khu
trú
Nhiễm mỡ
không điển
hình
HNF
CHC
adénome
U ácU lành
U máu
không điển
hình
Nhiễm mỡ
không điển
hình
Di căn
Nghi ngờ trên siêu âm
U máu - IRM
độ nhạy
độ đặc hiệu
* xung T2
* xung T1 có tiêm Gado
> 95%
U máu gan
U lành tính thương gặp
-Kích thước < 4 cm trong 80% trường hợp
-Không triệu chứng
Giảm tín hiệu T1
Tăng tín hiệu T2
Ngấm thuốc sau tiêm
-Ngấm thuốc chấm nốt ở ngoại vi
-Ngấm dần vào trung tâm
Giữ thuốc ở thì muộn(15 phút)
Tổn thương tăng tín hiệu trên T2
- nang
-Di căn giàu mạch
-Nội tiết, thận, melanoma ...
- U nguyên phát giàu mạch
• CHC, u bieu mô đường mật
U máu - IRM
chẩn đoán phân biệt
• U máu trên nền gan nhiễm mỡ
• U máu tăng sinh mạch
• u máu tái phát(myxoïde)
• U máu xơ
U máu không điển hình trên IRM
Nhiễm mỡ khu trú
độ nhạy
độ đặc hiệu
> 95%
In-phase Out-phase
Tăng sản thể nốt khu trú
• Tỷ lệ 1/100
• 12 nữ / 1 nam
• Không triệu chứng
• Không có nguy cơ chảy máu
• Không chuyển dạng ác tính
• U đồng nhất
• Sẹo xơ trung tâm
• Không có vỏ
Tăng sản thể nốt khu trú
- Những tế bào gan bình thường, bên
trong có vách xơ
- Tăng sinh đường mật trong các vách
xơ
- Thâm nhiễm viêm tối thiểu
HNF
• T1
– Đồng- hoặc giảm-
– Sẹo xơ +/-
Tăng sản thể nốt khu trú
• T2
– Tăng hoặc đồng
– Sẹo xơ tăng tín hiệu
Hyperplasie Nodulaire Focale
T1 + có tiêm Gadolinium
• Thì sớm
–Tăng sinh mạch
–Sớm,
–Đồng nhất
Tăng sản thể nốt khu trú
T1 + có tiêm Gadolinium
• Thì muộn
– Ngấm thuốc sẹo xơ
– Không có vỏ
Tăng sản thể nốt khu trú
1- đồng nhất
2- tăng hoặc đồng tín hiệu trên T2
3- sẹo xơ tăng tín hiệu T2
4- ngấm thuốc sớm
5- sẹo xơ ngấm thuốc thì muộn
6- không có vỏ
Tiêu chuẩn HNF trên MRI
độ nhạy = 75%
độ đặc hiệu = 100%
HNF - IRM
đặc điểm
Mathieu et al. Gastroenterology 2000 Mar;118(3):560-4
HNF không điển hình
• Nhiều khối
• Không có sẹo xơ hoặc sẹo xơ không
điển hình
• Kích thước nhỏ(< 2 cm)
• Không đồng nhất
! U gan khác:
– Adénome
– CHC
• Không đồng nhất và có vỏ
• Tỷ lệ 3/10 000
• 3 nữ / 1 nam
• Có triệu chứng
• Thuốc tránh thai đường uống
U tuyến
Mô bệnh học
-Tăng sinh tế bào gan bình thường và tế bào mỡ
-Không tăng sinh đường mật
-Không có xơ
•Nguy cơ chảy máu
•Chuyển dạng ác tính
Adénome
Adénome - IRM
• T1
– Không đồng nhất
– Giảm -T1
• tăng-T1 : 50% trường
hợp
– Nhiễm mỡ, chảy máu,
hoại tử…
• T2
–Không đồng nhất
Adénome - IRM
Adénome - IRM
T1 + có tiêm Gadolinium
• Thì sớm
– Ngấm thuốc mạnh
– Không đồng nhất
• Thì muộn
– Có vỏ ++
– Ngấm không đồng nhất
T1 T1 Gado
TruFi STIR
Adénome - IRM
chẩn đoán phân biệt
HNF không điển hình
HCC
CHC xơ
HNF Adénome
*liên quan với thuốc tránh
thai
*lâm sàng
*Complications
Hình ảnh
Xử trí
Ko
Ko triệu chứng(90%)
Ko
Giới hạn rõ, chia thùy
Thành phần xơ « sẹo »
Tưới máu kiểu động mạch
Đồng âm ko hoại tử ko
chảy máu.
