IMAGING OF INTRACRANIAL
INFECTIONS
Dr Dosti Regmi
• Congenital / neonatal infections
• Meningitis
• Pyogenic parenchymal infections
• Encephalitis
• Tubercular and fungal infections
• Parasitic infections
Congenital/neonatal infections
 Causative agents-
1. TORCH agents-Toxoplasma, Rubella, CMV, HSV
2. HIV , varicella , enteroviruses and Syphilis
 Routes
 Transplacental – toxoplasmosis, most viruses
 Ascending cervical infections – bacteria
 During birth – HSV II
 Can result in
 Developmental malformations
 Encephaloclastic lesions (brain destruction)
 Dystrophic calcifications
CMV
– Most common congenital CNS infection (DNA; Herpes virus)
– Can also cause SNHL, cardiac anomalies, hepatosplenomegaly
– Predilection for periventricular subependymal germinal matrix
– Widespread periventricular tissue necrosis and subsequent
dystrophic calcification.
– Other sites- cerebral white matter, cortex, cerebellum, brainstem
& spinal cord.
– May cause neuronal migration disorder
• Infection during or after birth rarely affects
CNS
• During I trimester: Neuronal migration
disorder
• During II trimester :
» Hydrancephaly
» Microcephaly
» porencephaly
• Imaging
– Plain film – microcephaly with egg shell- like
periventricular calcification
– US/CT/MRI – encephaloclastic lesions, periventricular
ca++, subependymal paraventicular cyst,
ventriculomegaly
– MRI- delayed myelination, encephalomalacia,
migrational disorder (lissencephaly, polymicrogyria,
pachygyria)
1)Congenital CMV is shown with periventricular parenchymal
calcifications , damaged white matter, dysplastic cortex .
2)Large ventricle, shallow sylvian fissure, periventricular Ca++
TOXOPLASMOSIS
–T. gondii, obligate intracellular parasite
–Multifocal, scattered lesions (basal ganglia, cortical
and subcortical region, periventricular location )
–Macrocephaly **with hydrocephalus and
ependymitis.
–No migrational disorder**
–Triad (imaging) @3C
• hydrocephalus (due to ependymitis-leads to periaqueductal
necrosis-aqueductal stenosis)
• b/l chorioretinitis
• intracranial calcifications
Axial unenhanced CT image
reveals a peripherally calcified
lesion (arrow) in the right caudate
head that is a sequela of previous
toxoplasmosis infection. The low-
attenuation mass lesion with
surrounding edema in the region
of the left basal ganglia is from a
new focus of toxoplasmosis.
• Axial NECT scan through the lateral
ventricles in a 12-year-old retarded
girl with known congenital
toxoplasmosis. Punctate and linear
calcifications primarily involve the
cerebral cortex and subcortical
whitematter. Only a single
periventricular calcification is present
RUBELLA
–Inhibits proliferation of immature undifferentiated
progenitor cells in germinal matrix.
–Before 12 wks- fetal demise, stillbirth/severe birth defect
–Congenital rubella syndrome- 1st trimester infection
• CNS – microcephaly, cortical /basal ganglia calcification
• Others
–Cataracts, glaucoma, chorioretinitis
–Cardiac anomalies
–Deafness
–CNS Imaging – similar to other viral infections,
nonspecific
Axial NECT in congenital Rubella infection showing extensive calcifications in
basal ganglia, cerebral white matter and cortex
Congenital Herpes simplex
–HSV -2 (75-90% neonatal CNS infections)
– Findings 2-4 wks after birth
– Diffuse brain involvement
– CT
-focal/diffuse white matter lucency, relative
hyperdense cortex
- hemorrhagic infarcts/ thrombosis
-diffuse atrophy & multicystic encephalomalacia
(later)
– MRI
- diffuse white matter edema, hemorrhagic
infarcts/thrombosis, parenchymal or meningeal enhancement
after contrast administration
NECT scan shows diffuse hypodensity in cerebral white matter and dense appearing
cortex (Congenital Herpes encephalitis)
Perinatal (congenital) HIV
–Perinatal transmission – m.c. route
–Only 1/3rd of infected mother can transmit.
–CNS symptoms – HIV encephalitis
• Opportunistic infections & tumors relatively rare, die before 1yr
–NECT – Diffuse cerebral atrophy (nearly 90% cases)
- Basal ganglia calcifications(1/3rd cases)
- Hemorrhage (thrombocytopenia)
–MRI- cerebral atrophy
-Foci of increased SI on T2WI in peripheral & deep white
matter.
mineralizing microangiopathy.
Axial NECT scan in a 5-year-old child with congenital HIV shows 1)bilateral symmetric calcifications in
the basal ganglia and the subcortical white matter . 2). Axial NECT scan in the same patient
shows fairly symmetric punctate and curvilinear calcifications at the gray-white matter junctions
caused by mineralizing microangiopathy.
Meningitis
Infective or inflamatory process of dura mater,
leptomeninges (pia and arachnoid) and CSF
within subarachnoid space.
Pachymeningitis (dura + arachnoid)
Meningoencephalitis (+ underlying parenchymal
inflammation)
Types of meningitis:
• Acute pyogenic meningitis
• Acute lymphocytic meningitis(Viral)
• Chronic meningitis (any infectious agent including fungi and
parasites)
Acute pyogenic meningitis
• In neonates
- Group B (49%) and non-group B Streptococcus species
- Escherichia coli (18%)
- Listeria monocytogenes (7%)
• Infants and Children (<7years)
- Haemophilus influenzae (40-60%)
• Older children
- Neisseria meningitidis (25-40%),
- Streptococcus pneumoniae (10-20%).
• Adult meningitis
S. pneumoniae (30-50%) -N .meningitidis (10-35%)
•Role of neuroimaging studies : typically used to
monitor complications.
•Complications
–Hydrocephalus
–Ventriculitis/ependimitis
–Subdural effusion/empyema
–Cerebritis/abscess
–Infarcts (vasculitis/vasospasm)
–Dural sinus thrombosis/venous infarcts
–Cerebral edema
–Seizure
Role of CT in meningitis
• to identify contraindications of a lumbar puncture
• to identify complications that require prompt neurosurgical
interventions such as symptomatic hydrocephalus, subdural
empyema, and cerebral abscess.
• CT scans may reveal the cause of meningeal infection.
• Otorhinologic structures and congenital and posttraumatic
calvarial defects can also be evaluated
• CT cisternography may depict CSF leaks, which may be the source
of infection in cases of recurrent meningitis
• Communicating hydrocephalus
• Most common complication associated with
meningitis – due to blockage of CSF flow and
resorption pathway by the debris mainly at
the level of arachnoid villi.
• Leptomeningeal – ependymal fibrosis –
irreversible communicating obstructive
hydrocephalus.
