B nh lý kh i u th nệ ố ậ
và h ni uệ ệ
K thu tỹ ậ
 Ch p B ng – Ch u, kh o sát trên MPRụ ụ ậ ả
 Không tiêm thu c : tìm s i, vôi ( nhu mô, u)ố ỏ
 Thu c c n quang iode 100cc, 2ml/giâyố ả
 Thì đ ng m ch (25-45 “): kha sát m ch máu,ộ ạ ỏ ạ
( vài kh i u b t thu c m nh thì này)ố ắ ố ạ ở
 Thì tĩnh m ch (80-120”): kh o sát tính ch t c aạ ả ấ ủ
kh i uố
 Thì tr (bài ti t): kh o sát ni u qu n, bàngễ ế ả ệ ả
quang
Các u lành
tính
• Angiomyolipome renal
(renal angiomyolipoma)
• Kyst multiloculaire renal
( renal multilocular cystic)
• Kyst renal
( renal cyst)
• Oncocytome renal
(renal oncocytoma)
Các u ác tính
• Carcinome renal
(renal carcinoma)
• Carcinome renal medullaire)
(renal medullary carcinoma)
• Carcinome vesicale
(urinary bladder carcinoma)
• Lymphome renal
(renal lymphoma)
• Metastases renales
(renal metastases)
Angiomyolipome
(angiomyolipoma)
 U lành tính, thành ph n m ,c tr n và m ch máuầ ỡ ơ ơ ạ
 Đ n đ c 80%.M/F : ¼, tu i : 40 (25-70)ơ ộ ổ
 Kích th c : 1cm - 10cmướ
 U nh : không tri u ch ngỏ ệ ứ
 U l n (>4cm) => xu t huy t (50%)ớ ấ ế
MSCT
 T n th ng gi i h n rõổ ươ ớ ạ
 Thành ph n mầ ỡ ( -100UH) +++
 hi m khi xâm l n vào TM th n, TM ch d i,ế ấ ậ ủ ướ
h chạ
 B t thu c c n quang m nh ,không đ ngắ ố ả ạ ồ
nh t(c a thành ph n m ch máu và c )ấ ủ ầ ạ ơ
 Phình đ ng m ch trong th n (+) !ộ ạ ậ
Siêu âm
 T n th ng echo d y, đ ng d ng, b vi n rõổ ươ ầ ồ ạ ờ ề
Có th c u trúc echo d y, không đ ng d ngể ấ ầ ồ ạ
(ít) nh ng không bao gi có vôi,nang bênư ờ
trong
SA : nốt echo dầy /nhu mô
(so sánh với xoang thận)
CT: thành phần mỡ cùa tổn thương
Một tt echo dầy / SA không phải luôn luôn
Là ANGIOMYOLIPOME
Cần phải làm CT KHÔNG TIÊM THUỐC để đo mật độ UH
Trước tất cả các khối u echo dầy /SA
(IV-) ; đậm độ MỠ (-20 UH)
Không có đóng vôi
AML
Ch n đoán phân bi tẩ ệ
 Carcinome renal có thành ph n m , nh ngầ ỡ ư
đ UH c a tt này ít h nộ ủ ơ
 Liposarcome sau phúc m c : khó , c n IRMạ ầ
Tổn thương có đậm độ mỡ mà có đóng vôi
=> Cần phẫu thuật để loại trừ carcinome
Kyste multiloculaire
(multilocular cyst)
 Ng i l n : kyste multiloculaireườ ớ
 Tr em : nephrome kystiqueẻ
 U lành , hi m. M t bên th n, nhi uế ộ ậ ề
vách/nang
 Các vách này không thông v i các b th nớ ể ậ
 Nang có vách rõ. Ch mô th n th n chungủ ậ ậ
quanh bình th ngườ
 Th ng c c d i . Kích th c : 10cmườ ở ự ướ ướ
 M/F : 1/7
 Đau hông +/- s th y u bên hôngờ ấ
 Ti u máu, nhi m trùng ti uể ễ ể
 N c ti u : h ng c u, b ch c u ++ướ ể ồ ầ ạ ầ
MSCT
 T n th ng ch mô th n d ng đa nangổ ươ ở ủ ậ ạ
 Hình c đi n “ t ong”ổ ể ổ
 Kích th c # 10cmướ
 B vi n rõ nét, có v bao bên ngoài d yờ ề ỏ ầ
 Bên trong nhi u vách,ề
 Đóng vôi vách hay vi n v bao ngoàiở ở ề ỏ
 B t thu c c n quang các vách ++ắ ố ả
Siêu âm
 T n th ng d ng “ đa nang” nhi u vách echoổ ươ ạ ề
d y, và b vi n v bao d yầ ờ ề ỏ ầ
Ch n đoán phân bi tẩ ệ
 B nh lý Th n đa nang (polykystose renale)ệ ậ
lan chi m toàn b th nế ộ ậ
 Nang th n ,nang v th n,nang c nh b th n:ậ ỏ ậ ạ ể ậ
không có vách, không có bao
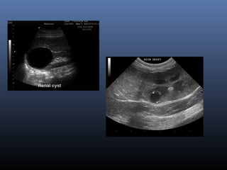
Kyste renal
(renal cyst)
 U lành tính, ch a đ n thu n là d chứ ơ ầ ị
 R t th ng g pấ ườ ặ
 V trí: v th n, c nh b th nị ỏ ậ ạ ể ậ
 Tu i 50 ( ít khi g p <30), M > Fổ ặ