Theo dõi
có
đau (70%)
có (tăng lên khj có thai hay
dùng thuốc tránh thai)
Tưới máu kiểu tĩnh mạch
trong u
Ko đồng nhất ( chảy máu)
Có vỏ.
Dừng thuốc tránh thai,
phẫu thuật
HNF
CHC
adénome
ácU lành
Di căn
Nghi ngờ trên Siêu âm
HNF
CHC
adénome
U máu ko
điển hình
Thoái hóa
mỡ ko đh Di căn
Trên
siêu
âm
Trên
MRI
Thoáihóamỡ
U
máu
HNF
CHC
adénome
Di căn
Thoáihóam
U
máu
Tổn thương ko đánh giá được trên
IRM
Sinh thiết qua da hay qua phẫu thuật
Phát hiện tình cờ tổn thương ở
gan
Scanner
đa dãy
Ko đặc hiệu trên SA
IRM
T2 +
dynamique
tiêm gado
Phát hiện 50 %
50%
• Ko quên đặc điểm siêu âm kết hợp lâm sàng
• IRM (T2 và gado dynamique) là kỹ thuật tốt nhất
chẩn đoán tổn thương phát hiện tình cờ tại gan.
• Sinh thiết
Lâm sàng
Phát hiện di căn
• U ác tính hay gặp di căn nhất tại gan
• Kỹ thuật
- Ko tương phản T2 và T1 trong pha và đối pha.
- Hình ảnh sau tiêm chất tương phản thì đm, tm, muộn.
• Dạng điển hình:
- Giảm tín hiệu T1
- Tăng tín hiệu ko đồng âm T2
Đặc điểm di căn
• Di căn dạng nang
– K biểu mô tuyến dạng nang
– carcinoide
– mélanomes và sarcomes
• Di căn giàu mạch
– U nội tiết và carcinoides
– U thận
– U giáp
• U calxi hóa
– U đại tràng và gan
– Sarcome xương
Chất tương phản đặc hiệu
• Thế hệ 1 : ferrites et Mn-DPDP :
-> tăng khả năng phat hiện ở thi muộn
• Thế hệ 2 : Gd-BOPTA và Gd-EOB-DTPA dẫn chất của
« lipophiles » của Gd-DTPA :
-> tăng khả năng phat hiện ở thi muộn
-> và nổi bật đặc điểm ở thì sớm.
CHC
• Là bệnh
– Hay gặp và nặng
– Trên gan xơ
– Phát hiện; sa, clvt, IRM
AASLD 2011
CT / IRM
• CĐ xác định:
- giàu mạch
- Wash out
- vỏ / mỡ / tăng tín hiệu T2 diffusion
• Tien lượng
- số lượng và kích thước nốt
- huyết khối tm cửa
- di căn ngoài gan
• Xơ gan và tăng áp lực TMC
• Chuẩn bị trước điều trị
- thân tạng / thay đổi giải phẫu mạch / định vị
CT/ IRM
Phát hiện CHC
• Kỹ thuật
– Ko cản quang T1 et T2
– Pha và đối pha+ diffusion
– Hình ảnh 2D hay 3D sau Gadolinum thì động
mạch, cửa và muộn
Quan trọng của thì tiêm thuốc
– Phát hiện CHC nhỏ
– pbiet CHC và loạn sản nốt hay thoái hóa
•Chất tương phản đặc hiệu : sử dụng ko bắt buộc
•CLVT : nhạy thấp hơn l’IRM
Nhạy của IRM
• Độ nhạy còn thấp để phát hiện
– CHC nhỏ
Khuyến cáo của hội Association for the Study of the
Liver. J Hepatol 2001;35:421-430
– CHC giảm sinh mạch và thâm nhiễm.