Nonenhanced CT scan findings
• may be normal (>50% of patients)
• effacement of basilar & convexity cisterns by inflammatory
exudates and brain swelling
• may demonstrate mild ventricular dilatation and effacement of
sulci
• cerebral edema and focal low-attenuating lesions.
• Sequelae from meningitis like periventricular and meningeal
calcifications, localized areas of encephalomalacia, porencephaly
Contrast-enhanced CT scans
• Meningeal & ependymal enhancement
• Help in detecting complications of meningitis,
such as subdural empyema
• Venous thrombosis, infarction
• Cerebritis/abscess
• Ventriculitis.
Meningitis 1)purulent exudate filling the leptomeninges and basal
cisterns and sulci; 2) Unenhanced axial CT image shows high-
attenuation material in the basilar cisterns (dirty CSF)
• The exudates are isointense
to CSF in T2WI but do not
supress in FLAIR.
• D/D for hyperintensity in
the Subarachnoid cistern
and sulci on FLAIR /
leptomeningeal
enhancement : SAH;
Meningitis; CSF metastasis ;
Oxygen or protocol therapy
Cerebritis and developing abscess
formation in a patient with bacterial
meningitis . This contrast-enhanced,
axial computed tomography scan
shows a small, ring-enhanced,
hypoattenuating mass in
the left basal ganglia and a
left subdural fluid collection
with enhanced meninges.
Abscess in a patient with bacterial
meningitis. This contrast-enhanced
computed tomography scan shows
a ring-enhancing,
hypoattenuating mass
(abscess) with peripheral
edema and mass effect.
Bilateral subdural
empyema in a patient with
bacterial meningitis. This
computed tomography scan
demonstrates the important
diagnostic features of
meningitis: prominent
enhancement of the margin
and increased attenuation
of the empyema.
Ventriculitis in a patient with bacterial meningitis. This contrast-enhanced computed
tomography scan shows ependymal enhancement.
Acute lymphocytic meningitis (viral)
– Benign & self limited
– Viral in origin
– Enterovirus (50-80%) – echovirus, coxsackie virus and
non paralytic polio virus, mumps, EBV, arbovirus
– Imaging usually normal unless coexisting encephalitis
– Brain swelling and meningeal enhancement in some
cases.
Chronic meningitis
– Tubercular(most common), coccidiodomycosis,
cryptococcus
– Hematogenous spread from the pulmonary
tuberculosis is the common mechanism. Overall
mortality of TBM – 25-30%
– Predominantly basilar exudates
– Sequelae- Pachymeningitis, ischemia/infarcts,
atrophy, calcifications.
Imaging
• NECT- shows “en plaque” dural thickening and
popcorn like calcifications particularly around
basal cisterns.
- meningeal enhancement
- atrophy, infarction
• MRI -contrast enhanced T1W Image shows
characteristic basal meningeal enhancement
-Calcific meningeal nodules, peripheral
enhancement often persists
Extensive popcorn like calcification in basal cisterns(arrows)
Contrast-enhanced computed tomography (CT) scan in a patient with tuberculous
meningitis demonstrating marked enhancement in the basal cistern and meninges,
with dilatation of the ventricles.
Fungal infections
• Cryptococcal infection
• Candidiasis
• Aspergillosis
• Mucormycosis
Spirochaete infections
• Lyme disease
• Syphilis
Pyogenic parenchymal infections
• Cerebritis/cerebral abscess
• Complications of cerebral abscess
Cerebritis/cerebral abscess
•Focal cerebritis (focal usually pyogenic infection
without capsule or pus formation) is the earliest stage
of pyogenic brain infection from which the abscess
evolves.
Sources-
1. Direct extension from adjacent structures (in about
half of cases)
2. Haematogenous
3. Penetrating trauma
4. Congenital heart disease
Causative agents:
Pyogenic bacteria -streptococcus (aerobe and
anaerobe)
-staphylococcus aureus
-gram –ve organisms
-neonates-citrobacter
-proteus
-pseudomonas
-serratia
- staphylococcus areus
• In neonate and infants ,most abscesses occur as a
complication of the bacterial meningitis.
Non-pyogenic –M.tuberculosis,actinomyces,parasites
• In 1/3rd cases , more than one organism found.
• Location
– gray white junction in frontal and parietal lobes
– < 15% in posterior fossa
– Multiple abscesses uncommon except in
immunocompromised
– Frontal sinusitis – abscess in beneath the adjacent
frontal lobe.
– Mastoiditis – temporal lobe or cerebellar abscess.
– Blood borne infection – anywhere in the brain but
has predilection for middle cerebral artery
territory usually in frontoparietal region.
• Mortality - <5%
Pathological stages
• Abscesses evolve from focal cerebritis in
predictable stages
– Early cerebritis (first 3-5 days)
– Late cerebritis (at 7-10 days)
– Early capsule (at 10-14 days)
– Late capsule (>14 days, may lasts for months)
Early cerebritis(3-5days)-
• Initial phase of abscess.
• Focal infection, not localized
• Uncapsulated mass of congested vessels with
perivascular PMNs infiltration and edema
develops.
Late cerebritis(7-10 days)-
• central necrotic core forms ,surrounded by outer
ill-defined ring of inflammatory cells,
macrophage, granulation tissue and fibroblast.
• Maximum perilesional edema
Early abscess/Capsule(10-14 days)-central core of liquified necrotic
debris surrounded by well delineated capsule composed of collagen
and reticulin, Initially thin and incomplete ,more collagen deposited,
becomes thicker. Gliosis begins at periphery.
Late abscess/Capsule(>14 days)- capsule is complete & has 3 layers-
1.inner inflammatory layer of macrophage and granulation tissue
2.middle collagenous layer
3.Outer gliotic layer
• Late capsule stage lasts for several weeks to months.
• Cavity gradually shrinks and abscess heals.
• Imaging
–Early cerebritis- normal or may show poorly marginated subcortical
hypodense area with ill-defined enhancement in CT.
MRI- poorly marginated subcortical hyperintense area in T2WI.
- ill-defined contrast enhanced area within
hypointense edema onT1 Images.
–Late cerebritis- central low density with irregular enhancing rim,
surrounding vasogenic edema
–Early capsule- Thin(<5mm), well-delineated,distinct capsule that
enhances strongly,uniformly and continuosly, surrounding edema
present, thinner medial/ventricular margin. Rim is iso-hyperintense on
T1 & iso-hypointense on T2WI
–Late capsule- size of abscess gradually shrinks, edema diminishes. Rim
enhancement persists for months. Hypointense rim in T2 images.
–The degree of enhancement is diminished in patients who are
immunocompromised or on corticosteroid therapy.
–Abscess rarely contain gas – caused by surgical intervention or
communication with cranial air space, rarely because of gas forming
organism.
•DWI- differentiates from cystic necrotic tumours
-the abscess centre is high signal in DWI , hypointense on
ADC map, because of restricted diffusion in viscous pus.