 Bi n ch ng : xu t huy t trong nang,nhi m trùng,ế ứ ấ ế ễ
vỡ
 Không có tri u ch ngệ ứ
 Khi nang to => s th y u.ờ ấ
 Nang xu t huy t : đauấ ế
 Nang nhi m trùng : s tễ ố
MSCT
 Sang th ng d ng nang d ch, v i đđ UHươ ạ ị ớ
=10
 V trí: v th n, c nh b th nị ỏ ậ ạ ể ậ
 Th ng có c hai bên th nườ ở ả ậ
 Nang cũ : đóng vôi vách
 Khi nang bi n ch ng : thành ph n d ch trongế ứ ầ ị
nang không thu n nh tầ ấ
 Nang xu t huy t : d ch tăng đ m đ (60 UH)ấ ế ị ậ ộ
 B t thu c c n quang nh váchắ ố ả ẹ ở
 Phân tích hình nh c a các vách: d y, m ng,ả ủ ầ ỏ
m t/nhi uộ ề
 Các n t vách +/-ố ở
 Phân lo i c a BOSNIAK :ạ ủ
Type III, IV (+) t n th ng th phát t i gan,ổ ươ ứ ạ
ph i => nang chuy n sang ác tínhổ ể
Siêu âm
 T n th ng tròn , echo tr ng đ ng nh t, vổ ươ ố ồ ấ ỏ
r t m ngấ ỏ
 V trí: v , c nh bê th nị ỏ ạ ậ
 Nhi m trùng, xu t huy t=> d ch bên trong sễ ấ ế ị ẽ
không còn đ ng nh t và tăng nhồ ấ ẹ
 Chuy n ác tính : vách d y, n t ++, vôi +ể ầ ố
 => phân lo i Bosniakạ
Nang xuất huyết
Nang xuất huyết nhiễm trùng
Bệnh lý thận đa nang (polykystose renale)
Phân lo i BosniakạType I Nang đ n thu nơ ầ :
Đ m đ d ch(-10-20 UH), đ ng d ng,gh rõ, không th y v ,không b tậ ộ ị ồ ạ ấ ỏ ắ
thu c c n quangố ả
=> Lành tính, không c n theo dõiầ
Type II Nang không đi n hìnhể :
vài vách m ng, vài đ m vôi v , đ m đ d ch cao(> 50UH)ỏ ố ở ỏ ậ ộ ị
Không b t thu c c n quang (<10UH)ắ ố ả
=> Lành tính , không c n theo dõiầ
Type II F (follow-up) Nang không đi n hình nhi uể ề
=> C n theo dõiầ
Type III Nang nghi ng :ờ
Nhi u vách d y+/hay thành nang d y, gi i h n không đ uề ầ ầ ớ ạ ề
Các vôi d y +/hay không đ u, đ m đ d ch cao (>20UH)ầ ề ậ ộ ị
Thành và vách b t thu c c n quangắ ố ả
+> ph u thu t sinh thi tẫ ậ ế
Type IV Ung th u th n (d ng nang)ư ậ ạ
Thành nang d y, không đ u -Có ch i, sùi , các n tầ ề ồ ố
Vách nang và các ch i, n t b t thu c c n quang (>50UH)ồ ố ắ ố ả
=> Ph u thu t c t th nẫ ậ ắ ậ
Phân lo i c a Bosniakạ ủ
Không có vách
Bắt thuốc kém < 10UH
Không có vách
Đậm độ dịch
Bắt thuốc kém < 10UH
Không có vách
Đậm độ dịch
Bắt thuốc kém < 10UH
Type II
Vách mỏng
Đậm độ hơi cao
vôi +/-
Không có vách
Đậm độ dịch
Bắt thuốc kém < 10UH
Type II
Vách mỏng
Đậm độ hơi cao
vôi +/-
Không có vách
Đậm độ dịch
Bắt thuốc kém < 10UH
Type II
Vách mỏng
Đậm độ hơi cao
vôi +/-
Nang xuất huyết
Type IIF
Nhiều vách mỏng(>2)
Thành rất mỏng
Bắt thuốc kém
Vôi(+)
Type IIF
Nhiều vách mỏng(>2)
Thành rất mỏng
Bắt thuốc kém
Vôi(+)
Type III
Type III
Type IV
Ch n đoán phân bi tẩ ệ
 Carcinome th n t bào sángậ ế : lo i u m t đạ ậ ộ
mô , đôi khi có ho i t trung tâm nh ngạ ử ư
không bao gi ch d chờ ứ ị
 Abces th nậ : v bao ngoài d y ++, b t thu cỏ ầ ắ ố
quang vi n m nh + lâm sàngề ạ
 Di căn : hi m, nh ng đôi khi bi u hi n =ế ư ể ệ
nh ng t n th ng gi m đ m đữ ổ ươ ả ậ ộ
 => siêu âm +/-IRM
Oncocytome
(oncocytoma)
 U lành , 5% / bl u th nậ
 Tu i 65 , M/F : 2/1ổ
 Kích th c : 7cmướ
 Th ng ch có m t, trung tâm : s o xườ ỉ ộ ẹ ơ
 Hoàn toàn không có tri u ch ngệ ứ
MSCT
 T n th ng d ng U , kích th c > 5cmổ ươ ạ ướ
 Có v bao rõ nétỏ
 S o x trung tâm ++ (30%)ẹ ơ
 B t thu c m nh và đi n hìnhtheo ki uắ ố ạ ể ể
h ng tâm v i hình nh “ căm xe”(>80%)ướ ớ ả