Đặc hiệu IRM
• Tổn thương lành tính giống CHC
– U lành : (HFN, adenomes)
– Vùng hợp lưu nhiều sợi xơ
– Thông động tĩnh mạch
– Tưới máu ko đồng đều
CHC và tưới máu ko đồng đều
CHC thâm nhiễm với rò động mạch- cửa
Xơ gan nốt nhỏ Xơ gan nốt lớnXơ gan hỗn hợp
< 3mm
>3mm
Nốt tăng sinh
• 8 à 20 mm đường kính
• Ko tăng tín hiệu thì động mạch
• Ko bao giờ tăng tín hiệu T2
• Thường đồng âm T1 T2
• riches en Fer hypoT1 hypoT2
• It khi tăng T1 giảm T2
Nốt tân tạo lớn
IsoT1 IsoT2
HypoT1 HypoT2
Ko phải CHC nếu giau sắt
Nốt tân tạo lớn
tăngT1 giảm T2Nốt tân tạo lớn
Nốt loạn sản
• 20% gan ghép
độ thấp và độ cao
- Chuyển thành CHC (4 tháng)
- CHC khác trogn gan
tăngT1 tăngT2
Nguy cơ CHC++
Tiềm tàng?
có thể giàu sắt
6 tháng sau
« Nốt trong nốt »
Nốt CHC giữa một nốt dị sản
• nốt tăngT2 trong một nốt giảmT2
• có thể tăng tín hiệu khi tiêm Gadolinium
CHC nhỏ
< 2 cm đường kính
Vỏ
Tín hiệu thay
đổi
tăng T2
CHC nhỏ < 2 cm
Tăng sinh mạch đồng nhất và lan tỏa
• + WASHOUT thì cửa
• Đơn độc : 15% CHC nhỏ
Chẩn đoán phân biệt 2 à 8%
u mạch, shunts động tĩnh mạch, HNF...
CHC nhỏ
CHC > 2 cmMNR
Tổn thương loạn sản
Tăng tín hiệu T2
100% u
> 3 cm
phân biệt
tăngT2
Ebara Radiology 99
Tăng đồng nhât
washout
Vỏ xần
xùi
CHC nhỏ
CHC > 2 cm
MNR
Loạn sản
Cấp máu kiểu động mạch
CHC
> 5 cm
phân biệt
Tổn thương ko đ
Thâm nhiễm
CHC nhỏ
CHC > 2 cmMNR
Loạn sản
Tăng tín hiệu T1
?
phân biệt với CHC
đồng hay tăng T1
đồng hay giảm T2
Nốt tăng T1
MNR
Loạn sản
CHC
• Tổ chức chứa nhiều mỡ và đồng
• Tăng giữ kẽm trong tổ chức cạnh tổn thương
• Tăng sinh mạch ? Bù trừ +++
Ebara Radiology 99
42 /58 MNR détectés
7/9 MN dysplasiques
25/29 CHC
Hopital CROIX ROUSSE
Xóa nền
T1
GADO
T2
Tiên lượng
• Kích thước
• Xâm lấn mạch máu+++
• Tổn thương ngoài gan (hạch +++)
• Nồng độ AFP
• Giai đoạn xơ gan (điều trị)
• Thang Milan/ghép gan :
- 1 nốt < 5 cm
- 3 nốt < 3 cm
Theo dõi tổng quat 5 năm: 0 à 80 % (tái phát 5 đến 20%)
Lâm sàng
Đđ hình ảnh học giá trị nhât chẩn đoán CHC
là bắt thuốc thì động mạch và rửa thuốc thì
tĩnh mạch cửa
•59% patients CT = Peterson Radiology 2000
•77% patients IRM =Krinsky Radiology 1999
Nhạy trong chẩn đoán CHC
Lâm sàng
• IRM
– Nhạy nhât?