(however reduced ADC has been reported in mets and
glioblastomas)
Dynamic contrast enhanced perfusion MRI – abscess has
low relative cerebral blood volume in their enhancing
rim than gliomas.
•Proton MRS - decreased NAA, choline, creatine
increased amino acids(leu/isoleu, valine,gly, ala),
succinate, lipid, lactate
Cerebral abscess.
CT: Low attenuation
central abscess cavity
surrounded by an
enhancing rim and white
matter vasogenic oedema.
The medial aspect of the
enhancing rim is subtly
thinned.
Because of less
vascularity in the
ependymal aspect
Streptococcal abscess due to
penetrating trauma. MRI. (A)
Axial T2W fast spin-echo image.
Note low signal of the abscess
capsule and extensive high
signal perilesional oedema. (B)
Diffusion-weighted image
shows high signal in the abscess
centre, indicating restricted
diffusion.
Early cerebritis :(Left) Axial T2WI MR shows an ill-defined hyperintense
mass in the right frontal and parietal lobes.
(Right) Coronal T1 C+ MR shows patchy enhancement, edema and mass effect.
Early capsule formation: (Left) Axial T2WI MR shows the
typical hypointense rim with surrounding hyperintense edema
(Right) Axial DWl MR shows characteristic restricted
diffusion of the early capsule stage.
late capsule stage abscess: (Left) Axial T2WI MR shows a hyperintense mass
with a hypointense rim at the gray-white junction , surrounding vasogenic edema.
(Right) Axial T1 C+ MR shows a thick wall of enhancement
Ring enhancing lesions D/D
MAGIC DR (metastasis, abscess, glioma, infarct, contusion,
demyelination, and radiation)
D/D Features
Metastasis GW junction; multiple
Abscess Restriction of diffusion in DWI d/t high viscocity of
central necrosis
Smooth hypointense rim in T2WI
Glioma (GBM) Thick irregular wall
Elevated perfusion inhigh grade glioma in
perfusion MRI
Infarct (subacute) Usually gyral enh;
Costusioin (subacute to chronic)
Demyelination (MS) the ring is incomplete and open towards the
cortex
Radiation necrosis Low perfusion in perfusion MRI
Others Toxoplasmosis; Primary CNS lymphoma in AIDS ;
thrombosed vascular malformation
• Complications:
– Satellite or daughter abscesses
– Ventriculitis
– Choroid plexitis
– Purulent leptomeningitis
Encephalitis
• Diffuse, nonfocal brain parenchymal inflammatory disease
due to spectrum of agents
• Viral – most commmon –HSV-1 and 2
• Viral encephalitis in immunocompromised- HIV , CMV,
papovavirus (PML)
• Slow viral encephalitides – CZD, SSPE
• Auto immune encephalitides – ADEM(post
infective/vaccination)
• Non viral- Toxoplasma gondii, Aspergillus, listeria
monocytogenes
Herpes simplex encephalitis
– Most common viral encephalitis
– HSV 1usually activation of latent infection in
trigeminal ganglion
(in neonates- HSV 2)
– Fulminant, necrotising, hemorrhagic; considerable mass
effect.
– Mortality up to 55%.
– Predilection for limbic system - inferomedial temporal
lobe, orbital surface of frontal lobe , insular cortex,
cingulate gyrus
– Sequential bilaterality – highly suggestive
• Imaging
– CT – often normal in early disease. In adults, CT classically reveals
hypodensity in the temporal lobes either unilaterally or
bilaterally, with or without frontal lobe involvement, usually with
mass effect. Changes may be minimal in the first 2-3 days despite
severe neurological impairment and should be carefully sought.
Hemorrhage appear slightly later.
– CECT – ill defined patchy or gyriform enhancement
– In chronic stage – large low density areas with associated local
atrophy in the affected region.
• MR – more sensitive to white matter changes;
shows the lesion to be more extensive than
they appear on the CT; can identify at earlier
stage as gyral edema, temporal lobe
hyperintensity in T2WI, +/- enhancement
• hemorrhage – increased signal intensity on
T1WI and usually implies extensive necrosis.
• MRI also shows extensive periventricular
signal changes not apparent on CT.
Togavirus (Japanese Encephalitis)
arbo virus
Deep-seated structures characteristically involved: subcortical white
matter (top arrow), thalami (middle arrow), and substantia nigra
(bottom arrow)
Typically spares temporal lobe and insular cortex –
differentiates from HSV encephalitis
Acute disseminated
encephalomyelitis (ADEM)
• Monophasic demyelinating disorder that
occur after vaccination or viral illness.
• Fulminant course, results in encephalopathy
and focal neurological deficits, and usually
resolve without long term sequelae.
• MRI – multiple large irregular T2 hyperintense
lesions in subcortical white matter,
cerebellum and brain stem.
D/D
Subacute sclerosing panencephlitis
(SSPE)
• Usually caused by measles virus (6-8 years of
infection)
• Cerebral atrophy
• Low attenuation in CT and T2/FLAIR
hyperintensity in MRI
• Diagnosis is made from clinical and EEG rather
than radiologically.
• Death within 2-4 years
REYE’S SYNDROME
• After upper Resp Tract infections
• a/w use of salicyates
• Cerebral edema and T2 hyperintensities with
DWI restriction in midbrain, thalamus, cortical
and sub-cortical regions
• Pontine T2 hyperintensity
CNS tuberculosis
• Hematogenous dissemination usually from
pulmonary infection
• Meningitis- most common manifestation
Tuberculoma
• Parenchymal lesions
– Caseating granuloma
– Usually solitary, multiple in 1/3
– Cortical, subcortical, basal ganglia lesions.
Cerebellum in children
• CT: non caseating granuloma –hyper/isodense with
homogenous enhancement, caseating granulomas
enhance peripherally, target sign
• MRI:
1. non caseating granuloma- iso/hypointense on T1 & T2
with homogenous C+
2. Caseating granuloma- iso/hypointense on T1 & T2 with
peripheral rim T2 iso to hyperintense, no diffuse
restriction and peripheral rim enh on C+ ; MRS lipid peak
3. Granulomas with central liquefaction- hypo on T1 & on T2
hyper with peripheral hypointense rim; central restricted
diffusion
Absence of aminoacids on MRS and thick rim enh (unlike abscess)
• Tubercular abscess - indistinguishable from caseating
granuloma
• surrounding edema is less than that in pyogenic abscess
– pyogenic abscess - thinner & smoother wall ,
multiloculated , larger(>3cm)
• Detection of aa (leu/iso, val) in pyogenic abscess but
absent in TB abscess on MRS
• MRS in TB abscess: prominent lipid peak
T2-weighted magnetic resonance image of a biopsy-proven, right parietal
tuberculoma. Note the low–signal-intensity rim of the lesion and the surrounding
hyperintense vasogenic edema.
T1-weighted gadolinium-enhanced magnetic resonance image in a patient with
multiple enhancing tuberculomas in both cerebellar hemispheres.