 Đ ng đ m đ ( so v i nhu mô th n) thì tĩnhồ ậ ộ ớ ậ ở
m chạ
Siêu âm
 T n th ng d ng u đ c , echo d y……ổ ươ ạ ặ ầ
Tổn thương giảm đậm độ, chủ mô chung quanh: đồng dạng
sẹo xơ hình sao vùng trung tâm
Không có xuất huyết, vôi
Tổn thương giảm đậm độ, chủ mô chung quanh: đồng dạng
sẹo xơ hình sao vùng trung tâm
Không có xuất huyết, vôi
!!! : carcinome có sẹo hoại tử
=> Chú ý sự xâm lấn của khối u
Các kh i u ác tínhố
 Carcinome renal
(renal carcinoma)
 Carcinome renal medullaire
(renal medullary carcinoma)
 Carcinome vesicale
(urinary bladder carcinoma)
 Lymphome renal
(renal lymphoma)
 Metastases renales
(renal metastases)
Carcinome
(carcinoma)
• Carcinome renal = ADK renal: u ác tính th ng g pườ ặ
- 2% trong các bl ung th –ư
• tu i : 50- 70 . M/F : 2/1ổ
• Kích th c : 3cmướ
• Yt nguy c : thu c lá,ch y th n nhân t o (2%) vàơ ố ạ ậ ạ
nhi m đ c m s hóa ch tễ ộ ộ ố ấ
• V trí: vùng v ,ị ỏ
• S l ng : đ n đ c, gi i h n rõ, không có v baoố ươ ơ ộ ớ ạ ỏ
.nhi u t n th ng 4%ề ổ ươ
 Tri u ch ng th ng g p :ệ ứ ườ ặ
ti u máu đ i th (60%). Đau hông l ngể ạ ể ư
(40%). Kh i u(40%)ố
 S t nh , s t cân,ố ẹ ụ
 Thi u máu, tăng calci máuế
 30% phát hi n tình cệ ờ
MSCT
• T n th ng gi i h n rõ, có v bao, c u trúcổ ươ ớ ạ ỏ ấ
không đ ng d ng n u d> 3cmồ ạ ế
• Vôi (+) 10-30%
• Thâm nhi m l p m quanh th nễ ớ ỡ ậ
• B t thu c c n quang m nh, không đ ng nh tắ ố ả ạ ồ ấ
thì đ ng m chở ộ ạ
• Bilan: xâm l n c a kh i u vào tĩnh m ch th nấ ủ ố ạ ậ
(25%), tĩnh m ch ch d i (5%)- h ch khu v cạ ủ ướ ạ ự
(35%)- di căn Gan (35%),ph i (55%0,x ng (30%),ổ ươ
tuy n th ng th n (10%), th n đ i bênế ượ ậ ậ ố
(10%),não(5%)
Khối u lớn, không đồng dạng, hoại tử trung tâm,
bờ viền vỏ bao rõ
Khối u lớn, không đồng dạng, hoại tử trung tâm, bờ viền vỏ bao rõ
U xâm lấn vào TM Thận và TM chủ dưới
Siêu âm
 Là pp t t đ kh o sát u >2cmố ể ả
 Tt echo d y(u đ c), không đ ng d ng(so v iầ ặ ồ ạ ớ
ch mô th n)ủ ậ
 B vi n th n thay đ i, có m t vi n echoờ ề ậ ổ ộ ề
tr ng quanh th n# gi baoố ậ ả
 Doppler: kh o sát s xâm l n vào các m chả ự ấ ạ
máu th n, TM ch d iậ ủ ướ
Carcinome renal medullaire
(renal medullary carcinoma)
 U ác tính, xu t phát t các t bào bi u mô đàiấ ừ ế ể
th n. Phát tri n nhanh.ậ ễ
 Hi m :1%/ u th n. Da đenế ậ
 Tu i : tr 20 . M/F : 3/1ổ ẻ
 Ti u máu đ i th , đau hông l ng , s ch m uể ạ ể ư ờ ạ
MSCT
 U có gi i h n không rõ nét, có nh ng vùngớ ạ ữ
ho i tạ ử
 Lan r ng và xâm l n t i b th nộ ấ ớ ể ậ
 Th n to nh ng không b thay đ i b vi nậ ư ị ổ ờ ề
 B t thu c c n quang không đ ng nh tắ ố ả ồ ấ
 Bilan : xâm l n vào TM, h ch,ho c di căn xaấ ạ ặ
(gan, ph i)ổ
Siêu âm
 Khó xác đ nh tính ch tị ấ
 Th n to, xâm l n h m ch máu (+)ậ ấ ệ ạ
Carcinome vesical
(urinary bladder
carcinoma)• U ác tính ,phat tri n t t niêm m c bàng quangễ ừ ế ạ
• Th ng g p: hàng 4 /nam và hàng 10 /nườ ặ ữ
• Yt nguy c : thu c lá ( x 3 l n )ơ ố ầ
• Tu i trung bình 50-70 . M/F : 3/1ổ
• D ng u sùiạ > d ng thâm nhi mạ ễ
• K t h p v i u ni u qu n +ế ợ ớ ệ ả
• Ti u máu đ i th , không đauể ạ ể
MSCT
 T n th ng m t đ mô có cu ng ho cổ ươ ậ ộ ố ặ
đáy ph ng nhô vào lòng bàng quang (85%)ẳ
 Thành bàng quang d y khu trúầ
 V trí th ng bênị ườ ở
 B t thu c c n quang trung bìnhắ ố ả