– Đặc hiệu nhất
• IRM sớm
– Phat hiện và đánh giá sớm CHC
– Trước khi phẫu thuật bỏ di căn
– Trong bilan trước mổ hệ thống mật-tụy
• CHC : IRM ++
di căn: CLVT hay dùng hơn MRI

Irm hepatique hanoi 2014 dich

  • 1.
    IRM du FOIE PrFrank Boudghene Hopital Tenon Université Paris 6
  • 2.
    Protocole chụp IRMgan 1. Séquence FSE T2 Fat-Sat synchronisée 2. diffusion b0-400-800 3. T2* 4. EG T1 en apnée double écho de phase (graisse) 5. EG T1 Fat-Sat có tiêm Gado 2D ou 3D 6. Cholangio IRM hyper T2 (Haste ou SSFSE)
  • 3.
    Fondamentaux • Lát cắttừ 5 mm > 8 mm voire 2,5 mm • Chụp có tiêm thuốc Gadolinium • Xung xóa mỡ
  • 4.
    Nước Mỡ Các phương phápxóa mỡ • FAT-SAT • IN/OUT of PHASE • STIR
  • 5.
    in et outphase • Giảm các nhiễu ảnh • Tăng độ tương phản • Mô tả đặc điểm của tổn thương chứa mỡ 1T 6,8 ms 3,4 ms 1,5T 4,5 ms 2,2 ms
  • 6.
    Nhiễu ảnh vàcách xử lý Cử động hô hấp  Đồng bộ nhịp thở  Xóa mỡ Nhịp đập mạch máu  Bão hòa  Xung nhanh True-FISP Nhu động ống tiêu hóa  Xung nhanh(HASTE, True-FISP)  Thuốc tương phản Cảm ứng từ của khí và mô  Uống nước lấp đầy ống tiêu hóa  Sử dụng xung HASTE và TE court
  • 7.
    Lựa chọn • Chụphướng Coronales • Xung True FISP • Xung STIR kết hợp nín thở • Cholangio-IRM (3D) • xung 3D-VIBE sau Teslascan : Cholangio 3D pré-op
  • 8.
    Tương phản Ngoài tếbào Gan đường mật Tế bào Kupffer Mạch máu Chất cận từ T1 Chất cận từ T2 Trắng Gd-DTPA, Gd-DOTA, Gd-DTPA-BMA, Gd-HP-DO3A Gd-EOB-DTPA, Gd-BOPTA, Mn-DPDP Albumine-Gd-DTPA, Dextran-Gd-DTPA, Polylysine-Gd-DTPA Tối SPIO, USPIO, MION Tương phản IRM
  • 9.
    Gadolinium Không đặc hiệu Đặchiệu gan mật khác Gd-DOTA Dotarem® Gd-DTPA Magnevist® Gd-DTPA-BMA Omniscan® Gd-HP DO3A Prohance® Gd-DTPA-BMEA Optimark® Gadobutrol Gadovist® Mangafodipir Teslascan® Gd-BOPTA Multihance® Ferumoxide Endorem® Ferucarbotran Resovist® Ferumoxtran Sinerem® (lymphographie) Macromolécules (imagerie vasculaire, de la perméabilité)
  • 10.
    Chất đối từIRM Mạch Gadolinium non spécifique CAPTURE Endorem, Teslascan Dộng mạch Tĩnh mạch cửa Nhu mô Gan, đường mật, tế bào. Kupffer Dặc điểm nhận biết Dặc điểm nhận biết Dặc điểm nhận biết Phát hiện di căn Hình đường mật Multihance
  • 11.