T1-weighted gadolinium-enhanced magnetic resonance image in a child with a
tuberculous abscess in the left parietal region. Note the enhancing thick-walled
abscess.
Parasitic infections
• NCC
• Echinococcosis
• Amebiasis
• Paragonimiasis
• Spargonimiasis
• Malaria
Neurocysticercosis
– Larval form of T. solium – cysticercus cellulosae
– Most common CNS parasite
– location
• Subarachnoid space
• Brain parenchyma- corticomedullary junction
• Intraventricular in 20-50% cases
– Dying larva incite host inflamatory reaction &
calcifies later
Convexity cysts have a scolex and surrounding inflammation. Inflammation around the
largest cyst “seals” the sulcus and makes it appear parenchymal. “Racemose” cysts without scolices
are seen in the basal cisterns.. NCC in vesicular stage has a clear fluid-filled cyst and a white
eccentrically positioned scolex . Note the second granular nodular lesion
Pathological stages
(over 1-9 yrs; 5 yrs in average)
• 4 stages of development, healing, regression
– Vesicular (viable larva): Cyst + scolex
– Colloidal vesicular (dying larva): Intense
inflammation, edema
– Granular nodular (healing): Cyst involutes, edema
diminishes
– Nodular calcifying (healed): Quiescent fibrocalcified
nodule
Imaging
– Vesicular: Cyst with “dot” (scolex), no edema, no
enhancement. (MRI - cyst is isointense to CSF and scolex is
isointense to white matter)
– Colloidal vesicular: Ring enhancement, edema
striking Cyst contents hyperintense on T1- and T2-weighted images
(proteinaceous fluid), cyst wall is thick and hypointense)
– Granular nodular: Faint rim enhancement, edema
decreased
– Nodular calcified: CT Ca++, MR “black dots”
(**Common to have lesions in different stages)
D/D
Cerebral mets
Amebic encephalitis
Perivascular space
Other fungal and parasitic lesions
1. Subarachnoid NCC: TB meningitis (thick basilar exudate)
2. Parenchymal NCC: Abscess ( restricts strongly in DWI)
3. Intraventricular NCC :
colloid cyst(solid)
Ependymal cyst (cystic but not scolex)
Choroid plexus cyst
Cysticercosis: Axial FLAIR
image shows a left frontal
lobe cysticercus in the
vesicular stage. Note the
scolex surrounded by cyst
fluid isointense to CSF. There
is no perilesional oedema.
Scolex: T1 iso to white matter (hyperintense) FLAIR
hyperintense; occasional enh with diffusion restriction
Echinococcosis
– Larval stage- hydatid cyst
– Cerebral hydatid- seen in only 2% cases
– Imaging
• Single thin walled spherical CSF density cyst
• Large cystic lesion lying subcortically in middle cerebral
territory of parietal area (can reach large size often
over 6 cm in diameter).
• No edema or enhancement or adjacent calcification.
• Enhancement and perilesional edema are seen only if
the cyst is superinfected.
Prion infection
Creutzfeldt–Jakob disease (CJD)
• The typical MRI
appearance of CJD is
cortical ribboning, which
describes ribbonlike FLAIR
hyperintensity and
restricted diffusion of the
cerebral cortex. The basal
ganglia and thalami are
also involved. There is
often sparing of the
motor cortex.
• The pulvinar sign
describes bright DWI and
FLAIR signal within the
pulvinar nucleus of the
thalamus. The hockey
stick sign describes bright
DWI and FLAIR signal
within the dorsomedial
thalamus.
thank you
• Cysticercosis: Axial FLAIR
image shows a left frontal
lobe cysticercus in the
vesicular stage. Note the
scolex surrounded by cyst
fluid isointense to CSF.
There is no perilesional
oedema.
• Dx?
• D/D of leptomeningeal
enhancement
• Leptomeningitis. A, FLAIR scan with
normal cerebrospinal fluid (CSF)
intensity (seen in ventricles) has
bright CSF in subarachnoid space
over convexities. B, Note the
enhancement on this T1-weighted
image deep within the sulci
(arrowheads). Although some of the
enhancement may be attributable to
veins, especially with edematous
meninges, the thickness and smeared
margins argue for pial inflammation.
• Subdural empyema. (A) Axial
contrast-enhanced CT shows a
low attenuation subdural fluid
collection abutting the posterior
falx with peripheral
enhancement. (B) Coronal T1W
post-gadolinium MRI shows the
empyema is loculated and also
extends along the right tentorial
leaflet.
• Meningitis (either bacterial, viral, or fungal) is the primary consideration when leptomeningeal
enhancement is seen.
Leptomeningeal enhancement in meningitis is caused by BBB breakdown due to inflammation or infection.
Fine, linear enhancement suggests bacterial or viral meningitis.
Thicker, nodular enhancement suggests fungal meningitis.
• Leptomeningeal carcinomatosis, also called carcinomatous meningitis, is spread of neoplasm into the
subarachnoid space, which may be due to primary brain tumor or metastatic disease.
CNS neoplasms known to cause leptomeningeal carcinomatosis include medulloblastoma,
oligodendroglioma, choroid plexus tumor, lymphoma, ependymoma, glioblastoma, and
germinoma. Mnemonic: MOCLEGG or GEMCLOG (courtesy W. Stephen Poole, MD).
Metastatic tumors known to cause carcinomatosis include lymphoma and breast cancer.
• Viral encephalitis may produce cranial nerve enhancement within the subarachnoid space.
• Slow vascular flow may mimic leptomeningeal enhancement at first glance, but a careful examination
shows the distinction. Slow flow appears as an intravascular distribution of FLAIR hyperintensity due to
“unmasking” of the inherent high signal of blood, which remains in the plane of imaging as the entire
pulse sequence is obtained.
Slow flow of peripheral vessels in moyamoya disease causes the ivy sign.
•Imaging finding in CMV infection
•Imaging finding in Toxoplasmosis
infection
•Complication of meningitis
•Role of CT in meningitis
•Imaging in acute pyogenic meningitis
•Imaging in chr. Meningitis
•Imaging finding in different stages of
cerebritis
•D/D of ring enhancing lesions
•Imaging finding in HSV encephalitis
•Imaging finding in CNS tuberculosis
•Imaging finding in different stages of NCC

Intracranial infections

  • 1.
  • 2.
    • Congenital /neonatal infections • Meningitis • Pyogenic parenchymal infections • Encephalitis • Tubercular and fungal infections • Parasitic infections
  • 3.
    Congenital/neonatal infections  Causativeagents- 1. TORCH agents-Toxoplasma, Rubella, CMV, HSV 2. HIV , varicella , enteroviruses and Syphilis  Routes  Transplacental – toxoplasmosis, most viruses  Ascending cervical infections – bacteria  During birth – HSV II  Can result in  Developmental malformations  Encephaloclastic lesions (brain destruction)  Dystrophic calcifications
  • 4.