 Bilan: tìm xem có thêm t n th ng u nhúổ ươ ở
ni u qu n ?, h ch, di căn xa ( x ng)ệ ả ạ ươ
Siêu âm
 Thành bàng quang d y khu trú + t n th ngầ ổ ươ
nhô vào trong lòng ( có cu ng +/-), th y rõ khiố ấ
bàng quang nhi u n cề ướ
Ch n đoán phân bi tẩ ệ
Các kh i u t ngoài l n vào bàng quang:ố ừ ấ
 U tr c tràng, đ i tràng sigmaự ạ
 U bu ng tr ng , t cungồ ứ ử
 => c n kh o sát trên 3 m t c t (MPR)ầ ả ặ ắ
 Viêm bàng quang mãn tính
 Máu c c trong bàng quang => tính ch tụ ấ
di đ ng c a t n th ng /siêu âm, và ttộ ủ ổ ươ
không b t thu c c n quang /CTắ ố ả
Lymphome
(lymphoma)
 U ác tính phát tri n t các tb lymphocyteễ ừ
 Lymphome th n / bl lymphome Non Hodgkinậ
(LMNH) 60%
 Lymphome th n/ lymphome h ch : 10-50%ậ ạ
 Lymphome th n hai bên : 40-60%ậ
 Tu i : tùy vào lo i lymphomeổ ạ
 M/F : không
 Yt nguy c : c đ a gi m mi n d chơ ơ ị ả ễ ị
 Không có bi u hi n tri u ch ng > 50%ể ệ ệ ứ
 S ít : s t cân, thi u máu, ti u máu, đau hôngố ụ ế ể
l ng, s th y u ..ư ờ ấ
MSCT
Hai th :ể
Th nhi u n tể ề ố :
 T n th ng gi m đ m đ , đ ng d ng ( 20UH)ổ ươ ả ậ ộ ồ ạ
 C hai bên th n (40-60%)ả ậ
 B t thu c y u, ho c không b t thu cắ ố ế ặ ắ ố
MSCT
Th thâm nhi mể ễ :
 T n th ng lan chung quanh th nổ ươ ậ
 xâm l n vào xoang th nấ ậ
 Th ng có c hai bênườ ả
 Không b t thu c c n quang , ho c b t thu c kémắ ố ả ặ ắ ố
MSCT
Bilan:
 H ch r n th n, h ch vùng b ng-ch u,h chạ ố ậ ạ ụ ậ ạ
sau phúc m c (25%)ạ
 Lách to +
Siêu âm
 M t hay vài t n th ng echo kém khu trúộ ổ ươ ở
chu mô + h ch b ng, quanh r n th nạ ổ ụ ố ậ
 Lách to +
 Th xâm l n lan r ng :ể ấ ộ
khó xác đ nh => IRMị
Ch n đoán phân bi tẩ ệ
 Carcinome th n có ho i t trung tâm : m t ,ậ ạ ử ộ
b t thu c c n quang m nh, d>3cmắ ố ả ạ
 Angiomyolipome: có th làm bi n d ng bể ế ạ ờ
ngoài th n, nh ng d a vào thành ph n mậ ư ự ầ ỡ
c a tt (-100-200: : bh đ c tr ngủ ặ ư
Metastases
(metastases)
 Th ng g p, t n su t > 2 l n u th n ác tínhườ ặ ầ ấ ầ ậ
nguyên phát
 Hàng 5 sau: ph i, gan, x ng, tuy n th ngổ ươ ế ượ
 S l ng: nhi u, c hai bên, kích th c : nhố ượ ề ả ướ ỏ
 k nguyên phát : theo th t gi m d n:ứ ự ả ầ
K ph qu n ph i, k vú, k d dày, melanome, k th nế ả ổ ạ ậ
m t bênộ
 Các k nguyên phát ít cho di căn th n:ậ
đ i tràng, bu ng tr ng, t y, ti n li t tuy nạ ồ ứ ụ ề ệ ế
MSCT
 Nhi u t n th ng d ng n t, th ng c haiề ổ ươ ạ ố ườ ả
bên th n, v trí trong ch môậ ị ủ
 Ít khi gây bi n d ng b vi n c a th nế ạ ở ề ủ ậ
 m c đ b t thu c c n quang tùy theo uứ ộ ắ ố ả
nguyên phát
 Bilan : tìm u nguyên phát ( c khi đã bi t),ả ế
nh ng di căn n i khác : ph i, gan, x ng,ữ ơ ổ ươ
th ng th nượ ậ
Siêu âm
 Nhi u t n th ng d ng n t nh , đ h i âm (d yề ổ ươ ạ ố ỏ ộ ồ ầ
,kém) tùy vào u nguyên phát, th ng c haiườ ở ả
bên
 Không gây thay đ i b vi n th nổ ờ ề ậ
SCC metastasis to the kydney
“mass lesion in L kydney look likes a RCC
LK RCC
Ch n đoán phân bi tẩ ệ
 Carcinome : u đ n đ c, b t thu c c n quang,ơ ộ ắ ố ả
th ng làm bi n d ng b vi n th nườ ế ạ ở ề ậ
 Lymphome: th ng nhi u n t, xâm l n vàoườ ề ố ấ
xoang th n, nhu mô. – h ch +++_ và lách toậ ạ
U th n giậ ả
Siêu âm: đồng dạng với chủ mô- doppler: tín hiệu ,hình ành mm bình thường
CT : bắt thuốc = chủ mô thận qua tất cả các thì

U thận và hệ niệu

  • 1.