    Chélates de Gadolinium: 0,1 mmol / kg = 0,2 ml / kg • Tiêm kép: liều bolus 20ml Teslascan ® : 5 µmol Mn / kg = 0,5 ml / kg • Truyền tĩnh mạch chậm 50 ml trong 20 phút • Truyền nhanh «Phát hiện những tổn thương gan đã biết hoặc nghi ngờ ung thư» Multihance ® : 0,05 mmol/ kg = 0,1 ml / kg • Tiêm liều kép (Bolus) • Phản ứng di ứng «phát hiện những tổn thương đã biết hoặc nghi ngờ ung thư» Chỉ định và liều lượng
  • 12.
    Synthèse: lésions hépatiques T1T2 Gado Divers U máu Giảm tăng E2 Tăng muộn Di căn Giảm tăng tăng CHC Giảm tăng Tăng sớm Nhiễm mỡ tăng Đồng Đồng Fat-Sat nang Giảm tăng Giảm Máu tụ tăng tăng Đồng Tuổi
  • 13.
    Đặc điểm tổnthương gan và di căn • IRM + Gado = Dotarem ® , Magnevist ® • Multihance ® ou Teslascan ® ? Phát hiện HCC • phase vasculaire = Dotarem ® , Magnevist ® • phase capture = Multihance ® ,Teslascan ® ? Thực hành
  • 14.
    Các tổn thươngdạng nốt ở gan Bệnh cảnh lâm sàng • Ưng thư nguyên phát ngoài gan • Bệnh gan mãn tính • Phát hiện tình cờ
  • 15.
    U nguyên pháttại gan u (incidence) Lành tính Ac tính Biểu bì U tuyến (1/1000 à 1/10 000) Nang tuyến CHC (1/1000) (1/100 si hépatopathie) Ung thư biểu mô đường mật Không phải biểu bì U máu (1/10) Sarcome « giả u » nang (1/10) tăng sản thể nốt khu trú (1/100) u mờ thừa
  • 16.
    Các tổn thươngphát hiện tình cờ nang U máu Tăng sản thể nốt kh Nhiễm mỡ khu trú Di căn CHC U tuyến
  • 17.
    Các tổn thươnggan phát hiện tình cờ nang U máu HNF Nhiễm mỡ khu trú Di căn CHC adénome Ác tính U lành
  • 18.
    U máu HNF Métas CHC adénome Uác U lành U đặc của gan trên siêu âm U máu không điển hình Métas Nhiễm mỡ khu trú Nhiễm mỡ không điển hình
  • 19.
    HNF CHC adénome U ácU lành Umáu không điển hình Nhiễm mỡ không điển hình Di căn Nghi ngờ trên siêu âm
  • 20.
    U máu -IRM độ nhạy độ đặc hiệu * xung T2 * xung T1 có tiêm Gado > 95%
  • 21.
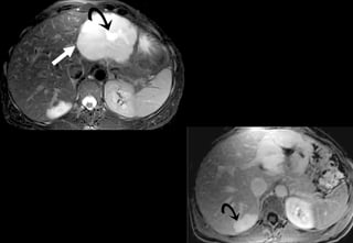
    U máu gan Ulành tính thương gặp -Kích thước < 4 cm trong 80% trường hợp -Không triệu chứng Giảm tín hiệu T1 Tăng tín hiệu T2 Ngấm thuốc sau tiêm -Ngấm thuốc chấm nốt ở ngoại vi -Ngấm dần vào trung tâm Giữ thuốc ở thì muộn(15 phút)
  • 23.
    Tổn thương tăngtín hiệu trên T2 - nang -Di căn giàu mạch -Nội tiết, thận, melanoma ... - U nguyên phát giàu mạch • CHC, u bieu mô đường mật U máu - IRM chẩn đoán phân biệt
  • 24.
    • U máutrên nền gan nhiễm mỡ • U máu tăng sinh mạch • u máu tái phát(myxoïde) • U máu xơ U máu không điển hình trên IRM
  • 25.