    CMV – Most commoncongenital CNS infection (DNA; Herpes virus) – Can also cause SNHL, cardiac anomalies, hepatosplenomegaly – Predilection for periventricular subependymal germinal matrix – Widespread periventricular tissue necrosis and subsequent dystrophic calcification. – Other sites- cerebral white matter, cortex, cerebellum, brainstem & spinal cord. – May cause neuronal migration disorder
  • 5.
    • Infection duringor after birth rarely affects CNS • During I trimester: Neuronal migration disorder • During II trimester : » Hydrancephaly » Microcephaly » porencephaly
  • 6.
    • Imaging – Plainfilm – microcephaly with egg shell- like periventricular calcification – US/CT/MRI – encephaloclastic lesions, periventricular ca++, subependymal paraventicular cyst, ventriculomegaly – MRI- delayed myelination, encephalomalacia, migrational disorder (lissencephaly, polymicrogyria, pachygyria)
  • 7.
    1)Congenital CMV isshown with periventricular parenchymal calcifications , damaged white matter, dysplastic cortex . 2)Large ventricle, shallow sylvian fissure, periventricular Ca++
  • 9.
    TOXOPLASMOSIS –T. gondii, obligateintracellular parasite –Multifocal, scattered lesions (basal ganglia, cortical and subcortical region, periventricular location ) –Macrocephaly **with hydrocephalus and ependymitis. –No migrational disorder** –Triad (imaging) @3C • hydrocephalus (due to ependymitis-leads to periaqueductal necrosis-aqueductal stenosis) • b/l chorioretinitis • intracranial calcifications
  • 10.
    Axial unenhanced CTimage reveals a peripherally calcified lesion (arrow) in the right caudate head that is a sequela of previous toxoplasmosis infection. The low- attenuation mass lesion with surrounding edema in the region of the left basal ganglia is from a new focus of toxoplasmosis.
  • 11.
    • Axial NECTscan through the lateral ventricles in a 12-year-old retarded girl with known congenital toxoplasmosis. Punctate and linear calcifications primarily involve the cerebral cortex and subcortical whitematter. Only a single periventricular calcification is present
  • 12.
    RUBELLA –Inhibits proliferation ofimmature undifferentiated progenitor cells in germinal matrix. –Before 12 wks- fetal demise, stillbirth/severe birth defect –Congenital rubella syndrome- 1st trimester infection • CNS – microcephaly, cortical /basal ganglia calcification • Others –Cataracts, glaucoma, chorioretinitis –Cardiac anomalies –Deafness –CNS Imaging – similar to other viral infections, nonspecific
  • 13.
    Axial NECT incongenital Rubella infection showing extensive calcifications in basal ganglia, cerebral white matter and cortex
  • 14.
    Congenital Herpes simplex –HSV-2 (75-90% neonatal CNS infections) – Findings 2-4 wks after birth – Diffuse brain involvement – CT -focal/diffuse white matter lucency, relative hyperdense cortex - hemorrhagic infarcts/ thrombosis -diffuse atrophy & multicystic encephalomalacia (later) – MRI - diffuse white matter edema, hemorrhagic infarcts/thrombosis, parenchymal or meningeal enhancement after contrast administration
  • 15.
    NECT scan showsdiffuse hypodensity in cerebral white matter and dense appearing cortex (Congenital Herpes encephalitis)
  • 16.
    Perinatal (congenital) HIV –Perinataltransmission – m.c. route –Only 1/3rd of infected mother can transmit. –CNS symptoms – HIV encephalitis • Opportunistic infections & tumors relatively rare, die before 1yr –NECT – Diffuse cerebral atrophy (nearly 90% cases) - Basal ganglia calcifications(1/3rd cases) - Hemorrhage (thrombocytopenia) –MRI- cerebral atrophy -Foci of increased SI on T2WI in peripheral & deep white matter. mineralizing microangiopathy.
  • 17.
    Axial NECT scanin a 5-year-old child with congenital HIV shows 1)bilateral symmetric calcifications in the basal ganglia and the subcortical white matter . 2). Axial NECT scan in the same patient shows fairly symmetric punctate and curvilinear calcifications at the gray-white matter junctions caused by mineralizing microangiopathy.
  • 18.
    Meningitis Infective or inflamatoryprocess of dura mater, leptomeninges (pia and arachnoid) and CSF within subarachnoid space. Pachymeningitis (dura + arachnoid) Meningoencephalitis (+ underlying parenchymal inflammation) Types of meningitis: • Acute pyogenic meningitis • Acute lymphocytic meningitis(Viral) • Chronic meningitis (any infectious agent including fungi and parasites)
  • 19.
    Acute pyogenic meningitis •In neonates - Group B (49%) and non-group B Streptococcus species - Escherichia coli (18%) - Listeria monocytogenes (7%) • Infants and Children (<7years) - Haemophilus influenzae (40-60%) • Older children - Neisseria meningitidis (25-40%), - Streptococcus pneumoniae (10-20%). • Adult meningitis S. pneumoniae (30-50%) -N .meningitidis (10-35%)
  • 20.
    •Role of neuroimagingstudies : typically used to monitor complications. •Complications –Hydrocephalus –Ventriculitis/ependimitis –Subdural effusion/empyema –Cerebritis/abscess –Infarcts (vasculitis/vasospasm) –Dural sinus thrombosis/venous infarcts –Cerebral edema –Seizure
  • 21.
    Role of CTin meningitis • to identify contraindications of a lumbar puncture • to identify complications that require prompt neurosurgical interventions such as symptomatic hydrocephalus, subdural empyema, and cerebral abscess. • CT scans may reveal the cause of meningeal infection. • Otorhinologic structures and congenital and posttraumatic calvarial defects can also be evaluated • CT cisternography may depict CSF leaks, which may be the source of infection in cases of recurrent meningitis
  • 22.
    • Communicating hydrocephalus •Most common complication associated with meningitis – due to blockage of CSF flow and resorption pathway by the debris mainly at the level of arachnoid villi. • Leptomeningeal – ependymal fibrosis – irreversible communicating obstructive hydrocephalus.
  • 23.
    Nonenhanced CT scanfindings • may be normal (>50% of patients) • effacement of basilar & convexity cisterns by inflammatory exudates and brain swelling • may demonstrate mild ventricular dilatation and effacement of sulci • cerebral edema and focal low-attenuating lesions. • Sequelae from meningitis like periventricular and meningeal calcifications, localized areas of encephalomalacia, porencephaly
  • 24.
    Contrast-enhanced CT scans •Meningeal & ependymal enhancement • Help in detecting complications of meningitis, such as subdural empyema • Venous thrombosis, infarction • Cerebritis/abscess • Ventriculitis.
  • 25.
    Meningitis 1)purulent exudatefilling the leptomeninges and basal cisterns and sulci; 2) Unenhanced axial CT image shows high- attenuation material in the basilar cisterns (dirty CSF)
  • 26.