    B nh lýkh i u th nệ ố ậ và h ni uệ ệ
  • 2.
    K thu tỹậ  Ch p B ng – Ch u, kh o sát trên MPRụ ụ ậ ả  Không tiêm thu c : tìm s i, vôi ( nhu mô, u)ố ỏ  Thu c c n quang iode 100cc, 2ml/giâyố ả  Thì đ ng m ch (25-45 “): kha sát m ch máu,ộ ạ ỏ ạ ( vài kh i u b t thu c m nh thì này)ố ắ ố ạ ở  Thì tĩnh m ch (80-120”): kh o sát tính ch t c aạ ả ấ ủ kh i uố  Thì tr (bài ti t): kh o sát ni u qu n, bàngễ ế ả ệ ả quang
  • 3.
    Các u lành tính •Angiomyolipome renal (renal angiomyolipoma) • Kyst multiloculaire renal ( renal multilocular cystic) • Kyst renal ( renal cyst) • Oncocytome renal (renal oncocytoma)
  • 4.
    Các u áctính • Carcinome renal (renal carcinoma) • Carcinome renal medullaire) (renal medullary carcinoma) • Carcinome vesicale (urinary bladder carcinoma) • Lymphome renal (renal lymphoma) • Metastases renales (renal metastases)
  • 5.
    Angiomyolipome (angiomyolipoma)  U lànhtính, thành ph n m ,c tr n và m ch máuầ ỡ ơ ơ ạ  Đ n đ c 80%.M/F : ¼, tu i : 40 (25-70)ơ ộ ổ  Kích th c : 1cm - 10cmướ  U nh : không tri u ch ngỏ ệ ứ  U l n (>4cm) => xu t huy t (50%)ớ ấ ế
  • 6.
    MSCT  T nth ng gi i h n rõổ ươ ớ ạ  Thành ph n mầ ỡ ( -100UH) +++  hi m khi xâm l n vào TM th n, TM ch d i,ế ấ ậ ủ ướ h chạ  B t thu c c n quang m nh ,không đ ngắ ố ả ạ ồ nh t(c a thành ph n m ch máu và c )ấ ủ ầ ạ ơ  Phình đ ng m ch trong th n (+) !ộ ạ ậ
  • 7.
    Siêu âm  Tn th ng echo d y, đ ng d ng, b vi n rõổ ươ ầ ồ ạ ờ ề Có th c u trúc echo d y, không đ ng d ngể ấ ầ ồ ạ (ít) nh ng không bao gi có vôi,nang bênư ờ trong
  • 8.
    SA : nốtecho dầy /nhu mô (so sánh với xoang thận) CT: thành phần mỡ cùa tổn thương
  • 9.
    Một tt echodầy / SA không phải luôn luôn Là ANGIOMYOLIPOME Cần phải làm CT KHÔNG TIÊM THUỐC để đo mật độ UH Trước tất cả các khối u echo dầy /SA
  • 10.
    (IV-) ; đậmđộ MỠ (-20 UH) Không có đóng vôi AML
  • 11.
    Ch n đoánphân bi tẩ ệ  Carcinome renal có thành ph n m , nh ngầ ỡ ư đ UH c a tt này ít h nộ ủ ơ  Liposarcome sau phúc m c : khó , c n IRMạ ầ
  • 12.
    Tổn thương cóđậm độ mỡ mà có đóng vôi => Cần phẫu thuật để loại trừ carcinome
  • 13.
    Kyste multiloculaire (multilocular cyst) Ng i l n : kyste multiloculaireườ ớ  Tr em : nephrome kystiqueẻ  U lành , hi m. M t bên th n, nhi uế ộ ậ ề vách/nang  Các vách này không thông v i các b th nớ ể ậ  Nang có vách rõ. Ch mô th n th n chungủ ậ ậ quanh bình th ngườ  Th ng c c d i . Kích th c : 10cmườ ở ự ướ ướ  M/F : 1/7
  • 14.
     Đau hông+/- s th y u bên hôngờ ấ  Ti u máu, nhi m trùng ti uể ễ ể  N c ti u : h ng c u, b ch c u ++ướ ể ồ ầ ạ ầ
  • 15.
    MSCT  T nth ng ch mô th n d ng đa nangổ ươ ở ủ ậ ạ  Hình c đi n “ t ong”ổ ể ổ  Kích th c # 10cmướ  B vi n rõ nét, có v bao bên ngoài d yờ ề ỏ ầ  Bên trong nhi u vách,ề  Đóng vôi vách hay vi n v bao ngoàiở ở ề ỏ  B t thu c c n quang các vách ++ắ ố ả
  • 17.
    Siêu âm  Tn th ng d ng “ đa nang” nhi u vách echoổ ươ ạ ề d y, và b vi n v bao d yầ ờ ề ỏ ầ
  • 18.
    Ch n đoánphân bi tẩ ệ  B nh lý Th n đa nang (polykystose renale)ệ ậ lan chi m toàn b th nế ộ ậ  Nang th n ,nang v th n,nang c nh b th n:ậ ỏ ậ ạ ể ậ không có vách, không có bao
  • 19.
    Kyste renal (renal cyst) U lành tính, ch a đ n thu n là d chứ ơ ầ ị  R t th ng g pấ ườ ặ  V trí: v th n, c nh b th nị ỏ ậ ạ ể ậ  Tu i 50 ( ít khi g p <30), M > Fổ ặ  Bi n ch ng : xu t huy t trong nang,nhi m trùng,ế ứ ấ ế ễ vỡ
  • 20.