    Nhiễm mỡ khutrú độ nhạy độ đặc hiệu > 95% In-phase Out-phase
  • 26.
    Tăng sản thểnốt khu trú • Tỷ lệ 1/100 • 12 nữ / 1 nam • Không triệu chứng • Không có nguy cơ chảy máu • Không chuyển dạng ác tính
  • 27.
    • U đồngnhất • Sẹo xơ trung tâm • Không có vỏ Tăng sản thể nốt khu trú
  • 28.
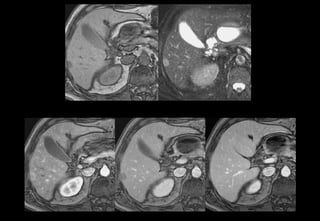
    - Những tếbào gan bình thường, bên trong có vách xơ - Tăng sinh đường mật trong các vách xơ - Thâm nhiễm viêm tối thiểu HNF
  • 29.
    • T1 – Đồng-hoặc giảm- – Sẹo xơ +/- Tăng sản thể nốt khu trú
  • 30.
    • T2 – Tănghoặc đồng – Sẹo xơ tăng tín hiệu Hyperplasie Nodulaire Focale
  • 31.
    T1 + cótiêm Gadolinium • Thì sớm –Tăng sinh mạch –Sớm, –Đồng nhất Tăng sản thể nốt khu trú
  • 32.
    T1 + cótiêm Gadolinium • Thì muộn – Ngấm thuốc sẹo xơ – Không có vỏ Tăng sản thể nốt khu trú
  • 33.
    1- đồng nhất 2-tăng hoặc đồng tín hiệu trên T2 3- sẹo xơ tăng tín hiệu T2 4- ngấm thuốc sớm 5- sẹo xơ ngấm thuốc thì muộn 6- không có vỏ Tiêu chuẩn HNF trên MRI
  • 34.
    độ nhạy =75% độ đặc hiệu = 100% HNF - IRM đặc điểm Mathieu et al. Gastroenterology 2000 Mar;118(3):560-4
  • 35.
    HNF không điểnhình • Nhiều khối • Không có sẹo xơ hoặc sẹo xơ không điển hình • Kích thước nhỏ(< 2 cm) • Không đồng nhất ! U gan khác: – Adénome – CHC
  • 39.
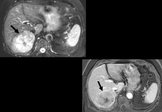
    • Không đồngnhất và có vỏ • Tỷ lệ 3/10 000 • 3 nữ / 1 nam • Có triệu chứng • Thuốc tránh thai đường uống U tuyến
  • 40.
    Mô bệnh học -Tăngsinh tế bào gan bình thường và tế bào mỡ -Không tăng sinh đường mật -Không có xơ •Nguy cơ chảy máu •Chuyển dạng ác tính Adénome
  • 41.
    Adénome - IRM •T1 – Không đồng nhất – Giảm -T1 • tăng-T1 : 50% trường hợp – Nhiễm mỡ, chảy máu, hoại tử…
  • 42.
    • T2 –Không đồngnhất Adénome - IRM
  • 43.
    Adénome - IRM T1+ có tiêm Gadolinium • Thì sớm – Ngấm thuốc mạnh – Không đồng nhất • Thì muộn – Có vỏ ++ – Ngấm không đồng nhất
  • 44.
  • 45.
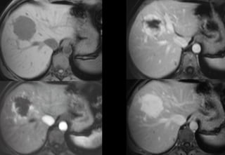
    Adénome - IRM chẩnđoán phân biệt HNF không điển hình HCC CHC xơ
  • 46.
    HNF Adénome *liên quanvới thuốc tránh thai *lâm sàng *Complications Hình ảnh Xử trí Ko Ko triệu chứng(90%) Ko Giới hạn rõ, chia thùy Thành phần xơ « sẹo » Tưới máu kiểu động mạch Đồng âm ko hoại tử ko chảy máu. Theo dõi có đau (70%) có (tăng lên khj có thai hay dùng thuốc tránh thai) Tưới máu kiểu tĩnh mạch trong u Ko đồng nhất ( chảy máu) Có vỏ. Dừng thuốc tránh thai, phẫu thuật
  • 47.