    • The exudatesare isointense to CSF in T2WI but do not supress in FLAIR. • D/D for hyperintensity in the Subarachnoid cistern and sulci on FLAIR / leptomeningeal enhancement : SAH; Meningitis; CSF metastasis ; Oxygen or protocol therapy
  • 27.
    Cerebritis and developingabscess formation in a patient with bacterial meningitis . This contrast-enhanced, axial computed tomography scan shows a small, ring-enhanced, hypoattenuating mass in the left basal ganglia and a left subdural fluid collection with enhanced meninges.
  • 28.
    Abscess in apatient with bacterial meningitis. This contrast-enhanced computed tomography scan shows a ring-enhancing, hypoattenuating mass (abscess) with peripheral edema and mass effect.
  • 29.
    Bilateral subdural empyema ina patient with bacterial meningitis. This computed tomography scan demonstrates the important diagnostic features of meningitis: prominent enhancement of the margin and increased attenuation of the empyema.
  • 31.
    Ventriculitis in apatient with bacterial meningitis. This contrast-enhanced computed tomography scan shows ependymal enhancement.
  • 32.
    Acute lymphocytic meningitis(viral) – Benign & self limited – Viral in origin – Enterovirus (50-80%) – echovirus, coxsackie virus and non paralytic polio virus, mumps, EBV, arbovirus – Imaging usually normal unless coexisting encephalitis – Brain swelling and meningeal enhancement in some cases.
  • 33.
    Chronic meningitis – Tubercular(mostcommon), coccidiodomycosis, cryptococcus – Hematogenous spread from the pulmonary tuberculosis is the common mechanism. Overall mortality of TBM – 25-30% – Predominantly basilar exudates – Sequelae- Pachymeningitis, ischemia/infarcts, atrophy, calcifications.
  • 34.
    Imaging • NECT- shows“en plaque” dural thickening and popcorn like calcifications particularly around basal cisterns. - meningeal enhancement - atrophy, infarction • MRI -contrast enhanced T1W Image shows characteristic basal meningeal enhancement -Calcific meningeal nodules, peripheral enhancement often persists
  • 35.
    Extensive popcorn likecalcification in basal cisterns(arrows)
  • 36.
    Contrast-enhanced computed tomography(CT) scan in a patient with tuberculous meningitis demonstrating marked enhancement in the basal cistern and meninges, with dilatation of the ventricles.
  • 37.
    Fungal infections • Cryptococcalinfection • Candidiasis • Aspergillosis • Mucormycosis
  • 38.
    Spirochaete infections • Lymedisease • Syphilis
  • 39.
    Pyogenic parenchymal infections •Cerebritis/cerebral abscess • Complications of cerebral abscess
  • 40.
    Cerebritis/cerebral abscess •Focal cerebritis(focal usually pyogenic infection without capsule or pus formation) is the earliest stage of pyogenic brain infection from which the abscess evolves. Sources- 1. Direct extension from adjacent structures (in about half of cases) 2. Haematogenous 3. Penetrating trauma 4. Congenital heart disease
  • 41.
    Causative agents: Pyogenic bacteria-streptococcus (aerobe and anaerobe) -staphylococcus aureus -gram –ve organisms -neonates-citrobacter -proteus -pseudomonas -serratia - staphylococcus areus • In neonate and infants ,most abscesses occur as a complication of the bacterial meningitis. Non-pyogenic –M.tuberculosis,actinomyces,parasites • In 1/3rd cases , more than one organism found.
  • 42.
    • Location – graywhite junction in frontal and parietal lobes – < 15% in posterior fossa – Multiple abscesses uncommon except in immunocompromised – Frontal sinusitis – abscess in beneath the adjacent frontal lobe. – Mastoiditis – temporal lobe or cerebellar abscess. – Blood borne infection – anywhere in the brain but has predilection for middle cerebral artery territory usually in frontoparietal region. • Mortality - <5%
  • 43.
    Pathological stages • Abscessesevolve from focal cerebritis in predictable stages – Early cerebritis (first 3-5 days) – Late cerebritis (at 7-10 days) – Early capsule (at 10-14 days) – Late capsule (>14 days, may lasts for months)
  • 44.
    Early cerebritis(3-5days)- • Initialphase of abscess. • Focal infection, not localized • Uncapsulated mass of congested vessels with perivascular PMNs infiltration and edema develops. Late cerebritis(7-10 days)- • central necrotic core forms ,surrounded by outer ill-defined ring of inflammatory cells, macrophage, granulation tissue and fibroblast. • Maximum perilesional edema
  • 45.
    Early abscess/Capsule(10-14 days)-centralcore of liquified necrotic debris surrounded by well delineated capsule composed of collagen and reticulin, Initially thin and incomplete ,more collagen deposited, becomes thicker. Gliosis begins at periphery. Late abscess/Capsule(>14 days)- capsule is complete & has 3 layers- 1.inner inflammatory layer of macrophage and granulation tissue 2.middle collagenous layer 3.Outer gliotic layer • Late capsule stage lasts for several weeks to months. • Cavity gradually shrinks and abscess heals.
  • 46.
    • Imaging –Early cerebritis-normal or may show poorly marginated subcortical hypodense area with ill-defined enhancement in CT. MRI- poorly marginated subcortical hyperintense area in T2WI. - ill-defined contrast enhanced area within hypointense edema onT1 Images. –Late cerebritis- central low density with irregular enhancing rim, surrounding vasogenic edema –Early capsule- Thin(<5mm), well-delineated,distinct capsule that enhances strongly,uniformly and continuosly, surrounding edema present, thinner medial/ventricular margin. Rim is iso-hyperintense on T1 & iso-hypointense on T2WI –Late capsule- size of abscess gradually shrinks, edema diminishes. Rim enhancement persists for months. Hypointense rim in T2 images. –The degree of enhancement is diminished in patients who are immunocompromised or on corticosteroid therapy. –Abscess rarely contain gas – caused by surgical intervention or communication with cranial air space, rarely because of gas forming organism.
  • 47.
    •DWI- differentiates fromcystic necrotic tumours -the abscess centre is high signal in DWI , hypointense on ADC map, because of restricted diffusion in viscous pus. (however reduced ADC has been reported in mets and glioblastomas) Dynamic contrast enhanced perfusion MRI – abscess has low relative cerebral blood volume in their enhancing rim than gliomas. •Proton MRS - decreased NAA, choline, creatine increased amino acids(leu/isoleu, valine,gly, ala), succinate, lipid, lactate
  • 48.
    Cerebral abscess. CT: Lowattenuation central abscess cavity surrounded by an enhancing rim and white matter vasogenic oedema. The medial aspect of the enhancing rim is subtly thinned. Because of less vascularity in the ependymal aspect
  • 49.