     Không cótri u ch ngệ ứ  Khi nang to => s th y u.ờ ấ  Nang xu t huy t : đauấ ế  Nang nhi m trùng : s tễ ố
  • 21.
    MSCT  Sang thng d ng nang d ch, v i đđ UHươ ạ ị ớ =10  V trí: v th n, c nh b th nị ỏ ậ ạ ể ậ  Th ng có c hai bên th nườ ở ả ậ  Nang cũ : đóng vôi vách  Khi nang bi n ch ng : thành ph n d ch trongế ứ ầ ị nang không thu n nh tầ ấ  Nang xu t huy t : d ch tăng đ m đ (60 UH)ấ ế ị ậ ộ
  • 22.
     B tthu c c n quang nh váchắ ố ả ẹ ở  Phân tích hình nh c a các vách: d y, m ng,ả ủ ầ ỏ m t/nhi uộ ề  Các n t vách +/-ố ở  Phân lo i c a BOSNIAK :ạ ủ Type III, IV (+) t n th ng th phát t i gan,ổ ươ ứ ạ ph i => nang chuy n sang ác tínhổ ể
  • 23.
    Siêu âm  Tn th ng tròn , echo tr ng đ ng nh t, vổ ươ ố ồ ấ ỏ r t m ngấ ỏ  V trí: v , c nh bê th nị ỏ ạ ậ  Nhi m trùng, xu t huy t=> d ch bên trong sễ ấ ế ị ẽ không còn đ ng nh t và tăng nhồ ấ ẹ  Chuy n ác tính : vách d y, n t ++, vôi +ể ầ ố  => phân lo i Bosniakạ
  • 25.
  • 26.
    Nang xuất huyếtnhiễm trùng
  • 28.
    Bệnh lý thậnđa nang (polykystose renale)
  • 29.
    Phân lo iBosniakạType I Nang đ n thu nơ ầ : Đ m đ d ch(-10-20 UH), đ ng d ng,gh rõ, không th y v ,không b tậ ộ ị ồ ạ ấ ỏ ắ thu c c n quangố ả => Lành tính, không c n theo dõiầ Type II Nang không đi n hìnhể : vài vách m ng, vài đ m vôi v , đ m đ d ch cao(> 50UH)ỏ ố ở ỏ ậ ộ ị Không b t thu c c n quang (<10UH)ắ ố ả => Lành tính , không c n theo dõiầ Type II F (follow-up) Nang không đi n hình nhi uể ề => C n theo dõiầ Type III Nang nghi ng :ờ Nhi u vách d y+/hay thành nang d y, gi i h n không đ uề ầ ầ ớ ạ ề Các vôi d y +/hay không đ u, đ m đ d ch cao (>20UH)ầ ề ậ ộ ị Thành và vách b t thu c c n quangắ ố ả +> ph u thu t sinh thi tẫ ậ ế Type IV Ung th u th n (d ng nang)ư ậ ạ Thành nang d y, không đ u -Có ch i, sùi , các n tầ ề ồ ố Vách nang và các ch i, n t b t thu c c n quang (>50UH)ồ ố ắ ố ả => Ph u thu t c t th nẫ ậ ắ ậ Phân lo i c a Bosniakạ ủ
  • 31.
    Không có vách Bắtthuốc kém < 10UH
  • 32.
    Không có vách Đậmđộ dịch Bắt thuốc kém < 10UH
  • 33.
    Không có vách Đậmđộ dịch Bắt thuốc kém < 10UH Type II Vách mỏng Đậm độ hơi cao vôi +/-
  • 34.
    Không có vách Đậmđộ dịch Bắt thuốc kém < 10UH Type II Vách mỏng Đậm độ hơi cao vôi +/-
  • 35.
    Không có vách Đậmđộ dịch Bắt thuốc kém < 10UH Type II Vách mỏng Đậm độ hơi cao vôi +/- Nang xuất huyết
  • 36.
    Type IIF Nhiều váchmỏng(>2) Thành rất mỏng Bắt thuốc kém Vôi(+)
  • 37.
    Type IIF Nhiều váchmỏng(>2) Thành rất mỏng Bắt thuốc kém Vôi(+)
  • 38.
  • 39.
  • 42.
    Ch n đoánphân bi tẩ ệ  Carcinome th n t bào sángậ ế : lo i u m t đạ ậ ộ mô , đôi khi có ho i t trung tâm nh ngạ ử ư không bao gi ch d chờ ứ ị  Abces th nậ : v bao ngoài d y ++, b t thu cỏ ầ ắ ố quang vi n m nh + lâm sàngề ạ  Di căn : hi m, nh ng đôi khi bi u hi n =ế ư ể ệ nh ng t n th ng gi m đ m đữ ổ ươ ả ậ ộ  => siêu âm +/-IRM
  • 43.
    Oncocytome (oncocytoma)  U lành, 5% / bl u th nậ  Tu i 65 , M/F : 2/1ổ  Kích th c : 7cmướ  Th ng ch có m t, trung tâm : s o xườ ỉ ộ ẹ ơ  Hoàn toàn không có tri u ch ngệ ứ
  • 44.
    MSCT  T nth ng d ng U , kích th c > 5cmổ ươ ạ ướ  Có v bao rõ nétỏ  S o x trung tâm ++ (30%)ẹ ơ  B t thu c m nh và đi n hìnhtheo ki uắ ố ạ ể ể h ng tâm v i hình nh “ căm xe”(>80%)ướ ớ ả  Đ ng đ m đ ( so v i nhu mô th n) thì tĩnhồ ậ ộ ớ ậ ở m chạ
  • 45.