    HNF CHC adénome ácU lành Di căn Nghingờ trên Siêu âm HNF CHC adénome U máu ko điển hình Thoái hóa mỡ ko đh Di căn Trên siêu âm Trên MRI Thoáihóamỡ U máu
  • 48.
    HNF CHC adénome Di căn Thoáihóam U máu Tổn thươngko đánh giá được trên IRM Sinh thiết qua da hay qua phẫu thuật
  • 49.
    Phát hiện tìnhcờ tổn thương ở gan Scanner đa dãy Ko đặc hiệu trên SA IRM T2 + dynamique tiêm gado Phát hiện 50 % 50%
  • 50.
    • Ko quênđặc điểm siêu âm kết hợp lâm sàng • IRM (T2 và gado dynamique) là kỹ thuật tốt nhất chẩn đoán tổn thương phát hiện tình cờ tại gan. • Sinh thiết Lâm sàng
  • 51.
    Phát hiện dicăn • U ác tính hay gặp di căn nhất tại gan • Kỹ thuật - Ko tương phản T2 và T1 trong pha và đối pha. - Hình ảnh sau tiêm chất tương phản thì đm, tm, muộn. • Dạng điển hình: - Giảm tín hiệu T1 - Tăng tín hiệu ko đồng âm T2
  • 52.
    Đặc điểm dicăn • Di căn dạng nang – K biểu mô tuyến dạng nang – carcinoide – mélanomes và sarcomes • Di căn giàu mạch – U nội tiết và carcinoides – U thận – U giáp • U calxi hóa – U đại tràng và gan – Sarcome xương
  • 54.
    Chất tương phảnđặc hiệu • Thế hệ 1 : ferrites et Mn-DPDP : -> tăng khả năng phat hiện ở thi muộn
  • 55.
    • Thế hệ2 : Gd-BOPTA và Gd-EOB-DTPA dẫn chất của « lipophiles » của Gd-DTPA : -> tăng khả năng phat hiện ở thi muộn -> và nổi bật đặc điểm ở thì sớm.
  • 56.
    CHC • Là bệnh –Hay gặp và nặng – Trên gan xơ – Phát hiện; sa, clvt, IRM
  • 57.
  • 58.
    CT / IRM •CĐ xác định: - giàu mạch - Wash out - vỏ / mỡ / tăng tín hiệu T2 diffusion • Tien lượng - số lượng và kích thước nốt - huyết khối tm cửa - di căn ngoài gan • Xơ gan và tăng áp lực TMC • Chuẩn bị trước điều trị - thân tạng / thay đổi giải phẫu mạch / định vị
  • 59.
  • 60.
    Phát hiện CHC •Kỹ thuật – Ko cản quang T1 et T2 – Pha và đối pha+ diffusion – Hình ảnh 2D hay 3D sau Gadolinum thì động mạch, cửa và muộn
  • 61.
    Quan trọng củathì tiêm thuốc – Phát hiện CHC nhỏ – pbiet CHC và loạn sản nốt hay thoái hóa •Chất tương phản đặc hiệu : sử dụng ko bắt buộc •CLVT : nhạy thấp hơn l’IRM
  • 62.
    Nhạy của IRM •Độ nhạy còn thấp để phát hiện – CHC nhỏ Khuyến cáo của hội Association for the Study of the Liver. J Hepatol 2001;35:421-430 – CHC giảm sinh mạch và thâm nhiễm.
  • 63.
    Đặc hiệu IRM •Tổn thương lành tính giống CHC – U lành : (HFN, adenomes) – Vùng hợp lưu nhiều sợi xơ – Thông động tĩnh mạch – Tưới máu ko đồng đều
  • 64.