    Streptococcal abscess dueto penetrating trauma. MRI. (A) Axial T2W fast spin-echo image. Note low signal of the abscess capsule and extensive high signal perilesional oedema. (B) Diffusion-weighted image shows high signal in the abscess centre, indicating restricted diffusion.
  • 50.
    Early cerebritis :(Left)Axial T2WI MR shows an ill-defined hyperintense mass in the right frontal and parietal lobes. (Right) Coronal T1 C+ MR shows patchy enhancement, edema and mass effect.
  • 51.
    Early capsule formation:(Left) Axial T2WI MR shows the typical hypointense rim with surrounding hyperintense edema (Right) Axial DWl MR shows characteristic restricted diffusion of the early capsule stage.
  • 52.
    late capsule stageabscess: (Left) Axial T2WI MR shows a hyperintense mass with a hypointense rim at the gray-white junction , surrounding vasogenic edema. (Right) Axial T1 C+ MR shows a thick wall of enhancement
  • 53.
    Ring enhancing lesionsD/D MAGIC DR (metastasis, abscess, glioma, infarct, contusion, demyelination, and radiation) D/D Features Metastasis GW junction; multiple Abscess Restriction of diffusion in DWI d/t high viscocity of central necrosis Smooth hypointense rim in T2WI Glioma (GBM) Thick irregular wall Elevated perfusion inhigh grade glioma in perfusion MRI Infarct (subacute) Usually gyral enh; Costusioin (subacute to chronic) Demyelination (MS) the ring is incomplete and open towards the cortex Radiation necrosis Low perfusion in perfusion MRI Others Toxoplasmosis; Primary CNS lymphoma in AIDS ; thrombosed vascular malformation
  • 54.
    • Complications: – Satelliteor daughter abscesses – Ventriculitis – Choroid plexitis – Purulent leptomeningitis
  • 55.
    Encephalitis • Diffuse, nonfocalbrain parenchymal inflammatory disease due to spectrum of agents • Viral – most commmon –HSV-1 and 2 • Viral encephalitis in immunocompromised- HIV , CMV, papovavirus (PML) • Slow viral encephalitides – CZD, SSPE • Auto immune encephalitides – ADEM(post infective/vaccination) • Non viral- Toxoplasma gondii, Aspergillus, listeria monocytogenes
  • 56.
    Herpes simplex encephalitis –Most common viral encephalitis – HSV 1usually activation of latent infection in trigeminal ganglion (in neonates- HSV 2) – Fulminant, necrotising, hemorrhagic; considerable mass effect. – Mortality up to 55%. – Predilection for limbic system - inferomedial temporal lobe, orbital surface of frontal lobe , insular cortex, cingulate gyrus – Sequential bilaterality – highly suggestive
  • 57.
    • Imaging – CT– often normal in early disease. In adults, CT classically reveals hypodensity in the temporal lobes either unilaterally or bilaterally, with or without frontal lobe involvement, usually with mass effect. Changes may be minimal in the first 2-3 days despite severe neurological impairment and should be carefully sought. Hemorrhage appear slightly later. – CECT – ill defined patchy or gyriform enhancement – In chronic stage – large low density areas with associated local atrophy in the affected region.
  • 58.
    • MR –more sensitive to white matter changes; shows the lesion to be more extensive than they appear on the CT; can identify at earlier stage as gyral edema, temporal lobe hyperintensity in T2WI, +/- enhancement • hemorrhage – increased signal intensity on T1WI and usually implies extensive necrosis. • MRI also shows extensive periventricular signal changes not apparent on CT.
  • 60.
    Togavirus (Japanese Encephalitis) arbovirus Deep-seated structures characteristically involved: subcortical white matter (top arrow), thalami (middle arrow), and substantia nigra (bottom arrow) Typically spares temporal lobe and insular cortex – differentiates from HSV encephalitis
  • 61.
    Acute disseminated encephalomyelitis (ADEM) •Monophasic demyelinating disorder that occur after vaccination or viral illness. • Fulminant course, results in encephalopathy and focal neurological deficits, and usually resolve without long term sequelae. • MRI – multiple large irregular T2 hyperintense lesions in subcortical white matter, cerebellum and brain stem.
  • 62.
  • 63.
    Subacute sclerosing panencephlitis (SSPE) •Usually caused by measles virus (6-8 years of infection) • Cerebral atrophy • Low attenuation in CT and T2/FLAIR hyperintensity in MRI • Diagnosis is made from clinical and EEG rather than radiologically. • Death within 2-4 years
  • 64.
    REYE’S SYNDROME • Afterupper Resp Tract infections • a/w use of salicyates • Cerebral edema and T2 hyperintensities with DWI restriction in midbrain, thalamus, cortical and sub-cortical regions • Pontine T2 hyperintensity
  • 65.
    CNS tuberculosis • Hematogenousdissemination usually from pulmonary infection • Meningitis- most common manifestation Tuberculoma • Parenchymal lesions – Caseating granuloma – Usually solitary, multiple in 1/3 – Cortical, subcortical, basal ganglia lesions. Cerebellum in children
  • 66.
    • CT: noncaseating granuloma –hyper/isodense with homogenous enhancement, caseating granulomas enhance peripherally, target sign • MRI: 1. non caseating granuloma- iso/hypointense on T1 & T2 with homogenous C+ 2. Caseating granuloma- iso/hypointense on T1 & T2 with peripheral rim T2 iso to hyperintense, no diffuse restriction and peripheral rim enh on C+ ; MRS lipid peak 3. Granulomas with central liquefaction- hypo on T1 & on T2 hyper with peripheral hypointense rim; central restricted diffusion Absence of aminoacids on MRS and thick rim enh (unlike abscess)
  • 67.
    • Tubercular abscess- indistinguishable from caseating granuloma • surrounding edema is less than that in pyogenic abscess – pyogenic abscess - thinner & smoother wall , multiloculated , larger(>3cm) • Detection of aa (leu/iso, val) in pyogenic abscess but absent in TB abscess on MRS • MRS in TB abscess: prominent lipid peak
  • 68.
    T2-weighted magnetic resonanceimage of a biopsy-proven, right parietal tuberculoma. Note the low–signal-intensity rim of the lesion and the surrounding hyperintense vasogenic edema.
  • 69.
    T1-weighted gadolinium-enhanced magneticresonance image in a patient with multiple enhancing tuberculomas in both cerebellar hemispheres.
  • 70.
    T1-weighted gadolinium-enhanced magneticresonance image in a child with a tuberculous abscess in the left parietal region. Note the enhancing thick-walled abscess.
  • 71.
    Parasitic infections • NCC •Echinococcosis • Amebiasis • Paragonimiasis • Spargonimiasis • Malaria
  • 72.
    Neurocysticercosis – Larval formof T. solium – cysticercus cellulosae – Most common CNS parasite – location • Subarachnoid space • Brain parenchyma- corticomedullary junction • Intraventricular in 20-50% cases – Dying larva incite host inflamatory reaction & calcifies later
  • 73.