    Siêu âm  Tn th ng d ng u đ c , echo d y……ổ ươ ạ ặ ầ
  • 47.
    Tổn thương giảmđậm độ, chủ mô chung quanh: đồng dạng sẹo xơ hình sao vùng trung tâm Không có xuất huyết, vôi
  • 48.
    Tổn thương giảmđậm độ, chủ mô chung quanh: đồng dạng sẹo xơ hình sao vùng trung tâm Không có xuất huyết, vôi
  • 49.
    !!! : carcinomecó sẹo hoại tử => Chú ý sự xâm lấn của khối u
  • 50.
    Các kh iu ác tínhố  Carcinome renal (renal carcinoma)  Carcinome renal medullaire (renal medullary carcinoma)  Carcinome vesicale (urinary bladder carcinoma)  Lymphome renal (renal lymphoma)  Metastases renales (renal metastases)
  • 51.
    Carcinome (carcinoma) • Carcinome renal= ADK renal: u ác tính th ng g pườ ặ - 2% trong các bl ung th –ư • tu i : 50- 70 . M/F : 2/1ổ • Kích th c : 3cmướ • Yt nguy c : thu c lá,ch y th n nhân t o (2%) vàơ ố ạ ậ ạ nhi m đ c m s hóa ch tễ ộ ộ ố ấ • V trí: vùng v ,ị ỏ • S l ng : đ n đ c, gi i h n rõ, không có v baoố ươ ơ ộ ớ ạ ỏ .nhi u t n th ng 4%ề ổ ươ
  • 52.
     Tri uch ng th ng g p :ệ ứ ườ ặ ti u máu đ i th (60%). Đau hông l ngể ạ ể ư (40%). Kh i u(40%)ố  S t nh , s t cân,ố ẹ ụ  Thi u máu, tăng calci máuế  30% phát hi n tình cệ ờ
  • 53.
    MSCT • T nth ng gi i h n rõ, có v bao, c u trúcổ ươ ớ ạ ỏ ấ không đ ng d ng n u d> 3cmồ ạ ế • Vôi (+) 10-30% • Thâm nhi m l p m quanh th nễ ớ ỡ ậ • B t thu c c n quang m nh, không đ ng nh tắ ố ả ạ ồ ấ thì đ ng m chở ộ ạ • Bilan: xâm l n c a kh i u vào tĩnh m ch th nấ ủ ố ạ ậ (25%), tĩnh m ch ch d i (5%)- h ch khu v cạ ủ ướ ạ ự (35%)- di căn Gan (35%),ph i (55%0,x ng (30%),ổ ươ tuy n th ng th n (10%), th n đ i bênế ượ ậ ậ ố (10%),não(5%)
  • 54.
    Khối u lớn,không đồng dạng, hoại tử trung tâm, bờ viền vỏ bao rõ
  • 55.
    Khối u lớn,không đồng dạng, hoại tử trung tâm, bờ viền vỏ bao rõ
  • 57.
    U xâm lấnvào TM Thận và TM chủ dưới
  • 58.
    Siêu âm  Làpp t t đ kh o sát u >2cmố ể ả  Tt echo d y(u đ c), không đ ng d ng(so v iầ ặ ồ ạ ớ ch mô th n)ủ ậ  B vi n th n thay đ i, có m t vi n echoờ ề ậ ổ ộ ề tr ng quanh th n# gi baoố ậ ả  Doppler: kh o sát s xâm l n vào các m chả ự ấ ạ máu th n, TM ch d iậ ủ ướ
  • 60.
    Carcinome renal medullaire (renalmedullary carcinoma)  U ác tính, xu t phát t các t bào bi u mô đàiấ ừ ế ể th n. Phát tri n nhanh.ậ ễ  Hi m :1%/ u th n. Da đenế ậ  Tu i : tr 20 . M/F : 3/1ổ ẻ  Ti u máu đ i th , đau hông l ng , s ch m uể ạ ể ư ờ ạ
  • 61.
    MSCT  U cógi i h n không rõ nét, có nh ng vùngớ ạ ữ ho i tạ ử  Lan r ng và xâm l n t i b th nộ ấ ớ ể ậ  Th n to nh ng không b thay đ i b vi nậ ư ị ổ ờ ề  B t thu c c n quang không đ ng nh tắ ố ả ồ ấ  Bilan : xâm l n vào TM, h ch,ho c di căn xaấ ạ ặ (gan, ph i)ổ
  • 62.
    Siêu âm  Khóxác đ nh tính ch tị ấ  Th n to, xâm l n h m ch máu (+)ậ ấ ệ ạ
  • 64.
    Carcinome vesical (urinary bladder carcinoma)•U ác tính ,phat tri n t t niêm m c bàng quangễ ừ ế ạ • Th ng g p: hàng 4 /nam và hàng 10 /nườ ặ ữ • Yt nguy c : thu c lá ( x 3 l n )ơ ố ầ • Tu i trung bình 50-70 . M/F : 3/1ổ • D ng u sùiạ > d ng thâm nhi mạ ễ • K t h p v i u ni u qu n +ế ợ ớ ệ ả • Ti u máu đ i th , không đauể ạ ể
  • 65.
    MSCT  T nth ng m t đ mô có cu ng ho cổ ươ ậ ộ ố ặ đáy ph ng nhô vào lòng bàng quang (85%)ẳ  Thành bàng quang d y khu trúầ  V trí th ng bênị ườ ở  B t thu c c n quang trung bìnhắ ố ả  Bilan: tìm xem có thêm t n th ng u nhúổ ươ ở ni u qu n ?, h ch, di căn xa ( x ng)ệ ả ạ ươ
  • 66.