    CHC và tướimáu ko đồng đều CHC thâm nhiễm với rò động mạch- cửa
  • 65.
    Xơ gan nốtnhỏ Xơ gan nốt lớnXơ gan hỗn hợp < 3mm >3mm Nốt tăng sinh
  • 66.
    • 8 à20 mm đường kính • Ko tăng tín hiệu thì động mạch • Ko bao giờ tăng tín hiệu T2 • Thường đồng âm T1 T2 • riches en Fer hypoT1 hypoT2 • It khi tăng T1 giảm T2 Nốt tân tạo lớn
  • 67.
  • 68.
    HypoT1 HypoT2 Ko phảiCHC nếu giau sắt Nốt tân tạo lớn
  • 69.
    tăngT1 giảm T2Nốttân tạo lớn
  • 70.
    Nốt loạn sản •20% gan ghép độ thấp và độ cao - Chuyển thành CHC (4 tháng) - CHC khác trogn gan tăngT1 tăngT2 Nguy cơ CHC++ Tiềm tàng? có thể giàu sắt
  • 71.
  • 72.
    « Nốt trongnốt » Nốt CHC giữa một nốt dị sản • nốt tăngT2 trong một nốt giảmT2 • có thể tăng tín hiệu khi tiêm Gadolinium
  • 73.
    CHC nhỏ < 2cm đường kính Vỏ Tín hiệu thay đổi tăng T2
  • 74.
    CHC nhỏ <2 cm Tăng sinh mạch đồng nhất và lan tỏa • + WASHOUT thì cửa • Đơn độc : 15% CHC nhỏ Chẩn đoán phân biệt 2 à 8% u mạch, shunts động tĩnh mạch, HNF...
  • 75.
    CHC nhỏ CHC >2 cmMNR Tổn thương loạn sản Tăng tín hiệu T2 100% u > 3 cm phân biệt tăngT2 Ebara Radiology 99
  • 76.
    Tăng đồng nhât washout Vỏxần xùi CHC nhỏ CHC > 2 cm MNR Loạn sản Cấp máu kiểu động mạch CHC > 5 cm phân biệt Tổn thương ko đ Thâm nhiễm
  • 77.
    CHC nhỏ CHC >2 cmMNR Loạn sản Tăng tín hiệu T1 ? phân biệt với CHC đồng hay tăng T1 đồng hay giảm T2
  • 78.
    Nốt tăng T1 MNR Loạnsản CHC • Tổ chức chứa nhiều mỡ và đồng • Tăng giữ kẽm trong tổ chức cạnh tổn thương • Tăng sinh mạch ? Bù trừ +++ Ebara Radiology 99 42 /58 MNR détectés 7/9 MN dysplasiques 25/29 CHC Hopital CROIX ROUSSE
  • 79.
  • 80.
    Tiên lượng • Kíchthước • Xâm lấn mạch máu+++ • Tổn thương ngoài gan (hạch +++) • Nồng độ AFP • Giai đoạn xơ gan (điều trị) • Thang Milan/ghép gan : - 1 nốt < 5 cm - 3 nốt < 3 cm Theo dõi tổng quat 5 năm: 0 à 80 % (tái phát 5 đến 20%)
  • 81.
    Lâm sàng Đđ hìnhảnh học giá trị nhât chẩn đoán CHC là bắt thuốc thì động mạch và rửa thuốc thì tĩnh mạch cửa •59% patients CT = Peterson Radiology 2000 •77% patients IRM =Krinsky Radiology 1999 Nhạy trong chẩn đoán CHC
  • 82.
    Lâm sàng • IRM –Nhạy nhât? – Đặc hiệu nhất • IRM sớm – Phat hiện và đánh giá sớm CHC – Trước khi phẫu thuật bỏ di căn – Trong bilan trước mổ hệ thống mật-tụy • CHC : IRM ++ di căn: CLVT hay dùng hơn MRI