    Convexity cysts havea scolex and surrounding inflammation. Inflammation around the largest cyst “seals” the sulcus and makes it appear parenchymal. “Racemose” cysts without scolices are seen in the basal cisterns.. NCC in vesicular stage has a clear fluid-filled cyst and a white eccentrically positioned scolex . Note the second granular nodular lesion
  • 74.
    Pathological stages (over 1-9yrs; 5 yrs in average) • 4 stages of development, healing, regression – Vesicular (viable larva): Cyst + scolex – Colloidal vesicular (dying larva): Intense inflammation, edema – Granular nodular (healing): Cyst involutes, edema diminishes – Nodular calcifying (healed): Quiescent fibrocalcified nodule
  • 75.
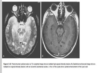
    Imaging – Vesicular: Cystwith “dot” (scolex), no edema, no enhancement. (MRI - cyst is isointense to CSF and scolex is isointense to white matter) – Colloidal vesicular: Ring enhancement, edema striking Cyst contents hyperintense on T1- and T2-weighted images (proteinaceous fluid), cyst wall is thick and hypointense) – Granular nodular: Faint rim enhancement, edema decreased – Nodular calcified: CT Ca++, MR “black dots” (**Common to have lesions in different stages)
  • 76.
    D/D Cerebral mets Amebic encephalitis Perivascularspace Other fungal and parasitic lesions 1. Subarachnoid NCC: TB meningitis (thick basilar exudate) 2. Parenchymal NCC: Abscess ( restricts strongly in DWI) 3. Intraventricular NCC : colloid cyst(solid) Ependymal cyst (cystic but not scolex) Choroid plexus cyst
  • 77.
    Cysticercosis: Axial FLAIR imageshows a left frontal lobe cysticercus in the vesicular stage. Note the scolex surrounded by cyst fluid isointense to CSF. There is no perilesional oedema. Scolex: T1 iso to white matter (hyperintense) FLAIR hyperintense; occasional enh with diffusion restriction
  • 80.
    Echinococcosis – Larval stage-hydatid cyst – Cerebral hydatid- seen in only 2% cases – Imaging • Single thin walled spherical CSF density cyst • Large cystic lesion lying subcortically in middle cerebral territory of parietal area (can reach large size often over 6 cm in diameter). • No edema or enhancement or adjacent calcification. • Enhancement and perilesional edema are seen only if the cyst is superinfected.
  • 83.
    Prion infection Creutzfeldt–Jakob disease(CJD) • The typical MRI appearance of CJD is cortical ribboning, which describes ribbonlike FLAIR hyperintensity and restricted diffusion of the cerebral cortex. The basal ganglia and thalami are also involved. There is often sparing of the motor cortex. • The pulvinar sign describes bright DWI and FLAIR signal within the pulvinar nucleus of the thalamus. The hockey stick sign describes bright DWI and FLAIR signal within the dorsomedial thalamus.
  • 85.
  • 87.
    • Cysticercosis: AxialFLAIR image shows a left frontal lobe cysticercus in the vesicular stage. Note the scolex surrounded by cyst fluid isointense to CSF. There is no perilesional oedema.
  • 91.
    • Dx? • D/Dof leptomeningeal enhancement
  • 92.
    • Leptomeningitis. A,FLAIR scan with normal cerebrospinal fluid (CSF) intensity (seen in ventricles) has bright CSF in subarachnoid space over convexities. B, Note the enhancement on this T1-weighted image deep within the sulci (arrowheads). Although some of the enhancement may be attributable to veins, especially with edematous meninges, the thickness and smeared margins argue for pial inflammation.
  • 94.
    • Subdural empyema.(A) Axial contrast-enhanced CT shows a low attenuation subdural fluid collection abutting the posterior falx with peripheral enhancement. (B) Coronal T1W post-gadolinium MRI shows the empyema is loculated and also extends along the right tentorial leaflet.
  • 95.
    • Meningitis (eitherbacterial, viral, or fungal) is the primary consideration when leptomeningeal enhancement is seen. Leptomeningeal enhancement in meningitis is caused by BBB breakdown due to inflammation or infection. Fine, linear enhancement suggests bacterial or viral meningitis. Thicker, nodular enhancement suggests fungal meningitis. • Leptomeningeal carcinomatosis, also called carcinomatous meningitis, is spread of neoplasm into the subarachnoid space, which may be due to primary brain tumor or metastatic disease. CNS neoplasms known to cause leptomeningeal carcinomatosis include medulloblastoma, oligodendroglioma, choroid plexus tumor, lymphoma, ependymoma, glioblastoma, and germinoma. Mnemonic: MOCLEGG or GEMCLOG (courtesy W. Stephen Poole, MD). Metastatic tumors known to cause carcinomatosis include lymphoma and breast cancer. • Viral encephalitis may produce cranial nerve enhancement within the subarachnoid space. • Slow vascular flow may mimic leptomeningeal enhancement at first glance, but a careful examination shows the distinction. Slow flow appears as an intravascular distribution of FLAIR hyperintensity due to “unmasking” of the inherent high signal of blood, which remains in the plane of imaging as the entire pulse sequence is obtained. Slow flow of peripheral vessels in moyamoya disease causes the ivy sign.
  • 96.
    •Imaging finding inCMV infection •Imaging finding in Toxoplasmosis infection •Complication of meningitis •Role of CT in meningitis •Imaging in acute pyogenic meningitis •Imaging in chr. Meningitis •Imaging finding in different stages of cerebritis •D/D of ring enhancing lesions •Imaging finding in HSV encephalitis •Imaging finding in CNS tuberculosis •Imaging finding in different stages of NCC

Editor's Notes

  • #18 Mineralizing microangiopathy = also after radiation therapy
  • #19 Neuroimaging studies are typically used to monitor complications such as hydrocephalus, subdural effusion, empyema (see Images 1-5, 8-10), and infarction (see Images 8-9, 11) to exclude parenchymal abscess (see Images 4, 7, 12) and ventriculitis. Neuroimaging is indicated in patients who have evidence of head trauma, sinus or mastoid infection (see Images 1-4), skull fracture, and congenital anomalies.
  • #48 restricted diffusion primarily because of high density of viable inflammatory cells in pus; with high viscosity, macromolecules and necrotic debris as possible secondary contributors
  • #57 initial lesions are unilateral but are followed by less severe contralateral disease.
  • #73 Fecooral transmission
  • #75 1-9 yrs
  • #81 In rare cases there may be more than one cyst lying deeply adjacent to ventricles. MRI – no particular advantage over CT.
  • #96 CNS neoplasms known to cause leptomeningeal carcinomatosis include medulloblastoma, oligodendroglioma, choroid plexus tumor, lymphoma, ependymoma, glioblastoma, and germinoma. Mnemonic: MOCLEGG