    Siêu âm  Thànhbàng quang d y khu trú + t n th ngầ ổ ươ nhô vào trong lòng ( có cu ng +/-), th y rõ khiố ấ bàng quang nhi u n cề ướ
  • 67.
    Ch n đoánphân bi tẩ ệ Các kh i u t ngoài l n vào bàng quang:ố ừ ấ  U tr c tràng, đ i tràng sigmaự ạ  U bu ng tr ng , t cungồ ứ ử  => c n kh o sát trên 3 m t c t (MPR)ầ ả ặ ắ  Viêm bàng quang mãn tính  Máu c c trong bàng quang => tính ch tụ ấ di đ ng c a t n th ng /siêu âm, và ttộ ủ ổ ươ không b t thu c c n quang /CTắ ố ả
  • 68.
    Lymphome (lymphoma)  U áctính phát tri n t các tb lymphocyteễ ừ  Lymphome th n / bl lymphome Non Hodgkinậ (LMNH) 60%  Lymphome th n/ lymphome h ch : 10-50%ậ ạ  Lymphome th n hai bên : 40-60%ậ  Tu i : tùy vào lo i lymphomeổ ạ  M/F : không  Yt nguy c : c đ a gi m mi n d chơ ơ ị ả ễ ị
  • 69.
     Không cóbi u hi n tri u ch ng > 50%ể ệ ệ ứ  S ít : s t cân, thi u máu, ti u máu, đau hôngố ụ ế ể l ng, s th y u ..ư ờ ấ
  • 70.
    MSCT Hai th :ể Thnhi u n tể ề ố :  T n th ng gi m đ m đ , đ ng d ng ( 20UH)ổ ươ ả ậ ộ ồ ạ  C hai bên th n (40-60%)ả ậ  B t thu c y u, ho c không b t thu cắ ố ế ặ ắ ố
  • 71.
    MSCT Th thâm nhimể ễ :  T n th ng lan chung quanh th nổ ươ ậ  xâm l n vào xoang th nấ ậ  Th ng có c hai bênườ ả  Không b t thu c c n quang , ho c b t thu c kémắ ố ả ặ ắ ố
  • 72.
    MSCT Bilan:  H chr n th n, h ch vùng b ng-ch u,h chạ ố ậ ạ ụ ậ ạ sau phúc m c (25%)ạ  Lách to +
  • 74.
    Siêu âm  Mt hay vài t n th ng echo kém khu trúộ ổ ươ ở chu mô + h ch b ng, quanh r n th nạ ổ ụ ố ậ  Lách to +  Th xâm l n lan r ng :ể ấ ộ khó xác đ nh => IRMị
  • 75.
    Ch n đoánphân bi tẩ ệ  Carcinome th n có ho i t trung tâm : m t ,ậ ạ ử ộ b t thu c c n quang m nh, d>3cmắ ố ả ạ  Angiomyolipome: có th làm bi n d ng bể ế ạ ờ ngoài th n, nh ng d a vào thành ph n mậ ư ự ầ ỡ c a tt (-100-200: : bh đ c tr ngủ ặ ư
  • 76.
    Metastases (metastases)  Th ngg p, t n su t > 2 l n u th n ác tínhườ ặ ầ ấ ầ ậ nguyên phát  Hàng 5 sau: ph i, gan, x ng, tuy n th ngổ ươ ế ượ  S l ng: nhi u, c hai bên, kích th c : nhố ượ ề ả ướ ỏ  k nguyên phát : theo th t gi m d n:ứ ự ả ầ K ph qu n ph i, k vú, k d dày, melanome, k th nế ả ổ ạ ậ m t bênộ  Các k nguyên phát ít cho di căn th n:ậ đ i tràng, bu ng tr ng, t y, ti n li t tuy nạ ồ ứ ụ ề ệ ế
  • 77.
    MSCT  Nhi ut n th ng d ng n t, th ng c haiề ổ ươ ạ ố ườ ả bên th n, v trí trong ch môậ ị ủ  Ít khi gây bi n d ng b vi n c a th nế ạ ở ề ủ ậ  m c đ b t thu c c n quang tùy theo uứ ộ ắ ố ả nguyên phát  Bilan : tìm u nguyên phát ( c khi đã bi t),ả ế nh ng di căn n i khác : ph i, gan, x ng,ữ ơ ổ ươ th ng th nượ ậ
  • 80.
    Siêu âm  Nhiu t n th ng d ng n t nh , đ h i âm (d yề ổ ươ ạ ố ỏ ộ ồ ầ ,kém) tùy vào u nguyên phát, th ng c haiườ ở ả bên  Không gây thay đ i b vi n th nổ ờ ề ậ SCC metastasis to the kydney “mass lesion in L kydney look likes a RCC LK RCC
  • 81.
    Ch n đoánphân bi tẩ ệ  Carcinome : u đ n đ c, b t thu c c n quang,ơ ộ ắ ố ả th ng làm bi n d ng b vi n th nườ ế ạ ở ề ậ  Lymphome: th ng nhi u n t, xâm l n vàoườ ề ố ấ xoang th n, nhu mô. – h ch +++_ và lách toậ ạ
  • 82.
    U th ngiậ ả Siêu âm: đồng dạng với chủ mô- doppler: tín hiệu ,hình ành mm bình thường CT : bắt thuốc = chủ mô thận qua tất cả các thì